High Expression of CUL9 Is Prognostic and Predictive for Adjuvant Chemotherapy in High-Risk Stage II and Stage III Colon Cancer
Abstract
:Simple Summary
Abstract
1. Introduction
2. Materials and Methods
2.1. Patients
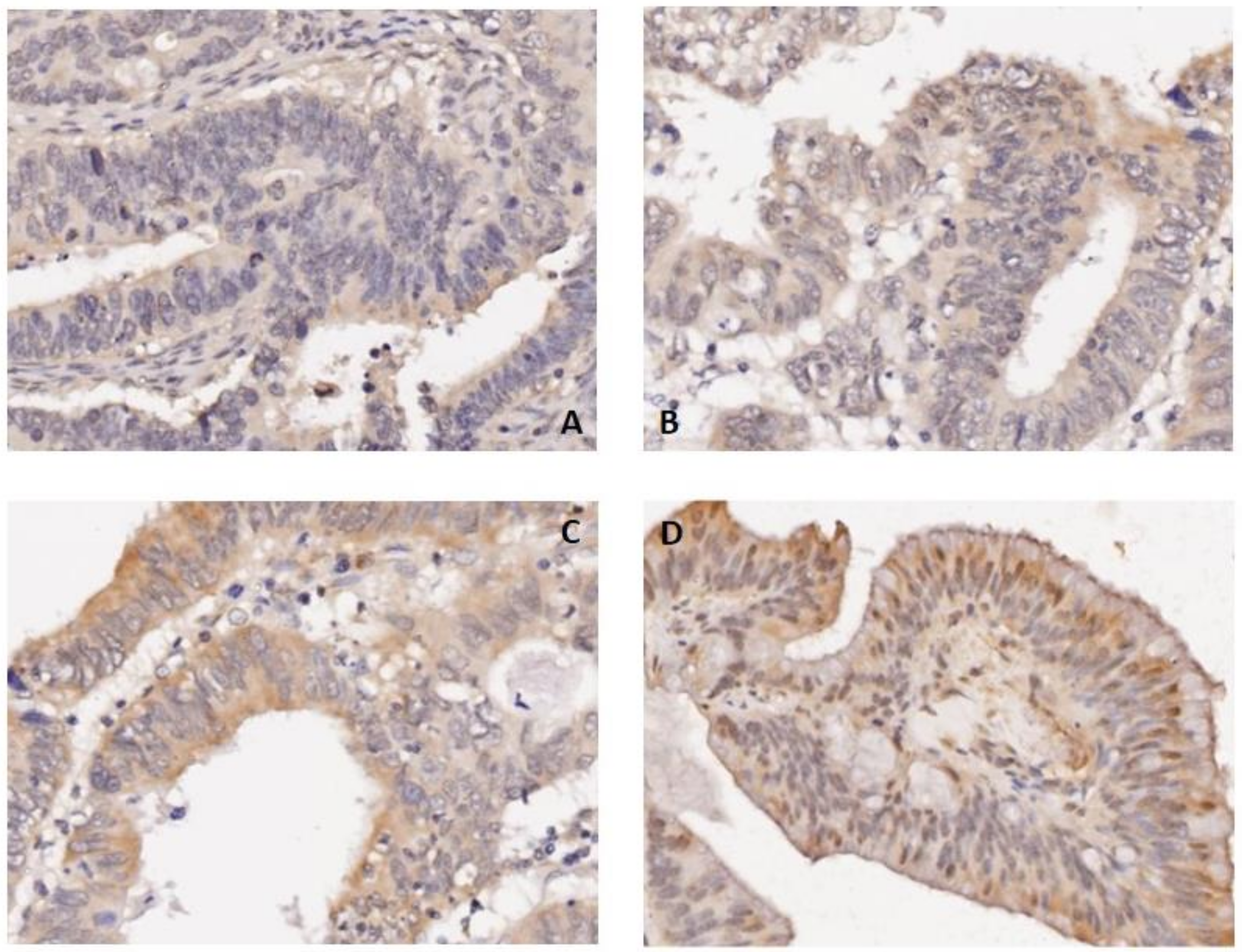
2.2. Immunohistochemistry (IHC)
2.3. Examination of RAS/BRAF Mutations
2.4. Statistical Analysis
3. Results
3.1. Baseline Characteristics and CUL9 Expression
3.2. Prognostic Value of CUL9 Expression
3.3. Prognostic Value of CUL9 Expression in Validation Cohort
3.4. Predictive Value of CUL9 Expression for Efficacy of Adjuvant Chemotherapy
4. Discussion
5. Conclusions
Supplementary Materials
Author Contributions
Funding
Institutional Review Board Statement
Informed Consent Statement
Data Availability Statement
Conflicts of Interest
References
- Torre, L.A.; Bray, F.; Siegel, R.L.; Ferlay, J.; Lortet-Tieulent, J.; Jemal, A. Global cancer statistics, 2012. CA Cancer J. Clin. 2015, 65, 87–108. [Google Scholar] [CrossRef] [PubMed] [Green Version]
- Siegel, R.; Naishadham, D.; Jemal, A. Cancer statistics, 2012. CA Cancer J. Clin. 2012, 62, 10–29. [Google Scholar] [CrossRef] [PubMed] [Green Version]
- Schneider, N.I.; Langner, C. Prognostic stratification of colorectal cancer patients: Current perspectives. Cancer Manag. Res. 2014, 6, 291–300. [Google Scholar] [CrossRef] [PubMed] [Green Version]
- De Roock, W.; Claes, B.; Bernasconi, D.; De Schutter, J.; Biesmans, B.; Fountzilas, G.; Kalogeras, K.T.; Kotoula, V.; Papamichael, D.; Laurent-Puig, P.; et al. Effects of KRAS, BRAF, NRAS, and PIK3CA mutations on the efficacy of cetuximab plus chemotherapy in chemotherapy-refractory metastatic colorectal cancer: A retrospective consortium analysis. Lancet. Oncol. 2010, 11, 753–762. [Google Scholar] [CrossRef]
- Van Cutsem, E.; Köhne, C.H.; Láng, I.; Folprecht, G.; Nowacki, M.P.; Cascinu, S.; Shchepotin, I.; Maurel, J.; Cunningham, D.; Tejpar, S.; et al. Cetuximab plus irinotecan, fluorouracil, and leucovorin as first-line treatment for metastatic colorectal cancer: Updated analysis of overall survival according to tumor KRAS and BRAF mutation status. J. Clin. Oncol. 2011, 29, 2011–2019. [Google Scholar] [CrossRef] [Green Version]
- Skaar, J.R.; Florens, L.; Tsutsumi, T.; Arai, T.; Tron, A.; Swanson, S.K.; Washburn, M.P.; DeCaprio, J.A. PARC and CUL7 form atypical cullin RING ligase complexes. Cancer Res. 2007, 67, 2006–2014. [Google Scholar] [CrossRef] [Green Version]
