Prognostic Ability of Tumor Budding Outperforms Poorly Differentiated Clusters in Gastric Cancer
Abstract
:Simple Summary
Abstract
1. Introduction
2. Methods
2.1. Study Population and Case Selection
2.2. Ethical Permission
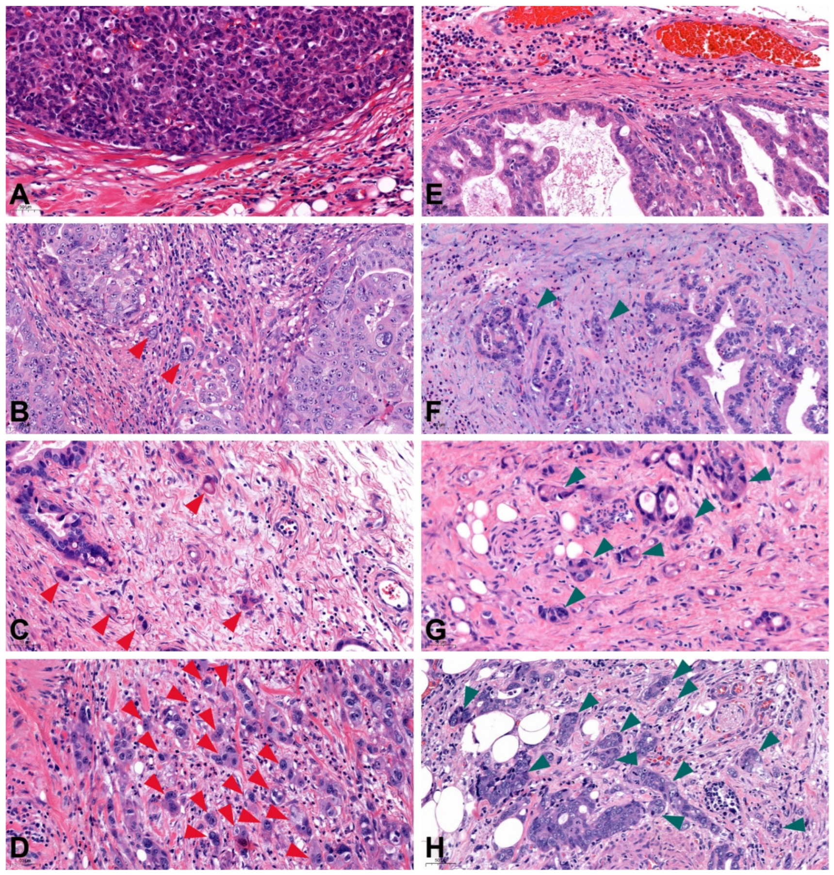
2.3. Histological Assessment of Tumor Budding and Poorly Differentiated Clusters
2.4. Statistical Analysis
3. Results
3.1. Cohort Characteristics
3.2. Association of Tumor Budding and PDCs with Clinicopathological Parameters
3.3. Survival Analysis
3.4. Association of Lymph Node Metastasis with Tumor Budding and Poorly Differentiated Clusters
4. Discussion
5. Conclusions
Supplementary Materials
Author Contributions
Funding
Institutional Review Board Statement
Informed Consent Statement
Data Availability Statement
Acknowledgments
Conflicts of Interest
References
- Sung, H.; Ferlay, J.; Siegel, R.L.; Laversanne, M.; Soerjomataram, I.; Jemal, A.; Bray, F. Global Cancer Statistics 2020: GLOBOCAN Estimates of Incidence and Mortality Worldwide for 36 Cancers in 185 Countries. CA Cancer J. Clin. 2021, 71, 209–249. [Google Scholar] [CrossRef]
- Maconi, G.; Manes, G.; Porro, G.B. Role of symptoms in diagnosis and outcome of gastric cancer. World J. Gastroenterol. 2008, 14, 1149–1155. [Google Scholar] [CrossRef]
- Dicken, B.J.; Bigam, D.L.; Cass, C.; Mackey, J.R.; Joy, A.A.; Hamilton, S.M. Gastric Adenocarcinoma: Review and Considerations for Future Directions. Ann. Surg. 2005, 241, 27–39. [Google Scholar] [CrossRef]
- Luu, C.; Thapa, R.; Woo, K.; Coppola, D.; Almhanna, K.; Pimiento, J.M.; Chen, D.-T.; Marquez, D.D.; Hodul, P.J. Does histology really influence gastric cancer prognosis? J. Gastrointest. Oncol. 2017, 8, 1026–1036. [Google Scholar] [CrossRef]
- Talebi, A.; Mohammadnejad, A.; Akbari, A.; Pourhoseingholi, M.A.; Doosti, H.; Moghimi-Dehkordi, B.; Agah, S.; Bahardoust, M. Survival analysis in gastric cancer: A multi-center study among Iranian patients. BMC Surg. 2020, 20, 152. [Google Scholar] [CrossRef]
- Shimada, H.; Takiguchi, N.; Kainuma, O.; Soda, H.; Ikeda, A.; Cho, A.; Miyazaki, A.; Gunji, H.; Yamamoto, H.; Nagata, M. High preoperative neutrophil-lymphocyte ratio predicts poor survival in patients with gastric cancer. Gastric Cancer 2010, 13, 170–176. [Google Scholar] [CrossRef]
- Xu, D.-Z.; Geng, Q.-R.; Long, Z.-J.; Zhan, Y.-Q.; Li, W.; Zhou, Z.-W.; Chen, Y.-B.; Sun, X.-W.; Chen, G.; Liu, Q. Positive Lymph Node Ratio Is an Independent Prognostic Factor in Gastric Cancer After D2 Resection Regardless of the Examined Number of Lymph Nodes. Ann. Surg. Oncol. 2008, 16, 319–326. [Google Scholar] [CrossRef]
