FumDSB Can Reduce the Toxic Effects of Fumonisin B1 by Regulating Several Brain-Gut Peptides in Both the Hypothalamus and Jejunum of Growing Pigs
Abstract
:1. Introduction
2. Results
2.1. Production Performance
2.2. mRNA and Protein Expression of Several Brain-Gut Peptides in Hypothalamus and Jejunum
2.3. Distribution of Several Brain-Gut Peptides in the Hypothalamus
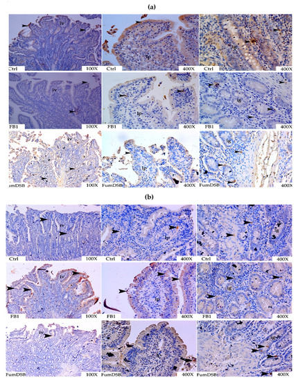
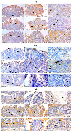
2.4. Distribution of Several Brain-Gut Peptides in the Jejunum
2.5. mRNA and Protein Expression of Ghrelin/Obestatin Receptor in Hypothalamus and Jejunum
2.6. Distribution of Ghrelin/Obestatin/GHSR in Hypothalamus
2.7. Distribution of Ghrelin/Obestatin/GHSR in Jejunum
3. Discussion
3.1. Selection of Additive Amount of FB1
3.2. Appetite-Related Brain-Gut Peptide
3.3. Ghrelin/Obestatin in the Hypothalamus and Jejunum Induced by FB1
4. Conclusions
5. Materials and Methods
5.1. Ethics Statement
5.2. Source and Pre-Processing of Fumonisin Detoxification Enzymes, FumDSB
5.3. Animal Feeding and Sampling
5.4. qRT-PCR
5.5. Western Blot
5.6. Immunohistochemistry (IHC)
5.7. Data Statistics
Author Contributions
Funding
Institutional Review Board Statement
Informed Consent Statement
Data Availability Statement
Acknowledgments
Conflicts of Interest
References
- Kamle, M.; Mahato, D.K.; Devi, S.; Lee, K.E.; Kang, S.G.; Kumar, P. Fumonisins: Impact on agriculture, food, and human health and their management strategies. Toxins 2019, 11, 328. [Google Scholar] [CrossRef] [Green Version]
- Ponce-García, N.; Serna-Saldivar, S.O.; Garcia-Lara, S. Fumonisins and their analogues in contaminated corn and its processed foods—A review. Food Addit. Contam. 2018, 35, 2183–2203. [Google Scholar] [CrossRef]
- Pitt, J.I.; Miller, J.D. A Concise History of Mycotoxin Research. J. Agric. Food Chem. 2017, 65, 7021–7033. [Google Scholar] [CrossRef] [PubMed]
- Marin, S.; Ramos, A.J.; Cano-Sancho, G.; Sanchis, V. Mycotoxins: Occurrence, toxicology, and exposure assessment. Food Chem. Toxicol. 2013, 60, 218–237. [Google Scholar] [CrossRef]
- Scott, P.M. Recent research on fumonisins: A review. Food Addit. Contam. Part A Chem. Anal. Control. Expos. Risk Assess. 2012, 29, 242–248. [Google Scholar] [CrossRef] [PubMed]
- Souto, P.C.M.C.; Jager, A.V.; Tonin, F.G.; Petta, T.; Gregorio, M.C.D.; Cossalter, A.M.; Pinton, P.; Oswald, I.P.; Rottinghaus, G.E.; Oliveira, C.A.F. Determination of fumonisin B1 levels in body fluids and hair from piglets fed fumonisin B1-contaminated diets. Food Chem. Toxicol. 2017, 108, 1–9. [Google Scholar] [CrossRef] [PubMed]
- Chen, J.; Wei, Z.; Wang, Y.; Long, M.; Wu, W.; Kuca, K. Fumonisin B1: Mechanisms of toxicity and biological detoxification progress in animals. Food Chem. Toxicol. 2021, 149, 111977. [Google Scholar] [CrossRef]
- Bracarense, A.P.F.L.; Lucioli, J.; Grenier, B.; Drociunas Pacheco, G.; Moll, W.D.; Schatzmayr, G.; Oswald, I.P. Chronic ingestion of deoxynivalenol and fumonisin, alone or in interaction, induces morphological and immunological changes in the intestine of piglets. Brit. J. Nutr. 2011, 107, 1776–1786. [Google Scholar] [CrossRef] [PubMed] [Green Version]
- Prodanov-Radulovic, J.; Došen, R.; Stojanov, I.; Polaček, V.; Pušić, I. The interaction between the swine infectious diseases agents and low levels of mycotoxins in swine feed. Biotechnol. Anim. Husb. 2014, 30, 434–444. [Google Scholar] [CrossRef]
- Wu, N.; Ou, W.; Zhang, Z.; Wang, Y.; Huang, H. Recent advances in detoxification strategies for zearalenone contamination in food and feed. Chin. J. Chem. Eng. 2021, 30, 168–177. [Google Scholar] [CrossRef]
