Two Dimensional-Difference in Gel Electrophoresis (2D-DIGE) Proteomic Approach for the Identification of Biomarkers in Endometrial Cancer Serum
Abstract
:Simple Summary
Abstract
1. Introduction
2. Materials and Methods
2.1. Patients
2.2. Serum Sample Collection and Enrichment
2.3. Sample Preparation for 2D-DIGE and Gel Image Analysis
2.4. Western Blotting
2.5. Trypsin Digestion and MS Analysis
2.6. Exosome Isolation
2.7. Surface Preparation and Sample Deposition
2.8. Atomic Force Microscopy
2.9. Image Analysis
2.10. Bioinformatic Analysis
2.11. Statistical Analysis
3. Results
3.1. Proteomic Study
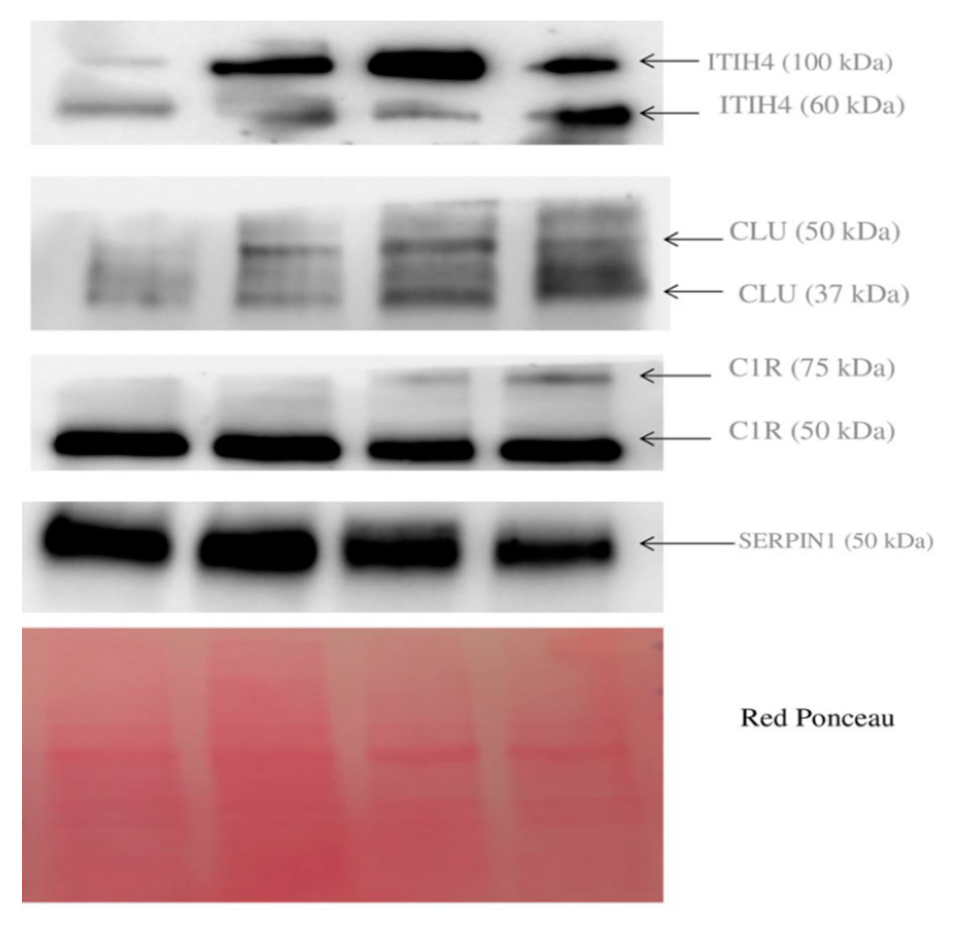
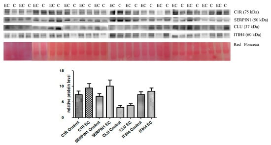
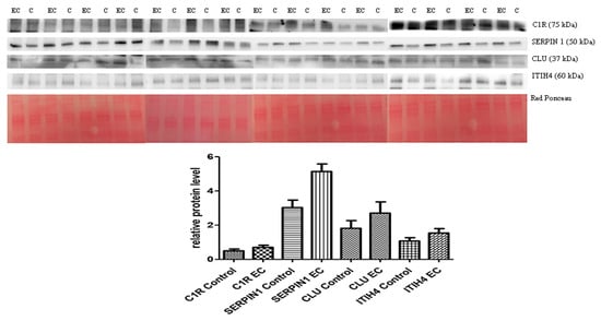
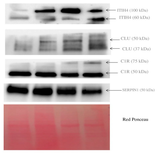
3.2. Western Blotting for Data Validation
3.3. Atomic Force Microscopy (AFM) Imaging
3.4. Bioinformatic Analysis
4. Discussion
5. Conclusions
Supplementary Materials
Author Contributions
Funding
Institutional Review Board Statement
Informed Consent Statement
Data Availability Statement
Acknowledgments
Conflicts of Interest
References
- Siegel, R.L.; Mph, K.D.M.; Jemal, A. Cancer statistics, 2020. CA A Cancer J. Clin. 2020, 70, 7–30. [Google Scholar] [CrossRef]
- Clarke, M.A.; Devesa, S.S.; Harvey, S.V.; Wentzensen, N. Hysterectomy-Corrected Uterine Corpus Cancer Incidence Trends and Differences in Relative Survival Reveal Racial Disparities and Rising Rates of Nonendometrioid Cancers. J. Clin. Oncol. 2019, 37, 1895–1908. [Google Scholar] [CrossRef]
- Kim, S.-I.; Kim, J.-W. Endometrial Cancer. N. Engl. J. Med. 2021, 384, 586. [Google Scholar] [CrossRef]
- Suarez, A.A.; Felix, A.S.; Cohn, D. Bokhman Redux: Endometrial cancer “types” in the 21st century. Gynecol. Oncol. 2017, 144, 243–249. [Google Scholar] [CrossRef]
- Belcaro, C.; Scrimin, F.; Mangogna, A.; Galati, E.F.; Biffi, S.; Monasta, L.; Romano, F.; Ricci, G. Comparison between Different Diagnostic Strategies in Low-Risk Reproductive Age and Pre-Menopausal Women Presenting Abnormal Uterine Bleeding. Diagnostics 2020, 10, 884. [Google Scholar] [CrossRef] [PubMed]
- O’Flynn, H.; Ryan, N.A.J.; Narine, N.; Shelton, D.; Rana, D.; Crosbie, E.J. Diagnostic accuracy of cytology for the detection of endometrial cancer in urine and vaginal samples. Nat. Commun. 2021, 12, 952. [Google Scholar] [CrossRef] [PubMed]
