Assessing PD-L1 Expression Status Using Radiomic Features from Contrast-Enhanced Breast MRI in Breast Cancer Patients: Initial Results
Abstract
:Simple Summary
Abstract
1. Introduction
2. Materials and Methods
2.1. Patient Selection
2.2. Breast Imaging Acquisition
2.3. Qualitative Imaging Assessment
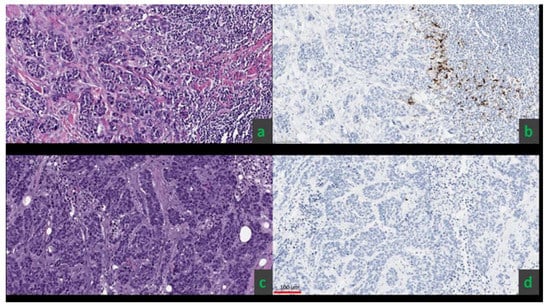
2.4. Histopathologic Assessment of PD-L1 Expression Status
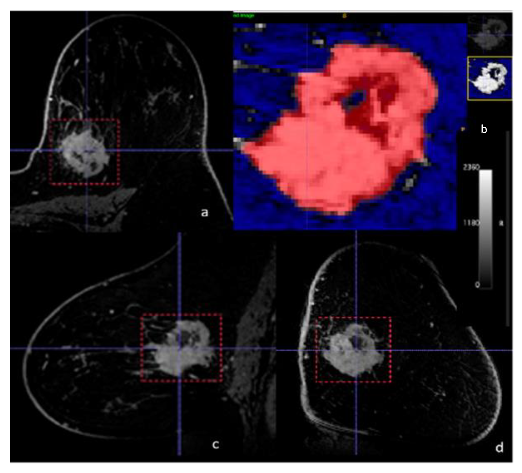
2.5. Radiomics Analysis
2.6. Statistical Analysis
3. Results
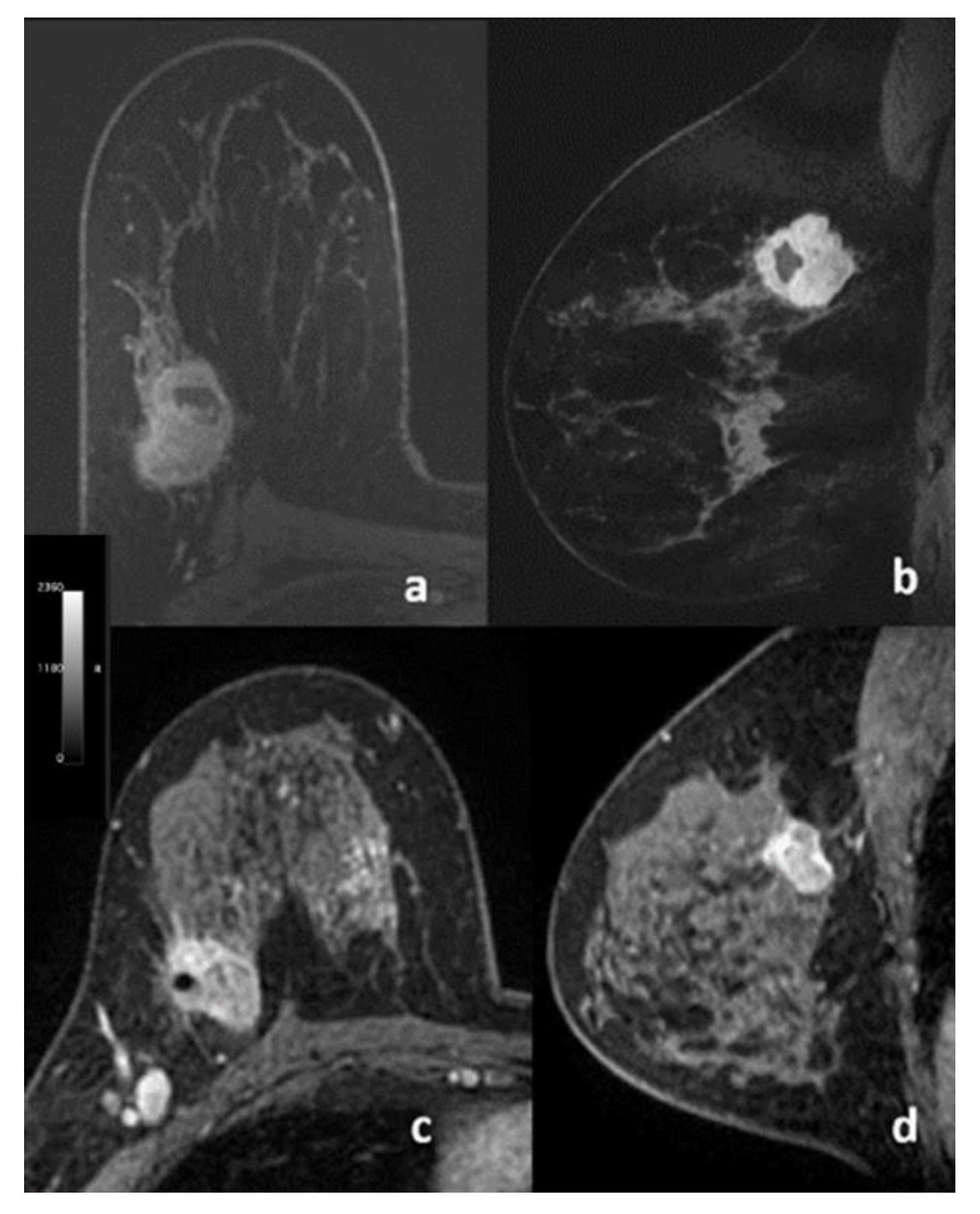
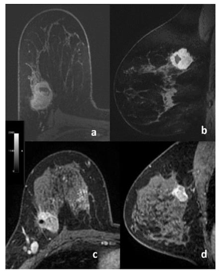
3.1. Patient Sample and Breast Lesion Characteristics
3.2. Radiomics Analysis and ML
3.3. Quantitative Assessment Using BI-RADS
4. Discussion
5. Conclusions
Supplementary Materials
Author Contributions
Funding
Institutional Review Board Statement
Informed Consent Statement
Data Availability Statement
Acknowledgments
Conflicts of Interest
References
- Alexandrov, L.B.; Nik-Zainal, S.; Wedge, D.C.; Aparicio, S.A.; Behjati, S.; Biankin, A.V.; Bignell, G.R.; Bolli, N.; Borg, A.; Børresen-Dale, A.L.; et al. Signatures of mutational processes in human cancer. Nature 2013, 500, 415–421. [Google Scholar] [CrossRef] [Green Version]
- Allison, J.P. Immune Checkpoint Blockade in Cancer Therapy: The 2015 Lasker-DeBakey Clinical Medical Research Award. Jama 2015, 314, 1113–1114. [Google Scholar] [CrossRef] [PubMed]
- Ohaegbulam, K.C.; Assal, A.; Lazar-Molnar, E.; Yao, Y.; Zang, X. Human cancer immunotherapy with antibodies to the PD-1 and PD-L1 pathway. Trends Mol. Med. 2015, 21, 24–33. [Google Scholar] [CrossRef] [PubMed] [Green Version]
- Loi, S.; Michiels, S.; Salgado, R.; Sirtaine, N.; Jose, V.; Fumagalli, D.; Kellokumpu-Lehtinen, P.L.; Bono, P.; Kataja, V.; Desmedt, C.; et al. Tumor infiltrating lymphocytes are prognostic in triple negative breast cancer and predictive for trastuzumab benefit in early breast cancer: Results from the FinHER trial. Ann. Oncol. 2014, 25, 1544–1550. [Google Scholar] [CrossRef]
- Denkert, C.; Loibl, S.; Noske, A.; Roller, M.; Müller, B.M.; Komor, M.; Budczies, J.; Darb-Esfahani, S.; Kronenwett, R.; Hanusch, C.; et al. Tumor-associated lymphocytes as an independent predictor of response to neoadjuvant chemotherapy in breast cancer. J. Clin. Oncol. 2010, 28, 105–113. [Google Scholar] [CrossRef] [PubMed]
- Ali, H.R.; Provenzano, E.; Dawson, S.J.; Blows, F.M.; Liu, B.; Shah, M.; Earl, H.M.; Poole, C.J.; Hiller, L.; Dunn, J.A.; et al. Association between CD8+ T-cell infiltration and breast cancer survival in 12,439 patients. Ann. Oncol. 2014, 25, 1536–1543. [Google Scholar] [CrossRef]
- Pérez-García, J.M.; Llombart-Cussac, A.; María, G.C.; Curigliano, G.; López-Miranda, E.; Alonso, J.L.; Bermejo, B.; Calvo, L.; Carañana, V.; de la Cruz Sánchez, S.; et al. Pembrolizumab plus eribulin in hormone-receptor-positive, HER2-negative, locally recurrent or metastatic breast cancer (KELLY): An open-label, multicentre, single-arm, phase II trial. Eur. J. Cancer 2021, 148, 382–394. [Google Scholar] [CrossRef]
