Palliative Efficacy of High-Dose Stereotactic Body Radiotherapy Versus Conventional Radiotherapy for Painful Non-Spine Bone Metastases: A Propensity Score-Matched Analysis
Abstract
:Simple Summary
Abstract
1. Introduction
2. Materials and Methods
2.1. Patients
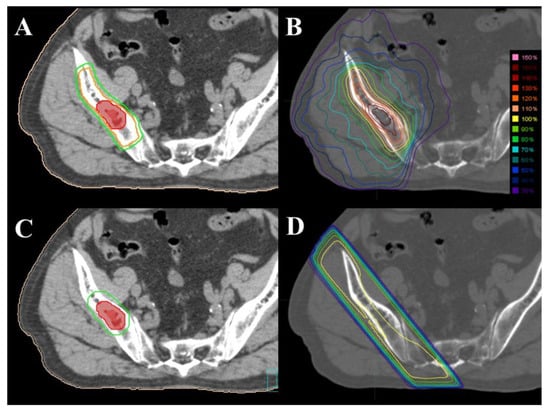
2.2. Stereotactic Body Radiotherapy
2.3. Conventional External Beam Radiotherapy
2.4. Endpoints
2.5. Evaluation
2.6. PSM Analysis
2.7. Statistical Analysis
3. Results
3.1. Baseline Patient Characteristics
3.2. Patient Characteristics in the PSM Cohort
3.3. Treatment Efficacy in the PSM Cohort
3.4. AEs in the PSM Cohort
4. Discussion
5. Conclusions
Author Contributions
Funding
Institutional Review Board Statement
Informed Consent Statement
Data Availability Statement
Conflicts of Interest
References
- Coleman, R.E. Clinical features of metastatic bone disease and risk of skeletal morbidity. Clin. Cancer. Res. 2006, 12, 6243s–6249s. [Google Scholar] [CrossRef] [PubMed] [Green Version]
- Smith, H.S. Painful osseous metastases. Pain Phys. 2011, 14, E373–E403. [Google Scholar] [CrossRef] [PubMed]
- Bruera, E.D.; Portenoy, R.K. Cancer Pain: Assessment and Management; Cambridge University Press: New York, NY, USA, 2003; pp. 413–428. [Google Scholar]
- Lutz, S.; Balboni, T.; Jones, J.; Lo., S.; Petit, J.; Rich, S.E.; Wong, R.; Hahn, C. Palliative radiation therapy for bone metastases: Update of an ASTRO Evidence-Based Guideline. Pract. Radiat. Oncol. 2017, 7, 4–12. [Google Scholar] [CrossRef] [Green Version]
- Rich, S.E.; Chow, R.; Raman, S.; Liang Zeng, K.; Lutz, S.; Lam, H.; Silva, M.F.; Chow, E. Update of the systematic review of palliative radiation therapy fractionation for bone metastases. Radiother. Oncol. 2018, 126, 547–557. [Google Scholar] [CrossRef]
- Bone Pain Trial Working Party. 8 Gy single fraction radiotherapy for the treatment of metastatic skeletal pain: Randomised comparison with a multifraction schedule over 12 months of patient follow-up. Radiother. Oncol. 1999, 52, 111–121. [Google Scholar] [CrossRef]
- Katagiri, M.; Takahash, M.; Inagaki, J.; Kobayashi, H.; Sugiura, H.; Yamamura, S.; Iwata, H. Clinical results of nonsurgical treatment for spinal metastases. Int. J. Radiat. Oncol. Biol. Phys. 1998, 42, 1127–1132. [Google Scholar] [CrossRef]
- Husain, Z.A.; Sahgal, A.; De Salles, A.; Funaro, M.; Glover, J.; Hayashi, M.; Hiraoka, M.; Levivier, M.; Ma, L.; Martínez-Alvarez, R.; et al. Stereotactic body radiotherapy for de novo spinal metastases: Systematic review. J. Neurosurg. Spine 2017, 27, 295–302. [Google Scholar] [CrossRef] [Green Version]
- Bedard, G.; McDonald, R.; Poon, I.; Erler, D.; Soliman, H.; Cheung, P.; Chung, H.; Chu, W.; Loblaw, A.; Chow, E.; et al. Stereotactic body radiation therapy for non-spine bone metastases-a review of the literature. Ann. Palliat. Med. 2016, 5, 58–66. [Google Scholar]
- Nguyen, Q.N.; Chun, S.G.; Chow, E.; Komaki, R.; Liao, Z.; Zacharia, R.; Szeto, B.K.; Welsh, J.W.; Hahn, S.M.; Fuller, C.D.; et al. Single-fraction stereotactic vs. conventional multifraction radiotherapy for pain relief in patients with predominantly nonspine bone metastases: A randomized phase 2 trial. JAMA Oncol. 2019, 5, 872–878. [Google Scholar] [CrossRef] [Green Version]