- Nikolaev, A.Y.; Li, M.; Puskas, N.; Qin, J.; Gu, W. Parc: A cytoplasmic anchor for p53. Cell 2003, 112, 29–40. [Google Scholar] [CrossRef] [Green Version]
- Andrews, P.; He, Y.J.; Xiong, Y. Cytoplasmic localized ubiquitin ligase cullin 7 binds to p53 and promotes cell growth by antagonizing p53 function. Oncogene 2006, 25, 4534–4548. [Google Scholar] [CrossRef] [PubMed] [Green Version]
- Pei, X.H.; Bai, F.; Li, Z.; Smith, M.D.; Whitewolf, G.; Jin, R.; Xiong, Y. Cytoplasmic CUL9/PARC ubiquitin ligase is a tumor suppressor and promotes p53-dependent apoptosis. Cancer Res. 2011, 71, 2969–2977. [Google Scholar] [CrossRef] [Green Version]
- Gama, V.; Swahari, V.; Schafer, J.; Kole, A.J.; Evans, A.; Huang, Y.; Cliffe, A.; Golitz, B.; Sciaky, N.; Pei, X.H.; et al. The E3 ligase PARC mediates the degradation of cytosolic cytochrome c to promote survival in neurons and cancer cells. Sci. Signal. 2014, 7, ra67. [Google Scholar] [CrossRef] [Green Version]
- Li, Z.; Pei, X.H.; Yan, J.; Yan, F.; Cappell, K.M.; Whitehurst, A.W.; Xiong, Y. CUL9 mediates the functions of the 3M complex and ubiquitylates survivin to maintain genome integrity. Mol. Cell 2014, 54, 805–819. [Google Scholar] [CrossRef] [PubMed] [Green Version]
- Wang, P.; Dai, X.; Jiang, W.; Li, Y.; Wei, W. RBR E3 ubiquitin ligases in tumorigenesis. Semin. Cancer Biol. 2020, 67, 131–144. [Google Scholar] [CrossRef] [PubMed]
- Zheng, P.; Ren, L.; Feng, Q.; Zhu, D.; Chang, W.; He, G.; Ji, M.; Jian, M.; Lin, Q.; Yi, T.; et al. Differences in clinical characteristics and mutational pattern between synchronous and metachronous colorectal liver metastases. Cancer Manag. Res. 2018, 10, 2871–2881. [Google Scholar] [CrossRef] [PubMed] [Green Version]
- Zheng, P.; Liang, C.; Ren, L.; Zhu, D.; Feng, Q.; Chang, W.; He, G.; Ye, L.; Chen, J.; Lin, Q.; et al. Additional Biomarkers beyond RAS That Impact the Efficacy of Cetuximab plus Chemotherapy in mCRC: A Retrospective Biomarker Analysis. J. Oncol. 2018, 2018, 5072987. [Google Scholar] [CrossRef] [Green Version]
- Pisapia, D.J.; Salvatore, S.; Pauli, C.; Hissong, E.; Eng, K.; Prandi, D.; Sailer, V.W.; Robinson, B.D.; Park, K.; Cyrta, J.; et al. Next-Generation Rapid Autopsies Enable Tumor Evolution Tracking and Generation of Preclinical Models. JCO Precis. Oncol. 2017, 1, 1–13. [Google Scholar] [CrossRef] [PubMed]
- Mao, Y.; Feng, Q.; Zheng, P.; Yang, L.; Zhu, D.; Chang, W.; Ji, M.; He, G.; Xu, J. Low tumor infiltrating mast cell density confers prognostic benefit and reflects immunoactivation in colorectal cancer. Int. J. Cancer 2018, 143, 2271–2280. [Google Scholar] [CrossRef] [Green Version]
