Atypical Response Patterns in Renal Cell Carcinoma Treated with Immune Checkpoint Inhibitors—Navigating the Radiologic Potpourri
Abstract
Simple Summary
Abstract
1. Introduction
2. Materials and Methods
2.1. Patients
2.2. Atypical Response Patterns Definitions
2.3. Diagnostic Imaging
2.4. Radiotherapy
2.5. Satistical Analyses
3. Results
3.1. Patient, Tumor, and Treatment Characteristics
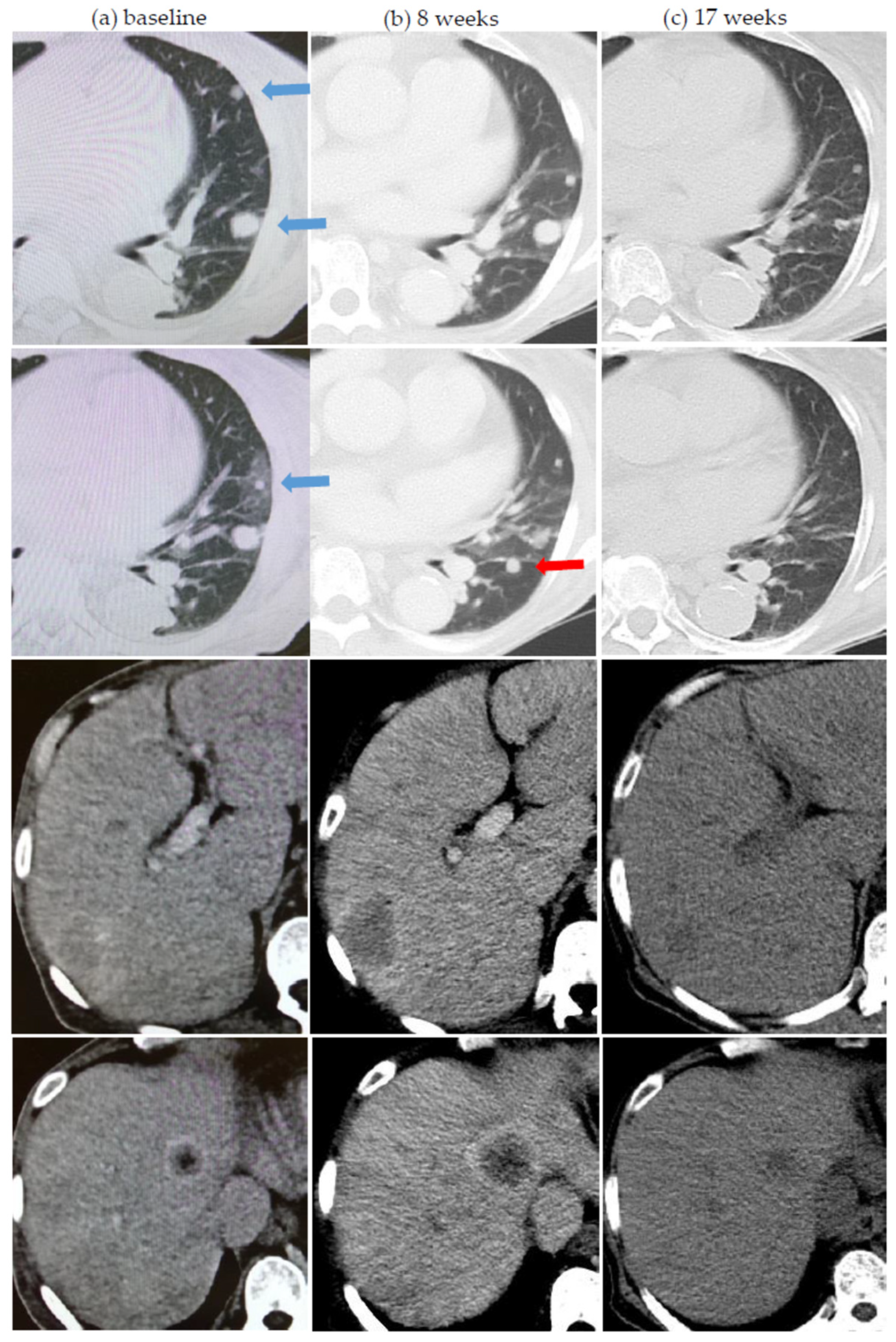
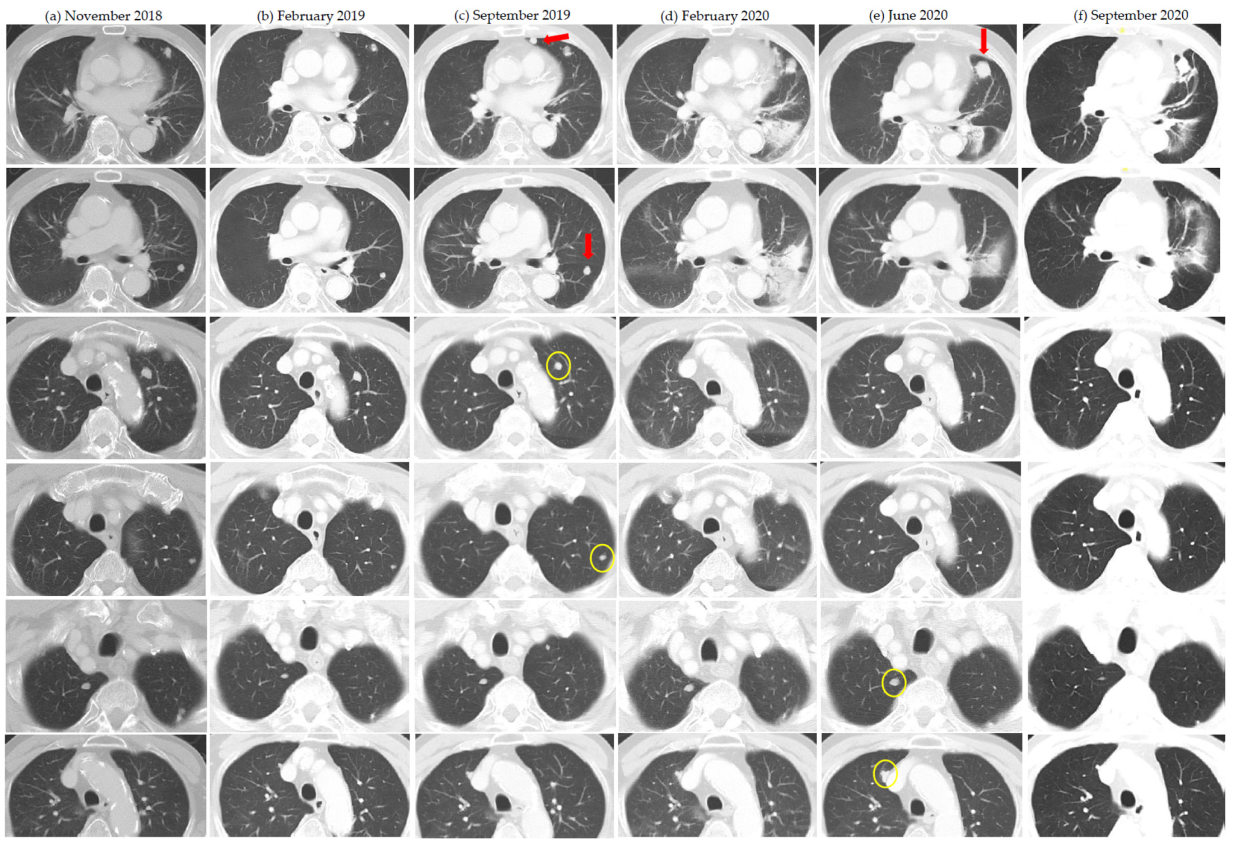
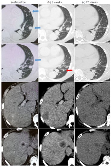
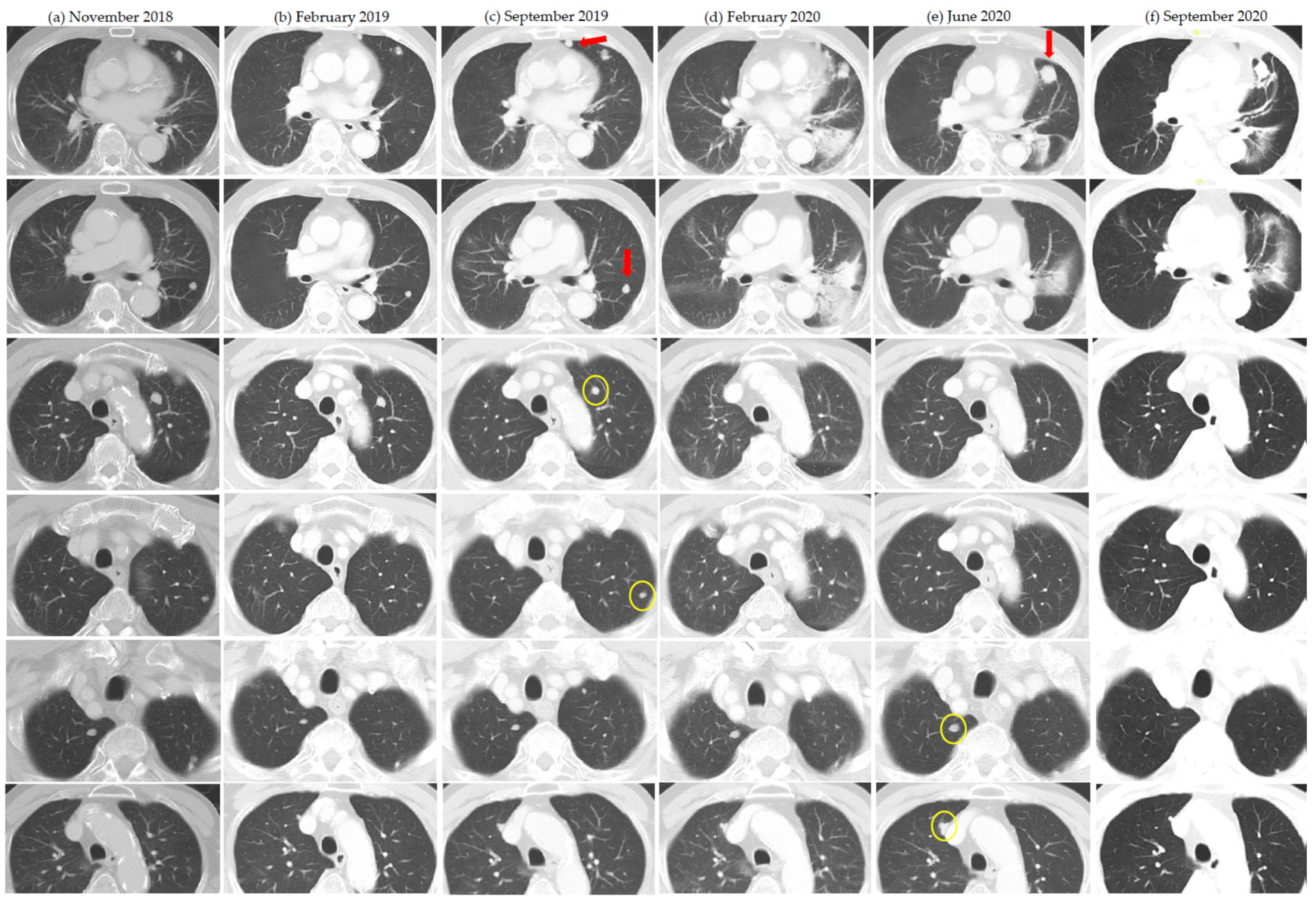
3.2. Atypical Response Patterns
3.3. Abscopal Response Patterns
3.4. Other Interesting Immune Phenomena
3.5. Survival Analyses
4. Discussion
5. Conclusions
Supplementary Materials
Author Contributions
Funding
Institutional Review Board Statement
Informed Consent Statement
Data Availability Statement
Conflicts of Interest
References
- Motzer, R.J.; Tannir, N.M.; McDermott, D.F.; Arén Frontera, O.; Melichar, B.; Choueiri, T.K.; Plimack, E.R.; Barthélémy, P.; Porta, C.; George, S.; et al. Nivolumab plus Ipilimumab versus Sunitinib in Advanced Renal-Cell Carcinoma. N. Engl. J. Med. 2018, 378, 1277–1290. [Google Scholar] [CrossRef] [PubMed]
- Motzer, R.J.; Escudier, B.; McDermott, D.F.; George, S.; Hammers, H.J.; Srinivas, S.; Tykodi, S.S.; Sosman, J.A.; Procopio, G.; Plimack, E.R.; et al. Nivolumab versus Everolimus in Advanced Renal-Cell Carcinoma. N. Engl. J. Med. 2015, 373, 1803–1813. [Google Scholar] [CrossRef] [PubMed]
- Wong, A.S.; Chong, K.T.; Heng, C.T.; Consigliere, D.T.; Esuvaranathan, K.; Toh, K.L.; Chuah, B.; Lim, R.; Tan, J. Debulking nephrectomy followed by a “watch and wait” approach in metastatic renal cell carcinoma. Urol. Oncol. 2009, 27, 149–154. [Google Scholar] [CrossRef]
- Eisenhauer, E.A.; Therasse, P.; Bogaerts, J.; Schwartz, L.H.; Sargent, D.; Ford, R.; Dancey, J.; Arbuck, S.; Gwyther, S.; Mooney, M.; et al. New response evaluation criteria in solid tumours: Revised RECIST guideline (version 1.1). Eur. J. Cancer 2009, 45, 228–247. [Google Scholar] [CrossRef] [PubMed]