- Ito, K.; Nakajima, Y.; Onoe, T.; Ogawa, H.; Harada, H.; Saito, M.; Karasawa, K. Phase 2 Clinical Trial of Stereotactic Body Radiation Therapy for Painful Nonspine Bone Metastases. Pract. Radiat. Oncol. 2021, 11, e139–e145. [Google Scholar] [CrossRef]
- Ito, K.; Shimizuguchi, T.; Nihei, K.; Furuya, T.; Ogawa, H.; Tanaka, H.; Sasai, K.; Karasawa, K. Patterns of Intraosseous Recurrence After Stereotactic Body Radiation Therapy for Coxal Bone Metastasis. Int. J. Radiat. Oncol. Biol. Phys. 2018, 100, 159–161. [Google Scholar] [CrossRef] [PubMed]
- Chow, E.; Hoskin, P.; Mitera, G.; Zeng, L.; Lutz, S.; Roos, D.; Hahn, C.; van der Linden, Y.; Hartsell, W.; Kumar, E. Update of the international consensus on palliative radiotherapy endpoints for future clinical trials in bone metastases. Int. J. Radiat. Oncol. Biol. Phys. 2012, 82, 1730–1737. [Google Scholar] [CrossRef] [PubMed]
- Thibault, I.; Chang, E.L.; Sheehan, J.; Ahluwalia, M.S.; Guckenberger, M.; Sohn, M.J.; Ryu, S.; Foote, M.; Lo, S.S.; Muacevic, A.; et al. Response assessment after stereotactic body radiotherapy for spinal metastasis: A report from the SPIne response assessment in Neuro-Oncology (SPINO) group. Lancet Oncol. 2015, 16, e595–e603. [Google Scholar] [CrossRef]
- Department of Health and Human Services: Common Terminology Criteria for Adverse Events (CTCAE) Version 5.0. Available online: https://ctep.cancer.gov/protocolDevelopment/electronic_applications/docs/CTCAE_v5_Quick_Reference_5x7.pdf (accessed on 1 June 2022).
- Steenland, E.; Leer, J.W.; van Houwelingen, H.; Post, W.J.; van den Hout, W.B.; Kievit, J.; de Haes, H.; Martijn, H.; Oei, B.; Vonk, E.; et al. The effect of a single fraction compared to multiple fractions on painful bone metastases: A global analysis of the Dutch Bone Metastasis Study. Radiother. Oncol. 1999, 52, 101–109. [Google Scholar] [CrossRef]
- Ito, K.; Ogawa, H.; Shimizuguchi, T.; Nihei, K.; Furuya, T.; Tanaka, H.; Karasawa, K. Stereotactic Body Radiotherapy for Spinal Metastases: Clinical Experience in 134 Cases From a Single Japanese Institution. Technol. Cancer Res. Treat. 2018, 17, 1533033818806472. [Google Scholar] [CrossRef]
- Sellin, J.N.; Reichardt, W.; Bishop, A.J.; Suki, D.; Rhines, L.D.; Settle, S.H.; Brown, P.D.; Li, J.; Rao, G.; Chang, E.L.; et al. Factors affecting survival in 37 consecutive patients undergoing de novo stereotactic radiosurgery for contiguous sites of vertebral body metastasis from renal cell carcinoma. J. Neurosurg. Spine. 2015, 22, 52–59. [Google Scholar] [CrossRef] [Green Version]
- Chow, E.; van der Linden, Y.M.; Roos, D.; Hartsell, W.F.; Hoskin, P.; Wu, J.S.; Brundage, M.D.; Nabid, A.; Tissing-Tan, C.J.; Oei, B.; et al. Single versus multiple fractions of repeat radiation for painful bone metastases: A randomised, controlled, non-inferiority trial. Lancet Oncol. 2014, 15, 164–171. [Google Scholar] [CrossRef]
- Sekhon, J.S. Multivariate and propensity score matching software with automated balance Optimization: The matching package for R. J. Stat. Soft. 2011, 42, 1–52. [Google Scholar] [CrossRef] [Green Version]
