TMS Seeded Diffusion Tensor Imaging Tractography Predicts Permanent Neurological Deficits
Abstract
:Simple Summary
Abstract
1. Introduction
2. Materials and Methods
2.1. Transcranial Magnetic Stimulation
2.2. Diffusion Tensor Imaging
2.3. Perioperative Overlays
2.4. Statistical Analysis
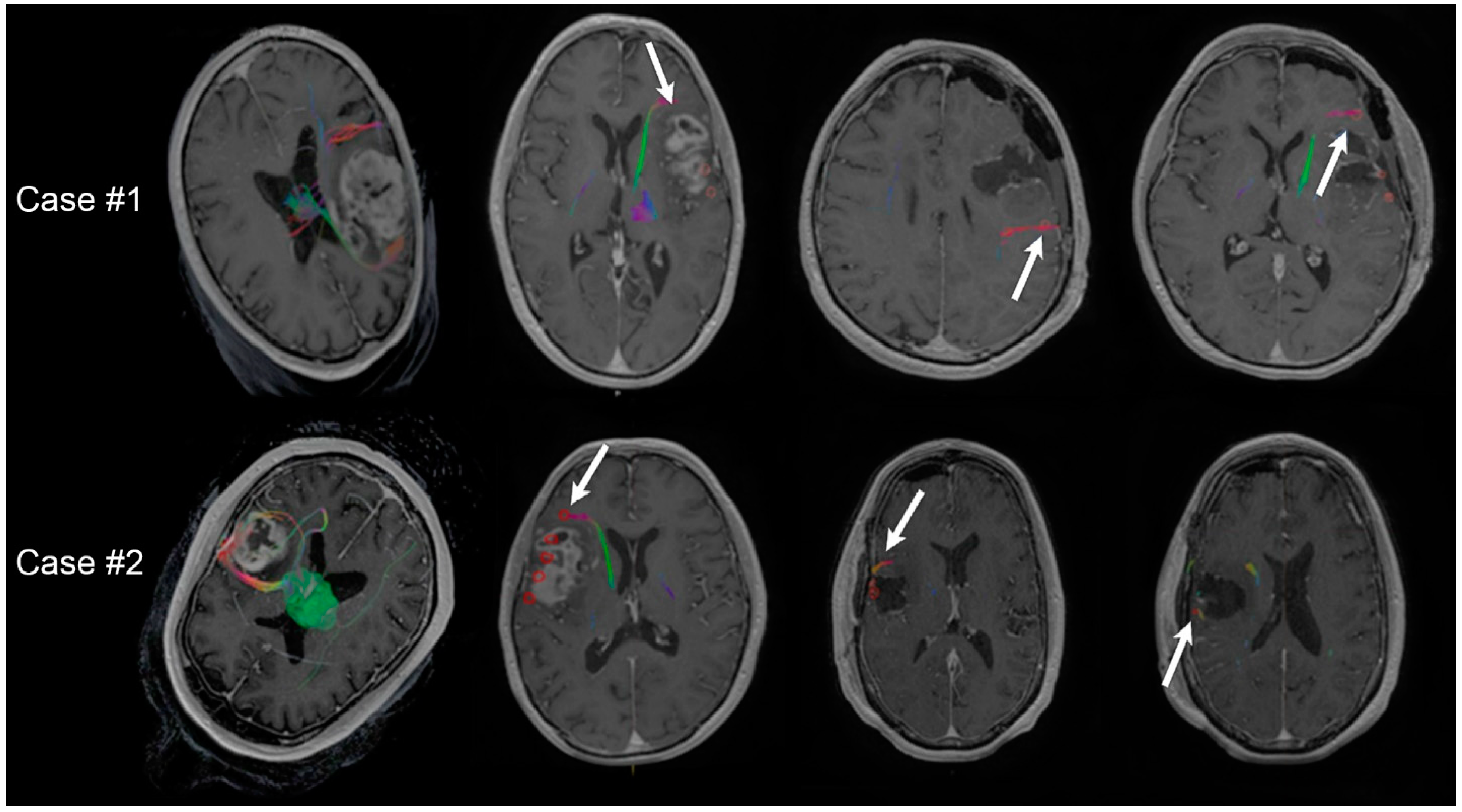
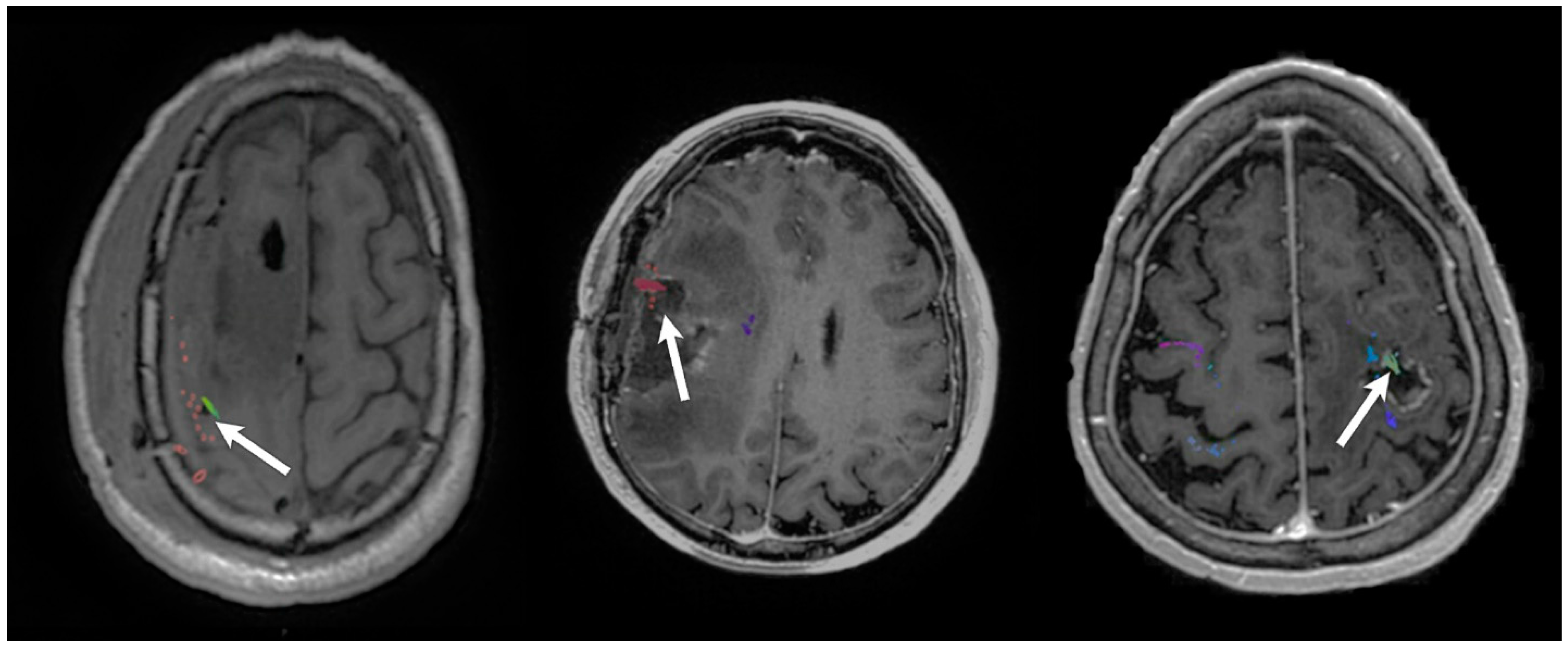
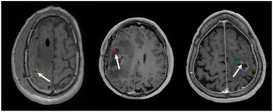
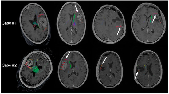
3. Results
| Number | Age | Sex | Histology | Preoperative Weakness | TMS Points Displaced from Precentral Gyrus | TMS Positive Points within Tumor | Tumor Infiltration of Precentral Gyrus | TMS Positive Point Resection | Resection of Precentral Gyrus | New or Worsened Permanent Deficit |
|---|---|---|---|---|---|---|---|---|---|---|
| 1 | 64 | Male | Anaplastic ependymoma | Yes | No | No | Yes | No | Yes | No |
| 2 | 54 | Female | Grade II oligodendroglioma | No | No | No | No | No | No | No |
| 3 | 43 | Female | Diffuse astrocytoma | No | Yes | Yes | Yes | Yes | No | No |
| 4 | 35 | Male | Diffuse astrocytoma | No | No | No | No | No | No | No |
| 5 | 62 | Female | GBM | Yes | Yes | Yes | Yes | Yes | Yes | Yes |
| 6 | 35 | Male | Anaplastic oligodendroglioma | No | Yes | No | No | No | No | No |
| 7 | 65 | Female | GBM | No | No | No | Yes | No | Yes | No |
| 8 | 66 | Male | GBM | No | Yes | Yes | Yes | Yes | Yes | Yes |
| 9 | 72 | Female | GBM | Yes | Yes | Yes | Yes | No | Yes | No |
| 10 | 59 | Male | GBM | No | Yes | No | No | No | Yes | Yes |
| 11 | 45 | Male | GBM | No | Yes | No | Yes | Yes | Yes | Yes |
| 12 | 30 | Male | Grade II oligodendroglioma | No | Yes | Yes | Yes | No | Yes | No |
| 13 | 55 | Female | GBM | No | No | No | No | No | Yes | No |
| 14 | 68 | Male | GBM | No | Yes | No | Yes | No | Yes | No |
| 15 | 40 | Male | Grade II oligodendroglioma | No | Yes | No | Yes | Yes | No | No |
| 16 | 30 | Male | Diffuse astrocytoma | No | Yes | Yes | Yes | No | No | No |
| 17 | 36 | Male | GBM | No | No | No | Yes | No | No | Yes |
| 18 | 34 | Female | Anaplastic astrocytoma | No | Yes | Yes | Yes | Yes | Yes | Yes |
| 19 | 59 | Male | Diffuse astrocytoma | No | Yes | No | Yes | No | Yes | No |
| 20 | 40 | Male | GBM | No | No | No | Yes | No | Yes | No |
| 21 | 59 | Male | GBM | Yes | No | No | No | No | No | No |
