Zearalenone Promotes Uterine Development of Weaned Gilts by Interfering with Serum Hormones and Up-Regulating Expression of Estrogen and Progesterone Receptors
Abstract
1. Introduction
2. Results
2.1. Nutrient Apparent Digestive and Metabolic Rate
2.2. Serum Hormone Level
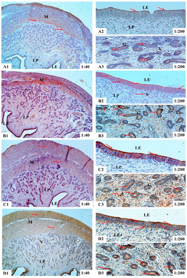
2.3. The Localization of ER-α, ER-β and PR in the Uterus
2.4. The Relative mRNA Expression of ER-α, ER-β and PR in the Uterus
2.5. The Relative Protein Expression of ER-α, ER-β and PR in the Uterus
2.6. The Relative mRNA and Protein Expression of ER-α and ER-β in Porcine Endometrial Epithelial Cells
3. Discussion
4. Conclusions
5. Materials and Methods
5.1. Preparation of Zearalenone Diet
5.2. Animals, Treatments and Feeding Management
5.3. Porcine Endometrial Epithelial Cells Culture and Treatment
5.4. Sample Collection of Analyses of Nutrient Availability
5.5. Sample Collection of Blood and Uterus
5.6. Determination of Serum Hormones
5.7. Immunohistochemical Analysis and Integrated Optical Density of ER-α, ER-β and PR
5.8. Quantification mRNA Expression Using Quantitative Real-Time Polymerase Chain Reaction
5.9. Western Blot Analysis
5.10. Statistical and Analysis
Supplementary Materials
Author Contributions
Funding
Institutional Review Board Statement
Informed Consent Statement
Data Availability Statement
Conflicts of Interest
Abbreviations
References
- Moretti, A.; Logrieco, A.F.; Susca, A. Mycotoxins: An underhand food problem. In Mycotoxigenic Fungi; Springer: Berlin/Heidelberg, Germany, 2017; pp. 3–12. [Google Scholar]
- Eskola, M.; Kos, G.; Elliott, C.T.; Hajšlová, J.; Mayar, S.; Krska, R. Worldwide contamination of food-crops with mycotoxins: Validity of the widely cited ‘FAO estimate’ of 25. Crit. Rev. Food Sci. Nutr. 2020, 60, 2773–2789. [Google Scholar] [CrossRef]
- Othmen, Z.O.-B.; El Golli, E.; Abid-Essefi, S.; Bacha, H. Cytotoxicity effects induced by Zearalenone metabolites, α Zearalenol and β Zearalenol, on cultured Vero cells. Toxicology 2008, 252, 72–77. [Google Scholar] [CrossRef]
- Vega, M.F.; Dieguez, S.N.; Riccio, B.; Aranguren, S.; Giordano, A.; Denzoin, L.; Soraci, A.L.; Tapia, M.O.; Ross, R.; Apás, A. Zearalenone adsorption capacity of lactic acid bacteria isolated from pigs. Braz. J. Microbiol. 2017, 48, 715–723. [Google Scholar] [CrossRef]
- Council for Agricultural Science and Technology (CAST). Mycotoxins: Risks in Plant, Animal and Human Systems; Task Force Report No. 139; CAST: Ames, IA, USA, 2003; pp. 136–142. [Google Scholar]
- Etienne, M.; Jemmali, M. Effects of zearalenone (F2) on estrous activity and reproduction in gilts. J. Anim. Sci. 1982, 55, 6214538. [Google Scholar] [CrossRef]
- Zatecka, E.; Ded, L.; Elzeinova, F.; Kubatova, A.; Dorosh, A.; Margaryan, H.; Dostalova, P.; Korenkova, V.; Hoskova, K.; Peknicova, J. Effect of zearalenone on reproductive parameters and expression of selected testicular genes in mice. Reprod. Toxicol. 2014, 45, 20–30. [Google Scholar] [CrossRef]
- Hueza, I.M.; Raspantini, P.C.F.; Raspantini, L.E.R.; Latorre, A.O.; Górniak, S.L. Zearalenone, an estrogenic mycotoxin, is an immunotoxic compound. Toxins 2014, 6, 1080–1095. [Google Scholar] [CrossRef] [PubMed]
