A Novel Catalytically Inactive Construct of Botulinum Neurotoxin A (BoNT/A) Directly Inhibits Visceral Sensory Signalling
Abstract
1. Introduction
2. Results
2.1. AboBoNT-A Directly Inhibited Sensory Nerve Firing from the Bladder
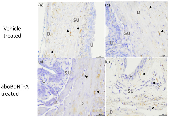
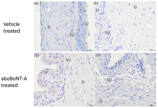
2.2. Investigation of the Presence of SNAP-25 and cSNAP-25 within the Bladder Wall
2.3. Catalytically Inactive BoNT/A Significantly Inhibited Sensory Nerve Firing from the Bladder
2.4. The Light Chains of rBoNT/A and rBoNT/A(0) Alone Inhibited Sensory Signalling from the Bladder
2.5. The Inhibitory Effect of rBoNT/A (0) Was Reversed by Nitrergic and Purinergic Antagonists
3. Discussion
3.1. Abobotulinumtoxin A Directly Inhibited Sensory Nerve Signalling
3.2. The Effect of Catalytically Inactive BoNT/A on Bladder Mechanosensitivity
3.3. The Effect of Light Chains of rBoNT/A and rBoNT/A (0) without Cell Binding or Translocation Activities
3.4. Clinical Implications of the Sensory Effects of rBoNT/A (0)
4. Conclusions
5. Materials and Methods
5.1. BoNTs
5.2. BoNT/A1 Gene Synthesis
5.3. Expression and Purification of BoNT/A1
5.4. BoNT Constructs Tested in This Study
5.5. Animals
5.6. Mouse Phrenic Nerve Hemidiaphragm Preparation
5.7. Ex Vivo Mouse Bladder Electrophysiology
5.8. Experimental Protocols
5.9. Drugs
5.10. Data Analysis
5.11. Immunohistochemistry
6. Patents
Supplementary Materials
Author Contributions
Funding
Institutional Review Board Statement
Informed Consent Statement
Data Availability Statement
Conflicts of Interest
References
- Montecucco, C.; Molgó, J. Botulinal neurotoxins: Revival of an old killer. Curr. Opin. Pharmacol. 2005, 5, 274–279. [Google Scholar] [CrossRef] [PubMed]
- Guyton, A.C.; MacDonald, M.A. Physiology of botulinus toxin. Arch. Neurol. Psychiatry 1947, 57, 578–592. [Google Scholar] [CrossRef] [PubMed]
- Multani, I.; Manji, J.; Hastings-Ison, T.; Khot, A.; Graham, K. Botulinum toxin in the management of children with cerebral palsy. Pediatr. Drugs 2019, 21, 261–281. [Google Scholar] [CrossRef] [PubMed]
- Nestor, M.S.; Arnold, D.; Fischer, D. The mechanisms of action and use of botulinum neurotoxin type A in aesthetics: Key Clinical Postulates II. J. Cosmet. Dermatol. 2020, 19, 2785–2804. [Google Scholar] [CrossRef] [PubMed]
- Abrams, P. Describing bladder storage function: Overactive bladder syndrome and detrusor overactivity. Urology 2003, 62 (Suppl. S2), 28–37; discussion 40–42. [Google Scholar] [CrossRef] [PubMed]
- Reynolds, W.S.; Dmochowski, R.; Wein, A.; Bruehl, S. Does central sensitization help explain idiopathic overactive bladder? Nat. Rev. Urol. 2016, 13, 481–491. [Google Scholar] [CrossRef] [PubMed]
- Chapple, C.; Sievert, K.D.; MacDiarmid, S.; Khullar, V.; Radziszewski, P.; Nardo, C.; Thompson, C.; Zhou, J.; Haag-Molkenteller, C. OnabotulinumtoxinA 100 U significantly improves all idiopathic overactive bladder symptoms and quality of life in patients with overactive bladder and urinary incontinence: A randomised, double-blind, placebo-controlled trial. Eur. Urol. 2013, 64, 249–256. [Google Scholar] [CrossRef]
