Intra- and Interobserver Variability in Magnetic Resonance Imaging Measurements in Rectal Cancer Patients
Abstract
:Simple Summary
Abstract
1. Introduction
2. Materials and Methods
2.1. Patients and MRI
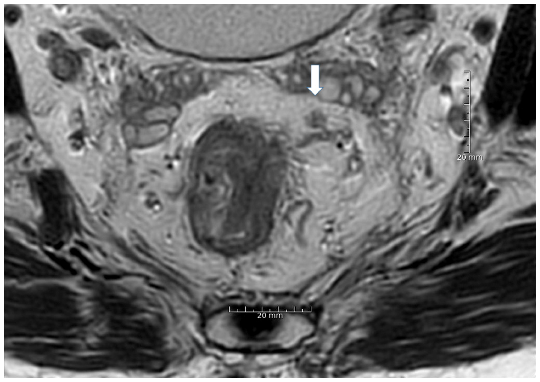
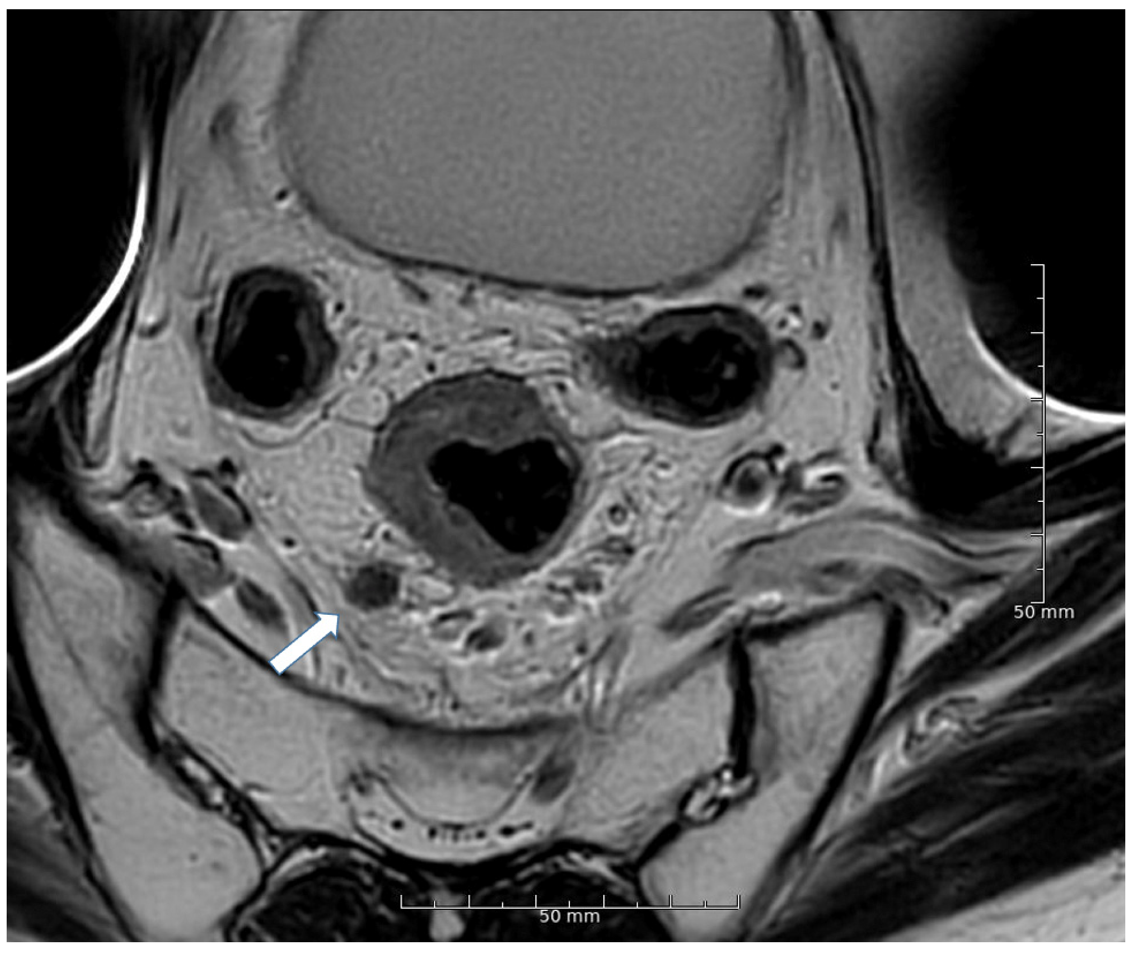
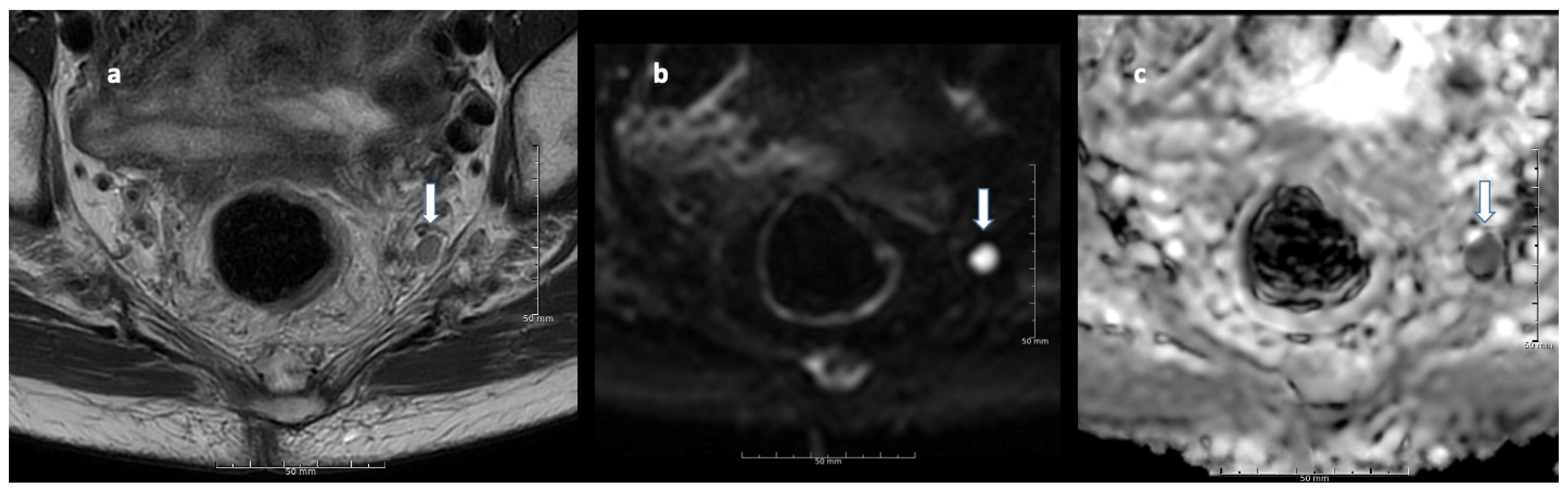
2.2. Lesion Selection
2.3. Lymph Node Assessment
2.4. Statistical Analysis
3. Results
3.1. Numerical Variables
3.2. Morphological and Location Characteristics
4. Discussion
5. Conclusions
Author Contributions
Funding
Institutional Review Board Statement
Informed Consent Statement
Data Availability Statement
Conflicts of Interest
References
- Ferlay, J.; Colombet, M.; Soerjomataram, I.; Dyba, T.; Randi, G.; Bettio, M.; Gavin, A.; Visser, O.; Bray, F. Cancer incidence and mortality patterns in Europe: Estimates for 40 countries and 25 major cancers in 2018. Eur. J. Cancer 2018, 103, 356–387. [Google Scholar] [CrossRef]
- Brenner, H.; Bouvier, A.M.; Foschi, R.; Hackl, M.; Larsen, I.K.; Lemmens, V.; Mangone, L.; Francisci, S. Progress in colorectal cancer survival in Europe from the late 1980s to the early 21st century: The EUROCARE study. Int. J. Cancer Res. 2012, 131, 1649–1658. [Google Scholar] [CrossRef]
- Taylor, F.G.M.; Quirke, P.; Heald, R.J.; Moran, B.; Blomqvist, L.; Swift, I.; Sebag-Montefiore, D.J.; Tekkis, P.; Brown, G. Preoperative high-resolution magnetic resonance imaging can identify good prognosis stage I, II, and III rectal cancer best managed by surgery alone: A prospective, multicenter, European study. Ann. Surg. 2011, 253, 711–719. [Google Scholar] [CrossRef] [PubMed]
- Brown, G.; Richards, C.J.; Bourne, M.W.; Newcombe, R.G.; Radcliffe, A.G.; Dallimore, N.S.; Williams, G.T. Morphologic predictors of lymph node status in rectal cancer with use of high-spatial-resolution MR imaging with histopathologic comparison. Radiology 2003, 227, 371–377. [Google Scholar] [CrossRef]
- Gröne, J.; Loch, F.N.; Taupitz, M.; Schmidt, C.; Kreis, M.E. Accuracy of Various Lymph Node Staging Criteria in Rectal Cancer with Magnetic Resonance Imaging. J. Gastrointest. Surg. 2018, 22, 146–153. [Google Scholar] [CrossRef] [PubMed]