- Borcoman, E.; Kanjanapan, Y.; Champiat, S.; Kato, S.; Servois, V.; Kurzrock, R.; Goel, S.; Bedard, P.; Le Tourneau, C. Novel patterns of response under immunotherapy. Ann. Oncol. 2019, 30, 385–396. [Google Scholar] [CrossRef] [PubMed]
- Borcoman, E.; Nandikolla, A.; Long, G.; Goel, S.; Le Tourneau, C. Patterns of Response and Progression to Immunotherapy. Am. Soc. Clin. Oncol. Educ. Book. 2018, 38, 169–178. [Google Scholar] [CrossRef] [PubMed]
- Humbert, O.; Chardin, D. Dissociated Response in Metastatic Cancer: An Atypical Pattern Brought Into the Spotlight with Immunotherapy. Front. Oncol. 2020, 10, 566297. [Google Scholar] [CrossRef] [PubMed]
- Xing, D.; Siva, S.; Hanna, G.G. The Abscopal Effect of Stereotactic Radiotherapy and Immunotherapy: Fool’s Gold or El Dorado? Clin. Oncol. R. Coll. Radiol. 2019, 31, 432–443. [Google Scholar] [CrossRef]
- Tazdait, M.; Mezquita, L.; Lahmar, J.; Ferrara, R.; Bidault, F.; Ammari, S.; Balleyguier, C.; Planchard, D.; Gazzah, A.; Soria, J.C.; et al. Patterns of responses in metastatic NSCLC during PD-1 or PDL-1 inhibitor therapy: Comparison of RECIST 1.1, irRECIST and iRECIST criteria. Eur. J. Cancer 2018, 88, 38–47. [Google Scholar] [CrossRef]
- Wolchok, J.D.; Hoos, A.; O’Day, S.; Weber, J.S.; Hamid, O.; Lebbé, C.; Maio, M.; Binder, M.; Bohnsack, O.; Nichol, G.; et al. Guidelines for the Evaluation of Immune Therapy Activity in Solid Tumors: Immune-Related Response Criteria. Clin. Cancer Res. 2009, 15, 7412–7420. [Google Scholar] [CrossRef]
- Ozaki, Y.; Shindoh, J.; Miura, Y.; Nakajima, H.; Oki, R.; Uchiyama, M.; Masuda, J.; Kinowaki, K.; Kondoh, C.; Tanabe, Y.; et al. Serial pseudoprogression of metastatic malignant melanoma in a patient treated with nivolumab: A case report. BMC Cancer 2017, 17, 778. [Google Scholar] [CrossRef] [PubMed]
- De Velasco, G.; Krajewski, K.; Albiges, L.; Awad, M.; Bellmunt, J.; Hodi, F.; Choueiri, T.K. Radiologic Heterogeneity in Responses to Anti-PD-1/PD-L1 Therapy in Metastatic Renal Cell Carcinoma. Cancer Immunol. Res. 2016, 4, 12–17. [Google Scholar] [CrossRef]
- Vaflard, P.; Paoletti, X.; Servois, V.; Pons-Tostivint, E.; Sablin, M.P.; Ricci, F.; Loirat, D.; Hescot, S.; Torossian, N.; Borcoman, E.; et al. Dissociated responses in patients with metastatic solid tumors treated with immunotherapy. Ann. Oncol. 2019, 30 (Suppl. 5), v475–v532. [Google Scholar] [CrossRef]
