Transcytosis, Antitumor Activity and Toxicity of Staphylococcal Enterotoxin C2 as an Oral Administration Protein Drug
Abstract
:1. Introduction
2. Results
2.1. Transcytosis of SEC2-His through Caco-2 Monolayers
2.2. Pharmacokinetics of SEC2-His in Rat
2.3. Oral Administration of SEC2-His to Rats
2.4. Antitumor Activity of SEC2-His in ICR Mice
2.5. Cytokine Assays of SEC2-His Fed ICR Mice
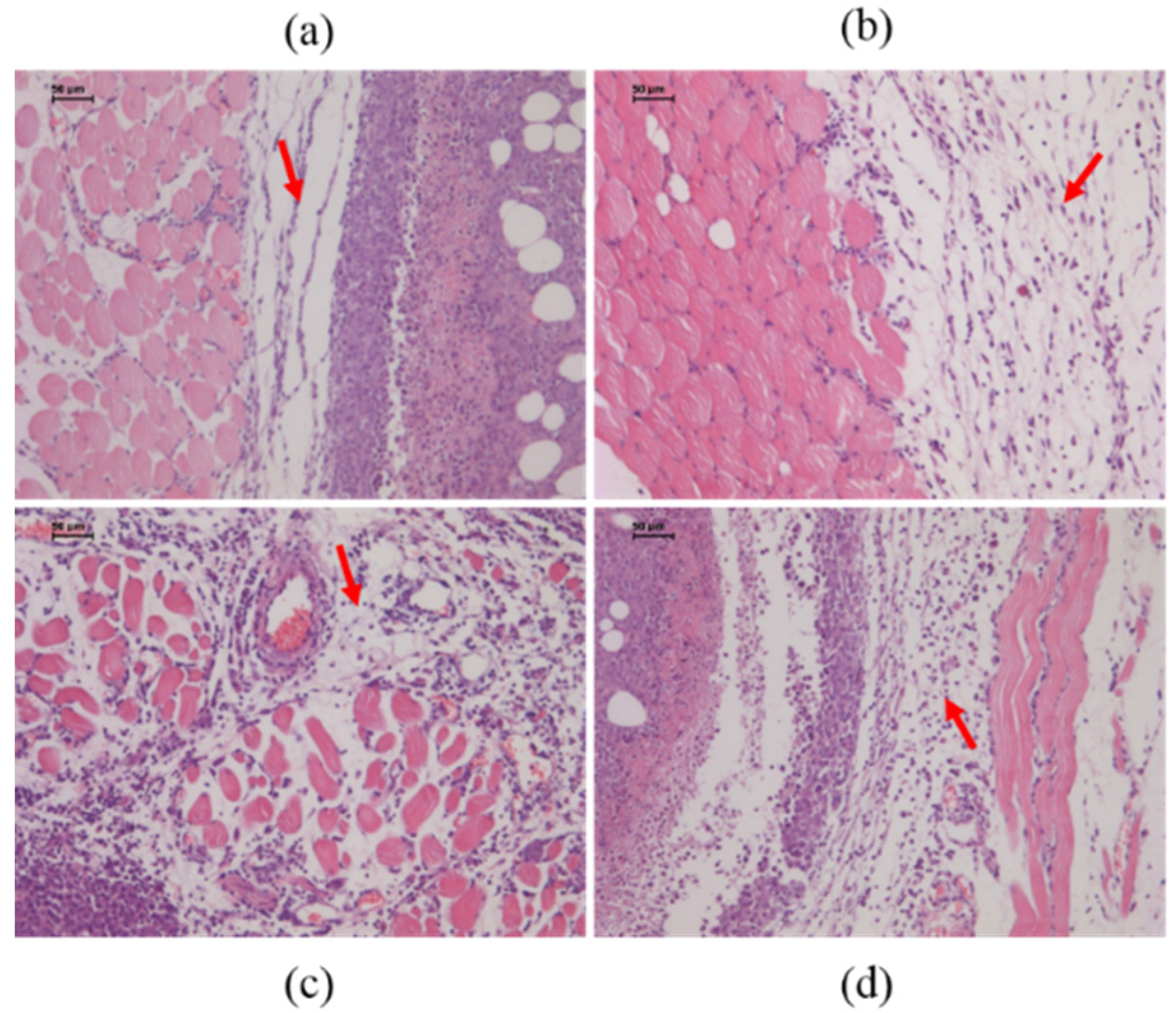
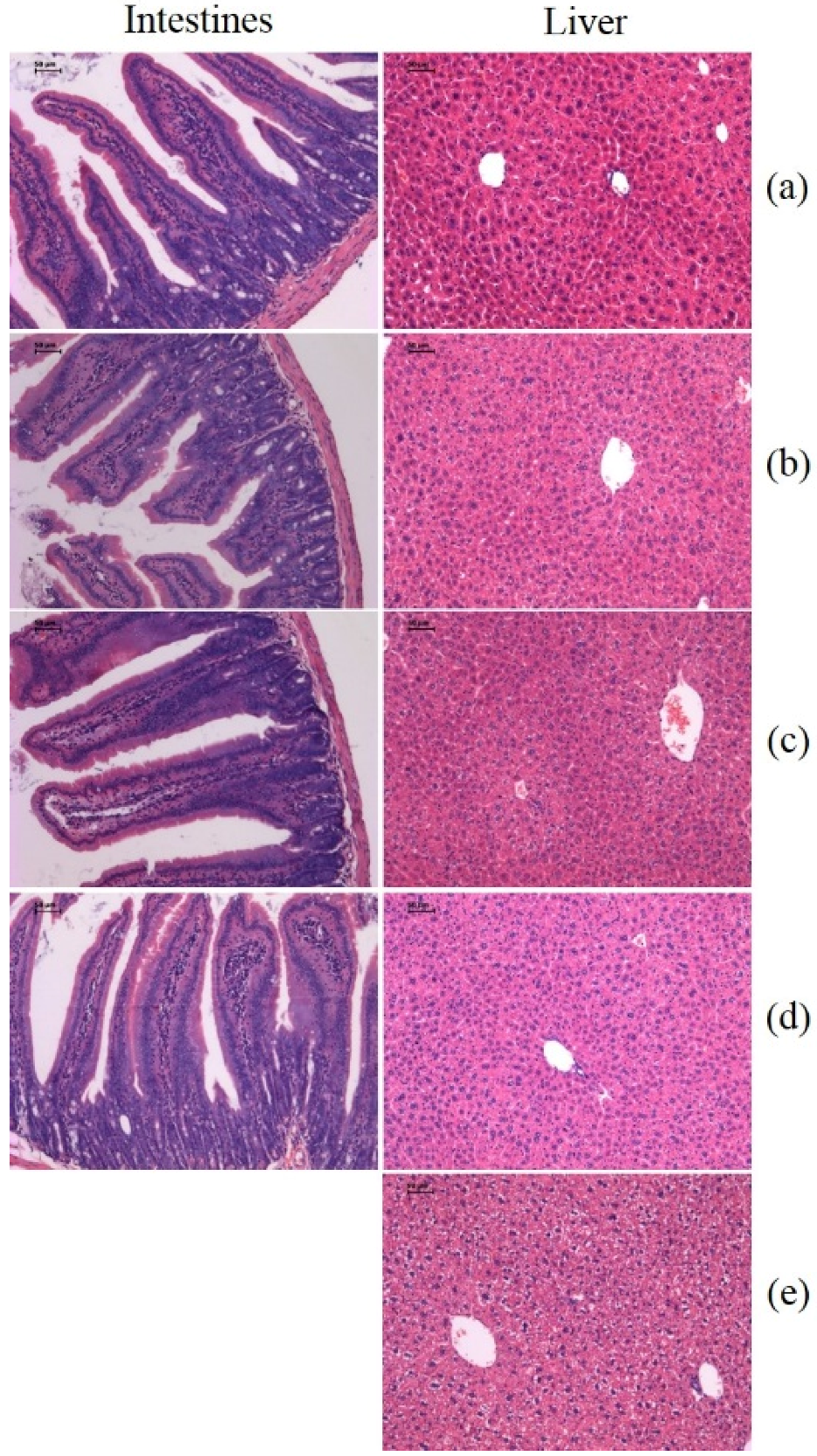
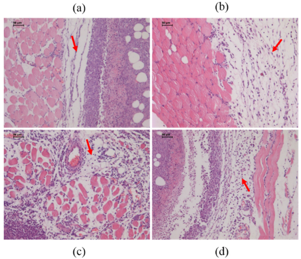
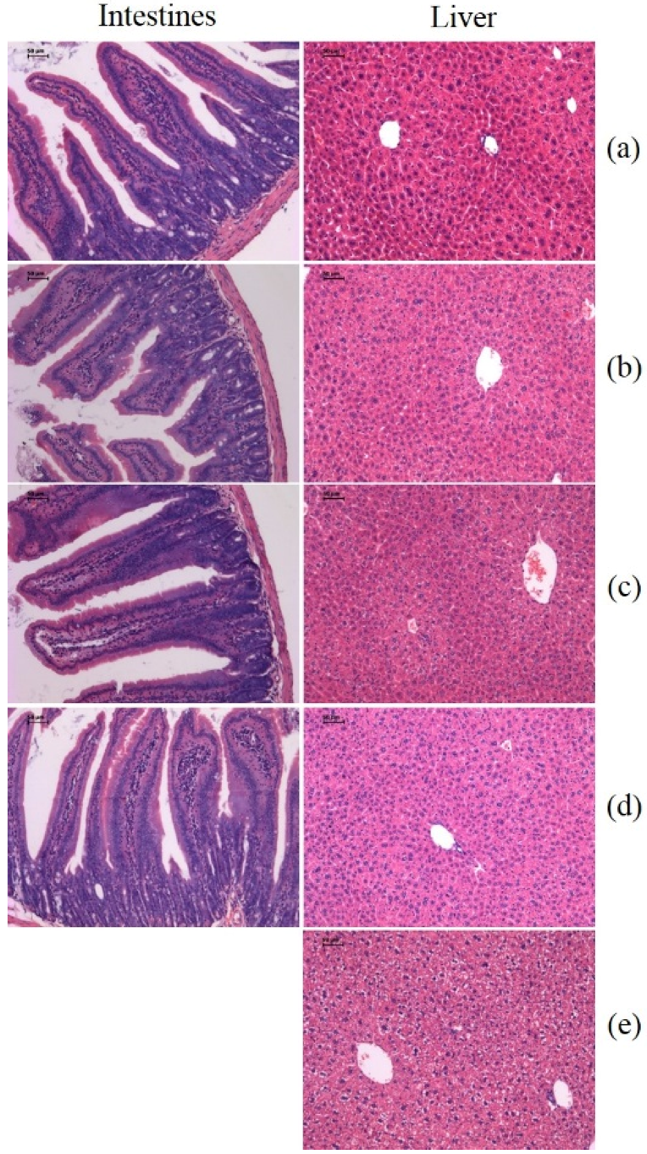
2.6. Toxicity Evaluation of SEC2-His Fed Mice
3. Discussion
4. Materials and Methods
4.1. Cell lines, Drugs, Animals, Antibodies
4.2. Transcytosis of SEC2-His
4.3. Pharmacokinetics of SEC2-His
4.4. Oral Administration of SEC2-His to Rats
4.5. Antitumor Activity in Vivo of SEC2-His
4.6. Cytokines Assay
4.7. Toxicity Evaluation of SEC2-His
4.8. Statistical Analysis
Supplementary Materials
Acknowledgments
Author Contributions
Conflicts of Interest
References
- Dinges, M.M.; Orwin, P.M.; Schlievert, P.M. Exotoxins of Staphylococcus aureus. Clin. Microbiol. Rev. 2000, 13, 16–34. [Google Scholar] [CrossRef] [PubMed]
- Dellabona, P.; Peccoud, J.; Kappler, J.; Marrack, P.; Benoist, C.; Mathis, D. Superantigens interact with MHC class II molecules outside of the antigen groove. Cell 1990, 62, 1115–1121. [Google Scholar] [CrossRef]
- Dohlsten, M.; Sundstedt, A.; Bjorklund, M.; Hedlund, G.; Kalland, T. Superantigen-induced cytokines suppress growth of human colon-carcinoma cells. Int. J. Cancer 1993, 54, 482–488. [Google Scholar] [CrossRef] [PubMed]
- Kappler, J.; Kotzin, B.; Herron, L.; Gelfand, E.W.; Bigler, R.D.; Boylston, A.; Carrel, S.; Posnett, D.N.; Choi, Y.; Marrack, P. Vβ-specific stimulation of human T cells by staphylococcal toxins. Science 1989, 244, 811–813. [Google Scholar] [CrossRef] [PubMed]