- Beets-Tan, R.G.H.; Lambregts, D.M.J.; Maas, M.; Bipat, S.; Barbaro, B.; Curvo-Semedo, L.; Fenlon, H.M.; Gollub, M.J.; Gourtsoyianni, S.; Halligan, S.; et al. Magnetic resonance imaging for clinical management of rectal cancer: Updated recommendations from the 2016 European Society of Gastrointestinal and Abdominal Radiology (ESGAR) consensus meeting. Eur. Radiol. 2018, 28, 1465–1475. [Google Scholar] [CrossRef] [PubMed] [Green Version]
- Lambregts, D.M.J.; Maas, M.; Riedl, R.G.; Bakers, F.C.H.; Verwoerd, J.L.; Kessels, A.G.H.; Lammering, G.; Boetes, C.; Beets, G.L.; Beets-Tan, R.G.H. Value of ADC measurements for nodal staging after chemoradiation in locally advanced rectal cancer—A per lesion validation study. Eur. Radiol. 2011, 21, 265–273. [Google Scholar] [CrossRef] [Green Version]
- Heijnen, L.A.; Lambregts, D.M.J.; Mondal, D.; Martens, M.H.; Riedl, R.G.; Beets, G.L.; Beets-Tan, R.G.H. Diffusion-weighted MR imaging in primary rectal cancer staging demonstrates but does not characterise lymph nodes. Eur. Radiol. 2013, 23, 3354–3360. [Google Scholar] [CrossRef] [PubMed]
- Kwee, T.C.; Takahara, T.; Luijten, P.R.; Nievelstein, R.A.J. ADC measurements of lymph nodes: Inter- and intra-observer reproducibility study and an overview of the literature. Eur. J. Radiol. 2010, 75, 215–220. [Google Scholar] [CrossRef]
- Koo, T.K.; Li, M.Y. Cracking the Code: Providing Insight Into the Fundamentals of Research and Evidence-Based Practice A Guideline of Selecting and Reporting Intraclass Correlation Coefficients for Reliability Research. J. Chiropr. Med. 2016, 15, 155–163. [Google Scholar] [CrossRef] [Green Version]
- Landis, J.R.; Koch, G.G. The Measurement of Observer Agreement for Categorical Data. Biometrics 1977, 33, 159. [Google Scholar] [CrossRef] [Green Version]
- Beets-Tan, R.G.H.; Lambregts, D.M.J.; Maas, M.; Bipat, S.; Barbaro, B.; Caseiro-Alves, F.; Curvo-Semedo, L.; Fenlon, H.M.; Gollub, M.J.; Gourtsoyianni, S.; et al. Magnetic resonance imaging for the clinical management of rectal cancer patients: Recommendations from the 2012 European Society of Gastrointestinal and Abdominal Radiology (ESGAR) consensus meeting. Eur. Radiol. 2013, 23, 2522–2531. [Google Scholar] [CrossRef] [PubMed]