- Chuang, Y.C.; Kaufmann, J.H.; Chancellor, D.D.; Chancellor, M.B.; Kuo, H.C. Bladder instillation of liposome encapsulated onabotulinumtoxina improves overactive bladder symptoms: A prospective, multicenter, double-blind, randomized trial. J. Urol. 2014, 192, 1743–1749. [Google Scholar] [CrossRef]
- Craciun, M.; Irwin, P. Outcomes for intravesical abobotulinumtoxin A (Dysport) treatment in the active management of overactive bladder symptoms—A prospective study. Urology 2019, 130, 54–58. [Google Scholar] [CrossRef]
- Dmochowski, R.; Chapple, C.; Nitti, V.W.; Chancellor, M.; Everaert, K.; Thompson, C.; Daniell, G.; Zhou, J.; Haag-Molkenteller, C. Efficacy and safety of onabotulinumtoxinA for idiopathic overactive bladder: A double-blind, placebo controlled, randomized, dose ranging trial. J. Urol. 2010, 184, 2416–2422. [Google Scholar] [CrossRef]
- Kuo, H.C.; Liu, H.T.; Chuang, Y.C.; Birder, L.A.; Chancellor, M.B. Pilot study of liposome-encapsulated onabotulinumtoxina for patients with overactive bladder: A single-center study. Eur. Urol. 2014, 65, 1117–1124. [Google Scholar] [CrossRef] [PubMed]
- Collins, V.M.; Daly, D.M.; Liaskos, M.; McKay, N.G.; Sellers, D.; Chapple, C.; Grundy, D. Onabotulinumtoxin A significantly attenuates bladder afferent nerve firing and inhibits ATP release from the urothelium. BJU Int. 2013, 112, 1018–1026. [Google Scholar] [CrossRef] [PubMed]
- Cui, M.; Khanijou, S.; Rubino, J.; Aoki, K.R. Subcutaneous administration of botulinum toxin A reduces formalin-induced pain. Pain 2004, 107, 125–133. [Google Scholar] [CrossRef] [PubMed]
- Favre-Guilmard, C.; Auguet, M.; Chabrier, E. Different antinociceptive effects of botulinum toxin type A in inflammatory and peripheral polyneuropathic rat models. Eur. J. Pharmacol. 2009, 617, 48–53. [Google Scholar] [CrossRef] [PubMed]
- Burstein, R.; Zhang, X.; Levy, D.; Aoki, K.R.; Brin, M.F. Selective inhibition of meningeal nociceptors by botulinum neurotoxin type A: Therapeutic implications for migraine and other pains. Cephalalgia 2014, 34, 853–869. [Google Scholar] [CrossRef] [PubMed]
- Zhang, X.; Strassman, A.M.; Novack, V.; Brin, M.F.; Burstein, R. Extracranial injections of botulinum neurotoxin type A inhibit intracranial meningeal nociceptors’ responses to stimulation of TRPV1 and TRPA1 channels: Are we getting closer to solving this puzzle? Cephalalgia 2016, 36, 875–886. [Google Scholar] [CrossRef]
- Shone, C.; Agostini, H.; Clancy, J.; Gu, M.; Yang, H.; Chu, Y.; Johnson, V.; Taal, M.; McGlashan, J.; Brehm, J.; et al. Bivalent Recombinant Vaccine for Botulinum Neurotoxin Types A and B Based on a Polypeptide Comprising Their Effector and Translocation Domains That Is Protective against the Predominant A and B Subtypes. Infect. Immun. 2009, 77, 2795–2801. [Google Scholar] [CrossRef]
- Périer, C.; Martin, V.; Cornet, S.; Favre-Guilmard, C.; Rocher, M.N.; Bindler, J.; Wagner, S.; Andriambeloson, E.; Rudkin, B.B.; Marty, R.; et al. Recombinant botulinum neurotoxin serotype A1 in vivo characterization. Pharmacol. Res. Perspect. 2021, 9, e00857. [Google Scholar] [CrossRef]