- Kalland, T.; Hedlund, G.; Dohlsten, M.; Lando, P.A. Staphylococcal enterotoxin-dependent cell-mediated cytotoxicity. Curr. Top. Microbiol. Immunol. 1991, 174, 81–92. [Google Scholar] [PubMed]
- Letertre, C.; Perelle, S.; Dilasser, F.; Fach, P. Identification of a new putative enterotoxin SEU encoded by the egc cluster of Staphylococcus aureus. J. Appl. Microbiol. 2003, 95, 38–43. [Google Scholar] [CrossRef] [PubMed]
- Chen, T.-R.; Hsiao, M.-H.; Chiou, C.-S.; Tsen, H.-Y. Development and use of PCR primers for the investigation of C1, C2 and C3 enterotoxin types of Staphylococcus aureus strains isolated from food-borne outbreaks. Int. J. Food Microbiol. 2001, 71, 63–70. [Google Scholar] [CrossRef]
- Sun, H.; Xue, Q.; Pan, Y.; Ding, D.; Chen, J.; Chen, S. Preparation and application of antibody against staphylococcal enterotoxin C2. Acta Pharm. Sin. 2008, 43, 801–805. [Google Scholar]
- Li, Y. Clinical observation of thymosin α1 combined with cisplatin and highly agglutinated staphylococcin for gastric cancer complicating with malignant ascites. China Pharm. 2014, 25, 1856–1858. [Google Scholar]
- Lu, G.; Yu, L.; Zhang, Y.; Xia, N.; Hu, W. Comparison of lentinan and highly agglutinative staphylococcin in treatment of malignant pleural effusion. Prog. Mod. Biomed. 2014, 14, 2497–2499. [Google Scholar]
- Chapaval, L.; Moon, H.; Gomes, J.E.; Duarte, F.R.; Tsai, S.M.; Nassu, R.T. Effect of temperature on production of staphylococcal enterotoxins in milk. Hig. Aliment. 2010, 24, 162–167. [Google Scholar]
- Otero, A.; Garcia, M.L.; Garcia, M.C.; Moreno, B.; Bergdoll, M.S. Production of staphylococcal enterotoxins C1 and C2 and thermonuclease throughout the growth cycle. Appl. Environ. Microbiol. 1990, 56, 555–559. [Google Scholar] [PubMed]