- Guleria, I.; Khosroshahi, A.; Ansari, M.J.; Habicht, A.; Azuma, M.; Yagita, H.; Noelle, R.J.; Coyle, A.; Mellor, A.L.; Khoury, S.J.; et al. A critical role for the programmed death ligand 1 in fetomaternal tolerance. J. Exp. Med. 2005, 202, 231–237. [Google Scholar] [CrossRef] [PubMed] [Green Version]
- Kula, A.; Dawidowicz, M.; Kiczmer, P.; Prawdzic Seńkowska, A.; Świętochowska, E. The role of genetic polymorphism within PD-L1 gene in cancer. Review. Exp. Mol. Pathol. 2020, 116, 104494. [Google Scholar] [CrossRef]
- Paver, E.C.; Cooper, W.A.; Colebatch, A.J.; Ferguson, P.M.; Hill, S.K.; Lum, T.; Shin, J.S.; O’Toole, S.; Anderson, L.; Scolyer, R.A.; et al. Programmed death ligand-1 (PD-L1) as a predictive marker for immunotherapy in solid tumours: A guide to immunohistochemistry implementation and interpretation. Pathology 2021, 53, 141–156. [Google Scholar] [CrossRef] [PubMed]
- Sabatier, R.; Finetti, P.; Mamessier, E.; Adelaide, J.; Chaffanet, M.; Ali, H.R.; Viens, P.; Caldas, C.; Birnbaum, D.; Bertucci, F. Prognostic and predictive value of PDL1 expression in breast cancer. Oncotarget 2015, 6, 5449–5464. [Google Scholar] [CrossRef] [PubMed] [Green Version]
- Mittendorf, E.A.; Philips, A.V.; Meric-Bernstam, F.; Qiao, N.; Wu, Y.; Harrington, S.; Su, X.; Wang, Y.; Gonzalez-Angulo, A.M.; Akcakanat, A.; et al. PD-L1 expression in triple-negative breast cancer. Cancer Immunol. Res. 2014, 2, 361–370. [Google Scholar] [CrossRef] [Green Version]
- Adams, S.; Loi, S.; Toppmeyer, D.; Cescon, D.W.; De Laurentiis, M.; Nanda, R.; Winer, E.P.; Mukai, H.; Tamura, K.; Armstrong, A.; et al. Pembrolizumab monotherapy for previously untreated, PD-L1-positive, metastatic triple-negative breast cancer: Cohort B of the phase II KEYNOTE-086 study. Ann. Oncol. 2019, 30, 405–411. [Google Scholar] [CrossRef] [PubMed] [Green Version]
- Schmid, P.; Adams, S.; Rugo, H.S.; Schneeweiss, A.; Barrios, C.H.; Iwata, H.; Diéras, V.; Hegg, R.; Im, S.A.; Shaw Wright, G.; et al. Atezolizumab and Nab-Paclitaxel in Advanced Triple-Negative Breast Cancer. N. Engl. J. Med. 2018, 379, 2108–2121. [Google Scholar] [CrossRef] [PubMed]
- Mavratzas, A.; Seitz, J.; Smetanay, K.; Schneeweiss, A.; Jäger, D.; Fremd, C. Atezolizumab for use in PD-L1-positive unresectable, locally advanced or metastatic triple-negative breast cancer. Future Oncol. 2020, 16, 4439–4453. [Google Scholar] [CrossRef]
- Huang, W.; Ran, R.; Shao, B.; Li, H. Prognostic and clinicopathological value of PD-L1 expression in primary breast cancer: A meta-analysis. Breast Cancer Res. Treat. 2019, 178, 17–33. [Google Scholar] [CrossRef]
- Barrett, M.T.; Lenkiewicz, E.; Malasi, S.; Basu, A.; Yearley, J.H.; Annamalai, L.; McCullough, A.E.; Kosiorek, H.E.; Narang, P.; Wilson Sayres, M.A.; et al. The association of genomic lesions and PD-1/PD-L1 expression in resected triple-negative breast cancers. Breast Cancer Res. 2018, 20, 71. [Google Scholar] [CrossRef] [Green Version]
- Bai, H.X.; Lee, A.M.; Yang, L.; Zhang, P.; Davatzikos, C.; Maris, J.M.; Diskin, S.J. Imaging genomics in cancer research: Limitations and promises. Br. J. Radiol. 2016, 89, 20151030. [Google Scholar] [CrossRef] [Green Version]
