ICOSeg: Real-Time ICOS Protein Expression Segmentation from Immunohistochemistry Slides Using a Lightweight Conv-Transformer Network
Abstract
:Simple Summary
Abstract
1. Introduction
- We propose an efficient, lightweight segmentation method called ICOSeg in segmenting ICOS positive cells that combines the CNN and transformer as a feature extractor with a lower latency rate. The proposed model extracts the local spatial features through CNN, and global representation learned using transformer block;
- We use the channel attention mechanism in the final encoder layer that enables the network to extract rich features and discriminate between the targeted cell’s structure and background pixels;
- We perform extensive experiments incorporating ablation studies and employ four pixel-wise evaluation metrics (i.e., Dice coefficient, aggregated Jaccard index, sensitivity, and specificity) that confirm the effectiveness of the proposed method;
- Experimental results confirm that ICOSeg efficiently outperforms several state-of-the-art methods (i.e., U-Net, Attention U-Net, FCN, DeepLabv3+, U-Net++, and Efficient U-Net) with lower trainable parameters.
2. Methods
2.1. ICOSeg Architecture
2.2. Loss Function
3. Experimental Results and Discussion
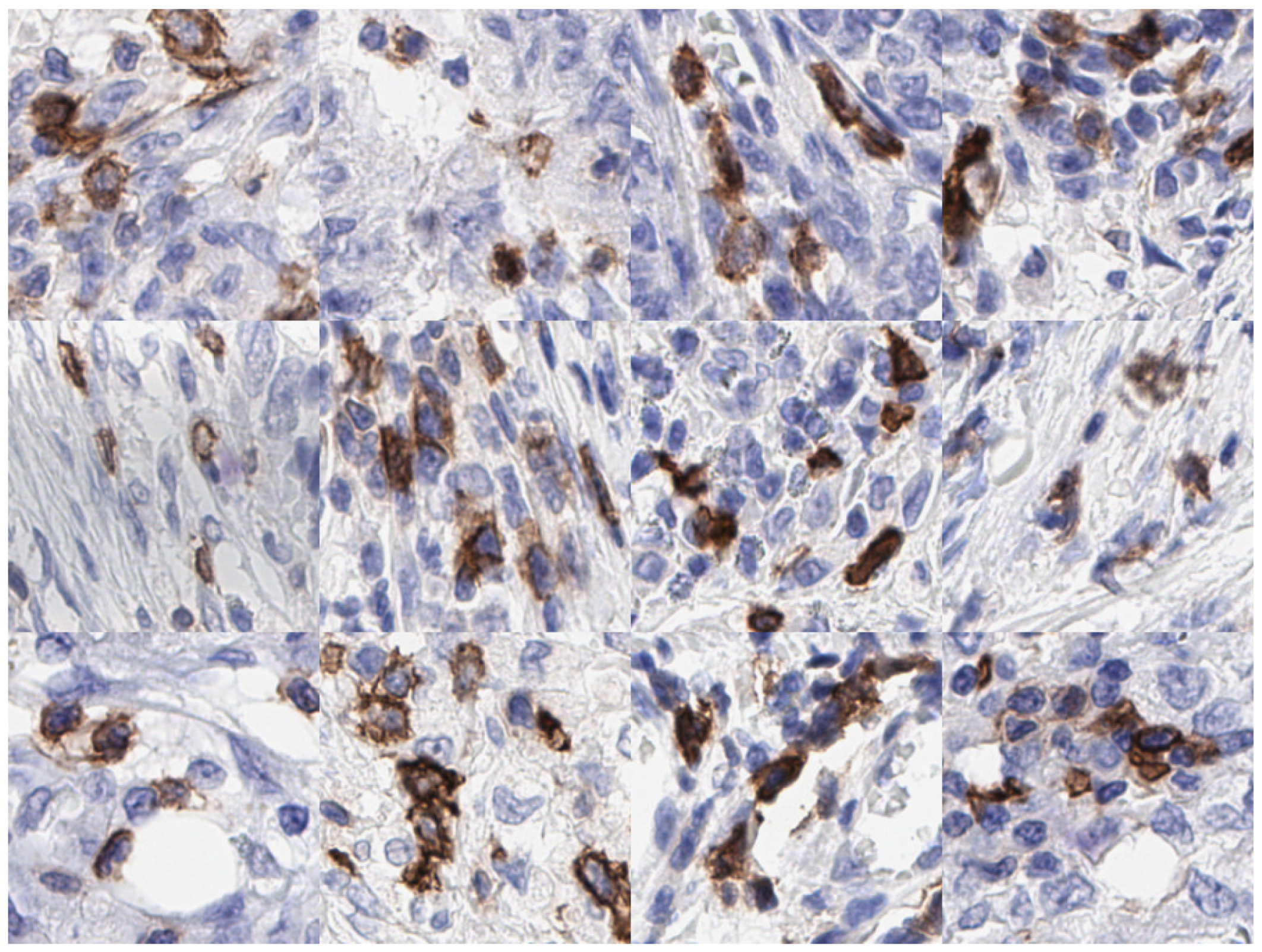
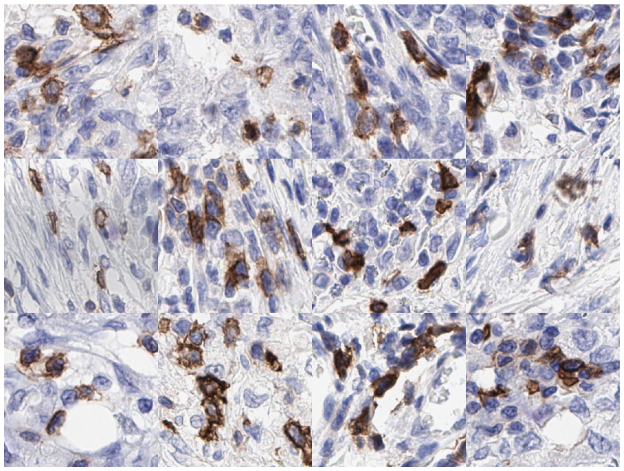
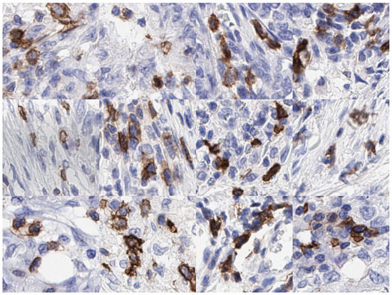
3.1. Dataset
3.2. Training Details
3.3. Evaluation Metrics
3.4. Results
3.4.1. Effect of Attention Block
3.4.2. Effect of the Loss Function
3.4.3. State-of-the-Art Result Comparison
3.4.4. Qualitative Evaluation
3.5. Limitation
4. Conclusions
Author Contributions
Funding
Institutional Review Board Statement
Informed Consent Statement
Data Availability Statement
Acknowledgments
Conflicts of Interest
References
- Sung, H.; Ferlay, J.; Siegel, R.L.; Laversanne, M.; Soerjomataram, I.; Jemal, A.; Bray, F. Global cancer statistics 2020: GLOBOCAN estimates of incidence and mortality worldwide for 36 cancers in 185 countries. CA Cancer J. Clin. 2021, 71, 209–249. [Google Scholar] [CrossRef] [PubMed]
- Sveen, A.; Kopetz, S.; Lothe, R.A. Biomarker-guided therapy for colorectal cancer: Strength in complexity. Nat. Rev. Clin. Oncol. 2020, 17, 11–32. [Google Scholar] [CrossRef] [PubMed]
- Li, K.; Luo, H.; Huang, L.; Luo, H.; Zhu, X. Microsatellite instability: A review of what the oncologist should know. Cancer Cell Int. 2020, 20, 1–13. [Google Scholar] [CrossRef] [PubMed]