- Hu, D.L.; Nakane, A. Mechanisms of staphylococcal enterotoxin-induced emesis. Eur. J. Pharmacol. 2014, 722, 95–107. [Google Scholar] [CrossRef] [PubMed]
- Muheem, A.; Shakeel, F.; Jahangir, M.A.; Anwar, M.; Mallick, N.; Jain, G.K.; Warsi, M.H.; Ahmad, F.J. A review on the strategies for oral delivery of proteins and peptides and their clinical perspectives. Saud. Pharm. J. 2014. [Google Scholar] [CrossRef]
- Wang, W. Oral protein drug delivery. J. Drug Target. 1996, 4, 195–232. [Google Scholar] [CrossRef] [PubMed]
- Hamad, A.R.; Marrack, P.; Kappler, J.W. Transcytosis of staphylococcal superantigen toxins. J. Exp. Med. 1997, 185, 1447–1454. [Google Scholar] [CrossRef]
- Petersson, K.; Hakansson, M.; Nilsson, H.; Forsberg, G.; Svensson, L.A.; Liljas, A.; Walse, B. Crystal structure of a superantigen bound to MHC class II displays zinc and peptide dependence. EMBO J. 2001, 20, 3306–3312. [Google Scholar] [CrossRef] [PubMed]
- Litton, M.J.; Dohlsten, M.; Rosendahl, A.; Ohlsson, L.; Sogaard, M.; Andersson, J.; Andersson, U. The distinct role of CD4+ and CD8+ T-cells during the anti-tumour effects of targeted superantigens. Br. J. Cancer 1999, 81, 359–366. [Google Scholar] [CrossRef] [PubMed]
- Wang, X.; Xu, M.; Zhang, H.; Liu, J.; Li, X.; Zhang, C. Enhancement of superantigen activity and antitumor response of staphylococcal enterotoxin C2 by site-directed mutagenesis. Cancer Immunol. Immunother. 2009, 58, 677–686. [Google Scholar] [CrossRef] [PubMed]
- Dohlsten, M.; Hedlund, G.; Segren, S.; Lando, P.A.; Herrmann, T.; Kelly, A.P.; Kalland, T. Human major histocompatibility complex class II-negative colon carcinoma cells present staphylococcal superantigens to cytotoxic T lymphocytes: Evidence for a novel enterotoxin receptor. Eur. J. Immunol. 1991, 21, 1229–1233. [Google Scholar] [CrossRef] [PubMed]
