A Nanobody-Based Immunoassay for Detection of Ustilaginoidins in Rice Samples
Abstract
1. Introduction
2. Results
2.1. Construction of a Nanobody Library
2.2. Selection of Phage Clones Speicific for Ustilaginoidins
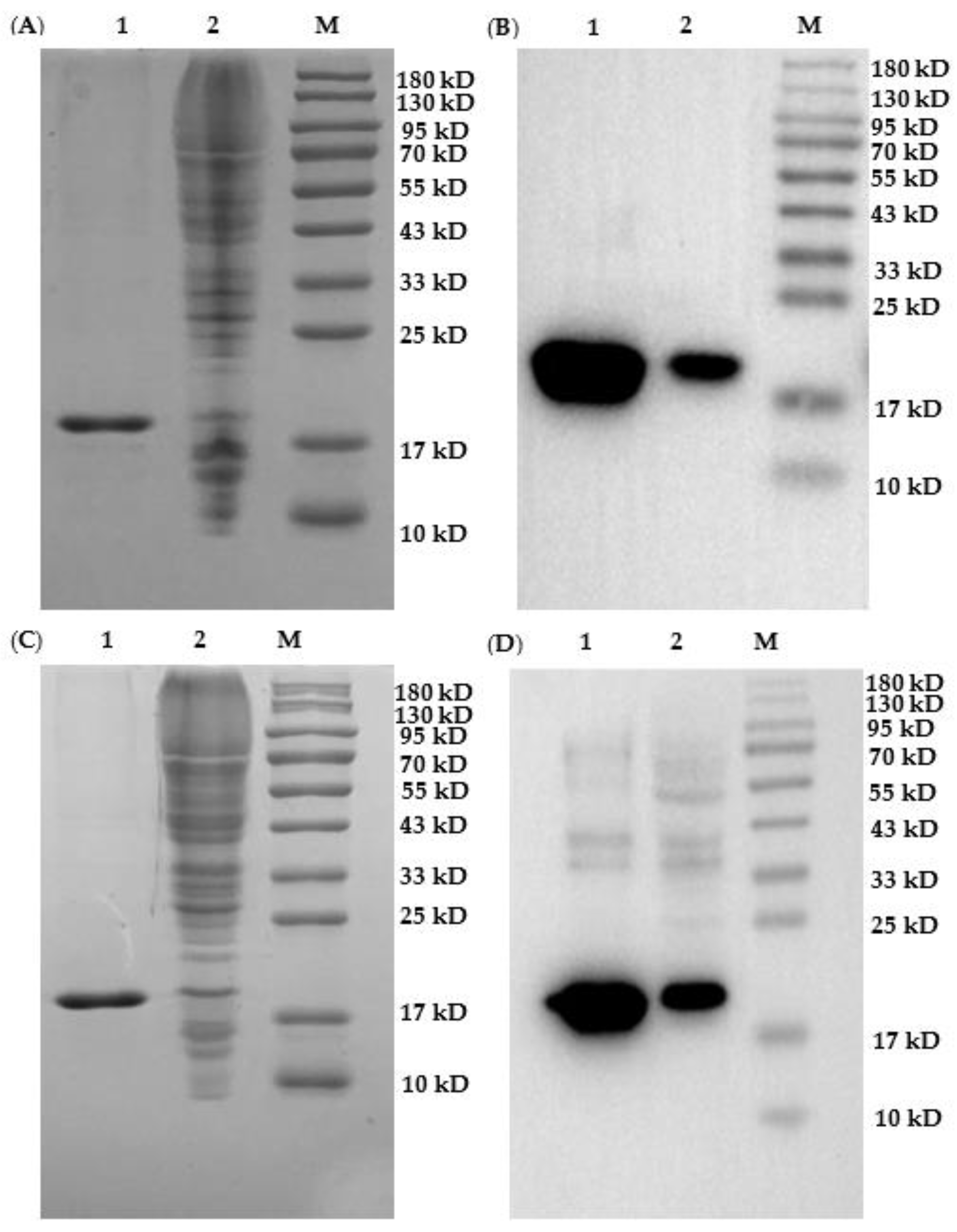
2.3. Expression and Verification of Nanobodies
2.4. Nanobody ELISA
2.5. Specificity of Nanobodies Nb–B15 and Nb–C21
2.6. Effects of Organic Solvents on Nb–B15 Binding Antigen
2.7. Nb–B15-Based ELISA Analysis of Rice Samples
2.8. Recognition Mechanisms of Nb–B15 and Nb–C21 against Ustilaginoidin A
3. Discussion
3.1. Hapten Design
3.2. Nanobody Screening
3.3. Nanobody Expression
3.4. Molecular Recognition Mechanism
4. Conclusions
5. Materials and Methods
5.1. Chemicals and Reagents
5.2. Preparation of Immunogen and Coating Antigens
5.3. Alpaca Immunization and Antiserum Assessment
5.4. Phage-Displayed Library Construction
5.5. Biopanning and Nanobody Screening
5.6. Polyclonal and Monoclonal Phage-ELISA
5.7. Expression and Purification of Five Nanobodies
5.8. Preparation and Detection of Ustilaginoidins of Rice Samples
5.9. Modeling and Docking
Supplementary Materials
Author Contributions
Funding
Institutional Review Board Statement
Informed Consent Statement
Data Availability Statement
Acknowledgments
Conflicts of Interest
References
- Bennett, J.W.; Klich, M. Mycotoxins. Clin. Microbiol. Rev. 2003, 16, 497–516. [Google Scholar] [CrossRef] [PubMed]
- Alshanna, A.; Yu, J.-H. Occurrence, toxicity, and analysis of major mycotoxins in food. Int. J. Environ. Res. Public Health 2017, 14, 632. [Google Scholar] [CrossRef] [PubMed]
- Pinotti, L.; Ottoboni, M.; Giromini, C.; Dell’Orto, V.; Cheli, F. Mycotoxin contamination in the EU feed supply chain: A focus on cereal byproducts. Toxins 2016, 8, 45. [Google Scholar] [CrossRef] [PubMed]
- Berthiller, F.; Crews, C.; Dall’Asta, C.; De Saeger, S.; Haesaert, G.; Karlovsky, P.; Oswald, I.P.; Seefelder, W.; Speijers, G.; Stroka, J. Masked mycotoxins: A review. Mol. Nutr. Food Res. 2013, 57, 165–186. [Google Scholar] [CrossRef] [PubMed]
- Marin, S.; Ramos, A.J.; Cano-Sancho, G.; Sanchis, V. Mycotoxins: Occurrence, toxicology, and exposure assessment. Food Chem. Toxicol. 2013, 60, 218–237. [Google Scholar] [CrossRef]
- Sun, W.; Fan, J.; Fang, A.; Li, Y.; Tariqjaveed, M.; Li, D.; Hu, D.; Wang, W.-M. Ustilaginoidea virens: Insights into an emerging rice pathogen. Annu. Rev. Phytopathol. 2020, 58, 363–385. [Google Scholar] [CrossRef]
- Koyama, K.; Natori, S. Further characterization of seven bis (naphtho-γ-pyrone) congeners of ustilaginoidins, coloring matters of Claviceps virens (Ustilaginoidea virens). Chem. Pharm. Bull. 1988, 36, 146–152. [Google Scholar] [CrossRef]