- Humphries, M.P.; McQuaid, S.; Craig, S.G.; Bingham, V.; Maxwell, P.; Maurya, M.; McLean, F.; Sampson, J.; Higgins, P.; Greene, C.; et al. Critical appraisal of programmed death ligand 1 reflex diagnostic testing: Current standards and future opportunities. J. Thorac. Oncol. 2019, 14, 45–53. [Google Scholar] [CrossRef] [PubMed]
- Tan, W.C.C.; Nerurkar, S.N.; Cai, H.Y.; Ng, H.H.M.; Wu, D.; Wee, Y.T.F.; Lim, J.C.T.; Yeong, J.; Lim, T.K.H. Overview of multiplex immunohistochemistry/immunofluorescence techniques in the era of cancer immunotherapy. Cancer Commun. 2020, 40, 135–153. [Google Scholar] [CrossRef] [PubMed]
- Wilkinson, K.; Ng, W.; Roberts, T.L.; Becker, T.M.; Lim, S.H.S.; Chua, W.; Lee, C.S. Tumour immune microenvironment biomarkers predicting cytotoxic chemotherapy efficacy in colorectal cancer. J. Clin. Pathol. 2021, 74, 625–634. [Google Scholar] [CrossRef] [PubMed]
- Dagenborg, V.J.; Marshall, S.E.; Grzyb, K.; Fretland, Å.A.; Lund-Iversen, M.; Mælandsmo, G.M.; Ree, A.H.; Edwin, B.; Yaqub, S.; Flatmark, K. Low Concordance Between T-Cell Densities in Matched Primary Tumors and Liver Metastases in Microsatellite Stable Colorectal Cancer. Front. Oncol. 2021, 11, 1629. [Google Scholar] [CrossRef] [PubMed]
- Behling, F.; Schittenhelm, J. Tissue microarrays–translational biomarker research in the fast lane. Expert Rev. Mol. Diagn. 2018, 18, 833–835. [Google Scholar] [CrossRef] [PubMed]
- Storz, M.; Moch, H. Tissue microarrays and biomarker validation in molecular diagnostics. In Molecular Genetic Pathology; Springer: New York, NY, USA, 2013; pp. 455–463. [Google Scholar]
- Russo, J.; Sheriff, F.; Pogash, T.J.; Nguyen, T.; Santucci-Pereira, J.; Russo, I.H. Methodological Approach to Tissue Microarray for Studying the Normal and Cancerous Human Breast. In Techniques and Methodological Approaches in Breast Cancer Research; Springer: New York, NY, USA, 2014; pp. 103–118. [Google Scholar]
- Thallinger, G.G.; Baumgartner, K.; Pirklbauer, M.; Uray, M.; Pauritsch, E.; Mehes, G.; Buck, C.R.; Zatloukal, K.; Trajanoski, Z. TAMEE: Data management and analysis for tissue microarrays. BMC Bioinform. 2007, 8, 1–12. [Google Scholar] [CrossRef] [PubMed]