- Feng, Q.; Chang, W.; Mao, Y.; He, G.; Zheng, P.; Tang, W.; Wei, Y.; Ren, L.; Zhu, D.; Ji, M.; et al. Tumor-associated Macrophages as Prognostic and Predictive Biomarkers for Postoperative Adjuvant Chemotherapy in Patients with Stage II Colon Cancer. Clin. Cancer Res. 2019, 25, 3896–3907. [Google Scholar] [CrossRef] [Green Version]
- Marisa, L.; de Reyniès, A.; Duval, A.; Selves, J.; Gaub, M.P.; Vescovo, L.; Etienne-Grimaldi, M.C.; Schiappa, R.; Guenot, D.; Ayadi, M.; et al. Gene expression classification of colon cancer into molecular subtypes: Characterization, validation, and prognostic value. PLoS Med. 2013, 10, e1001453. [Google Scholar] [CrossRef] [PubMed] [Green Version]
- Lindor, N.M.; Burgart, L.J.; Leontovich, O.; Goldberg, R.M.; Cunningham, J.M.; Sargent, D.J.; Walsh-Vockley, C.; Petersen, G.M.; Walsh, M.D.; Leggett, B.A.; et al. Immunohistochemistry versus microsatellite instability testing in phenotyping colorectal tumors. J. Clin. Oncol. 2002, 20, 1043–1048. [Google Scholar] [CrossRef] [PubMed]
- Beamer, L.C.; Grant, M.L.; Espenschied, C.R.; Blazer, K.R.; Hampel, H.L.; Weitzel, J.N.; MacDonald, D.J. Reflex immunohistochemistry and microsatellite instability testing of colorectal tumors for Lynch syndrome among US cancer programs and follow-up of abnormal results. J. Clin. Oncol. 2012, 30, 1058–1063. [Google Scholar] [CrossRef]
- Dalerba, P.; Sahoo, D.; Paik, S.; Guo, X.; Yothers, G.; Song, N.; Wilcox-Fogel, N.; Forgó, E.; Rajendran, P.S.; Miranda, S.P.; et al. CDX2 as a Prognostic Biomarker in Stage II and Stage III Colon Cancer. N. Engl. J. Med. 2016, 374, 211–222. [Google Scholar] [CrossRef] [PubMed]
- Marín, I. Diversification of the cullin family. BMC Evol. Biol. 2009, 9, 267. [Google Scholar] [CrossRef] [Green Version]
- Sun, X.F.; Carstensen, J.M.; Zhang, H.; Stål, O.; Wingren, S.; Hatschek, T.; Nordenskjöld, B. Prognostic significance of cytoplasmic p53 oncoprotein in colorectal adenocarcinoma. Lancet 1992, 340, 1369–1373. [Google Scholar] [CrossRef]
- Bosari, S.; Viale, G.; Roncalli, M.; Graziani, D.; Borsani, G.; Lee, A.K.; Coggi, G. p53 gene mutations, p53 protein accumulation and compartmentalization in colorectal adenocarcinoma. Am. J. Pathol. 1995, 147, 790–798. [Google Scholar]
- Wang, S.; Zhang, Y.; Huang, J.; Wong, C.C.; Zhai, J.; Li, C.; Wei, G.; Zhao, L.; Wang, G.; Wei, H.; et al. TRIM67 Activates p53 to Suppress Colorectal Cancer Initiation and Progression. Cancer Res. 2019, 79, 4086–4098. [Google Scholar] [CrossRef] [PubMed] [Green Version]
