An Overview of Intracranial Ependymomas in Adults
Abstract
:Simple Summary
Abstract
1. Introduction
2. Histology, Molecular Characteristics and Liquid Biopsy
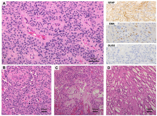
2.1. Histology and Grading of Ependymal Tumors
2.2. Molecular Classification of Ependymal Tumors
2.3. Liquid Biopsy for the Detection of Ependymomas
3. The Role of Surgical Treatment
3.1. Supratentorial Ependymomas
3.2. Infratentorial Ependymomas
| Study | N. | Location | Grading | EOR | OS | PFS |
|---|---|---|---|---|---|---|
| Varma, 2018 [50] | 13 | IT 61.5% ST 38.5% | I | GTR 92% STR 8% | NA | NA |
| Song, 2017 [15] | 53 | IT 64.2% ST 35.8% | II 66% III 34% | GTR 54.7% STR 45.3% | 5 y 82.5%, 10 y 75.7% | NA |
| Dutzmann 2013 [5] | 64 | IT 35.6% ST 34.4%, | I 28.1% II 51.6% III 20.3% | GTR 76.6% | NA | NA |
| Metellus, 2010 [47] | 114 | IT 80.7% ST 19.3% | II | GTR 58.7%, STR 41.3% | 5 y 86% 10 y 81% | 5 y 74.6% 10 y 58.9% |
| Vitanovics, 2009 [51] | 61 | IT 51% ST 49% | II 65.5% III 34.5% | GTR 60% STR 40% | NA | NA |
| Figarella-Branger, 2007 [13] | 216 | IT 66% ST 34% | II 73% III 27% | NA | NA | NA |
| Metellus, 2007 [12] | 152 | IT 70% ST 30% | II 72% III 28.3% | GTR 58.6% STR 41.4%, | 5 y 84.8% 10 y 76.5% | 5 y 63.5% 10 y 52.8% |
| Metellus, 2007 [49] | 121 | IT 66% ST 34% | II 72.7% III 27.3% | GTR 63% STR 37% | 5 y 85% 10 y 76% | NA |
| Reni, 2003 [52] | 70 | IT 44% ST 56% | II 77% III 23% | GTR grade II 63% GTR grade III 47% | 5 y 67% 10 y 50% | NA |
| Donahue, 1998 [53] | 10 | IT 80% ST 20% | not specified | GTR 10% STR 90% | NA | NA |
4. The Role of Radiation Therapy
5. The Role of Systemic Treatments
6. Chemotherapy for Recurrent Intracranial Ependymomas
7. Future Perspective
Author Contributions
Funding
Conflicts of Interest
References
- Prados, M.D.; Berger, M.S. Textbook of Neuro-Oncology, 1st ed.; Elsevier Saunders: Philadelphia, PA, USA, 2005; ISBN 978-0-7216-8148-1. [Google Scholar]
- Lester, A.; McDonald, K.L. Intracranial ependymomas: Molecular insights and translation to treatment. Brain Pathol. 2020, 30, 3–12. [Google Scholar] [CrossRef]
- Wu, J.; Armstrong, T.S.; Gilbert, M.R. Biology and management of ependymomas. Neuro-Oncology 2016, 18, 902–913. [Google Scholar] [CrossRef] [PubMed] [Green Version]
- Louis, D.N.; Perry, A.; Reifenberger, G.; von Deimling, A.; Figarella-Branger, D.; Cavenee, W.K.; Ohgaki, H.; Wiestler, O.D.; Kleihues, P.; Ellison, D.W. The 2016 World Health Organization Classification of Tumors of the Central Nervous System: A summary. Acta Neuropathol. 2016, 131, 803–820. [Google Scholar] [CrossRef] [Green Version]
- Dützmann, S.; Schatlo, B.; Lobrinus, A.; Murek, M.; Wostrack, M.; Weiss, C.; Schaller, K.; Raabe, A.; Meyer, B.; Goldbrunner, R.; et al. A multi-center retrospective analysis of treatment effects and quality of life in adult patients with cranial ependymomas. J. Neuro-Oncology 2013, 114, 319–327. [Google Scholar] [CrossRef]
- Yang, X.; Ren, Y.; Wu, W.; Wang, X.; Liu, X.; Zhang, Y. Intracranial extra-axial ependymoma involving the petroclival region: A rare case report. Int. J. Clin. Exp. Pathol. 2014, 7, 9067–9071. [Google Scholar]
- Donich, D.; Lee, J.H.; Prayson, R. Giant Extra-Axial Cerebellopontine Angle/Cavernous Sinus Ependymoma: Case Report. Neurosurgery 1999, 44, 195–198. [Google Scholar] [CrossRef] [PubMed]
- Chen, B.Y.; Praeger, A.; Christie, M.; Yuen, T. Familial intracranial ependymoma mimicking an extra-lesion: A case report and review of the literature. J. Clin. Neurosci. 2020, 74, 250–253. [Google Scholar] [CrossRef]
