Toxicity Profile of eBAT, a Bispecific Ligand-Targeted Toxin Directed to EGFR and uPAR, in Mice and a Clinical Dog Model
Abstract
1. Introduction
2. Results
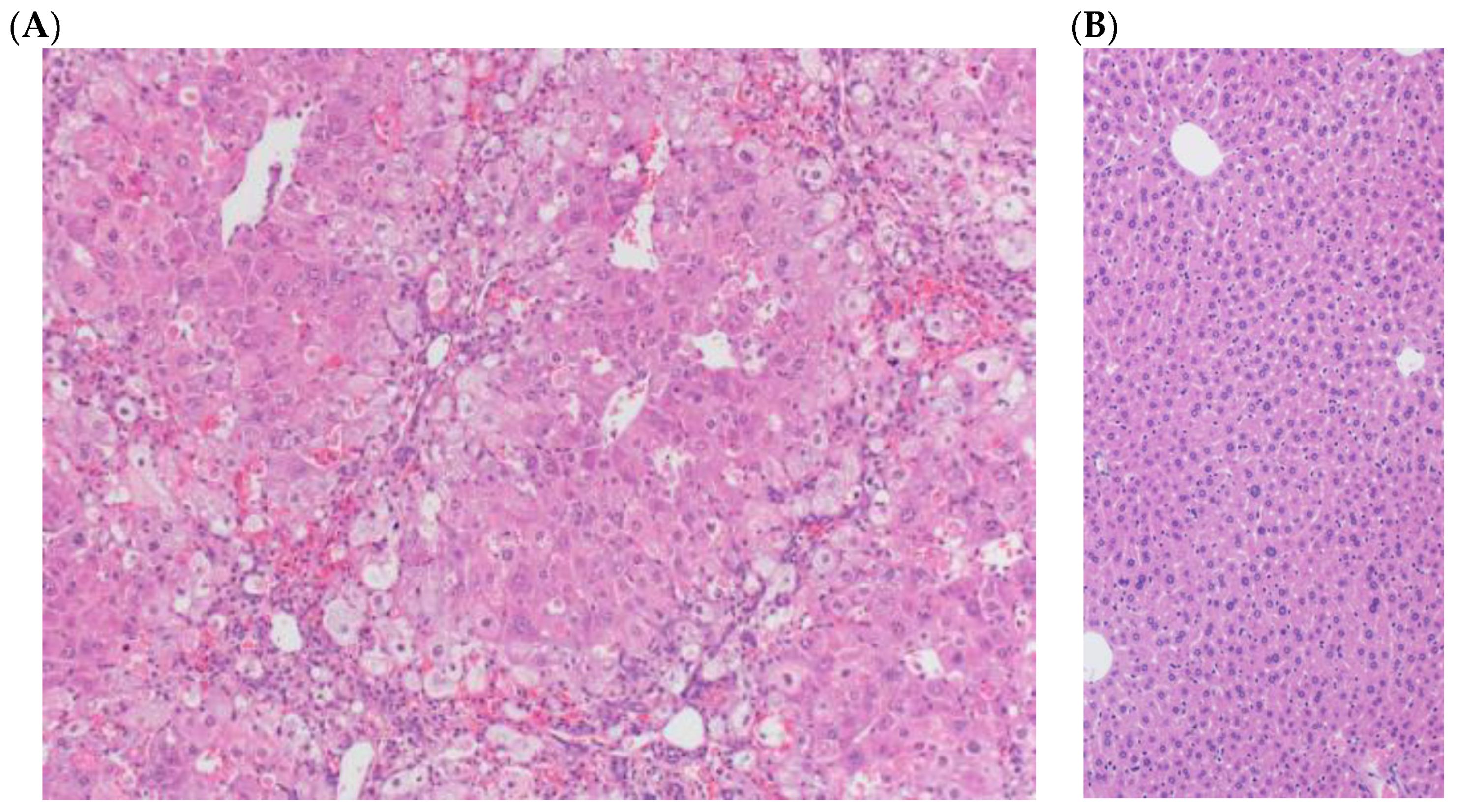
2.1. The Effect of eBAT on Immunocompetent CD-1 Mice
2.2. The Effect of Mouse eBAT (meBAT) on Immunocompetent Mice
2.3. The Effect of eBAT and meBAT on Tumor-Bearing BNX Mice
2.4. The Effect of eBAT and meBAT on uPAR Knockout Tumor-Bearing B6 Mice
2.5. The Effect of eBAT on Dogs with Hemangiosarcoma
3. Discussion
4. Materials and Methods
4.1. eBAT and meBAT
4.2. Cell Lines
4.3. Mice
4.4. Dogs
4.5. Non-GLP eBAT Toxicology Study in Healthy Mice
4.6. meBAT Toxicology Study in Healthy Mice
4.7. eBAT and meBAT Toxicology Study in Mice Harboring Canine Hemangiosarcoma Xenografts
4.8. eBAT and meBAT Toxicology Study in Wildtype Mice and uPAR KO Mice Harboring Syngeneic Sarcomas
4.9. Statistical Analysis
4.10. Canine Experimental Clinical Study 1 (SRCBST-1)
4.11. Canine Experimental Clinical Study 2 (SRCBST-2)
4.12. Canine Study 3 (eBAT-CC)
Supplementary Materials
Author Contributions
Funding
Institutional Review Board Statement
Informed Consent Statement
Data Availability Statement
Acknowledgments
Conflicts of Interest
References
- Leshem, Y.; Pastan, I. Pseudomonas Exotoxin Immunotoxins and Anti-Tumor Immunity: From Observations at the Patient’s Bedside to Evaluation in Preclinical Models. Toxins 2019, 11, 20. [Google Scholar] [CrossRef] [PubMed]
- Tsai, A.K.; Oh, S.; Chen, H.; Shu, Y.; Ohlfest, J.R.; Vallera, D.A. A novel bispecific ligand-directed toxin designed to simultaneously target EGFR on human glioblastoma cells and uPAR on tumor neovasculature. J. Neurooncol. 2011, 103, 255–266. [Google Scholar] [CrossRef] [PubMed]
- Oh, F.; Modiano, J.F.; Bachanova, V.; Vallera, D.A. Bispecific Targeting of EGFR and Urokinase Receptor (uPAR) Using Ligand-Targeted Toxins in Solid Tumors. Biomolecules 2020, 10, 956. [Google Scholar] [CrossRef] [PubMed]
- Borgatti, A.; Koopmeiners, J.S.; Sarver, A.L.; Winter, A.L.; Stuebner, K.; Todhunter, D.; Rizzardi, A.E.; Henriksen, J.C.; Schmechel, S.; Forster, C.L.; et al. Safe and Effective Sarcoma Therapy through Bispecific Targeting of EGFR and uPAR. Mol. Cancer Ther. 2017, 16, 956–965. [Google Scholar] [CrossRef]
- Zdanovsky, A.G.; Chiron, M.; Pastan, I.; FitzGerald, D.J. Mechanism of action of Pseudomonas exotoxin. Identification of a rate-limiting step. J. Biol. Chem. 1993, 268, 21791–21799. [Google Scholar] [CrossRef]
- FitzGerald, D.; Pastan, I. Redirecting Pseudomonas exotoxin. Semin. Cell Biol. 1991, 2, 31–37. [Google Scholar] [PubMed]