- Becker, K.; Mueller, J.D.; Schulmacher, C.; Ott, K.; Fink, U.; Busch, R.; Bottcher, K.; Siewert, J.R.; Hofler, H. Histomorphology and grading of regression in gastric carcinoma treated with neoadjuvant chemotherapy. Cancer 2003, 98, 1521–1530. [Google Scholar] [CrossRef]
- Kemi, N.; Eskuri, M.; Ikäläinen, J.; Karttunen, T.J.; Kauppila, J.H. Tumor Budding and Prognosis in Gastric Adenocarcinoma. Am. J. Surg. Pathol. 2019, 43, 229–234. [Google Scholar] [CrossRef]
- Gulluoglu, M.; Yegen, G.; Ozluk, Y.; Keskin, M.; Dogan, S.; Gundogdu, G.; Onder, S.; Balik, E. Tumor Budding Is Independently Predictive for Lymph Node Involvement in Early Gastric Cancer. Int. J. Surg. Pathol. 2015, 23, 349–358. [Google Scholar] [CrossRef]
- Van Dao, T.; Van Nguyen, C.; Nguyen, Q.T.; Vu, H.T.N.; Phung, H.T.; Bui, O.T.; Nguyen, D.K.; Luong, B.V.; Van Tran, T. Evaluation of Tumor Budding in Predicting Survival for Gastric Carcinoma Patients in Vietnam. Cancer Control 2020, 27, 1073274820968883. [Google Scholar] [CrossRef]
- Olsen, S.; Jin, L.; Fields, R.C.; Yan, Y.; Nalbantoglu, I. Tumor budding in intestinal-type gastric adenocarcinoma is associated with nodal metastasis and recurrence. Hum. Pathol. 2017, 68, 26–33. [Google Scholar] [CrossRef] [PubMed]
- Ulase, D.; Heckl, S.; Behrens, H.; Krüger, S.; Röcken, C. Prognostic significance of tumour budding assessed in gastric carcinoma according to the criteria of the International Tumour Budding Consensus Conference. Histopathology 2019, 76, 433–446. [Google Scholar] [CrossRef]
- Gabbert, H.E.; Meier, S.; Gerharz, C.D.; Hommel, G. Tumor-cell dissociation at the invasion front: A new prognostic parameter in gastric cancer patients. Int. J. Cancer 1992, 50, 202–207. [Google Scholar] [CrossRef] [PubMed]
- Imai, T. The Growth of Human Carcinoma: A Morph Anal. Fukuoka Igaku Zasshi. 1954, 45, 72–102. [Google Scholar]
- Lugli, A.; Kirsch, R.; Ajioka, Y.; Bosman, F.; Cathomas, G.; Dawson, H.; El Zimaity, H.; Fléjou, J.-F.; Hansen, T.P.; Hartmann, A.; et al. Recommendations for reporting tumor budding in colorectal cancer based on the International Tumor Budding Consensus Conference (ITBCC). Mod. Pathol. 2017, 30, 1299–1311. [Google Scholar] [CrossRef]
- Grigore, A.D.; Jolly, M.K.; Jia, D.; Farach-Carson, M.C.; Levine, H. Tumor Budding: The Name is EMT. Partial EMT. J. Clin. Med. 2016, 5, 51. [Google Scholar] [CrossRef]
- Ueno, H.; Mochizuki, H.; Hashiguchi, Y.; Ishiguro, M.; Kajiwara, Y.; Sato, T.; Shimazaki, H.; Hase, K.; Talbot, I.C. Histological Grading of Colorectal Cancer: A Simple and Objective Method. Ann. Surg. 2008, 247, 811–818. [Google Scholar] [CrossRef]
