Magnetometer-Guided Sentinel Lymph Node Dissection in Prostate Cancer: Rate of Lymph Node Involvement Compared with Radioisotope Marking
Abstract
:Simple Summary
Abstract
1. Introduction
2. Materials and Methods
2.1. Patient Populations
2.2. sPLND Technique and Histopathological Examination
2.3. Data Analyses
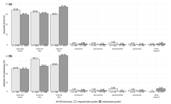
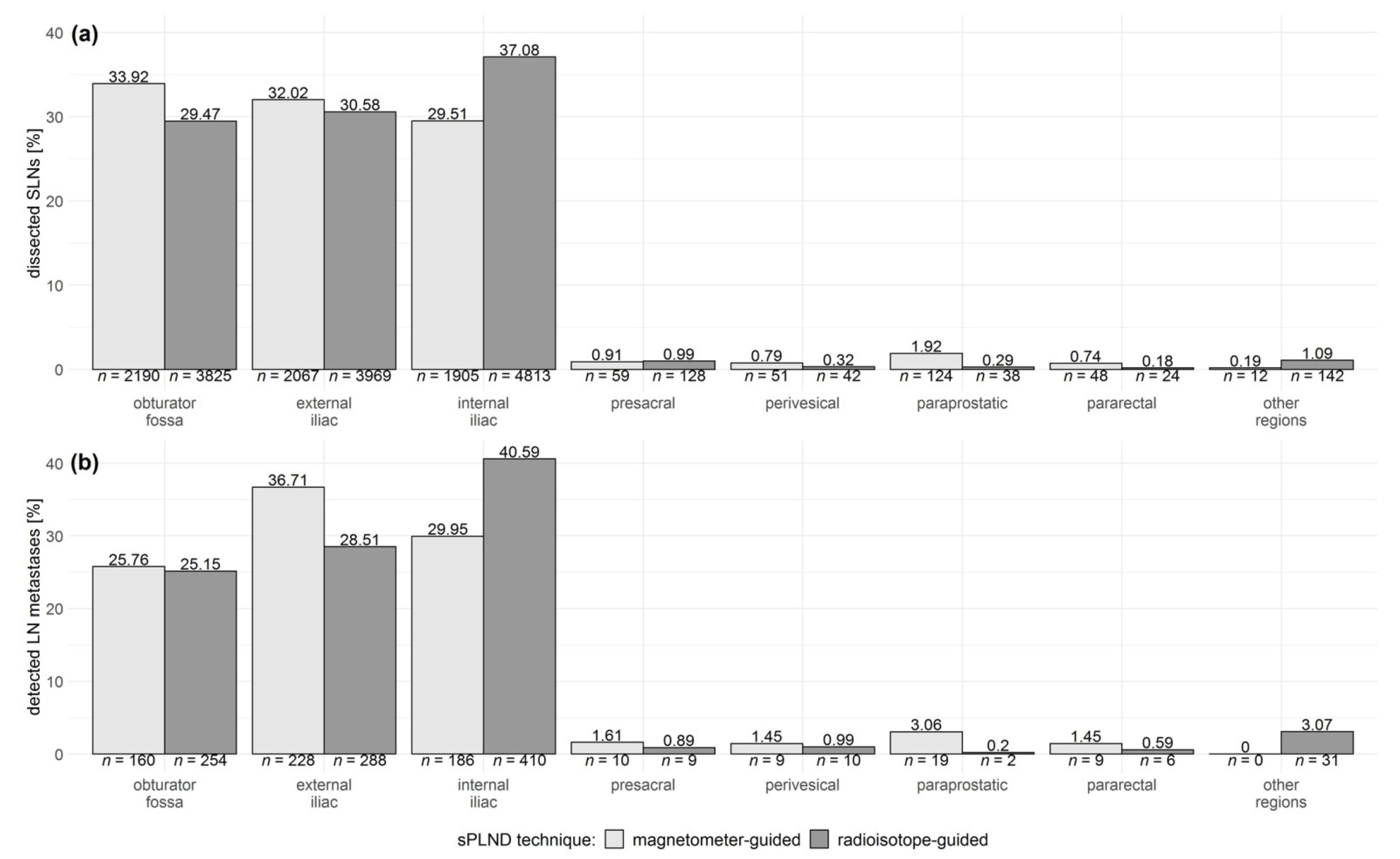
3. Results

4. Discussion
5. Conclusions
Author Contributions
Funding
Institutional Review Board Statement
Informed Consent Statement
Data Availability Statement
Conflicts of Interest
Appendix A
| Method | Magnetometer-Guided sPLND | Radioisotope-Guided sPLND | ||||
|---|---|---|---|---|---|---|
| Overall | pN0 | pN1 | Overall | pN0 | pN1 | |
| n (%) | 847 * | 655 (77.33) | 192 (22.67) | 847 | 627 (74.03) | 220 (25.97) |
| Age (IQR) | 67 (62–71) | 67 (61–71) | 68 (64–73) | 67 (62–71) | 67 (62–71) | 68 (63–72) |
| Total PSA ng/mL (IQR) | 8.7 (6.1–13.4) | 8.0 (5.8–11.8) | 12.7 (8.6–27.3) | 8.6 (6.0–14.3) | 7.8 (5.6–12.4) | 12.2 (8.1–20.2) |
| Dissected LNs (IQR) | 14 (10–18) | 13 (10–17) | 16 (12–20) | 10 (8–14) | 10 (7–13) | 12 (9–15) |
| Positive LNs (IQR) | 0 (-) | 0 (-) | 2 (1–4) | 0 (0–1) | 0 (-) | 2 (1–3) |
| Dissected SLNs (IQR) | 7 (4–10) | 7 (5–10) | 6 (4–10) | 5 (3–7) | 5 (3–7) | 5 (3–8) |
| Positive SLNs (IQR) | 0 (-) | 0 (-) | 1 (1–2) | 0 (-) | 0 (-) | 1 (1–2) |
| Clinical tumor stage (%) | ||||||
| cT1 | 436 (51.48) | 397 (60.61) | 39 (20.31) | 464 (54.78) | 401 (63.96) | 63 (28.64) |
| cT2 | 368 (43.45) | 244 (37.25) | 124 (64.58) | 357 (42.15) | 222 (35.41) | 135 (61.36) |
| cT3 | 41 (4.84) | 14 (2.14) | 27 (14.06) | 24 (2.83) | 4 (0.64) | 20 (9.09) |
| cT4 | 2 (0.24) | 0 | 2 (1.04) | 2 (0.24) | 0 | 2 (0.91) |
| Biopsy Gleason sum (%) | ||||||
| ≤6 | 162 (19.13) | 150 (22.90) | 12 (6.25) | 162 (19.13) | 153 (24.40) | 9 (4.09) |
| =7 (3 + 4) | 401 (47.34) | 354 (54.05) | 47 (24.48) | 422 (49.82) | 349 (55.66) | 73 (33.18) |
| =7 (4 + 3) | 129 (15.23) | 88 (13.44) | 41 (21.35) | 115 (13.58) | 64 (10.21) | 51 (23.18) |
| ≥8 | 155 (18.30) | 63 (9.62) | 92 (47.92) | 148 (17.47) | 61 (9.73) | 87 (39.55) |
| Postoperative Gleason sum (%) | ||||||
| ≤6 | 30 (3.54) | 30 (4.58) | 0 | 58 (6.85) | 58 (9.25) | 0 |
