Detection of Circulating Tumor Cells in the Diagnostic Leukapheresis Product of Non-Small-Cell Lung Cancer Patients Comparing CellSearch® and ISET
Abstract
1. Introduction
2. Results
2.1. NSCLC Patients and Filtration
2.2. Spiking Efficacy and Immunostaining Control
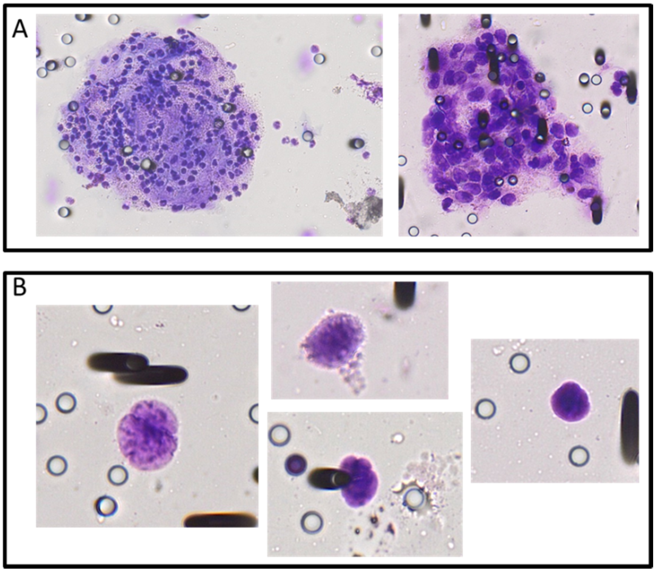
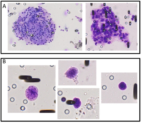
2.3. CTC Identification by ISET
2.4. Comparison to CellSearch
2.5. Live Cell Protocol
3. Discussion
4. Materials and Methods
4.1. Patient Inclusion and Clinical Data
4.2. Diagnostic Leukapheresis Procedure
4.3. The Adapted ISET Protocol for Fixated Cells
4.4. CTCs Recognized by CellSearch
4.5. Live Cell Protocol
4.6. Single-Cell Whole-Genome Sequencing
4.7. Statistical Analysis
5. Conclusions
Supplementary Materials
Author Contributions
Funding
Acknowledgments
Conflicts of Interest
Appendix A
Appendix A.1. The Standard ISET Protocol for Fixed Cells

| Processed | Blood Cells | ISET Cohort 1 (n = 18) * | ISET Cohort 2 (n = 16) ** | ISET Live Cell (n = 8) *** |
|---|---|---|---|---|
| Sample volume (mL) | DLA product | 0.5–5 | 5 | 10–20 |
| Absolute blood cell counts processed (×108) | Leukocytes | 4.6 (3.7–7.3) | 5 (3.6–8.0) | 18.6 (9.6–33.9) |
| Lymphocytes | 1.9 (1.5–2.7) | 2.2 (1.9–3.5) | 7.7 (4.8–12.0) | |
| Monocytes | 0.8 (0.6–1.2) | 1.1 (0.7–1.8)) | 2.4 (1.6–4.7) | |
| Granulocytes | 1.9 (0.9–3.5) | 2.6 (1.1–3.8) | 8 (3.3–17.5) | |
| Platelets | 78.7 (69.5–94.8) | 76.3 (45.7–63.9) | 319.4 (199.1–500.8) | |
| Erythrocytes | 19.8 (15.7–32.1) | 32.5 (22.8–45.9) | 76.5 (50.5–219.0) | |
| Dilution and total processed sample (mL) | Dilution material | DPBS and fixed ISET buffer | ACDA and fixed ISET buffer | ACDA and live ISET buffer |
| Dilution volume | 0–4.5 and 45 | 5 and 45 | 10–20 and 80–160 | |
| Total sample | 50 | 55 | 100–200 | |
| Concentrations per mL sample (×106/mL) | Leukocytes | 9.2 (7.4–14.6) | 9.0 (6.4–14.5) | 9.3 (7.6–26.2) |
| Lymphocytes | 3.8 (2.9–5.5) | 4.0 (3.4–6.2) | 4.1 (3.9–7.8) | |
| Monocytes | 1.6 (1.3–2.4) | 1.9 (1.2–3.4) | 1.4 (1.2–3.5) | |
| Granulocytes | 3.8 (1.9–7.0) | 4.8 (1.9–6.9) | 4.0 (2.5–15.0) | |
| Platelets | 157.3 (139.1–189.6) | 138.7 (83.1–157.0) | 268.9 (142.7–314.5) | |
| Erythrocytes | 0.04 (0.03–0.06) | 0.1 (0.1–0.1) | 0.1 (0.1–0.1) | |
| Limiting factor | Platelets | None | None |
| Characteristic | Specified | Original Protocol (n = 18) | Adjusted Protocol * (n = 16) | Live Cell Protocol * (n = 8) |
|---|---|---|---|---|
| Age | Mean (sd) | 64 (7) | 68 (11) | 67 (7) |
| Gender | Male | 12 (67) | 10 (62) | 4 (80) |
| Female | 6 (33) | 6 (38) | 1 (20) | |
| ECOG PS | 0 | 8 (44) | 9 (56) | 5 (63) |
| 1 | 7 (39) | 4 (25) | 2 (24) | |