- Lu, S.; Sun, W.; Meng, J.; Wang, A.; Wang, X.; Tian, J.; Fu, X.; Dai, J.; Liu, Y.; Lai, D.; et al. Bioactive bis-naphtho-γ-pyrones from rice false smut pathogen Ustilaginoidea virens. J. Agric. Food Chem. 2015, 63, 3501–3508. [Google Scholar] [CrossRef]
- Sun, W.; Wang, A.; Xu, D.; Wang, W.; Meng, J.; Dai, J.; Liu, Y.; Lai, D.; Zhou, L. New ustilaginoidins from rice false smut balls caused by Villosiclava virens and their phytotoxic and cytotoxic activities. J. Agric. Food Chem. 2017, 65, 5151–5160. [Google Scholar] [CrossRef]
- Meng, J.; Zhao, S.; Dang, P.; Zhou, Z.; Lai, D.; Zhou, L. Ustilaginoidin M1, a new bis-naphtho-γ-pyrone from the fungus Villosiclava virens. Nat. Prod. Res. 2021, 35, 1555–1560. [Google Scholar] [CrossRef]
- Tsuchiya, T.; Sekita, S.; Koyama, K.; Natori, S.; Takahashi, A. Effect of chaetochromin A, chaetochromin D and ustilaginoidin A, bis (naphtho-γ-pyrone) derivatives, on the mouse embryo limb bud and midbrain cells in culture. Congenit. Anom. 1987, 27, 245–250. [Google Scholar] [CrossRef]
- Wang, B.; Liu, L.; Li, Y.; Zou, J.; Li, D.; Zhao, D.; Li, W.; Sun, W. Ustilaginoidin D induces hepatotoxicity and behaviour aberrations in zebrafish larvae. Toxicology 2021, 456, 152786. [Google Scholar] [CrossRef]
- Meng, J.; Sun, W.; Mao, Z.; Xu, D.; Wang, X.; Lu, S.; Lai, D.; Liu, Y.; Zhou, L.; Zhang, G. Main ustilaginoidins and their distribution in rice false smut balls. Toxins 2015, 7, 4023–4034. [Google Scholar] [CrossRef]
- Flajs, D.; Domijan, A.; Ivić, D.; Cvjetković, B.; Peraica, M. ELISA and HPLC analysis of ochratoxin A in red wines of Croatia. Food Control 2009, 20, 590–592. [Google Scholar] [CrossRef]
- Galarini, R.; Diana, F.; Moretti, S.; Puppini, B.; Saluti, G.; Persic, L. Development and validation of a new qualitative ELISA screening for multiresidue detection of sulfonamides in food and feed. Food Control 2014, 35, 300–310. [Google Scholar] [CrossRef]
- Christensen, H.; Yu, F.; Chu, F. Development of a polyclonal antibody-based sensitive enzyme-linked immunosorbent assay for fumonisin B(4). J. Agric. Food Chem. 2000, 48, 1977–1984. [Google Scholar] [CrossRef]
- Wang, Y.; Zhang, C.; Wang, J.; Knopp, D. Recent progress in rapid determination of mycotoxins based on emerging biorecognition molecules: A review. Toxins 2022, 14, 73. [Google Scholar] [CrossRef]
- Peltomaa, R.; Barderas, R.; Benito-Peña, E.; Moreno-Bondi, M. Recombinant antibodies and their use for food immunoanalysis. Anal. Bioanal. Chem. 2021, 414, 193–217. [Google Scholar] [CrossRef]
- Arola, H.; Tullila, A.; Kiljunen, H.; Campbell, K.; Siitari, H.; Nevanen, T.-K. Specific noncompetitive immunoassay for HT-2 mycotoxin detection. Anal. Chem. 2016, 88, 2446–2452. [Google Scholar] [CrossRef]
- Ren, W.; Xu, Y.; Huang, Z.; Li, Y.; Tu, Z.; Zou, L.; He, Q.; Fu, J.; Liu, S.; Hammock, B. Single-chain variable fragment antibody based immunochromatographic strip for rapid detection of fumonisin B1 in maize samples. Food Chem. 2020, 319, 126546. [Google Scholar] [CrossRef]
