The Prognostic and Predictive Value of SOX2+ Cell Densities in Patients Treated for Colorectal Cancer
Abstract
1. Introduction
2. Results
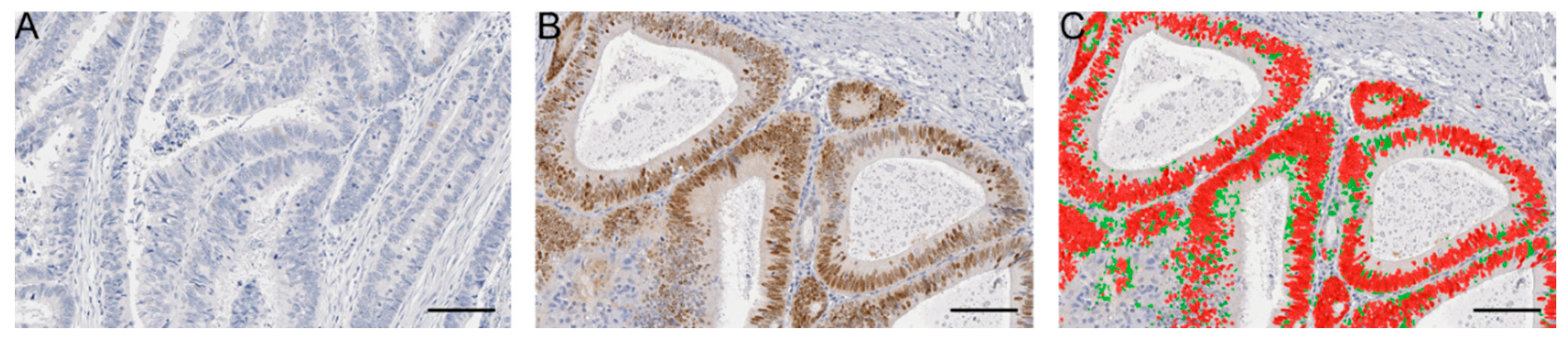
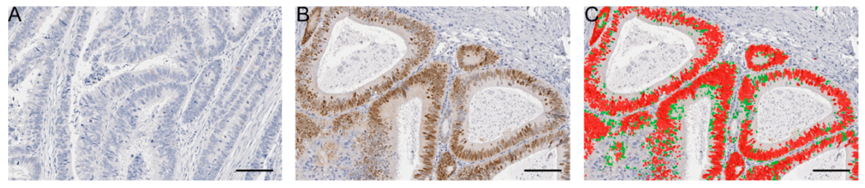
2.1. Patient Cohort and SOX2 Immunostaining
2.2. Prognosis
2.3. Survival Benefit from Chemotherapy
3. Discussion
4. Materials and Methods
4.1. Patients and Ethical Approval
4.2. Tissue Micro-Arrays
4.3. Immunostaining
4.4. Image Analysis and SOX2 Quantification
4.5. Statistical Analysis
4.6. Power Calculation
5. Conclusions
Supplementary Materials
Author Contributions
Funding
Acknowledgments
Conflicts of Interest
References
- American Cancer Society. Global Cancer Facts & Figures, 4th ed.; American Cancer Society: Atlanta, GA, USA, 2018. [Google Scholar]
- Kreso, A.; Dick, J.E. Evolution of the Cancer Stem Cell Model. Cell Stem Cell 2014, 14, 275–291. [Google Scholar] [CrossRef] [PubMed]
- Yuan, H.; Corbi, N.; Basilico, C.; Dailey, L. Developmental-specific activity of the FGF-4 enhancer requires the synergistic action of Sox2 and Oct-3. Genes Dev. 1995, 9, 2635–2645. [Google Scholar] [CrossRef] [PubMed]
- Avilion, A.A.; Nicolis, S.K.; Pevny, L.H.; Perez, L.; Vivian, N.; Lovell-Badge, R. Multipotent cell lineages in early mouse development depend on SOX2 function. Genes Dev. 2003, 17, 126–140. [Google Scholar] [CrossRef] [PubMed]
- Chew, J.L.; Loh, Y.H.; Zhang, W.; Chen, X.; Tam, W.L.; Yeap, L.S.; Li, P.; Ang, Y.S.; Lim, B.; Robson, P.; et al. Reciprocal transcriptional regulation of Pou5f1 and Sox2 via the Oct4/Sox2 complex in embryonic stem cells. Mol. Cell Biol. 2005, 25, 6031–6046. [Google Scholar] [CrossRef]
- Takahashi, K.; Yamanaka, S. Induction of pluripotent stem cells from mouse embryonic and adult fibroblast cultures by defined factors. Cell 2006, 126, 663–676. [Google Scholar] [CrossRef] [PubMed]
- Sarkar, A.; Hochedlinger, K. The sox family of transcription factors: Versatile regulators of stem and progenitor cell fate. Cell Stem Cell 2013, 12, 15–30. [Google Scholar] [CrossRef]
- Rizzino, A.; Wuebben, E.L. Sox2/Oct4: A delicately balanced partnership in pluripotent stem cells and embryogenesis. Biochim. Biophys. Acta 2016, 1859, 780–791. [Google Scholar] [CrossRef]
- Kondoh, H.; Kamachi, Y. SOX-partner code for cell specification: Regulatory target selection and underlying molecular mechanisms. Int. J. Biochem. Cell Biol. 2010, 42, 391–399. [Google Scholar] [CrossRef]
- Liu, X.F.; Yang, W.T.; Xu, R.; Liu, J.T.; Zheng, P.S. Cervical cancer cells with positive Sox2 expression exhibit the properties of cancer stem cells. PLoS ONE 2014, 9, e87092. [Google Scholar] [CrossRef]
- Vanner, R.J.; Remke, M.; Gallo, M.; Selvadurai, H.J.; Coutinho, F.; Lee, L.; Kushida, M.; Head, R.; Morrissy, S.; Zhu, X.; et al. Quiescent sox2(+) cells drive hierarchical growth and relapse in sonic hedgehog subgroup medulloblastoma. Cancer Cell 2014, 26, 33–47. [Google Scholar] [CrossRef]
- Weina, K.; Utikal, J. SOX2 and cancer: Current research and its implications in the clinic. Clin. Transl. Med. 2014, 3, 19. [Google Scholar] [CrossRef] [PubMed]
