Autophagic Markers in Chordomas: Immunohistochemical Analysis and Comparison with the Immune Microenvironment of Chordoma Tissues
Abstract
Simple Summary
Abstract
1. Introduction
2. Materials and Methods
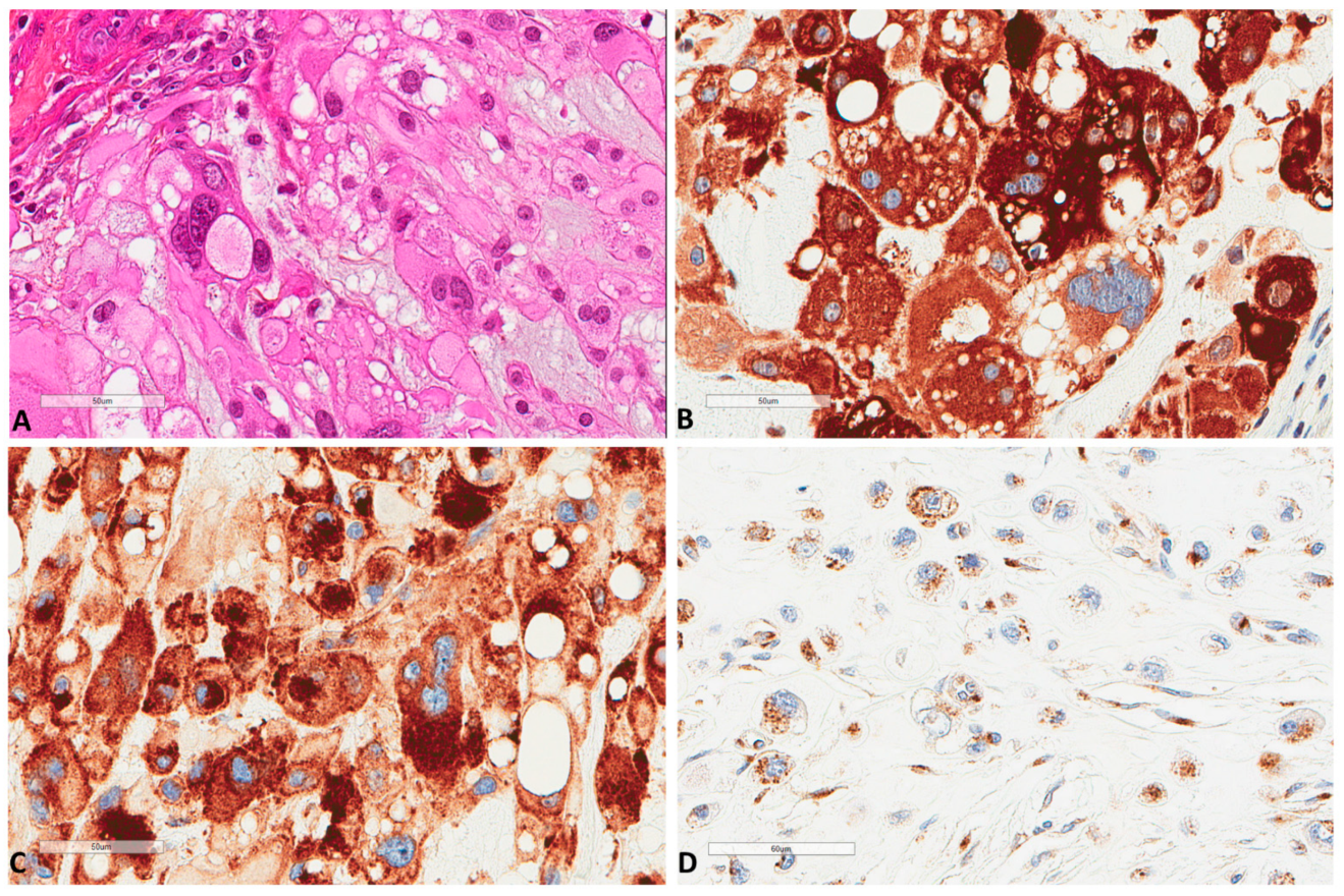
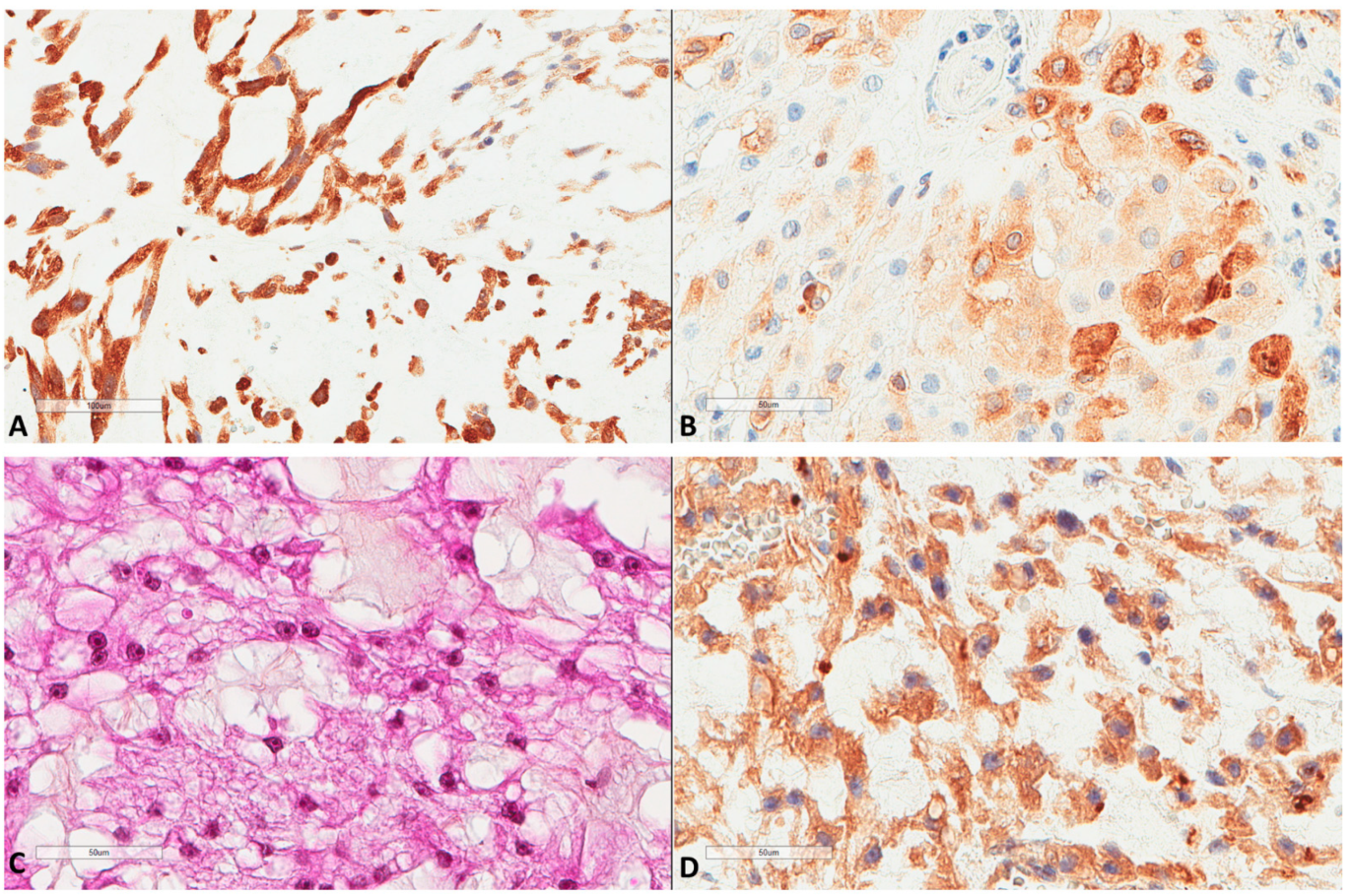
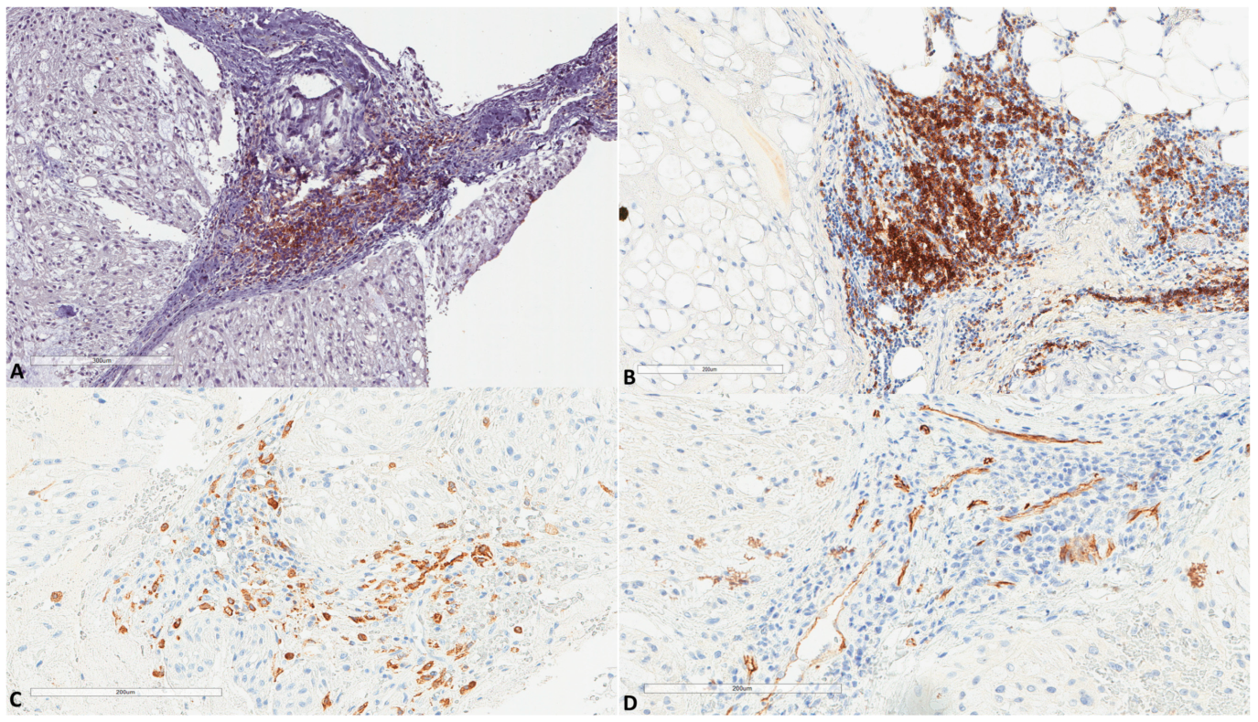
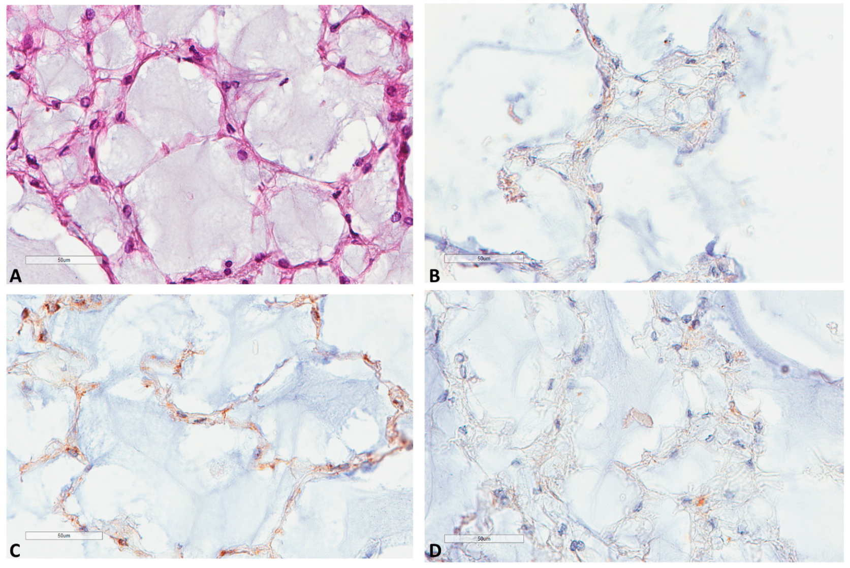
3. Results
4. Discussion
5. Conclusions
Supplementary Materials
Author Contributions
Funding
Institutional Review Board Statement
Informed Consent Statement
Data Availability Statement
Acknowledgments
Conflicts of Interest
References
- Dridi, M.; Boutonnat, J.; Dumollard, J.M.; Peoc’H, M.; Karpathiou, G. The transcriptional factors CDX2 and FOXA1 in chordomas. Pathol. Res. Pract. 2020, 216, 153160. [Google Scholar] [CrossRef] [PubMed]
- Karpathiou, G.; Dumollard, J.M.; Dridi, M.; Col, P.D.; Barral, F.-G.; Boutonnat, J.; Peoc’H, M. Chordomas: A review with emphasis on their pathophysiology, pathology, molecular biology, and genetics. Pathol. Res. Pract. 2020, 216, 153089. [Google Scholar] [CrossRef] [PubMed]
- Karpathiou, G.; Sivridis, E.; Koukourakis, M.I.; Mikroulis, D.; Bouros, D.; Froudarakis, M.E.; Giatromanolaki, A. Light-Chain 3A Autophagic Activity and Prognostic Significance in Non-small Cell Lung Carcinomas. Chest 2011, 140, 127–134. [Google Scholar] [CrossRef] [PubMed]
- Press Release. NobelPrize.Org. Nobel Media AB 2020. Available online: https://www.nobelprize.org/prizes/medicine/2016/press-release/ (accessed on 29 April 2021).
- Levy, J.M.M.; Thorburn, A. Autophagy in cancer: Moving from understanding mechanism to improving therapy responses in patients. Cell Death Differ. 2020, 27, 843–857. [Google Scholar] [CrossRef]