- Kono, Y.; Togashi, K.; Utano, K.; Horie, H.; Miyakura, Y.; Fukushima, N.; Lefor, A.T.; Yasuda, Y. Lymph Node Size Alone Is Not an Accurate Predictor of Metastases in Rectal Cancer: A Node-for-Node Comparative Study of Specimens and Histology. Am. Surg. 2015, 81, 1263–1271. [Google Scholar] [CrossRef]
- Kim, J.H.; Beets, G.L.; Kim, M.J.; Kessels, A.G.H.; Beets-Tan, R.G.H. High-resolution MR imaging for nodal staging in rectal cancer: Are there any criteria in addition to the size? Eur. J. Radiol. 2004, 52, 78–83. [Google Scholar] [CrossRef] [PubMed]
- Langman, G.; Patel, A.; Bowley, D.M. Size and distribution of lymph nodes in rectal cancer resection specimens. Dis. Colon Rectum 2015, 58, 406–414. [Google Scholar] [CrossRef]
- Kim, T.H.; Jeong, S.Y.; Choi, D.H.; Kim, D.Y.; Jung, K.H.; Moon, S.H.; Chang, H.J.; Lim, S.B.; Choi, H.S.; Park, J.G. Lateral lymph node metastasis is a major cause of locoregional recurrence in rectal cancer treated with preoperative chemoradiotherapy and curative resection. Ann. Surg. Oncol. 2008, 15, 729–737. [Google Scholar] [CrossRef] [PubMed]
- Ogura, A.; Van Oostendorp, S.; Kusters, M. Neoadjuvant (chemo)radiotherapy and Lateral Node Dissection: Is It Mutually Exclusive? Clin. Colon Rectal Surg. 2020, 33, 355–360. [Google Scholar] [CrossRef]
- Ogura, A.; Konishi, T.; Cunningham, C.; Garcia-Aguilar, J.; Iversen, H.; Toda, S.; Lee, I.K.; Lee, H.X.; Uehara, K.; Lee, P.; et al. Neoadjuvant (Chemo)radiotherapy With Total Mesorectal Excision Only Is Not Sufficient to Prevent Lateral Local Recurrence in Enlarged Nodes: Results of the Multicenter Lateral Node Study of Patients With Low cT3/4 Rectal Cancer. J. Clin. Oncol. 2018, 37, 33–43. [Google Scholar] [CrossRef] [PubMed]
- Ogura, A.; Konishi, T.; Beets, G.L.; Cunningham, C.; Garcia-Aguilar, J.; Iversen, H.; Toda, S.; Lee, I.K.; Lee, H.X.; Uehara, K.; et al. Lateral Nodal Features on Restaging Magnetic Resonance Imaging Associated With Lateral Local Recurrence in Low Rectal Cancer After Neoadjuvant Chemoradiotherapy or Radiotherapy Invited Commentary Supplemental content. JAMA Surg. 2019, 154, 192172. [Google Scholar] [CrossRef]