| 22 | 57 | Female | GBM | Yes | Yes | No | Yes | No | No | No |
| 23 | 33 | Male | Diffuse astrocytoma | No | Yes | Yes | Yes | No | No | No |
| 24 | 36 | Male | Anaplastic oligodendroglioma | No | No | No | No | No | Yes | No |
| 25 | 39 | Male | GBM | Yes | Yes | No | No | No | No | No |
| 26 | 53 | Female | Grade II oligodendroglioma | No | No | No | Yes | No | No | No |
| 27 | 56 | Female | Grade II oligodendroglioma | No | No | No | No | No | No | No |
| 28 | 71 | Male | GBM | No | No | No | Yes | No | No | No |
| 29 | 48 | Male | Grade II oligodendroglioma | No | No | No | No | No | No | No |
| 30 | 42 | Male | Ependymoma | Yes | Yes | No | Yes | No | Yes | No |
| 31 | 46 | Female | Anaplastic astrocytoma | No | No | No | Yes | No | No | No |
| 32 | 67 | Female | GBM | No | No | No | No | No | No | No |
| 33 | 73 | Female | Diffuse astrocytoma | No | No | No | Yes | No | Yes | Yes |
| 34 | 37 | Female | Grade II oligodendroglioma | Yes | No | No | No | No | No | No |
| 35 | 34 | Male | Diffuse astrocytoma | No | No | No | No | No | No | No |
| 36 | 77 | Male | GBM | No | No | No | No | No | Yes | No |
| 37 | 64 | Male | GBM | Yes | No | No | Yes | No | Yes | No |
| 38 | 61 | Male | GBM | No | No | Yes | Yes | Yes | Yes | No |
| 39 | 38 | Male | Anaplastic oligodendroglioma | No | Yes | No | Yes | Yes | No | No |
| 40 | 51 | Female | GBM | Yes | No | No | No | No | No | No |
| 41 | 47 | Male | Diffuse astrocytoma | Yes | Yes | No | Yes | No | No | No |
| 42 | 65 | Male | Anaplastic astrocytoma | Yes | No | No | No | No | No | No |
4. Discussion
5. Conclusions
Author Contributions
Funding
Institutional Review Board Statement
Informed Consent Statement
Data Availability Statement
Conflicts of Interest
References
- Molinaro, A.M.; Hervey-Jumper, S.; Morshed, R.A.; Young, J.; Han, S.J.; Chunduru, P.; Zhang, Y.; Phillips, J.J.; Shai, A.; Lafontaine, M.; et al. Association of Maximal Extent of Resection of Contrast-Enhanced and Non-Contrast-Enhanced Tumor With Survival Within Molecular Subgroups of Patients With Newly Diagnosed Glioblastoma. JAMA Oncol. 2020, 6, 495–503. [Google Scholar] [CrossRef]
- Rahman, M.; Abbatematteo, J.; De Leo, E.K.; Kubilis, P.S.; Vaziri, S.; Bova, F.; Sayour, E.; Mitchell, D.; Quinones-Hinojosa, A. The effects of new or worsened postoperative neurological deficits on survival of patients with glioblastoma. J. Neurosurg. 2017, 127, 123–131. [Google Scholar] [CrossRef] [PubMed]