- Sobral-Leite, M.; Van de Vijver, K.; Michaut, M.; van der Linden, R.; Hooijer, G.K.J.; Horlings, H.M.; Severson, T.M.; Mulligan, A.M.; Weerasooriya, N.; Sanders, J.; et al. Assessment of PD-L1 expression across breast cancer molecular subtypes, in relation to mutation rate, BRCA1-like status, tumor-infiltrating immune cells and survival. Oncoimmunology 2018, 7, e1509820. [Google Scholar] [CrossRef] [Green Version]
- Aerts, H.J.; Velazquez, E.R.; Leijenaar, R.T.; Parmar, C.; Grossmann, P.; Carvalho, S.; Bussink, J.; Monshouwer, R.; Haibe-Kains, B.; Rietveld, D.; et al. Decoding tumour phenotype by noninvasive imaging using a quantitative radiomics approach. Nat. Commun. 2014, 5, 4006. [Google Scholar] [CrossRef]
- Lambin, P.; Leijenaar, R.T.H.; Deist, T.M.; Peerlings, J.; de Jong, E.E.C.; van Timmeren, J.; Sanduleanu, S.; Larue, R.; Even, A.J.G.; Jochems, A.; et al. Radiomics: The bridge between medical imaging and personalized medicine. Nat. Rev. Clin. Oncol. 2017, 14, 749–762. [Google Scholar] [CrossRef] [PubMed]
- Ha, R.; Chin, C.; Karcich, J.; Liu, M.Z.; Chang, P.; Mutasa, S.; Pascual Van Sant, E.; Wynn, R.T.; Connolly, E.; Jambawalikar, S. Prior to Initiation of Chemotherapy, Can We Predict Breast Tumor Response? Deep Learning Convolutional Neural Networks Approach Using a Breast MRI Tumor Dataset. J. Digit. Imaging 2019, 32, 693–701. [Google Scholar] [CrossRef] [PubMed]
- Lo Gullo, R.; Eskreis-Winkler, S.; Morris, E.A.; Pinker, K. Machine learning with multiparametric magnetic resonance imaging of the breast for early prediction of response to neoadjuvant chemotherapy. Breast 2020, 49, 115–122. [Google Scholar] [CrossRef] [Green Version]
- Tahmassebi, A.; Wengert, G.J.; Helbich, T.H.; Bago-Horvath, Z.; Alaei, S.; Bartsch, R.; Dubsky, P.; Baltzer, P.; Clauser, P.; Kapetas, P.; et al. Impact of Machine Learning With Multiparametric Magnetic Resonance Imaging of the Breast for Early Prediction of Response to Neoadjuvant Chemotherapy and Survival Outcomes in Breast Cancer Patients. Invest. Radiol. 2019, 54, 110–117. [Google Scholar] [CrossRef] [PubMed]
- Liu, Z.; Li, Z.; Qu, J.; Zhang, R.; Zhou, X.; Li, L.; Sun, K.; Tang, Z.; Jiang, H.; Li, H.; et al. Radiomics of Multiparametric MRI for Pretreatment Prediction of Pathologic Complete Response to Neoadjuvant Chemotherapy in Breast Cancer: A Multicenter Study. Clin. Cancer Res. 2019, 25, 3538–3547. [Google Scholar] [CrossRef] [Green Version]
- Bitencourt, A.G.V.; Gibbs, P.; Rossi Saccarelli, C.; Daimiel, I.; Lo Gullo, R.; Fox, M.J.; Thakur, S.; Pinker, K.; Morris, E.A.; Morrow, M.; et al. MRI-based machine learning radiomics can predict HER2 expression level and pathologic response after neoadjuvant therapy in HER2 overexpressing breast cancer. EBioMedicine 2020, 61, 103042. [Google Scholar] [CrossRef]
- Dembrower, K.; Liu, Y.; Azizpour, H.; Eklund, M.; Smith, K.; Lindholm, P.; Strand, F. Comparison of a Deep Learning Risk Score and Standard Mammographic Density Score for Breast Cancer Risk Prediction. Radiology 2020, 294, 265–272. [Google Scholar] [CrossRef]
- Yala, A.; Lehman, C.; Schuster, T.; Portnoi, T.; Barzilay, R. A Deep Learning Mammography-based Model for Improved Breast Cancer Risk Prediction. Radiology 2019, 292, 60–66. [Google Scholar] [CrossRef] [Green Version]