- Di Zazzo, E.; Galasso, G.; Giovannelli, P.; Di Donato, M.; Di Santi, A.; Cernera, G.; Rossi, V.; Abbondanza, C.; Moncharmont, B.; Sinisi, A.A. Prostate cancer stem cells: The role of androgen and estrogen receptors. Oncotarget 2016, 7, 193. [Google Scholar] [CrossRef] [PubMed]
- Leonhardt, S.A.; Edwards, D.P. Mechanism of action of progesterone antagonists. Exp. Biol. Med. 2002, 227, 969–980. [Google Scholar] [CrossRef] [PubMed]
- Glas, A.S.; Hollema, H.; Nap, R.E.; Plukker, J.T. Expression of estrogen receptor, progesterone receptor, and insulin-like growth factor receptor-1 and of MIB-1 in patients with recurrent pleomorphic adenoma of the parotid gland. Cancer 2002, 94, 2211–2216. [Google Scholar] [CrossRef]
- Kowalska, K.; Habrowska-Górczyńska, D.E.; Piastowska-Ciesielska, A.W. Zearalenone as an endocrine disruptor in humans. Environ. Toxicol. Phar. 2016, 48, 141–149. [Google Scholar] [CrossRef]
- Adibnia, E.; Razi, M.; Malekinejad, H. Zearalenone and 17 β-estradiol induced damages in male rats reproduction potential; evidence for ERα and ERβ receptors expression and steroidogenesis. Toxicon 2016, 120, 133–146. [Google Scholar] [CrossRef] [PubMed]
- Xu, Q.; Wu, D.; Dang, Y.; Yu, L.; Liu, C.; Wang, J. Reproduction impairment and endocrine disruption in adult zebrafish (Danio rerio) after waterborne exposure to TBOEP. Aquat. Toxicol. 2017, 182, 163–171. [Google Scholar] [CrossRef]
- Muthulakshmi, S.; Hamideh, P.F.; Habibi, H.R.; Maharajan, K.; Kadirvelu, K.; Mudili, V. Mycotoxin zearalenone induced gonadal impairment and altered gene expression in the hypothalamic–pituitary–gonadal axis of adult female zebrafish (Danio rerio). J. Appl. Toxicol. 2018, 38, 1388–1397. [Google Scholar] [CrossRef] [PubMed]
- Yang, L.; Huang, L.; Li, S.; Liu, F.; Jiang, S.; Yang, Z. Effects of zearalenone on ovary index, distribution and expression of progesterone receptors in ovaries of weaned gilts. Chinese J. Anim. Nutr. 2017, 29, 4510–4517. [Google Scholar]
- Ropejko, K.; Twarużek, M. Zearalenone and its metabolites—General overview, occurrence, and toxicity. Toxins 2021, 13, 35. [Google Scholar] [CrossRef] [PubMed]
- Jo, H.; Kong, C.; Song, M.; Kim, B. Effects of dietary deoxynivalenol and zearalenone on apparent ileal digestibility of amino acids in growing pigs. Anim. Feed Sci. Tech. 2016, 219, 77–82. [Google Scholar] [CrossRef]
- Jiang, S.; Yang, Z.; Yang, W.; Wang, S.; Liu, F.; Johnston, L.; Chi, F.; Wang, Y. Effect of purified zearalenone with or without modified montmorillonite on nutrient availability, genital organs and serum hormones in post-weaning piglets. Livest. Sci. 2012, 144, 110–118. [Google Scholar] [CrossRef]
- Wang, J.; Chi, F.; Kim, I. Effects of montmorillonite clay on growth performance, nutrient digestibility, vulva size, faecal microflora, and oxidative stress in weaning gilts challenged with zearalenone. Anim. Feed Sci. Tech. 2012, 178, 158–166. [Google Scholar] [CrossRef]
- Hauschild, L.; Lovatto, P.A.; Lehnen, C.R.; Carvalho, A.d.Á.; Garcia, G.G.; Mallmann, C.A. Digestibility and metabolism of piglet diets containing zearalenone with addition of organoaluminosilicate. Pesqui. Agropecu. Bras. 2007, 42, 219–224. [Google Scholar] [CrossRef][Green Version]