- Frøssing, L.; Hartvig Lindkaer Jensen, T.; Østrup Nielsen, J.; Hvidtfeldt, M.; Silberbrandt, A.; Parker, D.; Porsbjerg, C.; Backer, V. Automated cell differential count in sputum is feasible and comparable to manual cell count in identifying eosinophilia. J. Asthma 2022, 59, 552–560. [Google Scholar] [CrossRef] [PubMed]
- Dvanesh, V.D.; Lakshmi, P.S.; Reddy, K.; Vasavi, A.S. Blood cell count using digital image processing. In Proceedings of the 2018 International Conference on Current Trends towards Converging Technologies (ICCTCT), Tamil Nadu, India, 1–3 March 2018; pp. 1–7. [Google Scholar]
- Jagomast, T.; Idel, C.; Klapper, L.; Kuppler, P.; Proppe, L.; Beume, S.; Falougy, M.; Steller, D.; Hakim, S.; Offermann, A.; et al. Comparison of manual and automated digital image analysis systems for quantification of cellular protein expression. Histol. Histopathol. 2022, 37, 18434. [Google Scholar]
- Schiele, S.; Arndt, T.T.; Martin, B.; Miller, S.; Bauer, S.; Banner, B.M.; Brendel, E.M.; Schenkirsch, G.; Anthuber, M.; Huss, R.; et al. Deep learning prediction of metastasis in locally advanced colon cancer using binary histologic tumor images. Cancers 2021, 13, 2074. [Google Scholar] [CrossRef] [PubMed]
- Graham, S.; Jahanifar, M.; Vu, Q.D.; Hadjigeorghiou, G.; Leech, T.; Snead, D.; Raza, S.E.A.; Minhas, F.; Rajpoot, N. CoNIC: Colon Nuclei Identification and Counting Challenge 2022. arXiv 2021, arXiv:2111.14485. [Google Scholar]
- Budginaitė, E.; Morkūnas, M.; Laurinavičius, A.; Treigys, P. Deep learning model for cell nuclei segmentation and lymphocyte identification in whole slide histology images. Informatica 2021, 32, 23–40. [Google Scholar] [CrossRef]
- Vuong, T.L.T.; Lee, D.; Kwak, J.T.; Kim, K. Multi-task deep learning for colon cancer grading. In Proceedings of the IEEE 2020 International Conference on Electronics, Information, and Communication (ICEIC), Barcelona, Spain, 19–22 January 2020; pp. 1–2. [Google Scholar]
- Bilal, M.; Raza, S.E.A.; Azam, A.; Graham, S.; Ilyas, M.; Cree, I.A.; Snead, D.; Minhas, F.; Rajpoot, N.M. Novel deep learning algorithm predicts the status of molecular pathways and key mutations in colorectal cancer from routine histology images. medRxiv 2021. [Google Scholar] [CrossRef]
- Sarker, M.M.K.; Makhlouf, Y.; Craig, S.G.; Humphries, M.P.; Loughrey, M.; James, J.A.; Salto-Tellez, M.; O’Reilly, P.; Maxwell, P. A Means of Assessing Deep Learning-Based Detection of ICOS Protein Expression in Colon Cancer. Cancers 2021, 13, 3825. [Google Scholar] [CrossRef] [PubMed]