| 2 | 3 (17) | 2 (13) | 0 (0) | |
| 3 | 0 (0) | 1 (6) | 1 (13) | |
| Smoking status | Smokers | 14 (78) | 7 (44) | 3 (38) |
| Previous | 1 (6) | 5 (31) | 3 (38) | |
| Non-smokers | 3 (17) | 4 (25) | 2 (24) | |
| Stage | I | 1 (6) | 2 (13) | 0 (0) |
| II | 1 (6) | 1 (6) | 0 (0) | |
| III | 0 (0) | 3 (19) | 0 (0) | |
| IV | 16 (89) | 10 (62) | 8 (100) | |
| Histology | Adenocarcinoma | 14 (78) | 9 (56) | 6 (75) |
| Squamous cell | 4 (22) | 4 (25) | 2 (25) | |
| other | 0 (0) | 3 (19) | 0 (0) | |
| Mutations | None identified | 7 (39) | 6 (38) | 4 (50) |
| KRAS | 7 (39) | 5 (31) | 2 (25) | |
| ALK | 3 (16) | 0 (0) | 0 (0) | |
| Other | 1 (6) | 5 (31) | 2 (25) | |
| Therapy line | 0 | 2 (11) | 5 (31) | 3 (37) |
| 1 | 6 (33) | 7 (44) | 2 (25) | |
| 2 | 7 (39) | 4 (25) | 3 (37) | |
| ≥3 | 3 (17) | 0 (0) | 0 (0) | |
| Treatment | Surgery | 2 (11) | 3 (19) | 0 (0) |
| Chemo(radio)therapy | 1 (6) | 2 (13) | 0 (0) | |
| Immunotherapy | 11 (61) | 9 (56) | 7 (87) | |
| Targeted therapy | 4 (22) | 2 (12) | 1 (13) | |
| Blood | Total blood volume (L) | 5.2 (0.8) | 5,1 (0.9) | 5.3 (0.8) |
| Processed volume (L) | 4.8 (1.1) | 4.2 (1.0) | 5.0 (0.6) | |
| Percentage processed (sd) | 89 (21) | 84 (16) | 96 (5) | |
| DLA product | mL (sd) | 83 (21) | 75 (17) | 85 (7) |
| ACDA (sd) | 12 (3) | 12 (4) | 11 (1) |
Appendix A.2. CTC Detection Standard Protocol
Appendix A.3. Adjustment of the ISET Protocol for Fixed Cells

Appendix A.4. Adjustment for CTC Detection
References
- Tamminga, M.; De Wit, S.; Hiltermann, T.J.; Timens, W.; Schuuring, E.; Terstappen, L.W.; Groen, H.J. Circulating tumor cells in advanced non-small cell lung cancer patients are associated with worse tumor response to checkpoint inhibitors. J. Immunother. Cancer 2019, 7, 173. [Google Scholar] [CrossRef]
- Punnoose, E.A.; Atwal, S.; Liu, W.; Raja, R.; Fine, B.M.; Hughes, B.G.M.; Hicks, R.J.; Hampton, G.M.; Amler, L.C.; Pirzkall, A.; et al. Evaluation of circulating tumor cells and circulating tumor DNA in non-small cell lung cancer: Association with clinical endpoints in a phase II clinical trial of pertuzumab and erlotinib. Clin. Cancer Res. 2012, 18, 2391–2401. [Google Scholar] [CrossRef] [PubMed]
- Muinelo-Romay, L.; Vieito, M.; Abalo, A.; Nocelo, M.A.; Barón, F.; Anido, U.; Brozos, E.; Vázquez, F.; Aguín, S.; Abal, M.; et al. Evaluation of circulating tumor cells and related events as prognostic factors and surrogate biomarkers in advanced NSCLC patients receiving first-line systemic treatment. Cancers 2014, 6, 153–165. [Google Scholar] [CrossRef]
- Nieva, J.; Wendel, M.; Luttgen, M. High-definition imaging of circulating tumor cells and associated cellular events in non-small cell lung cancer patients: A longitudinal analysis. Phys. Biol. 2012, 9, 016004. [Google Scholar] [CrossRef][Green Version]
