Patterns and Predictors of Cervical Lymph Node Metastasis in Parathyroid Carcinoma
Abstract
:Simple Summary
Abstract
1. Introduction
2. Materials and Methods
2.1. Subjects
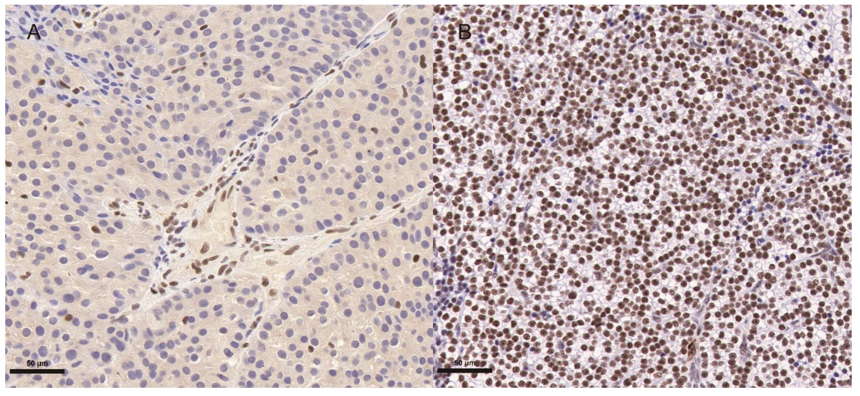
2.2. Immunohistochemical Staining and CDC73 Mutation Status
2.3. Statistical Analysis
3. Results
3.1. Clinical Characteristics of Patients with PC
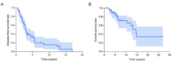
3.2. Factors Influencing DFS and OS Rates of PC Patients
3.3. Predictive Factors for Lymph Node Metastasis
4. Discussion
5. Conclusions
Author Contributions
Funding
Institutional Review Board Statement
Informed Consent Statement
Data Availability Statement
Conflicts of Interest
References
- Xue, S.; Chen, H.; Lv, C.; Shen, X.; Ding, J.; Liu, J.; Chen, X. Preoperative diagnosis and prognosis in 40 Parathyroid Carcinoma patients. Clin. Endocrinol. 2016, 85, 29–36. [Google Scholar] [CrossRef] [PubMed]
- Favia, G.; Lumachi, F.; Polistina, F.; D’Amico, D.F. Parathyroid carcinoma: Sixteen new cases and suggestions for correct management. World J. Surg. 1998, 22, 1225–1230. [Google Scholar] [CrossRef]
- Obara, T.; Fujimoto, Y. Diagnosis and treatment of patients with parathyroid carcinoma: An update and review. World J. Surg. 1991, 15, 738–744. [Google Scholar] [CrossRef] [PubMed]
- Cetani, F.; Pardi, E.; Marcocci, C. Parathyroid carcinoma. Front. Horm. Res. 2019, 51, 63–76. [Google Scholar] [CrossRef] [PubMed]
- Cetani, F.; Ambrogini, E.; Viacava, P.; Pardi, E.; Fanelli, G.; Naccarato, A.G.; Borsari, S.; Lemmi, M.; Berti, P.; Miccoli, P.; et al. Should parafibromin staining replace HRTP2 gene analysis as an additional tool for histologic diagnosis of parathyroid carcinoma? Eur. J. Endocrinol. 2007, 156, 547–554. [Google Scholar] [CrossRef]
- Lee, P.K.; Jarosek, S.L.; Virnig, B.A.; Evasovich, M.; Tuttle, T.M. Trends in the incidence and treatment of parathyroid cancer in the United States. Cancer-Am. Cancer Soc. 2007, 109, 1736–1741. [Google Scholar] [CrossRef]
- Brown, S.; O’Neill, C.; Suliburk, J.; Sidhu, S.; Sywak, M.; Gill, A.; Robinson, B.; Delbridge, L. Parathyroid carcinoma: Increasing incidence and changing presentation. ANZ J. Surg. 2011, 81, 528–532. [Google Scholar] [CrossRef]
- Ryhänen, E.M.; Leijon, H.; Metso, S.; Eloranta, E.; Korsoff, P.; Ahtiainen, P.; Kekäläinen, P.; Tamminen, M.; Ristamäki, R.; Knutar, O.; et al. A nationwide study on parathyroid carcinoma. Acta Oncol. 2017, 56, 991–1003. [Google Scholar] [CrossRef]
- Salcuni, A.S.; Cetani, F.; Guarnieri, V.; Nicastro, V.; Romagnoli, E.; de Martino, D.; Scillitani, A.; Cole, D.E.C. Parathyroid carcinoma. Best Pract. Res. Clin. Endocrinol. Metab. 2018, 32, 877–889. [Google Scholar] [CrossRef]
- Ippolito, G.; Palazzo, F.F.; Sebag, F.; De Micco, C.; Henry, J.F. Intraoperative diagnosis and treatment of parathyroid cancer and atypical parathyroid adenoma. Br. J. Surg. 2007, 94, 566–570. [Google Scholar] [CrossRef]
- Wang, P.; Xue, S.; Wang, S.; Lv, Z.; Meng, X.; Wang, G.; Meng, W.; Liu, J.; Chen, G. Clinical characteristics and treatment outcomes of parathyroid carcinoma: A retrospective review of 234 cases. Oncol. Lett. 2017, 14, 7276–7282. [Google Scholar] [CrossRef] [PubMed]