- Döll, S.; Dänicke, S. The Fusarium toxins deoxynivalenol (DON) and zearalenone (ZON) in animal feeding. Prev. Vet. Med. 2011, 102, 132–145. [Google Scholar] [CrossRef]
- Takemura, H.; Shim, J.-Y.; Sayama, K.; Tsubura, A.; Zhu, B.T.; Shimoi, K. Characterization of the estrogenic activities of zearalenone and zeranol in vivo and in vitro. J. Steroid. Biochem. Mol. Biol. 2007, 103, 170–177. [Google Scholar] [CrossRef]
- Wan, B.; Yuan, X.; Yang, W.; Jiao, N.; Li, Y.; Liu, F.; Liu, M.; Yang, Z.; Huang, L.; Jiang, S. The effects of zearalenone on the localization and expression of reproductive hormones in the ovaries of weaned gilts. Toxins 2021, 13, 626. [Google Scholar] [CrossRef]
- Zhou, J.; Zhao, L.; Huang, S.; Liu, Q.; Ao, X.; Lei, Y.; Ji, C.; Ma, Q. Zearalenone toxicosis on reproduction as estrogen receptor selective modulator and alleviation of zearalenone biodegradative agent in pregnant sows. J. Anim. Sci. Biotechnol. 2022, 13, 36. [Google Scholar] [CrossRef]
- Fu, G.; Ma, J.; Wang, L.; Yang, X.; Liu, J.; Zhao, X. Effect of degradation of zearalenone-contaminated feed by Bacillus licheniformis CK1 on postweaning female piglets. Toxins 2016, 8, 300. [Google Scholar] [CrossRef]
- Wu, F.; Cui, J.; Yang, X.; Liu, S.; Han, S.; Chen, B. Effects of zearalenone on genital organ development, serum immunoglobulin, antioxidant capacity, sex hormones and liver function of prepubertal gilts. Toxicon 2021, 189, 39–44. [Google Scholar] [CrossRef]
- Fu, G.; Wang, L.; Li, L.; Liu, J.; Liu, S.; Zhao, X. Bacillus licheniformis CK1 alleviates the toxic effects of zearalenone in feed on weaned female Tibetan piglets. J. Anim. Sci. 2018, 96, 4471–4480. [Google Scholar] [CrossRef]
- He, J.; Wei, C.; Li, Y.; Liu, Y.; Wang, Y.; Pan, J.; Liu, J.; Wu, Y.; Cui, S. Zearalenone and alpha-zearalenol inhibit the synthesis and secretion of pig follicle stimulating hormone via the non-classical estrogen membrane receptor GPR30. Mol. Cell Endocrinol. 2018, 461, 43–54. [Google Scholar] [CrossRef] [PubMed]
- Zheng, W.; Feng, N.; Wang, Y.; Noll, L.; Xu, S.; Liu, X.; Lu, N.; Zou, H.; Gu, J.; Yuan, Y. Effects of zearalenone and its derivatives on the synthesis and secretion of mammalian sex steroid hormones: A review. Food Chem. Toxicol. 2019, 126, 262–276. [Google Scholar] [CrossRef]
- Zielonka, Ł.; Waśkiewicz, A.; Beszterda, M.; Kostecki, M.; Dąbrowski, M.; Obremski, K.; Goliński, P.; Gajęcki, M. Zearalenone in the intestinal tissues of immature gilts exposed per os to mycotoxins. Toxins 2015, 7, 3210–3223. [Google Scholar] [CrossRef] [PubMed]
- Jia, M.; Dahlman-Wright, K.; Gustafsson, J.-Å. Estrogen receptor alpha and beta in health and disease. Best Pract. Res. Clin. Endocrinol. Metab. 2015, 29, 557–568. [Google Scholar] [CrossRef] [PubMed]
- Collins, P.; Webb, C. Estrogen hits the surface. Nat. Med. 1999, 5, 1130–1131. [Google Scholar] [CrossRef] [PubMed]
- Almeida, M.; Han, L.; O’Brien, C.A.; Kousteni, S.; Manolagas, S.C. Classical Genotropic versus Kinase-Initiated Regulation of Gene Transcription by the Estrogen Receptor α. Endocrinology 2006, 147, 1986–1996. [Google Scholar] [CrossRef]