- Glockshuber, R.; Malia, M.; Pfitzinger, I.; Plückthun, A. A comparison of strategies to stabilize immunoglobulin Fv-fragments. Biochemistry 1990, 29, 1362–1367. [Google Scholar] [CrossRef]
- Hamers-Casterman, C.; Atarhouch, T.; Muyldermans, S.; Robinson, G.; Hamers, C.; Songa, E.-B.; Bendahman, N.; Hamers, R. Naturally occurring antibodies devoid of light chains. Nature 1993, 363, 446–448. [Google Scholar] [CrossRef]
- Muyldermans, S. Nanobodies: Natural single-domain antibodies. Annu. Rev. Biochem. 2013, 82, 775–797. [Google Scholar] [CrossRef]
- De Meyer, T.; Muyldermans, S.; Depicker, A. Nanobody-based products as research and diagnostic tools. Trends Biotechnol. 2014, 32, 263–270. [Google Scholar] [CrossRef]
- Bever, C.; Dong, J.; Vasylieva, N.; Barnych, B.; Cui, Y.; Xu, Z.; Hammock, B.; Gee, S. VHH antibodies: Emerging reagents for the analysis of environmental chemicals. Anal. Bioanal. Chem. 2016, 408, 5985–6002. [Google Scholar] [CrossRef]
- Deantonio, C.; Cotella, D.; Macor, P.; Santoro, C.; Sblattero, D. Phage display technology for human monoclonal antibodies. Methods Mol. Biol. 2014, 1060, 277–295. [Google Scholar]
- Hu, K.; Huang, X.; Jiang, Y.; Qiu, J.; Fang, W.; Yang, X. Influence of hapten density on immunogenicity for anti-ciprofloxacin antibody production in mice. Biosci. Trends 2012, 6, 52–56. [Google Scholar] [CrossRef][Green Version]
- Lai, D.; Meng, J.; Xu, D.; Zhang, X.; Liang, Y.; Han, Y.; Jiang, C.; Liu, H.; Wang, C.; Zhou, L.; et al. Determination of the absolute configurations of the stereogenic centers of ustilaginoidins by studying the biosynthetic monomers from a gene knockout mutant of Villosiclava virens. Sci. Rep. 2019, 9, 1855. [Google Scholar] [CrossRef]
- Xu, D.; Yin, R.; Zhou, Z.; Gu, G.; Zhao, S.; Xu, J.; Liu, J.; Peng, Y.; Lai, D.; Zhou, L. Elucidation of ustilaginoidin biosynthesis reveals a previously unrecognised class of ene-reductases. Chem. Sci. 2021, 12, 14883–14892. [Google Scholar] [CrossRef]
- Liu, W.; Song, H.; Chen, Q.; Yu, J.; Xian, M.; Nian, R.; Feng, D. Recent advances in the selection and identification of antigen-specific nanobodies. Mol. Immunol. 2018, 96, 37–47. [Google Scholar] [CrossRef]
- Smith, G.-P. Filamentous fusion phage: Novel expression vectors that display cloned antigens on the virion surface. Science 1985, 228, 1315–1317. [Google Scholar] [CrossRef] [PubMed]
- Wang, J.; Bever, C.; Majkova, Z.; Dechant, J.; Yang, J.; Gee, S.; Xu, T.; Hammock, B. Heterologous antigen selection of camelid heavy chain single domain antibodies against tetrabromobisphenol A. Anal. Chem. 2014, 86, 8296–8302. [Google Scholar] [CrossRef] [PubMed]