- Pouratian, N.; Bookheimer, S.Y. The reliability of neuroanatomy as a predictor of eloquence: A review. Neurosurg. Focus 2010, 28, E3. [Google Scholar] [CrossRef] [PubMed] [Green Version]
- Vigneau, M.; Beaucousin, V.; Hervé, P.Y.; Duffau, H.; Crivello, F.; Houdé, O.; Mazoyer, B.; Tzourio-Mazoyer, N. Meta-analyzing left hemisphere language areas: Phonology, semantics, and sentence processing. Neuroimage 2006, 30, 1414–1432. [Google Scholar] [CrossRef] [PubMed]
- Bulubas, L.; Sardesh, N.; Traut, T.; Findlay, A.; Mizuiri, D.; Honma, S.M.; Krieg, S.M.; Berger, M.S.; Nagarajan, S.S.; Tarapore, P.E. Motor Cortical Network Plasticity in Patients With Recurrent Brain Tumors. Front. Hum. Neurosci. 2020, 14, 118. [Google Scholar] [CrossRef] [PubMed]
- Cargnelutti, E.; Ius, T.; Skrap, M.; Tomasino, B. What do we know about pre- and postoperative plasticity in patients with glioma? A review of neuroimaging and intraoperative mapping studies. Neuroimage Clin. 2020, 28, 102435. [Google Scholar] [CrossRef]
- Kong, N.W.; Gibb, W.R.; Badhe, S.; Liu, B.P.; Tate, M.C. Plasticity of the Primary Motor Cortex in Patients with Primary Brain Tumors. Neural Plast. 2020, 2020, 3648517. [Google Scholar] [CrossRef]
- Säisänen, L.; Julkunen, P.; Niskanen, E.; Danner, N.; Hukkanen, T.; Lohioja, T.; Nurkkala, J.; Mervaala, E.; Karhu, J.; Könönen, M. Motor potentials evoked by navigated transcranial magnetic stimulation in healthy subjects. J. Clin. Neurophysiol. 2008, 25, 367–372. [Google Scholar] [CrossRef] [PubMed]
- Jeltema, H.R.; Ohlerth, A.K.; de Wit, A.; Wagemakers, M.; Rofes, A.; Bastiaanse, R.; Drost, G. Comparing navigated transcranial magnetic stimulation mapping and “gold standard” direct cortical stimulation mapping in neurosurgery: A systematic review. Neurosurg. Rev. 2020, 44, 1903–1920. [Google Scholar] [CrossRef] [PubMed]
- Hendrix, P.; Dzierma, Y.; Burkhardt, B.W.; Simgen, A.; Wagenpfeil, G.; Griessenauer, C.J.; Senger, S.; Oertel, J. Preoperative Navigated Transcranial Magnetic Stimulation Improves Gross Total Resection Rates in Patients with Motor-Eloquent High-Grade Gliomas: A Matched Cohort Study. Neurosurgery 2021, 88, 627–636. [Google Scholar] [CrossRef] [PubMed]
