Modified Tumor Budding as a Better Predictor of Lymph Node Metastasis in Early Gastric Cancer: Possible Real-World Applications
Abstract
:Simple Summary
Abstract
1. Introduction
2. Materials and Methods
2.1. Patient and Clinicopathological Data
2.2. Histopathologic Analysis
2.3. Lymphatic and Venous Invasion
2.4. Ulcers
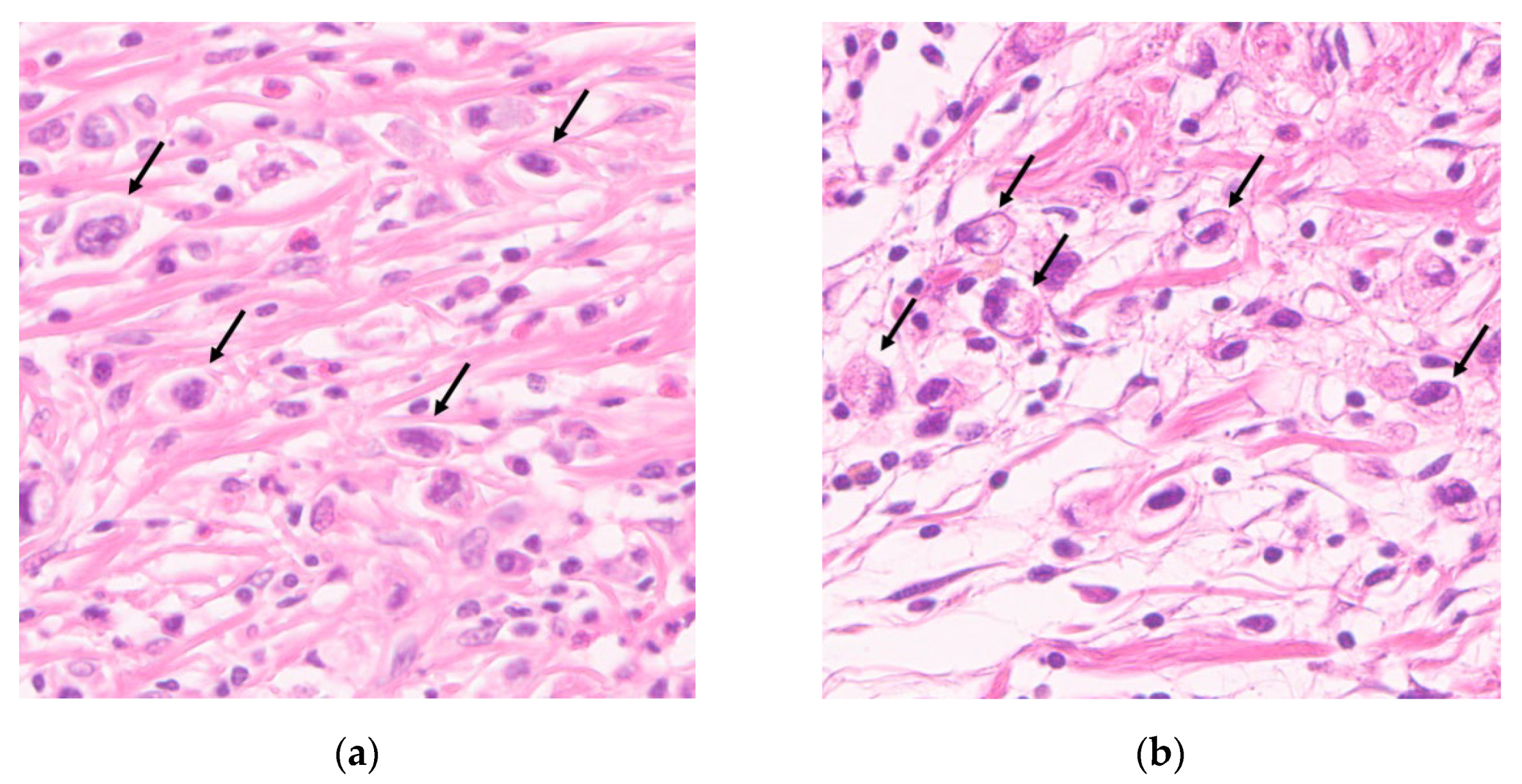
2.5. TB and mTB: SRCC and PCC-NOS
2.6. TB Assessments: Presence/Absence of TB (TB-YN), Method Proposed by ITBCC (TB-ITBCC), Total Number of Tumor Buds on a Whole Slide (Total-TB)
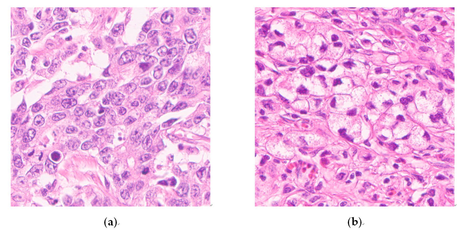
2.7. Poorly Differentiated Cluster (PDC) and PCC-NOS Predominant Cluster (PNC)
2.8. Statistical Analysis
3. Results
3.1. Clinicopathological Characteristics
3.2. Multivariate Regression Analysis of Risk Factors for LNM
4. Discussion
5. Conclusions
Supplementary Materials
Author Contributions
Funding
Institutional Review Board Statement
Informed Consent Statement
Data Availability Statement
Conflicts of Interest
References
- Japanese Gastric Cancer Association. Japanese gastric cancer treatment guidelines 2018 (5th edition). Gastric Cancer 2021, 24, 1–21. [Google Scholar] [CrossRef] [Green Version]
- Kim, S.G.; Lyu, D.H.; Park, C.M.; Lee, N.R.; Kim, J.; Cha, Y.; Jung, H.Y. Current status of endoscopic submucosal dissection for early gastric cancer in Korea: Role and benefits. Korean J. Intern. Med. 2019, 34, 785–793. [Google Scholar] [CrossRef] [Green Version]
- Choi, K.S.; Jung, H.Y.; Choi, K.D.; Lee, G.H.; Song, H.J.; Kim, D.H.; Lee, J.H.; Kim, M.Y.; Kim, B.S.; Oh, S.T.; et al. EMR versus gastrectomy for intramucosal gastric cancer: Comparison of long-term outcomes. Gastrointest. Endosc. 2011, 73, 942–948. [Google Scholar] [CrossRef]
- Hahn, K.Y.; Park, C.H.; Lee, Y.K.; Chung, H.; Park, J.C.; Shin, S.K.; Lee, Y.C.; Kim, H.I.; Cheong, J.H.; Hyung, W.J.; et al. Comparative study between endoscopic submucosal dissection and surgery in patients with early gastric cancer. Surg. Endosc. 2018, 32, 73–86. [Google Scholar] [CrossRef]
- Choi, I.J.; Lee, J.H.; Kim, Y.I.; Kim, C.G.; Cho, S.J.; Lee, J.Y.; Ryu, K.W.; Nam, B.H.; Kook, M.C.; Kim, Y.W. Long-term outcome comparison of endoscopic resection and surgery in early gastric cancer meeting the absolute indication for endoscopic resection. Gastrointest. Endosc. 2015, 81, 333–341. [Google Scholar] [CrossRef] [PubMed]