- Barresi, V.; Branca, G.; Ieni, A.; Bonetti, L.R.; Baron, L.; Mondello, S.; Tuccari, G. Poorly differentiated clusters (PDCs) as a novel histological predictor of nodal metastases in pT1 colorectal cancer. Virchows Arch. 2014, 464, 655–662. [Google Scholar] [CrossRef]
- Lee, V.W.K.; Chan, K.F. Tumor budding and poorly-differentiated cluster in prognostication in Stage II colon cancer. Pathol. Res. Pract. 2018, 214, 402–407. [Google Scholar] [CrossRef]
- Ryan, É.; Khaw, Y.L.; Creavin, B.; Geraghty, R.; Ryan, E.J.; Gibbons, D.; Hanly, A.; Martin, S.T.; O’Connell, P.R.; Winter, D.C.; et al. Tumor Budding and PDC Grade Are Stage Independent Predictors of Clinical Outcome in Mismatch Repair Deficient Colorectal Cancer. Am. J. Surg. Pathol. 2018, 42, 60–68. [Google Scholar] [CrossRef]
- Boxberg, M.; Jesinghaus, M.; Dorfner, C.; Mogler, C.; Drecoll, E.; Warth, A.; Steiger, K.; Bollwein, C.; Meyer, P.; Wolff, K.D.; et al. Tumour budding activity and cell nest size determine patient outcome in oral squamous cell carcinoma: Proposal for an adjusted grading system. Histopathology 2017, 70, 1125–1137. [Google Scholar] [CrossRef] [PubMed]
- Jesinghaus, M.; Boxberg, M.; Konukiewitz, B.; Slotta-Huspenina, J.; Schlitter, A.M.; Steiger, K.; Specht, K.; Wieczorek, K.; Warth, A.; Schmidt, T.; et al. A Novel Grading System Based on Tumor Budding and Cell Nest Size Is a Strong Predictor of Patient Outcome in Esophageal Squamous Cell Carcinoma. Am. J. Surg. Pathol. 2017, 41, 1112–1120. [Google Scholar] [CrossRef] [PubMed]
- Weichert, W.; Kossakowski, C.; Harms, A.; Schirmacher, P.; Muley, T.; Dienemann, H.; Warth, A. Proposal of a prognostically relevant grading scheme for pulmonary squamous cell carcinoma. Eur. Respir. J. 2015, 47, 938–946. [Google Scholar] [CrossRef] [PubMed]
- Kocsmár, E.; Lotz, G.; Kiss, A.; Hoerner, M.; Petrova, E.; Freudenberg, N.; Csanádi, Á.; Kulemann, B.; Werner, M.; Bronsert, P.; et al. Prognostic impact of tumor budding and EMT in periampullary adenocarcinoma: A quantitative approach. J. Cancer 2020, 11, 6474–6483. [Google Scholar] [CrossRef]
- Barresi, V.; Bonetti, L.R.; Ieni, A.; Branca, G.; Tuccari, G. Histologic prognostic markers in stage IIA colorectal cancer: A comparative study. Scand. J. Gastroenterol. 2015, 51, 314–320. [Google Scholar] [CrossRef]
- Ueno, H.; Kajiwara, Y.; Shimazaki, H.; Shinto, E.; Hashiguchi, Y.; Nakanishi, K.; Maekawa, K.; Katsurada, Y.; Nakamura, T.; Mochizuki, H.; et al. New Criteria for Histologic Grading of Colorectal Cancer. Am. J. Surg. Pathol. 2012, 36, 193–201. [Google Scholar] [CrossRef]