| =7 (3 + 4) | 443 (52.30) | 423 (64.58) | 20 (10.42) | 438 (51.71) | 406 (64.75) | 32 (14.55) |
| =7 (4 + 3) | 215 (25.38) | 147 (22.44) | 68 (35.42) | 204 (24.09) | 111 (17.7) | 93 (42.27) |
| ≥8 | 159 (18.77) | 55 (8.4) | 104 (54.17) | 147 (17.36) | 52 (8.29) | 95 (43.18) |
| Pathologic tumor stage (%) | ||||||
| pT1c | 2 (0.24) | 2 (0.31) | 0 | 1 (0.12) | 1 (0.16) | 0 |
| pT2a | 41 (4.84) | 41 (6.26) | 0 | 64 (7.56) | 61 (9.73) | 3 (1.36) |
| pT2b | 21 (2.48) | 19 (2.90) | 2 (1.04) | 8 (0.94) | 8 (1.28) | 0 |
| pT2c | 399 (47.11) | 390 (59.54) | 9 (4.69) | 378 (44.63) | 362 (57.74) | 16 (7.27) |
| pT3a | 177 (20.90) | 141 (21.53) | 36 (18.75) | 180 (21.25) | 127 (20.26) | 53 (24.09) |
| pT3b | 197 (23.26) | 61 (9.31) | 136 (70.83) | 188 (22.20) | 62 (9.89) | 126 (57.27) |
| pT4 | 10 (1.18) | 1 (0.15) | 9 (4.69) | 28 (3.31) | 6 (0.96) | 22 (10) |
References
- Withrow, D.R.; DeGroot, J.M.; Siemens, D.R.; Groome, P.A. Therapeutic value of lymph node dissection at radical prostatectomy: A population-based case-cohort study. BJU Int. 2011, 108, 209–216. [Google Scholar] [CrossRef] [PubMed]
- Cheng, L.; Bergstralh, E.J.; Cheville, J.C.; Slezak, J.; Corica, F.A.; Zincke, H.; Blute, M.L.; Bostwick, D.G. Cancer volume of lymph node metastasis predicts progression in prostate cancer. Am. J. Surg. Pathol. 1998, 22, 1491–1500. [Google Scholar] [CrossRef] [PubMed]
- Cheng, L.; Zincke, H.; Blute, M.L.; Bergstralh, E.J.; Scherer, B.; Bostwick, D.G. Risk of prostate carcinoma death in patients with lymph node metastasis. Cancer 2001, 91, 66–73. [Google Scholar] [CrossRef]
- Wawroschek, F.; Wagner, T.; Hamm, M.; Weckermann, D.; Vogt, H.; Märkl, B.; Gordijn, R.; Harzmann, R. The influence of serial sections, immunohistochemistry, and extension of pelvic lymph node dissection on the lymph node status in clinically localized prostate cancer. Eur. Urol. 2003, 43, 132–137. [Google Scholar] [CrossRef]
- Choo, M.S.; Kim, M.; Ku, J.H.; Kwak, C.; Kim, H.H.; Jeong, C.W. Extended versus standard pelvic lymph node dissection in radical prostatectomy on oncological and functional outcomes: A systematic review and meta-analysis. Ann. Surg. Oncol. 2017, 24, 2047–2054. [Google Scholar] [CrossRef]
