Entosis: From Cell Biology to Clinical Cancer Pathology
Simple Summary
Abstract
1. Introduction
2. General Mechanism of Entosis
Entosis, Mitosis, Aneuploidy and Cell Competition
3. Entosis in Cancer
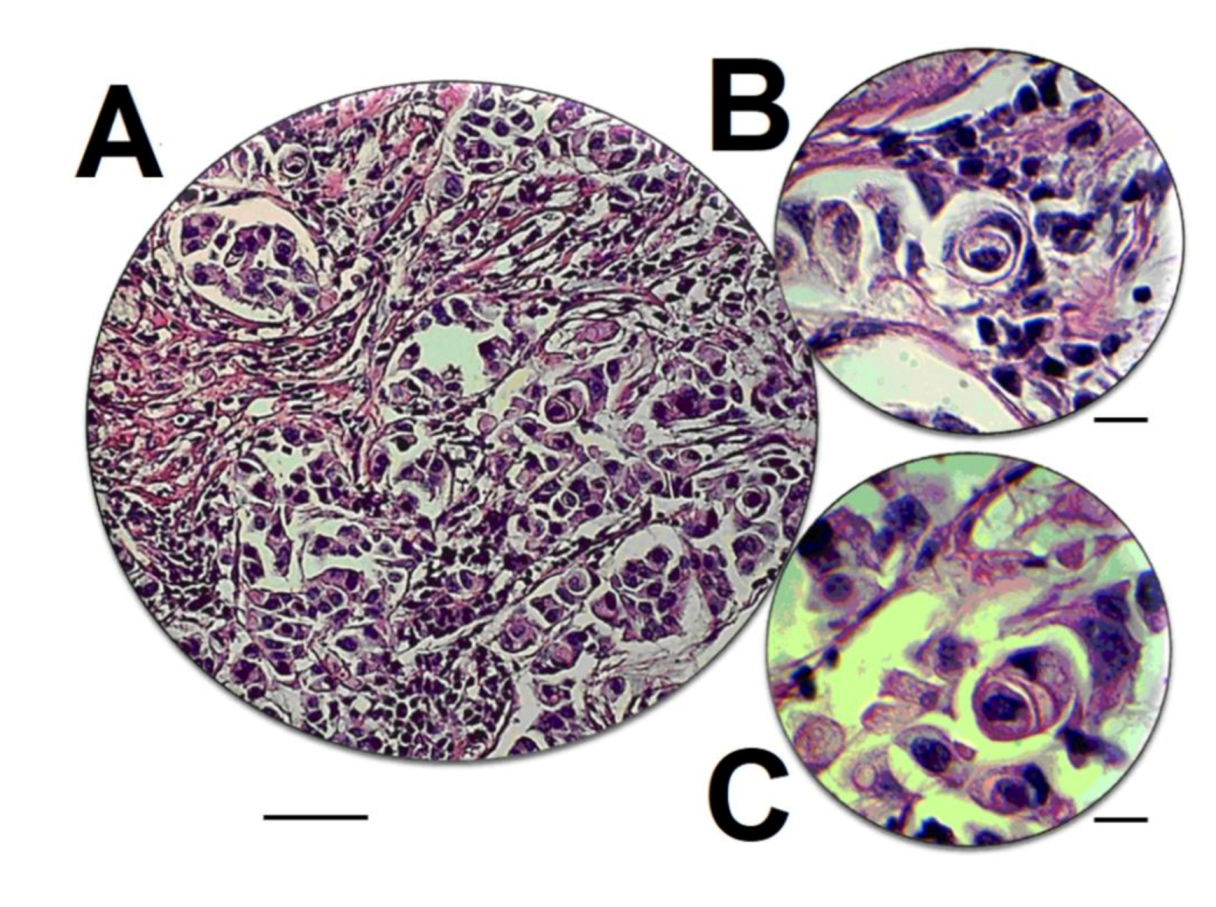
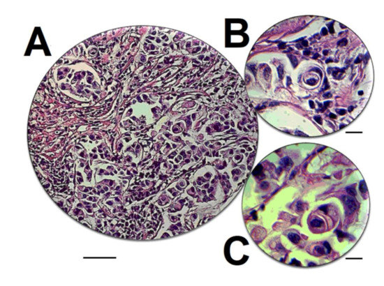
3.1. Clinical Relevance of Entosis in Cancer
3.2. Entosis Models for Cancer Research
4. Conclusions
Supplementary Materials
Author Contributions
Funding
Acknowledgments
Conflicts of Interest
References
- Fais, S.; Overholtzer, M. Cell-in-cell phenomena in cancer. Nat. Rev. Cancer 2018, 18, 758–766. [Google Scholar] [CrossRef] [PubMed]
- Overholtzer, M.; Mailleux, A.A.; Mouneimne, G.; Normand, G.; Schnitt, S.J.; King, R.W.; Cibas, E.S.; Brugge, J.S. A nonapoptotic cell death process, entosis, that occurs by cell-in-cell invasion. Cell 2007, 131, 966–979. [Google Scholar] [CrossRef] [PubMed]
- Mackay, H.L.; Muller, P.A.J. Biological relevance of cell-in-cell in cancers. Biochem. Soc. Trans. 2019, 47, 725–732. [Google Scholar] [CrossRef]
- Florey, O.; Kim, S.E.; Sandoval, C.P.; Haynes, C.M.; Overholtzer, M. Autophagy machinery mediates macroendocytic processing and entotic cell death by targeting single membranes. Nat. Cell Biol. 2011, 13, 1335–1343. [Google Scholar] [CrossRef] [PubMed]
- Kroemer, G.; Galluzzi, L.; Vandenabeele, P.; Abrams, J.; Alnemri, E.S.; Baehrecke, E.H.; Blagosklonny, M.V.; El-Deiry, W.S.; Golstein, P.; Green, D.R.; et al. Classification of cell death: Recommendations of the Nomenclature Committee on Cell Death 2009. Cell Death Differ. 2009, 16, 3–11. [Google Scholar] [CrossRef]
- Zeng, C.; Zeng, B.; Dong, C.; Liu, J.; Xing, F. Rho-ROCK signaling mediates entotic cell death in tumor. Cell Death Discov. 2020, 6, 4. [Google Scholar] [CrossRef]
- Hayashi, A.; Yavas, A.; McIntyre, C.A.; Ho, Y.J.; Erakky, A.; Wong, W.; Varghese, A.M.; Melchor, J.P.; Overholtzer, M.; O’Reilly, E.M.; et al. Genetic and clinical correlates of entosis in pancreatic ductal adenocarcinoma. Mod. Pathol. 2020. [Google Scholar] [CrossRef]
- Kong, Y.; Liang, Y.; Wang, J. Foci of entotic nuclei in different grades of noninherited renal cell cancers. IUBMB Life 2015, 67, 139–144. [Google Scholar] [CrossRef]
- Florey, O.; Gammoh, N.; Kim, S.E.; Jiang, X.; Overholtzer, M. V-ATPase and osmotic imbalances activate endolysosomal LC3 lipidation. Autophagy 2015, 11, 88–99. [Google Scholar] [CrossRef]