- Xu, J.; Patel, N.H.; Gewirtz, D.A. Triangular Relationship between p53, Autophagy, and Chemotherapy Resistance. Int. J. Mol. Sci. 2020, 21, 8991. [Google Scholar] [CrossRef] [PubMed]
- Kolb-Lenz, D.; Fuchs, R.; Lohberger, B.; Heitzer, E.; Meditz, K.; Pernitsch, D.; Pritz, E.; Groselj-Strele, A.; Leithner, A.; Liegl-Atzwanger, B.; et al. Characterization of the endolysosomal system in human chordoma cell lines: Is there a role of lyso-somes in chemoresistance of this rare bone tumor? Histochem. Cell Biol. 2018, 150, 83–92. [Google Scholar] [CrossRef] [PubMed]
- Pinto, F.; Ângela, M.C.; Santos, G.C.; Matsushita, M.M.; Costa, S.; Silva, V.A.O.; Miranda-Gonçalves, V.; Lopes, C.M.; Clara, C.A.; Becker, A.P.; et al. The T-box transcription factor brachyury behaves as a tumor suppressor in gliomas. J. Pathol. 2020, 251, 87–99. [Google Scholar] [CrossRef] [PubMed]
- Petitprez, F.; De Reyniès, A.; Keung, E.Z.; Chen, T.W.-W.; Sun, C.-M.; Calderaro, J.; Jeng, Y.-M.; Hsiao, L.-P.; Lacroix, L.; Bougoüin, A.; et al. B cells are associated with survival and immunotherapy response in sarcoma. Nature 2020, 577, 556–560. [Google Scholar] [CrossRef]
- Mathios, D.; Ruzevick, J.; Jackson, C.M.; Xu, H.; Shah, S.; Taube, J.M.; Burger, P.C.; McCarthy, E.F.; Quinones-Hinojosa, A.; Pardoll, D.M.; et al. PD-1, PD-L1, PD-L2 expression in the chordoma microenvironment. J. Neurooncol. 2015, 121, 251–259. [Google Scholar] [CrossRef]
- Feng, Y.; Shen, J.; Gao, Y.; Liao, Y.; Côté, G.; Choy, E.; Chebib, I.; Mankin, H.; Hornicek, F.; Duan, Z. Expression of programmed cell death ligand 1 (PD-L1) and prevalence of tumor-infiltrating lymphocytes (TILs) in chordoma. Oncotarget 2015, 6, 11139–11149. [Google Scholar] [CrossRef]
