Definition of Local Recurrence Site in Resected Pancreatic Adenocarcinoma: A Multicenter Study (DOLORES-1)
Abstract
Simple Summary
Abstract
1. Introduction
2. Materials and Methods
2.1. Study Design
2.2. Endpoints
2.3. Eligibility Criteria
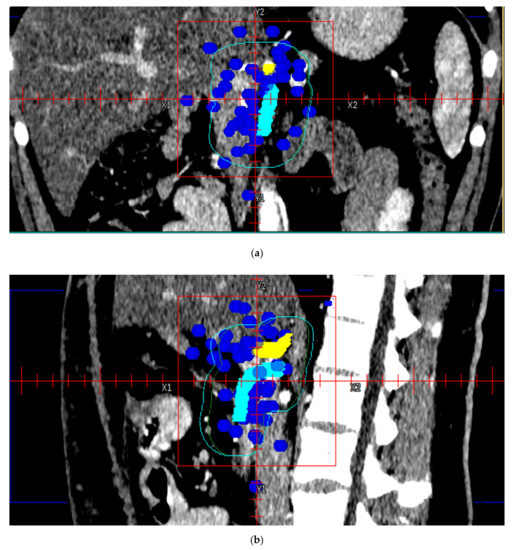
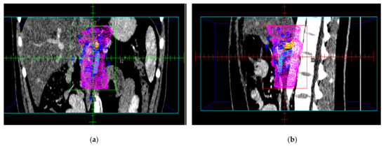
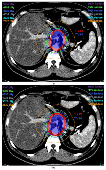
2.4. Three-Dimensional Local Recurrence Map
2.5. Contouring
2.6. Statistical Analysis
2.7. Comparison with the Results of Other Studies
- Dice(A,B) = 2 |A∩B||A|+|B|,
- Jaccard(A,B) = |A∩B||A∪B|,
2.8. Ethical Issues
3. Results
4. Discussion
5. Conclusions
Author Contributions
Funding
Institutional Review Board Statement
Informed Consent Statement
Data Availability Statement
Acknowledgments
Conflicts of Interest
References
- Siegel, R.L.; Miller, K.D.; Jemal, A. Cancer statistics, 2019. CA Cancer J. Clin. 2019, 69, 7–34. [Google Scholar] [CrossRef]
- Rahib, L.; Smith, B.D.; Aizenberg, R.; Rosenzweig, A.B.; Fleshman, J.M.; Matrisian, L.M. Projecting cancer incidence and deaths to 2030: The unexpected burden of thyroid, liver, and pancreas cancers in the United States. Cancer Res. 2014, 74, 2913–2921. [Google Scholar] [CrossRef] [PubMed]
- Smeenk, H.G.; van Eijck, C.H.; Hop, W.C.; Erdmann, J.; Tran, K.C.; Debois, M.; van Cutsem, E.; van Dekken, H.; Klinkenbijl, J.H.; Jeekel, J. Long-term survival and metastatic pattern of pancreatic and periampullary cancer after adjuvant chemoradiation or observation: Long-term results of EORTC trial 40891. Ann. Surg. 2007, 246, 734–740. [Google Scholar] [CrossRef]
- Griffin, J.F.; Smalley, S.R.; Jewell, W.; Paradelo, J.C.; Reymond, R.D.; Hassanein, R.E.; Evans, R.G. Patterns of failure after curative resection of pancreatic carcinoma. Cancer 1990, 66, 56–61. [Google Scholar] [CrossRef]
- Tepper, J.; Nardi, G.; Sutt, H. Carcinoma of the pancreas: Review of MGH experience from 1963 to 1973. Analysis of surgical failure and implications for radiation therapy. Cancer 1976, 37, 1519–1524. [Google Scholar] [CrossRef]
- Hishinuma, S.; Ogata, Y.; Tomikawa, M.; Ozawa, I.; Hirabayashi, K.; Igarashi, S. Patterns of recurrence after curative resection of pancreatic cancer, based on autopsy findings. J. Gastrointest. Surg. 2006, 10, 511–518. [Google Scholar] [CrossRef]
- Kayahara, M.; Nagakawa, T.; Ohta, T.; Kitagawa, H.; Ueno, K.; Tajima, H.; Elnemr, A.; Miwa, K. Analysis of paraaortic lymph node involvement in pancreatic carcinoma: A significant indication for surgery? Cancer 1999, 85, 583–590. [Google Scholar] [CrossRef]
- Iacobuzio-Donahue, C.A.; Fu, B.; Yachida, S.; Luo, M.; Abe, H.; Henderson, C.M.; Vilardell, F.; Wang, Z.; Keller, J.W.; Banerjee, P. DPC4 gene status of the primary carcinoma correlates with patterns of failure in patients with pancreatic cancer. J. Clin. Oncol. 2009, 27, 1806–1813. [Google Scholar] [CrossRef] [PubMed]
- Tanaka, H.; Takamori, H.; Kanemitsu, K.; Chikamoto, A.; Beppu, T.; Baba, H. An autopsy study to clarify characteristics of local recurrence after extended pancreatectomy with intraoperative radiation therapy in patients with pancreatic cancer. Langenbecks Arch. Surg 2012, 397, 927–932. [Google Scholar] [CrossRef]