- Michel, M.; Kaps, L.; Maderer, A.; Galle, P.R.; Moehler, M. The Role of p53 Dysfunction in Colorectal Cancer and Its Implication for Therapy. Cancers 2021, 13, 2296. [Google Scholar] [CrossRef] [PubMed]
- Yang, L.; WenTao, T.; ZhiYuan, Z.; Qi, L.; YuXiang, L.; Peng, Z.; Ke, L.; XiaoNa, J.; YuZhi, P.; MeiLing, J.; et al. Cullin-9/p53 mediates HNRNPC degradation to inhibit erastin-induced ferroptosis and is blocked by MDM2 inhibition in colorectal cancer. Oncogene 2022, 41, 3210–3221. [Google Scholar] [CrossRef] [PubMed]
- Woo, M.G.; Xue, K.; Liu, J.; McBride, H.; Tsang, B.K. Calpain-mediated processing of p53-associated parkin-like cytoplasmic protein (PARC) affects chemosensitivity of human ovarian cancer cells by promoting p53 subcellular trafficking. J. Biol. Chem. 2012, 287, 3963–3975. [Google Scholar] [CrossRef] [Green Version]
- André, T.; Meyerhardt, J.; Iveson, T.; Sobrero, A.; Yoshino, T.; Souglakos, I.; Grothey, A.; Niedzwiecki, D.; Saunders, M.; Labianca, R.; et al. Effect of duration of adjuvant chemotherapy for patients with stage III colon cancer (IDEA collaboration): Final results from a prospective, pooled analysis of six randomised, phase 3 trials. Lancet. Oncol. 2020, 21, 1620–1629. [Google Scholar] [CrossRef]
- Grothey, A.; Sobrero, A.F.; Shields, A.F.; Yoshino, T.; Paul, J.; Taieb, J.; Souglakos, J.; Shi, Q.; Kerr, R.; Labianca, R.; et al. Duration of Adjuvant Chemotherapy for Stage III Colon Cancer. N. Engl. J. Med. 2018, 378, 1177–1188. [Google Scholar] [CrossRef]







| Total (n = 1078) | High Expression Group (n = 366) | Low Expression Group (n = 712) | p Value | |
|---|---|---|---|---|
| Age, years, n (%) | 0.835 | |||
| ≥60 | 602 (55.8%) | 206 (56.3%) | 396 (55.6%) | |
| <60 | 476 (44.2%) | 160 (43.7%) | 316 (44.4%) | |
| Gender, n (%) | 0.965 | |||
| Male | 647 (60.0%) | 220 (60.1%) | 427 (60.0%) | |
| Female | 431 (40.0%) | 146 (39.9%) | 285 (40.0%) | |
| Pre-operative CEA, ng/mL, n (%) | 0.049 | |||
| >5 | 500 (46.4%) | 185 (50.5%) | 315 (44.2%) | |
| ≤5 | 578 (53.6%) | 181 (49.5%) | 397 (55.8%) | |
| Mean tumor size, cm, ±SD | 4.28 ± 2.03 | 4.37 ± 2.13 | 4.23 ± 2.05 | 0.541 |
| Tumor location, n (%) | 0.760 | |||
| Right-sided | 363 (33.7%) | 121 (33.1%) | 242 (34.0%) | |
| Left sided | 715 (66.3%) | 245 (66.9%) | 470 (66.0%) | |
| Histological grade, n (%) | 0.041 | |||
| Well/Moderate | 730 (67.7%) | 233 (63.7%) | 497 (69.8%) | |
| Low/Undifferentiated | 348 (32.3%) | 133 (36.3%) | 215 (30.2%) | |