- Barresi, V.; Bonetti, L.R.; Branca, G.; Di Gregorio, C.; de Leon, M.P.; Tuccari, G. Colorectal carcinoma grading by quantifying poorly differentiated cell clusters is more reproducible and provides more robust prognostic information than conventional grading. Virchows Arch. 2012, 461, 621–628. [Google Scholar] [CrossRef]
- Laurén, P. The Two Histological Main Types of Gastric Carcinoma: Diffuse and so-called Intestinal-Type Carcinoma. An Attempt at a Histo-Clinical Classification. Acta Pathol. Microbiol. Scand. 1965, 64, 31–49. [Google Scholar] [CrossRef]
- Amin, M.B.; Edge, S.B.; Greene, F.L.; Byrd, D.R.; Brookland, R.K.; Washington, M.K.; Gershenwald, J.E.; Compton, C.C.; Hess, K.R.; Sullivan, D.C.; et al. AJCC Cancer Staging Manual, 8th ed.; Springer International Publishing: Berlin/Heidelberg, Germany, 2017; ISBN 978-3-319-40617-6. [Google Scholar]
- Zlobec, I.; Bächli, M.; Galuppini, F.; Berger, M.D.; Dawson, H.E.; Nagtegaal, I.D.; Lugli, A. Refining the ITBCC tumor budding scoring system with a “zero-budding” category in colorectal cancer. Virchows Arch. 2021, 479, 1085–1090. [Google Scholar] [CrossRef]
- Bronsert, P.; Enderle-Ammour, K.; Bader, M.; Timme, S.; Kuehs, M.; Csanadi, A.; Kayser, G.; Kohler, I.; Bausch, D.; Hoeppner, J.; et al. Cancer cell invasion and EMT marker expression: A three-dimensional study of the human cancer-host interface. J. Pathol. 2014, 234, 410–422. [Google Scholar] [CrossRef] [PubMed]
- Ratti, M.; Lampis, A.; Hahne, J.C.; Passalacqua, R.; Valeri, N. Microsatellite instability in gastric cancer: Molecular bases, clinical perspectives, and new treatment approaches. Cell. Mol. Life Sci. 2018, 75, 4151–4162. [Google Scholar] [CrossRef] [PubMed]
- Jiang, Y.; Zhan, H. Communication between EMT and PD-L1 signaling: New insights into tumor immune evasion. Cancer Lett. 2020, 468, 72–81. [Google Scholar] [CrossRef] [PubMed]
- Che, K.; Zhao, Y.; Qu, X.; Pang, Z.; Ni, Y.; Zhang, T.; Du, J.; Shen, H. Prognostic significance of tumor budding and single cell invasion in gastric adenocarcinoma. OncoTargets Ther. 2017, 10, 1039–1047. [Google Scholar] [CrossRef]
- Sorrentino, L.; De Ruvo, N.; Serra, F.; Salati, M.; Ricciardolo, A.A.; Bonetti, L.; Gelmini, R. Role of poorly differentiated cluster in gastric cancer: Is it a new prognosis factor? Scand. J. Gastroenterol. 2021, 57, 44–49. [Google Scholar] [CrossRef]
- Tanaka, A.; Watanabe, T.; Okuno, K.; Yasutomi, M. Perineural invasion as a predictor of recurrence of gastric cancer. Cancer 1994, 73, 550–555. [Google Scholar] [CrossRef]
- Chen, Y.-F.; Wang, S.-Y.; Le, P.-H.; Chen, T.-H.; Kuo, C.-J.; Lin, C.-J.; Chou, W.-C.; Yeh, T.-S.; Hsu, J.-T. Prognostic Significance of Perineural Invasion in Patients with Stage II/III Gastric Cancer Undergoing Radical Surgery. J. Pers. Med. 2022, 12, 962. [Google Scholar] [CrossRef]