- Lee, S.; Choi, K.D.; Hong, S.M.; Park, S.H.; Gong, E.J.; Na, H.K.; Ahn, J.Y.; Jung, K.W.; Lee, J.H.; Kim, D.H.; et al. Pattern of extragastric recurrence and the role of abdominal computed tomography in surveillance after endoscopic resection of early gastric cancer: Korean experiences. Gastric Cancer 2017, 20, 843–852. [Google Scholar] [CrossRef] [PubMed]
- Min, B.H.; Kim, E.R.; Kim, K.M.; Park, C.K.; Lee, J.H.; Rhee, P.L.; Kim, J.J. Surveillance strategy based on the incidence and patterns of recurrence after curative endoscopic submucosal dissection for early gastric cancer. Endoscopy 2015, 47, 784–793. [Google Scholar] [CrossRef] [PubMed] [Green Version]
- Oda, I.; Oyama, T.; Abe, S.; Ohnita, K.; Kosaka, T.; Hirasawa, K.; Ishido, K.; Nakagawa, M.; Takahashi, S. Preliminary results of multicenter questionnaire study on long-term outcomes of curative endoscopic submucosal dissection for early gastric cancer. Dig. Endosc. 2014, 26, 214–219. [Google Scholar] [CrossRef] [PubMed]
- Hatta, W.; Gotoda, T.; Oyama, T.; Kawata, N.; Takahashi, A.; Yoshifuku, Y.; Hoteya, S.; Nakagawa, M.; Hirano, M.; Esaki, M.; et al. A Scoring System to Stratify Curability after Endoscopic Submucosal Dissection for Early Gastric Cancer: “eCura system”. Am. J. Gastroenterol. 2017, 112, 874–881. [Google Scholar] [CrossRef]
- Hashiguchi, Y.; Muro, K.; Saito, Y.; Ito, Y.; Ajioka, Y.; Hamaguchi, T.; Hasegawa, K.; Hotta, K.; Ishida, H.; Ishiguro, M.; et al. Japanese Society for Cancer of the Colon and Rectum (JSCCR) guidelines 2019 for the treatment of colorectal cancer. Int. J. Clin. Oncol. 2020, 25, 1–42. [Google Scholar] [CrossRef] [Green Version]
- Yim, K.; Won, D.D.; Lee, I.K.; Oh, S.T.; Jung, E.S.; Lee, S.H. Novel predictors for lymph node metastasis in submucosal invasive colorectal carcinoma. World J. Gastroenterol. 2017, 23, 5936–5944. [Google Scholar] [CrossRef] [PubMed] [Green Version]
- Lugli, A.; Zlobec, I.; Berger, M.D.; Kirsch, R.; Nagtegaal, I.D. Tumour budding in solid cancers. Nat. Rev. Clin. Oncol. 2021, 18, 101–115. [Google Scholar] [CrossRef] [PubMed]
- Gurzu, S.; Jung, I. Subcellular Expression of Maspin in Colorectal Cancer: Friend or Foe. Cancers 2021, 13, 366. [Google Scholar] [CrossRef] [PubMed]
- Olsen, S.; Jin, L.; Fields, R.C.; Yan, Y.; Nalbantoglu, I. Tumor budding in intestinal-type gastric adenocarcinoma is associated with nodal metastasis and recurrence. Hum. Pathol. 2017, 68, 26–33. [Google Scholar] [CrossRef] [PubMed]