- Heng, D.Y.; Xie, W.; Regan, M.M.; Warren, M.A.; Golshayan, A.R.; Sahi, C.; Eigl, B.J.; Ruether, J.D.; Cheng, T.; North, S.; et al. Prognostic factors for overall survival in patients with metastatic renal cell carcinoma treated with vascular endothelial growth factor-targeted agents: Results from a large, multicenter study. J. Clin. Oncol. 2009, 27, 5794–5799. [Google Scholar] [CrossRef]
- Park, H.J.; Kim, K.W.; Pyo, J.; Suh, C.H.; Yoon, S.; Hatabu, H.; Nishino, M. Incidence of Pseudoprogression during Immune Checkpoint Inhibitor Therapy for Solid Tumors: A Systematic Review and Meta-Analysis. Radiology 2020, 297, 87–96. [Google Scholar] [CrossRef]
- Cheung, P.; Thibault, I.; Bjarnason, G.A. The emerging roles of stereotactic ablative radiotherapy for metastatic renal cell carcinoma. Curr. Opin. Support. Palliat. Care 2014, 8, 258–264. [Google Scholar] [CrossRef]
- Rassy, E.; Flippot, R.; Albiges, L. Tyrosine kinase inhibitors and immunotherapy combinations in renal cell carcinoma. Ther. Adv. Med. Oncol. 2020, 12. [Google Scholar] [CrossRef]
- Fisher, R.; Larkin, J.; Swanton, C. Inter and Intratumour Heterogeneity: A Barrier to Individualized Medical Therapy in Renal Cell Carcinoma? Front. Oncol. 2012, 2, 49. [Google Scholar] [CrossRef]
- Wei, X.; Choudhury, Y.; Lim, W.K.; Anema, J.; Kahnoski, R.J.; Lane, B.; Ludlow, J.; Takahashi, M.; Kanayama, H.; Belldegrun, A.; et al. Recognizing the Continuous Nature of Expression Heterogeneity and Clinical Outcomes in Clear Cell Renal Cell Carcinoma. Sci. Rep. 2017, 7, 7342. [Google Scholar] [CrossRef] [PubMed]
- Trommer, M.; Yeo, S.Y.; Persigehl, T.; Bunck, A.; Grüll, H.; Schlaak, M.; Theurich, S.; von Bergwelt-Baildon, M.; Morgenthaler, J.; Herter, J.M.; et al. Abscopal Effects in Radio-Immunotherapy-Response Analysis of Metastatic Cancer Patients With Progressive Disease Under Anti-PD-1 Immune Checkpoint Inhibition. Front. Pharmacol. 2019, 10, 511. [Google Scholar] [CrossRef] [PubMed]