- Moser, T.; Bulubas, L.; Sabih, J.; Conway, N.; Wildschutz, N.; Sollmann, N.; Meyer, B.; Ringel, F.; Krieg, S.M. Resection of Navigated Transcranial Magnetic Stimulation-Positive Prerolandic Motor Areas Causes Permanent Impairment of Motor Function. Neurosurgery 2017, 81, 99–110. [Google Scholar] [CrossRef] [PubMed]
- Frey, D.; Strack, V.; Wiener, E.; Jussen, D.; Vajkoczy, P.; Picht, T. A new approach for corticospinal tract reconstruction based on navigated transcranial stimulation and standardized fractional anisotropy values. Neuroimage 2012, 62, 1600–1609. [Google Scholar] [CrossRef]
- Gerhardt, J.; Sollmann, N.; Hiepe, P.; Kirschke, J.S.; Meyer, B.; Krieg, S.M.; Ringel, F. Retrospective distortion correction of diffusion tensor imaging data by semi-elastic image fusion—Evaluation by means of anatomical landmarks. Clin. Neurol. Neurosurg. 2019, 183, 105387. [Google Scholar] [CrossRef] [PubMed]
- Juković, M.F.; Stojanović, D.B. Midline Shift Threshold Value for Hemiparesis in Chronic Subdural Hematoma. Srp. Arh. Celok. Lek. 2015, 143, 386–390. [Google Scholar] [CrossRef] [PubMed]
- Motiei-Langroudi, R.; Alterman, R.L.; Stippler, M.; Phan, K.; Alturki, A.Y.; Papavassiliou, E.; Kasper, E.M.; Arle, J.; Ogilvy, C.S.; Thomas, A.J. Factors influencing the presence of hemiparesis in chronic subdural hematoma. J. Neurosurg. 2019, 131, 1926–1930. [Google Scholar] [CrossRef] [PubMed]
- Duffau, H. The error of Broca: From the traditional localizationist concept to a connectomal anatomy of human brain. J. Chem. Neuroanat. 2018, 89, 73–81. [Google Scholar] [CrossRef]
- Duffau, H. The huge plastic potential of adult brain and the role of connectomics: New insights provided by serial mappings in glioma surgery. Cortex 2014, 58, 325–337. [Google Scholar] [CrossRef]
- Ius, T.; Angelini, E.; Thiebaut de Schotten, M.; Mandonnet, E.; Duffau, H. Evidence for potentials and limitations of brain plasticity using an atlas of functional resectability of WHO grade II gliomas: Towards a “minimal common brain”. Neuroimage 2011, 56, 992–1000. [Google Scholar] [CrossRef] [PubMed]
- Sollmann, N.; Fratini, A.; Zhang, H.; Zimmer, C.; Meyer, B.; Krieg, S.M. Associations between clinical outcome and tractography based on navigated transcranial magnetic stimulation in patients with language-eloquent brain lesions. J. Neurosurg. 2019, 132, 1033–1042. [Google Scholar] [CrossRef] [PubMed]