- Tanaka, K.; Shimura, T.; Kitajima, T.; Kondo, S.; Ide, S.; Okugawa, Y.; Saigusa, S.; Toiyama, Y.; Inoue, Y.; Araki, T.; et al. Tropomyosin-related receptor kinase B at the invasive front and tumour cell dedifferentiation in gastric cancer. Br. J. Cancer 2014, 110, 2923–2934. [Google Scholar] [CrossRef] [PubMed] [Green Version]
- Ulase, D.; Heckl, S.; Behrens, H.M.; Kruger, S.; Rocken, C. Prognostic significance of tumour budding assessed in gastric carcinoma according to the criteria of the International Tumour Budding Consensus Conference. Histopathology 2020, 76, 433–446. [Google Scholar] [CrossRef] [PubMed] [Green Version]
- Du, M.; Chen, L.; Cheng, Y.; Wang, Y.; Fan, X.; Zhang, Y.; Zhou, X.; Guo, L.; Xu, G.; Zou, X.; et al. Tumor Budding and Other Risk Factors of Lymph Node Metastasis in Submucosal Early Gastric Carcinoma: A Multicenter Clinicopathologic Study in 621 Radical Gastrectomies of Chinese Patients. Am. J. Surg. Pathol. 2019, 43, 1074–1082. [Google Scholar] [CrossRef] [PubMed]
- Gulluoglu, M.; Yegen, G.; Ozluk, Y.; Keskin, M.; Dogan, S.; Gundogdu, G.; Onder, S.; Balik, E. Tumor Budding Is Independently Predictive for Lymph Node Involvement in Early Gastric Cancer. Int. J. Surg. Pathol. 2015, 23, 349–358. [Google Scholar] [CrossRef]
- Kemi, N.; Eskuri, M.; Ikalainen, J.; Karttunen, T.J.; Kauppila, J.H. Tumor Budding and Prognosis in Gastric Adenocarcinoma. Am. J. Surg. Pathol. 2019, 43, 229–234. [Google Scholar] [CrossRef] [Green Version]
- Berg, K.B.; Schaeffer, D.F. Tumor budding as a standardized parameter in gastrointestinal carcinomas: More than just the colon. Mod. Pathol. 2018, 31, 862–872. [Google Scholar] [CrossRef] [Green Version]
- Chon, H.J.; Hyung, W.J.; Kim, C.; Park, S.; Kim, J.H.; Park, C.H.; Ahn, J.B.; Kim, H.; Chung, H.C.; Rha, S.Y.; et al. Differential Prognostic Implications of Gastric Signet Ring Cell Carcinoma: Stage Adjusted Analysis From a Single High-volume Center in Asia. Ann. Surg. 2017, 265, 946–953. [Google Scholar] [CrossRef] [PubMed] [Green Version]
- Machlowska, J.; Puculek, M.; Sitarz, M.; Terlecki, P.; Maciejewski, R.; Sitarz, R. State of the art for gastric signet ring cell carcinoma: From classification, prognosis, and genomic characteristics to specified treatments. Cancer Manag. Res. 2019, 11, 2151–2161. [Google Scholar] [CrossRef] [PubMed] [Green Version]