- Neoptolemos, J.P.; Dunn, J.A.; Stocken, D.D.; Almond, J.; Link, K.; Beger, H.; Bassi, C.; Falconi, M.; Pederzoli, P.; Dervenis, C.; et al. Adjuvant chemoradiotherapy and chemotherapy in resectable pancreatic cancer: A randomised controlled trial. Lancet 2001, 358, 1576–1585. [Google Scholar] [CrossRef]
- Neoptolemos, J.P.; Stocken, D.D.; Friess, H.; Bassi, C.; Dunn, J.A.; Hickey, H.; Beger, H.; Fernandez-Cruz, L.; Dervenis, C.; Lacaine, F. A randomized trial of chemoradiotherapy and chemotherapy after resection of pancreatic cancer. N. Engl. J. Med. 2004, 350, 1200–1210. [Google Scholar] [CrossRef] [PubMed]
- Oettle, H.; Post, S.; Neuhaus, P.; Gellert, K.; Langrehr, J.; Ridwelski, K.; Schramm, H.; Fahlke, J.; Zuelke, C.; Burkart, C.; et al. Adjuvant chemotherapy with gemcitabine vs observation in patients undergoing curative-intent resection of pancreatic cancer: A randomized controlled trial. JAMA 2007, 297, 267–277. [Google Scholar] [CrossRef] [PubMed]
- Kalser, M.H.; Ellenberg, S.S. Pancreatic cancer. Adjuvant combined radiation and chemotherapy following curative resection. Arch. Surg. 1985, 120, 899–903. [Google Scholar]
- Gastrointestinal Tumor Study Group. Further evidence of effective adjuvant combined radiation and chemotherapy following curative resection of pancreatic cancer. Cancer 1987, 59, 2006–2010. [Google Scholar] [CrossRef]
- Klinkenbijl, J.H.; Jeekel, J.; Sahmoud, T.; van Pel, R.; Couvreur, M.L.; Veenhof, C.H.; Arnaud, J.P.; Gonzalez, D.G.; de Wit, L.T.; Hennipman, A.; et al. Adjuvant radiotherapy and 5-fluorouracil after curative resection of cancer of the pancreas and periampullary region: Phase III trial of the EORTC gastrointestinal tract cancer cooperative group. Ann. Surg. 1999, 230, 776–782. [Google Scholar] [CrossRef] [PubMed]
- Garofalo, M.C.; Regine, W.F.; Tan, M.T. On statistical reanalysis, the EORTC trial is a positive trial for adjuvant chemoradiation in pancreatic cancer. Ann. Surg. 2006, 244, 332–333. [Google Scholar] [CrossRef] [PubMed]
- Corsini, M.M.; Miller, R.C.; Haddock, M.G.; Donohue, J.H.; Farnell, M.B.; Nagorney, D.M.; Jatoi, A.; McWilliams, R.R.; Kim, G.P.; Bhatia, S.; et al. Adjuvant radiotherapy and chemotherapy for pancreatic carcinoma: The Mayo Clinic experience (1975–2005). J. Clin. Oncol. 2008, 26, 3511–3516. [Google Scholar] [CrossRef]
- Abrams, R.A.; Winter, K.A.; Regine, W.F.; Safran, H.; Hoffman, J.P.; Lustig, R.; Konski, A.A.; Benson, A.B.; Macdonald, J.S.; Rich, T.A.; et al. Failure to adhere to protocol specified radiation therapy guidelines was associated with decreased survival in RTOG 9704—A phase III trial of adjuvant chemotherapy and chemoradiotherapy for patients with resected adenocarcinoma of the pancreas. Int. J. Radiat. Oncol. Biol. Phys. 2012, 82, 809–816. [Google Scholar] [CrossRef] [PubMed]
- Morganti, A.G.; Falconi, M.; van Stiphout, R.G.; Mattiucci, G.C.; Alfieri, S.; Calvo, F.A.; Dubois, J.B.; Fastner, G.; Herman, J.M.; Maidment, B.W., 3rd; et al. Multi-institutional pooled analysis on adjuvant chemoradiation in pancreatic cancer. Int. J. Radiat. Oncol. Biol. Phys. 2014, 90, 911–917. [Google Scholar] [CrossRef]
- Morganti, A.G.; Cellini, F.; Buwenge, M.; Arcelli, A.; Alfieri, S.; Calvo, F.A.; Casadei, R.; Cilla, S.; Deodato, F.; Di Gioia, G.; et al. Adjuvant chemoradiation in pancreatic cancer: Impact of radiotherapy dose on survival. BMC Cancer 2019, 19, 569–578. [Google Scholar] [CrossRef]