- de Wit, S.; Rossi, E.; Weber, S.; Tamminga, M.; Manicone, M.; Swennenhuis, J.F.; Groothuis-Oudshoorn, C.G.; Vidotto, R.; Facchinetti, A.; Zeune, L.L.; et al. Single tube liquid biopsy for advanced non-small cell lung cancer Single tube liquid biopsy for advanced non-small cell lung cancer. Int. J. Cancer 2019, 144, 3127–3137. [Google Scholar] [CrossRef] [PubMed]
- De Wit, S.; Van Dalum, G.; Lenferink, A.T.; Tibbe, A.G.; Hiltermann, T.J.; Groen, H.J.; Van Rijn, C.J.; Terstappen, L.W. The detection of EpCAM+ and EpCAM− circulating tumor cells. Sci. Rep. 2015, 5, 12270–12279. [Google Scholar] [CrossRef]
- Coumans, F.A.; Ligthart, S.T.; Uhr, J.W.; Terstappen, L.W. Challenges in the enumeration and phenotyping of CTC. Clin. Cancer Res. 2012, 18, 5711–5718. [Google Scholar] [CrossRef] [PubMed]
- Stoecklein, N.H.; Fischer, J.C.; Niederacher, D.; Terstappen, L.W.M.M. Challenges for CTC-based liquid biopsies: Low CTC frequency and diagnostic leukapheresis as a potential solution. Expert Rev. Mol. Diagn. 2015, 16, 147–164. [Google Scholar] [CrossRef]
- Fischer, J.C.; Niederacher, D.; Topp, S.A.; Honisch, E.; Schumacher, S.; Schmitz, N.; Zacarias Föhrding, L.; Vay, C.; Hoffmann, I.; Kasprowicz, N.S.; et al. Diagnostic leukapheresis enables reliable detection of circulating tumor cells of nonmetastatic cancer patients. Proc. Natl. Acad. Sci. USA 2013, 110, 16580–16585. [Google Scholar] [CrossRef]
- Fehm, T.N.; Meier-Stiegen, F.; Driemel, C.; Jäger, B.; Reinhardt, F.; Naskou, J.; Franken, A.; Neubauer, H.; Neves, R.P.L.; Dalum, G.; et al. Diagnostic leukapheresis for CTC analysis in breast cancer patients: CTC frequency, clinical experiences and recommendations for standardized reporting. Cytom. Part A 2018, 93, 1213–1219. [Google Scholar] [CrossRef]
- Andree, K.C.; Mentink, A.; Zeune, L.L.; Terstappen, L.W.M.M.; Stoecklein, N.H.; Neves, R.P.; Driemel, C.; Lampignano, R.; Yang, L.; Neubauer, H.; et al. Toward a real liquid biopsy in metastatic breast and prostate cancer: Diagnostic LeukApheresis increases CTC yields in a European prospective multicenter study (CTCTrap). Int. J. Cancer 2018, 143, 2584–2591. [Google Scholar] [CrossRef] [PubMed]
- Krebs, M.G.; Hou, J.M.; Sloane, R.; Lancashire, L.; Priest, L.; Nonaka, D.; Ward, T.H.; Backen, A.; Clack, G.; Hughes, A.; et al. Analysis of circulating tumor cells in patients with non-small cell lung cancer using epithelial marker-dependent and -independent approaches. J. Thorac. Oncol. 2012, 7, 306–315. [Google Scholar] [CrossRef] [PubMed]