- Kwon, C.H.; Kim, Y.K.; Lee, S.; Kim, A.; Park, H.J.; Choi, Y.; Won, Y.J.; Park, D.Y.; Lauwers, G.Y. Gastric poorly cohesive carcinoma: A correlative study of mutational signatures and prognostic significance based on histopathological subtypes. Histopathology 2018, 72, 556–568. [Google Scholar] [CrossRef] [PubMed]
- Lugli, A.; Kirsch, R.; Ajioka, Y.; Bosman, F.; Cathomas, G.; Dawson, H.; El Zimaity, H.; Flejou, J.F.; Hansen, T.P.; Hartmann, A.; et al. Recommendations for reporting tumor budding in colorectal cancer based on the International Tumor Budding Consensus Conference (ITBCC) 2016. Mod. Pathol. 2017, 30, 1299–1311. [Google Scholar] [CrossRef]
- Marx, A.H.; Mickler, C.; Sauter, G.; Simon, R.; Terracciano, L.M.; Izbicki, J.R.; Clauditz, T.S. High-grade intratumoral tumor budding is a predictor for lymphovascular invasion and adverse outcome in stage II colorectal cancer. Int. J. Colorectal Dis. 2020, 35, 259–268. [Google Scholar] [CrossRef]
- Lokuhetty, D.; White, V.A.; Watanabe, R.; Cree, I.A. WHO Classification of Tumours of the Digestive System, 5th ed.; International Agency of Research on Cancer: Lyon, France, 2019. [Google Scholar]
- Mariette, C.; Carneiro, F.; Grabsch, H.I.; van der Post, R.S.; Allum, W.; de Manzoni, G.; European Chapter of International Gastric Cancer Association. Consensus on the pathological definition and classification of poorly cohesive gastric carcinoma. Gastric Cancer 2019, 22, 1–9. [Google Scholar] [CrossRef] [Green Version]
- Lugli, A.; Vlajnic, T.; Giger, O.; Karamitopoulou, E.; Patsouris, E.S.; Peros, G.; Terracciano, L.M.; Zlobec, I. Intratumoral budding as a potential parameter of tumor progression in mismatch repair-proficient and mismatch repair-deficient colorectal cancer patients. Hum. Pathol. 2011, 42, 1833–1840. [Google Scholar] [CrossRef]
- Shivji, S.; Conner, J.R.; Barresi, V.; Kirsch, R. Poorly differentiated clusters in colorectal cancer: A current review and implications for future practice. Histopathology 2020, 77, 351–368. [Google Scholar] [CrossRef]
- Ueno, H.; Hase, K.; Hashiguchi, Y.; Shimazaki, H.; Yoshii, S.; Kudo, S.E.; Tanaka, M.; Akagi, Y.; Suto, T.; Nagata, S.; et al. Novel risk factors for lymph node metastasis in early invasive colorectal cancer: A multi-institution pathology review. J. Gastroenterol. 2014, 49, 1314–1323. [Google Scholar] [CrossRef]
- Jang, W.M.; Park, J.H.; Park, J.H.; Oh, J.H.; Kim, Y. Improving the performance of risk-adjusted mortality modeling for colorectal cancer surgery by combining claims data and clinical data. J. Prev. Med. Public Health 2013, 46, 74–81. [Google Scholar] [CrossRef]
