DNA Aptamers against Taiwan Banded Krait α-Bungarotoxin Recognize Taiwan Cobra Cardiotoxins
Abstract
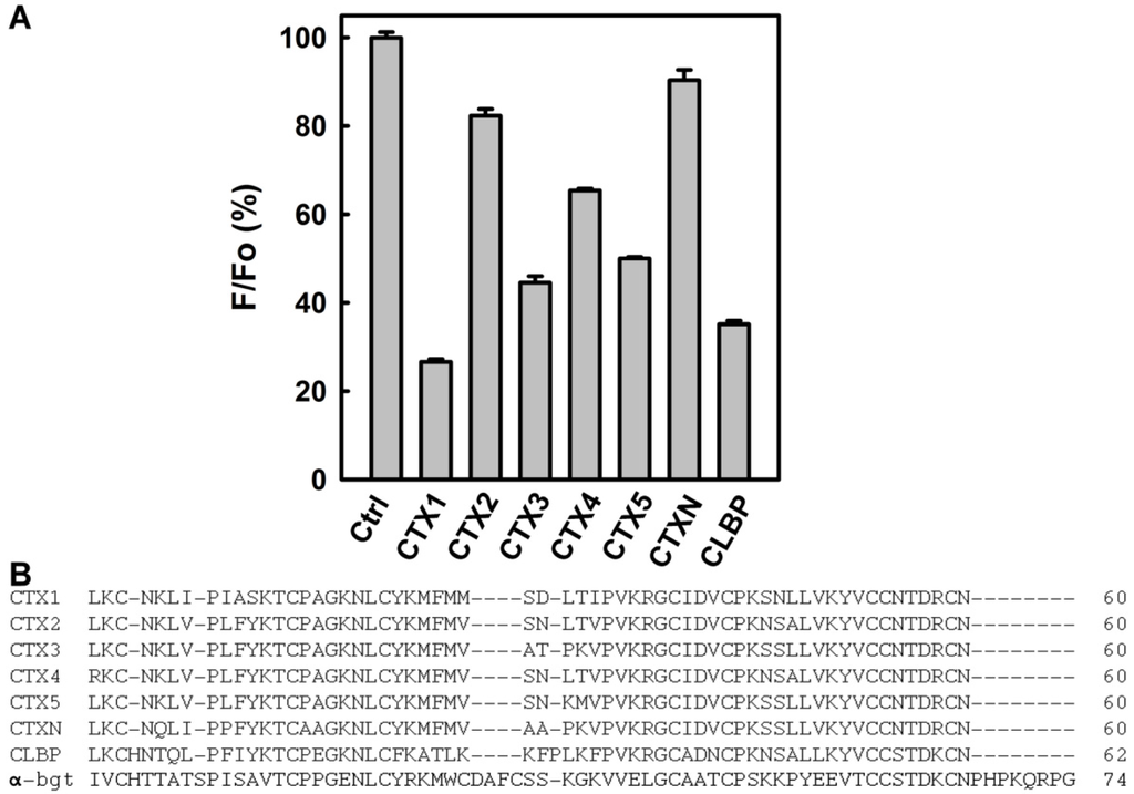
:1. Introduction
2. Results and Discussion
3. Materials and Methods
3.1. Electrophoretic Mobility Shift Assay
3.2. Fluorescence Measurement of the Binding of CTXs and α-Bgt with Apatmers
3.3. Release of Entrapped Fluorescent Marker from Liposomes
3.4. Cell Viability Assay
3.5. Statistical Analysis
Acknowledgments
Author Contributions
Conflicts of Interest
Abbreviations
| α-Bgt | α-Bungarotoxin |
| CTX | Cardiotoxin |
| CLBP | Cardiotoxin-like protein |
| DMPA | Dimyristoyl phosphatidic acid |
| DABCYL | 4-([4-(dimethylamino)phenyl]azo)-benzoic acid |
| EYPC | Egg yolk phosphatidylcholine |
| FAM | Carboxyfluorescein |
References
- Keefe, A.D.; Pai, S.; Ellington, A. Aptamers as therapeutics. Nat. Rev. Drug Discov. 2010, 9, 537–550. [Google Scholar] [CrossRef] [PubMed]
- Song, K.M.; Lee, S.; Ban, C. Aptamers and their biological applications. Sensors 2012, 12, 612–631. [Google Scholar] [CrossRef] [PubMed]
- Alvarenga, L.M.; Zahid, M.; di Tommaso, A.; Juste, M.O.; Aubrey, N.; Billiald, P.; Muzard, J. Engineering venom’s toxin-neutralizing antibody fragments and its therapeutic potential. Toxins 2014, 6, 2541–2567. [Google Scholar] [CrossRef] [PubMed]
- Morais, V.M.; Massaldi, H. Snake antivenoms: Adverse reactions and production technology. J. Venom. Anim. Toxins Incl. Trop. Dis. 2009, 15, 2–18. [Google Scholar] [CrossRef]
- Dart, R.C.; McNally, J. Efficacy, safety, and use of snake antivenoms in the United States. Ann. Emerg. Med. 2001, 37, 181–188. [Google Scholar] [CrossRef] [PubMed]
- Lauridsen, L.H.; Shamaileh, H.A.; Edwards, S.L.; Taran, E.; Veedu, R.N. Rapid one-step selection method for generating nucleic acid aptamers: Development of a DNA aptamer against α-bungarotoxin. PLoS ONE 2012, 7, e41702. [Google Scholar] [CrossRef] [PubMed]
- Ye, F.; Zheng, Y.; Wang, X.; Tan, X.; Zhang, T.; Xin, W.; Wang, J.; Huang, Y.; Fan, Q.; Wang, J. Recognition of Bungarus multicinctus venom by a DNA aptamer against β-bungarotoxin. PLoS ONE 2014, 9, e105404. [Google Scholar] [CrossRef] [PubMed]
- Love, R.A.; Stroud, R.M. The crystal structure of α-bungarotoxin at 2.5 Å resolution: Relation to solution structure and binding to acetylcholine receptor. Protein Eng. 1986, 1, 37–46. [Google Scholar] [CrossRef] [PubMed]