- Seiler, R.; Studer, U.E.; Tschan, K.; Bader, P.; Burkhard, F.C. Removal of limited nodal disease in patients undergoing radical prostatectomy: Long-term results confirm a chance for cure. J. Urol. 2014, 191, 1280–1285. [Google Scholar] [CrossRef] [Green Version]
- Winter, A.; Henke, R.P.; Wawroschek, F. Targeted salvage lymphadenectomy in patients treated with radical prostatectomy with biochemical recurrence: Complete biochemical response without adjuvant therapy in patients with low volume lymph node recurrence over a long-term follow-up. BMC Urol. 2015, 15, 1–8. [Google Scholar] [CrossRef] [Green Version]
- Preisser, F.; van den Bergh, R.C.N.; Gandaglia, G.; Ost, P.; Surcel, C.I.; Sooriakumaran, P.; Montorsi, F.; Graefen, M.; van der Poel, H.; de la Taille, A.; et al. Effect of extended pelvic lymph node dissection on oncologic outcomes in patients with D’Amico intermediate and high risk prostate cancer treated with radical prostatectomy: A multi-institutional study. J. Urol. 2020, 203, 338–343. [Google Scholar] [CrossRef] [PubMed]
- Bivalacqua, T.J.; Pierorazio, P.M.; Gorin, M.A.; Allaf, M.E.; Carter, H.B.; Walsh, P.C. Anatomic extent of pelvic lymph node dissection: Impact on long-term cancer-specific outcomes in men with positive lymph nodes at time of radical prostatectomy. Urology 2013, 82, 653–659. [Google Scholar] [CrossRef] [Green Version]
- Briganti, A.; Blute, M.L.; Eastham, J.H.; Graefen, M.; Heidenreich, A.; Karnes, J.R.; Montorsi, F.; Studer, U.E. Pelvic lymph node dissection in prostate cancer. Eur. Urol. 2009, 55, 1251–1265. [Google Scholar] [CrossRef]
- Hinev, A.I.; Anakievski, D.; Kolev, N.H.; Hadjiev, V.I. Validation of nomograms predicting lymph node involvement in patients with prostate cancer undergoing extended pelvic lymph node dissection. Urol. Int. 2014, 92, 300–305. [Google Scholar] [CrossRef]
- Mottet, N.; Cornford, P.; van den Bergh, R.C.N.; Briers, E.; Expert Patient Advocate (European Prostate Cancer Coalition/Europa UOMO); De Santis, M.; Gillessen, S.; Grummet, J.; Henry, A.M.; van der Kwast, T.H.; et al. EAU-EANM-ESTRO-ESUR-ISUP-SIOG Guidelines on Prostate Cancer. Available online: https://uroweb.org/guideline/prostate-cancer/ (accessed on 6 September 2021).