- Guo, W.; Li, H.; Zhu, Y.; Lan, L.; Yang, S.; Drukker, K.; Morris, E.; Burnside, E.; Whitman, G.; Giger, M.L.; et al. Prediction of clinical phenotypes in invasive breast carcinomas from the integration of radiomics and genomics data. J. Med. Imaging (Bellingham) 2015, 2, 041007. [Google Scholar] [CrossRef]
- Bismeijer, T.; van der Velden, B.H.M.; Canisius, S.; Lips, E.H.; Loo, C.E.; Viergever, M.A.; Wesseling, J.; Gilhuijs, K.G.A.; Wessels, L.F.A. Radiogenomic Analysis of Breast Cancer by Linking MRI Phenotypes with Tumor Gene Expression. Radiology 2020, 296, 277–287. [Google Scholar] [CrossRef]
- Mehta, S.; Hughes, N.P.; Li, S.; Jubb, A.; Adams, R.; Lord, S.; Koumakis, L.; van Stiphout, R.; Padhani, A.; Makris, A.; et al. Radiogenomics Monitoring in Breast Cancer Identifies Metabolism and Immune Checkpoints as Early Actionable Mechanisms of Resistance to Anti-angiogenic Treatment. EBioMedicine 2016, 10, 109–116. [Google Scholar] [CrossRef] [Green Version]
- Yamamoto, S.; Maki, D.D.; Korn, R.L.; Kuo, M.D. Radiogenomic analysis of breast cancer using MRI: A preliminary study to define the landscape. AJR Am. J. Roentgenol. 2012, 199, 654–663. [Google Scholar] [CrossRef] [PubMed]
- Dietzel, M.; Baltzer, P.A.; Dietzel, A.; Vag, T.; Gröschel, T.; Gajda, M.; Camara, O.; Kaiser, W.A. Application of artificial neural networks for the prediction of lymph node metastases to the ipsilateral axilla-initial experience in 194 patients using magnetic resonance mammography. Acta Radiol. 2010, 51, 851–858. [Google Scholar] [CrossRef] [PubMed]
- Wen, Q.; Yang, Z.; Zhu, J.; Qiu, Q.; Dai, H.; Feng, A.; Xing, L. Pretreatment CT-Based Radiomics Signature as a Potential Imaging Biomarker for Predicting the Expression of PD-L1 and CD8+TILs in ESCC. Onco Targets Ther. 2020, 13, 12003–12013. [Google Scholar] [CrossRef]
- Jiang, M.; Sun, D.; Guo, Y.; Guo, Y.; Xiao, J.; Wang, L.; Yao, X. Assessing PD-L1 Expression Level by Radiomic Features From PET/CT in Nonsmall Cell Lung Cancer Patients: An Initial Result. Acad. Radiol. 2020, 27, 171–179. [Google Scholar] [CrossRef]
- Iwatate, Y.; Hoshino, I.; Yokota, H.; Ishige, F.; Itami, M.; Mori, Y.; Chiba, S.; Arimitsu, H.; Yanagibashi, H.; Nagase, H.; et al. Radiogenomics for predicting p53 status, PD-L1 expression, and prognosis with machine learning in pancreatic cancer. Br. J. Cancer 2020, 123, 1253–1261. [Google Scholar] [CrossRef] [PubMed]
- Stovgaard, E.S.; Dyhl-Polk, A.; Roslind, A.; Balslev, E.; Nielsen, D. PD-L1 expression in breast cancer: Expression in subtypes and prognostic significance: A systematic review. Breast Cancer Res. Treat. 2019, 174, 571–584. [Google Scholar] [CrossRef]
- Stovgaard, E.S.; Nielsen, D.; Hogdall, E.; Balslev, E. Triple negative breast cancer-prognostic role of immune-related factors: A systematic review. Acta Oncol. 2018, 57, 74–82. [Google Scholar] [CrossRef] [PubMed]
- Meyer-Bäse, A.; Morra, L.; Meyer-Bäse, U.; Pinker, K. Current Status and Future Perspectives of Artificial Intelligence in Magnetic Resonance Breast Imaging. Contrast Media Mol. Imaging 2020, 2020, 6805710. [Google Scholar] [CrossRef]