- Zou, M.; Pan, Y.; Huang, W.; Zhang, T.; Escobar, D.; Wang, X.; Jiang, Y.; She, X.; Lv, G.; Li, J. A four-factor immune risk score signature predicts the clinical outcome of patients with spinal chordoma. Clin. Transl. Med. 2020, 10, 224–237. [Google Scholar] [CrossRef]
- Gill, C.M.; Fowkes, M.; Shrivastava, R.K. Emerging Therapeutic Targets in Chordomas: A Review of the Literature in the Ge-nomic Era. Neurosurgery 2020, 86, E118–E123. [Google Scholar] [CrossRef] [PubMed]
- Vodnala, S.K.; Eil, R.; Kishton, R.J.; Sukumar, M.; Yamamoto, T.N.; Ha, N.-H.; Lee, P.-H.; Shin, M.; Patel, S.J.; Yu, Z.; et al. T cell stemness and dysfunction in tumors are triggered by a common mechanism. Science 2019, 363, eaau0135. [Google Scholar] [CrossRef] [PubMed]
- Liu, J.-L.; Chen, F.-F.; Lung, J.; Lo, C.-H.; Lee, F.-H.; Lu, Y.-C.; Hung, C.-H. Prognostic significance of p62/SQSTM1 subcellular localization and LC3B in oral squamous cell carcinoma. Br. J. Cancer 2014, 111, 944–954. [Google Scholar] [CrossRef]
- Iwadate, R.; Inoue, J.; Tsuda, H.; Takano, H.; Furuya, K.; Hirasawa, A.; Aoki, D.; Inazawa, J. High Expression of p62 Protein Is Associated with Poor Prognosis and Aggressive Phenotypes in Endome-trial Cancer. Am. J. Pathol. 2015, 185, 2523–2533. [Google Scholar] [CrossRef] [PubMed]
- Camy, F.; Karpathiou, G.; Dumollard, G.M.; Magne, N.; Perrot, J.L.; Vassal, F.; Picot, T.; Mobarki, M.; Forest, F.; Casteillo, F.; et al. Brain metastasis PD-L1 and CD8 expression is dependent on primary tumor type and its PD-L1 and CD8 sta-tus. J. Immunother. 2020, 8, e000597. [Google Scholar]
- Zou, M.-X.; Lv, G.-H.; Wang, X.-B.; Huang, W.; Li, J.; Jiang, Y.; She, X.-L. Clinical Impact of the Immune Microenvironment in Spinal Chordoma: Immunoscore as an Independent Favorable Prognostic Factor. Neurosurgery 2019, 84, E318–E333. [Google Scholar] [CrossRef] [PubMed]