- Martins, I.; Raza, S.Q.; Voisin, L.; Dakhli, H.; Law, F.; De Jong, D.; Allouch, A.; Thoreau, M.; Brenner, C.; Deutsch, E.; et al. Entosis: The emerging face of non-cell-autonomous type IV programmed death. Biomed. J. 2017, 40, 133–140. [Google Scholar] [CrossRef]
- Adams, G., Jr.; Zhou, J.; Wang, W.; Wu, H.; Quan, J.; Liu, Y.; Xia, P.; Wang, Z.; Zhou, S.; Jiang, J.; et al. The microtubule plus end tracking protein tip150 interacts with cortactin to steer directional cell migration. J. Biol. Chem. 2016, 291, 20692–20706. [Google Scholar] [CrossRef]
- Durgan, J.; Tseng, Y.Y.; Hamann, J.C.; Domart, M.C.; Collinson, L.; Hall, A.; Overholtzer, M.; Florey, O. Mitosis can drive cell cannibalism through entosis. eLife 2017, 6. [Google Scholar] [CrossRef]
- Janssen, A.; Kops, G.J.; Medema, R.H. Targeting the mitotic checkpoint to kill tumor cells. Horm. Cancer 2011, 2, 113–116. [Google Scholar] [CrossRef]
- Krajcovic, M.; Johnson, N.B.; Sun, Q.; Normand, G.; Hoover, N.; Yao, E.; Richardson, A.L.; King, R.W.; Cibas, E.S.; Schnitt, S.J.; et al. A non-genetic route to aneuploidy in human cancers. Nat. Cell Biol. 2011, 13, 324–330. [Google Scholar] [CrossRef]
- Puschel, F.; Munoz-Pinedo, C. In the hunger games, the winner takes everything. Trends Biochem. Sci. 2017, 42, 763–764. [Google Scholar] [CrossRef]
- Sun, Q.; Huang, H.; Overholtzer, M. Cell-in-cell structures are involved in the competition between cells in human tumors. Mol. Cell Oncol. 2015, 2, e1002707. [Google Scholar] [CrossRef]
- Huang, H.; Chen, Z.; Sun, Q. Mammalian cell competitions, cell-in-cell phenomena and their biomedical implications. Curr. Mol. Med. 2015, 15, 852–860. [Google Scholar] [CrossRef]
- Lozupone, F.; Fais, S. Cancer cell cannibalism: A primeval option to survive. Curr. Mol. Med. 2015, 15, 836–841. [Google Scholar] [CrossRef]
- Sierro, F.; Tay, S.S.; Warren, A.; Le Couteur, D.G.; McCaughan, G.W.; Bowen, D.G.; Bertolino, P. Suicidal emperipolesis: A process leading to cell-in-cell structures, T cell clearance and immune homeostasis. Curr. Mol. Med. 2015, 15, 819–827. [Google Scholar] [CrossRef]
- Durgan, J.; Florey, O. Cancer cell cannibalism: Multiple triggers emerge for entosis. Biochim. Biophys. Acta Mol. Cell Res. 2018, 1865, 831–841. [Google Scholar] [CrossRef]
- Schenker, H.; Buttner-Herold, M.; Fietkau, R.; Distel, L.V. Cell-in-cell structures are more potent predictors of outcome than senescence or apoptosis in head and neck squamous cell carcinomas. Radiat. Oncol. 2017, 12, 21. [Google Scholar] [CrossRef]