- Kroon, H.M.; Malakorn, S.; Dudi-Venkata, N.N.; Bedrikovetski, S.; Liu, J.; Kenyon-Smith, T.; Bednarski, B.K.; Ogura, A.; van de Velde, C.J.H.; Rutten, H.J.T.; et al. Local recurrences in western low rectal cancer patients treated with or without lateral lymph node dissection after neoadjuvant (chemo)radiotherapy: An international multi-centre comparative study. Eur. J. Surg. Oncol. 2021, 47, 2441–2449. [Google Scholar] [CrossRef]
- Ding, L.; Liu, G.-W.; Zhao, B.-C.; Zhou, Y.-P.; Li, S.; Zhang, Z.-D.; Guo, Y.-T.; Li, A.-Q.; Lu, Y.; Yao, H.-W.; et al. Artificial intelligence system of faster region-based convolutional neural network surpassing senior radiologists in evaluation of metastatic lymph nodes of rectal cancer. Chin. Med. J. 2019, 132, 379. [Google Scholar] [CrossRef] [PubMed]
- Koh, D.M.; George, C.; Temple, L.; Collins, D.J.; Toomey, P.; Raja, A.; Bett, N.; Farhat, S.; Husband, J.E.; Brown, G. Diagnostic accuracy of nodal enhancement pattern of rectal cancer at MRI enhanced with ultrasmall superparamagnetic iron oxide: Findings in pathologically matched mesorectal lymph nodes. Am. J. Roentgenol. 2010, 194, W505–W513. [Google Scholar] [CrossRef] [PubMed]
- Liu, Y.; Wan, L.; Peng, W.; Zou, S.; Zheng, Z.; Ye, F.; Jiang, J.; Ouyang, H.; Zhao, X.; Zhang, H. A magnetic resonance imaging (MRI)-based nomogram for predicting lymph node metastasis in rectal cancer: A node-for-node comparative study of MRI and histopathology. Quant. Imaging Med. Surg. 2021, 11, 2586. [Google Scholar] [CrossRef] [PubMed]
- Zhang, H.; Zhang, C.; Zheng, Z.; Ye, F.; Liu, Y.; Zou, S.; Zhou, C. Chemical shift effect predicting lymph node status in rectal cancer using high-resolution MR imaging with node-for-node matched histopathological validation. Eur. Radiol. 2017, 27, 3845–3855. [Google Scholar] [CrossRef] [PubMed]
- Zhao, L.; Liang, M.; Yang, Y.; Zhao, X.; Zhang, H. Histogram models based on intravoxel incoherent motion diffusion-weighted imaging to predict nodal staging of rectal cancer. Eur. J. Radiol. 2021, 142, 109869. [Google Scholar] [CrossRef] [PubMed]