- Ruscetti, M.; Morris, J.P.; Mezzadra, R.; Russell, J.; Leibold, J.; Romesser, P.B.; Simon, J.; Kulick, A.; Ho, Y.-J.; Fennell, M.; et al. Senescence-Induced Vascular Remodeling Creates Therapeutic Vulnerabilities in Pancreas Cancer. Cell 2020, 181, 424–441.e21. [Google Scholar] [CrossRef] [PubMed]
- Schläfli, A.M.; Adams, O.; Galván, J.A.; Gugger, M.; Savic, S.; Bubendorf, L.; Schmid, R.A.; Becker, K.-F.; Tschan, M.P.; Langer, R.; et al. Prognostic value of the autophagy markers LC3 and p62/SQSTM1 in early-stage non-small cell lung cancer. Oncotarget 2016, 7, 39544–39555. [Google Scholar] [CrossRef]
- Serramito-Gómez, I.; Boada-Romero, E.; Villamuera, R.; Fernández-Cabrera, Á.; Cedillo, J.L.; Martín-Regalado, Á.; Carding, S.; Mayer, U.; Powell, P.P.; Wileman, T.; et al. Regulation of cytokine signaling through direct interaction between cytokine receptors and the ATG16L1 WD40 domain. Nat. Commun. 2020, 11, 5919. [Google Scholar] [CrossRef]
- Chen, R.; Li, X.; He, B.; Hu, W. MicroRNA-410 regulates autophagy-related gene ATG16L1 expression and enhances chemosensitivity via autophagy inhibition in osteosarcoma. Mol. Med. Rep. 2017, 15, 1326–1334. [Google Scholar] [CrossRef]
- Shimizu, T.; Sugihara, E.; Yamaguchi-Iwai, S.; Tamaki, S.; Koyama, Y.; Kamel, W.; Ueki, A.; Ishikawa, T.; Chiyoda, T.; Osuka, S.; et al. IGF2 Preserves Osteosarcoma Cell Survival by Creating an Autophagic State of Dormancy That Protects Cells against Chemotherapeutic Stress. Cancer Res. 2014, 74, 6531–6541. [Google Scholar] [CrossRef] [PubMed]