- Sollmann, N.; Zhang, H.; Fratini, A.; Wildschuetz, N.; Ille, S.; Schröder, A.; Zimmer, C.; Meyer, B.; Krieg, S.M. Risk Assessment by Presurgical Tractography Using Navigated TMS Maps in Patients with Highly Motor- or Language-Eloquent Brain Tumors. Cancers 2020, 12, 1264. [Google Scholar] [CrossRef]
- Pujar, S.S.; Seunarine, K.K.; Martinos, M.M.; Neville, B.G.R.; Scott, R.C.; Chin, R.F.M.; Clark, C.A. Long-term white matter tract reorganization following prolonged febrile seizures. Epilepsia 2017, 58, 772–780. [Google Scholar] [CrossRef] [PubMed] [Green Version]
- Duffau, H. Does post-lesional subcortical plasticity exist in the human brain? Neurosci. Res. 2009, 65, 131–135. [Google Scholar] [CrossRef] [PubMed]
- Müller, D.M.J.; Robe, P.A.; Ardon, H.; Barkhof, F.; Bello, L.; Berger, M.S.; Bouwknegt, W.; van den Brink, W.A.; Conti Nibali, M.; Eijgelaar, R.S.; et al. Quantifying eloquent locations for glioblastoma surgery using resection probability maps. J. Neurosurg. 2020, 134, 1091–1101. [Google Scholar] [CrossRef]
- Baillet, S. Magnetoencephalography for brain electrophysiology and imaging. Nat. Neurosci. 2017, 20, 327–339. [Google Scholar] [CrossRef] [PubMed]
- Castellano, A.; Cirillo, S.; Bello, L.; Riva, M.; Falini, A. Functional MRI for Surgery of Gliomas. Curr. Treat. Options Neurol. 2017, 19, 34. [Google Scholar] [CrossRef]
- Cochereau, J.; Deverdun, J.; Herbet, G.; Charroud, C.; Boyer, A.; Moritz-Gasser, S.; Le Bars, E.; Molino, F.; Bonafé, A.; Menjot de Champfleur, N.; et al. Comparison between resting state fMRI networks and responsive cortical stimulations in glioma patients. Hum. Brain Mapp. 2016, 37, 3721–3732. [Google Scholar] [CrossRef] [PubMed]
- Talos, I.-F.; Zou, K.; Ohno-Machado, L. Supratentorial low-grade glioma resectability: Statistical predictive analysis based on anatomic MR features and tumor characteristics. Radiology 2006, 239, 506–513. [Google Scholar] [CrossRef] [PubMed] [Green Version]
- De Witt Hamer, P.C.; Robles, S.G.; Zwinderman, A.H.; Duffau, H.; Berger, M.S. Impact of intraoperative stimulation brain mapping on glioma surgery outcome: A meta-analysis. J. Clin. Oncol. 2012, 30, 2559–2565. [Google Scholar] [CrossRef] [Green Version]