- Pavlou, M.; Ambler, G.; Seaman, S.R.; Guttmann, O.; Elliott, P.; King, M.; Omar, R.Z. How to develop a more accurate risk prediction model when there are few events. BMJ 2015, 351, h3868. [Google Scholar] [CrossRef] [Green Version]
- Zlobec, I.; Lugli, A. Tumour budding in colorectal cancer: Molecular rationale for clinical translation. Nat. Rev. Cancer 2018, 18, 203–204. [Google Scholar] [CrossRef] [PubMed]
- Attramadal, C.G.; Kumar, S.; Boysen, M.E.; Dhakal, H.P.; Nesland, J.M.; Bryne, M. Tumor Budding, EMT and Cancer Stem Cells in T1-2/N0 Oral Squamous Cell Carcinomas. Anticancer Res. 2015, 35, 6111–6120. [Google Scholar] [PubMed]
- Zlobec, I.; Lugli, A.; Baker, K.; Roth, S.; Minoo, P.; Hayashi, S.; Terracciano, L.; Jass, J.R. Role of APAF-1, E-cadherin and peritumoral lymphocytic infiltration in tumour budding in colorectal cancer. J. Pathol. 2007, 212, 260–268. [Google Scholar] [CrossRef] [PubMed]
- Koyuncuoglu, M.; Okyay, E.; Saatli, B.; Olgan, S.; Akin, M.; Saygili, U. Tumor budding and E-Cadherin expression in endometrial carcinoma: Are they prognostic factors in endometrial cancer? Gynecol. Oncol. 2012, 125, 208–213. [Google Scholar] [CrossRef]
- Dardare, J.; Witz, A.; Merlin, J.L.; Gilson, P.; Harle, A. SMAD4 and the TGFbeta Pathway in Patients with Pancreatic Ductal Adenocarcinoma. Int. J. Mol. Sci. 2020, 21, 3534. [Google Scholar] [CrossRef]
- Oyanagi, H.; Shimada, Y.; Nagahashi, M.; Ichikawa, H.; Tajima, Y.; Abe, K.; Nakano, M.; Kameyama, H.; Takii, Y.; Kawasaki, T.; et al. SMAD4 alteration associates with invasive-front pathological markers and poor prognosis in colorectal cancer. Histopathology 2019, 74, 873–882. [Google Scholar] [CrossRef] [Green Version]
- Lugli, A.; Iezzi, G.; Hostettler, I.; Muraro, M.G.; Mele, V.; Tornillo, L.; Carafa, V.; Spagnoli, G.; Terracciano, L.; Zlobec, I. Prognostic impact of the expression of putative cancer stem cell markers CD133, CD166, CD44s, EpCAM, and ALDH1 in colorectal cancer. Br. J. Cancer 2010, 103, 382–390. [Google Scholar] [CrossRef]
- Gosens, M.J.; van Kempen, L.C.; van de Velde, C.J.; van Krieken, J.H.; Nagtegaal, I.D. Loss of membranous Ep-CAM in budding colorectal carcinoma cells. Mod. Pathol. 2007, 20, 221–232. [Google Scholar] [CrossRef] [Green Version]
- Lamouille, S.; Xu, J.; Derynck, R. Molecular mechanisms of epithelial-mesenchymal transition. Nat. Rev. Mol. Cell Biol. 2014, 15, 178–196. [Google Scholar] [CrossRef] [Green Version]