- Lecharpentier, A.; Vielh, P.; Perez-Moreno, P.; Planchard, D.; Soria, J.C.; Farace, F. Detection of circulating tumour cells with a hybrid (epithelial/mesenchymal) phenotype in patients with metastatic non-small cell lung cancer. Br. J. Cancer 2011, 105, 1338–1341. [Google Scholar] [CrossRef] [PubMed]
- Hofman, V.; Long, E.; Ilie, M.; Bonnetaud, C.; Vignaud, J.M.; Flejou, J.F.; Lantuejoul, S.; Piaton, E.; Mourad, N.; Butori, C.; et al. Morphological analysis of circulating tumour cells in patients undergoing surgery for non-small cell lung carcinoma using the isolation by size of epithelial tumour cell (ISET) method. Cytopathology 2010, 23, 30–38. [Google Scholar] [CrossRef]
- Massard, C.; Oulhen, M.; Le Moulec, S.; Auger, N.; Foulon, S.; Abou-Lovergne, A.; Billiot, F.; Valent, A.; Marty, V.; Loriot, Y.; et al. Phenotypic and genetic heterogeneity of tumor tissue and circulating tumor cells in patients with metastatic castration-resistant prostate cancer: A report from the PETRUS prospective study. Oncotarget 2016, 7, 55069. [Google Scholar] [CrossRef][Green Version]
- Hofman, V.; Ilie, M.I.; Long, E.; Selva, E.; Bonnetaud, C.; Molina, T.; Vénissac, N.; Mouroux, J.; Vielh, P.; Hofman, P. Detection of circulating tumor cells as a prognostic factor in patients undergoing radical surgery for non-small-cell lung carcinoma: Comparison of the efficacy of the CellSearch AssayTM and the isolation by size of epithelial tumor cell method. Int. J. Cancer 2010, 129, 1651–1660. [Google Scholar] [CrossRef]
- Pailler, E.; Oulhen, M.; Billiot, F.; Galland, A.; Auger, N.; Faugeroux, V.; Laplace-Builhé, C.; Besse, B.; Loriot, Y.; Ngo-Camus, M.; et al. Method for semi-automated microscopy of filtration-enriched circulating tumor cells. BMC Cancer 2016, 16, 477. [Google Scholar] [CrossRef]
- Polioudaki, H.; Agelaki, S.; Chiotaki, R.; Politaki, E.; Mavroudis, D.; Matikas, A.; Georgoulias, V.; Theodoropoulos, P.A. Variable expression levels of keratin and vimentin reveal differential EMT status of circulating tumor cells and correlation with clinical characteristics and outcome of patients with metastatic breast cancer. BMC Cancer 2015, 15, 399. [Google Scholar] [CrossRef]
- Lindsay, C.R.; Le Moulec, S.; Billiot, F.; Loriot, Y.; Ngo-Camus, M.; Vielh, P.; Fizazi, K.; Massard, C.; Farace, F. Vimentin and Ki67 expression in circulating tumour cells derived from castrate-resistant prostate cancer. BMC Cancer 2016, 16, 168. [Google Scholar] [CrossRef]
- Inamura, K. Update on Immunohistochemistry for the Diagnosis of Lung Cancer. Cancers 2018, 10, 72. [Google Scholar] [CrossRef]
- The Human Protein Atlas: TTF1. Available online: https://www.proteinatlas.org/ENSG00000125482-TTF1/tissue (accessed on 3 March 2020).