- Vogl, T.J.; Pegios, W.; Mack, M.G.; Hiinerbein, M.; Hintze, R.; Adler, A.; Lobbeck, H.; Hammerstingl, R.; Wust, P.; Schlag, P.; et al. Accuracy of staging rectal tumors with contrast-enhanced transrectal MR imaging. Am. J. Roentgenol. 1997, 168, 1427–1434. [Google Scholar] [CrossRef]
- Lambregts, D.M.J.; Beets, G.L.; Maas, M.; Kessels, A.G.H.; Bakers, F.C.H.; Cappendijk, V.C.; Engelen, S.M.E.; Lahaye, M.J.; De Bruïne, A.P.; Lammering, G.; et al. Accuracy of gadofosveset-enhanced MRI for nodal staging and restaging in rectal cancer. Ann. Surg. 2011, 253, 539–545. [Google Scholar] [CrossRef]
- Yang, X.; Chen, Y.; Wen, Z.; Lu, B.; Shen, B.; Xiao, X.; Yu, S. Role of quantitative dynamic contrast-enhanced MRI in evaluating regional lymph nodes with a short-axis diameter of less than 5 mm in rectal cancer. Am. J. Roentgenol. 2019, 212, 77–83. [Google Scholar] [CrossRef]
- Tse, D.M.L.; Joshi, N.; Anderson, E.M.; Brady, M.; Gleeson, F.V. A computer-aided algorithm to quantitatively predict lymph node status on MRI in rectal cancer. Br. J. Radiol. 2012, 85, 1272–1278. [Google Scholar] [CrossRef] [Green Version]
- Li, J.; Zhou, Y.; Wang, X.; Zhou, M.; Chen, X.; Luan, K. An MRI-based multi-objective radiomics model predicts lymph node status in patients with rectal cancer. Abdom. Radiol. 2021, 46, 1816–1824. [Google Scholar] [CrossRef] [PubMed]
- Bipat, S.; Glas, A.S.; Slors, F.J.M.; Zwinderman, A.H.; Bossuyt, P.M.M.; Stoker, J. Rectal cancer: Local staging and assessment of lymph node involvement with endoluminal US, CT, and MR imaging—A meta-analysis. Radiology 2004, 232, 773–783. [Google Scholar] [CrossRef]
- Erbs, E.; Rafaelsen, S.R.; Lindebjerg, J.; Jensen, L.H.; Hansen, T.F. The impact of mismatch repair status to the preoperative staging of colon cancer: Implications for clinical management. Colorectal Cancer 2020, 9, CRC20. [Google Scholar] [CrossRef]
- Pedersen, M.R.V.; Rafaelsen, S.R.; Lindebjerg, J.; Hansen, T.F.; Rahr, H.B. The Impact of Patient Characteristics and Tumor Biology on the Accuracy of Preoperative Staging of Colon Cancer in Denmark. A Nationwide Cohort Study. Cancers 2021, 13, 4384. [Google Scholar] [CrossRef] [PubMed]




| Observer | Experience MRI Rectal Staging | Title |