- Romano, E.; Honeychurch, J.; Illidge, T.M. Radiotherapy-Immunotherapy Combination: How Will We Bridge the Gap Between Pre-Clinical Promise and Effective Clinical Delivery? Cancers 2021, 13, 457. [Google Scholar] [CrossRef]
- Reynders, K.; Illidge, T.; Siva, S.; Chang, J.Y.; De Ruysscher, D. The abscopal effect of local radiotherapy: Using immunotherapy to make a rare event clinically relevant. Cancer Treat. Rev. 2015, 41, 503–510. [Google Scholar] [CrossRef]
- Arina, A.; Gutiontov, S.I.; Weichselbaum, R.R. Radiotherapy and Immunotherapy for Cancer: From “Systemic” to “Multisite”. Clin. Cancer Res. 2020, 26, 2777–2782. [Google Scholar] [CrossRef]
- Brooks, E.D.; Chang, J.Y. Time to abandon single-site irradiation for inducing abscopal effects. Nat. Rev. Clin. Oncol. 2019, 16, 123–135. [Google Scholar] [CrossRef]
- Luke, J.J.; Lemons, J.M.; Karrison, T.G.; Pitroda, S.P.; Melotek, J.M.; Zha, Y.; Al-Hallaq, H.A.; Arina, A.; Khodarev, N.N.; Janisch, L.; et al. Safety and Clinical Activity of Pembrolizumab and Multisite Stereotactic Body Radiotherapy in Patients with Advanced Solid Tumors. J. Clin. Oncol. 2018, 36, 1611–1618. [Google Scholar] [CrossRef] [PubMed]
- Frelaut, M.; Le Tourneau, C.; Borcoman, E. Hyperprogression under Immunotherapy. Int. J. Mol. Sci. 2019, 20, 2674. [Google Scholar] [CrossRef] [PubMed]
- Champiat, S.; Dercle, L.; Ammari, S.; Massard, C.; Hollebecque, A.; Postel-Vinay, S.; Chaput, N.; Eggermont, A.; Marabelle, A.; Soria, J.-C.; et al. Hyperprogressive Disease Is a New Pattern of Progression in Cancer Patients Treated by Anti-PD-1/PD-L1. Clin. Cancer Res. 2017, 23, 1920–1928. [Google Scholar] [CrossRef]
- Iacovelli, R.; Massari, F.; Albiges, L.; Loriot, Y.; Massard, C.; Fizazi, K.; Escudier, B. Evidence and Clinical Relevance of Tumor Flare in Patients Who Discontinue Tyrosine Kinase Inhibitors for Treatment of Metastatic Renal Cell Carcinoma. Eur. Urol. 2015, 68, 154–160. [Google Scholar] [CrossRef] [PubMed]
- Ferrara, R.; Mezquita, L.; Texier, M.; Lahmar, J.; Audigier-Valette, C.; Tessonnier, L.; Mazieres, J.; Zalcman, G.; Brosseau, S.; Le Moulec, S.; et al. Hyperprogressive Disease in Patients With Advanced Non-Small Cell Lung Cancer Treated With PD-1/PD-L1 Inhibitors or With Single-Agent Chemotherapy. JAMA Oncol. 2018, 4, 1543–1552. [Google Scholar] [CrossRef] [PubMed]