- Kousteni, S.; Bellido, T.; Plotkin, L.; O’brien, C.; Bodenner, D.; Han, L.; Han, K.; DiGregorio, G.; Katzenellenbogen, J.; Katzenellenbogen, B. Nongenotropic, sex-nonspecific signaling through the estrogen or androgen receptors: Dissociation from transcriptional activity. Cell 2001, 104, 719–730. [Google Scholar] [CrossRef]
- Kumar, R.; Zakharov, M.N.; Khan, S.H.; Miki, R.; Jang, H.; Toraldo, G.; Singh, R.; Bhasin, S.; Jasuja, R. The dynamic structure of the estrogen receptor. J. Amino Acids 2011, 2011, 812540. [Google Scholar] [CrossRef] [PubMed]
- Parker, M. Transcriptional activation by oestrogen receptors. Biochem. Soc. Symp. 1998, 63, 45–50. [Google Scholar] [PubMed]
- Fink-Gremmels, J.; Malekinejad, H. Clinical effects and biochemical mechanisms associated with exposure to the mycoestrogen zearalenone. Anim. Feed Sci. Tech. 2007, 137, 326–341. [Google Scholar] [CrossRef]
- Couse, J.F.; Lindzey, J.; Grandien, K.; Gustafsson, J.-A.k.; Korach, K.S. Tissue distribution and quantitative analysis of estrogen receptor-α (ERα) and estrogen receptor-β (ERβ) messenger ribonucleic acid in the wild-type and ERα-knockout mouse. Endocrinology 1997, 138, 4613–4621. [Google Scholar] [CrossRef]
- Hapangama, D.; Kamal, A.; Bulmer, J. Estrogen receptor β: The guardian of the endometrium. Hum. Reprod. Update 2015, 21, 174–193. [Google Scholar] [CrossRef]
- Thomas, C.; Gustafsson, J.-Å. The different roles of ER subtypes in cancer biology and therapy. Nat. Rev. Cancer 2011, 11, 597–608. [Google Scholar] [CrossRef]
- Liu, C.; Chang, J.; Wang, P.; Yin, Q.; Huang, W.; Dang, X.; Lu, F.; Gao, T. Zearalenone biodegradation by the combination of probiotics with cell-free extracts of Aspergillus oryzae and its mycotoxin-alleviating effect on pig production performance. Toxins 2019, 11, 552. [Google Scholar] [CrossRef]
- Benzoni, E.; Minervini, F.; Giannoccaro, A.; Fornelli, F.; Vigo, D.; Visconti, A. Influence of in vitro exposure to mycotoxin zearalenone and its derivatives on swine sperm quality. Reprod. Toxicol. 2008, 25, 461–467. [Google Scholar] [CrossRef] [PubMed]
- Song, T.; Liu, X.; Yuan, X.; Yang, W.; Liu, F.; Hou, Y.; Huang, L.; Jiang, S. Dose-effect of zearalenone on the localization and expression of growth hormone, growth hormone receptor, and heat shock protein 70 in the ovaries of post-weaning gilts. Front. Vet. Sci. 2021, 8, 629006. [Google Scholar] [CrossRef] [PubMed]
- Yan, R.; Wang, H.; Zhu, J.; Wang, T.; Nepovimova, E.; Long, M.; Li, P.; Kuca, K.; Wu, W. Procyanidins inhibit zearalenone-induced apoptosis and oxidative stress of porcine testis cells through activation of Nrf2 signaling pathway. Food Chem. Toxicol. 2022, 165, 113061. [Google Scholar] [CrossRef]
- Lee, R.; Kim, D.-W.; Lee, W.-Y.; Park, H.-J. Zearalenone Induces Apoptosis and Autophagy in a Spermatogonia Cell Line. Toxins 2022, 14, 148. [Google Scholar] [CrossRef] [PubMed]
- Lee, H.-J.; Oh, S.-Y.; Jo, I. Zearalenone Induces Endothelial Cell Apoptosis through Activation of a Cytosolic Ca2+/ERK1/2/p53/Caspase 3 Signaling Pathway. Toxins 2021, 13, 187. [Google Scholar] [CrossRef] [PubMed]