|---|---|---|
| Observer 1 | 0 years | Resident |
| Observer 2 | 0 years | Resident |
| Observer 3 | 10 years | Consultant |
| Observer 4 | >20 years | Consultant |
| Length | Width | ADC | ||||
|---|---|---|---|---|---|---|
| Interobserver | No. of LN * | ICC (95% CI) | No. of LN * | ICC (95% CI) | No. of LN * | ICC (95% CI) |
| 1st Read | 98 | 0.94 (0.92–0.96) | 99 | 0.93 (0.91–0.95) | 89 | 0.79 (0.72–0.85) |
| 2nd Read | 100 | 0.94 (0.87 0.97) | 100 | 0.89 (0.82–0.93) | 96 | 0.73 (0.65–0.80) |
| Intraobserver | No. of LN * | ICC (95% CI) | No. of LN * | ICC (95% CI) | No. of LN * | ICC (95% CI) |
| Observer 1 | 103 | 0.95 (0.90–0.97) | 104 | 0.89 (0.80–0.93) | 95 | 0.84 (0.72–0.90) |
| Observer 2 | 102 | 0.96 (0.94–0.98) | 102 | 0.95 (0.90–0.98) | 95 | 0.89 (0.84–0.90) |
| Observer 3 | 102 | 0.98 (0.97–0.99) | 102 | 0.96 (0.91–0.98) | 99 | 0.85 (0.79–0.90) |
| Observer 4 | 99 | 0.94 (0.91–0.96) | 99 | 0.92 (0.88–0.95) | 93 | 0.79 (0.69–0.85) |
| Irregular Border | Heterogeneous Signal | Round Shape | Extra Mesorectal LN | |||||
|---|---|---|---|---|---|---|---|---|
| Interobserver | LNs * | Kappa (95% CI) (Agreement) | LNs * | Kappa (95% CI) (Agreement) | LNs * | Kappa (95% CI) (Agreement) | LNs * | Kappa (95% CI) (Agreement) |
| Observer 1 | ||||||||
| 1st Read | 103 | 0.48 (0.31–0.65) (74%) | 102 | 0.30 (0.12–0.48) (65%) | 103 | 0.28 (0.08–0.48) (72%) | 102 | 0.68 (0.40–0.96) (95%) |
| 2nd Read | 104 | 0.44 (0.28–0.59) (71%) | 104 | 0.21 (0.04–0.39) (61%) | 104 | 0.53 (0.39–0.68) (76%) | 104 | 0.74 (0.50–0.97) (95%) |
| Observer 2 | ||||||||
| 1st Read | 101 | 0.42 (0.25–0.60) (71%) | 101 | 0.30 (0.11–0.49) (70%) | 101 | 0.26 (0.15–0.37) (55%) | 99 | 0.94 (0.79–1.08) (99%) |
| 2nd Read | 104 | 0.54 (0.39–0.69) (78%) | 104 | 0.38 (0.21–0.56) (69%) | 104 | 0.53 (0.38–0.68) (76%) | 104 | 0.75 (0.56–0.95) (94%) |
| Observer 4 | ||||||||
| 1st Read | 100 | 0.44 (0.26–0.62) (72%) | 100 | 0.21 (0.02–0.40) (62%) | 101 | 0.21 (0.02–0.40) (64%) | 97 | 0.56 (0.29–0.82) (91%) |
| 2nd Read | 102 | 0.51 (0.34–0.67) (75%) | 102 | 0.27 (0.09–0.45) (64%) | 102 | 0.50 (0.33–0.67) (76%) | 102 | 0.95 (0.84–1.06) (99%) |