- Kreitman, R.J.; Pastan, I. Accumulation of a recombinant immunotoxin in a tumor in vivo: Fewer than 1000 molecules per cell are sufficient for complete responses. Cancer Res. 1998, 58, 968–975. [Google Scholar]
- Kreitman, R.J.; Pastan, I. Importance of the glutamate residue of KDEL in increasing the cytotoxicity of Pseudomonas exotoxin derivatives and for increased binding to the KDEL receptor. Biochem. J. 1995, 307, 29–37. [Google Scholar] [CrossRef]
- Onda, M.; Nagata, S.; FitzGerald, D.J.; Beers, R.; Fisher, R.J.; Vincent, J.J.; Lee, B.; Nakamura, M.; Hwang, J.; Kreitman, R.J.; et al. Characterization of the B cell epitopes associated with a truncated form of Pseudomonas exotoxin (PE38) used to make immunotoxins for the treatment of cancer patients. J. Immunol. 2006, 177, 8822–8834. [Google Scholar] [CrossRef]
- Liu, W.; Onda, M.; Lee, B.; Kreitman, R.J.; Hassan, R.; Xiang, L.; Pastan, I. Recombinant immunotoxin engineered for low immunogenicity and antigenicity by identifying and silencing human B-cell epitopes. Proc. Natl. Acad. Sci. USA 2012, 109, 11782–11787. [Google Scholar] [CrossRef]
- Santos, E.D.S.; Nogueira, K.A.B.; Fernandes, L.C.C.; Martins, J.R.P.; Reis, A.V.F.; Neto, J.B.V.; Júnior, I.J.D.S.; Pessoa, C.; Petrilli, R.; Eloy, J.O. EGFR targeting for cancer therapy: Pharmacology and immunoconjugates with drugs and nanoparticles. Int. J. Pharm. 2021, 592, 120082. [Google Scholar] [CrossRef]
- Hirsh, V. Managing treatment-related adverse events associated with EGFR tyrosine kinase inhibitors in advanced non-small-cell lung cancer. Curr. Oncol. 2011, 18, 126–138. [Google Scholar] [CrossRef] [PubMed]
- Hofheinz, R.D.; Segaert, S.; Safont, M.J.; Demonty, G.; Prenen, H. Management of adverse events during treatment of gastrointestinal cancers with epidermal growth factor inhibitors. Crit. Rev. Oncol. Hematol. 2017, 114, 102–113. [Google Scholar] [CrossRef] [PubMed]
- Cosmai, L.; Gallieni, M.; Porta, C.J. Renal toxicity of anticancer agents targeting HER2 and EGFR. J. Nephrol. 2015, 28, 647–657. [Google Scholar] [CrossRef] [PubMed]
- Chitturi, K.R.; Burns, E.A.; Muhsen, I.N.; Anand, K.; Trachtenberg, B.H. Cardiovascular Risks with Epidermal Growth Factor Receptor (EGFR) Tyrosine Kinase Inhibitors and Monoclonal Antibody Therapy. Curr. Oncol. Rep. 2022, 24, 475–491. [Google Scholar] [CrossRef]
- Li, T.; Perez-Soler, R. Skin toxicities associated with epidermal growth factor receptor inhibitors. Target. Oncol. 2009, 4, 107–119. [Google Scholar] [CrossRef]
- Lucchini, E.; Pilotto, S.; Spada, E.; Melisi, D.; Bria, E.; Tortora, G. Targeting the epidermal growth factor receptor in solid tumors: Focus on safety. Expert Opin. Drug Saf. 2014, 13, 535–549. [Google Scholar] [CrossRef]
