Liver Kinase B1—A Potential Therapeutic Target in Hormone-Sensitive Breast Cancer in Older Women
Abstract
:1. Introduction
2. Materials and Methods
2.1. Patients
2.2. Tissue Microarray Construction
2.3. Immunohistochemistry
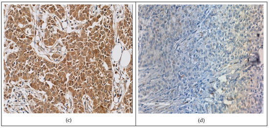
2.4. Scoring
2.5. Statistical Analysis
2.6. Ethical Consideration
3. Results
3.1. Patients
3.2. Pattern of LKB1 Expression and Association with Other Clinico-Pathological Parameters and Biological Markers
3.2.1. Pathological Parameters
3.2.2. Biological Markers
3.3. Correlation with Molecular Classes of Breast Cancer
3.4. Association of LKB1 with Clinical Outcome
Breast Cancer Specific Survival (BCSS)
3.5. Recurrence Free Survival
4. Discussion
5. Conclusions
Supplementary Materials
Author Contributions
Funding
Conflicts of Interest
References
- Collins, S.P.; Reoma, J.L.; Gamm, D.M.; Uhler, M.D. LKB1, a novel serine/threonine protein kinase and potential tumour suppressor, is phosphorylated by cAMP-dependent protein kinase (PKA) and prenylated in vivo. Biochem. J. 2000, 345, 673–680. [Google Scholar] [CrossRef] [PubMed]
- Marignani, P.A.; Negishi, Y.; Ui, N.; Nakajima, M.; Kawashima, K.; Maruyama, K.; Takizawa, T.; Endo, H.; Kanai, F.; Carpenter, C.L. LKB1 Associates with Brg1 and Is Necessary for Brg1-induced Growth Arrest. J. Biol. Chem. 2001, 276, 32415–32418. [Google Scholar] [CrossRef] [PubMed]
- McCarthy, A.; Lord, C.J.; Savage, K.; Grigoriadis, A.; Smith, D.P.; Weigelt, B.; Reis-Filho, J.S.; Ashworth, A.; Reis-Filho, J.S. Conditional deletion of the Lkb1 gene in the mouse mammary gland induces tumour formation. J. Pathol. 2009, 219, 306–316. [Google Scholar] [CrossRef] [PubMed]
- Liu, X.; Xiao, Z.-D.; Han, L.; Zhang, J.; Lee, S.-W.; Wang, W.; Lee, H.; Zhuang, L.; Chen, J.; Lin, H.-K.; et al. LncRNA NBR2 engages a metabolic checkpoint by regulating AMPK under energy stress. Nature 2016, 18, 431–442. [Google Scholar] [CrossRef] [PubMed]
- Trapp, E.K.; Majunke, L.; Zill, B.; Sommer, H.; Andergassen, U.; Koch, J.; Harbeck, N.; Mahner, S.; Friedl, T.W.P.; Janni, W.; et al. LKB1 pro-oncogenic activity triggers cell survival in circulating tumor cells. Mol. Oncol. 2017, 11, 1508–1526. [Google Scholar] [CrossRef] [PubMed]
- Boudeau, J.; Sapkota, G.; Alessi, D.R. LKB1, a protein kinase regulating cell proliferation and polarity. FEBS Lett. 2003, 546, 159–165. [Google Scholar] [CrossRef]
- Brown, K.; McInnes, K.; Simpson, E. The regulation of LKB1 by hormones and its implications for post-menopausal breast cancer. Breast Cancer Res. Treat. 2007, S125. [Google Scholar]
- Cheng, H.; Liu, P.; Wang, Z.C.; Zou, L.; Santiago, S.; Garbitt, V.; Gjoerup, O.V.; Iglehart, J.D.; Miron, A.; Richardson, A.L.; et al. SIK1 Couples LKB1 to p53-Dependent Anoikis and Suppresses Metastasis. Sci. Signal. 2009, 2, ra35. [Google Scholar] [CrossRef]
- Nath-Sain, S.; Marignani, P.A. LKB1 Catalytic Activity Contributes to Estrogen Receptor α Signaling. Mol. Biol. Cell 2009, 20, 2785–2795. [Google Scholar] [CrossRef]