- Yang, Y.G.; Koh, Y.W.; Sari, I.N.; Jun, N.; Lee, S.; Phi, L.T.H.; Kim, K.S.; Wijaya, Y.T.; Lee, S.H.; Baek, M.J.; et al. Interferon-induced transmembrane protein 1-mediated EGFR/SOX2 signaling axis is essential for progression of non-small cell lung cancer. Int. J. Cancer 2019, 144, 2020–2032. [Google Scholar] [CrossRef] [PubMed]
- Malladi, S.; Macalinao, D.G.; Jin, X.; He, L.; Basnet, H.; Zou, Y.; de Stanchina, E.; Massague, J. Metastatic Latency and Immune Evasion through Autocrine Inhibition of WNT. Cell 2016, 165, 45–60. [Google Scholar] [CrossRef]
- Boumahdi, S.; Driessens, G.; Lapouge, G.; Rorive, S.; Nassar, D.; Le Mercier, M.; Delatte, B.; Caauwe, A.; Lenglez, S.; Nkusi, E.; et al. SOX2 controls tumour initiation and cancer stem-cell functions in squamous-cell carcinoma. Nature 2014, 511, 246–250. [Google Scholar] [CrossRef]
- Miller, T.J.; McCoy, M.J.; Hemmings, C.; Bulsara, M.K.; Iacopetta, B.; Platell, C.F. The prognostic value of cancer stem-like cell markers SOX2 and CD133 in stage III colon cancer is modified by expression of the immune-related markers FoxP3, PD-L1 and CD3. Pathology 2017, 49, 721–730. [Google Scholar] [CrossRef] [PubMed]
- Andre, T.; Boni, C.; Mounedji-Boudiaf, L.; Navarro, M.; Tabernero, J.; Hickish, T.; Topham, C.; Zaninelli, M.; Clingan, P.; Bridgewater, J.; et al. Multicenter International Study of Oxaliplatin/5-Fluorouracil/Leucovorin in the Adjuvant Treatment of Colon Cancer, I. Oxaliplatin, fluorouracil, and leucovorin as adjuvant treatment for colon cancer. N. Engl. J. Med. 2004, 350, 2343–2351. [Google Scholar] [CrossRef]
- Ng, L.; Wan, T.; Chow, A.; Iyer, D.; Man, J.; Chen, G.H.; Yau, T.C.C.; Lo, O.; Foo, C.C.; Poon, J.T.C.; et al. Osteopontin Overexpression Induced Tumor Progression and Chemoresistance to Oxaliplatin through Induction of Stem-Like Properties in Human Colorectal Cancer. Stem Cells Int. 2015, 2015, 247892. [Google Scholar] [CrossRef]
- Lundberg, I.V.; Burstrom, A.L.; Edin, S.; Eklof, V.; Oberg, A.; Stenling, R.; Palmqvist, R.; Wikberg, M.L. SOX2 Expression Is Regulated by BRAF and Contributes to Poor Patient Prognosis in Colorectal Cancer. PLoS ONE 2014, 9, e101957. [Google Scholar] [CrossRef]
- Plate, J.D.J.; Borggreve, A.S.; van Hillegersberg, R.; Peelen, L.M. Post Hoc Power Calculation: Observing the Expected. Ann. Surg. 2019, 269, e11. [Google Scholar] [CrossRef]
- Song, K.; Hao, J.; Ge, Z.; Chen, P. Clinical and Survival Impact of Sex-Determining Region Y-Box 2 in Colorectal Cancer: An Integrated Analysis of the Immunohistochemical Study and Bioinformatics Analysis. J. Oncol. 2020, 2020, 3761535. [Google Scholar] [CrossRef]
- Chai, S.M.; Zeps, N.; Shearwood, A.-M.; Grieu, F.; Charles, A.; Harvey, J.; Goldblatt, J.; Joseph, D.; Iacopetta, B. Screening for defective DNA mismatch repair in stage II and III colorectal cancer patients. Clin. Gastroenterol. Hepatol. 2004, 2, 1017–1025. [Google Scholar] [CrossRef]



| Variable | AJCC Stage II | AJCC Stage III |
|---|---|---|
| n = 445 | n = 352 | |