- Schwegler, M.; Wirsing, A.M.; Schenker, H.M.; Ott, L.; Ries, J.M.; Buttner-Herold, M.; Fietkau, R.; Putz, F.; Distel, L.V. Prognostic value of homotypic cell internalization by nonprofessional phagocytic cancer cells. Biomed. Res. Int. 2015, 2015, 359392. [Google Scholar] [CrossRef]
- Khalkar, P.; Diaz-Argelich, N.; Antonio Palop, J.; Sanmartin, C.; Fernandes, A.P. Novel methylselenoesters induce programed cell death via entosis in pancreatic cancer cells. Int. J. Mol. Sci. 2018, 19, 2849. [Google Scholar] [CrossRef]
- Liu, J.; Wang, L.; Zhang, Y.; Li, S.; Sun, F.; Wang, G.; Yang, T.; Wei, D.; Guo, L.; Xiao, H. Induction of entosis in prostate cancer cells by nintedanib and its therapeutic implications. Oncol. Lett. 2019, 17, 3151–3162. [Google Scholar] [CrossRef]
- Cano, C.E.; Sandi, M.J.; Hamidi, T.; Calvo, E.L.; Turrini, O.; Bartholin, L.; Loncle, C.; Secq, V.; Garcia, S.; Lomberk, G.; et al. Homotypic cell cannibalism, a cell-death process regulated by the nuclear protein 1, opposes to metastasis in pancreatic cancer. EMBO Mol. Med. 2012, 4, 964–979. [Google Scholar] [CrossRef]
- Miyatake, Y.; Kuribayashi-Shigetomi, K.; Ohta, Y.; Ikeshita, S.; Subagyo, A.; Sueoka, K.; Kakugo, A.; Amano, M.; Takahashi, T.; Okajima, T.; et al. Visualising the dynamics of live pancreatic microtumours self-organised through cell-in-cell invasion. Sci. Rep. 2018, 8, 14054. [Google Scholar] [CrossRef]
- Wang, X.; Li, Y.; Li, J.; Li, L.; Zhu, H.; Chen, H.; Kong, R.; Wang, G.; Wang, Y.; Hu, J.; et al. Cell-in-cell phenomenon and its relationship with tumor microenvironment and tumor progression: A Review. Front. Cell Dev. Biol. 2019, 7, 311. [Google Scholar] [CrossRef]
- Mackay, H.L.; Moore, D.; Hall, C.; Birkbak, N.J.; Jamal-Hanjani, M.; Karim, S.A.; Phatak, V.M.; Pinon, L.; Morton, J.P.; Swanton, C.; et al. Genomic instability in mutant p53 cancer cells upon entotic engulfment. Nat. Commun. 2018, 9, 3070. [Google Scholar] [CrossRef]
- Zhang, X.; Niu, Z.; Qin, H.; Fan, J.; Wang, M.; Zhang, B.; Zheng, Y.; Gao, L.; Chen, Z.; Tai, Y.; et al. Subtype-based prognostic analysis of cell-in-cell structures in early breast cancer. Front. Oncol. 2019, 9, 895. [Google Scholar] [CrossRef]
- Ruan, B.; Niu, Z.; Jiang, X.; Li, Z.; Tai, Y.; Huang, H.; Sun, Q. High frequency of cell-in-cell formation in heterogeneous human breast cancer tissue in a patient with poor prognosis: A case report and literature review. Front. Oncol. 2019, 9, 1444. [Google Scholar] [CrossRef]