- Woodham, B.L.; Chmelo, J.; Donohoe, C.L.; Madhavan, A.; Phillips, A.W. Prognostic Significance of Lymphatic, Venous and Perineural Invasion After Neoadjuvant Chemotherapy in Patients with Gastric Adenocarcinoma. Ann. Surg. Oncol. 2020, 27, 3296–3304. [Google Scholar] [CrossRef]
- Jun, S.-Y.; Chung, J.-Y.; Yoon, N.; Jung, E.S.; Oh, Y.-H.; Hong, S.-M. Tumor Budding and Poorly Differentiated Clusters in Small Intestinal Adenocarcinoma. Cancers 2020, 12, 2199. [Google Scholar] [CrossRef]



| Variable | n/% | |
|---|---|---|
| Number of patients | n | 290 |
| Age at surgery (years) | mean, range | 66.12759 (34–89) |
| Sex | female | 107 |
| male | 183 | |
| Extent of gastrectomy | total | 184 |
| subtotal | 106 | |
| Location | cardia | 98 |
| fundus–body–antrum | 192 | |
| Lauren classification | intestinal | 159 |
| diffuse | 107 | |
| mixed | 27 | |
| Resection margin | R0 | 222 |
| R1 | 68 | |
| Perineural invasion | present | 81 |
| absent | 209 | |
| Lymphovascular invasion | present | 179 |
| absent | 111 | |
| Tumor differentiation | well | 6 |
| moderate | 92 | |
| poor | 192 | |
| pT | Ia | 12 |
| Ib | 14 | |
| II | 21 | |
| III | 146 | |
| IVa | 73 | |
| IVb | 24 | |
| pN | 0 | 80 |
| 1 | 52 | |
| 2 | 56 | |
| 3a | 62 | |
| 3b | 40 | |
| LNR | mean, range | 0.38 (0.0–1.0) |
| Distant metastasis (pM) | present | 17 |
| absent | 273 | |
| UICC Stage | IA | 23 |
| IB | 15 | |
| IIA | 35 | |
| IIB | 49 | |
| IIIA | 52 | |
| IIIB | 57 | |
| IIIC | 42 | |
| IV | 17 | |
| Tumor budding grade | Bd 0 | 3 |
| Bd 1 | 19 | |
| Bd 2 | 40 | |
| Bd 3 | 228 | |
| PDC grade | PDC 0 | 1 |
| PDC 1 | 16 | |
| PDC 2 | 39 | |
| PDC 3 | 234 | |
| Follow-up period | mean, range | 33.803 (1–137) |
| Death | n | 228 (78.62%) |
| Perioperative death | n | 16/290 (5.52%) |
| Parameter | Tumor Budding | Poorly Differentiated Cluster | |||||
|---|---|---|---|---|---|---|---|
| Low (0 + 1 + 2) | High (3) | p | Low (0 + 1 + 2) | High (3) | p | ||
| Number of patients (n) | n | 62 (21.38%) | 228 (78.62%) | - | 56 | 234 | - |
| Age (mean, range) | mean (years), range | 68.4 (49–87) | 65.5 (34–89) | n.s. | 66.446 | 66.051 | n.s. |
| Sex | female | 23 (37.1%) | 84 (36.8%) | 1 | 18 (32.1%) | 89 (38.0%) | n.s. |
| male | 39 (62.9%) | 144 (63.2%) | 38 (67.9%) | 145 (62.0%) | |||
| Extent of gastrectomy | total | 34 (54.8%) | 150 (65.8%) | n.s. | 35 (62.5%) | 149 (63.7%) | n.s. |
| subtotal | 28 (45.2%) | 78 (34.2%) | 21 (37.5%) | 85 (36.3%) | |||
| Location | cardia | 17 (27.4%) | 81 (35.5%) | n.s. | 19 (33.9%) | 79 (33.8%) | n.s. |