- Al-Salameh, A.; François, P.; Giraud, S.; Calender, A.; Bergemer-Fouquet, A.M.; De Calan, L.; Goudet, P.; LeComte, P. Intracranial ependymoma associated with multiple endocrine neoplasia type 1. J. Endocrinol. Investig. 2010, 33, 353–356. [Google Scholar] [CrossRef]
- Berhili, S.; Aissa, A.; Kadiri, S.; Cherradi, N.; El Majjaoui, S.; El Kacemi, H.; Kebdani, T.; Benjaafar, N. Extra-axial ependymoma of the cerebral convexity: A very rare intracranial adult tumor. Neuroradiol. J. 2017, 30, 281–285. [Google Scholar] [CrossRef]
- Mukhida, K.; Asa, S.; Gentili, F.; Shannon, P. Ependymoma of the pituitary fossa: Case Report and Review of the Literature. J. Neurosurg. 2006, 105, 616–620. [Google Scholar] [CrossRef] [PubMed]
- Metellus, P.; Barrie, M.; Figarella-Branger, D.; Chinot, O.; Giorgi, R.; Gouvernet, J.; Jouvet, A.; Guyotat, J. Multicentric French study on adult intracranial ependymomas: Prognostic factors analysis and therapeutic considerations from a cohort of 152 patients. Brain 2007, 130, 1338–1349. [Google Scholar] [CrossRef] [Green Version]
- Figarella-Branger, D.; Metellus, P.; Barrie, M.; De Paula, A.M.; Fernandez, C.; Polivka, M.; Vital, A.; Labrousse, F.; Vignaud, J.-M.; Laquerrière, A.; et al. Intracranial Ependymomas in Adult Patients. Diagnosis and Histological Prognostic Factors. Neurochirurgie 2007, 53, 76–84. [Google Scholar] [CrossRef] [PubMed]
- Rodríguez, D.; Cheung, M.C.; Housri, N.; Quinones-Hinojosa, A.; Camphausen, K.; Koniaris, L.G. Outcomes of Malignant CNS Ependymomas: An Examination of 2408 Cases Through the Surveillance, Epidemiology, and End Results (SEER) Database (1973–2005). J. Surg. Res. 2009, 156, 340–351. [Google Scholar] [CrossRef]
- Song, S.W.; Dho, Y.-S.; Kim, J.W.; Kim, Y.H.; Paek, S.H.; Kim, D.G.; Jung, H.-W.; Park, S.-H.; Choi, S.H.; Kim, T.M.; et al. Recursive partitioning analysis for disease progression in adult intracranial ependymoma patients. J. Clin. Neurosci. 2017, 46, 72–78. [Google Scholar] [CrossRef]
- Nuno, M.; Yu, J.J.; Varshneya, K.; Alexander, J.; Mukherjee, D.; Black, K.L.; Patil, C.G. Treatment and survival of supratentorial and posterior fossa ependymomas in adults. J. Clin. Neurosci. 2016, 28, 24–30. [Google Scholar] [CrossRef]
- Ellison, D.W.; Aldape, K.D.; Capper, D.; Fouladi, M.; Gilbert, M.R.; Gilbertson, R.J.; Hawkins, C.; Merchant, T.E.; Pajtler, K.W.; Venneti, S.; et al. cIMPACT-NOW update 7: Advancing the molecular classification of ependymal tumors. Brain Pathol. 2020. [Google Scholar] [CrossRef]
- Pajtler, K.W.; Witt, H.; Sill, M.; Jones, D.T.W.; Hovestadt, V.; Kratochwil, F.; Wani, K.; Tatevossian, R.; Punchihewa, C.; Johann, P.; et al. Molecular Classification of Ependymal Tumors across All CNS Compartments, Histopathological Grades, and Age Groups. Cancer Cell 2015, 27, 728–743. [Google Scholar] [CrossRef] [Green Version]
- Le Tourneau, C.; Borcoman, E.; Kamal, M. Molecular profiling in precision medicine oncology. Nat. Med. 2019, 25, 711–712. [Google Scholar] [CrossRef]
- Louis, D.N.; Ohgaki, H.; Wiestler, O.D.; Cavenee, W.K.; Burger, P.C.; Jouvet, A.; Scheithauer, B.W.; Kleihues, P. The 2007 WHO Classification of Tumours of the Central Nervous System. Acta Neuropathol. 2007, 114, 97–109. [Google Scholar] [CrossRef] [PubMed] [Green Version]
- Weller, M.; van den Bent, M.; Preusser, M.; Le Rhun, E.; Tonn, J.C.; Minniti, G.; Bendszus, M.; Balana, C.; Chinot, O.; Dirven, L.; et al. EANO guidelines on the diagnosis and treatment of diffuse gliomas of adulthood. Nat. Rev. Clin. Oncol. 2020, 18, 170–186. [Google Scholar] [CrossRef] [PubMed]
- Cavalli, F.M.G.; Hübner, J.-M.; Sharma, T.; Luu, B.; Sill, M.; Zapotocky, M.; Mack, S.C.; Witt, H.; Lin, T.; Shih, D.J.H.; et al. Heterogeneity within the PF-EPN-B ependymoma subgroup. Acta Neuropathol. 2018, 136, 227–237. [Google Scholar] [CrossRef] [PubMed]