- Hunger, N.I.; Docanto, M.; Simpson, E.R.; Brown, K.A. Metformin inhibits aromatase expression in human breast adipose stromal cells via stimulation of AMP-activated protein kinase. Breast Cancer Res. Treat. 2010, 123, 591–596. [Google Scholar]
- Li, J.; Liu, J.; Li, P.; Mao, X.; Li, W.; Yang, J.; Liu, P. Loss of LKB1 disrupts breast epithelial cell polarity and promotes breast cancer metastasis and invasion. J. Exp. Clin. Cancer Res. 2014, 33, 70. [Google Scholar] [CrossRef] [PubMed]
- Zhuang, Z.-G.; Di, G.-H.; Shen, Z.-Z.; Ding, J.; Shao, Z.-M. Enhanced Expression of LKB1 in Breast Cancer Cells Attenuates Angiogenesis, Invasion, and Metastatic Potential. Mol. Cancer Res. 2006, 4, 843–849. [Google Scholar] [CrossRef] [PubMed]
- Xia, C.; Ye, F.; Hu, X.; Li, Z.; Jiang, B.; Fu, Y.; Cheng, X.; Shao, Z.; Zhuang, Z. Liver kinase B1 enhances chemoresistance to gemcitabine in breast cancer MDA-MB-231 cells. Oncol. Lett. 2014, 8, 2086–2092. [Google Scholar] [CrossRef] [PubMed]
- Wang, Y.-S.; Chen, J.; Cui, F.; Wang, H.; Wang, S.; Hang, W.; Zeng, Q.; Quan, C.-S.; Zhai, Y.-X.; Wang, J.-W.; et al. LKB1 is a DNA damage response protein that regulates cellular sensitivity to PARP inhibitors. Oncotarget 2016, 7, 73389–73401. [Google Scholar] [CrossRef] [PubMed]
- Sengupta, S.; Nagalingam, A.; Muniraj, N.; Bonner, M.Y.; Mistriotis, P.; Afthinos, A.; Kuppusamy, P.; LaNoue, D.; Korangath, P.; Shriver, M.; et al. Activation of tumor suppressor LKB1 by honokiol abrogates cancer stem-like phenotype in breast cancer via inhibition of oncogenic Stat3. Oncogene 2017, 36, 5709–5721. [Google Scholar] [CrossRef] [PubMed]
- Simpson, E.; Brown, K. The link between the LKB1/AMPK pathway and aromatase in the breast provides a link between obesity and breast cancer. Endocrine J. 2010, S198–S199. [Google Scholar]
- Syed, B.M.; Johnston, S.J.; Wong, D.W.M.; Green, A.R.; Winterbottom, L.; Kennedy, H.; Simpson, N.; Morgan, D.A.L.; Ellis, I.O.; Cheung, K.L.; et al. Long-term (37 years) clinical outcome of older women with early operable primary breast cancer managed in a dedicated clinic. Ann. Oncol. 2011, 23, 1465–1471. [Google Scholar] [CrossRef]
- Rakha, E.; Elsheikh, S.E.; Aleskandarany, M.A.; Habashi, H.O.; Green, A.R.; Powe, D.G.; El-Sayed, M.E.; Benhasouna, A.; Brunet, J.S.; Akslen, L.A.; et al. Triple-negative breast cancer: Distinguishing between basal and nonbasal subtypes. Clin. Cancer Res. 2009, 15, 2302–2310. [Google Scholar] [CrossRef]
- Rao, V.S.; Garimella, V.; Hwang, M.; Drew, P.J. Management of early breast cancer in the elderly. Int. J. Cancer 2007, 120, 1155–1160. [Google Scholar] [CrossRef]
- Weigelt, B.; Geyer, F.; Reis, J. Histological types of breast cancer: How special are they? Mol. Oncol. 2010, 4, 192–208. [Google Scholar] [CrossRef]
- Avtanski, D.B.; Nagalingam, A.; Bonner, M.Y.; Arbiser, J.L.; Saxena, N.K.; Sharma, D. Honokiol activates LKB1-miR-34a axis and antagonizes the oncogenic actions of leptin in breast cancer. Oncotarget 2015, 6, 29947–29962. [Google Scholar] [CrossRef] [PubMed]