| Intraobserver | LNs * | Kappa (95% CI) (Agreement) | LNs * | Kappa (95% CI) (Agreement) | LNs * | Kappa (95% CI) (Agreement) | LNs * | Kappa (95% CI) (Agreement) |
| Observer 1 | 104 | 0.50 (0.34–0.66) (76%) | 104 | 0.39 (0.22–0.56) (69%) | 104 | 0.38 (0.26–0.51) (66%) | 104 | 0.81 (0.58–1.04) (97%) |
| Observer 2 | 102 | 0.40 (0.24–0.56) (71%) | 102 | 0.23 (0.04–0.41) (67%) | 102 | 0.56 (0.39–0.72) (79%) | 101 | 0.68 (0.47–0.90) (93%) |
| Observer 3 | 103 | 0.69 (0.54–0.83) (84%) | 102 | 0.53 (0.38–0.69) (76%) | 103 | 0.56 (0.38–0.73) (80%) | 102 | 0.95 (0.83–1.06) (99%) |
| Observer 4 | 99 | 0.58 (0.42–0.74) (79%) | 100 | 0.40 (0.22–0.59) (71%) | 100 | 0.46 (0.28–0.64) (75%) | 97 | 0.65 (0.42–0.89) (93%) |
Publisher’s Note: MDPI stays neutral with regard to jurisdictional claims in published maps and institutional affiliations. |
© 2021 by the authors. Licensee MDPI, Basel, Switzerland. This article is an open access article distributed under the terms and conditions of the Creative Commons Attribution (CC BY) license (https://creativecommons.org/licenses/by/4.0/).
Share and Cite
Grimm, P.; Loft, M.K.; Dam, C.; Pedersen, M.R.V.; Timm, S.; Rafaelsen, S.R. Intra- and Interobserver Variability in Magnetic Resonance Imaging Measurements in Rectal Cancer Patients. Cancers 2021, 13, 5120. https://doi.org/10.3390/cancers13205120
Grimm P, Loft MK, Dam C, Pedersen MRV, Timm S, Rafaelsen SR. Intra- and Interobserver Variability in Magnetic Resonance Imaging Measurements in Rectal Cancer Patients. Cancers. 2021; 13(20):5120. https://doi.org/10.3390/cancers13205120
Chicago/Turabian StyleGrimm, Peter, Martina Kastrup Loft, Claus Dam, Malene Roland Vils Pedersen, Signe Timm, and Søren Rafael Rafaelsen. 2021. "Intra- and Interobserver Variability in Magnetic Resonance Imaging Measurements in Rectal Cancer Patients" Cancers 13, no. 20: 5120. https://doi.org/10.3390/cancers13205120
APA StyleGrimm, P., Loft, M. K., Dam, C., Pedersen, M. R. V., Timm, S., & Rafaelsen, S. R. (2021). Intra- and Interobserver Variability in Magnetic Resonance Imaging Measurements in Rectal Cancer Patients. Cancers, 13(20), 5120. https://doi.org/10.3390/cancers13205120