- Arora, S.; Balasubramaniam, S.; Zhang, W.; Zhang, L.; Sridhara, R.; Spillman, D.; Mathai, J.P.; Scott, B.; Golding, S.J.; Coory, M.; et al. FDA Approval Summary: Pembrolizumab plus Lenvatinib for Endometrial Carcinoma, a Collaborative International Review under Project Orbis. Clin. Cancer Res. 2020, 26, 5062–5067. [Google Scholar] [CrossRef] [PubMed] [Green Version]
- Rajadevan, N.; McNally, O.; Neesham, D.; Richards, A.; Naaman, Y. Prognostic value of serum HE4 level in the management of endometrial cancer: A pilot study. Aust. N. Z. J. Obstet. Gynaecol. 2021, 61, 284–289. [Google Scholar] [CrossRef]
- Uyar, D.S.; Huang, Y.-W.; Chesnik, M.A.; Doan, N.B.; Mirza, S.P. Comprehensive serum proteomic analysis in early endometrial cancer. J. Proteom. 2021, 234, 104099. [Google Scholar] [CrossRef]
- Raglan, O.; Assi, N.; Nautiyal, J.; Lu, H.; Gabra, H.; Gunter, M.J.; Kyrgiou, M. Proteomic analysis of malignant and benign endometrium according to obesity and insulin-resistance status using Reverse Phase Protein Array. Transl. Res. 2020, 218, 57–72. [Google Scholar] [CrossRef]
- Xu, H.; Gong, Z.; Shen, Y.; Fang, Y.; Zhong, S. Circular RNA expression in extracellular vesicles isolated from serum of patients with endometrial cancer. Epigenomics 2018, 10, 187–197. [Google Scholar] [CrossRef]
- Makler, A.; Asghar, W. Exosomal biomarkers for cancer diagnosis and patient monitoring. Expert Rev. Mol. Diagn. 2020, 20, 387–400. [Google Scholar] [CrossRef]
- Makler, A.; Narayanan, R.; Makler, A.; Narayanan, R. Mining Exosomal Genes for Pancreatic Cancer Targets. Cancer Genom. Proteom. 2017, 14, 161–172. [Google Scholar] [CrossRef] [Green Version]
- Song, Y.; Wang, M.; Tong, H.; Tan, Y.; Hu, X.; Wang, K.; Wan, X. Plasma exosomes from endometrial cancer patients contain LGALS3BP to promote endometrial cancer progression. Oncogene 2020, 40, 633–646. [Google Scholar] [CrossRef]
- Ura, B.; Monasta, L.; Arrigoni, G.; Franchin, C.; Radillo, O.; Peterlunger, I.; Ricci, G.; Scrimin, F. A proteomic approach for the identification of biomarkers in endometrial cancer uterine aspirate. Oncotarget 2017, 8, 109536–109545. [Google Scholar] [CrossRef] [PubMed]
- Martinez-Garcia, E.; Lesur, A.; Devis-Jauregui, L.; Campos, A.; Cabrera, S.; Van Oostrum, J.; Matias-Guiu, X.; Gil-Moreno, A.; Reventos, J.; Colas, E.; et al. Development of a sequential workflow based on LC-PRM for the verification of endometrial cancer protein biomarkers in uterine aspirate samples. Oncotarget 2016, 7, 53102–53115. [Google Scholar] [CrossRef] [PubMed] [Green Version]