- Gandaglia, G.; Ploussard, G.; Valerio, M.; Mattei, A.; Fiori, C.; Fossati, N.; Stabile, A.; Beauval, J.-B.; Malavaud, B.; Roumiguié, M.; et al. A novel nomogram to identify candidates for extended pelvic lymph node dissection among patients with clinically localized prostate cancer diagnosed with magnetic resonance imaging-targeted and systematic biopsies. Eur. Urol. 2019, 75, 506–514. [Google Scholar] [CrossRef]
- Briganti, A.; Chun, F.K.H.; Salonia, A.; Suardi, N.; Gallina, A.; Da Pozzo, L.F.; Roscigno, M.; Zanni, G.; Valiquette, L.; Rigatti, P.; et al. Complications and other surgical outcomes associated with extended pelvic lymphadenectomy in men with localized prostate cancer. Eur. Urol. 2006, 50, 1006–1013. [Google Scholar] [CrossRef]
- Musch, M.; Klevecka, V.; Roggenbuck, U.; Kroepfl, D. Complications of pelvic lymphadenectomy in 1,380 patients undergoing radical retropubic prostatectomy between 1993 and 2006. J. Urol. 2008, 179, 923–929. [Google Scholar] [CrossRef]
- Winter, A.; Vogt, C.; Weckermann, D.; Wawroschek, F. Complications of pelvic lymphadenectomy in clinically localised prostate cancer: Different techniques in comparison and dependency on the number of removed lymph nodes. Aktuel. Urol. 2011, 12, 179–183. [Google Scholar] [CrossRef] [PubMed]
- Wawroschek, F.; Vogt, H.; Weckermann, D.; Wagner, T.; Harzmann, R. The sentinel lymph node concept in prostate cancer-first results of gamma probe-guided sentinel lymph node identification. Eur. Urol. 1999, 36, 595–600. [Google Scholar] [CrossRef] [PubMed]
- Fossati, N.; Willemse, P.-P.M.; Van den Broeck, T.; van den Bergh, R.C.N.; Yuan, C.Y.; Briers, E.; Bellmunt, J.; Bolla, M.; Cornford, P.; De Santis, M.; et al. The benefits and harms of different extents of lymph node dissection during radical prostatectomy for prostate cancer: A systematic review. Eur. Urol. 2017, 72, 84–109. [Google Scholar] [CrossRef]
- Wit, E.M.K.; Acar, C.; Grivas, N.; Yuan, C.; Horenblas, S.; Liedberg, F.; Valdes Olmos, R.A.; van Leeuwen, F.W.B.; van den Berg, N.S.; Winter, A.; et al. Sentinel node procedure in prostate cancer: A systematic review to assess diagnostic accuracy. Eur. Urol. 2017, 71, 596–605. [Google Scholar] [CrossRef]
- Cabanas, R.M. An approach for the treatment of penile carcinoma. Cancer 1977, 39, 456–466. [Google Scholar] [CrossRef]
- Gould, E.A.; Winship, T.; Philbin, P.H.; Kerr, H.H. Observations on a “sentinel node” in cancer of the parotid. Cancer 1960, 13, 77–78. [Google Scholar] [CrossRef]
- Van der Poel, H.; Wit, E.; Acar, C.; van den Berg, N.S.; van Leeuwen, F.W.B.; Valdés Olmos, R.A.; Winter, A.; Wawroschek, F.; Liedberg, F.; Maclennan, S.; et al. Sentinel Node Prostate Cancer Consensus Panel Group members. Sentinel node biopsy for prostate cancer: Report from a consensus panel meeting. BJU Int. 2017, 120, 204–211. [Google Scholar] [CrossRef] [Green Version]
- Winter, A.; Engels, S.; Reinhardt, L.; Wasylow, C.; Gerullis, H.; Wawroschek, F. Magnetic marking and intraoperative detection of primary draining lymph nodes in high-risk prostate cancer using superparamagnetic iron oxide nanoparticles: Additional diagnostic value. Molecules 2017, 22, 2192. [Google Scholar] [CrossRef] [PubMed] [Green Version]