- Liu, Z.; Wang, K.; Wu, S.; Wang, Z.; Ding, G.; Hao, X.; Li, Q.-X.; Li, J.; Gee, S.-J.; Hammock, B.-D.; et al. Development of an immunoassay for the detection of carbaryl in cereals based on a camelid variable heavy-chain antibody domain. J. Sci. Food Agric. 2019, 99, 4383–4390. [Google Scholar] [CrossRef] [PubMed]
- Wang, X.; Chen, Q.; Sun, Z.; Wang, Y.; Su, B.; Zhang, C.; Cao, H.; Liu, X. Nanobody affinity improvement: Directed evolution of the anti-ochratoxin A single domain antibody. Int. J. Biol. Macromol. 2020, 151, 312–321. [Google Scholar] [CrossRef]
- Ren, W.; Li, Z.; Xu, Y.; Wan, D.; Barnych, B.; Li, Y.; Tu, Z.; He, Q.; Fu, J.; Hammock, B. One-step ultrasensitive bioluminescent enzyme immunoassay based on nanobody/nanoluciferase fusion for detection of aflatoxin B1 in cereal. J. Agric. Food Chem. 2019, 67, 5221–5229. [Google Scholar] [CrossRef]
- Yeung, A.W.K.; Souto, E.B.; Durazzo, A.; Lucarini, M.; Novellino, E.; Tewari, D.; Wang, D.; Atanasov, A.G.; Santini, A. Big impact of nanoparticles: Analysis of the most cited nanopharmaceuticals and nanonutraceuticals research. Curr. Res. Biotechnol. 2020, 2, 53–63. [Google Scholar] [CrossRef]
- Zhang, Y.-Q.; Xu, Z.-L.; Wang, F.; Cai, J.; Dong, J.-X.; Zhang, J.-R.; Si, R.; Wang, C.-L.; Wang, Y.; Shen, Y.-D.; et al. Isolation of bactrian camel single domain antibody for parathion and development of one-step dc-FEIA method using VHH-alkaline phosphatase fusion protein. Anal. Chem. 2018, 90, 12886–18892. [Google Scholar] [CrossRef]
- Liu, Y.; Huang, H. Expression of single-domain antibody in different systems. Appl. Microbiol. Biotechnol. 2018, 102, 539–551. [Google Scholar] [CrossRef]
- Abe, M.; Yuki, Y.; Kurokawa, S.; Mejim, M.; Kuroda, M.; Park, E.; Scheller, J.; Nakanishi, U.; Kiyono, H. A rice-based soluble form of a murine TNF-specific llama variable domain of heavy-chain antibody suppresses collagen-induced arthritis in mice. J. Biotechnol. 2014, 175, 45–52. [Google Scholar] [CrossRef]
- Abbott, W.M.; Damschroder, M.-M.; Lowe, D.-C. Current approaches to fine mapping of antigen-antibody interactions. Immunology 2014, 142, 526–535. [Google Scholar] [CrossRef]
- Kuroda, D.; Shirai, H.; Jacobson, M.-P.; Nakamura, H. Computer-aided antibody design. Protein Eng. Des. Sel. 2012, 25, 507–521. [Google Scholar] [CrossRef]
- Ding, L.; Wang, Z.; Zhong, P.; Jiang, H.; Zhao, Z.; Zhang, Y.; Ren, Z.; Ding, Y. Structural insights into the mechanism of single domain VHH antibody binding to cortisol. FEBS Lett. 2019, 593, 1248–1256. [Google Scholar]
- Fanning, S.; Horn, J. An anti-hapten camelid antibody reveals a cryptic binding site with significant energetic contributions from a nonhypervariable loop. Protein Sci. 2011, 20, 1196–1207. [Google Scholar] [CrossRef]