- Wong, A.S.; Thian, Y.L.; Kapur, J.; Leong, C.N.; Kee, P.; Lee, C.T.; Lee, M.B. Pushing the limits of immune-related response: A case of “extreme pseudoprogression”. Cancer Immunol. Immunother. 2018, 67, 1105–1111. [Google Scholar] [CrossRef] [PubMed]
- Baba, T.; Sakai, F.; Kato, T.; Kusumoto, M.; Kenmotsu, H.; Sugiura, H.; Tominaga, J.; Oikado, K.; Sata, M.; Endo, M.; et al. Radiologic features of pneumonitis associated with nivolumab in non-small-cell lung cancer and malignant melanoma. Future Oncol. 2019, 15, 1911–1920. [Google Scholar] [CrossRef]
- Wahl, R.L.; Jacene, H.; Kasamon, Y.; Lodge, M.A. From RECIST to PERCIST: Evolving Considerations for PET response criteria in solid tumors. J. Nucl. Med. 2009, 50, 122S–150S. [Google Scholar] [CrossRef]
- Ito, K.; Teng, R.; Schöder, H.; Humm, J.L.; Ni, A.; Michaud, L.; Nakajima, R.; Yamashita, R.; Wolchok, J.D.; Weber, W.A. 18F-FDG PET/CT for Monitoring of Ipilimumab Therapy in Patients with Metastatic Melanoma. J. Nucl. Med. 2019, 60, 335–341. [Google Scholar] [CrossRef]
- Goldfarb, L.; Duchemann, B.; Chouahnia, K.; Zelek, L.; Soussan, M. Monitoring anti-PD-1-based immunotherapy in non-small cell lung cancer with FDG PET: Introduction of iPERCIST. EJNMMI Res. 2019, 9, 8. [Google Scholar] [CrossRef]
- Cheson, B.D.; Ansel, L.; Schwartz, L.; Gordon, L.I.; Advani, R.; Jacene, H.A.; Hoos, A.; Barrington, S.F.; Armand, P. Refinement of the Lugano Classification lymphoma response criteria in the era of immunomodulatory therapy. Blood 2016, 128, 2489–2496. [Google Scholar] [CrossRef] [PubMed]
- George, S.; Motzer, R.J.; Hammers, H.J.; Redman, B.G.; Kuzel, T.M.; Tykodi, S.S.; Plimack, E.R.; Jiang, J.; Waxman, I.M.; Rini, B.I. Safety and efficacy of nivolumab in patients with metastatic renal cell carcinoma treated beyond progression: A subgroup analysis of a randomized clinical trial. JAMA Oncol. 2016, 2, 1179–1186. [Google Scholar] [CrossRef] [PubMed]
- Escudier, B.; Motzer, R.J.; Sharma, P.; Wagstaff, J.; Plimack, E.R.; Hammers, H.J.; Donskov, F.; Gurney, H.; Sosman, J.A.; Zalewski, P.G.; et al. Treatment beyond progression in patients with advanced renal cell carcinoma treated with Nivolumab in CheckMate 025. Eur. Urol. 2017, 72, 368–376. [Google Scholar] [CrossRef]