- Winter, A.; Kowald, T.; Paulo, T.S.; Goos, P.; Engels, S.; Gerullis, H.; Schiffmann, J.; Chavan, A.; Wawroschek, F. Magnetic resonance sentinel lymph node imaging and magnetometer-guided intraoperative detection in prostate cancer using superparamagnetic iron oxide nanoparticles. Int. J. Nanomed. 2018, 13, 6689–6698. [Google Scholar] [CrossRef] [Green Version]
- Joniau, S.; Van den Bergh, L.; Lerut, E.; Deroose, C.M.; Haustermans, K.; Oyen, R.; Budiharto, T.; Ameye, F.; Bogaerts, K.; Van Poppel, H. Mapping of pelvic lymph node metastases in prostate cancer. Eur. Urol. 2013, 63, 450–458. [Google Scholar] [CrossRef]
- Douek, M.; Klaase, J.; Monypenny, I.; Kothari, A.; Zechmeister, K.; Brown, D.; Wyld, L.; Drew, P.; Garmo, H.; Agbaje, O.; et al. Sentinel node biopsy using a magnetic tracer versus standard technique: The SentiMAG multicentre trial. Ann. Surg. Oncol. 2014, 21, 1237–1245. [Google Scholar] [CrossRef]
- Winter, A.; Woenkhaus, J.; Wawroschek, F. A novel method for intraoperative sentinel lymph node detection in prostate cancer patients using superparamagnetic iron oxide nanoparticles and a handheld magnetometer: The initial clinical experience. Ann. Surg. Oncol. 2014, 21, 4390–4396. [Google Scholar] [CrossRef] [PubMed] [Green Version]
- Thill, M.; Kurylcio, A.; Welter, R.; van Haasteren, V.; Grosse, B.; Berclaz, G.; Polkowski, W.; Hauser, N. The Central-European SentiMag study: Sentinel lymph node biopsy with superparamagnetic iron oxide (SPIO) vs. radioisotope. Breast 2014, 23, 175–179. [Google Scholar] [CrossRef] [Green Version]
- Geißen, W.; Engels, S.; Aust, P.; Schiffmann, J.; Gerullis, H.; Wawroschek, F.; Winter, A. Diagnostic accuracy of magnetometer-guided sentinel lymphadenectomy after intraprostatic injection of superparamagnetic iron oxide nanoparticles in intermediate- and high-risk prostate cancer using the magnetic activity of sentinel nodes. Front. Pharmacol. 2019, 10, 1123. [Google Scholar] [CrossRef] [PubMed]
- Winter, A.; Kneib, T.; Wasylow, C.; Reinhardt, L.; Henke, R.-P.; Engels, S.; Gerullis, H.; Wawroschek, F. Updated nomogram incorporating percentage of positive cores to predict probability of lymph node invasion in prostate cancer patients undergoing sentinel lymph node dissection. J. Cancer 2017, 8, 2692–2698. [Google Scholar] [CrossRef] [Green Version]
- Wawroschek, F.; Vogt, H.; Weckermann, D.; Wagner, T.; Hamm, M.; Harzmann, R. Radioisotope guided pelvic lymph node dissection for prostate cancer. J. Urol. 2001, 166, 1715–1719. [Google Scholar] [CrossRef]
- Winter, A.; Engels, S.; Süykers, M.-C.; Henke, R.-P.; Wawroschek, F. Radioisotope guided sentinel lymph node dissection in prostate cancer: Rate of lymph node involvment depending on preoperative tumor characteristics in more than 2100 patients. SM J. Urol. 2015, 1, 1002. [Google Scholar]
- Weingärtner, K.; Ramaswamy, A.; Bittinger, A.; Gerharz, E.W.; Voge, D.; Riedmiller, H. Anatomical basis for pelvic lymphadenectomy in prostate cancer: Results of an autopsy study and implications for the clinic. J. Urol. 1996, 156, 1969–1971. [Google Scholar] [CrossRef]
- R Core Team. R: A Language and Environment for Statistical Computing; R Foundation for Statistical Computing: Vienna, Austria, 2021; Available online: https://www.r-project.org/ (accessed on 4 June 2021).