| distal | 45 (75.6%) | 147 (64.5%) | 37 (66.1%) | 155 (66.2%) | |||
| Lauren classification | intestinal | 48 (77.4%) | 111 (48.7%) | 0.0003 | 41 (73.2%) | 118 (50.4%) | 0.0086 |
| diffuse | 11 (17.7%) | 96 (42.1%) | 13 (23.2%) | 94 (40.2%) | |||
| mixed | 3 (4.8%) | 21 (9.2%) | 2 (3.6%) | 22 (9.4%) | |||
| Resection margin | R0 | 55 (88.7%) | 167 (73.2%) | 0.0174 | 49 (87.5%) | 173 (73.9%) | 0.0480 |
| R1 | 7 (11.3%) | 61 (26.8%) | 7 (12.5%) | 61 (26.1%) | |||
| Perineural invasion | present | 10 (16.1%) | 71 (31.1%) | 0.0295 | 9 (16.1%) | 72 (30.8%) | 0.0417 |
| absent | 52 (83.9%) | 157 (68.9%) | 47 (83.9%) | 162 (69.2%) | |||
| Lymphovascular invasion | present | 28 (45.2%) | 151 (66.2%) | 0.0032 | 28 (50.0%) | 151 (64.5%) | 0.0481 |
| absent | 34 (54.8%) | 77 (33.8%) | 28 (50.0%) | 83 (35.5%) | |||
| pT | I–II | 22 (35.5%) | 25 (11.0%) | <0.0001 | 38 (67.9%) | 29 (12.4%) | <0.0001 |
| III–IV | 40 (64.5%) | 203 (89.0%) | 18 (32.1%) | 205 (87.4%) | |||
| Tumor differentiation | well | 5 (8.1%) | 1 (0.4%) | <0.0001 | 4 (7.1%) | 2 (0.9%) | <0.0001 |
| moderate | 30 (48.4%) | 62 (27.2%) | 30 (53.6%) | 62 (26.5%) | |||
| poor | 27 (43.5%) | 165 (72.4%) | 22 (39.3%) | 170 (72.6%) | |||
| UICC Stage | I–II | 42 (67.7%) | 80 (35.1%) | <0.0001 | 27 (48.2%) | 95 (40.6%) | n.s. |
| III–IV | 20 (32.3%) | 148 (64.9%) | 29 (51.8%) | 139 (59.4%) | |||
| Lymph node metastasis (pN) | present | 31 (50%) | 179 (78.5%) | <0.0001 | 36 (64.3%) | 174 (74.4%) | n.s. |
| absent | 31 (50%) | 49 (21.5%) | 20 (35.7%) | 60 (25.6%) | |||
| Distant metastasis (pM) | M0 | 61 (98.4%) | 212 (93.0%) | n.s. | 52 (92.9%) | 221 (94.4%) | n.s. |
| M1 | 1 (1.6%) | 16 (7.0%) | 4 (7.1%) | 13 (5.6%) | |||
| Parameter | Total Cohort—Overall Survival | Total Cohort—Disease Free Survival | |||||||
|---|---|---|---|---|---|---|---|---|---|
| Univariable | Multivariable | Univariable | Multivariable | ||||||
| HR (95% CI) | p | HR (95% CI) | p | HR (95% CI) | p | HR (95% CI) | p | ||
| TB | low/high | 2.3 (1.5–3.3) | <0.0001 | 1.65 (1.11–2.45) | 0.014 | 2 (1.4–2.8) | 0.0003 | n.s. | n.s. |
| PDC | low/high | 1.4 (0.99–2) | 0.058 | n.s. | n.s. | 1.2 (0.85–1.7) | 0.3 | n.s. | n.s. |
| Sex | M/F | 0.72 (0.54–0.96) | 0.025 | 0.72 (0.54–0.96) | 0.023 | 0.8 (0.61–1.1) | 0.12 | n.s. | n.s. |
| Age | years | 1 (0.99–1) | 0.41 | 1.02 (1.00–1.03) | 0.009 | 1 (0.99–1) | 0.94 | n.s. | n.s. |
| pT | I–II/ III–IV | 2.6 (1.7–4) | <0.0001 | n.s. | n.s. | 2.7 (1.8–4.1) | <0.0001 | n.s. | n.s. |
| pN | pN0/pN+ | 3 (2.1–4.2) | <0.0001 | 2.79 (1.96–3.96) | <0.0001 | 2.9 (2.1–4) | <0.0001 | 2.73 (1.96–3.79) | <0.0001 |