- Mulkey, F.; Theoret, M.R.; Keegan, P.; Pazdur, R.; Sridhara, R. Comparison of iRECIST versus RECIST V.1.1 in patients treated with an anti-PD-1 or PD-L1 antibody: Pooled FDA analysis. J. Immunother. Cancer 2020, 8, e000146. [Google Scholar] [CrossRef] [PubMed]
- Seymour, L.; Bogaerts, J.; Perrone, A.; Ford, R.; Schwartz, L.H.; Mandrekar, S.; Lin, N.U.; Litière, S.; Dancey, J.; Chen, A.; et al. iRECIST: Guidelines for response criteria for use in trials testing immunotherapeutics. Lancet Oncol. 2017, 18, e143–e152. [Google Scholar] [CrossRef]
- Bernard-Tessier, A.; Baldini, C.; Martin, P.; Champiat, S.; Hollebecque, A.; Postel-Vinay, S.; Varga, A.; Bahleda, R.; Gazzah, A.; Michot, J.M.; et al. Outcomes of long-term responders to anti-programmed death 1 and anti-programmed death ligand 1 when being rechallenged with the same anti-programmed death 1 and anti-programmed death ligand 1 at progression. Eur. J. Cancer 2018, 101, 160–164. [Google Scholar] [CrossRef]
- George, G.; Schmidt, L.; Tolat, P.; Riese, M.; Kilari, D. Salvage ipilimumab associated with a significant response in sarcomatoid renal cell carcinoma. J. Immunother. Cancer 2020, 8, e000584. [Google Scholar] [CrossRef] [PubMed]
- Postow, M.A.; Callahan, M.K.; Barker, C.A.; Yamada, Y.; Yuan, J.; Kitano, S.; Mu, Z.; Rasalan, T.; Adamow, M.; Ritter, E.; et al. Immunologic correlates of the abscopal effect in a patient with melanoma. N. Engl. J. Med. 2012, 366, 925–931. [Google Scholar] [CrossRef] [PubMed]




| N | % | |
|---|---|---|
| Age (years) | Median 60 | Range 42–84 |
| Gender (male) | 34 | 73.9 |
| Race | ||
| Chinese | 38 | 82.6 |
| Malay | 4 | 8.7 |
| Indian | 2 | 4.3 |
| Caucasian | 2 | 4.3 |
| ECOG 1 performance status | ||
| 0–1 | 30 | 65.2 |
| 2–3 | 16 | 34.8 |
| Histology | ||
| Clear cell | 37 | 80.4 |
| Sarcomatoid/rhabdoid component | 12 | 26.1 |
| Papillary | 1 | 2.2 |
| Fuhrman/ISUP 2 3–4 | 32 | 69.6 |
| IMDC 3 risk | ||
| Good | 9 | 19.6 |
| Intermediate | 26 | 56.5 |
| Poor | 11 | 23.9 |
| Prior nephrectomy | 38 | 82.6 |