- Herrmann, T.; Romero, P.; Sartoris, S.; Paiola, F.; Accolla, R.S.; Maryanski, J.L.; MacDonald, H.R. Staphylococcal enterotoxin-dependent lysis of MHC class II negative target cells by cytolytic T lymphocytes. J. Immunol. 1991, 146, 2504–2512. [Google Scholar] [PubMed]
- Avery, A.C.; Markowitz, J.S.; Grusby, M.J.; Glimcher, L.H.; Cantor, H. Activation of T cells by superantigen in class II-negative mice. J. Immunol. 1994, 153, 4853–4861. [Google Scholar] [PubMed]
- Hedlund, G.; Dohlsten, M.; Petersson, C.; Kalland, T. Superantigen-based tumor therapy: In vivo activation of cytotoxic T cells. Cancer Immunol. Immunother. 1993, 36, 89–93. [Google Scholar] [CrossRef] [PubMed]
- Perabo, F.G.; Willert, P.L.; Wirger, A.; Schmidt, D.H.; Wardelmann, E.; Sitzia, M.; von Ruecker, A.; Mueller, S.C. Preclinical evaluation of superantigen (staphylococcal enterotoxin B) in the intravesical immunotherapy of superficial bladder cancer. Int. J. Cancer 2005, 115, 591–598. [Google Scholar] [CrossRef] [PubMed]
- Baker, M.D.; Acharya, K.R. Superantigens: Structure-function relationships. Int. J. Med. Microbiol. 2004, 293, 529–537. [Google Scholar] [CrossRef] [PubMed]
- Sriskandan, S.; Unnikrishnan, M.; Krausz, T.; Dewchand, H.; Van Noorden, S.; Cohen, J.; Altmann, D.M. Enhanced susceptibility to superantigen-associated streptococcal sepsis in human leukocyte antigen-DQ transgenic mice. J. Infect. Dis. 2001, 184, 166–173. [Google Scholar] [CrossRef] [PubMed]
- Nooh, M.M.; El-Gengehi, N.; Kansal, R.; David, C.S.; Kotb, M. HLA transgenic mice provide evidence for a direct and dominant role of HLA class II variation in modulating the severity of streptococcal sepsis. J. Immunol. 2007, 178, 3076–3083. [Google Scholar] [CrossRef] [PubMed]