| pM | pM0/pM1 | 2.1 (1.3–3.6) | 0.036 | n.s. | n.s. | 2.6 (1.6–4.2) | 0.0002 | 2.05 (1.24–3.39) | 0.005 |
| Lauren-type | intestinal/ other | 1.1 (0.93–1.4) | 0.23 | n.s. | n.s. | 1.1 (0.91–1.3) | 0.33 | n.s. | n.s. |
| Grade | G1/G2/G3 | 1.2 (0.93–1.6) | 0.16 | n.s. | n.s. | 1.2 (0.89–1.5) | 0.29 | n.s. | n.s. |
| Residual tumor | absent/ present | 2 (1.5–2.8) | <0.0001 | 1.84 (1.33–2.54) | 0.0002 | 1.9 (1.4–2.6) | <0.0001 | 1.65 (1.21–2.27) | 0.002 |
| Lymphovascular invasion | absent/ present | 2.1 (1.6–2.8) | <0.0001 | n.s. | n.s. | 2.1 (1.6–2.7) | <0.0001 | n.s. | n.s. |
| Perineural invasion | absent/ present | 1.5 (1.1–1.9) | 0.011 | n.s. | n.s. | 1.5 (1.1–2) | 0.0035 | n.s. | n.s. |
| Parameter | Intestinal Type—Overall Survival | Intestinal Type—Disease Free Survival | |||||||
|---|---|---|---|---|---|---|---|---|---|
| Univariable | Multivariable | Univariable | Multivariable | ||||||
| HR (95% CI) | p | HR (95% CI) | p | HR (95% CI) | p | HR (95% CI) | p | ||
| TB | low/high | 2.5 (1.6–4.1) | 0.0001 | 1.99 (1.23–3.22) | 0.005 | 2 (1.3–3.2) | 0.0016 | n.s. | n.s. |
| PDC | low/high | 1.3 (0.84–2) | 0.24 | n.s. | n.s. | 1.1 (0.7–1.6) | 0.78 | n.s. | n.s. |
| Sex | M/F | 0.67 (0.44–1) | 0.058 | n.s. | n.s. | 0.82 (0.55–1.2) | 0.34 | n.s. | n.s. |
| Age | years | 0.99 (0.98–1) | 0.59 | n.s. | n.s. | 0.98 (0.96–1) | 0.07 | n.s. | n.s. |
| pT | I–II/ III–IV | 1.7 (1–2.8) | 0.034 | n.s. | n.s. | 1.8 (1.1–2.9) | 0.013 | n.s. | n.s. |
| pN | pN0/pN+ | 2.6 (1.7–4) | <0.0001 | 2.40 (1.57–3.66) | <0.0001 | 2.4 (1.6–3.6) | <0.0001 | 2.46 (1.65–3.66) | <0.0001 |
| pM | pM0/pM1 | 2.9 (1.3–6.2) | 0.007 | n.s. | n.s. | 2.3 (1.1–5.1) | 0.03 | n.s. | n.s. |
| Grade | G1/G2/G3 | 1 (0.71–1.4) | 0.96 | n.s. | n.s. | 0.96 (0.69–1.3) | 0.8 | n.s. | n.s. |
| Residual tumor | absent/ present | 2.2 (1.4–3.4) | 0.001 | 2.04 (1.28–3.26) | 0.0028 | 2 (1.2–3.1) | 0.0035 | 2.08 (1.31–3.30) | 0.0018 |
| Lymphovascular invasion | absent/ present | 2.2 (1.5–3.3) | <0.0001 | n.s. | n.s. | 2.1 (1.5–3.1) | <0.0001 | n.s. | n.s. |
| Perineural invasion | absent/ present | 1.8 (1.2–2.8) | 0.006 | n.s. | n.s. | 1.9 (1.2–2.8) | 0.0031 | n.s. | n.s. |
| Parameter | Total Cohort | Intestinal Type | |||||||
|---|---|---|---|---|---|---|---|---|---|
| Univariable | Multivariable | Univariable | Multivariable | ||||||
| OR (95% CI) | p | OR (95% CI) | p | OR (95% CI) | p | OR (95% CI) | p | ||
| TB | low/high | 3.65 (2.03–6.62) | <0.0001 | 2.86 (1.20–6.88) | 0.019 | 2.36 (1.18–4.76) | 0.015 | 2.78 (1.07–7.52) | 0.038 |
| PDC | low/high | 1.61 (0.86–2.98) | 0.132 | 0.37 (0.13–0.99) | 0.057 | 0.94 (0.44–1.94) | 0.860 | n.s. | 0.075 |