- Asare, E.A.; Sturgeon, C.; Winchester, D.J.; Liu, L.; Palis, B.; Perrier, N.D.; Evans, D.B.; Winchester, D.P.; Wang, T.S. Parathyroid Carcinoma: An Update on Treatment Outcomes and Prognostic Factors from the National Cancer Data Base (NCDB). Ann. Surg. Oncol. 2015, 22, 3990–3995. [Google Scholar] [CrossRef] [PubMed]
- Zhou, L.; Huang, Y.; Zeng, W.; Chen, S.; Zhou, W.; Wang, M.; Wei, W.; Zhang, C.; Huang, J.; Liu, Z.; et al. Surgical disparities of parathyroid carcinoma: Long-Term outcomes and deep excavation based on a large database. J. Oncol. 2021, 2021, 8898926. [Google Scholar] [CrossRef] [PubMed]
- Leonard-Murali, S.; Ivanics, T.; Kwon, D.S.; Han, X.; Steffes, C.P.; Shah, R. Local resection versus radical surgery for parathyroid carcinoma: A National Cancer Database analysis. Eur. J. Surg. Oncol. 2021, 47, 2768–2773. [Google Scholar] [CrossRef] [PubMed]
- Qian, B.; Qian, Y.; Hu, L.; Zhang, S.; Mei, L.; Qu, X. Prognostic analysis for patients with parathyroid carcinoma: A Population-Based study. Front. Neurosci. 2022, 16, 784599. [Google Scholar] [CrossRef]
- Medas, F.; Erdas, E.; Loi, G.; Podda, F.; Pisano, G.; Nicolosi, A.; Calò, P.G. Controversies in the management of parathyroid carcinoma: A case series and review of the literature. Int. J. Surg. 2016, 28, S94–S98. [Google Scholar] [CrossRef]
- Neill, C.J.; Chan, C.; Symons, J.; Learoyd, D.L.; Sidhu, S.B.; Delbridge, L.W.; Gill, A.; Sywak, M.S. Parathyroid Carcinoma Encountered After Minimally Invasive Focused Parathyroidectomy may not Require Further Radical Surgery. World J. Surg. 2011, 35, 147–153. [Google Scholar] [CrossRef]
- Hundahl, S.A.; Fleming, I.D.; Fremgen, A.M.; Menck, H.R. Two hundred eighty-six cases of parathyroid carcinoma treated in the U.S. Between 1985-1995: A National Cancer Data Base Report. The American College of Surgeons Commission on Cancer and the American Cancer Society. Cancer-Am. Cancer Soc. 1999, 86, 538–544. [Google Scholar] [CrossRef]
- Koea, J.B.; Shaw, J.H.F. Parathyroid cancer: Biology and management. Surg. Oncol. 1999, 8, 155–165. [Google Scholar] [CrossRef]
- Talat, N.; Schulte, K. Clinical presentation, staging and Long-Term evolution of parathyroid cancer. Ann. Surg. Oncol. 2010, 17, 2156–2174. [Google Scholar] [CrossRef]
- Wilhelm, S.M.; Wang, T.S.; Ruan, D.T.; Lee, J.A.; Asa, S.L.; Duh, Q.; Doherty, G.M.; Herrera, M.F.; Pasieka, J.L.; Perrier, N.D.; et al. The American association of endocrine surgeons guidelines for definitive management of primary hyperparathyroidism. JAMA Surg. 2016, 151, 959–968. [Google Scholar] [CrossRef] [PubMed]
- Lloyd, R.; Osamura, R.; Klöppel, G.; Rosai, J. WHO Classification of Tumours of Endocrine Organs; IARC Publications: Lyon, France, 2017. [Google Scholar]
- Schulte, K.; Gill, A.J.; Barczynski, M.; Karakas, E.; Miyauchi, A.; Knoefel, W.T.; Lombardi, C.P.; Talat, N.; Diaz-Cano, S.; Grant, C.S. Classification of parathyroid cancer. Ann. Surg. Oncol. 2012, 19, 2620–2628. [Google Scholar] [CrossRef] [PubMed]