- Vidigal, J.; Dias, M.M.; Fernandes, F.; Patrone, M.; Bispo, C.; Andrade, C.; Gardner, R.; Carrondo, M.J.T.; Alves, P.M.; Teixeira, A.P. A cell sorting protocol for selecting high-producing sub-populations of Sf9 and High FiveTM cells. J. Biotechnol. 2013, 168, 436–439. [Google Scholar] [CrossRef] [PubMed]
- Pailler, E.; Adam, J.; Barthélémy, A.; Oulhen, M.; Auger, N.; Valent, A.; Borget, I.; Planchard, D.; Taylor, M.; André, F.; et al. Detection of circulating tumor cells harboring a unique ALK rearrangement in ALK-positive non–small-cell lung cancer. J. Clin. Oncol. 2013, 31, 2273–2281. [Google Scholar] [CrossRef] [PubMed]
- Geens, M.; Van De Velde, H.; De Block, G.; Goossens, E.; Van Steirteghem, A.; Tournaye, H. The efficiency of magnetic-activated cell sorting and fluorescence-activated cell sorting in the decontamination of testicular cell suspensions in cancer patients. Hum. Reprod. 2007, 22, 733–742. [Google Scholar] [CrossRef] [PubMed]
- Cummins, I.; Steel, P.G.; Edwards, R. Identification of a carboxylesterase expressed in protoplasts using fluorescence-activated cell sorting. Plant Biotechnol. J. 2007, 5, 354–359. [Google Scholar] [CrossRef]
- Lang, J.E.; Scott, J.H.; Wolf, D.M.; Novak, P.; Punj, V.; Magbanua, M.J.M.; Zhu, W.; Mineyev, N.; Haqq, C.M.; Crothers, J.R.; et al. Expression profiling of circulating tumor cells in metastatic breast cancer. Breast Cancer Res. Treat. 2015, 149, 121–131. [Google Scholar] [CrossRef]
- Carter, L.; Rothwell, D.G.; Mesquita, B.; Smowton, C.; Leong, H.S.; Fernandez-Gutierrez, F.; Li, Y.; Burt, D.J.; Antonello, J.; Morrow, C.J.; et al. Molecular analysis of circulating tumor cells identifies distinct copy-number profiles in patients with chemosensitive and chemorefractory small-cell lung cancer. Nat. Med. 2017, 23, 114. [Google Scholar] [CrossRef]
- Stevens, M.; Oomens, L.; Broekmaat, J.; Weersink, J.; Abali, F.; Swennenhuis, J.; Tibbe, A. VyCAP’s puncher technology for single cell identification, isolation, and analysis. Cytom. Part A 2018, 93, 1255–1259. [Google Scholar] [CrossRef]
- Tamminga, M.; de Wit, S.; van de Wauwer, C.; van den Bos, H.; Swennenhuis, J.F.; Klinkenberg, T.J.; Hiltermann, T.J.N.; Andree, K.C.; Spierings, D.C.J.; Lansdorp, P.M.; et al. Release of Circulating Tumor Cells during Surgery for Non-Small Cell Lung Cancer: Are They What They Appear to Be? Clin. Cancer Res. 2019. [Google Scholar] [CrossRef]
- Aieta, M.; Facchinetti, A.; De Faveri, S.; Manicone, M.; Tartarone, A.; Possidente, L.; Lerose, R.; Mambella, G.; Calderone, G.; Zamarchi, R.; et al. Monitoring and characterization of Circulating Tumor Cells (CTCs) in a patient with EML4-ALK positive Non Small Cell Lung Cancer (NSCLC). Clin. Lung Cancer 2016, 17, e173–e177. [Google Scholar] [CrossRef]