- Zhang, Y.; Miao, S.; Wang, F.; Fang, W.; Chen, G.; Chen, X.; Yan, F.; Huang, X.; Wu, M.; Huang, Y.; et al. The efficacy and toxicity of afatinib in advanced EGFR-positive non-small-cell lung cancer patients after failure of first-generation tyrosine kinase inhibitors: A systematic review and meta-analysis. J. Thorac. Dis. 2017, 9, 1980–1987. [Google Scholar] [CrossRef]
- Rudin, C.M.; Liu, W.; Desai, A.; Karrison, T.; Jiang, X.; Janisch, L.; Das, S.; Ramirez, J.; Poonkuzhali, B.; Schuetz, E.; et al. Pharmacogenomic and pharmacokinetic determinants of erlotinib toxicity. J. Clin. Oncol. 2008, 26, 1119–1127. [Google Scholar] [CrossRef]
- Peuvrel, L.; Bachmeyer, C.; Reguiai, Z.; Bachet, J.B.; André, T.; Bensadoun, R.J.; Bouché, O.; Ychou, M.; Dréno, B. Semiology of skin toxicity associated with epidermal growth factor receptor (EGFR) inhibitors. Support. Care Cancer 2012, 20, 909–921. [Google Scholar] [CrossRef]
- Kim, J.H.; Schulte, A.J.; Sarver, A.L.; Lee, D.; Angelos, M.G.; Frantz, A.M.; Forster, C.L.; O’Brien, T.D.; Cornax, I.; O’Sullivan, M.G.; et al. Hemangiosarcoma Cells Promote Conserved Host-derived Hematopoietic Expansion. Cancer Res. Commun. 2024, 4, 1467–1480. [Google Scholar] [CrossRef] [PubMed]
- Hohenhaus, A.E. Transfusion issues in the cancer patient. Clin. Tech. Small Anim. Pract. 2003, 18, 135–138. [Google Scholar] [CrossRef] [PubMed]
- Sangiorgio, V.F.I.; Arber, D.A. Vascular neoplasms and non-neoplastic vascular lesions of the spleen. Semin. Diagn. Pathol. 2021, 38, 154–158. [Google Scholar] [CrossRef]
- Duan, Y.F.; Jiang, Y.; Wu, C.X.; Zhu, F. Spontaneous rupture of primary splenic angiosarcoma: A case report and literature review. World J. Surg. Oncol. 2013, 11, 53. [Google Scholar] [CrossRef]
- Ohri, S.K.; Nihoyannopoulos, P.; Taylor, K.M.; Keogh, B.E. Angiosarcoma of the heart causing cardiac rupture: A rare cause of hemopericardium. Ann. Thorac. Surg. 1993, 55, 525–528. [Google Scholar] [CrossRef]
- Brown, N.O.; Patnaik, A.K.; MacEwen, E.G. Canine hemangiosarcoma: Retrospective analysis of 104 cases. J. Am. Vet. Med. Assoc. 1985, 186, 56–58. [Google Scholar] [PubMed]
- Lang, B. Sudden death due to acute hemoabdomen and hypovolemia from a ruptured splenic hemangiosarcoma in a German shepherd dog. Can. Vet. J. 2020, 61, 1203–1205. [Google Scholar]
- Schappa, J.T.; Frantz, A.M.; Gorden, B.H.; Dickerson, E.B.; Vallera, D.A.; Modiano, J.F. Hemangiosarcoma and its cancer stem cell subpopulation are effectively killed by a toxin targeted through epidermal growth factor and urokinase receptors. Int. J. Cancer 2013, 133, 1936–1944. [Google Scholar] [CrossRef]
- Oh, S.; Tsai, A.K.; Ohlfest, J.R.; Panoskaltsis-Mortari, A.; Vallera, D.A. Evaluation of a bispecific biological drug designed to simultaneously target glioblastoma and its neovasculature in the brain. J. Neurosurg. 2011, 114, 1662–1671. [Google Scholar] [CrossRef]