- Spinelli, S.; Tegoni, M.; Frenken, L.; Van, C.; Cambillau, C. Lateral recognition of a dye hapten by a llama VHH domain. J. Mol. Biol. 2001, 311, 123–129. [Google Scholar] [CrossRef]
- Spinelli, S.; Frenken, L.; Hermans, P.; Verrips, T.; Brown, K.; Tegoni, M.; Cambillau, C. Camelid heavy-chain variable domains provide efficient combining sites to haptens. Biochemistry 2000, 39, 1217–1222. [Google Scholar] [CrossRef]
- Rosa, S.; Wogulis, L.; Wogulis, M.; González-Sapienza, G.; Wilson, D. Structure and specificity of several triclocarban-binding single domain camelid antibody fragments. J. Mol. Recognit. 2018, 32, 2755. [Google Scholar]
- Lesne, J.; Chang, H.-J.; De Vishch, A.; Paloni, M.; Barthe, P.; Guichou, J.-F.; Mayonove, P.; Barducci, A.; Labesse, G.; Bonnet, J.; et al. Structural basis for chemically-induced homodimerization of a single domain antibody. Sci. Rep. 2019, 9, 1840. [Google Scholar] [CrossRef]
- Pastor-Navarro, N.; Morais, S.; Maquieira, A.; Puchades, R. Synthesis of haptens and development of a sensitive immunoassay for tetracycline residues. Application to honey samples. Anal. Chim. Acta 2007, 594, 211–218. [Google Scholar] [CrossRef]
- Faraj, B.A.; Ali, F.M. Development and application of a radioimmunoassay for tetracycline. J. Pharmacol. Exp. Ther. 1981, 217, 10–14. [Google Scholar]
- Chen, Y.; Kong, D.; Liu, L.; Song, S.; Kuang, H.; Xu, C. Development of an ELISA and immunochromatographic assay for tetracycline, oxytetracycline, and chlortetracycline residues in milk and honey based on the class-specific monoclonal antibody. Food Anal. Method 2016, 9, 905–914. [Google Scholar] [CrossRef]
- Kim, H.; McCoy, M.; Majkova, Z.; Dechant, J.; Gee, S.; Rosa, S.; González-Sapienza, G.; Hammock, B. Isolation of alpaca anti-hapten heavy chain single domain antibodies for development of sensitive immunoassay. Anal. Chem. 2012, 84, 1165–1171. [Google Scholar] [CrossRef]
- He, T.; Wang, Y.; Li, P.; Zhang, Q.; Lei, J.; Zhang, Z.; Ding, X.; Zhou, H.; Zhang, W. Nanobody-based enzyme immunoassay for aflatoxin in agro-products with high tolerance to cosolvent methanol. Anal. Chem. 2014, 86, 8873–8880. [Google Scholar] [CrossRef]










| Round | Elution Method | Washing Times |
|---|---|---|
| 1 | Trypsin elution | 10 |
| 2 | Trypsin and competitive elution (USA, 1000 ng/mL) | 15 |
| 3 | Competitive elution (USA/USB/USC, 200 ng/mL) | 20 |
| Round | Input (pfu/mL) | Output (pfu/mL) |
|---|---|---|
| 1 | 1.18 × 1013 | 7.6 × 106 |
| 2 | 1.5 × 1013 | Trypsin 1.1 × 107/competitive elution 9.9 × 106 |
| 3 | 2.0 × 1013 | USA 8.1 × 107/USB 6.5 × 107/USC 7.5 × 107 |
| Analyte | IC50 (μg/mL) | Cross-Reactivity (%) |
|---|---|---|
| Ustilaginoidin A | 11.86 ± 0.53 | 100 ± 4.4 |
| Ustilaginoidin B | 16.31 ± 0.91 | 72.7 ± 7.7 |
| Ustilaginoidin C | 31.83 ± 1.49 | 37.3 ± 1.7 |
| Ustilaginoidin G | 6.95 ± 1.43 | 171.6 ± 29.6 |