- Hu, Y.; Bi, Y.; Cui, M.; Zhang, X.; Su, Z.; Wang, M.; Hua, S.; Liao, Q.; Zhao, Y. The influence of surgical extent and parafibromin staining on the outcome of parathyroid carcinoma: 20-Year experience from a single institute. Endocr. Pract. 2019, 25, 634–641. [Google Scholar] [CrossRef] [PubMed]
- Hu, Y.; Zhang, X.; Wang, O.; Bi, Y.; Xing, X.; Cui, M.; Wang, M.; Tao, W.; Liao, Q.; Zhao, Y. The genomic profile of parathyroid carcinoma based on whole-genome sequencing. Int. J. Cancer 2020, 147, 2446–2457. [Google Scholar] [CrossRef] [PubMed]
- Mao, X.; Wu, Y.; Yu, S.; Chen, J. Genetic alteration profiles and clinicopathological associations in atypical parathyroid adenoma. Int. J. Genom. 2021, 2021, 6666257. [Google Scholar] [CrossRef]
- Hu, Y.; Cui, M.; Bi, Y.; Zhang, X.; Wang, M.; Hua, S.; Liao, Q.; Zhao, Y. Immunocyte density in parathyroid carcinoma is correlated with disease relapse. J. Endocrinol. Investig. 2020, 43, 1453–1461. [Google Scholar] [CrossRef]
- Cetani, F.; Banti, C.; Pardi, E.; Borsari, S.; Viacava, P.; Miccoli, P.; Torregrossa, L.; Basolo, F.; Pelizzo, M.R.; Rugge, M.; et al. CDC73 mutational status and loss of parafibromin in the outcome of parathyroid cancer. Endocr. Connect. 2013, 2, 186–195. [Google Scholar] [CrossRef]
- Wei, B.; Zhao, T.; Shen, H.; Jin, M.; Zhou, Q.; Liu, X.; Wang, J.; Wang, Q. Extended En Bloc Reoperation for Recurrent or Persistent Parathyroid Carcinoma: Analysis of 31 Cases in a Single Institute Experience. Ann. Surg. Oncol. 2022, 29, 1208–1215. [Google Scholar] [CrossRef]
- Lenschow, C.; Schragle, S.; Kircher, S.; Lorenz, K.; Machens, A.; Dralle, H.; Riss, P.; Scheuba, C.; Pfestroff, A.; Spitzweg, C.; et al. Clinical presentation, treatment, and outcome of parathyroid carcinoma: Results of the NEKAR retrospective international multicenter study. Ann. Surg. 2022, 275, e479–e487. [Google Scholar] [CrossRef]
- Harari, A.; Waring, A.; Fernandez-Ranvier, G.; Hwang, J.; Suh, I.; Mitmaker, E.; Shen, W.; Gosnell, J.; Duh, Q.Y.; Clark, O. Parathyroid carcinoma: A 43-year outcome and survival analysis. J. Clin. Endocrinol. Metab. 2011, 96, 3679–3686. [Google Scholar] [CrossRef]
- Zhu, R.; Wang, Z.; Hu, Y. Prognostic role of parafibromin staining and CDC73 mutation in patients with parathyroid carcinoma: A systematic review and meta-analysis based on individual patient data. Clin. Endocrinol. 2020, 92, 295–302. [Google Scholar] [CrossRef] [PubMed]
- Howell, V.M.; Haven, C.J.; Kahnoski, K.; Khoo, S.K.; Petillo, D.; Chen, J.; Fleuren, G.J.; Robinson, B.G.; Delbridge, L.W.; Philips, J.; et al. HRPT2 mutations are associated with malignancy in sporadic parathyroid tumours. J. Med. Genet. 2003, 40, 657–663. [Google Scholar] [CrossRef] [PubMed]
- Shattuck, T.M.; Valimaki, S.; Obara, T.; Gaz, R.D.; Clark, O.H.; Shoback, D.; Wierman, M.E.; Tojo, K.; Robbins, C.M.; Carpten, J.D.; et al. Somatic and germ-line mutations of the HRPT2 gene in sporadic parathyroid carcinoma. N. Engl. J. Med. 2003, 349, 1722–1729. [Google Scholar] [CrossRef] [PubMed]
