Cardiotoxic Effects of Lachesis acrochorda Snake Venom in Anesthetized Wistar Rats
Abstract
1. Introduction
2. Results
2.1. Electrocardiographic Analysis
2.2. Analysis of Cardiac Enzymes CK and CK-MB
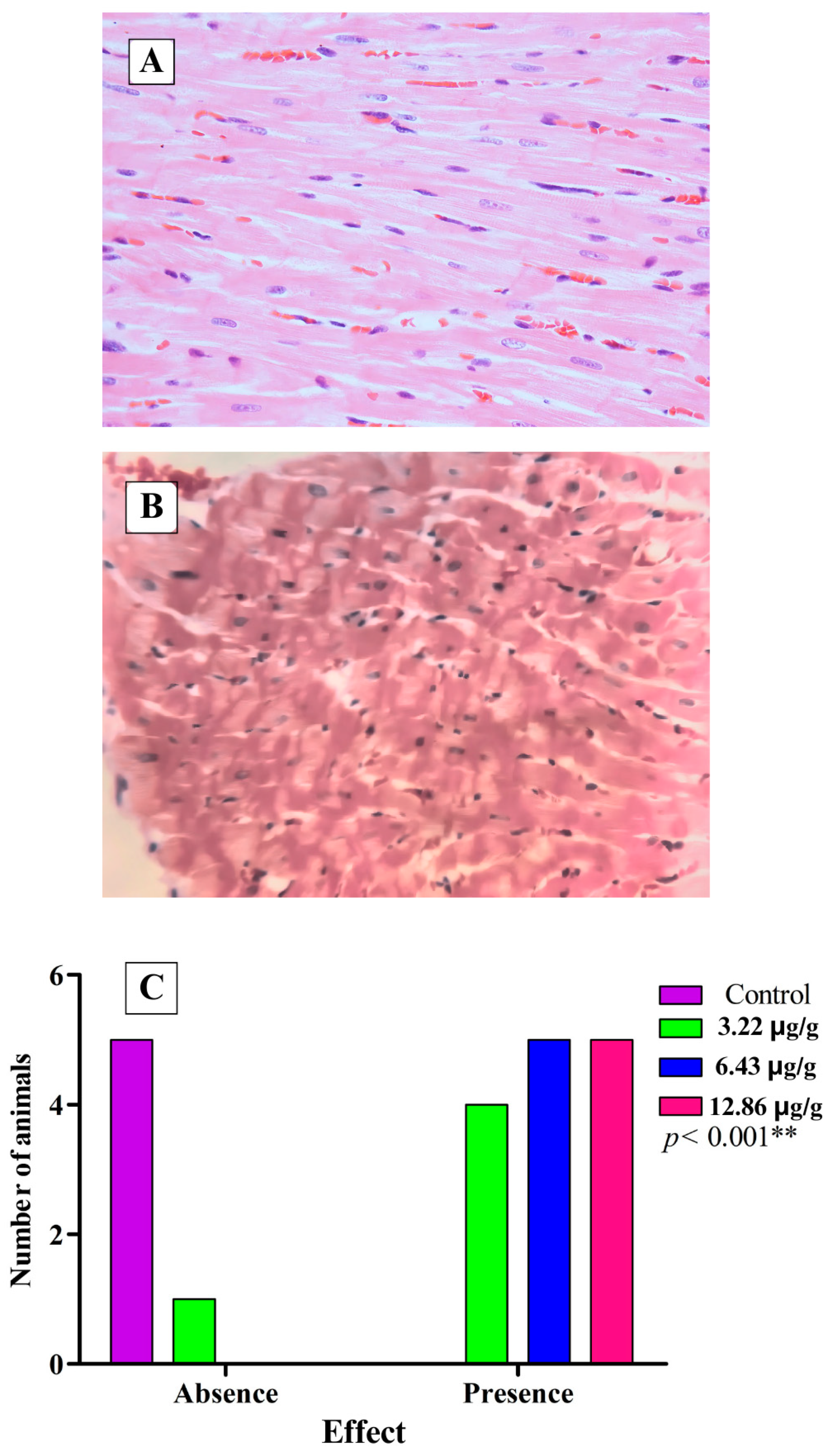
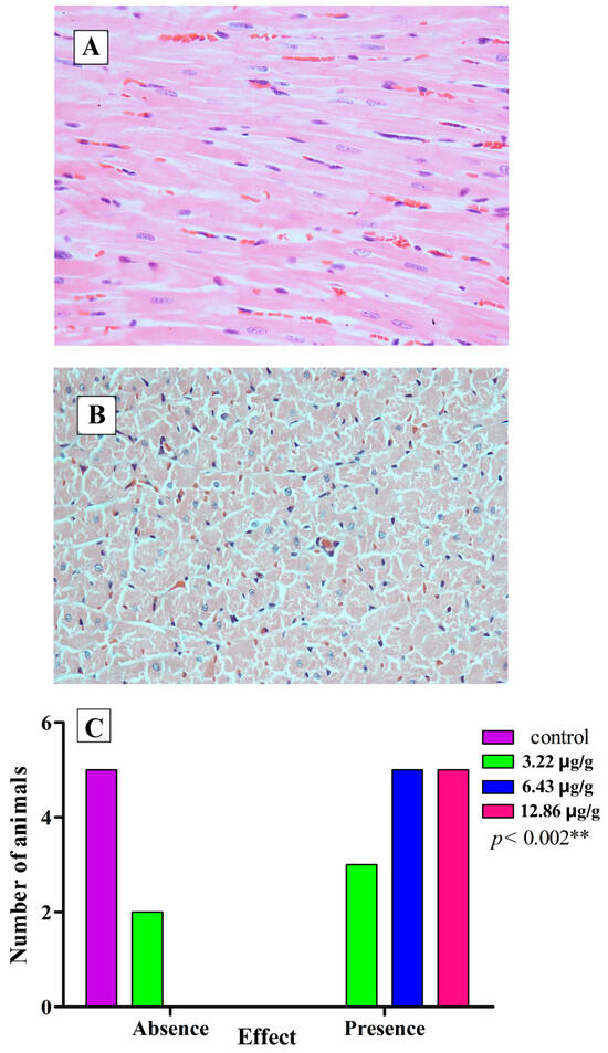
2.3. Histopathological Analysis
3. Discussion
4. Conclusions
5. Materials and Methods
5.1. Obtaining the Venom
5.2. Experimental Animals
5.3. Electrocardiographic Recordings
5.4. Determination of Levels of Cardiac Enzymes CK and CK-MB
5.5. Histological Analysis
5.6. Statistical Analysis
Author Contributions
Funding
Institutional Review Board Statement
Informed Consent Statement
Data Availability Statement
Acknowledgments
Conflicts of Interest
References
- Gutiérrez, J.M.; Williams, D.; Fan, H.W.; Warrell, D.A. Snakebite Envenoming from a Global Perspective: Towards an Integrated Approach. Toxicon 2010, 56, 1223–1235. [Google Scholar] [CrossRef] [PubMed]
- Sevilla-Sánchez, M.J.; Ayerbe-González, S.; Bolaños-Bolaños, E. Aspectos Biomédicos y Epidemiológicos Del Accidente Ofídico En El Departamento Del Cauca, Colombia, 2009–2018. Biomédica 2021, 41, 314–337. [Google Scholar] [CrossRef] [PubMed]
- Angel-Camilo, K.L.; Guerrero-Vargas, J.A.; Carvalho, E.F.d.; Lima-Silva, K.; de Siqueira, R.J.B.; Freitas, L.B.N.; de Sousa, J.A.C.; Mota, M.R.L.; dos Santos, A.A.; da C. Neves-Ferreira, A.G.; et al. Disorders on Cardiovascular Parameters in Rats and in Human Blood Cells Caused by Lachesis Acrochorda Snake Venom. Toxicon 2020, 184, 180–191. [Google Scholar] [CrossRef] [PubMed]