- Holl, G.; Dorn, R.; Wengenmair, H.; Weckermann, D.; Sciuk, J. Validation of sentinel lymph node dissection in prostate cancer: Experience in more than 2,000 patients. Eur. J. Nucl. Med. Mol. Imaging 2009, 36, 1377–1382. [Google Scholar] [CrossRef]
- Wawroschek, F.; Vogt, H.; Wengenmair, H.; Weckermann, D.; Hamm, M.; Keil, M.; Graf, G.; Heidenreich, P.; Harzmann, R. Prostate lymphoscintigraphy and radio-guided surgery for sentinel lymph node identification in prostate cancer. Urol. Int. 2003, 70, 303–310. [Google Scholar] [CrossRef] [PubMed] [Green Version]
- Abdollah, F.; Suardi, N.; Gallina, A.; Bianchi, M.; Tutolo, M.; Passoni, N.; Fossati, N.; Sun, M.; dell’Oglio, P.; Salonia, A.; et al. Extended pelvic lymph node dissection in prostate cancer: A 20-year audit in a single center. Ann. Oncol. 2013, 24, 1459–1466. [Google Scholar] [CrossRef]
- Briganti, A.; Chun, F.K.H.; Salonia, A.; Gallina, A.; Farina, E.; Da Pozzo, L.F.; Rigatti, P.; Montorsi, F.; Karakiewicz, P.I. Validation of a nomogram predicting the probability of lymph node invasion based on the extent of pelvic lymphadenectomy in patients with clinically localized prostate cancer. BJU Int. 2006, 98, 788–793. [Google Scholar] [CrossRef] [PubMed]
- Briganti, A.; Larcher, A.; Abdollah, F.; Capitanio, U.; Gallina, A.; Suardi, N.; Bianchi, M.; Sun, M.; Freschi, M.; Salonia, A.; et al. Updated nomogram predicting lymph node invasion in patients with prostate cancer undergoing extended pelvic lymph node dissection: The essential importance of percentage of positive cores. Eur. Urol. 2012, 61, 480–487. [Google Scholar] [CrossRef] [PubMed]
- Godoy, G.; Chong, K.T.; Cronin, A.; Vickers, A.; Laudone, V.; Touijer, K.; Guillonneau, B.; Eastham, J.A.; Scardino, P.T.; Coleman, J.A. Extent of pelvic lymph node dissection and the impact of standard template dissection on nomogram prediction of lymph node involvement. Eur. Urol. 2011, 60, 195–201. [Google Scholar] [CrossRef]
- Grivas, N.; Wit, E.; Tillier, C.; van Muilekom, E.; Pos, F.; Winter, A.; van der Poel, H. Validation and head-to-head comparison of three nomograms predicting probability of lymph node invasion of prostate cancer in patients undergoing extended and/or sentinel lymph node dissection. Eur. J. Nucl. Med. Mol. Imaging 2017, 44, 2213–2226. [Google Scholar] [CrossRef]
- Anninga, B.; White, S.H.; Moncrieff, M.; Dziewulski, P.; Geh, J.L.C.; Klaase, J.; Garmo, H.; Castro, F.; Pinder, S.; Pankhurst, Q.A.; et al. Magnetic technique for sentinel lymph node biopsy in melanoma: The MELAMAG trial. Ann. Surg. Oncol. 2016, 23, 2070–2078. [Google Scholar] [CrossRef]
- Baena Fustegueras, J.A.; González, F.H.; Calderó, S.G.; de la Fuente Juárez, M.C.; López, S.R.; Riu, F.R.; Petit, N.M.; Álvarez, P.M.; Torelló, A.L.; Matias-Guiu, X.; et al. Magnetic detection of sentinel lymph node in papillary thyroid carcinoma: The MAGIC-PAT study results. Eur. J. Surg. Oncol. 2019, 45, 1175–1181. [Google Scholar] [CrossRef] [Green Version]
- Hernando, J.; Aguirre, P.; Aguilar-Salvatierra, A.; Leizaola-Cardesa, I.O.; Bidaguren, A.; Gómez-Moreno, G. Magnetic detection of sentinel nodes in oral squamous cell carcinoma by means of superparamagnetic iron oxide contrast. J. Surg. Oncol. 2020, 121, 244–248. [Google Scholar] [CrossRef]