- Xu, M.; Wang, X.; Cai, Y.; Zhang, H.; Yang, H.; Liu, C.; Zhang, C. An engineered superantigen SEC2 exhibits promising antitumor activity and low toxicity. Cancer Immunol. Immunother. 2011, 60, 705–713. [Google Scholar] [CrossRef] [PubMed]
- Ying, Y.; Li, D.; Pan, Y.; Xue, Q.; Sun, H.; Chen, S. Expression and bioactivity analysis of the His-tagged staphylococcal enterotoxin C2. Immunol. J. 2007, 23, 144–151. [Google Scholar]
- Ding, D.; Huang, P.; Sun, H.; Xue, Q.; Pan, Y.; Chen, S. Identification of protein components and quantitative immunoassay for SEC2 in staphylococcin injection. J. Pharm. Biomed. Anal. 2009, 50, 79–85. [Google Scholar] [CrossRef] [PubMed]
- Lu, L.; Qian, D.; Guo, J.; Qian, Y.; Xu, B.; Sha, M.; Duan, J. Abelmoschi Corolla non-flavonoid components altered the pharmacokinetic profile of its flavonoids in rat. J. Ethnopharmacol. 2013, 148, 804–811. [Google Scholar] [CrossRef] [PubMed]









| Pharmacokinetic Parameters | Rat 1 | Rat 2 | Rat 3 | Mean | SD |
|---|---|---|---|---|---|
| AUCinf1 (mg/L/min) | 7781.463 | 8426.116 | 8237.809 | 8148.463 | 331.484 |
| t1/22 (min) | 15.661 | 25.623 | 18.321 | 19.868 | 5.158 |
| CL3 (L/min/kg) | 0.002 | 0.001 | 0.001 | 0.001 | 0.001 |
| Groups | Weight Growth Rate | Tumor Weight | Tumor Growth Inhibition Rate |
|---|---|---|---|
| Saline | 8.675 ± 1.781 | 0.6080 ± 0.1012 | / |
| Sortase A-His (32 mg/kg) | 9.305 ± 2.491 | 0.6120 ± 0.1215 | −0.65 |
| SEC2-His (32 mg/kg) | 9.206 ± 2.594 | 0.2990 ± 0.06681 | 50.82 * |
| SEC2-His (16 mg/kg) | 9.387 ± 1.585 | 0.3360 ± 0.08415 | 44.74 * |
| SEC2-His (6.4 mg/kg) | 7.816 ± 2.068 | 0.4540 ± 0.1046 | 25.33 |
| CTX (40 mg/kg) | −0.041 ± 1.512 ** | 0 | 100 *** |
| Gene | GenBank ID | Primer (5′ to 3′) | Tm (°C) | Product Size (bp) |
|---|---|---|---|---|
| IL-2 | NM_008366.3 | GCGGCATGTTCTGGATTTGACT (forward) | 52.5 | 136 |