- Mann, R.M.; Kuhl, C.K.; Kinkel, K.; Boetes, C. Breast MRI: Guidelines from the European Society of Breast Imaging. Eur. Radiol. 2008, 18, 1307–1318. [Google Scholar] [CrossRef] [Green Version]
- Mann, R.M.; Balleyguier, C.; Baltzer, P.A.; Bick, U.; Colin, C.; Cornford, E.; Evans, A.; Fallenberg, E.; Forrai, G.; Fuchsjäger, M.H.; et al. Breast MRI: EUSOBI recommendations for women’s information. Eur. Radiol. 2015, 25, 3669–3678. [Google Scholar] [CrossRef] [Green Version]
- Morris, E.A.; Comstock, C.E.; Lee, C.H. ACR BI-RADS® Magnetic Resonance Imaging. In ACR BI-RADS® Atlas, Breast Imaging Reporting and Data System; American College of Radiology: Reston, VA, USA, 2013. [Google Scholar]
- Marino, M.A.; Riedl, C.C.; Bernathova, M.; Bernhart, C.; Baltzer, P.A.T.; Helbich, T.H.; Pinker, K. Imaging Phenotypes in Women at High Risk for Breast Cancer on Mammography, Ultrasound, and Magnetic Resonance Imaging Using the Fifth Edition of the Breast Imaging Reporting and Data System. Eur. J. Radiol 2018, 106, 150–159. [Google Scholar] [CrossRef]
- Hoda, R.S.; Brogi, E.; Dos Anjos, C.H.; Grabenstetter, A.; Ventura, K.; Patil, S.; Selenica, P.; Weigelt, B.; Reis-Filho, J.S.; Traina, T.; et al. Clinical and pathologic features associated with PD-L1 (SP142) expression in stromal tumor-infiltrating immune cells of triple-negative breast carcinoma. Mod. Pathol. 2020, 33, 2221–2232. [Google Scholar] [CrossRef] [PubMed]
- Besson, F.L.; Henry, T.; Meyer, C.; Chevance, V.; Roblot, V.; Blanchet, E.; Arnould, V.; Grimon, G.; Chekroun, M.; Mabille, L.; et al. Rapid Contour-based Segmentation for (18)F-FDG PET Imaging of Lung Tumors by Using ITK-SNAP: Comparison to Expert-based Segmentation. Radiology 2018, 288, 277–284. [Google Scholar] [CrossRef] [PubMed] [Green Version]
- Yushkevich, P.A.; Piven, J.; Hazlett, H.C.; Smith, R.G.; Ho, S.; Gee, J.C.; Gerig, G. User-guided 3D active contour segmentation of anatomical structures: Significantly improved efficiency and reliability. Neuroimage 2006, 31, 1116–1128. [Google Scholar] [CrossRef] [Green Version]
- Apte, A.P.; Iyer, A.; Crispin-Ortuzar, M.; Pandya, R.; van Dijk, L.V.; Spezi, E.; Thor, M.; Um, H.; Veeraraghavan, H.; Oh, J.H.; et al. Technical Note: Extension of CERR for computational radiomics: A comprehensive MATLAB platform for reproducible radiomics research. Med. Phys. 2018, 45, 3713–3720. [Google Scholar] [CrossRef] [PubMed]
- Johnson, W.E.; Li, C.; Rabinovic, A. Adjusting batch effects in microarray expression data using empirical Bayes methods. Biostatistics 2007, 8, 118–127. [Google Scholar] [CrossRef]
- Fortin, J.P.; Parker, D.; Tunç, B.; Watanabe, T.; Elliott, M.A.; Ruparel, K.; Roalf, D.R.; Satterthwaite, T.D.; Gur, R.C.; Gur, R.E.; et al. Harmonization of multi-site diffusion tensor imaging data. Neuroimage 2017, 161, 149–170. [Google Scholar] [CrossRef]
- Liao, H.; Zhang, Z.; Chen, J.; Liao, M.; Xu, L.; Wu, Z.; Yuan, K.; Song, B.; Zeng, Y. Preoperative Radiomic Approach to Evaluate Tumor-Infiltrating CD8(+) T Cells in Hepatocellular Carcinoma Patients Using Contrast-Enhanced Computed Tomography. Ann. Surg. Oncol. 2019, 26, 4537–4547. [Google Scholar] [CrossRef]