- Tsetlin, V. Snake venom alpha-neurotoxins and other “three-finger” proteins. Eur. J. Biochem. 1999, 264, 281–286. [Google Scholar] [CrossRef] [PubMed]
- Yang, C.C.; Chang, L.S. Biochemistry and molecular biology of snake neurotoxin. J. Chin. Chem. Soc. 1999, 46, 319–332. [Google Scholar] [CrossRef]
- Jayaraman, G.; Kumar, T.K.; Tsai, C.C.; Srisailam, S.; Chou, S.H.; Ho, C.L.; Yu, C. Elucidation of the solution structure of cardiotoxin analogue V from the Taiwan cobra (Naja naja atra), identification of structural features important for the lethal action of snake venom cardiotoxins. Protein Sci. 2000, 9, 637–646. [Google Scholar] [CrossRef] [PubMed]
- Kini, R.M.; Doley, R. Structure, function and evolution of three-finger toxins: Mini proteins with multiple targets. Toxicon 2010, 56, 855–867. [Google Scholar] [CrossRef] [PubMed]
- Chang, L.S. Genetic diversity in snake venom three-finger proteins and phospholipase A2 enzymes. Toxins Rev. 2007, 26, 143–167. [Google Scholar] [CrossRef]
- Chang, L.S.; Lin, S.K.; Huang, H.B.; Hsiao, M. Genetic organization of α-bungarotoxins from Bungarus multicinctus (Taiwan banded krait): Evidence showing that the production of α-bungarotoxin isotoxins is not derived from edited mRNAs. Nucleic Acids Res. 1999, 27, 3970–3975. [Google Scholar] [CrossRef] [PubMed]
- Hoinka, J.; Zotenko, E.; Friedman, A.; Sauna, Z.E.; Przytycka, T.M. Identification of sequence-structure RNA binding motifs for SELEX-derived aptamers. Bioinformatics 2012, 28, i215–i223. [Google Scholar] [CrossRef] [PubMed]
- Marc, D.; Barbachou, S.; Soubieux, D. The RNA-binding domain of influenza virus non-structural protein-1 cooperatively binds to virus-specific RNA sequences in a structure-dependent manner. Nucleic Acids Res. 2013, 41, 434–449. [Google Scholar] [CrossRef] [PubMed]
- White, R.; Rusconi, C.; Scardino, E.; Wolberg, A.; Lawson, J.; Hoffman, M.; Sullenger, B. Generation of species cross-reactive aptamers using “toggle” SELEX. Mol. Ther. 2001, 4, 567–573. [Google Scholar] [CrossRef] [PubMed]
- Levay, A.; Brenneman, R.; Hoinka, J.; Sant, D.; Cardone, M.; Trinchieri, G.; Przytycka, T.M.; Berezhnoy, A. Identifying high-affinity aptamer ligands with defined cross-reactivity using high-throughput guided systematic evolution of ligands by exponential enrichment. Nucleic Acids Res. 2015, 43, e82. [Google Scholar] [CrossRef] [PubMed]
