ZNF-281 as the Potential Diagnostic Marker of Oral Squamous Cell Carcinoma
Abstract
Simple Summary
Abstract
1. Introduction
2. Results
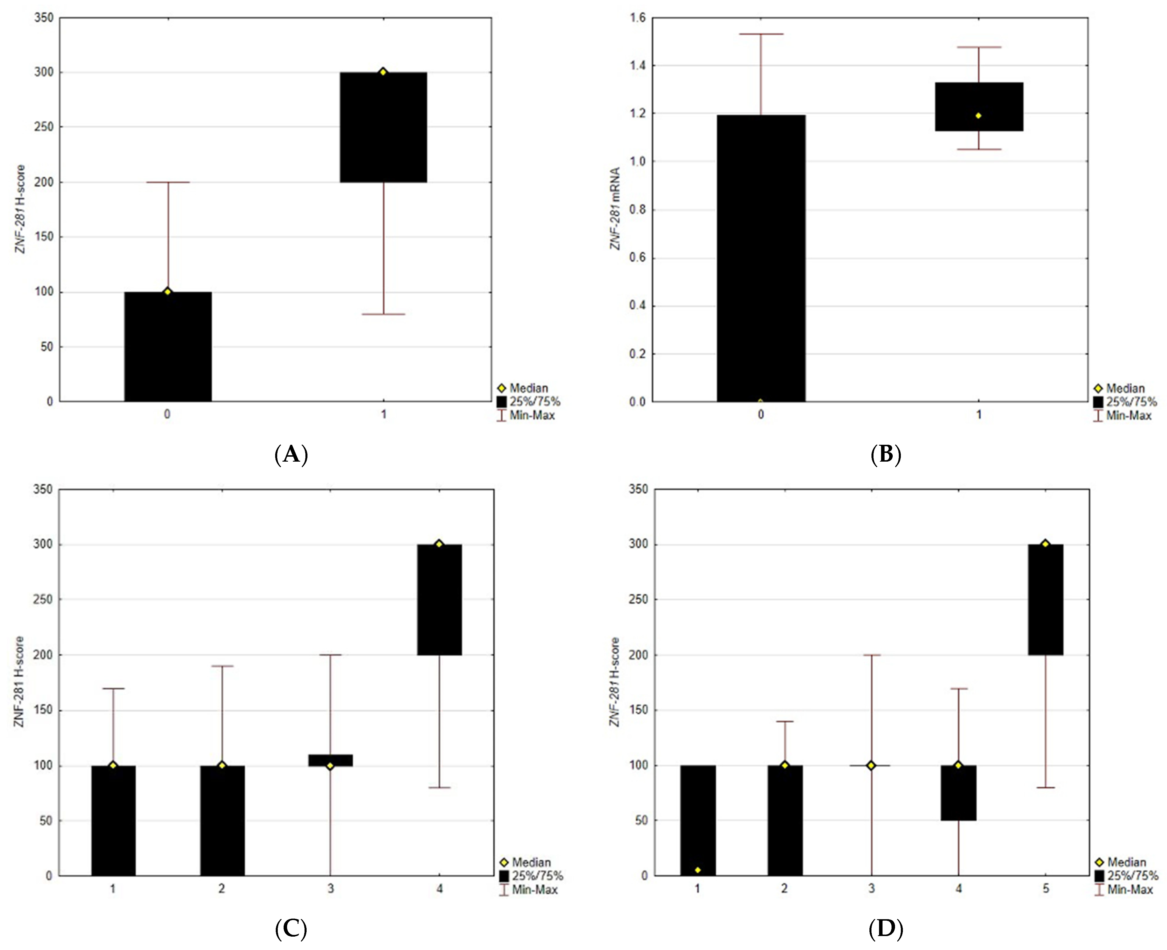
2.1. ZNF-281 Expression and Its Connection with Cancer and Other Clinical Factors
2.2. ZNF-281 as a Diagnostic Marker
2.3. Impact of ZNF-281 on Survival
3. Discussion
4. Materials and Methods
4.1. Participants and Design of the Study
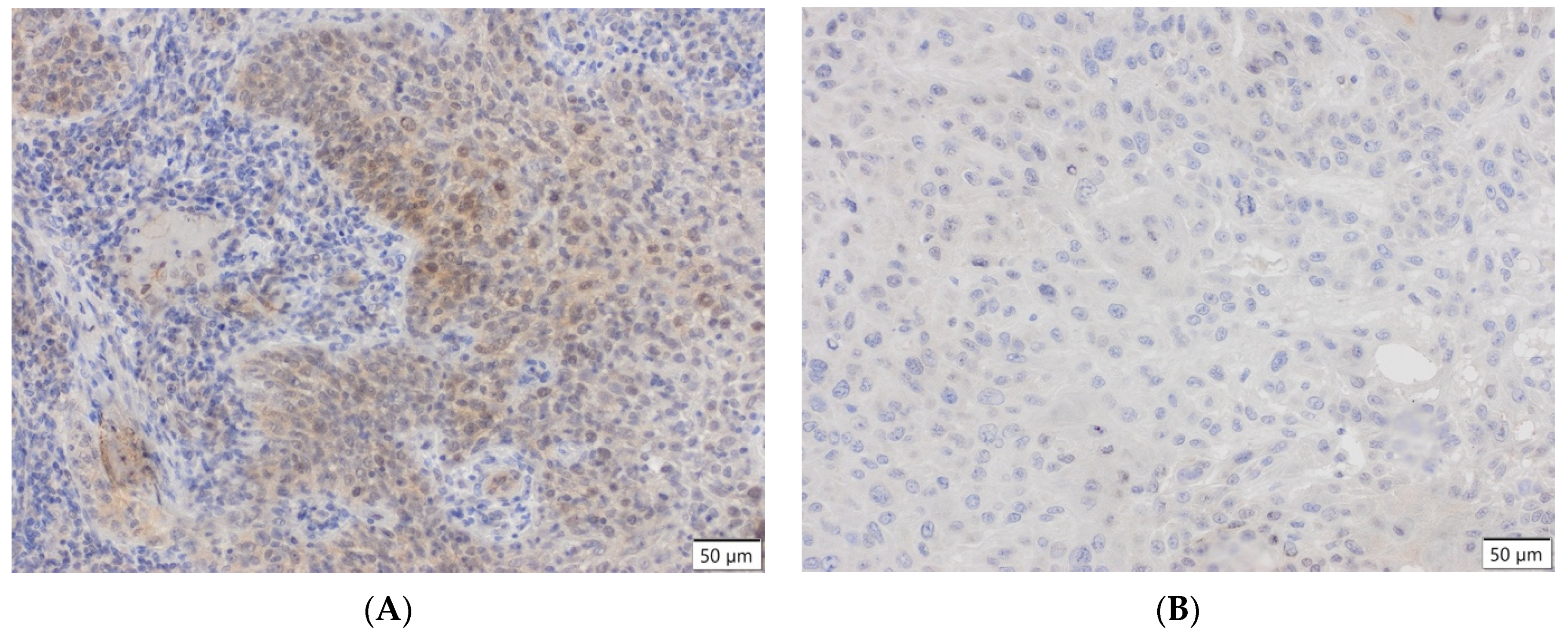
4.2. Immunohistochemistry
4.3. H-Score Analysis
4.4. The Expression of mRNA
4.5. Statistical Analysis
5. Conclusions
Supplementary Materials
Author Contributions
Funding
Institutional Review Board Statement
Informed Consent Statement
Data Availability Statement
Conflicts of Interest
References
- Chang, Y.J.; Chen, K.W.; Chen, L. Mitochondrial ros1 increases mitochondrial fission and respiration in oral squamous cancer carcinoma. Cancers 2020, 12, 2845. [Google Scholar] [CrossRef]
- Nasry, W.H.S.; Rodriguez-Lecompte, J.C.; Martin, C.K. Role of COX-2/PGE2 mediated inflammation in oral squamous cell carcinoma. Cancers 2018, 10, 348. [Google Scholar] [CrossRef] [PubMed]
- Mori, K.; Hiroi, M.; Shimada, J.; Ohmori, Y. Infiltration of M2 Tumor-Associated Macrophages in Oral Squamous Cell Carcinoma Correlates with Tumor Malignancy. Cancers 2011, 3, 3726–3739. [Google Scholar] [CrossRef]
- Shulman, J.A.Y.D.; Gonzales, C.B. Chapter 3—Epidemiology/Biology of Oral Cancer. In Prevention in Clinical Oral Health Care; Cappelli, D.P., Mobley, C.C., Eds.; Mosby Inc.: Maryland Heights, MO, USA, 2008; pp. 27–43. [Google Scholar] [CrossRef]
- Oral cavity and oropharyngeal cancer, Oral Maxillofac. Surgery 2020, 61–142. [CrossRef]