| Age, median (IQR) | 72.3 (64.6, 79.0) | 68.3 (59.3, 76.9) |
| T Stage, n (%) | ||
| T1 | - | 1 (0.3) |
| T2 | - | 11 (3.1) |
| T3 | 419 (94.2) | 331 (94.0) |
| T4 | 26 (5.8) | 9 (2.6) |
| Localization, n (%) | ||
| Proximal colon | 199 (44.7) | 140 (39.8) |
| Distal colon | 117 (26.3) | 110 (31.3) |
| Rectum | 113 (25.4) | 102 (29.0) |
| Not Reported | 16 (3.6) | 0 (0.0) |
| Vascular Invasion, n (%) | ||
| Present | 69 (15.5) | 160 (45.5) |
| Absent | 361 (81.1) | 192 (54.6) |
| Not Reported | 15 (3.4) | 0 (0.0) |
| PNI, n (%) | ||
| Present | 18 (4.0) | 39 (11.1) |
| Absent | 407 (91.5) | 313 (88.9) |
| Not Reported | 20 (4.5) | 0 (0.0) |
| Grade, n (%) | ||
| High | 45 (10.1) | 36 (10.2) |
| Low | 395 (88.8) | 314 (89.2) |
| Not Reported | 5 (1.1) | 2 (0.6) |
| Mucinous, n (%) | ||
| Yes | 72 (16.2) | 25 (7.1) |
| No | 74 (16.6) | 26 (7.4) |
| Not Reported | 299 (67.2) | 301 (85.6) |
| TILs, n (%) | ||
| Present | 58 (13.0) | 11 (3.1) |
| Absent | 87 (19.6) | 37 (10.5) |
| Not Reported | 300 (67.4) | 304 (86.4) |
| MMR, n (%) | ||
| Deficient | 63 (14.2) | 21 (6.0) |
| Proficient | 374 (84.0) | 323 (91.8) |
| Not Reported | 8 (1.8) | 8 (2.3) |
| SOX2, n (%) 1 | ||
| Low | 409 (91.9) | 308 (87.5) |
| High | 36 (8.1) | 44 (12.5) |
| Adjuvant Chemotherapy, n (%) | ||
| Yes | 22 (4.9) | 132 (37.5) |
| No | 167 (37.5) | 193 (54.8) |
| Not Reported | 256 (57.5) | 27 (7.7) |
| 5-Year OS, n (%) | ||
| Alive | 277 (62.2) | 135 (38.4) |
| Died | 168 (37.8) | 217 (61.6) |
| 5-Year CSS | ||
| Alive/Died from other cause | 343 (77.1) | 164 (46.6) |
| Died from CRC | 102 (22.9) | 188 (53.4) |
| Follow-up time, median 2 | 173.7 months | 166.1 months |
© 2020 by the authors. Licensee MDPI, Basel, Switzerland. This article is an open access article distributed under the terms and conditions of the Creative Commons Attribution (CC BY) license (http://creativecommons.org/licenses/by/4.0/).
Share and Cite
Miller, T.J.; McCoy, M.J.; Lee-Pullen, T.F.; Anyaegbu, C.C.; Hemmings, C.; Bulsara, M.K.; Platell, C.F. The Prognostic and Predictive Value of SOX2+ Cell Densities in Patients Treated for Colorectal Cancer. Cancers 2020, 12, 1110. https://doi.org/10.3390/cancers12051110
Miller TJ, McCoy MJ, Lee-Pullen TF, Anyaegbu CC, Hemmings C, Bulsara MK, Platell CF. The Prognostic and Predictive Value of SOX2+ Cell Densities in Patients Treated for Colorectal Cancer. Cancers. 2020; 12(5):1110. https://doi.org/10.3390/cancers12051110
Chicago/Turabian StyleMiller, Tim J., Melanie J. McCoy, Tracey F. Lee-Pullen, Chidozie C. Anyaegbu, Christine Hemmings, Max K. Bulsara, and Cameron F. Platell. 2020. "The Prognostic and Predictive Value of SOX2+ Cell Densities in Patients Treated for Colorectal Cancer" Cancers 12, no. 5: 1110. https://doi.org/10.3390/cancers12051110
APA StyleMiller, T. J., McCoy, M. J., Lee-Pullen, T. F., Anyaegbu, C. C., Hemmings, C., Bulsara, M. K., & Platell, C. F. (2020). The Prognostic and Predictive Value of SOX2+ Cell Densities in Patients Treated for Colorectal Cancer. Cancers, 12(5), 1110. https://doi.org/10.3390/cancers12051110