- Pajtler, K.W.; Wen, J.; Sill, M.; Lin, T.; Orisme, W.; Tang, B.; Hübner, J.-M.; Ramaswamy, V.; Jia, S.; Dalton, J.D.; et al. Molecular heterogeneity and CXorf67 alterations in posterior fossa group A (PFA) ependymomas. Acta Neuropathol. 2018, 136, 211–226. [Google Scholar] [CrossRef]
- Wani, K.; Armstrong, T.; Vera-Bolanos, E.; Raghunathan, A.; Ellison, D.; Gilbertson, R.; Vaillant, B.; Goldman, S.; Packer, R.J.; Pollack, I.; et al. A prognostic gene expression signature in infratentorial ependymoma. Acta Neuropathol. 2012, 123, 727–738. [Google Scholar] [CrossRef] [PubMed] [Green Version]
- Witt, H.; Gramatzki, D.; Hentschel, B.; Pajtler, K.W.; Felsberg, J.; Schackert, G.; Löffler, M.; Capper, D.; Sahm, F.; Sill, M.; et al. DNA methylation-based classification of ependymomas in adulthood: Implications for diagnosis and treatment. Neuro-Oncology 2018, 20, 1616–1624. [Google Scholar] [CrossRef] [PubMed] [Green Version]
- Witt, H.; Mack, S.C.; Ryzhova, M.; Bender, S.; Sill, M.; Isserlin, R.; Benner, A.; Hielscher, T.; Milde, T.; Remke, M.; et al. Delineation of Two Clinically and Molecularly Distinct Subgroups of Posterior Fossa Ependymoma. Cancer Cell 2011, 20, 143–157. [Google Scholar] [CrossRef] [Green Version]
- Cho, H.J.; Park, H.Y.; Kim, K.; Chae, H.; Paek, S.H.; Kim, S.-K.; Park, C.-K.; Choi, S.-H.; Park, S.-H. Methylation and molecular profiles of ependymoma: Influence of patient age and tumor anatomic location. Mol. Clin. Oncol. 2021, 14, 1–10. [Google Scholar] [CrossRef]
- Gessi, M.; Giagnacovo, M.; Modena, P.; Elefante, G.; Gianno, F.; Buttarelli, F.R.; Arcella, A.; Donofrio, V.; Camassei, F.D.; Nozza, P.; et al. Role of Immunohistochemistry in the Identification of Supratentorial C11ORF95-RELA Fused Ependymoma in Routine Neuropathology. Am. J. Surg. Pathol. 2019, 43, 56–63. [Google Scholar] [CrossRef]
- Panwalkar, P.; Clark, J.; Ramaswamy, V.; Hawes, D.; Yang, F.; Dunham, C.; Yip, S.; Hukin, J.; Sun, Y.; Schipper, M.J.; et al. Immunohistochemical analysis of H3K27me3 demonstrates global reduction in group-A childhood posterior fossa ependymoma and is a powerful predictor of outcome. Acta Neuropathol. 2017, 134, 705–714. [Google Scholar] [CrossRef]
- Kilday, J.-P.; Mitra, B.; Domerg, C.; Ward, J.; Andreiuolo, F.; Osteso-Ibanez, T.; Mauguen, A.; Varlet, P.; Le Deley, M.-C.; Lowe, J.; et al. Copy Number Gain of 1q25 Predicts Poor Progression-Free Survival for Pediatric Intracranial Ependymomas and Enables Patient Risk Stratification: A Prospective European Clinical Trial Cohort Analysis on Behalf of the Children’s Cancer Leukaemia Group (CCLG), Société Française d’Oncologie Pédiatrique (SFOP), and International Society for Pediatric Oncology (SIOP). Clin. Cancer Res. 2012, 18, 2001–2011. [Google Scholar] [CrossRef] [Green Version]
- Raffeld, M.; Abdullaev, Z.; Pack, S.D.; Xi, L.; Nagaraj, S.; Briceno, N.; Vera, E.; Pittaluga, S.; Neto, O.L.A.; Quezado, M.; et al. High level MYCN amplification and distinct methylation signature define an aggressive subtype of spinal cord ependymoma. Acta Neuropathol. Commun. 2020, 8, 1–11. [Google Scholar] [CrossRef]
- Ghasemi, D.R.; Sill, M.; Okonechnikov, K.; Korshunov, A.; Yip, S.; Schutz, P.W.; Scheie, D.; Kruse, A.; Harter, P.N.; Kastelan, M.; et al. MYCN amplification drives an aggressive form of spinal ependymoma. Acta Neuropathol. 2019, 138, 1075–1089. [Google Scholar] [CrossRef] [PubMed] [Green Version]