- Kanda, Y. Investigation of the freely available easy-to-use software ‘EZR’ for medical statistics. Bone Marrow Transplant. 2013, 48, 452–458. [Google Scholar] [CrossRef] [Green Version]
- Sahgal, A.; Myrehaug, S.D.; Siva, S.; Masucci, G.L.; Maralani, P.J.; Brundage, M.; Butler, J.; Chow, E.; Fehlings, M.G.; Foote, M.; et al. Stereotactic body radiotherapy versus conventional external beam radiotherapy in patients with painful spinal metastases: An open-label, multicentre, randomised, controlled, phase 2/3 trial. Lancet Oncol. 2021, 22, 1023–1033. [Google Scholar] [CrossRef]
- Berwouts, D.; De Wolf, K.; Lambert, B.; Bultijnck, R.; De Neve, W.; De Lobel, L.; Jans, L.; Goetghebeur, E.; Speleers, B.; Olteanu, L.A.; et al. Biological 18[F]-FDG-PET Image-Guided Dose Painting by Numbers for Painful Uncomplicated Bone Metastases: A 3-Arm Randomized Phase II Trial. Radiother. Oncol. 2015, 115, 272–278. [Google Scholar] [CrossRef] [PubMed]
- Pielkenrood, B.J.; van der Velden, J.M.; van der Linden, Y.M.; Bartels, M.M.T.; Kasperts, N.; Verhoeff, J.J.C.; Eppinga, W.S.C.; Gal, R.; Verlaan, J.J.; Verkooijen, H.M.L. Pain Response after Stereotactic Body Radiation Therapy versus Conventional Radiation Therapy in Patients with Bone Metastases-A Phase 2 Randomized Controlled Trial within a Prospective Cohort. Int. J. Radiat. Oncol. Biol. Phys. 2021, 110, 358–367. [Google Scholar] [CrossRef] [PubMed]
- Ryu, S.; Deshmukh, S.; Timmerman, R.D.; Movsas, B.; Gerszten, P.C.; Yin, F.F.; Dicker, A.P.; Shiao, S.L.; Desai, A.B.; Mell, L.K.; et al. Radiosurgery Compared to External Beam Radiotherapy for Localized Spine Metastasis: Phase III Results of NRG Oncology/RTOG 0631. Int. J. Radiat. Oncol. Biol. Phys. 2019, 105, S2–S3. [Google Scholar] [CrossRef]
- Sakr, A.; Hashem, W.B.; Ebrahim, N.; Mashhour, K.N. Randomized Pilot Study of 20 Gy in 5 Fractions versus 27 Gy in 3 Fractions Radiotherapy for Treating Painful Bone Metastases: A Single Institution Experience. Asian Pac. J. Cancer Prev. 2020, 21, 1807–1811. [Google Scholar] [CrossRef]
- Sprave, T.; Verma, V.; Förster, R.; Schlampp, I.; Bruckner, T.; Bostel, T.; Welte, S.E.; Tonndorf-Martini, E.; Nicolay, N.H.; Debus, J.; et al. Randomized Phase II Trial Evaluating Pain Response in Patients with Spinal Metastases Following Stereotactic Body Radiotherapy versus Three-Dimensional Conformal Radiotherapy. Radiother. Oncol. 2018, 128, 274–282. [Google Scholar] [CrossRef] [Green Version]
- Ito, K.; Nakamura, N.; Shimizuguchi, T.; Ogawa, H.; Karasawa, K. Appropriate endpoints for stereotactic body radiotherapy for bone metastasis: Classification into five treatment groups. Rep. Pract. Oncol. Radiother. 2020, 25, 150–153. [Google Scholar] [CrossRef]
- Singh, R.; Lehrer, E.J.; Dahshan, B.; Palmer, J.D.; Sahgal, A.; Gerszten, P.C.; Zaorsky, N.G.; Trifiletti, D.M. Single fraction radiosurgery, fractionated radiosurgery, and conventional radiotherapy for spinal oligometastasis (SAFFRON): A systematic review and meta-analysis. Radiother. Oncol. 2020, 146, 76–89. [Google Scholar] [CrossRef]
- Soltys, S.G.; Grimm, J.; Milano, M.T.; Xue, J.; Sahgal, A.; Yorke, E.; Yamada, Y.; Ding, G.X.; Li, X.A.; Lovelock, D.M.; et al. Stereotactic body radiation therapy for spinal metastases: Tumor control probability analyses and recommended reporting standards. Int. J. Radiat. Oncol. Biol. Phys. 2021, 110, 112–123. [Google Scholar] [CrossRef]