- Murakami, K.; Kotani, Y.; Suzuki, A.; Takaya, H.; Nakai, H.; Matsuki, M.; Sato, T.; Mandai, M.; Matsumura, N. Superparamagnetic iron oxide as a tracer for sentinel lymph node detection in uterine cancer: A pilot study. Sci. Rep. 2020, 10, 1–9. [Google Scholar] [CrossRef]
- Mottet, N.; Bellmunt, J.; Bolla, M.; Briers, E.; Cumberbatch, M.G.; De Santis, M.; Fossati, N.; Gross, T.; Henry, A.M.; Joniau, S.; et al. EAU-ESTRO-SIOG guidelines on prostate cancer. Part 1: Screening, diagnosis, and local treatment with curative intent. Eur. Urol. 2017, 71, 618–629. [Google Scholar] [CrossRef]
- Morgan-Parkes, J.H. Metastases: Mechanisms, pathways, and cascades. Am. J. Roentgenol. 1995, 164, 1075–1082. [Google Scholar] [CrossRef] [PubMed]
- Weckermann, D.; Dorn, R.; Holl, G.; Wagner, T.; Harzmann, R. Limitations of radioguided surgery in high-risk prostate cancer. Eur. Urol. 2007, 51, 1549–1558. [Google Scholar] [CrossRef] [PubMed]
- Kroon, B.K.; Horenblas, S.; Estourgie, S.H.; Lont, A.P.; Valdés Olmos, R.A.; Nieweg, O.E. How to avoid false-negative dynamic sentinel node procedures in penile carcinoma. J. Urol. 2004, 171, 2191–2194. [Google Scholar] [CrossRef]
- Leijte, J.A.P.; van der Ploeg, I.M.C.; Valdés Olmos, R.A.; Nieweg, O.E.; Horenblas, S. Visualization of tumor blockage and rerouting of lymphatic drainage in penile cancer patients by use of SPECT/CT. J. Nucl. Med. 2009, 50, 364. [Google Scholar] [CrossRef] [Green Version]
- Mattei, A.; Fuechsel, F.G.; Bhatta Dhar, N.; Warncke, S.H.; Thalmann, G.N.; Krause, T.; Studer, U.E. The template of the primary lymphatic landing sites of the prostate should be revisited: Results of a multimodality mapping study. Eur. Urol. 2008, 53, 118–125. [Google Scholar] [CrossRef] [PubMed]


| Method | Magnetometer-Guided sPLND | Radioisotope-Guided sPLND | ||||
|---|---|---|---|---|---|---|
| Overall | pN0 | pN1 | Overall | pN0 | pN1 | |
| n (%) | 848 | 655 (77.24) | 193 (22.76) | 2092 | 1696 (81.07) | 396 (18.93) |
| Age (IQR) | 67 (62–71) | 67 (61–71) | 68 (64–73) | 67 (62–71) | 67 (61–71) | 68 (63–71) |
| Total PSA ng/mL (IQR) | 8.7 (6.1–13.5) | 8 (5.8–11.8) | 12.8 (8.6–27.7) | 7.8 (5.5–12.5) | 7.2 (5.3–10.9) | 12.0 (7.9–20.6) |
| Dissected LNs (IQR) | 14 (10–18) | 13 (10–17) | 16 (12–21) | 10 (7–14) | 10 (7–13) | 12 (9–15) |
| Positive LNs (IQR) | 0 (-) | 0 (-) | 2 (1–4) | 0 (-) | 0 (-) | 2 (1–3) |
| Dissected SLNs (IQR) | 7 (4–10) | 7 (5–10) | 6 (4–10) | 6 (4–8) | 6 (4–8) | 6 (3–8) |
| Positive SLNs (IQR) | 0 (-) | 0 (-) | 1 (1–2) | 0 (-) | 0 (-) | 1 (1–2) |
| Clinical tumor stage (%) | * | * | ** | ** | ** | |
| cT1 | 436 (51.42) | 397 (60.61) | 39 (20.21) | 1129 (53.97) | 1027 (60.55) | 102 (25.76) |
| cT2 | 368 (43.40) | 244 (37.25) | 124 (64.25) | 919 (43.93) | 658 (38.80) | 261 (65.91) |
| cT3 | 41 (4.83) | 14 (2.14) | 27 (13.99) | 36 (1.72) | 6 (0.35) | 30 (7.58) |
| cT4 | 2 (0.24) | 0 | 2 (1.04) | 2 (0.10) | 0 | 2 (0.51) |
| Biopsy Gleason sum (%) | *** | *** | ||||
| ≤6 | 162 (19.10) | 150 (22.90) | 12 (6.22) | 998 (47.71) | 938 (55.31) | 60 (15.15) |
| =7 (3 + 4) | 402 (47.41) | 354 (54.05) | 48 (24.87) | 724 (34.61) | 570 (33.61) | 154 (38.89) |
| =7 (4 + 3) | 129 (15.21) | 88 (13.44) | 41 (21.24) | 191 (9.13) | 109 (6.43) | 82 (20.71) |
| ≥8 | 155 (18.28) | 63 (9.62) | 92 (47.67) | 176 (8.41) | 76 (4.48) | 100 (25.25) |
| Postoperative Gleason sum (%) | ||||||