- Mehta, S.; Rastegari, M. Mobilevit: Light-weight, general-purpose, and mobile-friendly vision transformer. arXiv 2021, arXiv:2110.02178. [Google Scholar]
- Sandler, M.; Howard, A.; Zhu, M.; Zhmoginov, A.; Chen, L.C. Mobilenetv2: Inverted residuals and linear bottlenecks. In Proceedings of the IEEE Conference on Computer Vision and Pattern Recognition, Salt Lake City, UT, USA, 18–23 June 2018; pp. 4510–4520. [Google Scholar]
- Hu, J.; Shen, L.; Sun, G. Squeeze-and-excitation networks. In Proceedings of the IEEE Conference on Computer Vision and Pattern Recognition, Salt Lake City, UT, USA, 18–23 June 2018; pp. 7132–7141. [Google Scholar]
- Ronneberger, O.; Fischer, P.; Brox, T. U-Net: Convolutional networks for biomedical image segmentation. In Proceedings of the Medical Image Computing and Computer-Assisted Intervention, Munich, Germany, 5–9 October 2015; pp. 234–241. [Google Scholar]
- Long, J.; Shelhamer, E.; Darrell, T. Fully convolutional networks for semantic segmentation. In Proceedings of the IEEE Conference on Computer Vision and Pattern Recognition (CVPR), Boston, MA, USA, 7–12 June 2015; pp. 3431–3440. [Google Scholar]
- Oktay, O.; Schlemper, J.; Folgoc, L.L.; Lee, M.; Heinrich, M.; Misawa, K.; Mori, K.; McDonagh, S.; Hammerla, N.Y.; Kainz, B.; et al. Attention U-Net: Learning where to look for the pancreas. arXiv 2018, arXiv:1804.03999. [Google Scholar]
- Chen, L.C.; Zhu, Y.; Papandreou, G.; Schroff, F.; Adam, H. Encoder-decoder with atrous separable convolution for semantic image segmentation. In Proceedings of the European Conference on Computer Vision, Munich, Germany, 17–24 May 2018; pp. 801–818. [Google Scholar]
- Zhou, Z.; Siddiquee, M.M.R.; Tajbakhsh, N.; Liang, J. Unet++: A nested u-net architecture for medical image segmentation. In Deep Learning in Medical Image Analysis and Multimodal Learning for Clinical Decision Support; Springer: Berlin/Heidelberg, Germany, 2018; pp. 3–11. [Google Scholar]







| Model | Metrics | Para (M) | FPS | |||
|---|---|---|---|---|---|---|
| Dice | AJI | Sensitivity | Specificity | |||
| Baseline | 75.09 ± 13.52 | 59.67 ± 12.90 | 81.34 ± 15.99 | 99.54 ± 0.43 | 8.1 | 161 |
| Proposed | 76.01 ± 13.35 | 60.88 ± 12.85 | 82.45 ± 15.96 | 99.61 ± 0.40 | 8.1 | 154 |
| Model | Metrics | Para (M) | FPS | |||
|---|---|---|---|---|---|---|
| Dice | AJI | Sensitivity | Specificity | |||