- O’Gorman, D.B.; Weiss, J.; Hettiaratchi, A.; Firth, S.M.; Scott, C.D. Insulin-Like Growth Factor-II/Mannose 6-Phosphate Receptor Overexpression Reduces Growth of Choriocarcinoma Cells in Vitro and in Vivo. Endocrinology 2002, 143, 4287–4294. [Google Scholar] [CrossRef] [PubMed]
- Scheipl, S.; Froehlich, E.V.; Leithner, A.; Beham, A.; Quehenberger, F.; Mokry, M.; Stammberger, H.; Varga, P.P.; Lazáry, A.; Windhager, R.; et al. Does insulin-like growth factor 1 receptor (IGF-1R) targeting provide new treatment options for chor-domas? A retrospective clinical and immunohistochemical study. Histopathology 2012, 60, 999–1003. [Google Scholar] [CrossRef]
- Ramakrishnan, R.; Huang, C.; Cho, H.I.; Lloyd, K.; Johnson, J.; Ren, X.; Altiok, S.; Sullivan, D.; Weber, J.; Celis, E.; et al. Autophagy Induced by Conventional Chemotherapy Mediates Tumor Cell Sensitivity to Immuno-therapy. Cancer Res. 2012, 72, 5483–5493. [Google Scholar] [CrossRef]
- Ramakrishnan, R.; Gabrilovich, D.I. The role of mannose-6-phosphate receptor and autophagy in influencing the outcome of combination therapy. Autophagy 2013, 9, 615–616. [Google Scholar] [CrossRef]
- Wahba, J.; Natoli, M.; Whilding, L.M.; Parente-Pereira, A.C.; Jung, Y.; Zona, S.; Lam, E.W.-F.; Smith, J.R.; Maher, J.; Ghaem-Maghami, S. Chemotherapy-induced apoptosis, autophagy and cell cycle arrest are key drivers of synergy in chemo-immunotherapy of epithelial ovarian cancer. Cancer Immunol. Immunother. 2018, 67, 1753–1765. [Google Scholar] [CrossRef] [PubMed]
- Meng, W.; Gao, S.-J. Targeting XPO1 enhances innate immune response and inhibits KSHV lytic replication during pri-mary infection by nuclear stabilization of the p62 autophagy adaptor protein. Cell Death Dis. 2021, 12, 29. [Google Scholar] [CrossRef]