| Ustilaginoidin I | 18.11 ± 0.37 | 65.5 ± 1.4 |
| Aflatoxin B1 | ND | ND |
| Zearalenone | ND | ND |
| Deoxynivalenol | ND | ND |
| Trichodimerol | ND | ND |
| Ustiloxin A | ND | ND |
| Analyte | IC50 (μg/mL) | Cross-Reactivity (%) |
|---|---|---|
| Ustilaginoidin A | 11.22 ± 0.73 | 100 ± 4.5 |
| Ustilaginoidin B | 12.90 ± 0.77 | 86.9 ± 5.6 |
| Ustilaginoidin C | 32.00 ± 4.31 | 35.0 ± 4.5 |
| Ustilaginoidin G | 12.06 ± 2.08 | 125.0 ± 16.9 |
| Ustilaginoidin I | 16.04 ± 2.31 | 69.9 ± 7.2 |
| Aflatoxin B1 | ND | ND |
| Zearalenone | ND | ND |
| Deoxynivalenol | ND | ND |
| Trichodimerol | ND | ND |
| Ustiloxin A | ND | ND |
| Collection Area (Longitude, Latitude, Time) | Nb–B15-Based ELISA (mg/g) | HPLC (mg/g) |
|---|---|---|
| Chengdu (104.1° E, 30.6° N), Sichuan, China, in 2014 | 0.115 ± 0.002 | 0.110 ± 0.009 |
| Hefei (117.2° E, 31.8° N), Anhui, China, in 2014 | 1.088 ± 0.020 | 1.035 ± 0.074 |
| Guilin (110.7° E, 25.6° N), Guangxi, China, in 2015 | 0.781 ± 0.067 | 0.764 ± 0.019 |
| Anqing (116.6° E, 30.6° N), Anhui, China, in 2017 | 0.465 ± 0.013 | 0.449 ± 0.059 |
| Donggang (124.2° E, 39.9° N), Liaoning, China, in 2017 | 0.090 ± 0.006 | 0.085 ± 0.005 |
| Haidian (116.2° E, 40.1° N), Beijing, China, in 2018 | 0.084 ± 0.006 | 0.074 ± 0.007 |
| Kaili (107.5° E, 26.3° N), Guizhou, China, in 2018 | 0.086 ± 0.004 | 0.081 ± 0.013 |
| Enshi (109.3° E, 30.2° N), Hubei, China, in 2019 | 0.172 ± 0.014 | 0.161 ± 0.009 |
Publisher’s Note: MDPI stays neutral with regard to jurisdictional claims in published maps and institutional affiliations. |
© 2022 by the authors. Licensee MDPI, Basel, Switzerland. This article is an open access article distributed under the terms and conditions of the Creative Commons Attribution (CC BY) license (https://creativecommons.org/licenses/by/4.0/).
Share and Cite
Wang, W.; Gu, G.; Yin, R.; Fu, J.; Jing, M.; Shen, Z.; Lai, D.; Wang, B.; Zhou, L. A Nanobody-Based Immunoassay for Detection of Ustilaginoidins in Rice Samples. Toxins 2022, 14, 659. https://doi.org/10.3390/toxins14100659
Wang W, Gu G, Yin R, Fu J, Jing M, Shen Z, Lai D, Wang B, Zhou L. A Nanobody-Based Immunoassay for Detection of Ustilaginoidins in Rice Samples. Toxins. 2022; 14(10):659. https://doi.org/10.3390/toxins14100659
Chicago/Turabian StyleWang, Weixuan, Gan Gu, Ruya Yin, Jiajin Fu, Mingpeng Jing, Zhen Shen, Daowan Lai, Baomin Wang, and Ligang Zhou. 2022. "A Nanobody-Based Immunoassay for Detection of Ustilaginoidins in Rice Samples" Toxins 14, no. 10: 659. https://doi.org/10.3390/toxins14100659
APA StyleWang, W., Gu, G., Yin, R., Fu, J., Jing, M., Shen, Z., Lai, D., Wang, B., & Zhou, L. (2022). A Nanobody-Based Immunoassay for Detection of Ustilaginoidins in Rice Samples. Toxins, 14(10), 659. https://doi.org/10.3390/toxins14100659