| T stage, n (%) | 0.321 | |||
| T1–T2 | 149 (13.8%) | 43 (11.7%) | 106 (14.9%) | |
| T3 | 494 (48.9%) | 168 (45.9%) | 326 (45.8%) | |
| T4 | 435 (40.4%) | 155 (42.3%) | 280 (39.3%) | |
| N stage, n (%) | 0.010 | |||
| N0 | 577 (53.5%) | 176 (48.1%) | 401 (56.3%) | |
| N1–2 | 501 (46.5%) | 190 (51.9%) | 311 (43.7%) | |
| TNM stage, n (%) | 0.039 | |||
| I | 108 (10.0%) | 33 (9.0%) | 75 (10.5%) | |
| II | 396 (36.7%) | 120 (32.8%) | 276 (38.8%) | |
| III | 301 (27.9%) | 102 (27.9%) | 199 (27.9%) | |
| IV | 273 (25.3%) | 111 (30.3%) | 162 (22.8%) | |
| Vascular invasion, n (%) | 0.025 | |||
| Yes | 134 (12.4%) | 57 (15.6%) | 77 (10.8%) | |
| No | 944 (87.6%) | 309 (84.4%) | 635 (89.2%) | |
| Perineural invasion, n (%) | 0.016 | |||
| Yes | 85 (7.9%) | 39 (10.7%) | 46 (6.5%) | |
| No | 993 (92.1%) | 327 (89.3%) | 666 (93.5%) | |
| Tumor deposits, n (%) | <0.001 | |||
| Yes | 245 (22.7%) | 108 (29.5%) | 137 (19.2%) | |
| No | 833 (77.3%) | 258 (70.5%) | 575 (80.8%) | |
| RAS * status, n (%) | 0.179 | |||
| Wild-type | 499 (46.3%) | 159 (43.4%) | 340 (47.8%) | |
| Mutant | 579 (53.7%) | 207 (56.6%) | 372 (52.2%) | |
| BRAF V600E status, n (%) | 0.560 | |||
| Wild-type | 1008 (93.5%) | 340 (92.9%) | 668 (93.8%) | |
| Mutant | 70 (6.5%) | 26 (7.1%) | 44 (6.2%) | |
| MMR status, n (%) | 0.888 | |||
| pMMR | 973 (90.3%) | 331 (90.4%) | 642 (90.2%) | |
| dMMR | 105 (9.7%) | 35 (9.6%) | 70 (9.8%) |
| Univariate Analysis | Multivariate Analysis * | |||||
|---|---|---|---|---|---|---|
| HR | 95% CI | p Value | HR | 95% CI | p Value | |
| Age, years | 0.375 | |||||
| <60 | 1 | - | ||||
| ≥60 | 0.909 | 0.737–1.122 | ||||
| Gender | 0.480 | |||||
| Female | 1 | - | ||||
| Male | 1.081 | 0.871–1.341 | ||||
| Pre-operative CEA, ng/mL | <0.001 | 0.088 | ||||
| ≤5 | 1 | - | 1 | - | ||
| >5 | 2.596 | 2.086–3.230 | 1.232 | 0.969–1.567 | ||
| Tumor location | 0.104 | |||||
| Right-sided | 1 | - | ||||
| Left-sided | 0.835 | 0.672–1.037 | ||||
| Histological grade | <0.001 | 0.338 | ||||
| Low/Undifferentiated | 1 | - | 1 | - | ||
| Well/Moderate | 0.613 | 0.495–0.759 | 0.896 | 0.715–1.122 | ||
| T stage | ||||||
| T1–2 | 1 | - | 1 | - | ||
| T3 | 2.141 | 1.382–3.316 | 0.001 | 1.005 | 0.638–1.586 | 0.981 |
| T4 | 2.992 | 1.936–4.624 | <0.001 | 1.105 | 0.696–1.752 | 0.673 |
| N stage | ||||||
| N0 | 1 | - | 1 | - | ||
| N1 | 2.474 | 1.927–3.176 | <0.001 | 1.533 | 1.183–1.987 | 0.001 |
| N2 | 4.689 | 3.577–6.146 | <0.001 | 2.319 | 1.722–3.123 | <0.001 |