- Waldron, N.N.; Oh, S.; Vallera, D.A. Bispecific targeting of EGFR and uPAR in a mouse model of head and neck squamous cell carcinoma. Oral Oncol. 2012, 48, 1202–1207. [Google Scholar] [CrossRef]
- Borgatti, A.; Fieberg, A.; Winter, A.L.; Stuebner, K.; Taras, E.; Todhunter, D.; Masyr, A.; Rendhal, A.; Vallera, D.A.; Koopmeiners, J.S.; et al. Impact of Repeated Cycles of EGF Bispecific Angiotoxin (eBAT) Administered at a Reduced Interval from Doxorubicin Chemotherapy in Dogs with Splenic Hemangiosarcoma. Vet. Comp. Oncol. 2020, 18, 664–674. [Google Scholar] [CrossRef] [PubMed]
- Lenz, H.J. Anti-EGFR mechanism of action: Antitumor effect and underlying cause of adverse events. Oncology 2006, 20, 5–13. [Google Scholar] [PubMed]
- Obradovic, J.; Todosijevic, J.; Jurisic, V. Side effects of tyrosine kinase inhibitors therapy in patients with non-small cell lung cancer and associations with EGFR polymorphisms: A systematic review and meta-analysis. Oncol. Lett. 2022, 25, 62. [Google Scholar] [CrossRef]
- Kuan, C.T.; Pai, L.H.; Pastan, I. Immunotoxins containing Pseudomonas exotoxin that target LeY damage human endothelial cells in an antibody-specific mode: Relevance to vascular leak syndrome. Clin. Cancer Res. 1995, 1, 1589–1594. [Google Scholar]
- Pai, L.H.; Wittes, R.; Setser, A.; Willingham, M.C.; Pastan, I. Treatment of Advanced Solid Tumors with Immunotoxin LMB–1: An Antibody Linked to Pseudomonas Exotoxin. Nat. Med. 1996, 2, 350–353. [Google Scholar] [CrossRef] [PubMed]
- Bachanova, V.; Frankel, A.E.; Cao, Q.; Lewis, D.; Grzywacz, B.; Verneris, M.R.; Ustun, C.; Lazaryan, A.; McClune, B.; Warlick, E.D.; et al. Phase I Study of a Bispecific Ligand-Directed Toxin Targeting CD22 and CD19 (DT2219) for Refractory B-Cell Malignancies. Clin. Cancer Res. 2015, 21, 1267–1272. [Google Scholar] [CrossRef]
- Campia, U. Vascular effects of cancer treatments. Vasc. Med. 2020, 25, 226–234. [Google Scholar] [CrossRef]
- Baluna, R.; Vitetta, E.S. Vascular leak syndrome: A side effect of immunotherapy. Immunopharmacology 1997, 37, 117–132. [Google Scholar] [CrossRef]
- Vail, D.M.; MacEwen, E.G. Spontaneously occurring tumors of companion animals as models for human cancer. Cancer Investig. 2000, 18, 781–792. [Google Scholar] [CrossRef]
- Kieslinger, M.; Swoboda, A.; Kramer, N.; Pratscher, B.; Wolfesberger, B.; Burgener, I.A. Companion Animals as Models for Inhibition of STAT3 and STAT5. Cancers 2019, 11, 2035. [Google Scholar] [CrossRef]
