Stereotactic Body Radiotherapy Boost with the CyberKnife for Locally Advanced Cervical Cancer: Dosimetric Analysis and Potential Clinical Benefits
Abstract
Simple Summary
Abstract
1. Introduction
2. Materials and Methods
2.1. Patient Characteristics
2.2. CT Simulation
2.3. Brachytherapy Planning
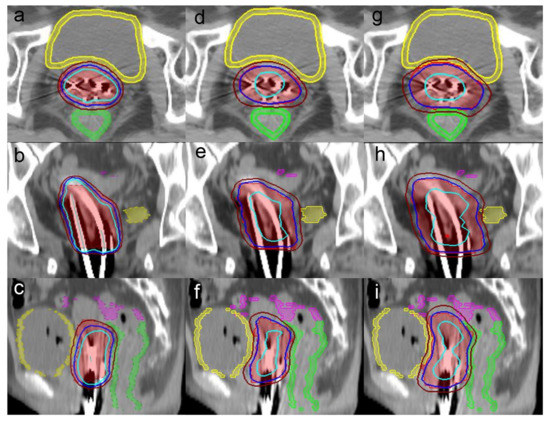
2.4. CyberKnife Planning
2.5. Evaluation of the Treatment Plans
2.6. Calculation of EUD, TCP and NTCP
2.7. Statistical Analysis
3. Results
3.1. Target Volume Coverage
3.2. Dose to Organs at Risk
3.2.1. Rectum
3.2.2. Bladder
3.2.3. Sigmoid
3.3. TCP and NTCP Analysis
3.4. Relationship between CTV and Tolerance Doses for the OARs
3.4.1. Rectum
3.4.2. Bladder
3.4.3. Sigmoid
4. Discussion
5. Conclusions
Author Contributions
Funding
Institutional Review Board Statement
Informed Consent Statement
Data Availability Statement
Conflicts of Interest
References
- Sung, H.; Ferlay, J.; Siegel, R.L.; Laversanne, M.; Soerjomataram, I.; Jemal, A.; Bray, F. Global Cancer Statistics 2020: GLOBOCAN Estimates of Incidence and Mortality Worldwide for 36 Cancers in 185 Countries. CA Cancer J. Clin. 2021, 71, 209–249. [Google Scholar] [CrossRef] [PubMed]
- Cibula, D.; Pötter, R.; Planchamp, F.; Avall-Lundqvist, E.; Fischerova, D.; Meder, C.H.; Köhler, C.; Landoni, F.; Lax, S.; Lindegaard, J.C.; et al. The European Society of Gynaecological Oncology/European Society for Radiotherapy and Oncology/European Society of Pathology guidelines for the management of patients with cervical cancer. Radiother. Oncol. J. Eur. Soc. Ther. Radiol. Oncol. 2018, 127, 404–416. [Google Scholar] [CrossRef] [PubMed]
- Viswanathan, A.N.; Creutzberg, C.L.; Craighead, P.; McCormack, M.; Toita, T.; Narayan, K.; Reed, N.; Long, H.; Kim, H.-J.; Marth, C.; et al. International brachytherapy practice patterns: A survey of the Gynecologic Cancer Intergroup (GCIG). Int. J. Radiat. Oncol. Biol. Phys. 2012, 82, 250–255. [Google Scholar] [CrossRef]
- Tagliaferri, L.; Vavassori, A.; Lancellotta, V.; De Sanctis, V.; Barbera, F.; Fusco, V.; Vidali, C.; Fionda, B.; Colloca, G.; Gambacorta, M.A.; et al. Can brachytherapy be properly considered in the clinical practice? Trilogy project: The vision of the AIRO (Italian Association of Radiotherapy and Clinical Oncology) Interventional Radiotherapy study group. J. Contemp. Brachytherapy 2020, 12, 84–89. [Google Scholar] [CrossRef]
- Han, K.; Milosevic, M.; Fyles, A.; Pintilie, M.; Viswanathan, A. Trends in the utilization of brachytherapy in cervical cancer in the United States. Int. J. Radiat. Oncol. Biol. Phys. 2013, 87, 111–119. [Google Scholar] [CrossRef] [PubMed]