- Manecksha, R.P.; Cullen, I.M.; Ahmad, S.; McNeill, G.; Flynn, R.; McDermott, T.E.; Grainger, R.; Thornhill, J.A. Prospective randomised controlled trial comparing trigone-sparing versus trigone-including intradetrusor injection of abobotulinumtoxinA for refractory idiopathic detrusor overactivity. Eur. Urol. 2012, 61, 928–935. [Google Scholar] [CrossRef]
- Chuang, Y.C.; Tyagi, P.; Huang, C.C.; Yoshimura, N.; Wu, M.; Kaufman, J.; Chancellor, M.B. Urodynamic and immunohistochemical evaluation of intravesical botulinum toxin A delivery using liposomes. J. Urol. 2009, 182, 786–792. [Google Scholar] [CrossRef]
- Coelho, A.; Cruz, F.; Cruz, C.D.; Avelino, A. Spread of onabotulinumtoxinA after bladder injection. Experimental study using the distribution of cleaved SNAP-25 as the marker of the toxin action. Eur. Urol. 2012, 61, 1178–1184. [Google Scholar] [CrossRef]
- Coelho, A.; Dinis, P.; Pinto, R.; Gorgal, T.; Silva, C.; Silva, A.; Silva, J.; Cruz, C.D.; Cruz, F.; Avelino, A. Distribution of the high-affinity binding site and intracellular target of botulinum toxin type A in the human bladder. Eur. Urol. 2010, 57, 884–890. [Google Scholar] [CrossRef] [PubMed]
- Schiavo, G.G.; Benfenati, F.; Poulain, B.; Rossetto, O.; de Laureto, P.; DasGupta, B.R.; Montecucco, C. Tetanus and botulinum-B neurotoxins block neurotransmitter release by proteolytic cleavage of synaptobrevin. Nature 1992, 359, 832–835. [Google Scholar] [CrossRef] [PubMed]
- Baskaran, P.; Lehmann, T.E.; Topchiy, E.; Thirunavukkarasu, N.; Cai, S.; Singh, B.R.; Deshpande, S.; Thyagarajan, B. Effects of enzymatically inactive recombinant botulinum neurotoxin type A at the mouse neuromuscular junctions. Toxicon 2013, 72, 71–80. [Google Scholar] [CrossRef] [PubMed]
- Li, L.; Binz, T.; Niemann, H.; Singh, B.R. Probing the mechanistic role of glutamate residue in the zinc-binding motif of type A botulinum neurotoxin light chain. Biochemistry 2000, 39, 2399–2405. [Google Scholar] [CrossRef]
- Kukreja, R.V.; Sharma, S.; Cai, S.; Singh, B.R. Role of two active site Glu residues in the molecular action of botulinum neurotoxin endopeptidase. Biochim. Et Biophys. Acta (BBA)-Proteins Proteom. 2007, 1774, 213–222. [Google Scholar] [CrossRef]
- Ravichandran, E.; Janardhanan, P.; Patel, K.; Riding, S.; Cai, S.; Singh, B.R. In vivo toxicity and immunological characterization of detoxified recombinant botulinum neurotoxin type A. Pharm. Res. 2016, 33, 639–652. [Google Scholar] [CrossRef]
- Banerjee, A.; Li, G.; Alexander, E.A.; Schwartz, J.H. Role of SNAP-23 in trafficking of H+-ATPase in cultured inner medullary collecting duct cells. Am. J. Physiol.-Cell Physiol. 2001, 280, C775–C781. [Google Scholar] [CrossRef]
- Vaidyanathan, V.V.; Yoshino, K.I.; Jahnz, M.; Dörries, C.; Bade, S.; Nauenburg, S.; Niemann, H.; Binz, T. Proteolysis of SNAP-25 isoforms by botulinum neurotoxin types A, C, and E: Domains and amino acid residues controlling the formation of enzyme-substrate complexes and cleavage. J. Neurochem. 1999, 72, 327–337. [Google Scholar] [CrossRef]
- Hanna-Mitchell, A.T.; Wolf-Johnston, A.S.; Barrick, S.R.; Kanai, A.J.; Chancellor, M.B.; de Groat, W.C.; Birder, L.A. Effect of botulinum toxin A on urothelial-release of ATP and expression of SNARE targets within the urothelium. Neurourol. Urodyn. 2015, 34, 79–84. [Google Scholar] [CrossRef]