- Hagan, C.R.; Lange, C.A. Molecular determinants of context-dependent progesterone receptor action in breast cancer. BMC Med. 2014, 12, 32. [Google Scholar] [CrossRef]
- Cheung, E.; Kraus, W.L. Genomic analyses of hormone signaling and gene regulation. Annu. Rev. Physiol. 2010, 72, 191–218. [Google Scholar] [CrossRef] [PubMed]
- Lamming, G.; Mann, G. Control of endometrial oxytocin receptors and prostaglandin F2α production in cows by progesterone and oestradiol. Reproduction 1995, 103, 69–73. [Google Scholar] [CrossRef] [PubMed][Green Version]
- Elsayed, D.; Abdelrazek, H.; Eltamany, D.; Ebaid, H.; El-Nahla, A. Effect of soy isoflavones on implantation losses in Wistar rat: Implication of progesterone receptors, vascular endothelial growth factor and estradiol receptors alpha. Iran. J. Vet. Res. 2020, 21, 46. [Google Scholar] [PubMed]
- Mulac-Jericevic, B.; Mullinax, R.A.; DeMayo, F.J.; Lydon, J.P.; Conneely, O.M. Subgroup of reproductive functions of progesterone mediated by progesterone receptor-B isoform. Science 2000, 289, 1751–1754. [Google Scholar] [CrossRef]
- Chen, X.; Yang, C.; Huang, L.; Niu, Q.; Jiang, S.; Chi, F. Zearalenone altered the serum hormones, morphologic and apoptotic measurements of genital organs in post-weaning gilts. Asian-Australas. J. Anim. Sci. 2015, 28, 171–179. [Google Scholar] [CrossRef] [PubMed]
- Zhou, M.; Yang, L.J.; Yang, W.R.; Huang, L.B.; Zhou, X.M.; Jiang, S.Z.; Yang, Z.B. Effects of zearalenone on the localization and expression of the growth hormone receptor gene in the uteri of post-weaning piglets. Asian-Australas. J. Anim. Sci. 2018, 31, 32. [Google Scholar] [CrossRef] [PubMed]
- Jiang, S.; Yang, Z.; Yang, W.; Gao, J.; Liu, F.; Broomhead, J.; Chi, F. Effects of purified zearalenone on growth performance, organ size, serum metabolites, and oxidative stress in postweaning gilts. J. Anim. Sci. 2011, 89, 3008–3015. [Google Scholar] [CrossRef]
- Zhang, K.; Li, H.; Dong, S.; Liu, Y.; Wang, D.; Liu, H.; Su, F.; Ge, L.; Jiang, Y. Establishment and evaluation of a PRRSV-sensitive porcine endometrial epithelial cell line by transfecting SV40 large T antigen. BMC Vet. Res. 2019, 15, 299. [Google Scholar] [CrossRef] [PubMed]
- Rivera, A.; Agnati, L.F.; Horvath, T.; Valderrama, J.; de La Calle, A.; Fuxe, K. Uncoupling protein 2/3 immunoreactivity and the ascending dopaminergic and noradrenergic neuronal systems: Relevance for volume transmission. Neuroscience 2006, 137, 1447–1461. [Google Scholar] [CrossRef] [PubMed]
- Livak, K.J.; Schmittgen, T.D. Analysis of relative gene expression data using real-time quantitative PCR and the 2 (-Delta Delta C(T)) method. Methods 2001, 25, 402–408. [Google Scholar] [CrossRef] [PubMed]





| Items | Control | ZEA0.5 | ZEA1.0 | ZEA1.5 | SEM | p-Value | |
|---|---|---|---|---|---|---|---|
| Treatment | Linear | ||||||
| Apparent digestibility, % | |||||||
| CP | 84.80 | 84.78 | 85.10 | 85.69 | 0.433 | 0.391 | 0.043 |
| GE | 85.82 | 86.43 | 86.71 | 86.93 | 0.451 | 0.429 | 0.045 |
| Apparent metabolic rate, % | |||||||
| ME/GE | 76.54 b | 77.51 ab | 78.04 ab | 79.61 a | 0.777 | 0.041 | 0.017 |