- Yoon, J.; Suh, Y.J.; Han, K.; Cho, H.; Lee, H.J.; Hur, J.; Choi, B.W. Utility of CT radiomics for prediction of PD-L1 expression in advanced lung adenocarcinomas. Thorac. Cancer 2020, 11, 993–1004. [Google Scholar] [CrossRef] [PubMed] [Green Version]
- Zhang, L.; Tang, M.; Min, Z.; Lu, J.; Lei, X.; Zhang, X. Accuracy of combined dynamic contrast-enhanced magnetic resonance imaging and diffusion-weighted imaging for breast cancer detection: A meta-analysis. Acta Radiol. 2016, 57, 651–660. [Google Scholar] [CrossRef] [PubMed]



| MR Sequences | Acquisition Parameters * |
|---|---|
| Axial fat-suppressed 2D T2-weighted imaging | TR, 3500–5500 ms; TE, 100 ms; refocusing flip angle, ‘auto’; slice thickness, 3 mm; gap, 0 mm; field of view, 34–38 cm; matrix size, 320 × 320; bandwidth, 125 kHz for 1.5 T and 83 kHz for 3.0 T; parallel imaging, ‘ASSET’; acceleration factor, 2; acquisition time, 4–5 min |
| Axial DWI using 2D single-shot with echo-planar imaging (EPI) ** | 2 b-values (b = 0, 800); TR, 6000 ms; TE, ‘minimum’; flip angle, 90°; field of view, 32–38 cm, matrix size, 128 × 128 (for 1.5 T), 256 × 256 (for 3.0 T); fat suppression, ‘special’; dual shims, ’on’; slice thickness, 4–5 mm; gap, 0 mm; Number of slices, 25–30; parallel imaging, ‘ASSET’; acquisition time, 3 min |
| Axial non-fat-suppressed 3D T1-weighted imaging | TR, 4–5.2 ms; TE, 2.1–2.4 ms; flip angle, 10°; bandwidth, 100 kHz (1.5 T) and 62.5 kHz (3.0 T); field of view, 32–38 cm; matrix size, 256 × 256 (for 1.5 T) and 320 × 320 (for 3.0 T); slice thickness, 0.8–1.1 mm; gap, 0 mm; fat suppression, no; number of slices, 200–310; parallel imaging, ‘ASSET’; acquisition time, 1.5–2.0 min |
| Axial fat-suppressed 3D T1-weighted imaging using a Volume Image Breast Assessment (VIBRANT) gradient echo. One sequence before and 3 sequences after intravenous administration of a gadolinium-based contrast agent | TR, 4–5.2 ms; TE, 2.1–2.4 ms; flip angle, 10°; bandwidth, 62.5 kHz; field of view, 32–38 cm; matrix size, 256 × 256 (for 1.5 T) and 320 × 320 (for 3.0 T); slice thickness, 0.8–1.1 mm; gap, 0 mm; fat suppression, yes; number of slices, 200–310; parallel imaging, ‘ASSET’; acquisition time, 1.5–2.0 min per timepoint |
| Parameter (Class) | PD-L1 Negative | PD-L1 Positive | p-Value |
|---|---|---|---|
| Variance (FO) | 2370 (−1020 to 210,730) | 4030 (840 to 112,620) | 0.010 |
| Run length variance (RLM) | 0.17 (−0.09 to 4.47) | 0.27 (0.11 to 1.11) | 0.048 |
| large zone emphasis (SZM) | 7.0 (−13.2 to 1144.8) | 31.8 (−4.3 to 146.4) | 0.003 |
| lzlgle (SZM) | −1.0 (−2.9 to 281.3) | 8.0 (−2.0 to 28.9) | <0.001 |
| Zone level variance (SZM) | 4.8 (−12.8 to 1107.4) | 30.4 (−6.6 to 127.4) | 0.003 |
| Spearman Rank Correlation Coefficients | AUROC | |||||
|---|---|---|---|---|---|---|
| variance | rlv | lze | lzlgle | zlv | ||
| variance | 0.537 | 0.511 | 0.602 | 0.506 | 0.692 | |
| rlv | 0.537 | 0.782 | 0.665 | 0.770 | 0.648 | |
| lze | 0.511 | 0.782 | 0.912 | 0.997 | 0.723 | |
| lzlgle | 0.602 | 0.665 | 0.912 | 0.920 | 0.767 | |
| zlv | 0.506 | 0.770 | 0.997 | 0.920 | 0.723 | |