- Gill, B.S.; Lin, J.F.; Krivak, T.C.; Sukumvanich, P.; Laskey, R.A.; Ross, M.S.; Lesnock, J.L.; Beriwal, S. National Cancer Data Base analysis of radiation therapy consolidation modality for cervical cancer: The impact of new technological advancements. Int. J. Radiat. Oncol. Biol. Phys. 2014, 90, 1083–1090. [Google Scholar] [CrossRef] [PubMed]
- Barraclough, L.H.; Swindell, R.; Livsey, J.E.; Hunter, R.D.; Davidson, S.E. External beam boost for cancer of the cervix uteri when intracavitary therapy cannot be performed. Int. J. Radiat. Oncol. Biol. Phys. 2008, 71, 772–778. [Google Scholar] [CrossRef] [PubMed]
- Kim, H.; Kim, Y.S.; Joo, J.H.; Eom, K.Y.; Park, W.; Kim, J.H.; Lee, J.H.; Kim, Y.S.; Lee, S.H.; Ahn, K.; et al. Tumor Boost Using External Beam Radiation in Cervical Cancer Patients Unable to Receive Intracavitary Brachytherapy: Outcome From a Multicenter Retrospective Study (Korean Radiation Oncology Group 1419). Int. J. Gynecol. Cancer 2018, 28, 371–378. [Google Scholar] [CrossRef] [PubMed]
- Lee, T.H.; Song, C.; Kim, I.A.; Kim, J.S.; Kim, Y.B.; Kim, K.; No, J.H.; Suh, D.H.; Chung, J.B.; Eom, K.Y. Stereotactic ablative body radiotherapy boost for cervical cancer when brachytherapy boost is not feasible. Radiat. Oncol. 2021, 16, 148. [Google Scholar] [CrossRef]
- Mollà, M.; Escude, L.; Nouet, P.; Popowski, Y.; Hidalgo, A.; Rouzaud, M.; Linero, D.; Miralbell, R. Fractionated stereotactic radiotherapy boost for gynecologic tumors: An alternative to brachytherapy? Int. J. Radiat. Oncol. Biol. Phys. 2005, 62, 118–124. [Google Scholar] [CrossRef] [PubMed]
- Cengiz, M.; Dogan, A.; Ozyigit, G.; Erturk, E.; Yildiz, F.; Selek, U.; Ulger, S.; Colak, F.; Zorlu, F. Comparison of intracavitary brachytherapy and stereotactic body radiotherapy dose distribution for cervical cancer. Brachytherapy 2012, 11, 125–129. [Google Scholar] [CrossRef] [PubMed]
- Kubicek, G.J.; Xue, J.; Xu, Q.; Asbell, S.O.; Hughes, L.; Kramer, N.; Youssef, A.; Chen, Y.; Aikens, J.; Saul, H.; et al. Stereotactic body radiotherapy as an alternative to brachytherapy in gynecologic cancer. BioMed Res. Int. 2013, 2013, 898953. [Google Scholar] [CrossRef]
- Haas, J.A.; Witten, M.R.; Clancey, O.; Episcopia, K.; Accordino, D.; Chalas, E. CyberKnife Boost for Patients with Cervical Cancer Unable to Undergo Brachytherapy. Front. Oncol. 2012, 2, 25. [Google Scholar] [CrossRef] [PubMed]
- O’Donnell, B.; Shiao, J.C.; Pezzi, T.A.; Waheed, N.; Sharma, S.; Bonnen, M.D.; Ludwig, M.S. Stereotactic Body Radiation Therapy, Intensity-Modulated Radiation Therapy, and Brachytherapy Boost Modalities in Invasive Cervical Cancer: A Study of the National Cancer Data Base. Int. J. Gynecol. Cancer 2018, 28, 563–574. [Google Scholar] [CrossRef] [PubMed]