- Rusk, A.; McKeegan, E.; Haviv, F.; Majest, S.; Henkin, J.; Khanna, C. Preclinical evaluation of antiangiogenic thrombospondin-1 peptide mimetics, ABT-526 and ABT-510, in companion dogs with naturally occurring cancers. Clin. Cancer Res. 2006, 12, 7444–7455. [Google Scholar] [CrossRef] [PubMed]
- Page, R.L.; Lee, J.; Riviere, J.E.; Dodge, R.K.; Thrall, D.E.; Dewhirst, M.W. Absence of whole body hyperthermia effect on cisplatin distribution in spontaneous canine tumors. Int. J. Radiat. Oncol. Biol. Phys. 1995, 32, 1097–1102. [Google Scholar] [CrossRef] [PubMed]
- Sarver, A.L.; Makielski, K.M.; DePauw, T.A.; Schulte, A.J.; Modiano, J.F. Increased risk of cancer in dogs and humans: A consequence of recent extension of lifespan beyond evolutionarily determined limitations? Aging Cancer 2022, 3, 3–19. [Google Scholar] [CrossRef]
- Khan, S.A.; McLean, M.K. Toxicology of frequently encountered nonsteroidal anti-inflammatory drugs in dogs and cats. Vet. Clin. N. Am. Small Anim. Pract. 2012, 42, 289–306. [Google Scholar] [CrossRef] [PubMed]
- Monteiro-Steagall, B.P.; Steagall, P.V.; Lascelles, B.D. Systematic review of nonsteroidal anti-inflammatory drug-induced adverse effects in dogs. J. Vet. Intern. Med. 2013, 27, 1011–1019. [Google Scholar] [CrossRef]
- KuKanich, B.; Bidgood, T.; Knesl, O. Clinical pharmacology of nonsteroidal anti-inflammatory drugs in dogs. Vet. Anaesth. Analg. 2012, 39, 69–90. [Google Scholar] [CrossRef]
- Graef, A.J.; Kim, J.-H.; Vallera, D.A.; Modiano, J.F. Targeting epidermal growth factor receptors and urokinase-type plasminogen activator receptors for sarcoma therapy. Cancer Res. 2018, 78 (Suppl. S13), 824. [Google Scholar] [CrossRef]
- Koopmeiners, J.S.; Modiano, J. A Bayesian adaptive Phase I-II clinical trial for evaluating efficacy and toxicity with delayed outcomes. Clin. Trials 2014, 11, 38–48. [Google Scholar] [CrossRef]
- Vail, D.M.; Michels, G.M.; Khanna, C.; Selting, K.A.; London, C.A. Response Evaluation Criteria for Peripheral Nodal Lymphoma in Dogs (v1.0)-a Veterinary Cooperative Oncology Group (VCOG) Consensus Document. Vet. Comp. Oncol. 2010, 8, 28–37. [Google Scholar] [CrossRef]




| Group | |||
|---|---|---|---|
| µg/kg | Biochemical | Anatomic Liver | Anatomic GI |
| Saline | None | None | None |
| 40 | None | (Periportal hepatocellular microvesicular vacuolar change and hepatocellular regeneration) | None |
| 80 | None | None | |
| 140 | Dose-dependent increase in hepatocellular enzymes | (Dose-dependent portal biliary hyperplasia, lymphoplasmacytic inflammation, periportal microvesicular change, hemorrhage, coagulation, necrosis, and apoptosis) | None |
| 200 | dose dependent changes in several parameters of liver function (hypoglycemia, hypoalbuminemia, and hyperbilirubinemia) | (Villous atrophy and submucosal edema) |