- Kondo, T. Cancer biomarker development and two-dimensional difference gel electrophoresis (2D-DIGE). Biochim. Biophys. Acta (BBA) Proteins Proteom. 2019, 1867, 2–8. [Google Scholar] [CrossRef] [PubMed]
- Ichikawa, H.; Kanda, T.; Kosugi, S.-I.; Kawachi, Y.; Sasaki, H.; Wakai, T.; Kondo, T. Laser Microdissection and Two-Dimensional Difference Gel Electrophoresis Reveal the Role of a Novel Macrophage-Capping Protein in Lymph Node Metastasis in Gastric Cancer. J. Proteome Res. 2013, 12, 3780–3791. [Google Scholar] [CrossRef]
- Kimura, K.; Ojima, H.; Kubota, D.; Sakumoto, M.; Nakamura, Y.; Tomonaga, T.; Kosuge, T.; Kondo, T. Proteomic identification of the macrophage-capping protein as a protein contributing to the malignant features of hepatocellular carcinoma. J. Proteom. 2013, 78, 362–373. [Google Scholar] [CrossRef]
- Andersen, J.D.; Boylan, K.L.M.; Xue, F.S.; Anderson, L.B.; Witthuhn, B.A.; Markowski, T.W.; Higgins, L.; Skubitz, A. Identification of candidate biomarkers in ovarian cancer serum by depletion of highly abundant proteins and differential in-gel electrophoresis. Electrophoresis 2010, 31, 599–610. [Google Scholar] [CrossRef]
- Suehara, Y.; Kondo, T.; Seki, K.; Shibata, T.; Fujii, K.; Gotoh, M.; Hasegawa, T.; Shimada, Y.; Sasako, M.; Shimoda, T.; et al. Pfetin as a Prognostic Biomarker of Gastrointestinal Stromal Tumors Revealed by Proteomics. Clin. Cancer Res. 2008, 14, 1707–1717. [Google Scholar] [CrossRef] [PubMed] [Green Version]
- Carcoforo, P.; Ura, B.; Mischiati, C.; Squerzanti, M.; Lanzara, V.; Cervellati, C.; Calza, R.; De Laureto, P.P.; Frare, E.; Portinari, M.; et al. Comparative proteomic analysis of ductal breast carcinoma demonstrates an altered expression of chaperonins and cytoskeletal proteins. Mol. Med. Rep. 2013, 7, 1700–1704. [Google Scholar] [CrossRef] [Green Version]
- Puricelli, L.; Iori, E.; Millioni, R.; Arrigoni, G.; James, P.; Vedovato, M.; Tessari, P. Proteome Analysis of Cultured Fibroblasts from Type 1 Diabetic Patients and Normal Subjects. J. Clin. Endocrinol. Metab. 2006, 91, 3507–3514. [Google Scholar] [CrossRef] [PubMed]
- Ura, B.; Scrimin, F.; Arrigoni, G.; Athanasakis, E.; Aloisio, M.; Monasta, L.; Ricci, G. Abnormal expression of leiomyoma cytoskeletal proteins involved in cell migration. Oncol. Rep. 2016, 35, 3094–3100. [Google Scholar] [CrossRef] [PubMed] [Green Version]
- Ura, B.; Scrimin, F.; Zanconati, F.; Arrigoni, G.; Monasta, L.; Romano, A.; Banco, R.; Zweyer, M.; Milani, D.; Ricci, G. Two-dimensional gel electrophoresis analysis of the leiomyoma interstitial fluid reveals altered protein expression with a possible involvement in pathogenesis. Oncol. Rep. 2015, 33, 2219–2226. [Google Scholar] [CrossRef] [PubMed] [Green Version]