| ≤6 | 30 (3.54) | 30 (4.58) | 0 | 349 (16.68) | 348 (20.52) | 1 (0.25) |
| =7 (3 + 4) | 443 (52.24) | 423 (64.58) | 20 (10.36) | 1122 (53.63) | 1052 (62.03) | 70 (17.68) |
| =7 (4 + 3) | 216 (25.47) | 147 (22.44) | 69 (35.75) | 420 (20.08) | 230 (13.56) | 190 (47.98) |
| ≥8 | 159 (18.75) | 55 (8.40) | 104 (53.89) | 201 (9.61) | 66 (3.89) | 135 (34.09) |
| Pathologic tumor stage (%) | ||||||
| pT1c | 2 (0.24) | 2 (0.31) | 0 | 1 (0.05) | 1 (0.06) | 0 |
| pT2a | 41 (4.83) | 41 (6.26) | 0 | 184 (8.80) | 180 (10.61) | 4 (1.01) |
| pT2b | 21 (2.48) | 19 (2.90) | 2 (1.04) | 40 (1.91) | 39 (2.30) | 1 (0.25) |
| pT2c | 399 (47.05) | 390 (59.54) | 9 (4.66) | 1086 (51.91) | 1048 (61.79) | 38 (9.60) |
| pT3a | 178 (20.99) | 141 (21.53) | 37 (19.17) | 407 (19.46) | 300 (17.69) | 107 (27.02) |
| pT3b | 197 (23.23) | 61 (9.31) | 136 (70.47) | 318 (15.20) | 113 (6.66) | 205 (51.77) |
| pT4 | 10 (1.18) | 1 (0.15) | 9 (4.66) | 56 (2.68) | 15 (0.88) | 41 (10.35) |
| Comparison | Original Results | Test Statistic | Adjusted Results | Test Statistic |
|---|---|---|---|---|
| SLN detection rate | 98.11% (832) vs. 98.18% (2054) | χ2 < 0.001, df = 1, p = 1 | 98.11% (832) vs. 95.87% (812) | χ2 = 6.55, df = 1, p = 0.011 * |
| Number of dissected SLNs | 7 (4–10) vs. 6 (4–8) | W = 1,059,411, p < 0.001 *** | 7 (4–10) vs. 5 (3–7) | W = 471,031, p < 0.001 *** |
| Rate of LNI | 22.76% (193) vs. 18.93% (396) | χ2 = 5.29, df = 1, p = 0.021 * | 22.76% (192) vs. 25.97% (220) | χ2 = 2.34, df = 1, p = 0.126 |
| Rate of LN+ but SLN- | 7.25% (14) vs. 9.85% (39) | χ2 = 0.77, df = 1, p = 0.379 | 7.29% (14) vs. 14.55% (32) | χ2 = 4.73, df = 1, p = 0.030 * |
| False-negative rate | 3.63% (7) vs. 5.05% (20) | χ2 = 0.32, df = 1, p = 0.572 | 3.65% (7) vs. 5.91% (13) | χ2 = 0.700, df = 1, p = 0.403 |
Publisher’s Note: MDPI stays neutral with regard to jurisdictional claims in published maps and institutional affiliations. |
© 2021 by the authors. Licensee MDPI, Basel, Switzerland. This article is an open access article distributed under the terms and conditions of the Creative Commons Attribution (CC BY) license (https://creativecommons.org/licenses/by/4.0/).
Share and Cite
Engels, S.; Michalik, B.; Meyer, L.-M.; Nemitz, L.; Wawroschek, F.; Winter, A. Magnetometer-Guided Sentinel Lymph Node Dissection in Prostate Cancer: Rate of Lymph Node Involvement Compared with Radioisotope Marking. Cancers 2021, 13, 5821. https://doi.org/10.3390/cancers13225821
Engels S, Michalik B, Meyer L-M, Nemitz L, Wawroschek F, Winter A. Magnetometer-Guided Sentinel Lymph Node Dissection in Prostate Cancer: Rate of Lymph Node Involvement Compared with Radioisotope Marking. Cancers. 2021; 13(22):5821. https://doi.org/10.3390/cancers13225821
Chicago/Turabian StyleEngels, Svenja, Bianca Michalik, Luca-Marie Meyer, Lena Nemitz, Friedhelm Wawroschek, and Alexander Winter. 2021. "Magnetometer-Guided Sentinel Lymph Node Dissection in Prostate Cancer: Rate of Lymph Node Involvement Compared with Radioisotope Marking" Cancers 13, no. 22: 5821. https://doi.org/10.3390/cancers13225821
APA StyleEngels, S., Michalik, B., Meyer, L.-M., Nemitz, L., Wawroschek, F., & Winter, A. (2021). Magnetometer-Guided Sentinel Lymph Node Dissection in Prostate Cancer: Rate of Lymph Node Involvement Compared with Radioisotope Marking. Cancers, 13(22), 5821. https://doi.org/10.3390/cancers13225821