- Hall, W.A.; Colbert, L.E.; Liu, Y.; Gillespie, T.; Lipscomb, J.; Hardy, C.; Kooby, D.A.; Prabhu, R.S.; Kauh, J.; Landry, J.C. The influence of adjuvant radiotherapy dose on overall survival in patients with resected pancreatic adenocarcinoma. Cancer 2013, 119, 2350–2357. [Google Scholar] [CrossRef] [PubMed]
- Goodman, K.A.; Regine, W.F.; Dawson, L.A.; Ben-Josef, E.; Haustermans, K.; Bosch, W.R.; Turian, J.; Abrams, R.A. Radiation Therapy Oncology Group consensus panel guidelines for the delineation of the clinical target volume in the postoperative treatment of pancreatic head cancer. Int. J. Radiat. Oncol. Biol. Phys. 2012, 83, 901–908. [Google Scholar] [CrossRef] [PubMed]
- Yu, W.; Hu, W.; Shui, Y.; Zhu, X.; Li, C.; Ren, X.; Bai, X.; Yu, R.; Shen, L.; Liang, T.; et al. Pancreatic cancer adjuvant radiotherapy target volume design: Based on the postoperative local recurrence spatial location. Radiat. Oncol 2016, 11, 138–149. [Google Scholar] [CrossRef] [PubMed]
- Dholakia, A.S.; Kumar, R.; Raman, S.P.; Moore, J.A.; Ellsworth, S.; McNutt, T.; Laheru, D.A.; Jaffee, E.; Cameron, J.L.; Tran, P.T.; et al. Mapping patterns of local recurrence after pancreaticoduodenectomy for pancreatic adenocarcinoma: A new approach to adjuvant radiation field design. Int. J. Radiat. Oncol. Biol. Phys. 2013, 87, 1007–1015. [Google Scholar] [CrossRef]
- Davies, T.M.; Marshall, J.C.; Hazelton, M.L. Tutorial on kernel estimation of continuous spatial and spatiotemporal relative risk. Stat. Med. 2018, 37, 1191–1221. [Google Scholar] [CrossRef] [PubMed]
- Taha, A.A.; Hanbury, A. Metrics for evaluating 3D medical image segmentation: Analysis, selection, and tool. BMC Med. Imaging 2015, 12, 29. [Google Scholar] [CrossRef] [PubMed]
- International Commission on Radiation Units and Measurements ICRU. Prescribing, Recording and Reporting Photon Beam Therapy; ICRU Report 83; Oxford University Press: Oxford, UK, 2010. [Google Scholar]
- Patel, A.K.; Rodríguez-López, J.L.; Bahary, N.; Zureikat, A.H.; Burton, S.A.; Heron, D.E.; Olson, A.C. Patterns of failure after adjuvant stereotactic body radiation therapy for pancreatic cancer with close or positive margins. Adv. Radiat Oncol 2020, 5, 1197–1205. [Google Scholar] [CrossRef]
- Silvestris, N.; Longo, V.; Cellini, F.; Reni, M.; Bittoni, A.; Cataldo, I.; Partelli, S.; Falconi, M.; Scarpa, A.; Brunetti, O.; et al. Neoadjuvant multimodal treatment of pancreatic ductal adenocarcinoma. Crit. Rev. Oncol. Hematol. 2016, 98, 309–324. [Google Scholar] [CrossRef]
- Cellini, F.; Arcelli, A.; Simoni, N.; Caravatta, L.; Buwenge, M.; Calabrese, A.; Brunetti, O.; Genovesi, D.; Mazzarotto, R.; Deodato, F.; et al. Basics and frontiers on pancreatic cancer for radiation oncology: Target delineation, SBRT, SIB technique, MRgRT, particle therapy, immunotherapy, and clinical guidelines. Cancers 2020, 12, 1729. [Google Scholar] [CrossRef]





| Variable | Value | Patients (%) |
|---|---|---|
| Age (years) | Median (range) | 66.5 (37–83) |
| Gender | Male | 43 (67.2) |
| Female | 21 (32.8) | |
| Grading | 1 | 8 (12.5) |
| 2 | 37 (57.8) | |
| 3 | 19 (29.7) | |
| Tumor site | Head | 51 (79.7) |
| Body | 13 (20.3) | |
| Tumor diameter (cm) | Median (range) | 2.6 (0.9–5.2) |
| pT | 2 | 13 (20.3) |
| 3 | 44 (68.7) | |
| 4 | 7 (11.0) | |
| pN | 0 | 26 (40.6) |
| 1 | 38 (59.4) | |