| 8.1 | 154 | |||||
| 8.1 | 154 | |||||
| + (Proposed) | 99.61 ± 0.40 | 8.1 | 154 | |||
| Model | Metrics | Params (M) | FPS | |||
|---|---|---|---|---|---|---|
| Dice | AJI | Sensitivity | Specificity | |||
| U-Net [24] | 34.5 | 116 | ||||
| FCN [25] | 135.53 | 57 | ||||
| Attention U-Net [26] | 34.87 | 106 | ||||
| DeepLabv3+ [27] | 59.33 | 103 | ||||
| U-Net++ [28] | 9.61 | 168 | ||||
| Efficient-UNet [20] | 73.44 | 58.98 | 81.81 | 99.30 | 66.0 | 83 |
| Proposed | 76.01 ± 13.35 | 60.88 ± 12.85 | 8.1 | 154 | ||
Publisher’s Note: MDPI stays neutral with regard to jurisdictional claims in published maps and institutional affiliations. |
© 2022 by the authors. Licensee MDPI, Basel, Switzerland. This article is an open access article distributed under the terms and conditions of the Creative Commons Attribution (CC BY) license (https://creativecommons.org/licenses/by/4.0/).
Share and Cite
Singh, V.K.; Sarker, M.M.K.; Makhlouf, Y.; Craig, S.G.; Humphries, M.P.; Loughrey, M.B.; James, J.A.; Salto-Tellez, M.; O’Reilly, P.; Maxwell, P. ICOSeg: Real-Time ICOS Protein Expression Segmentation from Immunohistochemistry Slides Using a Lightweight Conv-Transformer Network. Cancers 2022, 14, 3910. https://doi.org/10.3390/cancers14163910
Singh VK, Sarker MMK, Makhlouf Y, Craig SG, Humphries MP, Loughrey MB, James JA, Salto-Tellez M, O’Reilly P, Maxwell P. ICOSeg: Real-Time ICOS Protein Expression Segmentation from Immunohistochemistry Slides Using a Lightweight Conv-Transformer Network. Cancers. 2022; 14(16):3910. https://doi.org/10.3390/cancers14163910
Chicago/Turabian StyleSingh, Vivek Kumar, Md. Mostafa Kamal Sarker, Yasmine Makhlouf, Stephanie G. Craig, Matthew P. Humphries, Maurice B. Loughrey, Jacqueline A. James, Manuel Salto-Tellez, Paul O’Reilly, and Perry Maxwell. 2022. "ICOSeg: Real-Time ICOS Protein Expression Segmentation from Immunohistochemistry Slides Using a Lightweight Conv-Transformer Network" Cancers 14, no. 16: 3910. https://doi.org/10.3390/cancers14163910
APA StyleSingh, V. K., Sarker, M. M. K., Makhlouf, Y., Craig, S. G., Humphries, M. P., Loughrey, M. B., James, J. A., Salto-Tellez, M., O’Reilly, P., & Maxwell, P. (2022). ICOSeg: Real-Time ICOS Protein Expression Segmentation from Immunohistochemistry Slides Using a Lightweight Conv-Transformer Network. Cancers, 14(16), 3910. https://doi.org/10.3390/cancers14163910