- Hirose, T.; Murata, Y.; Oki, Y.; Sugiyama, T.; Kusumoto, S.; Ishida, H.; Shirai, T.; Nakashima, M.; Yamaoka, T.; Okuda, K.; et al. Relationship of Circulating Tumor Cells to the Effectiveness of Cytotoxic Chemotherapy in Patients With Metastatic Non-Small-Cell Lung Cancer. Oncol. Res. Featur. Preclin. Clin. Cancer Ther. 2012, 20, 131–137. [Google Scholar] [CrossRef]
- Li, Y.; Cheng, X.; Chen, Z.; Liu, Y.; Liu, Z.; Xu, S. Circulating tumor cells in peripheral and pulmonary venous blood predict poor long-term survival in resected non-small cell lung cancer patients. Sci. Rep. 2017, 7, 4971. [Google Scholar] [CrossRef] [PubMed]
- Krebs, M.G.; Sloane, R.; Priest, L.; Lancashire, L.; Hou, J.-M.J.M.; Greystoke, A.; Ward, T.H.; Ferraldeschi, R.; Hughes, A.; Clack, G.; et al. Evaluation and prognostic significance of circulating tumor cells in patients with non-small-cell lung cancer. J. Clin. Oncol. 2011, 29, 1556–1563. [Google Scholar] [CrossRef] [PubMed]
- Bayarri-Lara, C.; Ortega, F.G.; de Guevara, A.C.; Puche, J.L.; Zafra, J.R.; de Miguel-Pérez, D.; Ramos, A.S.; Giraldo-Ospina, C.F.; Gómez, J.A.; Delgado-Rodriguez, M.; et al. Circulating tumor cells identify early recurrence in patients with non-small cell lung cancer undergoing radical resection. PLoS ONE 2016, 11, e0148659. [Google Scholar] [CrossRef]
- Dorsey, J.F.; Kao, G.D.; Macarthur, K.M.; Ju, M.; Steinmetz, D.; Paul, E.; Ii, C.B.S.; Hahn, S.M. Tracking Viable Circulating Tumor Cells (CTCs) in the Peripheral Blood of Non-Small Cell Lung Cancer Patients Undergoing Definitive Radiation Therapy: Pilot Study Results. Cancer 2015, 121, 139–149. [Google Scholar] [CrossRef] [PubMed]
- Nel, I.; Jehn, U.; Gauler, T.; Hoffmann, A.-C. Individual profiling of circulating tumor cell composition in patients with non-small cell lung cancer receiving platinum based treatment. Transl. Lung Cancer Res. 2014, 3, 100–106. [Google Scholar]
- Maheswaran, S.; Sequist, L.V.; Nagrath, S.; Ulkus, L.; Brannigan, B.; Collura, C.V.; Inserra, E.; Diederichs, S.; Iafrate, A.J.; Bell, D.W.; et al. Detection of Mutations in EGFR in Circulating Lung-Cancer Cells. N. Engl. J. Med. 2008, 359, 366–377. [Google Scholar] [CrossRef]
- Lambros, M.B.; Seed, G.; Sumanasuriya, S.; Gil, V.; Crespo, M.; Fontes, M.; Chandler, R.; Mehra, N.; Fowler, G.; Ebbs, B.; et al. Single-Cell Analyses of Prostate Cancer Liquid Biopsies Acquired by Apheresis. Clin. Cancer Res. 2018, 24, 5635–5644. [Google Scholar] [CrossRef]
- McLeod, B.C.; Sniecinski, I.; Ciavarella, D.; Owen, H.; Price, T.H.; Randels, M.J.; Smith, J.W. Frequency of immediate adverse effects associated with therapeutic apheresis. Transfusion 1999, 39, 282–288. [Google Scholar] [CrossRef]
- Crocco, I.; Franchini, M.; Garozzo, G.; Gandini, A.R.; Gandini, G.; Bonomo, P.; Aprili, G. Adverse reactions in blood and apheresis donors: Experience from two Italian transfusion centres. Blood Transfus. 2009, 7, 35. [Google Scholar]