| AUROC | Sensitivity | Specificity | PPV | NPV | Accuracy |
|---|---|---|---|---|---|
| 0.904 | 90.7 | 85.1 | 88.8 | 87.8 | 88.2 |
| (0.82–0.99) | (76.9–98.2) | (66.3–95.8) | (76.3–95.2) | (72.0–95.8) | (78.1–95.3) |
| Reader 1 | Reader 2 | |||||||
|---|---|---|---|---|---|---|---|---|
| Imaging Feature | Overall | PD-L1− | PD-L1+ | p-Value | Overall | PD-L1− | PD-L1+ | p-Value |
| BPE * | 0.8 | 0.7 | ||||||
| Minimal | 15 (25) | 8 (31) | 7 (20) | 25 (41) | 12 (46) | 13 (37) | ||
| Mild | 26 (43) | 11 (42) | 15 (43) | 16 (26) | 5 (19) | 11 (31) | ||
| Moderate | 14 (23) | 5 (19) | 9 (26) | 7 (11) | 3 (12) | 4 (11) | ||
| Marked | 6 (9.8) | 2 (7.7) | 4 (11) | 13 (21) | 6 (23) | 7 (20) | ||
| FGT * | 0.3 | 0.6 | ||||||
| Almost entirely fat | 3 (4.9) | 1 (3.8) | 2 (5.7) | 3 (4.9) | 1 (3.8) | 2 (5.7) | ||
| Scattered FGT | 16 (26) | 4 (15) | 12 (34) | 12 (20) | 3 (12) | 9 (26) | ||
| Heterogeneous FGT | 36 (59) | 19 (73) | 17 (49) | 31 (51) | 15 (58) | 16 (46) | ||
| Extreme FGT | 6 (9.8) | 2 (7.7) | 4 (11) | 15 (25) | 7 (27) | 8 (23) | ||
| Depth | 0.11 | 0.2 | ||||||
| Anterior | 3 (4.8) | 0 (0) | 3 (8.6) | 5 (8.1) | 0 (0) | 5 (14) | ||
| Middle | 15 (24) | 10 (37) | 5 (14) | 15 (24) | 8 (30) | 7 (20) | ||
| Posterior | 40 (65) | 16 (59) | 24 (69) | 33 (53) | 14 (52) | 19 (54) | ||
| All depth | 4 (6.5) | 1 (3.7) | 3 (8.6) | 9 (15) | 5 (19) | 4 (11) | ||
| T2 signal intensity | 0.5 | >0.9 | ||||||
| Hypointense | 4 (6.5) | 3 (11) | 1 (2.9) | 16 (26) | 7 (26) | 9 (26) | ||
| Isointense | 27 (44) | 11 (41) | 16 (46) | 23 (37) | 10 (37) | 13 (37) | ||
| Hyperintense | 31 (50) | 13 (48) | 18 (51) | 23 (37) | 10 (37) | 13 (37) | ||
| Peritumoral oedema | 0.9 | >0.9 | ||||||
| Present | 27 (44) | 11 (41) | 16 (46) | 35 (56) | 15 (56) | 20 (57) | ||
| Paraseptal oedema | >0.9 | 0.6 | ||||||
| Present | 24 (39) | 10 (37) | 14 (40) | 24 (39) | 9 (33) | 15 (43) | ||
| Skin invasion | >0.9 | 0.7 | ||||||
| Present | 4 (6.5) | 2 (7.4) | 2 (5.7) | 7 (11) | 4 (15) | 3 (8.6) | ||
| Axillary lymphadenopathy | 0.5 | >0.9 | ||||||
| Present | 34 (55) | 13 (48) | 21 (60) | 38 (61) | 16(59) | 22 (63) | ||
| Focality | 0.2 | 0.4 | ||||||
| Unifocal | 26 (42) | 8 (30) | 18 (51) | 28 (45) | 10 (37) | 18 (51) | ||
| Multifocal | 10 (16) | 6 (22) | 4 (11) | 8 (13) | 3 (11) | 5 (14) | ||
| Multicentric | 26 (42) | 13 (48) | 13 (37) | 26 (42) | 14 (52) | 12 (34) | ||
| BI-RADS | >0.9 | >0.9 | ||||||
| 4 | 21 (34) | 8 (30) | 13 (37) | 8 (13) | 3 (11) | 5 (14) | ||
| 5 | 41 (66) | 19 (70) | 22 (63) | 54 (87) | 24 (89) | 30 (86) | ||
| Enhancement type | 0.4 | 0.3 | ||||||
| Mass like | 29 (47) | 10 (37) | 19 (54) | 29 (47) | 10 (37) | 19 (54) | ||
| Non mass like | 6 (9.7) | 3 (11) | 3 (8.6) | 8 (13) | 5 (19) | 3 (8.6) | ||
| Mixed | 27 (44) | 14 (52) | 13 (37) | 25 (40) | 12 (44) | 13 (37) | ||
| Shape (mass) | >0.9 | >0.9 | ||||||
| Oval | 1 (1.8) | 0 (0) | 1 (3.1) | 1 (1.9) | 0 (0) | 1 (3.1) | ||
| Round | 0 (0) | 0 (0) | 0 (0) | 3 (5.6) | 1 (4.5) | 2 (6.2) | ||
| Irregular | 55 (98) | 24 (100) | 31 (97) | 50 (93) | 21 (95) | 29 (91) | ||
| Margins (mass) | 0.4 | 0.7 | ||||||