- Jorge, M.T.; Sano-Martins, I.S.; Tomy, S.C.; Castro, S.C.B.; Ferrari, R.A.; Adriano Ribeiro, L.; Warrell, D.A. Snakebite by the Bushmaster (Lachesis muta) in Brazil: Case Report and Review of the Literature. Toxicon 1997, 35, 545–554. [Google Scholar] [CrossRef] [PubMed]
- Cardoso, J.L.C.; França, F.O.S.; Wen, F.H.; Málaque, C.M.S.; Haddad, V., Jr. Animais Peçonhentos No Brasil: Biologia, Clínica e Terapêutica Dos Acidentes. Rev. Inst. Med. Trop. Sao Paulo 2003, 45, S87. [Google Scholar] [CrossRef]
- de Oliveira Pardal, P.P.; Souza, S.M.; da Costa Monteiro, M.R.D.C.; Fan, H.W.; Cardoso, J.L.C.; França, F.O.S.; Tomy, S.C.; Sano-Martins, I.S.; de Sousa-e-Silva, M.C.C.; Colombini, M.; et al. Clinical Trial of Two Antivenoms for the Treatment of Bothrops and Lachesis Bites in the North Eastern Amazon Region of Brazil. Trans. R. Soc. Trop. Med. Hyg. 2004, 98, 28–42. [Google Scholar] [CrossRef]
- Montoya-Gómez, A.; Osorno-Valencia, D.; Gómez-Díaz, M.; Bolívar-García, W.; Jiménez-Charris, E. Proteomic and Functional Analyses of Lachesis Acrochorda Snake Venom from the Valle Del Cauca Department of Colombia. Acta Trop. 2023, 241, 106895. [Google Scholar] [CrossRef]
- Ayerbe-González, S. Serpientes, Accidentes y Soluciones; E-libro: Popayán, Colombia, 2021; Available online: https://es.scribd.com/document/719164750/Serpientes-accidentes-y-soluciones-Ayerbe-S-j91zpc (accessed on 1 June 2024).