- Ogasawara, D.; Hachiya, N.S.; Kaneko, K.; Sode, K.; Ikebukuro, K. Detection system based on the conformational change in an aptamer and its application to simple bound/free separation. Biosens. Bioelectron. 2009, 24, 1372–1376. [Google Scholar] [CrossRef] [PubMed]
- Neumann, O.; Zhang, D.; Tam, F.; Lal, S.; Wittung-Stafshede, P.; Halas, N.J. Direct optical detection of aptamer conformational changes induced by target molecules. Anal. Chem. 2009, 81, 10002–10006. [Google Scholar] [CrossRef] [PubMed]
- Fan, X.; Lin, F.; Zhang, Y.; Zhao, J.; Li, H.; Yao, S. A simple adenosine fluorescent aptasensor based on the quenching ability of guanine. New J. Chem. 2012, 36, 2260–2265. [Google Scholar] [CrossRef]
- Sun, Y.J.; Wu, W.G.; Chiang, C.M.; Hsin, A.Y.; Hsiao, C.D. Crystal structure of cardiotoxin V from Taiwan cobra venom: pH-dependent conformational change and a novel membrane-binding motif identified in the three-finger loops of P-type cardiotoxin. Biochemistry 1997, 36, 2403–2413. [Google Scholar] [CrossRef] [PubMed]
- Chen, T.S.; Chung, F.Y.; Tjong, S.C.; Goh, K.S.; Huang, W.N.; Chien, K.Y.; Wu, P.L.; Lin, H.C.; Chen, C.J.; Wu, W.G. Structural difference between group I and group II cobra cardiotoxins: X-ray, NMR, and CD analysis of the effect of cis-proline conformation on three-fingered toxins. Biochemistry 2005, 44, 7414–7426. [Google Scholar] [CrossRef] [PubMed]
- Kumar, T.K.; Lee, C.S.; Yu, C. A case study of cardiotoxin III from the Taiwan cobra (Naja naja atra). Solution structure and other physical properties. Adv. Exp. Med. Biol. 1996, 391, 115–129. [Google Scholar] [PubMed]
- Liu, K.K.; Chen, M.F.; Chen, P.Y.; Lee, T.J.; Cheng, C.L.; Chang, C.C.; Ho, Y.P.; Chao, J.I. α-Bungarotoxin binding to target cell in a developing visual system by carboxylated nanodiamond. Nanotechnology 2008, 19, 205102. [Google Scholar] [CrossRef] [PubMed]
- Gatineau, E.; Toma, F.; Montenay-Garestier, T.; Takechi, M.; Fromageot, P.; Menez, A. Role of tyrosine and tryptophan residues in the structure-activity relationships of a cardiotoxin from Naja nigricollis venom. Biochemisrty 1987, 26, 8046–8055. [Google Scholar] [CrossRef]
- Gatineau, E.; Takechi, M.; Bouet, F.; Mansuelle, P.; Rochat, H.; Harvey, A. L.; Montenay-Garestier, T.; Menez, A. Delineation of the functional site of a snake venom cardiotoxin: Preparation, structure, and function of monoacetylated derivatives. Biochemistry 1990, 29, 6480–6489. [Google Scholar] [CrossRef] [PubMed]