| M stage | <0.001 | <0.001 | ||||
| M0 | 1 | - | 1 | - | ||
| M1 | 9.401 | 7.531–11.736 | 6.818 | 5.303–8.765 | ||
| Vascular invasion | <0.001 | 0.063 | ||||
| No | 1 | - | 1 | - | ||
| Yes | 2.237 | 1.715–2.917 | 1.314 | 0.986–1.751 | ||
| Perineural invasion | <0.001 | 0.581 | ||||
| No | 1 | - | 1 | - | ||
| Yes | 2.261 | 1.636–3.123 | 1.103 | 0.780–1.558 | ||
| Tumor deposits † | <0.001 | |||||
| No | 1 | - | ||||
| Yes | 2.680 | 2.161–3.323 | ||||
| RAS status | 0.603 | |||||
| Wild-type | 1 | - | ||||
| Mutant | 1.139 | 0.922–1.406 | ||||
| BRAF status | <0.001 | <0.001 | ||||
| Wild-type | 1 | - | 1 | - | ||
| Mutant | 2.389 | 1.741–3.278 | 1.859 | 1.343–2.574 | ||
| MMR status | 0.044 | 0.036 | ||||
| dMMR | 1 | - | 1 | - | ||
| pMMR | 0.658 | 0.438–0.988 | 0.644 | 0.427–0.971 | ||
| CUL9 expression | <0.001 | <0.001 | ||||
| Low | 1 | - | ||||
| High | 1.897 | 1.538–2.339 | 1.613 | 1.305–1.993 | ||
Publisher’s Note: MDPI stays neutral with regard to jurisdictional claims in published maps and institutional affiliations. |
© 2022 by the authors. Licensee MDPI, Basel, Switzerland. This article is an open access article distributed under the terms and conditions of the Creative Commons Attribution (CC BY) license (https://creativecommons.org/licenses/by/4.0/).
Share and Cite
Zheng, P.; Lv, Y.; Mao, Y.; Shen, F.; Zhang, Z.; Chang, J.; Yu, S.; Ji, M.; Feng, Q.; Xu, J. High Expression of CUL9 Is Prognostic and Predictive for Adjuvant Chemotherapy in High-Risk Stage II and Stage III Colon Cancer. Cancers 2022, 14, 3843. https://doi.org/10.3390/cancers14163843
Zheng P, Lv Y, Mao Y, Shen F, Zhang Z, Chang J, Yu S, Ji M, Feng Q, Xu J. High Expression of CUL9 Is Prognostic and Predictive for Adjuvant Chemotherapy in High-Risk Stage II and Stage III Colon Cancer. Cancers. 2022; 14(16):3843. https://doi.org/10.3390/cancers14163843
Chicago/Turabian StyleZheng, Peng, Yang Lv, Yihao Mao, Feifan Shen, Zhiyuan Zhang, Jiang Chang, Shanchao Yu, Meiling Ji, Qingyang Feng, and Jianmin Xu. 2022. "High Expression of CUL9 Is Prognostic and Predictive for Adjuvant Chemotherapy in High-Risk Stage II and Stage III Colon Cancer" Cancers 14, no. 16: 3843. https://doi.org/10.3390/cancers14163843
APA StyleZheng, P., Lv, Y., Mao, Y., Shen, F., Zhang, Z., Chang, J., Yu, S., Ji, M., Feng, Q., & Xu, J. (2022). High Expression of CUL9 Is Prognostic and Predictive for Adjuvant Chemotherapy in High-Risk Stage II and Stage III Colon Cancer. Cancers, 14(16), 3843. https://doi.org/10.3390/cancers14163843