- Shu, Y.; Zhang, W.; Hou, Q.; Zhao, L.; Zhang, S.; Zhou, J.; Song, X.; Zhang, Y.; Jiang, D.; Chen, X.; et al. Prognostic significance of frequent CLDN18-ARHGAP26/6 fusion in gastric signet-ring cell cancer. Nat. Commun. 2018, 9, 2447. [Google Scholar] [CrossRef] [PubMed] [Green Version]
- Humar, B.; Blair, V.; Charlton, A.; More, H.; Martin, I.; Guilford, P. E-cadherin deficiency initiates gastric signet-ring cell carcinoma in mice and man. Cancer Res. 2009, 69, 2050–2056. [Google Scholar] [CrossRef] [PubMed] [Green Version]
- Wei, J.; Zhang, Y.; Liu, Y.; Wang, A.; Fan, B.; Fu, T.; Jia, Z.; He, L.; Ji, K.; Ji, X.; et al. Construction and Validation of a Risk-Scoring Model that Preoperatively Predicts Lymph Node Metastasis in Early Gastric Cancer Patients. Ann. Surg. Oncol. 2021. [Google Scholar] [CrossRef]
- Gotoda, T.; Yanagisawa, A.; Sasako, M.; Ono, H.; Nakanishi, Y.; Shimoda, T.; Kato, Y. Incidence of lymph node metastasis from early gastric cancer: Estimation with a large number of cases at two large centers. Gastric. Cancer 2000, 3, 219–225. [Google Scholar] [CrossRef] [PubMed] [Green Version]



| Clinicopathologic Variable | Category | Absence of LNM n = 231 (79.9%) | Presence of LNM n = 58 (20.1%) | p |
|---|---|---|---|---|
| Lymph node number | n (mean ± SD) | 38.7 ± 17.9 | 37.6 ± 14.1 | 0.646 |
| Age | years old (mean ± SD) | 62.5 ± 10.8 | 65.4 ± 10.4 | 0.066 |
| <62 * | 105 (85.4%) | 18 (14.6%) | 0.047 | |
| ≥62 * | 126 (75.9%) | 40 (24.1%) | ||
| Sex | Male | 152 (79.2%) | 40 (20.8%) | 0.756 |
| Female | 79 (81.4%) | 18 (18.6%) | ||
| Tumor location | Cardia | 10 (83.3%) | 2 (16.7%) | 0.446 |
| Corpus/fundus | 119 (82.6%) | 25 (17.4%) | ||
| Antrum/angle/pylorus | 102 (76.7%) | 31 (23.3%) | ||
| Gross type | I (protruding) | 14 (77.8%) | 4 (22.2%) | 0.691 |
| IIa (flat elevated) | 24 (80.0%) | 6 (20.0%) | ||
| IIb (flat) | 69 (82.1%) | 15 (17.9%) | ||
| IIc (flat depressed) | 106 (80.9%) | 25 (19.1%) | ||
| III (excavated) | 18 (69.2%) | 8 (30.8%) | ||
| Tumor size | mm (mean ± SD) | 23.8 ± 16.6 | 35.6 ± 18.5 | <0.001 |
| Depth of invasion | pT1a | 134 (95.7%) | 6 (4.3%) | <0.001 |
| pT1b | 97 (65.1%) | 52 (34.9%) | ||
| Tumor type | Differentiated † | 146 (83.0%) | 30 (17.0%) | 0.109 |
| Undifferentiated † | 85 (75.2%) | 28 (24.8%) | ||
| Histologic type (WHO) | Tubular | 143 (84.6%) | 26 (15.4%) | <0.001 |
| Papillary | 4 (80.0%) | 1 (20.0%) | ||