- Wan, J.C.M.; Massie, C.; Garcia-Corbacho, J.; Mouliere, F.; Brenton, J.D.; Caldas, C.; Pacey, S.; Baird, R.; Rosenfeld, N. Liquid biopsies come of age: Towards implementation of circulating tumour DNA. Nat. Rev. Cancer 2017, 17, 223–238. [Google Scholar] [CrossRef] [PubMed]
- Simonelli, M.; Dipasquale, A.; Orzan, F.; Lorenzi, E.; Persico, P.; Navarria, P.; Pessina, F.; Nibali, M.C.; Bello, L.; Santoro, A.; et al. Cerebrospinal fluid tumor DNA for liquid biopsy in glioma patients’ management: Close to the clinic? Crit. Rev. Oncol. 2020, 146, 102879. [Google Scholar] [CrossRef] [PubMed]
- Bettegowda, C.; Sausen, M.; Leary, R.J.; Kinde, I.; Wang, Y.; Agrawal, N.; Bartlett, B.R.; Wang, H.; Luber, B.; Alani, R.M.; et al. Detection of circulating tumor DNA in early-and late-stage human malignancies. Sci. Transl. Med. 2014, 6, 224ra24. [Google Scholar] [CrossRef] [PubMed] [Green Version]
- Schwaederle, M.; Chattopadhyay, R.; Kato, S.; Fanta, P.T.; Banks, K.; Choi, I.S.; Piccioni, D.E.; Ikeda, S.; Talasaz, A.; Lanman, R.B.; et al. Genomic Alterations in Circulating Tumor DNA from Diverse Cancer Patients Identified by Next-Generation Sequencing. Cancer Res. 2017, 77, 5419–5427. [Google Scholar] [CrossRef] [PubMed] [Green Version]
- Arvanitis, C.D.; Ferraro, G.B.; Jain, R.K. The blood–brain barrier and blood–tumour barrier in brain tumours and metastases. Nat. Rev. Cancer 2020, 20, 26–41. [Google Scholar] [CrossRef]
- Wang, Y.; Springer, S.; Zhang, M.; McMahon, K.W.; Kinde, I.; Dobbyn, L.; Ptak, J.; Brem, H.; Chaichana, K.; Gallia, G.L.; et al. Detection of tumor-derived DNA in cerebrospinal fluid of patients with primary tumors of the brain and spinal cord. Proc. Natl. Acad. Sci. USA 2015, 112, 9704–9709. [Google Scholar] [CrossRef] [PubMed] [Green Version]
- Dudley, J.C.; Schroers-Martin, J.; Lazzareschi, D.V.; Shi, W.Y.; Chen, S.; Esfahani, M.S.; Trivedi, D.; Chabon, J.J.; Chaudhuri, A.A.; Stehr, H.; et al. Detection and Surveillance of Bladder Cancer Using Urine Tumor DNA. Cancer Discov. 2019, 9, 500–509. [Google Scholar] [CrossRef]
- Kawahara, A.; Ct, C.F.; Taira, T.; Abe, H.; Ct, Y.T.; Murata, K.; Yamaguchi, T.; Azuma, K.; Ishii, H.; Takamori, S.; et al. Epidermal growth factor receptor mutation status in cell-free DNA supernatant of bronchial washings and brushings. Cancer Cytopathol. 2015, 123, 620–628. [Google Scholar] [CrossRef]
- Miller, A.; Shah, R.; Pentsova, E.I.; Pourmaleki, M.; Briggs, S.; Distefano, N.; Zheng, Y.; Skakodub, A.; Mehta, S.A.; Campos, C.; et al. Tracking tumour evolution in glioma through liquid biopsies of cerebrospinal fluid. Nat. Cell Biol. 2019, 565, 654–658. [Google Scholar] [CrossRef]
- Connolly, I.D.; Li, Y.; Pan, W.; Johnson, E.; You, L.; Vogel, H.; Ratliff, J.; Gephart, M.H. A pilot study on the use of cerebrospinal fluid cell-free DNA in intramedullary spinal ependymoma. J. Neuro-Oncology 2017, 135, 29–36. [Google Scholar] [CrossRef] [PubMed]
- Deniel, A.; Marguet, F.; Beaussire, L.; Tobenas-Dujardin, A.-C.; Peillon, C.; Gambirasio, M.-A.; Veresezan, O.; Magne, N.; Di Fiore, F.; Laquerrière, A.; et al. TERTp Mutation Detection in Plasma by Droplet-Digital Polymerase Chain Reaction in Spinal Myxopapillary Ependymoma with Lung Metastases. World Neurosurg. 2019, 130, 405–409. [Google Scholar] [CrossRef] [PubMed]
- Bookland, M.; Gillan, E.; Song, X.; Kolmakova, A. Peripheral circulation miRNA expression of pediatric brain tumors and its relation to tumor miRNA expression levels. J. Neurosurgery: Pediatr. 2020, 26, 136–144. [Google Scholar] [CrossRef]
- Rudà, R.; Reifenberger, G.; Frappaz, D.; Pfister, S.M.; Laprie, A.; Santarius, T.; Roth, P.; Tonn, J.C.; Soffietti, R.; Weller, M.; et al. EANO guidelines for the diagnosis and treatment of ependymal tumors. Neuro-Oncology 2018, 20, 445–456. [Google Scholar] [CrossRef] [PubMed] [Green Version]