- Cetani, F.; Pardi, E.; Borsari, S.; Viacava, P.; Dipollina, G.; Cianferotti, L.; Ambrogini, E.; Gazzerro, E.; Colussi, G.; Berti, P.; et al. Genetic analyses of the HRPT2 gene in primary hyperparathyroidism: Germline and somatic mutations in familial and sporadic parathyroid tumors. J. Clin. Endocrinol. Metab. 2004, 89, 5583–5591. [Google Scholar] [CrossRef] [PubMed]
- Tan, M.H.; Morrison, C.; Wang, P.; Yang, X.; Haven, C.J.; Zhang, C.; Zhao, P.; Tretiakova, M.S.; Korpi-Hyovalti, E.; Burgess, J.R.; et al. Loss of parafibromin immunoreactivity is a distinguishing feature of parathyroid carcinoma. Clin. Cancer Res. 2004, 10, 6629–6637. [Google Scholar] [CrossRef]
- Hu, Y.; Liao, Q.; Cao, S.; Gao, X.; Zhao, Y. Diagnostic performance of parafibromin immunohistochemical staining for sporadic parathyroid carcinoma: A meta-analysis. Endocrine 2016, 54, 612–619. [Google Scholar] [CrossRef]
- Silva-Figueroa, A.M.; Bassett, R.J.; Christakis, I.; Moreno, P.; Clarke, C.N.; Busaidy, N.L.; Grubbs, E.G.; Lee, J.E.; Perrier, N.D.; Williams, M.D. Using a novel diagnostic nomogram to differentiate malignant from benign parathyroid neoplasms. Endocr. Pathol. 2019, 30, 285–296. [Google Scholar] [CrossRef]
- Witteveen, J.E.; Hamdy, N.A.; Dekkers, O.M.; Kievit, J.; van Wezel, T.; Teh, B.T.; Romijn, J.A.; Morreau, H. Downregulation of CASR expression and global loss of parafibromin staining are strong negative determinants of prognosis in parathyroid carcinoma. Mod. Pathol. 2011, 24, 688–697. [Google Scholar] [CrossRef]
- Iihara, M.; Okamoto, T.; Suzuki, R.; Kawamata, A.; Nishikawa, T.; Kobayashi, M.; Obara, T. Functional parathyroid carcinoma: Long-term treatment outcome and risk factor analysis. Surgery 2007, 142, 936–943. [Google Scholar] [CrossRef]
- Enomoto, K.; Uchino, S.; Ito, A.; Watanabe, S.; Shibuya, H.; Enomoto, Y.; Noguchi, S. The surgical strategy and the molecular analysis of patients with parathyroid cancer. World J. Surg. 2010, 34, 2604–2610. [Google Scholar] [CrossRef]
- Kim, J.; Horowitz, G.; Hong, M.; Orsini, M.; Asa, S.L.; Higgins, K. The dangers of parathyroid biopsy. J. Otolaryngol. Head Neck Surg. 2017, 46, 4. [Google Scholar] [CrossRef] [PubMed]
- Erickson, L.A.; Mete, O.; Juhlin, C.C.; Perren, A.; Gill, A.J. Overview of the 2022 WHO Classification of Parathyroid Tumors. Endocr. Pathol. 2022, 33, 64–89. [Google Scholar] [CrossRef] [PubMed]



| Characteristics | Value |
|---|---|
| Average age at diagnosis (years) | 42.5 ± 13.09 |
| Male:Female | 35:33 |
| Initial surgery performed at our institute | 39.7% |
| Serum calcium level before initial operation (mmol/L) (n = 60) | 3.57 ± 0.62 |
| Serum intact parathyroid hormone (pg/mL) level before initial operation (n = 57) | 1319.3 ± 776.4 |
| Hypercalcemic crisis (%) | 22.1% |
| Maximum diameter of initial focus (cm) (n = 63) | 3.25 ± 1.16 |
| Cystic tumors (%) (n =60) | 18.3% |
| CDC73 abnormalities (%) (n = 54) Parafibromin staining loss (%) (n = 50) CDC73 mutations (%) (n = 35) | 53.7% 52% 51.4% |
| Ki67 index ≥ 5% of initial tumor specimens (%) (n = 52) | 69.2% |