- Tan, D.S.P.; Marchiò, C.; Jones, R.L.; Savage, K.; Smith, I.E.; Dowsett, M.; Reis-Filho, J.S. Triple negative breast cancer: Molecular profiling and prognostic impact in adjuvant anthracycline-treated patients. Breast Cancer Res. Treat. 2007, 111, 27–44. [Google Scholar] [CrossRef] [PubMed]
- Syed, B.M.; Green, A.R.; Paish, E.C.; Soria, D.; Garibaldi, J.; Morgan, L.; Morgan, D.A.; Ellis, I.O.; Cheung, K.L. Biology of primary breast cancer in older women treated by surgery: With correlation with long-term clinical outcome and comparison with their younger counterparts. Br. J. Cancer 2013, 108, 1042–1051. [Google Scholar] [CrossRef] [PubMed]
- Chen, I.-C.; Chang, Y.-C.; Lu, Y.-S.; Chung, K.-P.; Huang, C.-S.; Kuo, K.-T.; Wang, M.-Y.; Wu, P.-F.; Hsueh, T.-H.; Shen, C.-Y.; et al. Clinical Relevance of Liver Kinase B1(LKB1) Protein and Gene Expression in Breast Cancer. Sci. Rep. 2016, 6, 21374. [Google Scholar] [CrossRef] [PubMed]
- Bouchekioua-Bouzaghou, K.; Poulard, C.; Rambaud, J.; Lavergne, E.; Hussein, N.; Billaud, M.; Bachelot, T.; Chabaud, S.; Mader, S.; Dayan, G.; et al. LKB1 when associated with methylatedERalpha is a marker of bad prognosis in breast cancer. Int. J. Cancer 2014, 135, 1307–1318. [Google Scholar] [PubMed]
- Azim, H.A.; Kassem, L.; Treilleux, I.; Wang, Q.; Abu El Enein, M.; Anis, S.E.; Bachelot, T. Analysis of PI3K/mTOR Pathway Biomarkers and Their Prognostic Value in Women with Hormone Receptor–Positive, HER2-Negative Early Breast Cancer. Transl. Oncol. 2016, 9, 114–123. [Google Scholar] [CrossRef] [PubMed]
- Gan, B.; Hu, J.; Jiang, S.; Liu, Y.; Sahin, E.; Zhuang, L.; Fletcher-Sananikone, E.; Colla, S.; Wang, Y.A.; Chin, L.; et al. Lkb1 regulates quiescence and metabolic homeostasis of haematopoietic stem cells. Nature 2010, 468, 701–704. [Google Scholar] [CrossRef]
- Gurumurthy, S.; Xie, S.Z.; Alagesan, B.; Kim, J.; Yusuf, R.Z.; Saez, B.; Tzatsos, A.; Ozsolak, F.; Milos, P.; Ferrari, F.; et al. The Lkb1 metabolic sensor maintains haematopoietic stem cell survival. Nature 2010, 468, 659–663. [Google Scholar] [CrossRef]
- Nakada, D.; Saunders, T.L.; Morrison, S.J. Lkb1 regulates cell cycle and energy metabolism in haematopoietic stem cells. Nature 2010, 468, 653–658. [Google Scholar] [CrossRef]
- Chen, Y.; Liu, Y.; Zhou, Y.; You, H. Molecular mechanism of LKB1 in the invasion and metastasis of colorectal cancer. Oncol. Rep. 2018, 41, 1035–1044. [Google Scholar] [CrossRef]
- Andrade-Vieira, R.; Xu, Z.; Colp, P.; Marignani, P.A. Loss of lkb1 Expression Reduces the Latency of ErbB2-Mediated Mammary Gland Tumorigenesis, Promoting Changes in Metabolic Pathways. PLoS ONE 2013, 8, e56567. [Google Scholar] [CrossRef]
- Lipovka, Y.; Chen, H.; Vagner, J.; Price, T.J.; Tsao, T.S.; Konhilas, J.P. Oestrogen receptors interact with the alpha-catalytic subunit of AMP-activated protein kinase. Biosci. Rep. 2015, 35, e00264. [Google Scholar] [CrossRef] [PubMed]