- Nečas, D.; Klapetek, P. Gwyddion: An open-source software for SPM data analysis. Cent. Eur. J. Phys. 2012, 10, 181–188. [Google Scholar] [CrossRef]
- Ridolfi, A.; Brucale, M.; Montis, C.; Caselli, L.; Paolini, L.; Borup, A.; Boysen, A.T.; Loria, F.; Van Herwijnen, M.J.C.; Kleinjan, M.; et al. AFM-Based High-Throughput Nanomechanical Screening of Single Extracellular Vesicles. Anal. Chem. 2020, 92, 10274–10282. [Google Scholar] [CrossRef] [PubMed]
- Ura, B.; Scrimin, F.; Franchin, C.; Arrigoni, G.; Licastro, D.; Monasta, L.; Ricci, G. Identification of proteins with different abundance associated with cell migration and proliferation in leiomyoma interstitial fluid by proteomics. Oncol. Lett. 2017, 13, 3912–3920. [Google Scholar] [CrossRef] [Green Version]
- Njoku, K.; Chiasserini, D.; Whetton, A.D.; Crosbie, E.J. Proteomic Biomarkers for the Detection of Endometrial Cancer. Cancers 2019, 11, 1572. [Google Scholar] [CrossRef] [Green Version]
- Tarney, C.M.; Wang, G.; Bateman, N.W.; Conrads, K.A.; Zhou, M.; Hood, B.L.; Loffredo, J.; Tian, C.; Darcy, K.M.; Hamilton, C.A.; et al. Biomarker panel for early detection of endometrial cancer in the Prostate, Lung, Colorectal, and Ovarian cancer screening trial. Am. J. Obstet. Gynecol. 2019, 221, 472.e1–472.e10. [Google Scholar] [CrossRef]
- Zhao, J.; Chi, A.; Mao, R.; Hu, G.; Ji, M. Serum Amyloid P-component Level May be a Biomarker for Lung Toxicities and Overall Survival after Thoracic Radiotherapy for Non-small Cell Lung Cancer. Clin. Lab. 2016, 59, 2183–2190. [Google Scholar] [CrossRef]
- Merchant, S.; Sun, J.; Korbelik, M. Dying cells program their expedient disposal: Serum amyloid P component upregulation in vivo and in vitro induced by photodynamic therapy of cancer. Photochem. Photobiol. Sci. 2007, 6, 1284–1289. [Google Scholar] [CrossRef]
- Girija, U.V.; Gingras, A.; Marshall, J.E.; Panchal, R.; Sheikh, A.; Gál, P.; Schwaeble, W.; Mitchell, D.; Moody, P.; Wallis, R. Structural basis of the C1q/C1s interaction and its central role in assembly of the C1 complex of complement activation. Proc. Natl. Acad. Sci. USA 2013, 110, 13916–13920. [Google Scholar] [CrossRef] [Green Version]
- Riihilä, P.; Viiklepp, K.; Nissinen, L.; Farshchian, M.; Kallajoki, M.; Kivisaari, A.; Meri, S.; Peltonen, J.; Kähäri, V.; Peltonen, S. Tumour-cell-derived complement components C1r and C1s promote growth of cutaneous squamous cell carcinoma. Br. J. Dermatol. 2019, 182, 658–670. [Google Scholar] [CrossRef] [PubMed]