| Sex | M/F | 1.12 (0.66–1.93) | 0.68 | n.s. | n.s. | 1.25 (0.62–2.60) | 0.534 | n.s. | n.s. |
| Age | years | 0.98 (0.95–1.00) | 0.051 | n.s. | n.s. | 0.96 (0.92–0.99) | 0.009 | 0.96 (0.92–0.99) | 0.036 |
| pT | I–II/ III–IV | 14.80 (7.20–32.65) | <0.0001 | 7.19 (3.09–17.75) | <0.0001 | 7.58 (3.24–19.49) | <0.0001 | 4.34 (1.65–12.32) | 0.004 |
| pM | pM0/pM1 | 6.52 (1.30–118.59) | 0.071 | n.s. | n.s. | 3.81 (0.63–72.85) | 0.221 | n.s. | n.s. |
| Lauren-type | intestinal/ other | 2.23 (1.42–3.63) | 0.0008 | n.s. | n.s. | n.i. | - | n.i. | - |
| Grade | G1/G2/G3 | 3.23 (1.99–5.35) | <0.0001 | n.s. | n.s. | 2.02 (1.13–3.69) | 0.019 | n.s. | n.s. |
| Residual tumor | absent/ present | 2.67 (1.34–5.83) | 0.008 | n.s. | n.s. | 1.53 (0.66–3.75) | 0.334 | n.s. | n.s. |
| Lymphovascular invasion | absent/ present | 11.32 (6.24–21.42) | <0.0001 | 6.09 (3.10–12.30) | <0.0001 | 7.56 (3.70–16.23) | <0.0001 | 5.11 (2.30–12.02) | <0.0001 |
| Perineural invasion | absent/ present | 2.21 (1.19–4.35) | 0.016 | n.s. | n.s. | 3.11 (1.37–7.75) | 0.009 | n.s. | n.s. |
Publisher’s Note: MDPI stays neutral with regard to jurisdictional claims in published maps and institutional affiliations. |
© 2022 by the authors. Licensee MDPI, Basel, Switzerland. This article is an open access article distributed under the terms and conditions of the Creative Commons Attribution (CC BY) license (https://creativecommons.org/licenses/by/4.0/).
Share and Cite
Szalai, L.; Jakab, Á.; Kocsmár, I.; Szirtes, I.; Kenessey, I.; Szijártó, A.; Schaff, Z.; Kiss, A.; Lotz, G.; Kocsmár, É. Prognostic Ability of Tumor Budding Outperforms Poorly Differentiated Clusters in Gastric Cancer. Cancers 2022, 14, 4731. https://doi.org/10.3390/cancers14194731
Szalai L, Jakab Á, Kocsmár I, Szirtes I, Kenessey I, Szijártó A, Schaff Z, Kiss A, Lotz G, Kocsmár É. Prognostic Ability of Tumor Budding Outperforms Poorly Differentiated Clusters in Gastric Cancer. Cancers. 2022; 14(19):4731. https://doi.org/10.3390/cancers14194731
Chicago/Turabian StyleSzalai, Luca, Ákos Jakab, Ildikó Kocsmár, Ildikó Szirtes, István Kenessey, Attila Szijártó, Zsuzsa Schaff, András Kiss, Gábor Lotz, and Éva Kocsmár. 2022. "Prognostic Ability of Tumor Budding Outperforms Poorly Differentiated Clusters in Gastric Cancer" Cancers 14, no. 19: 4731. https://doi.org/10.3390/cancers14194731
APA StyleSzalai, L., Jakab, Á., Kocsmár, I., Szirtes, I., Kenessey, I., Szijártó, A., Schaff, Z., Kiss, A., Lotz, G., & Kocsmár, É. (2022). Prognostic Ability of Tumor Budding Outperforms Poorly Differentiated Clusters in Gastric Cancer. Cancers, 14(19), 4731. https://doi.org/10.3390/cancers14194731