| CTCATCATCGAATTGGCACTCA (reverse) | ||||
| IL-4 | M25892.1 | CTCGAATGTACCAGGAGCCAT (forward) | 55.5 | 133 |
| TTGCTGTGAGGACGTTTGG (reverse) | ||||
| TNF-α | BC117057.1 | TGAGGTCAATCTGCCCAAGTA (forward) | 55.5 | 268 |
| AGGTCACTGTCCCAGCATCT (reverse) | ||||
| IFN-γ | NM_008337.3 | AACTCAAGTGGCATAGATGTGGAAG (forward) | 54.1 | 256 |
| TGTTGACCTCAAACTTGGCAATAC (reverse) | ||||
| β-actin | NM_007393.3 | AGAGGGAAATCGTGCGTGAC (forward) | 55.5 | 204 |
| CACAGGATTCCATACCCAAG (reverse) |
© 2016 by the authors; licensee MDPI, Basel, Switzerland. This article is an open access article distributed under the terms and conditions of the Creative Commons Attribution (CC-BY) license (http://creativecommons.org/licenses/by/4.0/).
Share and Cite
Zhao, W.; Li, Y.; Liu, W.; Ding, D.; Xu, Y.; Pan, L.; Chen, S. Transcytosis, Antitumor Activity and Toxicity of Staphylococcal Enterotoxin C2 as an Oral Administration Protein Drug. Toxins 2016, 8, 185. https://doi.org/10.3390/toxins8060185
Zhao W, Li Y, Liu W, Ding D, Xu Y, Pan L, Chen S. Transcytosis, Antitumor Activity and Toxicity of Staphylococcal Enterotoxin C2 as an Oral Administration Protein Drug. Toxins. 2016; 8(6):185. https://doi.org/10.3390/toxins8060185
Chicago/Turabian StyleZhao, Wenbin, Yangyang Li, Wenhui Liu, Ding Ding, Yingchun Xu, Liqiang Pan, and Shuqing Chen. 2016. "Transcytosis, Antitumor Activity and Toxicity of Staphylococcal Enterotoxin C2 as an Oral Administration Protein Drug" Toxins 8, no. 6: 185. https://doi.org/10.3390/toxins8060185
APA StyleZhao, W., Li, Y., Liu, W., Ding, D., Xu, Y., Pan, L., & Chen, S. (2016). Transcytosis, Antitumor Activity and Toxicity of Staphylococcal Enterotoxin C2 as an Oral Administration Protein Drug. Toxins, 8(6), 185. https://doi.org/10.3390/toxins8060185