- Kraal, K.C.J.M.; Timmerman, I.; Kansen, H.M.; van den Bos, C.; Zsiros, J.; van den Berg, H.; Somers, S.; Braakman, E.; Peek, A.M.L.; van Noesel, M.M.; et al. Peripheral Stem Cell Apheresis is Feasible Post 131Iodine-Metaiodobenzylguanidine-Therapy in High-Risk Neuroblastoma, but Results in Delayed Platelet Reconstitution. Clin. Cancer Res. 2019, 25, 1012–1021. [Google Scholar] [CrossRef]
- Kiss, F.; Toth, E.; Miszti-Blasius, K.; Nemeth, N. The effect of centrifugation at various g force levels on rheological properties of rat, dog, pig and human red blood cells. Clin. Hemorheol. Microcirc. 2016, 62, 215–227. [Google Scholar] [CrossRef]
- Punzel, M.; Kozlova, A.; Quade, A.; Schmidt, A.H.; Smith, R. Evolution of MNC and lymphocyte collection settings employing different Spectra Optia ® Leukapheresis systems. Vox Sang. 2017, 112, 586–594. [Google Scholar] [CrossRef] [PubMed]
- de Wit, S.; Zeune, L.; Hiltermann, T.; Groen, H.; Dalum, G.; Terstappen, L.; de Wit, S.; Zeune, L.L.; Hiltermann, T.J.N.; Groen, H.J.M.; et al. Classification of Cells in CTC-Enriched Samples by Advanced Image Analysis. Cancers 2018, 10, 377. [Google Scholar] [CrossRef] [PubMed]
- Zeune, L. Toolbox ACCEPT. Available online: https://github.com/LeonieZ/ACCEPT (accessed on 4 March 2020).
- Zeune, L.L.; de Wit, S.; Berghuis, A.M.S.; IJzerman, M.J.; Terstappen, L.W.M.M.; Brune, C. How to Agree on a CTC: Evaluating the Consensus in Circulating Tumor Cell Scoring. Cytom. Part A 2018, 93, 1202–1206. [Google Scholar] [CrossRef] [PubMed]
- Nadler, S.B.; Hidalgo, J.U.; Bloch, T. Prediction of blood volume in normal human adults. Surgery 1962, 51, 224–232. [Google Scholar] [PubMed]
- Laget, S.; Broncy, L.; Hormigos, K.; Dhingra, D.M.; BenMohamed, F.; Capiod, T.; Osteras, M.; Farinelli, L.; Jackson, S.; Paterlini-Bré chot, P. Technical Insights into Highly Sensitive Isolation and Molecular Characterization of Fixed and Live Circulating Tumor Cells for Early Detection of Tumor Invasion. PLoS ONE 2017, 12, e0169427. [Google Scholar] [CrossRef]
- van den Bos, H.; Bakker, B.; Taudt, A.; Guryev, V.; Colomé-Tatché, M.; Lansdorp, P.M.; Foijer, F.; Spierings, D.C.J. Quantification of Aneuploidy in Mammalian Systems; Humana Press: New York, NY, USA, 2019; pp. 159–190. [Google Scholar]
- Bakker, B.; Taudt, A.; Belderbos, M.E.; Porubsky, D.; Spierings, D.C.; de Jong, T.V.; Halsema, N.; Kazemier, H.G.; Hoekstra-Wakker, K.; Bradley, A.; et al. Single-cell sequencing reveals karyotype heterogeneity in murine and human malignancies. Genome Biol. 2016, 17, 115. [Google Scholar] [CrossRef]



| Sample Characteristics | Unit/Blood Cells | CellSearch (n = 16) | ISET (n = 16) |
|---|---|---|---|