- Qin, C.J.; Bu, P.L.; Zhang, Q.; Chen, J.T.; Li, Q.Y.; Liu, J.T.; Dong, H.C.; Ren, X.Q. ZNF281 regulates cell proliferation, migration and invasion in colorectal cancer through Wnt/β-catenin signaling. Cell. Physiol. Biochem. 2019, 52, 1503–1516. [Google Scholar] [CrossRef] [PubMed]
- Pieraccioli, M.; Nicolai, S.; Antonov, A.; Somers, J.; Malewicz, M.; Melino, G.; Raschella, G. ZNF281 contributes to the DNA damage response by controlling the expression of XRCC2 and XRCC4. Oncogene 2016, 35, 2592–2601. [Google Scholar] [CrossRef] [PubMed]
- Lee, Y.H.; Song, G.G. Biomarkers in the Lung Cancer Diagnosis: A Clinical Perspective. Glioma Neoplasma. 2013, 60, 607–616. [Google Scholar] [CrossRef]
- Jen, J.; Wang, Y.C. Zinc finger proteins in cancer progression. J. Biomed. Sci. 2016, 23, 1–9. [Google Scholar] [CrossRef] [PubMed]
- Qian, Y.; Li, J.; Xia, S. ZNF281 Promotes Growth and Invasion of Pancreatic Cancer Cells by Activating Wnt/β-Catenin Signaling. Dig. Dis. Sci. 2017, 62, 2011–2020. [Google Scholar] [CrossRef] [PubMed]
- Motegi, A.; Masutani, M.; Yoshioka, K.i.; Bessho, T. Aberrations in DNA repair pathways in cancer and therapeutic significances, Semin. Cancer Biol. 2019, 58, 29–46. [Google Scholar] [CrossRef] [PubMed]
- Lu, X.; Yin, B.; Wan, X.; Wan, F.C.; Li, Y.; Wan, N.; Yan, X.; Jian, W. Long non-coding RNA-ZNF281 upregulates PTEN expression via downregulation of microRNA.221 in non-small cell lung cancer. Oncol. Lett. 2020, 20, 2962–2968. [Google Scholar] [CrossRef] [PubMed]
- Tomaić, V. Functional Roles of E6 and E7 Oncoproteins in HPV-Induced Malignancies at Diverse Anatomical Sites. Cancers 2016, 8, 95. [Google Scholar] [CrossRef] [PubMed]
- Wittekindt, C.; Wagner, S.; Sharma, S.J.; Würdemann, N.; Knuth, J.; Reder, H.; Klußmann, J.P. HPV—A different view on Head and Neck Cancer. Laryngo-Rhino-Otologie 2018, 97, S48–S113. [Google Scholar] [CrossRef] [PubMed]