- Morgenthaler, J.; Köhler, C.; Budach, V.; Sehouli, J.; Stromberger, C.; Besserer, A.; Trommer, M.; Baues, C.; Marnitz, S. Long-term results of robotic radiosurgery for non brachytherapy patients with cervical cancer. Strahlenther. Onkol. 2021, 197, 474–486. [Google Scholar] [CrossRef]
- Koh, W.J.; Abu-Rustum, N.R.; Bean, S.; Bradley, K.; Campos, S.M.; Cho, K.R.; Chon, H.S.; Chu, C.; Clark, R.; Cohn, D.; et al. Cervical Cancer, Version 3.2019, NCCN Clinical Practice Guidelines in Oncology. J. Natl. Compr. Cancer Netw. 2019, 17, 64–84. [Google Scholar] [CrossRef]
- Hadi, I.; Eze, C.; Schönecker, S.; von Bestenbostel, R.; Rogowski, P.; Nierer, L.; Bodensohn, R.; Reiner, M.; Landry, G.; Belka, C.; et al. MR-guided SBRT boost for patients with locally advanced or recurrent gynecological cancers ineligible for brachytherapy: Feasibility and early clinical experience. Radiat. Oncol. 2022, 17, 8. [Google Scholar] [CrossRef]
- Benedict, S.H.; Yenice, K.M.; Followill, D.; Galvin, J.M.; Hinson, W.; Kavanagh, B.; Keall, P.; Lovelock, M.; Meeks, S.; Papiez, L.; et al. Stereotactic body radiation therapy: The report of AAPM Task Group 101. Med. Phys. 2010, 37, 4078–4101. [Google Scholar] [CrossRef]
- Grégoire, V.; Mackie, T.R. State of the art on dose prescription, reporting and recording in Intensity-Modulated Radiation Therapy (ICRU report No. 83). Cancer Radiother. 2011, 15, 555–559. [Google Scholar] [CrossRef] [PubMed]
- Baltas, D.; Kolotas, C.; Geramani, K.; Mould, R.F.; Ioannidis, G.; Kekchidi, M.; Zamboglou, N. A conformal index (COIN) to evaluate implant quality and dose specification in brachytherapy. Int. J. Radiat. Oncol. Biol. Phys. 1998, 40, 515–524. [Google Scholar] [CrossRef]
- Niemierko, A. Reporting and analyzing dose distributions: A concept of equivalent uniform dose. Med. Phys. 1997, 24, 103–110. [Google Scholar] [CrossRef] [PubMed]
- Gay, H.A.; Niemierko, A. A free program for calculating EUD-based NTCP and TCP in external beam radiotherapy. Phys. Med. 2007, 23, 115–125. [Google Scholar] [CrossRef] [PubMed]
- Shrivastava, S.; Mahantshetty, U.; Engineer, R.; Chopra, S.; Hawaldar, R.; Hande, V.; Kerkar, R.A.; Maheshwari, A.; Shylasree, T.S.; Ghosh, J.; et al. Cisplatin Chemoradiotherapy vs Radiotherapy in FIGO Stage IIIB Squamous Cell Carcinoma of the Uterine Cervix: A Randomized Clinical Trial. JAMA Oncol. 2018, 4, 506–513. [Google Scholar] [CrossRef] [PubMed]
- Pötter, R.; Georg, P.; Dimopoulos, J.C.A.; Grimm, M.; Berger, D.; Nesvacil, N.; Georg, D.; Schmid, M.P.; Reinthaller, A.; Sturdza, A.; et al. Clinical outcome of protocol based image (MRI) guided adaptive brachytherapy combined with 3D conformal radiotherapy with or without chemotherapy in patients with locally advanced cervical cancer. Radiother. Oncol. 2011, 100, 116–123. [Google Scholar] [CrossRef]