| ICI 4 regime | ||
| Ipilimumab-Nivolumab | 15 | 32.6 |
| Nivolumab or Pembrolizumab | 31 | 67.4 |
| Treatment setting | ||
| 1st line | 22 | 47.8 |
| 2nd line | 13 | 28.2 |
| 3rd line and beyond | 11 | 23.9 |
| Concurrent radiation | ||
| Any concurrent radiation | 26 | 56.5 |
| Concurrent SBRT 5/GKS 6 | 20 | 43.5 |
| Ipilimumab-Nivolumab | Nivolumab or Pembrolizumab | Combination or Single-Agent ICI 1 | ||||
|---|---|---|---|---|---|---|
| N | % | N | % | N | % | |
| Patients | 15 | 100 | 31 | 100 | 46 | 100 |
| Any atypical response patterns | 9 | 60 | 15 | 48.4 | 24 | 52.2 |
| Pseudoprogression | 4 | 26.7 | 11 | 35.5 | 15 | 32.6 |
| Serial pseudoprogression | 2 | 13.3 | 2 | 6.5 | 4 | 8.7 |
| Symptomatic pseudoprogression | 0 | 0 | 1 | 3.2 | 1 | 2.2 |
| Dissociated response | 9 | 60 | 13 | 41.9 | 22 | 47.8 |
| Abscopal response | 4 | 26.7 | 5 | 16.1 | 9 | 19.6 |
| Late response | 2 | 13.3 | 3 | 9.7 | 5 | 10.9 |
| Durable response after cessation | 0 | 0 | 2 | 6.5 | 2 | 4.3 |
| Multiple atypical response patterns | 6 | 40 | 12 | 38.7 | 18 | 39.1 |
| Patient Number | ICI 1 Regime | Time of RT 2 from Start of ICI (Months) | RT Regime (Dose/Fractions) | Concurrent with ICI | RT Site | Abscopal Response (Site, Number of Lesions) | Number of Prior Scans with Non-response | Other Remarks |
|---|---|---|---|---|---|---|---|---|
| 1 | Ipilimumab + Nivolumab | 6 | 55Gy/20 | Yes | Lung | Lung, 1 | 3 | |
| 2 | Ipilimumab + Nivolumab | 6 | 25Gy/5 | 2 months after last dose of ICI | Femur, rib | Nephrectomy bed, 1 | 3 | CRS 3 after 2 fractions |
| 3 | Ipilimumab + Nivolumab | 10 14 | 36Gy/3 30Gy/5 | Yes Yes | Lung Adrenal | Lung, 2 Lung, 1 | 2 5 | 1 tumor with abscopal response after initial enlargement post SBRT 4 |
| 4 | Ipilimumab + Nivolumab | 12 | GKS 5 25Gy | 1 month after last dose of ICI | Brain (4 lesions) | Intramuscular, 1 | 2 | |
| 5 | Pembrolizumab | 3 6 | 8Gy/1 27Gy/3 | Yes Yes | Femur Pubic bone | Liver, several | 1 | Concurrent axitinib from prior line of treatment maintained |
| 6 | Nivolumab | 17 26 | 54Gy/3 42Gy/5 25Gy/5 | Yes Yes | Lung Lung | Lung, 2 Lung, 2 | 5 3 | Prior spontaneous regression and dissociated response after cytoreductive nephrectomy |