- Boschi, A.; Della Puppa, A. 5-ALA fluorescence on tumors different from malignant gliomas. Review of the literature and our experience. J. Neurosurg. Sci. 2020, 63, 661–669. [Google Scholar] [CrossRef]
- Metellus, P.; Guyotat, J.; Chinot, O.; Durand, A.; Barrie, M.; Giorgi, R.; Jouvet, A.; Figarella-Branger, D. Adult intracranial WHO grade II ependymomas: Long-term outcome and prognostic factor analysis in a series of 114 patients. Neuro-Oncology 2010, 12, 976–984. [Google Scholar] [CrossRef]
- Sayegh, E.T.; Aranda, D.; Kim, J.M.; Oh, T.; Parsa, A.T.; Oh, M.C. Prognosis by tumor location in adults with intracranial ependymomas. J. Clin. Neurosci. 2014, 21, 2096–2101. [Google Scholar] [CrossRef] [Green Version]
- Metellus, P.; Figarella-Branger, D.; Guyotat, J.; Barrie, M.; Giorgi, R.; Jouvet, A.; Chinot, O. Supratentorial ependymomas: Prognostic factors and outcome analysis in a retrospective series of 46 adult patients. Cancer 2008, 113, 175–185. [Google Scholar] [CrossRef]
- Varma, A.; Giraldi, D.; Mills, S.; Brodbelt, A.R.; Jenkinson, M.D. Surgical management and long-term outcome of intracranial subependymoma. Acta Neurochir. 2018, 160, 1793–1799. [Google Scholar] [CrossRef] [Green Version]
- Vitanovics, D.; Bálint, K.; Hanzely, Z.; Banczerowski, P.; Áfra, D. Ependymoma in Adults: Surgery, Reoperation and Radiotherapy for Survival. Pathol. Oncol. Res. 2009, 16, 93–99. [Google Scholar] [CrossRef]
- Reni, M.; Brandes, A.; Vavassori, V.; Cavallo, G.; Casagrande, F.; Vastola, F.; Magli, A.; Franzin, A.; Basso, U.; Villa, E. A multicenter study of the prognosis and treatment of adult brain ependymal tumors. Cancer 2004, 100, 1221–1229. [Google Scholar] [CrossRef]
- Donahue, B.; Steinfeld, A. Intracranial ependymoma in the adult patient: Successful treatment with surgery and radiotherapy. J. Neuro-Oncology 1998, 37, 131–133. [Google Scholar] [CrossRef]
- Mansur, D.B.; Perry, A.; Rajaram, V.; Michalski, J.M.; Park, T.; Leonard, J.R.; Luchtman-Jones, L.; Rich, K.M.; Grigsby, P.W.; Lockett, M.A.; et al. Postoperative radiation therapy for grade II and III intracranial ependymoma. Int. J. Radiat. Oncol. 2005, 61, 387–391. [Google Scholar] [CrossRef] [PubMed]
- Ghia, A.J.; Mahajan, A.; Allen, P.K.; Armstrong, T.S.; Lang, F.F.; Gilbert, M.R.; Brown, P.D. Supratentorial gross-totally resected non-anaplastic ependymoma: Population based patterns of care and outcomes analysis. J. Neuro-Oncology 2013, 115, 513–520. [Google Scholar] [CrossRef] [PubMed]
- Deng, X.; Zhang, X.; Yang, L.; Lu, X.; Fang, J.; Yu, L.; Li, D.; Sheng, H.; Yin, B.; Zhang, N.; et al. Personalizing age-specific survival prediction and risk stratification in intracranial grade II/III ependymoma. Cancer Med. 2019, 9, 615–625. [Google Scholar] [CrossRef]
- Prabhu, R.S.; Corso, C.D.; Ward, M.C.; Heinzerling, J.H.; Dhakal, R.; Buchwald, Z.S.; Patel, K.R.; Asher, A.L.; Sumrall, A.L.; Burri, S.H. The effect of adjuvant radiotherapy on overall survival in adults with intracranial ependymoma. Neuro-Oncology Pr. 2019, 7, 391–399. [Google Scholar] [CrossRef] [PubMed]
- Wee, C.W.; Kim, I.H.; Park, C.-K.; Lim, D.H.; Nam, D.-H.; Yoon, H.I.; Suh, C.-O.; Chang, J.H.; Chung, W.-K.; Jung, T.-Y.; et al. Postoperative radiotherapy for WHO grade II–III intracranial ependymoma in adults: An intergroup collaborative study (KROG 18-06/KNOG 18-01). Radiother. Oncol. 2020, 150, 4–11. [Google Scholar] [CrossRef]
- Guyotat, J.; Signorelli, F.; Desme, S.; Frappaz, D.; Madarassy, G.; Montange, M.F.; Jouvet, A.; Bret, P. Intracranial Ependymomas in Adult Patients: Analyses of Prognostic Factors. J. Neuro-Oncology 2002, 60, 255–268. [Google Scholar] [CrossRef]