- Wang, L.; Howell, M.E.A.; Sparks-Wallace, A.; Hawkins, C.; Nicksic, C.A.; Kohne, C.; Hall, K.H.; Moorman, J.P.; Yao, Z.Q.; Ning, S. p62-mediated Selective autophagy endows virus-transformed cells with insusceptibility to DNA damage under oxidative stress. PLoS Pathog. 2019, 15, e1007541. [Google Scholar] [CrossRef]
- Wen, Z.-F.; Liu, H.; Gao, R.; Zhou, M.; Ma, J.; Zhang, Y.; Zhao, J.; Chen, Y.; Zhang, T.; Huang, F.; et al. Tumor cell-released autophagosomes (TRAPs) promote immunosuppression through induction of M2-like macrophages with increased expression of PD-L1. J. Immunother. Cancer 2018, 6, 151. [Google Scholar] [CrossRef]
- Bozic, M.; Wilkinson, S. Selective Autophagy Conceals the Enemy: Why Cytotoxic T Cells Don’t (MH)C Pancreatic Cancer. Mol. Cell 2020, 79, 6–8. [Google Scholar] [CrossRef] [PubMed]
- Yamamoto, K.; Venida, A.; Yano, J.; Biancur, D.E.; Kakiuchi, M.; Gupta, S.; Sohn, A.S.W.; Mukhopadhyay, S.; Lin, E.Y.; Parker, S.J.; et al. Autophagy promotes immune evasion of pancreatic cancer by degrading MHC-I. Nat. Cell Biol. 2020, 581, 100–105. [Google Scholar] [CrossRef]






| Parameter | Values |
|---|---|
| LC3B tumor cell expression H score | |
| Range | 0–100 |
| Median | 10 |
| Mean ± SD | 16.2 ± 22.5 |
| LC3B immune cell expression H score | |
| Range | 0–100 |
| Median | 0 |
| Mean ± SD | 10.7 ± 23.4 |
| P62 cytoplasmic tumor cell expression H score | |
| Range | 0–300 |
| Median | 300 |
| Mean ± SD | 231.8 ± 89.4 |
| P62 nuclear tumor cell expression | |
| Yes | 16, 26.2% |
| No | 45, 73.8% |
| ATG16L1 tumor cell expression H score | |
| Range | 0–300 |
| Median | 100 |
| Mean ± SD | 106.7 ± 85.2 |
| M6PR tumor cell intensity score | |
| 1 (mild) | 23, 37.7% |
| 2 (moderate) | 21, 34.4% |
| 3 (strong) | 17, 27.9% |
| Variables | LC3B in Tumor Cells | LC3B in Immune Cells | ATG16L1 Expression | M6PR Expression | p62 Nuclear Expression | |||||||||||