| BV | 66.06 b | 66.57 b | 67.55 ab | 68.12 a | 0.781 | 0.048 | 0.024 |
| NPU | 60.11 b | 60.59 b | 61.46 ab | 62.14 a | 0.552 | 0.039 | 0.026 |
| Items | Control | ZEA0.5 | ZEA1.0 | ZEA1.5 | SEM | p-Value | |
|---|---|---|---|---|---|---|---|
| Treatment | Linear | ||||||
| E2, ng/mL | 11.89 bc | 12.74 b | 14.65 a | 11.15 c | 0.644 | <0.001 | 0.921 |
| Pr, ng/mL | 1.03 a | 0.99 a | 1.06 a | 0.75 b | 0.012 | <0.001 | 0.101 |
| FSH, mIU/mL | 2.86 b | 2.52 b | 4.12 a | 1.89 c | 0.074 | <0.001 | 0.440 |
| LH, mIU/mL | 3.09 | 3.00 | 2.99 | 2.97 | 0.051 | 0.825 | 0.380 |
| Ingredients | Content (%) | Nutrients 3 | |
|---|---|---|---|
| Corn | 64.5 | Digestible Energy, MJ/kg | 13.81 |
| Whey powder | 5.0 | Crude Protein (%) | 19.82 |
| Soybean meal | 23.0 | Calcium (%) | 0.70 |
| Fish meal | 5.0 | Total Phosphorus (%) | 0.64 |
| L-Lysine HCl | 0.2 | Lysine (%) | 1.22 |
| CaHPO4 | 0.7 | Sulfur Amino Acid (%) | 0.65 |
| Pulverized Limestone | 0.3 | Threonine (%) | 0.75 |
| NaCl | 0.3 | Tryptophan (%) | 0.22 |
| Premix 2 | 1.0 | ||
| Total | 100.0 |
| Target Gene | Accession | Primer Sequence (5′ to 3′) | Product Size, bp |
|---|---|---|---|
| GAPDH | NM-001206359.1 | F: ATGGTGAAGGTCGGAGTGAA | 154 |
| R: CGTGGGTGGAATCATACTGG | |||
| ER-α | NM-214220.1 | F: GACAGGAACCAGGGCAAGT | 125 |
| R: ATGATGGATTTGAGGCACAC | |||
| ER-β | NM-001001533.1 | F: ATGCCTTGGTCTGGGTGAT | 120 |
| R: GTTCCGTGCCCTTGTTACTG | |||
| PR | NC-010451.3 | F: ATGAAAGCCAAGCCCTAAGC | 180 |
| R: GGCAGTGACTTAGACCACGC |
Publisher’s Note: MDPI stays neutral with regard to jurisdictional claims in published maps and institutional affiliations. |
© 2022 by the authors. Licensee MDPI, Basel, Switzerland. This article is an open access article distributed under the terms and conditions of the Creative Commons Attribution (CC BY) license (https://creativecommons.org/licenses/by/4.0/).
Share and Cite
Song, T.; Zhou, X.; Ma, X.; Jiang, Y.; Yang, W.; Liu, F.; Liu, M.; Huang, L.; Jiang, S. Zearalenone Promotes Uterine Development of Weaned Gilts by Interfering with Serum Hormones and Up-Regulating Expression of Estrogen and Progesterone Receptors. Toxins 2022, 14, 732. https://doi.org/10.3390/toxins14110732
Song T, Zhou X, Ma X, Jiang Y, Yang W, Liu F, Liu M, Huang L, Jiang S. Zearalenone Promotes Uterine Development of Weaned Gilts by Interfering with Serum Hormones and Up-Regulating Expression of Estrogen and Progesterone Receptors. Toxins. 2022; 14(11):732. https://doi.org/10.3390/toxins14110732
Chicago/Turabian StyleSong, Tingting, Xuemei Zhou, Xiangming Ma, Yanping Jiang, Weiren Yang, Faxiao Liu, Mei Liu, Libo Huang, and Shuzhen Jiang. 2022. "Zearalenone Promotes Uterine Development of Weaned Gilts by Interfering with Serum Hormones and Up-Regulating Expression of Estrogen and Progesterone Receptors" Toxins 14, no. 11: 732. https://doi.org/10.3390/toxins14110732
APA StyleSong, T., Zhou, X., Ma, X., Jiang, Y., Yang, W., Liu, F., Liu, M., Huang, L., & Jiang, S. (2022). Zearalenone Promotes Uterine Development of Weaned Gilts by Interfering with Serum Hormones and Up-Regulating Expression of Estrogen and Progesterone Receptors. Toxins, 14(11), 732. https://doi.org/10.3390/toxins14110732