- Jiang, S.; Dong, Y. Human papillomavirus and oral squamous cell carcinoma: A review of HPV-positive oral squamous cell carcinoma and possible strategies for future. Curr. Probl. Cancer 2017, 41, 323–327. [Google Scholar] [CrossRef] [PubMed]
- Altman, D.G.; McShane, L.M.; Sauerbrei, W.; Taube, S.E. Reporting recommendations for tumor marker prognostic studies (REMARK): Explanation and elaboration. PLoS Med. 2012, 9. [Google Scholar] [CrossRef]






| Sex | Age | Hypertension | Diabetes | Radiotherapy | Chemotherapy | Alcohol Abuse | Cigarette Smoking | Surgical Resection | Grade | AJCC Stage | Classification | |
|---|---|---|---|---|---|---|---|---|---|---|---|---|
| T | N | |||||||||||
| N (%) | Media (range) | 0 = no, 1 = yes (%) | (1–3): N (%) | (1–4): N (%) | (1–4): N (%) | (0–3): N (%) | ||||||
| Female 20 (30.3) | 60 (40–83) | 0: 34 (51.5) | 0: 57 (86.4) | 0: 33 (50) | 0: 62 (93.9) | 0: 53 (80.3) | 0: 19 (28.8) | 0: 14 (21.2) | 1: 29 (43.9) | 1: 16 (24.2) | 1: 16 (24.4) | 0: 38 (57.6) |
| 2: 30 (45.5) | 2: 13 (19.7) | 2: 22 (33.3) | 1: 9 (13.6) | |||||||||
| Male 46 (69.7) | 1: 32 (48.5) | 1: 9 (13.6) | 1: 33 (50) | 1: 4 (6.1) | 1: 13 (19.7) | 1: 47 (71.2) | 1: 52 (78.8) | 3: 11 (16.7) | 3: 13 (19.7) | 2: 13 (19.7) | ||
| 3: 7 (10.6) | 4: 26 (39.4) | 4: 15 (22.7) | 3: 6 (9) | |||||||||
| Protein | ||||||||||||
| p = 0.903 | p = 0.175 | p = 0.19 | p = 0.501 | p = 0.006 | p = 0.095 | p = 0.765 | p = 0.599 | p = 0.234 | p < 0.001 | p < 0.001 | p = 0.0934 | p = 0.3119 |
| Sex | Age | Hypertension | Diabetes | Radiotherapy | Chemotherapy | Alcohol Abuse | Cigarette Smoking | Surgical Resection | Grade | AJCC Stage | Classification | |