- Birder, L.A.; Apodaca, G.; De Groat, W.C.; Kanai, A.J. Adrenergic-and capsaicin-evoked nitric oxide release from urothelium and afferent nerves in urinary bladder. Am. J. Physiol.-Ren. Physiol. 1998, 275, F226–F229. [Google Scholar] [CrossRef]
- Ferguson, D.R.; Kennedy, I.; Burton, T. ATP is released from rabbit urinary bladder epithelial cells by hydrostatic pressure changes--a possible sensory mechanism? J. Physiol. 1997, 505 Pt 2, 503. [Google Scholar] [CrossRef]
- Gillespie, J.I.; Markerink-van Ittersum, M.; De Vente, J. Expression of neuronal nitric oxide synthase (nNOS) and nitric-oxide-induced changes in cGMP in the urothelial layer of the guinea pig bladder. Cell Tissue Res. 2005, 321, 341–351. [Google Scholar] [CrossRef] [PubMed]
- Olgart, C.; Gustafsson, L.E.; Wiklund, N.P. Evidence for nonvesicular nitric oxide release evoked by nerve activation. Eur. J. Neurosci. 2000, 12, 1303–1309. [Google Scholar] [CrossRef] [PubMed]
- Ikeda, Y.; Zabbarova, I.V.; Birder, L.A.; de Groat, W.C.; McCarthy, C.J.; Hanna-Mitchell, A.T.; Kanai, A.J. Botulinum neurotoxin serotype A suppresses neurotransmitter release from afferent as well as efferent nerves in the urinary bladder. Eur. Urol. 2012, 62, 1157–1164. [Google Scholar] [CrossRef] [PubMed]
- Beckel, J.M.; Daugherty, S.L.; Tyagi, P.; Wolf-Johnston, A.S.; Birder, L.A.; Mitchell, C.H.; de Groat, W.C. Pannexin 1 channels mediate the release of ATP into the lumen of the rat urinary bladder. J. Physiol. 2015, 593, 1857–1871. [Google Scholar] [CrossRef] [PubMed]
- Silberfeld, A.; Chavez, B.; Obidike, C.; Daugherty, S.; de Groat, W.C.; Beckel, J.M. LPS-mediated release of ATP from urothelial cells occurs by lysosomal exocytosis. Neurourol. Urodyn. 2020, 39, 1321–1329. [Google Scholar] [CrossRef]
- Ueda, N.; Kondo, M.; Takezawa, K.; Kiuchi, H.; Sekii, Y.; Inagaki, Y.; Soda, T.; Fukuhara, S.; Fujita, K.; Uemura, M.; et al. Bladder urothelium converts bacterial lipopolysaccharide information into neural signaling via an ATP-mediated pathway to enhance the micturition reflex for rapid defense. Sci. Rep. 2010, 10, 21167. [Google Scholar] [CrossRef]
- Aizawa, N.; Igawa, Y.; Nishizawa, O.; Wyndaele, J.J. Effects of nitric oxide on the primary bladder afferent activities of the rat with and without intravesical acrolein treatment. Eur. Urol. 2011, 59, 264–271. [Google Scholar] [CrossRef]
- Yu, Y.; de Groat, W.C. Nitric oxide modulates bladder afferent nerve activity in the in vitro urinary bladder–pelvic nerve preparation from rats with cyclophosphamide induced cystitis. Brain Res. 2013, 1490, 83–94. [Google Scholar] [CrossRef]
- Argiolas, A.; Argiolas, F.M.; Argiolas, G.; Melis, M.R. Erectile Dysfunction: Treatments, Advances and New Therapeutic Strategies. Brain Sci. 2023, 13, 802. [Google Scholar] [CrossRef] [PubMed]
- Rummel, A. Double receptor anchorage of botulinum neurotoxins accounts for their exquisite neurospecificity. Botulinum Neurotoxins 2013, 364, 61–90. [Google Scholar]
- Chaddock, J.A.; Purkiss, J.R.; Friis, L.M.; Broadbridge, J.D.; Duggan, M.J.; Fooks, S.J.; Shone, C.C.; Quinn, C.P.; Foster, K.A. Inhibition of vesicular secretion in both neuronal and nonneuronal cells by a retargeted endopeptidase derivative of Clostridium botulinum neurotoxin type A. Infect. Immun. 2000, 68, 2587–2593. [Google Scholar] [CrossRef] [PubMed]