| Mucinous | 0 (0%) | 2 (100%) | ||
| SRCC | 47 (94.0%) | 3 (6.0%) | ||
| PCC-NOS | 3 (60.0%) | 2 (40.0%) | ||
| Mixed carcinoma | 34 (58.6%) | 24 (41.4%) | ||
| Lauren classification | Intestinal type | 148 (83.6%) | 29 (16.4%) | <0.001 |
| Diffuse type | 49 (90.7%) | 5 (9.3%) | ||
| Mixed type | 34 (58.6%) | 24 (41.4%) | ||
| Indications of surgery after ER ‡ | Curability A | 82 (97.6%) | 2 (2.4%) | <0.001 |
| Curability B | 25 (100.0%) | 0 (0.0%) | ||
| Curability C | 124 (68.9%) | 56 (31.1%) | ||
| Lymphatic invasion | Absent | 207 (89.2%) | 25 (10.8%) | <0.001 |
| Present | 24 (42.1%) | 33 (57.9%) | ||
| Venous invasion | Absent | 228 (81.4%) | 52 (18.6%) | 0.003 |
| Present | 3 (33.3%) | 6 (66.7%) | ||
| PNC | Absent | 135 (97.1%) | 4 (2.9%) | <0.001 |
| Present | 96 (64.0%) | 54 (36.0%) | ||
| TB-YN | Absent | 123 (99.2%) | 1 (0.8%) | <0.001 |
| Present | 108 (65.5%) | 57 (34.5%) | ||
| TB-ITBCC | Low grade (Bd1) | 168 (97.1%) | 5 (2.9%) | <0.001 |
| High grade (Bd2, 3) | 63 (54.3%) | 53 (45.7%) | ||
| total-TB | <5 * | 165 (98.2%) | 3 (1.8%) | <0.001 |
| ≥5 * | 66 (54.5%) | 55 (45.5%) | ||
| mTB-YN | Absent | 146 (98.7%) | 2 (1.3%) | <0.001 |
| Present | 85 (60.3%) | 56 (39.7%) | ||
| mTB-ITBCC | Low grade (Bd1) | 199 (97.1%) | 6 (2.9%) | <0.001 |
| High grade (Bd2, 3) | 32 (38.1%) | 52 (61.9%) | ||
| total-mTB | <5 * | 199 (98.0%) | 4 (2.0%) | <0.001 |
| ≥5 * | 32 (37.2%) | 54 (62.8%) |
| Clinicopathologic Variable | Category | In EGC with SRC Component | p | |
|---|---|---|---|---|
| Absence of LNM n = 82 (77.4%) | Presence of LNM n = 24 (22.6%) | |||
| TB-YN, equivalent SRC | Absent | 49 (71.0%) | 20 (29.0%) | 0.050 |
| Present | 33 (89.2%) | 4 (10.8%) | ||
| TB-ITBCC, equivalent SRC | Low grade (Bd1) | 53 (72.6%) | 20 (27.4%) | 0.131 |
| High grade (Bd2, 3) | 29 (87.9%) | 4 (12.1%) | ||
| total-TB, equivalent SRC | <5 * | 50 (71.4%) | 20 (28.6%) | 0.051 |
| ≥5 * | 32 (88.9%) | 4 (11.1%) | ||
| In Undifferentiated-Type Dominant EGC† | ||||
| Absence of LNM n = 85 (75.2%) | Presence of LNM n = 28 (24.8%) | |||
| TB-YN, equivalent SRC | Absent | 53 (68.8%) | 24 (31.2%) | 0.034 |
| Present | 32 (88.9%) | 4 (11.1%) | ||
| TB-ITBCC, equivalent SRC | Low grade (Bd1) | 55 (69.6%) | 24 (30.4%) | 0.056 |
| High grade (Bd2, 3) | 30 (88.2%) | 4 (11.8%) | ||
| total-TB, equivalent SRC | <5 * | 54 (69.2%) | 24 (30.8%) | 0.034 |
| ≥5 * | 31 (88.6%) | 4 (11.4%) | ||
| Clinicopathologic Variable | Univariate Analysis | Multivariate Analysis | ||||