|---|---|---|---|---|---|---|---|---|---|---|---|---|
| T | N | |||||||||||
| N (%) | Media (range) | 0 = no, 1 = yes (%) | (1–3): N (%) | (1–4): N (%) | (1–4): N (%) | (0–3): N (%) | ||||||
| Female 15 (31.25) | 60 (40–83) | 0: 27 (56.3) | 0: 39 (81.3) | 0: 26 (54.2) | 0: 45 (93.8) | 0: 38 (79.2) | 0: 15 (31.3) | 0: 13 (27.1) | 1: 29 (43.9) | 1: 16 (24.2) | 1: 10 (20.8) | 0: 25(52) |
| 2: 30 (45.5) | 2: 13 (19.7) | 2: 16 (33.3) | 1: 6 (12.5) | |||||||||
| Male 33 (68.75) | 1: 21 (43.8) | 1: 9 (18.8) | 1: 22 (45.8) | 1: 3 (6.3) | 1: 10 (20.8) | 1: 33 (68.8) | 1: 36 (75.0) | 3: 11 (16.7) | 3: 13 (27) | 2: 13 (27) | ||
| 3: 7 (10.6) | 4: 26 (39.4) | 4: 9 (18.8) | 3: 4 (8.3) | |||||||||
| mRNA | ||||||||||||
| p = 0.214 | p = 0.075 | p = 0.803 | p = 0.614 | p = 0.71 | p = 0.926 | p = 0.846 | p = 0.322 | p = 0.472 | p = 0.0071 | p = 0.0085 | p = 0.145 | p = 0.5295 |
| Factor | CI | Std. Error | CI 95% | 95% CI Upper | Cox Regression | Wald | p | Relative Risk |
|---|---|---|---|---|---|---|---|---|
| H-score | −0.00353 | 0.003894 | −0.01116 | 0.00410 | −0.90626 | 0.821306 | 0.364805 | 1.00974133 |
| pN | 0.89532 | 0.332906 | 0.24284 | 1.54780 | 2.68941 | 7.232919 | 0.007162 | 2.80803567 |
| Chemotherapy | −2.89423 | 0.930870 | −4.71870 | −1.06976 | −3.10916 | 9.666903 | 0.001878 | 0.135787 |
| Smoking | 1.07314 | 0.433994 | 0.22253 | 1.92376 | 2.47272 | 6.114325 | 0.013414 | 3.673476 |
| Factor | CI | Std. Error | CI 95% | 95% CI Upper | Cox Regression | Wald | p | Relative Risk |
|---|---|---|---|---|---|---|---|---|
| H-score | −0.00631 | 0.004497 | −0.01513 | 0.00250 | −1.40400 | 1.971206 | 0.160330 | 0.993732 |
| mRNA | −0.28358 | 0.418067 | −1.10297 | 0.53582 | −0.67830 | 0.460095 | 0.497585 | 0.931273 |