- Sollmann, N.; Wildschuetz, N.; Kelm, A.; Conway, N.; Moser, T.; Bulubas, L.; Kirschke, J.S.; Meyer, B.; Krieg, S.M. Associations between clinical outcome and navigated transcranial magnetic stimulation characteristics in patients with motor-eloquent brain lesions: A combined navigated transcranial magnetic stimulation-diffusion tensor imaging fiber tracking approach. J. Neurosurg. 2018, 128, 800–810. [Google Scholar] [CrossRef]
- Tuncer, M.S.; Salvati, L.F.; Grittner, U.; Hardt, J.; Schilling, R.; Bährend, I.; Silva, L.L.; Fekonja, L.S.; Faust, K.; Vajkoczy, P.; et al. Towards a tractography-based risk stratification model for language area associated gliomas. Neuroimage Clin. 2021, 29, 102541. [Google Scholar] [CrossRef] [PubMed]
- Duffau, H. The dangers of magnetic resonance imaging diffusion tensor tractography in brain surgery. World Neurosurg. 2014, 81, 56–58. [Google Scholar] [CrossRef] [PubMed]
- Fernandez-Miranda, J.C.; Pathak, S.; Engh, J.; Jarbo, K.; Verstynen, T.; Yeh, F.C.; Wang, Y.; Mintz, A.; Boada, F.; Schneider, W.; et al. High-definition fiber tractography of the human brain: Neuroanatomical validation and neurosurgical applications. Neurosurgery 2012, 71, 430–453. [Google Scholar] [CrossRef] [Green Version]
- Becker, D.; Scherer, M.; Neher, P.; Jungk, C.; Jesser, J.; Pflüger, I.; Bendszus, M.; Meier-Hein, K.; Unterberg, A. Q-ball-High resolution fiber tractography of language associated tracts-quantitative evaluation of applicability for glioma resections. J. Neurosurg. Sci. 2019. [Google Scholar] [CrossRef]
- Becker, D.; Scherer, M.; Neher, P.; Jungk, C.; Jesser, J.; Pflüger, I.; Brinster, R.; Bendszus, M.; Bruckner, T.; Maier-Hein, K.; et al. Going Beyond Diffusion Tensor Imaging Tractography in Eloquent Glioma Surgery-High-Resolution Fiber Tractography: Q-Ball or Constrained Spherical Deconvolution? World Neurosurg. 2020, 134, e596–e609. [Google Scholar] [CrossRef] [PubMed]





| No. of Patients | Permanent Deficits, No. (%) | OR | 95% CI | p Value | |
|---|---|---|---|---|---|
| TMS positive points within tumor | |||||
| Yes | 9 | 3 (33) | 3.6 | 0.64–20.57 | 0.15 |
| No | 33 | 4 (12) | |||
| TMS positive points resection | |||||
| Yes | 8 | 4 (50) | 10.3 | 1.67–64.00 | 0.012 |
| No | 34 | 3 (8.8) |
| Tractography at 25% FA | Deficit | No Deficit | Tractography at 50% FA | Deficit | No Deficit | Tractography at 75% FA | Deficit | No Deficit |