|---|---|---|---|---|---|---|---|---|---|---|---|---|---|---|---|---|
| n = 61 | n = 61 | n = 55 | n = 61 | n = 61 | ||||||||||||
| Low | High | p, χ2 | Low | High | p, χ2 | Low | High | p, χ2 | 1 | 2 | 3 | p, χ2 | No | Yes | p, χ2 | |
| CD20 (n = 60) | ||||||||||||||||
| Low | 35 | 18 | 0.7, 0.08 | 35 | 18 | 0.07, 3 | 34 | 14 | 0.9, 0.001 | 20 | 18 | 15 | 0.9, 0.09 | 41 | 12 | 0.05, 3.7 |
| High | 5 | 2 | 7 | 0 | 5 | 2 | 3 | 2 | 2 | 3 | 4 | |||||
| CD8 (n = 61) | ||||||||||||||||
| Low | 25 | 11 | 0.7, 0.1 | 28 | 8 | 0.1, 2.2 | 26 | 7 | 0.1, 2.4 | 12 | 14 | 10 | 0.6, 0.9 | 29 | 7 | 0.1, 2 |
| High | 16 | 9 | 15 | 10 | 13 | 9 | 11 | 7 | 7 | 16 | 9 | |||||
| CD163 (n = 61) | ||||||||||||||||
| Low | 23 | 12 | 0.7, 0.08 | 27 | 8 | 0.1, 1.7 | 25 | 7 | 0.1, 1.9 | 13 | 14 | 8 | 0.4, 1.4 | 25 | 10 | 0.6, 0.2 |
| High | 18 | 8 | 16 | 10 | 14 | 9 | 10 | 7 | 9 | 20 | 6 | |||||
| Vascular density (n = 61) | ||||||||||||||||
| Low | 19 | 9 | 0.9, 0.009 | 26 | 2 | 0.0004, 12.4 | 22 | 3 | 0.01, 6.4 | 11 | 11 | 6 | 0.5, 1.1 | 22 | 6 | 0.4, 0.6 |
| High | 22 | 11 | 17 | 16 | 17 | 13 | 12 | 10 | 11 | 23 | 10 | |||||
| PD-L1+ immune cells (n = 61) | ||||||||||||||||
| No | 32 | 12 | 0.1, 2.1 | 36 | 8 | 0.001, 9.7 | 30 | 9 | 0.1, 2.3 | 15 | 18 | 11 | 0.2, 2.9 | 33 | 11 | 0.7, 0.1 |
| Yes | 9 | 8 | 7 | 10 | 9 | 7 | 8 | 3 | 6 | 12 | 5 | |||||
| Tumor size (n = 29) | ||||||||||||||||
| <43 mm | 7 | 7 | 0.03, 4.5 | 11 | 3 | 0.1, 1.7 | 7 | 6 | 0.6, 0.1 | 5 | 6 | 3 | 0.1, 3.2 | 11 | 3 | 0.7, 0.1 |
| ≥43 mm | 13 | 2 | 9 | 6 | 8 | 5 | 9 | 2 | 4 | 11 | 4 | |||||
Publisher’s Note: MDPI stays neutral with regard to jurisdictional claims in published maps and institutional affiliations. |