- Yang, X.; Wang, J. The Role of Metabolic Syndrome in Endometrial Cancer: A Review. Front. Oncol. 2019, 9, 744. [Google Scholar] [CrossRef] [PubMed] [Green Version]
- Kyo, S.; Nakayama, K. Endometrial Cancer as a Metabolic Disease with Dysregulated PI3K Signaling: Shedding Light on Novel Therapeutic Strategies. Int. J. Mol. Sci. 2020, 21, 6073. [Google Scholar] [CrossRef] [PubMed]
- Wu, A.; Windmueller, H. Identification of circulating apolipoproteins synthesized by rat small intestine in vivo. J. Biol. Chem. 1978, 253, 2525–2528. [Google Scholar] [CrossRef]
- Wang, F.; Kohan, A.B.; Kindel, T.L.; Corbin, K.L.; Nunemaker, C.; Obici, S.; Woods, S.C.; Davidson, W.; Tso, P. Apolipoprotein A-IV improves glucose homeostasis by enhancing insulin secretion. Proc. Natl. Acad. Sci. USA 2012, 109, 9641–9646. [Google Scholar] [CrossRef] [Green Version]
- Wang, F.; Kohan, A.B.; Lo, C.-M.; Liu, M.; Howles, P.; Tso, P. Apolipoprotein A-IV: A protein intimately involved in metabolism. J. Lipid Res. 2015, 56, 1403–1418. [Google Scholar] [CrossRef] [PubMed] [Green Version]
- Georgila, K.; Vyrla, D.; Drakos, E. Apolipoprotein A-I (ApoA-I), Immunity, Inflammation and Cancer. Cancers 2019, 11, 1097. [Google Scholar] [CrossRef] [Green Version]
- Hayes, J.D.; Dinkova-Kostova, A.; Tew, K.D. Oxidative Stress in Cancer. Cancer Cell 2020, 38, 167–197. [Google Scholar] [CrossRef] [PubMed]
- Coussens, L.M.; Werb, Z. Inflammation and cancer. Nat. Cell Biol. 2002, 420, 860–867. [Google Scholar] [CrossRef] [PubMed]
- Navab, M.; Yu, R.; Gharavi, N.; Huang, W.; Ezra, N.; Lotfizadeh, A.; Anantharamaiah, G.M.; Alipour, N.; Van Lenten, B.J.; Reddy, S.T.; et al. High-density lipoprotein: Antioxidant and anti-inflammatory properties. Curr. Atheroscler. Rep. 2007, 9, 244–248. [Google Scholar] [CrossRef]
- Bruchim, I.; Sarfstein, R.; Werner, H. The IGF Hormonal Network in Endometrial Cancer: Functions, Regulation, and Targeting Approaches. Front. Endocrinol. 2014, 5, 76. [Google Scholar] [CrossRef] [PubMed] [Green Version]
- McCampbell, A.S.; Broaddus, R.R.; Loose, D.S.; Davies, P.J. Overexpression of the Insulin-Like Growth Factor I Receptor and Activation of the AKT Pathway in Hyperplastic Endometrium. Clin. Cancer Res. 2006, 12, 6373–6378. [Google Scholar] [CrossRef] [Green Version]