|---|---|---|---|---|---|---|---|---|
| Resection | 6 | 15 | Resection | 6 | 6 | Resection | 6 | 1 |
| Preservation | 1 | 29 | Preservation | 1 | 29 | Preservation | 1 | 34 |
| No. of Patients | Permanent Deficits, No. (%) | OR | 95% CI | p Value | |
|---|---|---|---|---|---|
| Resection of 25% FAT TMS WMTs | |||||
| Yes | 21 | 6 (29%) | 8 | 0.87–73.68 | 0.066 |
| No | 21 | 1 (4.8%) | |||
| Resection of 50% FAT TMS WMTs | |||||
| Yes | 12 | 6 (50%) | 29 | 2.93–287.02 | 0.004 |
| No | 29 | 1 (3.4%) | |||
| Resection of 75% FAT TMS WMTs | |||||
| Yes | 7 | 6 (86%) | 204 | 11.17– 3724.26 | <0.0001 |
| No | 35 | 1 (2.9%) |
Publisher’s Note: MDPI stays neutral with regard to jurisdictional claims in published maps and institutional affiliations. |
© 2022 by the authors. Licensee MDPI, Basel, Switzerland. This article is an open access article distributed under the terms and conditions of the Creative Commons Attribution (CC BY) license (https://creativecommons.org/licenses/by/4.0/).
Share and Cite
Muir, M.; Prinsloo, S.; Michener, H.; Traylor, J.I.; Patel, R.; Gadot, R.; de Almeida Bastos, D.C.; Kumar, V.A.; Ferguson, S.; Prabhu, S.S. TMS Seeded Diffusion Tensor Imaging Tractography Predicts Permanent Neurological Deficits. Cancers 2022, 14, 340. https://doi.org/10.3390/cancers14020340
Muir M, Prinsloo S, Michener H, Traylor JI, Patel R, Gadot R, de Almeida Bastos DC, Kumar VA, Ferguson S, Prabhu SS. TMS Seeded Diffusion Tensor Imaging Tractography Predicts Permanent Neurological Deficits. Cancers. 2022; 14(2):340. https://doi.org/10.3390/cancers14020340
Chicago/Turabian StyleMuir, Matthew, Sarah Prinsloo, Hayley Michener, Jeffrey I. Traylor, Rajan Patel, Ron Gadot, Dhiego Chaves de Almeida Bastos, Vinodh A. Kumar, Sherise Ferguson, and Sujit S. Prabhu. 2022. "TMS Seeded Diffusion Tensor Imaging Tractography Predicts Permanent Neurological Deficits" Cancers 14, no. 2: 340. https://doi.org/10.3390/cancers14020340
APA StyleMuir, M., Prinsloo, S., Michener, H., Traylor, J. I., Patel, R., Gadot, R., de Almeida Bastos, D. C., Kumar, V. A., Ferguson, S., & Prabhu, S. S. (2022). TMS Seeded Diffusion Tensor Imaging Tractography Predicts Permanent Neurological Deficits. Cancers, 14(2), 340. https://doi.org/10.3390/cancers14020340