| Chemotherapy | −2.68493 | 1.143477 | −4.92610 | −0.44376 | −2.34804 | 5.513285 | 0.018879 | 0.239034 |
| Radiotherapy | 1.05475 | 0.435139 | 0.20189 | 1.90761 | 2.42394 | 5.875467 | 0.015359 | 3.610641 |
| Hypertension | −1.60461 | 0.608912 | −2.79806 | −0.41117 | −2.63521 | 6.944341 | 0.008413 | 0.308258 |
Publisher’s Note: MDPI stays neutral with regard to jurisdictional claims in published maps and institutional affiliations. |
© 2021 by the authors. Licensee MDPI, Basel, Switzerland. This article is an open access article distributed under the terms and conditions of the Creative Commons Attribution (CC BY) license (https://creativecommons.org/licenses/by/4.0/).
Share and Cite
Starzyńska, A.; Sobocki, B.K.; Sejda, A.; Sakowicz-Burkiewicz, M.; Szot, O.; Jereczek-Fossa, B.A. ZNF-281 as the Potential Diagnostic Marker of Oral Squamous Cell Carcinoma. Cancers 2021, 13, 2661. https://doi.org/10.3390/cancers13112661
Starzyńska A, Sobocki BK, Sejda A, Sakowicz-Burkiewicz M, Szot O, Jereczek-Fossa BA. ZNF-281 as the Potential Diagnostic Marker of Oral Squamous Cell Carcinoma. Cancers. 2021; 13(11):2661. https://doi.org/10.3390/cancers13112661
Chicago/Turabian StyleStarzyńska, Anna, Bartosz Kamil Sobocki, Aleksandra Sejda, Monika Sakowicz-Burkiewicz, Olga Szot, and Barbara Alicja Jereczek-Fossa. 2021. "ZNF-281 as the Potential Diagnostic Marker of Oral Squamous Cell Carcinoma" Cancers 13, no. 11: 2661. https://doi.org/10.3390/cancers13112661
APA StyleStarzyńska, A., Sobocki, B. K., Sejda, A., Sakowicz-Burkiewicz, M., Szot, O., & Jereczek-Fossa, B. A. (2021). ZNF-281 as the Potential Diagnostic Marker of Oral Squamous Cell Carcinoma. Cancers, 13(11), 2661. https://doi.org/10.3390/cancers13112661