| Patients with a family history of hyperparathyroidism | 2 |
| Factors | Disease-Free Survival | Overall Survival | ||||
|---|---|---|---|---|---|---|
| Hazard Ratio | Confidence Interval | p Value | Hazard Ratio | Confidence Interval | p Value | |
| Age at diagnosis (years) | 1.00 | 0.98–1.02 | 0.997 | 1.03 | 0.99–1.06 | 0.152 |
| Male vs. Female | 1.06 | 0.57–1.98 | 0.851 | 1.24 | 0.47–3.29 | 0.665 |
| Cystic tumors (%) (n = 60) | 0.70 | 0.29–1.72 | 0.441 | 0.52 | 0.07–4.03 | 0.527 |
| Maximum diameter of initial tumor (n = 63) | 1.06 | 0.79–1.42 | 0.689 | 0.87 | 0.57–1.32 | 0.520 |
| Palpable mass in the neck (n = 63) | 0.98 | 0.50–1.91 | 0.946 | 0.60 | 0.21–1.70 | 0.335 |
| Serum iPTH at diagnosis (pg/mL) (n = 57) | 1.00 | 1.00–1.00 | 0.286 | 1.00 | 1.00–1.00 | 0.821 |
| Serum calcium level at diagnosis (n = 60) | 2.90 | 1.50–5.59 | 0.001 ** | 1.59 | 0.58–4.38 | 0.367 |
| Hypercalcemic crisis | 2.44 | 1.17–5.11 | 0.018 * | 1.53 | 0.53–4.37 | 0.431 |
| Extent of dissection (En bloc resection vs. local resection) | 0.88 | 0.45–1.71 | 0.707 | 2.66 | 0.96–7.36 | 0.060 |
| Schulte staging (high risk vs. low risk) (n = 60) | 1.79 | 0.80–3.97 | 0.155 | 4.84 | 1.52–15.35 | 0.007 ** |
| Lymph node dissection in first surgery (n = 36) | 0.40 | 0.15–1.08 | 0.072 | 2.89 | 0.54–15.63 | 0. 217 |
| CDC73 abnormalities (n = 54) | 3.53 | 1.64–7.63 | 0.001 ** | 2.73 | 0. 81–9.23 | 0.106 |
| Ki67 index ≥ 5% (n = 52) | 4.52 | 1.56–13.10 | 0.005 ** | 1.08 | 0.29–4.03 | 0.906 |
| Number of cumulative operations | 1.03 | 0.85–1.25 | 0.784 | |||
| Lymph node metastasis | 1.77 | 0.59–5.30 | 0.311 | |||
| Distant metastasis | 3.80 | 1.43–10.06 | 0.007 ** | |||
Publisher’s Note: MDPI stays neutral with regard to jurisdictional claims in published maps and institutional affiliations. |
© 2022 by the authors. Licensee MDPI, Basel, Switzerland. This article is an open access article distributed under the terms and conditions of the Creative Commons Attribution (CC BY) license (https://creativecommons.org/licenses/by/4.0/).
Share and Cite
Hu, Y.; Cui, M.; Chang, X.; Wang, O.; Chen, T.; Xiao, J.; Wang, M.; Hua, S.; Liao, Q. Patterns and Predictors of Cervical Lymph Node Metastasis in Parathyroid Carcinoma. Cancers 2022, 14, 4004. https://doi.org/10.3390/cancers14164004
Hu Y, Cui M, Chang X, Wang O, Chen T, Xiao J, Wang M, Hua S, Liao Q. Patterns and Predictors of Cervical Lymph Node Metastasis in Parathyroid Carcinoma. Cancers. 2022; 14(16):4004. https://doi.org/10.3390/cancers14164004
Chicago/Turabian StyleHu, Ya, Ming Cui, Xiaoyan Chang, Ou Wang, Tianqi Chen, Jinheng Xiao, Mengyi Wang, Surong Hua, and Quan Liao. 2022. "Patterns and Predictors of Cervical Lymph Node Metastasis in Parathyroid Carcinoma" Cancers 14, no. 16: 4004. https://doi.org/10.3390/cancers14164004
APA StyleHu, Y., Cui, M., Chang, X., Wang, O., Chen, T., Xiao, J., Wang, M., Hua, S., & Liao, Q. (2022). Patterns and Predictors of Cervical Lymph Node Metastasis in Parathyroid Carcinoma. Cancers, 14(16), 4004. https://doi.org/10.3390/cancers14164004