- Salazar, O.M.; Sandhu, T.; da Motta, N.W.; Escutia, M.A.; Lanzós-Gonzales, E.; Mouelle-Sone, A.; Moscol, A.; Zaharia, M.; Zaman, S. Fractionated half-body irradiation (HBI) for the rapid palliation of widespread, symptomatic, metastatic bone disease: A randomized Phase III trial of the International Atomic Energy Agency (IAEA). Int. J. Radiat. Oncol. Biol. Phys. 2001, 50, 765–775. [Google Scholar] [CrossRef]
- Berg, R.S.; Yilmaz, M.K.; Høyer, M.; Keldsen, N.; Nielsen, O.S.; Ewertz, M. Half body irradiation of patients with multiple bone metastases: A phase II trial. Acta. Oncol. 2009, 48, 556–561. [Google Scholar] [CrossRef]
- Gerszten, P.C.; Burton, S.A.; Ozhasoglu, C.; Welch, W.C. Radiosurgery for spinal metastases: Clinical experience in 500 cases from a single institution. Spine 2007, 32, 193–199. [Google Scholar] [CrossRef] [PubMed]
- Higham, C.E.; Faithfull, S. Bone health and pelvic radiotherapy. Clin. Oncol. (R. Coll. Radiol.) 2015, 27, 668–678. [Google Scholar] [CrossRef] [PubMed]
- Murata, S.; Minamide, A.; Iwasaki, H.; Nakagawa, Y.; Hashizume, H.; Yukawa, Y.; Tsutsui, S.; Takami, M.; Okada, M.; Nagata, K.; et al. Microendoscopic decompression for lumbosacral foraminal stenosis: A novel surgical strategy based on anatomical considerations using 3D image fusion with MRI/CT. J. Neurosurg. Spine 2020, 33, 1–7. [Google Scholar] [CrossRef] [PubMed]



| Characteristic | All Lesions | Matched Lesions | ||||
|---|---|---|---|---|---|---|
| SBRT Group (n = 129) | cEBRT Group (n = 105) | p-Value | SBRT Group (n = 89) | cEBRT Group (n = 81) | p-Value | |
| Sex Male/Female | 84/45 | 65/40 | 0.68 | 51/30 | 55/26 | 0.62 |
| Age, years Median (range) | 68 (28–85) | 67 (29–90) | 0.63 | 68 (28–85) | 67 (46–90) | 0.83 |
| ECOG performance status 0/1/2/3/4 | 56/60/9/3/1 | 20/50/20/12/3 | <0.001 | 25/44/8/3/1 | 20/47/9/4/1 | 0.39 |
| Primary malignancy Radioresistant tumor Colorectal Renal cell Sarcoma/osteosarcoma Thyroid Hepatocellular Melanoma Radiosensitive tumor Prostate Breast Other Lung Bladder Esophagus Uterus Head and Neck Others | 46 (35.7%) 11 22 7 3 1 2 22 (17.1) 15 7 61 (47.3) 34 2 0 9 5 11 | 26 (24.8%) 10 8 3 3 2 0 17 (16.2) 9 8 62 (59.0) 48 3 3 1 1 6 | 0.15 | 22 (27.2%) 4 11 6 0 1 0 16 (19.8) 10 6 43 (53.1) 27 1 0 5 2 8 | 23 (28.4%) 8 7 3 3 2 0 16 (19.8) 8 8 42 (51.9) 32 3 3 0 0 4 | 1.00 |
| Site treated * Coxal Rib Sternum Clavicle Scapula Limb (humerus/femur) Skull | 70 19 11 3 11 11 (4/7) 7 | 43 18 1 2 12 33 (5/28) 0 | <0.001 | 43 15 6 3 6 5 (3/2) 6 | 30 16 2 2 10 24 (5/19) 0 | <0.001 |
| Bone lesion Lytic/blastic/mixed | 68/19/42 | 53/32/20 | <0.01 | 40/11/30 | 44/20/17 | 0.047 |
| Pain score 2–4 (mild) 5–7 (moderate) 8–10 (severe) | 37 (28.7%) 52 (40.3) 40 (31.0) | 32 (30.5%) 41 (39.0) 32 (30.5) | 0.96 | 22 (27.2%) 35 (43.2) 24 (29.6) | 25 (30.9%) 33 (40.7) 23 (28.4) | 0.92 |
| Radiation history +/− | 31/98 | 21/84 | 0.53 | 18/63 | 16/65 | 0.85 |
| Radiation dose 8 Gy in 1 fx 20 Gy in 5 fx 30 Gy in 10 fx 24 Gy in 2 fx (with spine) 30 Gy in 5 fx 35 Gy in 5 fx | 0 0 0 7 22 100 | 29 20 56 0 0 0 | NA | 0 0 0 2 15 64 | 22 19 40 0 0 0 | NA |