- Xiao-Yan, D.C.K.J. Reptile C-Type Lectins. In Handbook of Venoms and Toxins of Reptiles; Mackessy, S.P., Ed.; CRC Press: Boca Raton, FL, USA; Taylor & Francis Group: Boca Raton, FL, USA, 2010; pp. 359–375. [Google Scholar]
- Dhananjaya, B.L.; Vishwanath, B.S.; D’Souza, C.J. Snake Venom Nucleases, Nucleotidases and Phosphomonoesterases. In Handbook of Venoms and Toxins of Reptiles; CRC Press: Boca Raton, FL, USA; Taylor & Francis Group: Boca Raton, FL, USA, 2010; pp. 155–171. [Google Scholar]
- Phillips, D.J.; Swenson, S.D.; Markland, F.S. Thrombin-Like Snake Venom Serine Proteinases. In Handbook of Venoms and Toxins of Reptiles; CRC Press: Boca Raton, FL, USA, 2010; pp. 139–154. ISBN 9780429186394. [Google Scholar]
- Madrigal, M.; Sanz, L.; Flores-Díaz, M.; Sasa, M.; Núñez, V.; Alape-Girón, A.; Calvete, J.J. Snake Venomics across Genus Lachesis. Ontogenetic Changes in the Venom Composition of Lachesis Stenophrys and Comparative Proteomics of the Venoms of Adult Lachesis Melanocephala and Lachesis Acrochorda. J. Proteom. 2012, 77, 280–297. [Google Scholar] [CrossRef]
- Campbell, J.A.; Lamar, W.W. The Venomous Reptiles of the Western Hemisphere; Comstock Publishing Associates: Ithaca, NY, USA; London, UK, 2004. [Google Scholar]
- Cañas, C.A.; Castaño-Valencia, S.; Castro-Herrera, F. The Colombian Bushmasters Lachesis Acrochorda (García, 1896) and Lachesis Muta (Linnaeus, 1766): Snake Species, Venoms, Envenomation, and Its Management. Toxicon 2023, 230, 107152. [Google Scholar] [CrossRef]
- Ayerbe-González, S.; Latorre-Ledezma, J. Manual Para La Prevención y Mejoramiento de La Atención de Paciente Con Accidente Ofídico; Gobernación del Departamento del Cauca, Secretaría Departamental de Salud: Popayán, Colombia, 2010. [Google Scholar]
- Granados-Zúñiga, J.; Aragón-Ortíz, F. Cardiovascular Alterations Induced by the Venom of Lachesis Muta (Serpentes: Viperidae) and Its Fibrinogenolitic Enzyme. Rev. Biol. Trop. 1998, 46, 1149–1157. [Google Scholar]
- Instituto Nacional de Salud, Ministerio de Salud y Proteccion Social. Protocolo de Vigilancia del Accidente Ofídico versión 4. 2022. Available online: https://www.ins.gov.co/buscador-eventos/Lineamientos/Pro_Accidente%20Ofídico.pdf (accessed on 1 June 2024).