| Sample volume | DLA product (mL) | 1.5 (1.1–2.5) | 10 |
| Absolute number of processed blood cells (× 108) | Leukocytes | 2 | 10 (7.1–15.9) |
| Lymphocytes | 0.8 (0.6–1.1) | 4.3 (3.7–6.9)) | |
| Monocytes | 0.4 (0.3–0.5) | 2.1 (1.3–3.7)) | |
| Granulocytes | 0.9 (0.7–1.1) | 5.3 (2.1–7.6) | |
| Platelets | 26.3 (19.3–44.7) | 152.6 (91.4–172.7) | |
| Erythrocytes | 9.6 (5.6–1.4) | 65.0 (45.5–91.8) | |
| Dilution and total volumes | Total sample (mL) | 7.5 | 110 |
| Dilution material | CellSearch buffer | ACDA/ISET buffer | |
| Dilution volume | 6 (5.0–6.4) | 10/90 | |
| Concentrations per mL sample (× 106/mL) | Leukocytes | 26.7 | 9.0 (6.4–14.5) |
| Lymphocytes | 10.4 (8.1–14.4) | 4.0 (3.4–6.2) | |
| Monocytes | 5.7 (4.4–6.5) | 1.9 (1.2–3.4) | |
| Granulocytes | 12.6 (9.5–14.3) | 4.8 (1.9–6.9) | |
| Platelets | 350.6 (257.2–596.5) | 138.7 (83.1–157.0) | |
| Erythrocytes | 0.1 (0.1–0.2) | 0.1 (0.1–0.1) | |
| Limiting factor | Number of leukocytes | NA |
© 2020 by the authors. Licensee MDPI, Basel, Switzerland. This article is an open access article distributed under the terms and conditions of the Creative Commons Attribution (CC BY) license (http://creativecommons.org/licenses/by/4.0/).
Share and Cite
Tamminga, M.; Andree, K.C.; Hiltermann, T.J.N.; Jayat, M.; Schuuring, E.; van den Bos, H.; Spierings, D.C.J.; Lansdorp, P.M.; Timens, W.; Terstappen, L.W.M.M.; et al. Detection of Circulating Tumor Cells in the Diagnostic Leukapheresis Product of Non-Small-Cell Lung Cancer Patients Comparing CellSearch® and ISET. Cancers 2020, 12, 896. https://doi.org/10.3390/cancers12040896
Tamminga M, Andree KC, Hiltermann TJN, Jayat M, Schuuring E, van den Bos H, Spierings DCJ, Lansdorp PM, Timens W, Terstappen LWMM, et al. Detection of Circulating Tumor Cells in the Diagnostic Leukapheresis Product of Non-Small-Cell Lung Cancer Patients Comparing CellSearch® and ISET. Cancers. 2020; 12(4):896. https://doi.org/10.3390/cancers12040896
Chicago/Turabian StyleTamminga, Menno, Kiki C. Andree, T. Jeroen N. Hiltermann, Maximilien Jayat, Ed Schuuring, Hilda van den Bos, Diana C. J. Spierings, Peter M. Lansdorp, Wim Timens, Leon W. M. M. Terstappen, and et al. 2020. "Detection of Circulating Tumor Cells in the Diagnostic Leukapheresis Product of Non-Small-Cell Lung Cancer Patients Comparing CellSearch® and ISET" Cancers 12, no. 4: 896. https://doi.org/10.3390/cancers12040896
APA StyleTamminga, M., Andree, K. C., Hiltermann, T. J. N., Jayat, M., Schuuring, E., van den Bos, H., Spierings, D. C. J., Lansdorp, P. M., Timens, W., Terstappen, L. W. M. M., & Groen, H. J. M. (2020). Detection of Circulating Tumor Cells in the Diagnostic Leukapheresis Product of Non-Small-Cell Lung Cancer Patients Comparing CellSearch® and ISET. Cancers, 12(4), 896. https://doi.org/10.3390/cancers12040896