| 7 | Nivolumab | 6 7 7 | 50Gy/20 48Gy/3 48Gy/3 | Yes | Lung Lung Lung | Lung, 1 | 1 | |
| 8 | Nivolumab | 9 12 12 | 20Gy/5 24Gy/3 GKS 25Gy | Yes | Femur Iliac bone Brain (2 lesions) | Lung, several | 2 | |
| 9 | Nivolumab | 5 5 | 27Gy/3 24Gy/3 | Yes | Iliac bone Spine | Lung, several Kidney, 1 | 2 |
Publisher’s Note: MDPI stays neutral with regard to jurisdictional claims in published maps and institutional affiliations. |
© 2021 by the authors. Licensee MDPI, Basel, Switzerland. This article is an open access article distributed under the terms and conditions of the Creative Commons Attribution (CC BY) license (https://creativecommons.org/licenses/by/4.0/).
Share and Cite
Wong, A.; Vellayappan, B.; Cheng, L.; Zhao, J.J.; Muthu, V.; Asokumaran, Y.; Low, J.-L.; Lee, M.; Huang, Y.-Q.; Kumarakulasinghe, N.B.; et al. Atypical Response Patterns in Renal Cell Carcinoma Treated with Immune Checkpoint Inhibitors—Navigating the Radiologic Potpourri. Cancers 2021, 13, 1689. https://doi.org/10.3390/cancers13071689
Wong A, Vellayappan B, Cheng L, Zhao JJ, Muthu V, Asokumaran Y, Low J-L, Lee M, Huang Y-Q, Kumarakulasinghe NB, et al. Atypical Response Patterns in Renal Cell Carcinoma Treated with Immune Checkpoint Inhibitors—Navigating the Radiologic Potpourri. Cancers. 2021; 13(7):1689. https://doi.org/10.3390/cancers13071689
Chicago/Turabian StyleWong, Alvin, Balamurugan Vellayappan, Lenith Cheng, Joseph J. Zhao, Vaishnavi Muthu, Yugarajah Asokumaran, Jia-Li Low, Matilda Lee, Yi-Qing Huang, Nesaretnam Barr Kumarakulasinghe, and et al. 2021. "Atypical Response Patterns in Renal Cell Carcinoma Treated with Immune Checkpoint Inhibitors—Navigating the Radiologic Potpourri" Cancers 13, no. 7: 1689. https://doi.org/10.3390/cancers13071689
APA StyleWong, A., Vellayappan, B., Cheng, L., Zhao, J. J., Muthu, V., Asokumaran, Y., Low, J.-L., Lee, M., Huang, Y.-Q., Kumarakulasinghe, N. B., Ngoi, N., Leong, C.-N., Chua, W., & Thian, Y.-L. (2021). Atypical Response Patterns in Renal Cell Carcinoma Treated with Immune Checkpoint Inhibitors—Navigating the Radiologic Potpourri. Cancers, 13(7), 1689. https://doi.org/10.3390/cancers13071689