- Jacky, B.P.; Garay, E.; Dupuy, J.; Nelson, J.B.; Cai, B.; Molina, Y.; Wang, J.; Steward, L.E.; Broide, R.S.; Francis, J.; et al. Identification of fibroblast growth factor receptor 3 (FGFR3) as a protein receptor for botulinum neurotoxin serotype A (BoNT/A). PLoS Pathog. 2013, 9, e1003369. [Google Scholar] [CrossRef]
- James, N.G.; Malik, S.; Sanstrum, B.J.; Rhéaume, C.; Broide, R.S.; Jameson, D.M.; Brideau-Andersen, A.; Jacky, B.S. Characterization of clostridium botulinum neurotoxin serotype A (BoNT/A) and fibroblast growth factor receptor interactions using novel receptor dimerization assay. Sci. Rep. 2021, 11, 7832. [Google Scholar] [CrossRef] [PubMed]
- Khandelwal, P.; Ruiz, W.G.; Balestreire-Hawryluk, E.; Weisz, O.A.; Goldenring, J.R.; Apodaca, G. Rab11a-dependent exocytosis of discoidal/fusiform vesicles in bladder umbrella cells. Proc. Natl. Acad. Sci. USA 2008, 105, 15773–15778. [Google Scholar] [CrossRef] [PubMed]
- Clarke, H.; Soneji, N.; Ko, D.T.; Yun, L.; Wijeysundera, D.N. Rates and risk factors for prolonged opioid use after major surgery: Population based cohort study. BMJ 2014, 348, g1251. [Google Scholar] [CrossRef] [PubMed]
- Stone, A.B.; Wick, E.C.; Wu, C.L.; Grant, M.C. The US opioid crisis: A role for enhanced recovery after surgery. Anesth. Analg. 2017, 125, 1803–1805. [Google Scholar] [CrossRef]
- Field, M.; Splevins, A.; Picaut, P.; Schans, M.; Langenberg, J.; Noort, D.; Foster, K. AbobotulinumtoxinA (Dysport®), OnabotulinumtoxinA (Botox®), and IncobotulinumtoxinA (Xeomin®) Neurotoxin Content and Potential Implications for Duration of Response in Patients. Toxins 2018, 10, 535. [Google Scholar] [CrossRef]
- Maignel-Ludop, J.; Huchet, M.; Krupp, J. Botulinum Neurotoxins Serotypes A and B induce paralysis of mouse striated and smooth muscles with different potencies. Pharmacol. Res. Perspect. 2017, 5, e00289. [Google Scholar] [CrossRef]
- Daly, D.; Rong, W.; Chess-Williams, R.; Chapple, C.; Grundy, D. Bladder afferent sensitivity in wild-type and TRPV1 knockout mice. J. Physiol. 2007, 583, 663–674. [Google Scholar] [CrossRef] [PubMed]
- Daly, D.M.; Chess-Williams, R.; Chapple, C.; Grundy, D. The inhibitory role of acetylcholine and muscarinic receptors in bladder afferent activity. Eur. Urol. 2010, 58, 22–28. [Google Scholar] [CrossRef] [PubMed]
- Daly, D.M.; Nocchi, L.; Liaskos, M.; McKay, N.G.; Chapple, C.; Grundy, D. Age-related changes in afferent pathways and urothelial function in the male mouse bladder. J. Physiol. 2014, 592, 537–549. [Google Scholar] [CrossRef] [PubMed]
- Grundy, L.; Erickson, A.; Caldwell, A.; Garcia-Caraballo, S.; Rychkov, G.; Harrington, A.; Brierley, S.M. Tetrodotoxin-sensitive voltage-gated sodium channels regulate bladder afferent responses to distension. Pain 2018, 159, 2573–2584. [Google Scholar] [CrossRef] [PubMed]
- Konthapakdee, N.; Grundy, L.; O’Donnell, T.; Garcia-Caraballo, S.; Brierley, S.M.; Grundy, D.; Daly, D.M. Serotonin exerts a direct modulatory role on bladder afferent firing in mice. J. Physiol. 2019, 597, 5247–5264. [Google Scholar] [CrossRef]