© 2021 by the authors. Licensee MDPI, Basel, Switzerland. This article is an open access article distributed under the terms and conditions of the Creative Commons Attribution (CC BY) license (https://creativecommons.org/licenses/by/4.0/).
Share and Cite
Karpathiou, G.; Dridi, M.; Krebs-Drouot, L.; Vassal, F.; Jouanneau, E.; Jacquesson, T.; Barrey, C.; Prades, J.M.; Dumollard, J.M.; Meyronet, D.; et al. Autophagic Markers in Chordomas: Immunohistochemical Analysis and Comparison with the Immune Microenvironment of Chordoma Tissues. Cancers 2021, 13, 2169. https://doi.org/10.3390/cancers13092169
Karpathiou G, Dridi M, Krebs-Drouot L, Vassal F, Jouanneau E, Jacquesson T, Barrey C, Prades JM, Dumollard JM, Meyronet D, et al. Autophagic Markers in Chordomas: Immunohistochemical Analysis and Comparison with the Immune Microenvironment of Chordoma Tissues. Cancers. 2021; 13(9):2169. https://doi.org/10.3390/cancers13092169
Chicago/Turabian StyleKarpathiou, Georgia, Maroa Dridi, Lila Krebs-Drouot, François Vassal, Emmanuel Jouanneau, Timothée Jacquesson, Cédric Barrey, Jean Michel Prades, Jean Marc Dumollard, David Meyronet, and et al. 2021. "Autophagic Markers in Chordomas: Immunohistochemical Analysis and Comparison with the Immune Microenvironment of Chordoma Tissues" Cancers 13, no. 9: 2169. https://doi.org/10.3390/cancers13092169
APA StyleKarpathiou, G., Dridi, M., Krebs-Drouot, L., Vassal, F., Jouanneau, E., Jacquesson, T., Barrey, C., Prades, J. M., Dumollard, J. M., Meyronet, D., Boutonnat, J., & Péoc’h, M. (2021). Autophagic Markers in Chordomas: Immunohistochemical Analysis and Comparison with the Immune Microenvironment of Chordoma Tissues. Cancers, 13(9), 2169. https://doi.org/10.3390/cancers13092169