- Mahmoud, O.; Kilic, S.; Khan, A.J.; Beriwal, S.; Small, W. External beam techniques to boost cervical cancer when brachytherapy is not an option-theories and applications. Ann. Transl. Med. 2017, 5, 207. [Google Scholar] [CrossRef]
- Neumann, O.; Kluge, A.; Lyubina, O.; Wlodarczyk, W.; Jahn, U.; Köhler, C.; Budach, V.; Kufeld, M.; Marnitz, S. Robotic radiosurgery as an alternative to brachytherapy for cervical cancer patients. Strahlenther. Onkol. 2014, 190, 538–545. [Google Scholar] [CrossRef] [PubMed]
- Merrow, C.; deBoer, S.; Podgorsak, M.B. VMAT for the treatment of gynecologic malignancies for patients unable to receive HDR brachytherapy. J. Appl. Clin. Med. Phys. 2014, 15, 66–73. [Google Scholar] [CrossRef]
- Guerrero, M.; Li, X.A.; Ma, L.; Linder, J.; Deyoung, C.; Erickson, B. Simultaneous integrated intensity-modulated radiotherapy boost for locally advanced gynecological cancer: Radiobiological and dosimetric considerations. Int. J. Radiat. Oncol. Biol. Phys. 2005, 62, 933–939. [Google Scholar] [CrossRef] [PubMed]
- Fuks, Z.; Leibel, S.A.; Wallner, K.E.; Begg, C.B.; Fair, W.R.; Anderson, L.L.; Hilaris, B.S.; Whitmore, W.F. The effect of local control on metastatic dissemination in carcinoma of the prostate: Long-term results in patients treated with 125I implantation. Int. J. Radiat. Oncol. Biol. Phys. 1991, 21, 537–547. [Google Scholar] [CrossRef]
- Yorke, E.D.; Fuks, Z.; Norton, L.; Whitmore, W.; Ling, C.C. Modeling the development of metastases from primary and locally recurrent tumors: Comparison with a clinical data base for prostatic cancer. Cancer Res. 1993, 53, 2987–2993. [Google Scholar] [PubMed]
- Marnitz, S.; Köhler, C.; Budach, V.; Neumann, O.; Kluge, A.; Wlodarczyk, W.; Jahn, U.; Gebauer, B.; Kufeld, M. Brachytherapy-emulating robotic radiosurgery in patients with cervical carcinoma. Radiat. Oncol. 2013, 8, 109. [Google Scholar] [CrossRef] [PubMed]
- Pötter, R.; Haie-Meder, C.; Van Limbergen, E.; Barillot, I.; De Brabandere, M.; Dimopoulos, J.; Dumas, I.; Erickson, B.; Lang, S.; Nulens, A.; et al. Recommendations from gynaecological (GYN) GEC ESTRO working group (II): Concepts and terms in 3D image-based treatment planning in cervix cancer brachytherapy-3D dose volume parameters and aspects of 3D image-based anatomy, radiation physics, radiobiology. Radiother. Oncol. 2006, 78, 67–77. [Google Scholar] [CrossRef] [PubMed]
- Dimopoulos, J.C.; Lang, S.; Kirisits, C.; Fidarova, E.F.; Berger, D.; Georg, P.; Dörr, W.; Pötter, R. Dose-volume histogram parameters and local tumor control in magnetic resonance image-guided cervical cancer brachytherapy. Int. J. Radiat. Oncol. Biol. Phys. 2009, 75, 56–63. [Google Scholar] [CrossRef] [PubMed]