- Otero-Patiño, R. Epidemiología, Clínica y Terapéutica Del Envenenamiento Ofídico En Colombia. In Emergencias por Animales Ponzoñosos en Las Américas; D’Suze, G., Corzo-Burgete, G.A., Paniagua-Solis, J.F., Eds.; Instituto Bioclón: Mexico City, Mexico, 2011; p. 537. ISBN 9786077987000. [Google Scholar]
- Lopez, J.H. Introducción. In La Alegría de Leer el Electrocardiograma; Editorial Medica CELSUS: Bogotá, Colombia, 2012; p. 194. ISBN 978-958-9327-44-9. [Google Scholar]
- Hernández, M.; Finol, H.; López, J.; Fernández, I.; Scannone, H.; Rodríguez-Acosta, A. Alteraciones ultraestructurales de tejido cardiaco tratado con veneno crudo de serpiente cascabel (Crotalus durissus cumanensis). Rev. Fac. Med. 2005, 28, 12–16. [Google Scholar]
- Goldberger, A. A Simplified Approach. In Clinical Electrocardiography, 7th ed.; Mosby Elsevier: Philadelphia, PA, USA, 2006. [Google Scholar]
- Levine, H.D.; Wanzer, S.H.; Merrill, J.P. Dialyzable Currents of Injury in Potassium Intoxication Resembling Acute Myocardial Infarction or Pericarditis. Circulation 1956, 13, 29–36. [Google Scholar] [CrossRef]
- Sims, D.B.; Sperling, L.S. ST-Segment Elevation Resulting from Hyperkalemia. Circulation 2005, 111, e295–e296. [Google Scholar] [CrossRef]
- Coppola, G.; Carità, P.; Corrado, E.; Borrelli, A.; Rotolo, A.; Guglielmo, M.; Nugara, C.; Ajello, L.; Santomauro, M.; Novo, S. ST Segment Elevations: Always a Marker of Acute Myocardial Infarction? Indian. Heart J. 2013, 65, 412–423. [Google Scholar] [CrossRef]
- Idilbi, N.; Zbidat, M. Hyperkalaemia Mimics Pseudostemi Infarct Pattern. BMJ Case Rep. 2022, 15, e247444. [Google Scholar] [CrossRef]
- Peerbhai, S.; Masha, L.; DaSilva-DeAbreu, A.; Dhoble, A. Hyperkalemia Masked by Pseudo-Stemi Infarct Pattern and Cardiac Arrest. Int. J. Emerg. Med. 2017, 10, 3. [Google Scholar] [CrossRef]
- Quintero, J.; Medina, C.; Penagos, F.; Montesdeoca, J.; Orozco, G.; Saavedra-Castrillón, J.; Diez-Sepulveda, J. Electrocardiographic Abnormalities in Patients with Hyperkalemia: A Retrospective Study in an Emergency Department in Colombia. Open Access Emerg. Med. 2024, 16, 133–144. [Google Scholar] [CrossRef]
- Salazar, L.; Palacio, A.C.; Rodríguez, J.R. Mecanismos de Cardiotoxicidad: Antineoplásicos, Anti-Inflamatorios No Esteroideos, Antipsicóticos, Cocaetileno y Simpaticomiméticos. Rev. Colomb. Cardiol. 2011, 8, 11. [Google Scholar] [CrossRef][Green Version]
- Yamashita, K.M.; Alves, A.F.; Barbaro, K.C.; Santoro, M.L. Bothrops Jararaca Venom Metalloproteinases Are Essential for Coagulopathy and Increase Plasma Tissue Factor Levels during Envenomation. PLoS Negl. Trop. Dis. 2014, 8, e2814. [Google Scholar] [CrossRef]
- Rosa, J.G.; Albuquerque, C.Z.d; Mattaraiab, V.G.d.M.; Santoro, M.L. Comparative Study of Platelet Aggregation and Secretion Induced by Bothrops Jararaca Snake Venom and Thrombin. Toxicon 2019, 159, 50–60. [Google Scholar] [CrossRef]
- Santaló Bel, M.; Guindo Soldevila, J.; Ordóñez Llanos, J. Marcadores Biológicos de Necrosis Miocárdica. Rev. Esp. Cardiol. 2003, 56, 703–720. [Google Scholar] [CrossRef]
- Dias, L.; Rodrigues, M.A.P.; Rennó, A.L.; Stroka, A.; Inoue, B.R.; Panunto, P.C.; Melgarejo, A.R.; Hyslop, S. Hemodynamic Responses to Lachesis Muta (South American Bushmaster) Snake Venom in Anesthetized Rats. Toxicon 2016, 123, 1–14. [Google Scholar] [CrossRef] [PubMed]
- Sanclemente-Paz, E. Lesiones Renales Por Toxinas Animales, Algunas Enfermedades Infeccciosas y Parasitarias En El Trópico. Influencia Del Cambio Climático, 1st ed.; Gráficas Santa María: Santiago de Cali, Colombia, 2010. [Google Scholar]