- Wang, D.; Zhang, L.; Hu, A.; Wang, Y.; Liu, Y.; Yang, J.; Du, N.; An, X.; Wu, C.; Liu, C. Loss of 4.1N in epithelial ovarian cancer results in EMT and matrix-detached cell death resistance. Protein Cell 2020. [Google Scholar] [CrossRef]
- Kroemer, G.; Perfettini, J.L. Entosis, a key player in cancer cell competition. Cell Res. 2014, 24, 1280–1281. [Google Scholar] [CrossRef]
- Kisurina-Evgenieva, O.P.; Khashba, L.A.; Mamichev, I.A.; Savitskaya, M.A.; Onishchenko, G.E. Entosis and cell cycle in tumor cell culture. Cell Tissue Biol. 2019, 13, 8–17. [Google Scholar] [CrossRef]
- Balvan, J.; Gumulec, J.; Raudenska, M.; Krizova, A.; Stepka, P.; Babula, P.; Kizek, R.; Adam, V.; Masarik, M. Oxidative stress resistance in metastatic prostate cancer: Renewal by self-eating. PLoS ONE 2015, 10, e0145016. [Google Scholar] [CrossRef]
- Gilloteaux, J.; Ruffo, C.; Jamison, J.M.; Summers, J.L. Modes of internalizations of human prostate carcinoma (DU145) cells in vitro and in murine xenotransplants. Ultrastruct Pathol. 2016, 40, 231–239. [Google Scholar] [CrossRef]
- Lai, Y.; Lim, D.; Tan, P.H.; Leung, T.K.; Yip, G.W.; Bay, B.H. Silencing the Metallothionein-2A gene induces entosis in adherent MCF-7 breast cancer cells. Anat. Rec. (Hoboken) 2010, 293, 1685–1691. [Google Scholar] [CrossRef]
- Garanina, A.S.; Kisurina-Evgenieva, O.P.; Erokhina, M.V.; Smirnova, E.A.; Factor, V.M.; Onishchenko, G.E. Consecutive entosis stages in human substrate-dependent cultured cells. Sci. Rep. 2017, 7, 12555. [Google Scholar] [CrossRef]
- Kowalczyk, M.; Sarnecka, A.; Mlynarczuk-Bialy, I. Cell-in-cell structures in BxPC3 pancreatic cancerr cell line are the result of entosis. Sci. Open Posters 2014. [Google Scholar] [CrossRef]





| Type of Cancer | Number of Cases | Conclusion | Year | PI | Ref. |
|---|---|---|---|---|---|
| Head & neck anal rectal squamous cell carcinoma (SCC) | 416 (total cases) | Entosis is an independent prognostic factor in all studied cancers | 2015 | Schwegler | [22] |
| 321 (head & neck) 23 (anal) | Entosis is associated with worse prognosis of head & neck and anal carcinomas | ||||
| 82 rectal | Entosis is associated with better prognosis in rectal carcinomas | ||||
| Head & neck SCC | 201 | Entosis is a predictive marker associated with worse prognosis | 2017 | Schenker | [21] |
| Lung adenocarcinoma | 273 | Entosis is associated with earlier recurrence and patients’ death | 2018 | Mackay | [28] |