| Grade | ALT | ALP | AST |
|---|---|---|---|
| 1 | 4 | 2 | 0 |
| 2 | 3 | 0 | 3 |
| 3 | 3 | 0 | 2 |
| 4 | 0 | 0 | 0 |
| Group | Mouse Strain | Subcutaneous Injection | Drug/Dose |
|---|---|---|---|
| 1 | Wildtype | MC-17 fibrosarcoma cells | eBAT (50 µg/kg) |
| 2 | Wildtype | MC-17 fibrosarcoma cells | meBAT (50 µg/kg) |
| 3 | Wildtype | MC-17 fibrosarcoma cells | Saline |
| 4 | uPAR-KO | D10 uPAR-KO cells | eBAT (50 µg/kg) |
| 5 | uPAR-KO | D10 uPAR-KO cells | meBAT (50 µg/kg) |
| 6 | uPAR-KO | D10 uPAR-KO cells | Saline |
Disclaimer/Publisher’s Note: The statements, opinions and data contained in all publications are solely those of the individual author(s) and contributor(s) and not of MDPI and/or the editor(s). MDPI and/or the editor(s) disclaim responsibility for any injury to people or property resulting from any ideas, methods, instructions or products referred to in the content. |
© 2024 by the authors. Licensee MDPI, Basel, Switzerland. This article is an open access article distributed under the terms and conditions of the Creative Commons Attribution (CC BY) license (https://creativecommons.org/licenses/by/4.0/).
Share and Cite
Dicovitsky, R.H.; Schappa, J.T.; Schulte, A.J.; Lang, H.P.; Kuerbitz, E.; Roberts, S.; DePauw, T.A.; Lewellen, M.; Winter, A.L.; Stuebner, K.; et al. Toxicity Profile of eBAT, a Bispecific Ligand-Targeted Toxin Directed to EGFR and uPAR, in Mice and a Clinical Dog Model. Toxins 2024, 16, 376. https://doi.org/10.3390/toxins16090376
Dicovitsky RH, Schappa JT, Schulte AJ, Lang HP, Kuerbitz E, Roberts S, DePauw TA, Lewellen M, Winter AL, Stuebner K, et al. Toxicity Profile of eBAT, a Bispecific Ligand-Targeted Toxin Directed to EGFR and uPAR, in Mice and a Clinical Dog Model. Toxins. 2024; 16(9):376. https://doi.org/10.3390/toxins16090376
Chicago/Turabian StyleDicovitsky, Rose H., Jill T. Schappa, Ashley J. Schulte, Haeree P. Lang, Ellen Kuerbitz, Sarah Roberts, Taylor A. DePauw, Mitzi Lewellen, Amber L. Winter, Kathy Stuebner, and et al. 2024. "Toxicity Profile of eBAT, a Bispecific Ligand-Targeted Toxin Directed to EGFR and uPAR, in Mice and a Clinical Dog Model" Toxins 16, no. 9: 376. https://doi.org/10.3390/toxins16090376
APA StyleDicovitsky, R. H., Schappa, J. T., Schulte, A. J., Lang, H. P., Kuerbitz, E., Roberts, S., DePauw, T. A., Lewellen, M., Winter, A. L., Stuebner, K., Buettner, M., Reid, K., Bergsrud, K., Pracht, S., Chehadeh, A., Feiock, C., O’Sullivan, M. G., Carlson, T., Armstrong, A. R., ... Vallera, D. A. (2024). Toxicity Profile of eBAT, a Bispecific Ligand-Targeted Toxin Directed to EGFR and uPAR, in Mice and a Clinical Dog Model. Toxins, 16(9), 376. https://doi.org/10.3390/toxins16090376