| All Lesions, Number (%) | Matched Lesions, Number (%) | ||||||
|---|---|---|---|---|---|---|---|
| SBRT Group | cEBRT Group | p-Value | SBRT Group | cEBRT Group | p-Value | ||
| 1 month | Responders CR + PR | 93/121 (76.9) 41 + 52 | 54/92 (58.7) 27 + 27 | <0.01 | 58/75 (77.3) 26 + 32 | 45/73 (61.6) 23 + 22 | 0.049 |
| Non-responders PP + IR | 28/121 (23.1) 5 + 23 | 38/92 (41.3) 4 + 34 | 17/75 (22.7) 2 + 15 | 28/73 (38.4) 2 + 26 | |||
| 3 months | Responders CR + PR | 100/129 (77.5) 66 + 34 | 57/105 (54.3) 35 + 22 | <0.001 | 62/81 (76.5) 42 + 20 | 46/81 (56.8) 28 + 18 | 0.012 |
| Non-responders PP + IR | 29/129 (22.5) 10 + 19 | 48/105 (45.7) 9 + 39 | 19/81 (23.5) 4 + 15 | 35/81 (43.2) 8 + 27 | |||
| 6 months | Responders CR + PR | 70/98 (72.2) 53 + 17 | 24/50 (48.0) 17 + 7 | <0.01 | 44/58 (75.9) 33 + 11 | 21/42 (50.0) 15 + 6 | 0.011 |
| Non-responders PP + IR | 27/98 (27.8) 13 + 14 | 26/50 (52.0) 5 + 21 | 14/58 (24.1) 4 + 10 | 21/42 (50.0) 5 + 16 | |||
| SBRT Group (n = 81) | cEBRT Group (n = 81) | |||||
|---|---|---|---|---|---|---|
| Grade 2 | Grade 3 | Grade 4–5 | Grade 2 | Grade 3 | Grade 4–5 | |
| Acute phase Pain Nausea Dermatitis Oral mucositis Enterocolitis Fracture Total | 1 2 3 1 1 1 9 (11.1%) | 0 0 0 0 0 0 0 | 0 0 0 0 0 0 0 | 0 2 0 0 0 0 2 (2.5%) | 0 1 0 0 1 1 3 (3.7%) | 0 0 0 0 0 0 0 |
| Late phase Fracture Dermatitis Pneumonitis Hematuria Limb edema Total | 1 1 1 0 2 5 (6.2%) | 0 0 1 1 0 2 (2.5%) | 0 0 0 0 0 0 | 0 0 0 0 0 0 | 0 0 0 0 0 0 | 0 0 0 0 0 0 |
Publisher’s Note: MDPI stays neutral with regard to jurisdictional claims in published maps and institutional affiliations. |
© 2022 by the authors. Licensee MDPI, Basel, Switzerland. This article is an open access article distributed under the terms and conditions of the Creative Commons Attribution (CC BY) license (https://creativecommons.org/licenses/by/4.0/).
Share and Cite
Ito, K.; Taguchi, K.; Nakajima, Y.; Ogawa, H.; Murofushi, K.N. Palliative Efficacy of High-Dose Stereotactic Body Radiotherapy Versus Conventional Radiotherapy for Painful Non-Spine Bone Metastases: A Propensity Score-Matched Analysis. Cancers 2022, 14, 4014. https://doi.org/10.3390/cancers14164014
Ito K, Taguchi K, Nakajima Y, Ogawa H, Murofushi KN. Palliative Efficacy of High-Dose Stereotactic Body Radiotherapy Versus Conventional Radiotherapy for Painful Non-Spine Bone Metastases: A Propensity Score-Matched Analysis. Cancers. 2022; 14(16):4014. https://doi.org/10.3390/cancers14164014
Chicago/Turabian StyleIto, Kei, Kentaro Taguchi, Yujiro Nakajima, Hiroaki Ogawa, and Keiko Nemoto Murofushi. 2022. "Palliative Efficacy of High-Dose Stereotactic Body Radiotherapy Versus Conventional Radiotherapy for Painful Non-Spine Bone Metastases: A Propensity Score-Matched Analysis" Cancers 14, no. 16: 4014. https://doi.org/10.3390/cancers14164014
APA StyleIto, K., Taguchi, K., Nakajima, Y., Ogawa, H., & Murofushi, K. N. (2022). Palliative Efficacy of High-Dose Stereotactic Body Radiotherapy Versus Conventional Radiotherapy for Painful Non-Spine Bone Metastases: A Propensity Score-Matched Analysis. Cancers, 14(16), 4014. https://doi.org/10.3390/cancers14164014