- Malhotra, H.K.; Avadhani, J.S.; de Boer, S.F.; Jaggernauth, W.; Kuettel, M.R.; Podgorsak, M.B. Duplicating a tandem and ovoids distribution with intensity-modulated radiotherapy: A feasibility study. J. Appl. Clin. Med. Phys. 2007, 8, 91–98. [Google Scholar] [CrossRef] [PubMed]
- Beadle, B.; Jhingran, A.; Salehpour, M.; Sam, M.; Iyer, R.; Eifel, P. Cervix regression and motion during the course of external beam chemoradiation for cervical cancer. Int. J. Radiat. Oncol. Biol. Phys. 2009, 73, 235–241. [Google Scholar] [CrossRef]
- Haripotepornkul, N.H.; Nath, S.K.; Scanderbeg, D.; Saenz, C.; Yashar, C.M. Evaluation of intra- and inter-fraction movement of the cervix during intensity modulated radiation therapy. Radiother. Oncol. 2011, 98, 347–351. [Google Scholar] [CrossRef]
- Lin, H.; Zou, W.; Li, T.; Feigenberg, S.J.; Teo, B.K.; Dong, L. A Super-Learner Model for Tumor Motion Prediction and Management in Radiation Therapy: Development and Feasibility Evaluation. Sci. Rep. 2019, 9, 14868. [Google Scholar] [CrossRef]
- Biasi, G.; Petasecca, M.; Guatelli, S.; Martin, E.A.; Grogan, G.; Hug, B.; Lane, J.; Perevertaylo, V.; Kron, T.; Rosenfeld, A.B. CyberKnife® fixed cone and Iris™ defined small radiation fields: Assessment with a high-resolution solid-state detector array. J. Appl. Clin. Med. Phys. 2018, 19, 547–557. [Google Scholar] [CrossRef]
- Chang, S.D.; Main, W.; Martin, D.P.; Gibbs, I.C.; Heilbrun, M.P. An analysis of the accuracy of the CyberKnife: A robotic frameless stereotactic radiosurgical system. Neurosurgery 2003, 52, 140–146; discussion 146–147. [Google Scholar] [CrossRef]
- Eifel, P.J.; Morris, M.; Wharton, J.T.; Oswald, M.J. The influence of tumor size and morphology on the outcome of patients with FIGO stage IB squamous cell carcinoma of the uterine cervix. Int. J. Radiat. Oncol. Biol. Phys. 1994, 29, 9–16. [Google Scholar] [CrossRef]
- Perez, C.A.; Grigsby, P.W.; Nene, S.M.; Camel, H.M.; Galakatos, A.; Kao, M.S.; Lockett, M.A. Effect of tumor size on the prognosis of carcinoma of the uterine cervix treated with irradiation alone. Cancer 1992, 69, 2796–2806. [Google Scholar] [CrossRef]
- Mantz, C.A. Definitive External Beam Radiation Therapy with Stereotactic Body Radiation Therapy Boost for FIGO Stage IB-IIB Cancer of the Cervix: Minimum 5-Year Disease Control, Toxicity, and Quality of Life Outcomes From a Phase 2 Trial. Int. J. Radiat. Oncol. Biol. Phys. 2019, 105, S225. [Google Scholar] [CrossRef]
- Albuquerque, K.; Tumati, V.; Lea, J.; Ahn, C.; Richardson, D.; Miller, D.; Timmerman, R. A Phase II Trial of Stereotactic Ablative Radiation Therapy as a Boost for Locally Advanced Cervical Cancer. Int. J. Radiat. Oncol. Biol. Phys. 2020, 106, 464–471. [Google Scholar] [CrossRef] [PubMed]