- Vera-Bolanos, E.; Aldape, K.; Yuan, Y.; Wu, J.; Wani, K.; Necesito-Reyes, M.J.; Colman, H.; Dhall, G.; Lieberman, F.S.; Metellus, P.; et al. Clinical course and progression-free survival of adult intracranial and spinal ependymoma patients. Neuro-Oncology 2015, 17, 440–447. [Google Scholar] [CrossRef]
- Kano, H.; Lunsford, L.D. Leksell Radiosurgery for Ependymomas and Oligodendrogliomas. Prog. Neurol. Surg. 2019, 34, 200–206. [Google Scholar] [CrossRef]
- Stross, W.C.; Malouff, T.D.; Waddle, M.R.; Miller, R.; Peterson, J.; Trifiletti, D.M. Proton beam therapy utilization in adults with primary brain tumors in the United States. J. Clin. Neurosci. 2020, 75, 112–116. [Google Scholar] [CrossRef] [PubMed]
- Gilbert, M.R.; Yuan, Y.; Wu, J.; Mendoza, T.; Vera, E.; Omuro, A.; Lieberman, F.; Robins, H.I.; Gerstner, E.R.; Wu, J.; et al. A phase II study of dose-dense temozolomide and lapatinib for recurrent low-grade and anaplastic supratentorial, infratentorial, and spinal cord ependymoma. Neuro-Oncology 2020, 23, 468–477. [Google Scholar] [CrossRef]
- Gramatzki, D.; Dorothee, G.; Felsberg, J.; Hofer, S.; Rushing, E.J.; Hentschel, B.; Westphal, M.; Krex, D.; Simon, M.; Schnell, O.; et al. Chemotherapy for intracranial ependymoma in adults. BMC Cancer 2016, 16, 1–12. [Google Scholar] [CrossRef] [PubMed] [Green Version]
- Rudà, R.; Bosa, C.; Magistrello, M.; Franchino, F.; Pellerino, A.; Fiano, V.; Trevisan, M.; Cassoni, P.; Soffietti, R. Temozolomide as salvage treatment for recurrent intracranial ependymomas of the adult: A retrospective study. Neuro-Oncology 2016, 18, 261–268. [Google Scholar] [CrossRef] [PubMed] [Green Version]
- Lombardi, G.; Pambuku, A.; Bellu, L.; Della Puppa, A.; Rumanò, L.; Gardiman, M.P.; Pomerri, F.; Zagonel, V. Cisplatin and Temozolomide Combination in the Treatment of Supratentorial Anaplastic Ependymoma. Chemother. 2013, 59, 176–180. [Google Scholar] [CrossRef]
- Freyschlag, C.F.; Tuettenberg, J.; Lohr, F.; Thomé, C.; Schmieder, K.; Seiz, M. Response to temozolomide in supratentorial multifocal recurrence of malignant ependymoma. Anticancer. Res. 2011, 31, 31. [Google Scholar]
- Green, R.M.; Cloughesy, T.F.; Stupp, R.; DeAngelis, L.M.; Woyshner, E.A.; Ney, D.E.; Lassman, A.B. Bevacizumab for recurrent ependymoma. Neurology 2009, 73, 1677–1680. [Google Scholar] [CrossRef] [Green Version]
- Chamberlain, M.C.; Johnston, S.K. Temozolomide for recurrent intracranial supratentorial platinum-refractory ependymoma. Cancer 2009, 115, 4775–4782. [Google Scholar] [CrossRef]
- Rehman, S.; Brock, C.; Newlands, E.S. A Case Report of a Recurrent Intracranial Ependymoma Treated with Temozolomide in Remission 10 Years After Completing Chemotherapy. Am. J. Clin. Oncol. 2006, 29, 106–107. [Google Scholar] [CrossRef]
- Brandes, A.A.; Cavallo, G.; Reni, M.; Tosoni, A.; Nicolardi, L.; Scopece, L.; Franceschi, E.; Sotti, G.; Talacchi, A.; Turazzi, S.; et al. A multicenter retrospective study of chemotherapy for recurrent intracranial ependymal tumors in adults by the Gruppo Italiano Cooperativo di Neuro-Oncologia. Cancer 2005, 104, 143–148. [Google Scholar] [CrossRef]
- Gornet, M.; Buckner, J.; Marks, R.; Scheithauer, B.; Erickson, B. Chemotherapy for advanced CNS ependymoma. J. Neuro-Oncology 1999, 45, 61–67. [Google Scholar] [CrossRef] [PubMed]
- Rico, G.T.; Townsend, A.; Price, T.; Patterson, K. Metastatic myxopapillary ependymoma treated with immunotherapy achieving durable response. BMJ Case Rep. 2020, 13, 13. [Google Scholar]