|---|---|---|---|---|---|---|
| Hazard Ratio (95% CI) | p | Hazard Ratio (95% CI) | p | AUC | Difference AUC | |
| Age * | 1.171 (1.003–3.421) | <0.001 | 0.852 | |||
| Sex | 0.304 (0.466–1.608) | 0.385 | ||||
| Indications of surgery after ER † | 24.161 (5.759–101.362) | <0.001 | ||||
| Lymphatic invasion | 11.385 (5.827–22.245) | <0.001 | ||||
| Venous invasion | 8.769 (2.123–36.216) | 0.003 | ||||
| PNC | 18.984 (6.651–54.185) | <0.001 | 7.597 (2.489–23.189) | <0.001 | 0.879 | 0.027 |
| TB-YN | 64.917 (8.839–476.757) | <0.001 | 24.358 (3.153–188.167) | <0.001 | 0.881 | 0.029 |
| TB-ITBCC | 28.267 (10.806–73.940) | <0.001 | 15.907 (5.407–46.804) | <0.001 | 0.906 | 0.054 |
| total-TB | 45.833 (13.852–151.653) | <0.001 | 25.495 (6.971–93.246) | <0.001 | 0.909 | 0.057 |
| mTB-YN | 48.094 (11.446–202.091) | <0.001 | 21.066 (4.753–93.374) | <0.001 | 0.894 | 0.042 |
| mTB-ITBCC | 53.896 (21.396–135.760) | <0.001 | 35.103 (12.109–101.756) | <0.001 | 0.937 | 0.085 |
| total-mTB | 83.953 (28.451–247.725) | <0.001 | 52.687 (15.687–179.973) | <0.001 | 0.939 | 0.087 |
Publisher’s Note: MDPI stays neutral with regard to jurisdictional claims in published maps and institutional affiliations. |
© 2021 by the authors. Licensee MDPI, Basel, Switzerland. This article is an open access article distributed under the terms and conditions of the Creative Commons Attribution (CC BY) license (https://creativecommons.org/licenses/by/4.0/).
Share and Cite
Yim, K.; Jang, W.M.; Lee, S.H. Modified Tumor Budding as a Better Predictor of Lymph Node Metastasis in Early Gastric Cancer: Possible Real-World Applications. Cancers 2021, 13, 3405. https://doi.org/10.3390/cancers13143405
Yim K, Jang WM, Lee SH. Modified Tumor Budding as a Better Predictor of Lymph Node Metastasis in Early Gastric Cancer: Possible Real-World Applications. Cancers. 2021; 13(14):3405. https://doi.org/10.3390/cancers13143405
Chicago/Turabian StyleYim, Kwangil, Won Mo Jang, and Sung Hak Lee. 2021. "Modified Tumor Budding as a Better Predictor of Lymph Node Metastasis in Early Gastric Cancer: Possible Real-World Applications" Cancers 13, no. 14: 3405. https://doi.org/10.3390/cancers13143405
APA StyleYim, K., Jang, W. M., & Lee, S. H. (2021). Modified Tumor Budding as a Better Predictor of Lymph Node Metastasis in Early Gastric Cancer: Possible Real-World Applications. Cancers, 13(14), 3405. https://doi.org/10.3390/cancers13143405