- Amichay, K.; Kidron, D.; Attias-Geva, Z.; Schayek, H.; Sarfstein, R.; Fishman, A.; Werner, H.; Bruchim, I. BRCA1 is Expressed in Uterine Serous Carcinoma (USC) and Controls Insulin-Like Growth Factor I Receptor (IGF-IR) Gene Expression in USC Cell Lines. Int. J. Gynecol. Cancer 2012, 22, 748–754. [Google Scholar] [CrossRef] [PubMed] [Green Version]
- Szabo, R.; Netzel-Arnett, S.; Hobson, J.P.; Antalis, T.M.; Bugge, T.H. Matriptase-3 is a novel phylogenetically preserved membrane-anchored serine protease with broad serpin reactivity. Biochem. J. 2005, 390, 231–242. [Google Scholar] [CrossRef] [PubMed] [Green Version]
- Luengo-Gil, G.; Calvo, M.I.; Martin-Villar, E.; Aguila, S.; Bohdan, N.; Anton, A.I.; Espín, S.; de la Peña, F.A.; Vicente, V.; Corral, J.; et al. Antithrombin controls tumor migration, invasion and angiogenesis by inhibition of enteropeptidase. Sci. Rep. 2016, 6, 27544. [Google Scholar] [CrossRef] [PubMed] [Green Version]
- Dore, M.; Filoche, S.; Danielson, K.; Henry, C. Efficacy of the LNG-IUS for treatment of endometrial hyperplasia and early stage endometrial cancer: Can biomarkers predict response? Gynecol. Oncol. Rep. 2021, 36, 100732. [Google Scholar] [CrossRef]







| Accession Number | Spot Number | Protein Description | Gene Symbol | Protein Score | Fold Change * | p-Value |
|---|---|---|---|---|---|---|
| P10909 | 10 | Clusterin | CLU | 353.36 | 2.25 | 0.014 |
| P01008 | 15 | Antithrombin | SERPINC1 | 1165.24 | 2.2 | 0.024 |
| Q14624 | 14 | Inter-alpha-trypsin inhibitor heavy chain H4 | ITIH4 | 566.84 | 2.1 | 0.007 |
| A0A3B3ISR2 | 30 | Complement subcomponent C1r | C1R | 366.02 | 2 | 0.036 |
| P02656 | 1 | Apolipoprotein C-III | APOC3 | 971.08 | 1.7 | 0.034 |
| Q02413 | 2 | Desmoglein-1 | DSG1 | 340.05 | 1.6 | 0.017 |
| P02743 | 7 | Serum amyloid P-component | APCS | 1525.76 | 0.6 | 0.02 |
| P02748 | 17 | Complement component C9 | C9 | 712.30 | 0.59 | 0.04 |
| P02647 | 3 | Apolipoprotein A-I | APOA1 | 672.27 | 0.5 | 0.027 |
| A0A0C4DGB6 | 5 | Albumin | ALB | 191.37 | 0.48 | 0.007 |
| Q5T985 | 24 | Inter-alpha-trypsin inhibitor heavy chain H2 | ITIH2 | 620.93 | 0.44 | 0.04 |
| P06727 | 6 | Apolipoprotein A-IV | APOA4 | 566.64 | 0.4 | 0.01 |
| Q5T985 | 25 | Inter-alpha-trypsin inhibitor heavy chain H2 | ITIH2 | 691.01 | 0.38 | 0.005 |
| B1AKG0 | 13 | Complement factor H-related protein 1 | CFHR1 | 252.88 | 0.38 | 0.012 |
| Q5T985 | 23 | Inter-alpha-trypsin inhibitor heavy chain H2 | ITIH2 | 792.30 | 0.32 | 0.04 |
| P60709 | 11 | Actin, cytoplasmic 1 | ACTB | 447.69 | 0.3 | 0.01 |