- Rong, W.; Spyer, K.M.; Burnstock, G. Activation and sensitisation of low and high threshold afferent fibres mediated by P2X receptors in the mouse urinary bladder. J. Physiol. 2002, 541, 591–600. [Google Scholar] [CrossRef]
- Vlaskovska, M.; Kasakov, L.; Rong, W.; Bodin, P.; Bardini, M.; Cockayne, D.A.; Ford, A.P. Burnstock GP2X3 knock-out mice reveal a major sensory role for urothelially released ATP. J. Neurosci. 2001, 21, 5670–5677. [Google Scholar] [CrossRef]
- Retailleau, K.; Martin, V.; Lezmi, S.; Nicoleau, C.; Maignel, J. The isolated mouse jejunal afferent nerve assay as a tool to assess the effect of botulinum neurotoxins in visceral nociception. Toxins 2022, 14, 205. [Google Scholar] [CrossRef]










| Name | Structure | Description | Method of Production |
|---|---|---|---|
| aboBoNT-A | ![]() | Whole BoNT/A complex, including the non-toxic accessory proteins (NAPs) | Purified from C. botulinum |
| rBoNT/A | ![]() | Full-length BoNT/A | Recombinant; expressed in E. coli and purified |
| rLC/A | ![]() | Light chain only | Recombinant; expressed in E. coli and purified |
| rHC/A | ![]() | Heavy chain only | Recombinant; expressed in E. coli and purified |
| rBoNT/A (0) | ![]() | Full-length mutated BoNT/A, catalytically inactive | Recombinant; expressed in E. coli and purified |
| rLC/A (0) | ![]() | Mutated light chain only, catalytically inactive | Recombinant; expressed in E. coli and purified |
Disclaimer/Publisher’s Note: The statements, opinions and data contained in all publications are solely those of the individual author(s) and contributor(s) and not of MDPI and/or the editor(s). MDPI and/or the editor(s) disclaim responsibility for any injury to people or property resulting from any ideas, methods, instructions or products referred to in the content. |
© 2024 by the authors. Licensee MDPI, Basel, Switzerland. This article is an open access article distributed under the terms and conditions of the Creative Commons Attribution (CC BY) license (https://creativecommons.org/licenses/by/4.0/).
Share and Cite
Ibrahim, H.; Retailleau, K.; Hornby, F.; Maignel, J.; Beard, M.; Daly, D.M. A Novel Catalytically Inactive Construct of Botulinum Neurotoxin A (BoNT/A) Directly Inhibits Visceral Sensory Signalling. Toxins 2024, 16, 30. https://doi.org/10.3390/toxins16010030
Ibrahim H, Retailleau K, Hornby F, Maignel J, Beard M, Daly DM. A Novel Catalytically Inactive Construct of Botulinum Neurotoxin A (BoNT/A) Directly Inhibits Visceral Sensory Signalling. Toxins. 2024; 16(1):30. https://doi.org/10.3390/toxins16010030
Chicago/Turabian StyleIbrahim, Hodan, Kevin Retailleau, Fraser Hornby, Jacquie Maignel, Matthew Beard, and Donna Marie Daly. 2024. "A Novel Catalytically Inactive Construct of Botulinum Neurotoxin A (BoNT/A) Directly Inhibits Visceral Sensory Signalling" Toxins 16, no. 1: 30. https://doi.org/10.3390/toxins16010030
APA StyleIbrahim, H., Retailleau, K., Hornby, F., Maignel, J., Beard, M., & Daly, D. M. (2024). A Novel Catalytically Inactive Construct of Botulinum Neurotoxin A (BoNT/A) Directly Inhibits Visceral Sensory Signalling. Toxins, 16(1), 30. https://doi.org/10.3390/toxins16010030