| Breast ductal carcinoma | 160 | Entosis is an independent prognostic factor. However, the prognosis differs depending on the cancer subtype | 2019 | Zhang | [29] |
| Pancreatic ductal cancer | 516 | Entosis is an independent prognostic factor associated with worse prognosis | 2020 | Hayashi | [7] |
| Parameters | Forced Entosis, MCF7-Cells, Semi-Adherent Conditions [1,2] | Spontaneous Entosis, BxPc3 Cells, Strong Adhesion [38] |
|---|---|---|
| Differences | ||
| EDTA or EGTA | Cells are alive and remain rounded | Cells die in the presence of EDTA starting from 1 µM |
| Suspension culture flasks | Alive cells remain rounded | Alive cells adhere to the bottom |
| Fate of entosis | 70% death of entotic cells | 80% CICs without degeneration |
| Similarities | ||
| Cell division of inner cell | Observed | |
| Duration of entosis | Start 6 h max number of entotic features 12–24 h, decrease in entosis at 48 h | |
| Morphological criteria of entosis | CIC appearance, crescent nucleus shape of the outer cell, entotic vacuole, no membrane fusion. | |
| CDC42 status | Deletion of CDC42 | |
© 2020 by the authors. Licensee MDPI, Basel, Switzerland. This article is an open access article distributed under the terms and conditions of the Creative Commons Attribution (CC BY) license (http://creativecommons.org/licenses/by/4.0/).
Share and Cite
Mlynarczuk-Bialy, I.; Dziuba, I.; Sarnecka, A.; Platos, E.; Kowalczyk, M.; Pels, K.K.; Wilczynski, G.M.; Wojcik, C.; Bialy, L.P. Entosis: From Cell Biology to Clinical Cancer Pathology. Cancers 2020, 12, 2481. https://doi.org/10.3390/cancers12092481
Mlynarczuk-Bialy I, Dziuba I, Sarnecka A, Platos E, Kowalczyk M, Pels KK, Wilczynski GM, Wojcik C, Bialy LP. Entosis: From Cell Biology to Clinical Cancer Pathology. Cancers. 2020; 12(9):2481. https://doi.org/10.3390/cancers12092481
Chicago/Turabian StyleMlynarczuk-Bialy, Izabela, Ireneusz Dziuba, Agnieszka Sarnecka, Emilia Platos, Magdalena Kowalczyk, Katarzyna K. Pels, Grzegorz M. Wilczynski, Cezary Wojcik, and Lukasz P. Bialy. 2020. "Entosis: From Cell Biology to Clinical Cancer Pathology" Cancers 12, no. 9: 2481. https://doi.org/10.3390/cancers12092481
APA StyleMlynarczuk-Bialy, I., Dziuba, I., Sarnecka, A., Platos, E., Kowalczyk, M., Pels, K. K., Wilczynski, G. M., Wojcik, C., & Bialy, L. P. (2020). Entosis: From Cell Biology to Clinical Cancer Pathology. Cancers, 12(9), 2481. https://doi.org/10.3390/cancers12092481