| Marker | Odds Ratio | OR 95% CI | p-Value | Regression Coefficients | RC 95% CI |
|---|---|---|---|---|---|
| ITIH4 | 17.16 | 1.51–194.19 | 0.022 | 2.84 | 0.41–5.27 |
| SERPINC1 | 3.74 | 1.46–9.59 | 0.006 | 1.32 | 0.37–2.26 |
| CLU | 2.50 | 1.16–5.39 | 0.019 | 0.91 | 0.18–1.68 |
| Marker | Odds Ratio | OR 95% CI | p-Value | Regression Coefficients | RC 95% Cl |
|---|---|---|---|---|---|
| ITIH4 | 154.62 | 2.01–11,866.05 | 0.023 | 5.04 | 0.69–9.38 |
| C1R | 1.37 | 1.04–1.79 | 0.024 | 0.31 | 0.04–0.58 |
| Constant | 0.013 | 0.0003–0.486 | 0.019 | −4.34 | −8.11–−0.72 |
Publisher’s Note: MDPI stays neutral with regard to jurisdictional claims in published maps and institutional affiliations. |
© 2021 by the authors. Licensee MDPI, Basel, Switzerland. This article is an open access article distributed under the terms and conditions of the Creative Commons Attribution (CC BY) license (https://creativecommons.org/licenses/by/4.0/).
Share and Cite
Ura, B.; Biffi, S.; Monasta, L.; Arrigoni, G.; Battisti, I.; Di Lorenzo, G.; Romano, F.; Aloisio, M.; Celsi, F.; Addobbati, R.; et al. Two Dimensional-Difference in Gel Electrophoresis (2D-DIGE) Proteomic Approach for the Identification of Biomarkers in Endometrial Cancer Serum. Cancers 2021, 13, 3639. https://doi.org/10.3390/cancers13143639
Ura B, Biffi S, Monasta L, Arrigoni G, Battisti I, Di Lorenzo G, Romano F, Aloisio M, Celsi F, Addobbati R, et al. Two Dimensional-Difference in Gel Electrophoresis (2D-DIGE) Proteomic Approach for the Identification of Biomarkers in Endometrial Cancer Serum. Cancers. 2021; 13(14):3639. https://doi.org/10.3390/cancers13143639
Chicago/Turabian StyleUra, Blendi, Stefania Biffi, Lorenzo Monasta, Giorgio Arrigoni, Ilaria Battisti, Giovanni Di Lorenzo, Federico Romano, Michelangelo Aloisio, Fulvio Celsi, Riccardo Addobbati, and et al. 2021. "Two Dimensional-Difference in Gel Electrophoresis (2D-DIGE) Proteomic Approach for the Identification of Biomarkers in Endometrial Cancer Serum" Cancers 13, no. 14: 3639. https://doi.org/10.3390/cancers13143639
APA StyleUra, B., Biffi, S., Monasta, L., Arrigoni, G., Battisti, I., Di Lorenzo, G., Romano, F., Aloisio, M., Celsi, F., Addobbati, R., Valle, F., Rampazzo, E., Brucale, M., Ridolfi, A., Licastro, D., & Ricci, G. (2021). Two Dimensional-Difference in Gel Electrophoresis (2D-DIGE) Proteomic Approach for the Identification of Biomarkers in Endometrial Cancer Serum. Cancers, 13(14), 3639. https://doi.org/10.3390/cancers13143639