- Treilleux, I.; Arnedos, M.; Cropet, C.; Wang, Q.; Ferrero, J.-M.; Abadie-Lacourtoisie, S.; Levy, C.; Legouffe, E.; Lortholary, A.; Pujade-Lauraine, E.; et al. Translational studies within the TAMRAD randomized GINECO trial: Evidence for mTORC1 activation marker as a predictive factor for everolimus efficacy in advanced breast cancer. Ann. Oncol. 2014, 26, 120–125. [Google Scholar] [CrossRef] [PubMed]













| Biomarker | LKB1 Positive N (%) | LKB1 Negative N (%) | p-Value |
|---|---|---|---|
| ER + ve | 211 (69.0) | 61 (72.6) | 0.30 |
| PgR + ve | 168 (55.1) | 52 (61.9) | 0.16 |
| HER2 + ve | 30 (9.6) | 2 (2.4) | 0.01 |
| Ki67 + ve | 114 (35.8) | 20 (22.5) | 0.01 |
| MUC1 + ve | 274 (89.0) | 73 (86.9) | 0.36 |
| Bcl2 + ve | 250 (83.1) | 69 (83.1) | 0.56 |
| P53 + ve | 123 (41.1) | 31 (39.7) | 0.46 |
| CK5 + ve | 104 (33.7) | 21 (24.7) | 0.07 |
| CK5/6 + ve | 128 (45.2) | 33 (42.3) | 0.37 |
| CK7/8 + ve | 301 (97.4) | 84 (98.8) | 0.38 |
| CK14 + ve | 73 (25.8) | 15 (18.5) | 0.11 |
| CK17 + ve | 70 (23.4) | 14 (16.7) | 0.11 |
| CK18 + ve | 286 (97.3) | 81 (96.4) | 0.45 |
| CK19 + ve | 291 (95.4) | 79 (96.3) | 0.49 |
| EGFR + ve | 65 (23.0) | 12 (14.8) | 0.07 |
| BRCA2 + ve | 160 (56.7) | 35 (42.7) | 0.01 |
| VEGF + ve | 234 (88.6) | 56 (73.7) | 0.002 |
| CD44 + ve | 61 (19.7) | 25 (29.8) | 0.03 |
| MDM2 + ve | 296 (96.7) | 60 (74.1) | <0.001 |
| E-Cadherin + ve | 191 (63.2) | 48 (57.1) | 0.18 |
| Expression of LKB1 in molecular classes of breast cancer | |||
| Luminal A | 79 (76.0) | 25 (24.0) | 0.09 |
| Luminal B | 56 (75.7) | 18 (24.3) | |
| Low ER Luminal | 36 (81.8) | 8 (18.2) | |
| All low expression/normal like | 13 (76.5) | 4 (23.5) | |
| Basal Like | 19 (73.1) | 7 (26.9) | |
| HER2 positive | 25 (96.2) | 1 (3.8) | |
© 2019 by the authors. Licensee MDPI, Basel, Switzerland. This article is an open access article distributed under the terms and conditions of the Creative Commons Attribution (CC BY) license (http://creativecommons.org/licenses/by/4.0/).
Share and Cite
Syed, B.M.; Green, A.R.; Morgan, D.A.L.; Ellis, I.O.; Cheung, K.-L. Liver Kinase B1—A Potential Therapeutic Target in Hormone-Sensitive Breast Cancer in Older Women. Cancers 2019, 11, 149. https://doi.org/10.3390/cancers11020149
Syed BM, Green AR, Morgan DAL, Ellis IO, Cheung K-L. Liver Kinase B1—A Potential Therapeutic Target in Hormone-Sensitive Breast Cancer in Older Women. Cancers. 2019; 11(2):149. https://doi.org/10.3390/cancers11020149
Chicago/Turabian StyleSyed, Binafsha Manzoor, Andrew R Green, David A L Morgan, Ian O Ellis, and Kwok-Leung Cheung. 2019. "Liver Kinase B1—A Potential Therapeutic Target in Hormone-Sensitive Breast Cancer in Older Women" Cancers 11, no. 2: 149. https://doi.org/10.3390/cancers11020149
APA StyleSyed, B. M., Green, A. R., Morgan, D. A. L., Ellis, I. O., & Cheung, K.-L. (2019). Liver Kinase B1—A Potential Therapeutic Target in Hormone-Sensitive Breast Cancer in Older Women. Cancers, 11(2), 149. https://doi.org/10.3390/cancers11020149