- Uto, M.; Mizowaki, T.; Ogura, K.; Hiraoka, M. Non-coplanar volumetric-modulated arc therapy (VMAT) for craniopharyngiomas reduces radiation doses to the bilateral hippocampus: A planning study comparing dynamic conformal arc therapy, coplanar VMAT, and non-coplanar VMAT. Radiat. Oncol. 2016, 11, 86. [Google Scholar] [CrossRef] [PubMed]
- Gultekin, M.; Yilmaz, M.T.; Sari, S.Y.; Yildiz, D.; Ozyigit, G.; Yildiz, F. Stereotactic body radiotherapy boost in patients with cervical cancer. J. Obstet. Gynaecol. 2022, 1–8. [Google Scholar] [CrossRef] [PubMed]



| Variables | Value |
|---|---|
| Age (years) Median (range) | 54.5 (39–72) |
| Histology (n) | |
| Squamous cell carcinoma | 18 |
| Adenocarcinoma | 2 |
| FIGO stage (n) | |
| IIA2 | 1 |
| IIB | 1 |
| IIIA | 1 |
| IIIB | 9 |
| IIIC | 6 |
| IVA | 2 |
| Target Volume (cm3) | |
| HR-CTV (median, range) | 8.8 (37.78–128.44) |
| HR-PTV (median, range) | 137.58 (80.05–206.54) |
| Index | BT | CK-CTV | CK-PTV | p-Value | |||
|---|---|---|---|---|---|---|---|
| ANOVA | a vs. b | a vs. c | b vs. c | ||||
| D50% (Gy) | 42.08 ± 2.34 | 32.49 ± 0.87 | 32.53 ± 0.83 | <0.001 | <0.001 | <0.001 | 1.000 |
| D95% (Gy) | 25.89 ± 0.44 | 26.99 ± 0.39 | 27.05 ± 0.34 | <0.001 | <0.001 | <0.001 | 1.000 |
| D98% (Gy) | 23.74 ± 0.74 | 25.49 ± 0.77 | 25.75 ± 0.75 | <0.001 | <0.001 | <0.001 | 0.849 |
| HI | 4.34 ± 0.75 | 1.47 ± 0.08 | 1.53 ± 0.07 | <0.001 | <0.001 | <0.001 | 1.000 |
| CI | 0.75 ± 0.08 | 1.12 ± 0.12 | 1.06 ± 0.05 | <0.001 | <0.001 | <0.001 | 0.147 |
| Index | BT | CK-CTV | CK-PTV | p-Value | |||
|---|---|---|---|---|---|---|---|
| ANOVA | a vs. b | a vs. c | b vs. c | ||||
| Rectum D2cc (Gy) | 17.36 ± 1.59 | 15.84 ± 2.32 | 21.92 ± 2.78 | <0.001 | 0.019 | <0.001 | <0.001 |
| Rectum Dmax (Gy) | 26.02 ± 3.86 | 24.59 ± 2.06 | 28.57 ± 1.34 | <0.001 | 0.166 | 0.004 | <0.001 |
| Rectum V15Gy (cc) | 3.71 ± 1.24 | 3.16 ± 1.80 | 8.30 ± 4.32 | <0.001 | 1.000 | <0.001 | <0.001 |
| Rectum V24.5Gy (cc) | 0.11 ± 0.18 | 0.03 ± 0.06 | 1.08 ± 1.17 | <0.001 | 1.000 | <0.001 | <0.001 |
| Bladder D2cc (Gy) | 19.64 ± 2.52 | 18.45 ± 2.79 | 22.48 ± 2.13 | <0.001 | 0.007 | <0.001 | <0.001 |
| Bladder Dmax (Gy) | 26.59 ± 3.25 | 24.40 ± 2.08 | 27.83 ± 1.90 | <0.001 | 0.003 | 0.159 | <0.001 |
| Bladder V17.55Gy (cc) | 4.91 ± 2.89 | 5.09 ± 3.97 | 10.23 ± 4.03 | <0.001 | 1.000 | <0.001 | <0.001 |
| Sigmoid D2cc (Gy) | 13.44 ± 3.31 | 13.98 ± 3.04 | 20.00 ± 2.96 | <0.001 | 1.000 | <0.001 | <0.001 |
| Sigmoid Dmax (cc) | 21.14 ± 7.02 | 22.65 ± 4.39 | 27.44 ± 2.34 | <0.001 | 0.760 | <0.001 | 0.002 |
| Index | WPI+BT | WPI+CK-CTV | WPI+CK-PTV | p-Value | |
|---|---|---|---|---|---|
| a vs. b | a vs. c | ||||