- Stevens-Truss, R.; Hinman, C.L. Chemical modification of methionines in a cobra venom cytotoxin differentiates between lytic and binding domains. Toxicol. Appl. Pharmacol. 1996, 139, 234–242. [Google Scholar] [CrossRef] [PubMed]
- Stevens-Truss, R.; Hinman, C. L. Activities of cobra venom cytotoxins toward heart and leukemic T-cells depend on localized amino acid differences. Toxicon 1997, 35, 659–669. [Google Scholar] [CrossRef]
- Ma, D.; Armugam, A.; Jeyaseelan, K. Cytotoxic potency of cardiotoxin from Naja sputatrix: Development of a new cytolytic assay. Biochem. J. 2002, 366, 35–43. [Google Scholar] [CrossRef] [PubMed]
- Bini, A.; Mascini, M.; Mascini, M.; Turner, A.P. Selection of thrombin-binding aptamers by using computational approach for aptasensor application. Biosens. Bioelectron. 2011, 26, 4411–4416. [Google Scholar] [CrossRef] [PubMed]
- Ahmad, K.M.; Xiao, Y.; Soh, H.T. Selection is more intelligent than design: Improving the affinity of a bivalent ligand through directed evolution. Nucleic Acids Res. 2012, 40, 11777–11783. [Google Scholar] [CrossRef] [PubMed]
- Lin, S.R.; Chang, L.S.; Chang, K.L. Separation and structure-function studies of Taiwan cobra cardiotoxins. J. Protein Chem. 2002, 21, 81–86. [Google Scholar] [CrossRef] [PubMed]






| Aptamer 1 | CTX3 Kd (μM) | α-Bgt Kd (μM) |
|---|---|---|
| bgt1 | 2.25 | 2.21 |
| bgt2 | 0.26 | 0.46 |
| bgt3 | 1.26 | 0.14 |
| bgt4 | 1.17 | 0.28 |
© 2016 by the authors; licensee MDPI, Basel, Switzerland. This article is an open access article distributed under the terms and conditions of the Creative Commons by Attribution (CC-BY) license (http://creativecommons.org/licenses/by/4.0/).
Share and Cite
Chen, Y.-J.; Tsai, C.-Y.; Hu, W.-P.; Chang, L.-S. DNA Aptamers against Taiwan Banded Krait α-Bungarotoxin Recognize Taiwan Cobra Cardiotoxins. Toxins 2016, 8, 66. https://doi.org/10.3390/toxins8030066
Chen Y-J, Tsai C-Y, Hu W-P, Chang L-S. DNA Aptamers against Taiwan Banded Krait α-Bungarotoxin Recognize Taiwan Cobra Cardiotoxins. Toxins. 2016; 8(3):66. https://doi.org/10.3390/toxins8030066
Chicago/Turabian StyleChen, Ying-Jung, Chia-Yu Tsai, Wan-Ping Hu, and Long-Sen Chang. 2016. "DNA Aptamers against Taiwan Banded Krait α-Bungarotoxin Recognize Taiwan Cobra Cardiotoxins" Toxins 8, no. 3: 66. https://doi.org/10.3390/toxins8030066
APA StyleChen, Y.-J., Tsai, C.-Y., Hu, W.-P., & Chang, L.-S. (2016). DNA Aptamers against Taiwan Banded Krait α-Bungarotoxin Recognize Taiwan Cobra Cardiotoxins. Toxins, 8(3), 66. https://doi.org/10.3390/toxins8030066