| Circumscribed | 0 (0) | 0 (0) | 0 (0) | 1 (1.9) | 0 (0) | 1 (3.1) | ||
| Irregular | 49 (88) | 20 (83) | 29 (91) | 46 (85) | 18 (82) | 28 (88) | ||
| Spiculated | 7 (12) | 4 (17) | 3 (9.4) | 7 (13) | 4 (18) | 3 (9.4) | ||
| Enhancement (mass) | 0.3 | 0.4 | ||||||
| Homogeneous | 0 (0) | 0 (0) | 0 (0) | 0 (0) | 0 (0) | 0 (0) | ||
| Heterogeneous | 47 (84) | 20 (83) | 27 (84) | 37 (69) | 17 (77) | 20 (62) | ||
| Rim enhancement | 9 (16) | 4 (17) | 5 (16) | 17 (31) | 5 (23) | 12 (38) | ||
| Dark internal septations | 0 (0) | 0 (0) | 0 (0) | 0 (0) | 0 (0) | 0 (0) | ||
| Distribution (non-mass) | 0.5 | 0.08 | ||||||
| Focal | 1 (3) | 1 (5.9) | 0 (0) | 1 (3) | 1 (5.9) | 0 (0) | ||
| Linear | 14 (42) | 8 (47) | 6 (38) | 11 (33) | 7 (41) | 4 (25) | ||
| Regional | 0 (0) | 0 (0) | 0 (0) | 0 (0) | 0 (0) | 0 (0) | ||
| Segmental | 8 (24) | 5 (29) | 3 (19) | 9 (27) | 6 (35) | 3 (19) | ||
| Multiple regions | 9 (27) | 3 (18) | 6 (38) | 5 (15) | 0 (0) | 5 (31) | ||
| Diffuse | 1 (3) | 0 (0) | 1 (6.2) | 7 (21) | 3 (18) | 4 (25) | ||
| Enhancement (non-mass) | 0.5 | 0.4 | ||||||
| Homogeneous | 3 (9.1) | 1 (5.9) | 2 (12) | 1 (3) | 0 (0) | 1 (6.2) | ||
| Heterogeneous | 11 (33) | 7 (41) | 4 (25) | 20 (61) | 12 (71) | 8 (50) | ||
| Clumped | 18 (55) | 8 (47) | 10 (62) | 12 (36) | 5 (29) | 7 (44) | ||
| Clustered rings | 1 (3) | 1 (5.9) | 0 (0) | 0 (0) | 0 (0) | 0 (0) | ||
Publisher’s Note: MDPI stays neutral with regard to jurisdictional claims in published maps and institutional affiliations. |
© 2021 by the authors. Licensee MDPI, Basel, Switzerland. This article is an open access article distributed under the terms and conditions of the Creative Commons Attribution (CC BY) license (https://creativecommons.org/licenses/by/4.0/).
Share and Cite
Lo Gullo, R.; Wen, H.; Reiner, J.S.; Hoda, R.; Sevilimedu, V.; Martinez, D.F.; Thakur, S.B.; Jochelson, M.S.; Gibbs, P.; Pinker, K. Assessing PD-L1 Expression Status Using Radiomic Features from Contrast-Enhanced Breast MRI in Breast Cancer Patients: Initial Results. Cancers 2021, 13, 6273. https://doi.org/10.3390/cancers13246273
Lo Gullo R, Wen H, Reiner JS, Hoda R, Sevilimedu V, Martinez DF, Thakur SB, Jochelson MS, Gibbs P, Pinker K. Assessing PD-L1 Expression Status Using Radiomic Features from Contrast-Enhanced Breast MRI in Breast Cancer Patients: Initial Results. Cancers. 2021; 13(24):6273. https://doi.org/10.3390/cancers13246273
Chicago/Turabian StyleLo Gullo, Roberto, Hannah Wen, Jeffrey S. Reiner, Raza Hoda, Varadan Sevilimedu, Danny F. Martinez, Sunitha B. Thakur, Maxine S. Jochelson, Peter Gibbs, and Katja Pinker. 2021. "Assessing PD-L1 Expression Status Using Radiomic Features from Contrast-Enhanced Breast MRI in Breast Cancer Patients: Initial Results" Cancers 13, no. 24: 6273. https://doi.org/10.3390/cancers13246273
APA StyleLo Gullo, R., Wen, H., Reiner, J. S., Hoda, R., Sevilimedu, V., Martinez, D. F., Thakur, S. B., Jochelson, M. S., Gibbs, P., & Pinker, K. (2021). Assessing PD-L1 Expression Status Using Radiomic Features from Contrast-Enhanced Breast MRI in Breast Cancer Patients: Initial Results. Cancers, 13(24), 6273. https://doi.org/10.3390/cancers13246273