| Number of pathological positive nodes | Median (range) | 3 (0–40) |
| Number of resected nodes | Median (range) | 23 (3–60) |
| Site of the local recurrences | Pancreatic | 24 (37.5) |
| Retropancreatic | 14 (21.9) | |
| Nodal | 26 (40.6) | |
| Type of surgery | Pancreatico-duodenectomy | 45 (70.3) |
| pylorus preserving pancreatico-duodenectomy | 19 (29.7) | |
| Surgical margins | R0 | 34 (53.1) |
| R1 | 30 (46.9) | |
| Interval surgery–relapse (months) | Median (range) | 10 (3–47) |
| Adjuvant therapy | Chemotherapy | 17 (26.6) |
| Chemoradiation | 3 (4.7) | |
| Chemotherapy + chemoradiation | 18 (28.1) | |
| Missing | 26 (40.6) |
| Contour 1 | Contour 2 | Dice | Jaccard |
|---|---|---|---|
| CTV80 [present series] | CTV80 [Dholakia] | 0.53 | 0.36 |
| CTV80 [present series] | CTV80 [Yu] | 0.45 | 0.29 |
| CTV80 [Dholakia] | CTV80 [Yu] | 0.42 | 0.27 |
| CTV90 [present series] | CTV90 [Dholakia] | 0.58 | 0.41 |
| CTV90 [present series] | CTV90 [Yu] | 0.60 | 0.43 |
| CTV90 [Dholakia] | CTV90 [Yu] | 0.57 | 0.40 |
| Directions | Clinical Target Volume (CTV) | Minimal Distance from Vessels of CTV (cm) | |
|---|---|---|---|
| Celiac Axis (CA) | Superior Mesenteric Artery (SMA) | ||
| right-lateral | CTV80 | 1.5 | 2.0 |
| CTV90 | 1.8 | 2.3 | |
| left-lateral | CTV80 | 1.6 | 1.2 |
| CTV90 | 1.7 | 1.2 | |
| anterior | CTV80 | 1.7 | 0.9 |
| CTV90 | 1.8 | 1.5 | |
| posterior | CTV80 | 0.7 | 2.0 |
| CTV90 | 1.0 | 2.5 | |
| superior | CTV80 | 1.5 | 2.0 |
| CTV90 | 1.5 | 2.0 | |
| inferior | CTV80 | 0.0 | 2.0 |
| CTV90 | 0.5 | 2.4 | |
Publisher’s Note: MDPI stays neutral with regard to jurisdictional claims in published maps and institutional affiliations. |
© 2021 by the authors. Licensee MDPI, Basel, Switzerland. This article is an open access article distributed under the terms and conditions of the Creative Commons Attribution (CC BY) license (https://creativecommons.org/licenses/by/4.0/).
Share and Cite
Arcelli, A.; Bertini, F.; Strolin, S.; Macchia, G.; Deodato, F.; Cilla, S.; Parisi, S.; Sainato, A.; Fiore, M.; Gabriele, P.; et al. Definition of Local Recurrence Site in Resected Pancreatic Adenocarcinoma: A Multicenter Study (DOLORES-1). Cancers 2021, 13, 3051. https://doi.org/10.3390/cancers13123051
Arcelli A, Bertini F, Strolin S, Macchia G, Deodato F, Cilla S, Parisi S, Sainato A, Fiore M, Gabriele P, et al. Definition of Local Recurrence Site in Resected Pancreatic Adenocarcinoma: A Multicenter Study (DOLORES-1). Cancers. 2021; 13(12):3051. https://doi.org/10.3390/cancers13123051
Chicago/Turabian StyleArcelli, Alessandra, Federica Bertini, Silvia Strolin, Gabriella Macchia, Francesco Deodato, Savino Cilla, Salvatore Parisi, Aldo Sainato, Michele Fiore, Pietro Gabriele, and et al. 2021. "Definition of Local Recurrence Site in Resected Pancreatic Adenocarcinoma: A Multicenter Study (DOLORES-1)" Cancers 13, no. 12: 3051. https://doi.org/10.3390/cancers13123051
APA StyleArcelli, A., Bertini, F., Strolin, S., Macchia, G., Deodato, F., Cilla, S., Parisi, S., Sainato, A., Fiore, M., Gabriele, P., Genovesi, D., Cellini, F., Guido, A., Cammelli, S., Buwenge, M., Loi, E., Bisello, S., Renzulli, M., Golfieri, R., ... Strigari, L. (2021). Definition of Local Recurrence Site in Resected Pancreatic Adenocarcinoma: A Multicenter Study (DOLORES-1). Cancers, 13(12), 3051. https://doi.org/10.3390/cancers13123051