- Fujiwara, Y.; Manabe, H.; Izumi, B.; Shima, T.; Adachi, N. Remarkable efficacy of temozolomide for relapsed spinal myxopapillary ependymoma with multiple recurrence and cerebrospinal dissemination: A case report and literature review. Eur. Spine J. 2017, 27, 421–425. [Google Scholar] [CrossRef]
- Lorgis, V.; Varbedian, O.; Ghiringhelli, F. Metronomic Cyclophosphamide with Cisplatin and Bevacizumab: A New Chemo-therapeutic Regimen for Refractory Anaplastic Ependymoma. Anticancer. Res. 2012, 32, 5067–5070. [Google Scholar]
- Kim, W.-H.; Yoon, S.H.; Kim, C.-Y.; Kim, K.-J.; Lee, M.M.; Choe, G.; Kim, I.-A.; Kim, J.H.; Kim, Y.J.; Kim, H.-J. Temozolomide for malignant primary spinal cord glioma: An experience of six cases and a literature review. J. Neuro-Oncology 2010, 101, 247–254. [Google Scholar] [CrossRef]
- Chamberlain, M.C. Salvage chemotherapy for recurrent spinal cord ependymona. Cancer 2002, 95, 997–1002. [Google Scholar] [CrossRef]
- Snyder, M.H.; Ampie, L.; DiDomenico, J.D.; Asthagiri, A.R. Bevacizumab as a surgery-sparing agent for spinal ependymoma in patients with neurofibromatosis type II: Systematic review and case. J. Clin. Neurosci. 2021, 86, 79–84. [Google Scholar] [CrossRef] [PubMed]


| Anatomical Location | Molecular Subgroup | Genetic Characteristics | Histopathology (WHO Grade) | Age | Gender | Outcome |
|---|---|---|---|---|---|---|
| Supratentorial (ST) | SE | Balanced | Sub-ependymoma (WHO I) | Adulthood | >M | Good |
| EPN-YAP1 | Aberr. 11q | Classic/Anaplastic (WHO II-III) | Infancy to childhood | >F | Good | |
| EPN-RELA | Aberr. 11q | Classic/Anaplastic (WHO II-III) | Infancy to childhood | >M | Poor | |
| Posterior fossa (PF) | SE | Balanced | Sub-ependymoma (WHO I) | Adulthood | >M | Good |
| EPN-A | Balanced | Classic/Anaplastic (WHO II-III) | Infancy | >M | Poor | |
| EPN-B | CIN | Classic/Anaplastic (WHO II-III) | Childhood to Adulthood | >F | Good | |
| Spinal (SP) | SE | 6q del. | Sub-ependymoma (WHO I) | Childhood to Adulthood | M = F | Good |
| MPE | CIN | Mixopapillary Ependymoma (WHO I) | Adulthood | M = F | Good | |
| EPN | CIN | Classic/Anaplastic (WHO II-III) | Adulthood | >M | Good |
| Study | Trial Design | N° of pts | Median Age (Range) | Grading and Tumor Site | N. of pts Treated with RT | Efficacy |
|---|---|---|---|---|---|---|
| Metellus P et al., 2010 [47] | Retrospective | 114 | 48 (18–82) | WHO grade II intracranial ependymoma | 35 | 5-year OS: Surgery: 83.4% Surgery plus RT: 92% |
| Nuño M et al., 2016 [16] | Retrospective; USA National Cancer Database | 1055 Grade II 263 Grade III | 44 (31–56) | WHO grade II/III supratentorial and posterior fossa ependymoma | 662 | RT does not seem to have an impact on overall survival |
| Deng X et al., 2020 [56] | Retrospective; SEER database | 560 Grade II 163 Grade III | Range (18–68) | Intracranial WHO grade II/III ependymoma | 422 | RT does not seem to have an impact on overall survival |
| Prabhu RS, et al., 2020 [57] | Retrospective; SEER database | 1787 | 45–50 (37–62) | WHO grade II/III ependymoma | 856 | 3- and 5-year OS with adjuvant RT was 83.4% and 79.3% versus 86.4% and 81.8% with observation. |
| Woo Wee et al., 2020 [58] | Retrospective; Multicenter retrospective | 172 | NA | WHO grade II/III ependymoma | 110 | 5- and 10-year OS rates were 76.6%/71.0%, respectively. PORT significantly elevated the rates of PFS (p = 0.002), and OS (p = 0.043) |
| N | Year | Study Type | Age | Chemotherapy | Grade (%) | Tumor Location (%) | Response Rate (%) | Median PFS (Months) | Median OS (Months) | |
|---|---|---|---|---|---|---|---|---|---|---|
| Recurrent intracranial ependymomas | ||||||||||