- Baldo, C.; Jamora, C.; Yamanouye, N.; Zorn, T.M.; Moura-da-Silva, A.M. Mechanisms of Vascular Damage by Hemorrhagic Snake Venom Metalloproteinases: Tissue Distribution and In Situ Hydrolysis. PLoS Negl. Trop. Dis. 2010, 4, e727. [Google Scholar] [CrossRef] [PubMed]
- Kumar, V.; Cotran, R.S.; Robbins, S.L. Patología Humana; Elsevier Health Sciences: Amsterdam, The Netherlands, 2008. [Google Scholar]
- Mora-Obando, D.; Pla, D.; Lomonte, B.; Guerrero-Vargas, J.A.; Ayerbe, S.; Calvete, J.J. Antivenomics and in Vivo Preclinical Efficacy of Six Latin American Antivenoms towards South-Western Colombian Bothrops Asper Lineage Venoms. PLoS Negl. Trop. Dis. 2021, 15, e0009073. [Google Scholar] [CrossRef] [PubMed]
- Lomonte, B.; Tsai, W.-C.; Ureña-Diaz, J.M.; Sanz, L.; Mora-Obando, D.; Sánchez, E.E.; Fry, B.G.; Gutiérrez, J.M.; Gibbs, H.L.; Sovic, M.G.; et al. Venomics of New World Pit Vipers: Genus-Wide Comparisons of Venom Proteomes across Agkistrodon. J. Proteom. 2014, 96, 103–116. [Google Scholar] [CrossRef]
- Mora-Obando, D.; Salazar-Valenzuela, D.; Pla, D.; Lomonte, B.; Guerrero-Vargas, J.A.; Ayerbe, S.; Gibbs, H.L.; Calvete, J.J. Venom Variation in Bothrops Asper Lineages from North-Western South America. J. Proteom. 2020, 229, 103945. [Google Scholar] [CrossRef]
- Rengifo-Rios, A.M.; Muñoz-Gómez, L.M.; Cabezas-Fajardo, F.A.; Guerrero-Vargas, J.A. Edematic and Coagulant Effects Caused by the Venom of Bothrops Rhombeatus Neutralized by the Ethanolic Extract of Piper Auritum. J. Ethnopharmacol. 2019, 242, 112046. [Google Scholar] [CrossRef] [PubMed]








Disclaimer/Publisher’s Note: The statements, opinions and data contained in all publications are solely those of the individual author(s) and contributor(s) and not of MDPI and/or the editor(s). MDPI and/or the editor(s) disclaim responsibility for any injury to people or property resulting from any ideas, methods, instructions or products referred to in the content. |
© 2024 by the authors. Licensee MDPI, Basel, Switzerland. This article is an open access article distributed under the terms and conditions of the Creative Commons Attribution (CC BY) license (https://creativecommons.org/licenses/by/4.0/).
Share and Cite
Ángel-Camilo, K.L.; Bueno-Ospina, M.L.; Bolaños Burgos, I.C.; Ayerbe-González, S.; Beltrán-Vidal, J.; Acosta, A.; Álvarez-Soler, J.; Guerrero-Vargas, J.A. Cardiotoxic Effects of Lachesis acrochorda Snake Venom in Anesthetized Wistar Rats. Toxins 2024, 16, 377. https://doi.org/10.3390/toxins16090377
Ángel-Camilo KL, Bueno-Ospina ML, Bolaños Burgos IC, Ayerbe-González S, Beltrán-Vidal J, Acosta A, Álvarez-Soler J, Guerrero-Vargas JA. Cardiotoxic Effects of Lachesis acrochorda Snake Venom in Anesthetized Wistar Rats. Toxins. 2024; 16(9):377. https://doi.org/10.3390/toxins16090377
Chicago/Turabian StyleÁngel-Camilo, Karen Leonor, Mary Luz Bueno-Ospina, Ivonne Carolina Bolaños Burgos, Santiago Ayerbe-González, José Beltrán-Vidal, Ana Acosta, Jaime Álvarez-Soler, and Jimmy Alexander Guerrero-Vargas. 2024. "Cardiotoxic Effects of Lachesis acrochorda Snake Venom in Anesthetized Wistar Rats" Toxins 16, no. 9: 377. https://doi.org/10.3390/toxins16090377
APA StyleÁngel-Camilo, K. L., Bueno-Ospina, M. L., Bolaños Burgos, I. C., Ayerbe-González, S., Beltrán-Vidal, J., Acosta, A., Álvarez-Soler, J., & Guerrero-Vargas, J. A. (2024). Cardiotoxic Effects of Lachesis acrochorda Snake Venom in Anesthetized Wistar Rats. Toxins, 16(9), 377. https://doi.org/10.3390/toxins16090377