| CTV EUD (Gy) | 84.50 ± 2.79 | 92.51 ± 3.18 | 93.64 ± 1.90 | <0.001 | <0.001 |
| CTV TCP (%) | 99.45 ± 0.19 | 99.77 ± 0.10 | 99.81 ± 0.04 | <0.001 | <0.001 |
| Retum EUD (Gy) | 74.70 ± 4.66 | 68.44 ± 3.86 | 77.65 ± 4.19 | <0.001 | 0.021 |
| Rectum NTCP (%) | 28.08 ± 17.49 | 9.50 ± 6.17 | 39.38 ± 18.27 | <0.001 | 0.035 |
| Bladder EUD (Gy) | 57.51 ± 3.22 | 57.14 ± 3.30 | 61.82 ± 3.74 | 0.234 | <0.001 |
| Bladder NTCP (%) | 0.66 ± 0.44 | 0.59 ± 0.34 | 2.20 ± 1.84 | 0.303 | <0.001 |
| Index | CTV (cc) | BT | CK-PTV | p-Value |
|---|---|---|---|---|
| Rectum D2cc (Gy) | 65.55 | 16.70 ± 1.97 | 19.87 ± 2.84 | 0.068 |
| Rectum Dmax (Gy) | 93.99 | 26.34 ± 4.07 | 28.37 ± 1.37 | 0.062 |
| Rectum V15Gy (cc) | 75.52 | 3.12 ± 1.21 | 5.44 ± 2.81 | 0.081 |
| Rectum V24.5Gy (cc) | 65.55 | 0.18 ± 0.25 | 0.51 ± 0.39 | 0.099 |
| Bladder D2cc (Gy) | 56.50 | 17.40 ± 3.42 | 19.84 ± 1.57 | 0.107 |
| Bladder Dmax (Gy) | 128.44 | 26.59 ± 3.25 | 27.83 ± 1.90 | 0.149 |
| BladderV17.55Gy (cc) | 57.99 | 2.66 ± 2.26 | 6.30 ± 3.93 | 0.051 |
| Sigmoid D2cc (Gy) | 56.50 | 14.16 ± 3.94 | 17.79 ± 1.96 | 0.088 |
| Sigmoid Dmax (Gy) | 75.52 | 23.56 ± 6.85 | 27.80 ± 1.46 | 0.083 |
Publisher’s Note: MDPI stays neutral with regard to jurisdictional claims in published maps and institutional affiliations. |
© 2022 by the authors. Licensee MDPI, Basel, Switzerland. This article is an open access article distributed under the terms and conditions of the Creative Commons Attribution (CC BY) license (https://creativecommons.org/licenses/by/4.0/).
Share and Cite
Gao, J.; Xu, B.; Lin, Y.; Xu, Z.; Huang, M.; Li, X.; Wu, X.; Chen, Y. Stereotactic Body Radiotherapy Boost with the CyberKnife for Locally Advanced Cervical Cancer: Dosimetric Analysis and Potential Clinical Benefits. Cancers 2022, 14, 5166. https://doi.org/10.3390/cancers14205166
Gao J, Xu B, Lin Y, Xu Z, Huang M, Li X, Wu X, Chen Y. Stereotactic Body Radiotherapy Boost with the CyberKnife for Locally Advanced Cervical Cancer: Dosimetric Analysis and Potential Clinical Benefits. Cancers. 2022; 14(20):5166. https://doi.org/10.3390/cancers14205166
Chicago/Turabian StyleGao, Jiaxiang, Benhua Xu, Yibin Lin, Zhenhang Xu, Miaoyun Huang, Xiaobo Li, Xiaodong Wu, and Yuangui Chen. 2022. "Stereotactic Body Radiotherapy Boost with the CyberKnife for Locally Advanced Cervical Cancer: Dosimetric Analysis and Potential Clinical Benefits" Cancers 14, no. 20: 5166. https://doi.org/10.3390/cancers14205166
APA StyleGao, J., Xu, B., Lin, Y., Xu, Z., Huang, M., Li, X., Wu, X., & Chen, Y. (2022). Stereotactic Body Radiotherapy Boost with the CyberKnife for Locally Advanced Cervical Cancer: Dosimetric Analysis and Potential Clinical Benefits. Cancers, 14(20), 5166. https://doi.org/10.3390/cancers14205166