| Gilbert [63] | 50 | 2021 | Phase II | 43.5 | Dose-dense TMZ + lapatinib | I (16%) II (32%) III (40%) | ST (30%) IT (16%) SP (51%) | CR (4%) PR (12%) | 7.8 | 27 |
| Gramatzki [64] | 17 | 2016 | Retrospective | 28 | TMZ, PCV, platinum-based, epirubicine plus ifosfamide | II (23%) III (77%) | ST (65%) IT (35%) | CR (6%) PR (6%) | 6 | 41 |
| Ruda [65] | 18 | 2016 | Retrospective | 42 | TMZ | II (45%) III (55%) | ST (61%) IT (39%) | CR (5%) PR (17%) | 9.7 | 30.5 |
| Lombardi [66] | 1 | 2013 | Case report | 45 | Cisplatin + TMZ | III | ST | PR | 9 | 11 |
| Freyschlag [67] | 1 | 2011 | Case report | 25 | TMZ | III | ST | PR | 5+ | 5+ |
| Green [68] | 8 | 2009 | Retrospective | 40 | Bevacizumab alone or in combination | II (38%) III (62%) | ST (75%) IT (25%) | PR (75%) | 6.4 | 9.4 |
| Chamberlain [69] | 25 | 2009 | Retrospective | 49 | TMZ in platinum-refractory tumors | II (100%) | ST (100%) | CR (0%) PR(4%) | 2 | 3 |
| Rehman [70] | 1 | 2006 | Case report | 24 | TMZ | I | IT | CR | 120 | 120 |
| Brandes [71] | 28 | 2005 | Retrospective | 44 | Cisplatin-based (46%) Non cisplatin-based (54%) | II (61%) III (39%) | ST (54%) IT (46%) | CR (7%) PR (14%) | 9.9 | 40.7 |
| Gornet [72] | 14 | 1999 | Retrospective | 31 | Platinum-based Nitroso-urea based | II (50%) III (37%) | ST (37%) IT (37%) SP (24%) | PR (12%) MR (31%) | 3–10 | - |
| Recurrent spinal cord ependymomas | ||||||||||
| Gilbert [63] | 50 | 2021 | Prospective | 43.5 | Dose-dense TMZ + lapatinib | I (16%) II (32%) III (40%) | ST (30%) IT (16%) SP (51%) | CR (4%) PR (12%) | 7.8 | 27 |
| Tapia Rico [73] | 1 | 2020 | Case report | 25 | Tislelizumab (anti-PD1) | Metastatic MPE | SP | Stable disease | 18 | 28+ |
| Fujiwara [74] | 1 | 2018 | Case report | 26 | TMZ | Metastatic MPE | Spinal | CR | 72+ | 72+ |
| Lorgis [75] | 2 | 2012 | Retrospective | 45 | Cisplatin, cyclophosphamide, bevacizumab | III (100%) | SP (100%) | PR (100%) | 12+ | 12+ |
| Kim [76] | 2 | 2011 | Case report | 26 | RT + TMZ | III (50%) | SP (100%) | - | 3–36+ | 12–39+ |
| Chamberlain [77] | 10 | 2002 | Prospective pilot study | 30 | Etoposide | Low-grade (100%) | SP (100%) | PR (20%) | 15 | 17.5 |
Publisher’s Note: MDPI stays neutral with regard to jurisdictional claims in published maps and institutional affiliations. |
© 2021 by the authors. Licensee MDPI, Basel, Switzerland. This article is an open access article distributed under the terms and conditions of the Creative Commons Attribution (CC BY) license (https://creativecommons.org/licenses/by/4.0/).
Share and Cite
Lombardi, G.; Della Puppa, A.; Pizzi, M.; Cerretti, G.; Bonaudo, C.; Gardiman, M.P.; Dipasquale, A.; Gregucci, F.; Esposito, A.; De Bartolo, D.; et al. An Overview of Intracranial Ependymomas in Adults. Cancers 2021, 13, 6128. https://doi.org/10.3390/cancers13236128
Lombardi G, Della Puppa A, Pizzi M, Cerretti G, Bonaudo C, Gardiman MP, Dipasquale A, Gregucci F, Esposito A, De Bartolo D, et al. An Overview of Intracranial Ependymomas in Adults. Cancers. 2021; 13(23):6128. https://doi.org/10.3390/cancers13236128
Chicago/Turabian StyleLombardi, Giuseppe, Alessandro Della Puppa, Marco Pizzi, Giulia Cerretti, Camilla Bonaudo, Marina Paola Gardiman, Angelo Dipasquale, Fabiana Gregucci, Alice Esposito, Debora De Bartolo, and et al. 2021. "An Overview of Intracranial Ependymomas in Adults" Cancers 13, no. 23: 6128. https://doi.org/10.3390/cancers13236128
APA StyleLombardi, G., Della Puppa, A., Pizzi, M., Cerretti, G., Bonaudo, C., Gardiman, M. P., Dipasquale, A., Gregucci, F., Esposito, A., De Bartolo, D., Zagonel, V., Simonelli, M., Fiorentino, A., & Ducray, F. (2021). An Overview of Intracranial Ependymomas in Adults. Cancers, 13(23), 6128. https://doi.org/10.3390/cancers13236128