- Li, F.; Wang, J.; Huang, L.; Chen, H.; Wang, C. Effects of Adding Clostridium sp. WJ06 on Intestinal Morphology and Microbial Diversity of Growing Pigs Fed with Natural Deoxynivalenol Contaminated Wheat. Toxins 2017, 9, 383. [Google Scholar] [CrossRef] [PubMed] [Green Version]
- Wallace, R.; Chesson, A.; Gropp, J.; Glandorf, B.; Herman, L.; Tebbe, C. Scientific opinion on the safety and efficacy of fumonisin esterase (FUMzyme®) as a technological feed additive for pigs. EFSA J. 2014, 12, 3667–3686. [Google Scholar]
- Zhao, Z.; Zhang, Y.; Gong, A.; Liu, N.; Chen, S.; Zhao, X.; Li, X.; Chen, L.; Zhou, C.; Wang, J. Biodegradation of mycotoxin fumonisin B1 by a novel bacterial consortium SAAS79. Appl. Microbiol. Biotechnol. 2019, 103, 7129–7140. [Google Scholar] [CrossRef]
- Chen, T.T.; Zhang, Q.Y.; Wang, P.; Lin, L.; Yang, H.; Yang, L.H.; Yang, S.L.; Yuan, Y.W. Research on the degradation of fumonisins by a carboxylesterase. Feed Ind. 2018, 39, 48–53. [Google Scholar]
- Alberts, J.; Schatzmayr, G.; Moll, W.D.; Davids, I.; Rheeder, J.; Burger, H.M.; Shephard, G.; Gelderblom, W. Detoxification of the fumonisin mycotoxins in maize: An enzymatic approach. Toxins 2019, 11, 523. [Google Scholar] [CrossRef] [Green Version]
- Li, Z.; Wang, Y.; Liu, Z.; Jin, S.; Pan, K.; Liu, H.; Liu, T.; Li, X.; Zhang, C.; Luo, X.; et al. Biological detoxification of fumonisin by a novel carboxylesterase from Sphingomonadales bacterium and its biochemical characterization. Int. J. Biol. Macromol. 2021, 169, 18–27. [Google Scholar] [CrossRef]
- Clemmensen, C.; Müller, T.D.; Woods, S.C.; Berthoud, H.R.; Seeley, R.J.; Tschöp, M.H. Gut-Brain Cross-Talk in Metabolic Control. Cell 2017, 168, 758–774. [Google Scholar] [CrossRef] [Green Version]
- Dong, D.; Xie, J.; Wang, J. Neuroprotective Effects of Brain-Gut Peptides: A Potential Therapy for Parkinson’s Disease. Neurosci. Bull. 2019, 35, 1085–1096. [Google Scholar] [CrossRef]
- Truby, H.; Bennett, C.; Martins, C. A review of the short- and long-term impact of weight loss on appetite in youth: What do we know and where to from here? Proc. Nutr. Soc. 2020, 79, 357–366. [Google Scholar] [CrossRef]
- Domijan, A.M. Fumonisin B1: A neurotoxic mycotoxin. Arh. Hig. Rada Toksikol. 2012, 63, 531–544. [Google Scholar] [CrossRef] [Green Version]
- Gbore, F.A. Brain and hypophyseal acetylcholinesterase activity of pubertal boars fed dietary fumonisin B1. Physiol. Anim. Nutrit. 2010, 94, e123–e129. [Google Scholar] [CrossRef]
- Jakšić, S.; Popov, N.; Baloš, M.Ž.; Prodanov-Radulović, J.; Abramović, B. Fumonisins in pig feed. Arhiv. Vet. Med. 2018, 11, 43–51. [Google Scholar] [CrossRef]
- Pierron, A.; Alassane-Kpembi, I.; Oswald, I.P. Impact of two mycotoxins deoxynivalenol and fumonisin on pig intestinal health. Porc. Health Manag. 2016, 2, 21–28. [Google Scholar] [CrossRef]
- Burel, C.; Tanguy, M.; Guerre, P.; Boilletot, E.; Cariolet, R.; Queguiner, M.; Postollec, G.; Pinton, P.; Salvat, G.; Oswald, I.; et al. Effect of low dose of fumonisins on pig health: Immune status, intestinal microbiota and sensitivity to Salmonella. Toxins 2013, 5, 841–864. [Google Scholar] [CrossRef] [PubMed] [Green Version]
- Dozolme, P.M.A.; Moukha, S.M. The in vitro Production Potentialities of Secondary Toxic Metabolites by the Fungal Factory Fusarium verticillioides Is, Fortunately, Largely Underestimated in Fields: Pioneering Study on Fumonisins. Front. Microbiol. 2020, 11, 562754. [Google Scholar] [CrossRef]
- Chen, Z.G.; Chen, H.Y.; Li, X.; Yuan, Q.L.; Su, J.M.; Yang, L.; Ning, L.Z.; Lei, H.Y. Fumonisin B1 damages the barrier functions of porcine intestinal epithelial cells in vitro. J. Biochem. Mol. Toxi. 2019, 33, e22397. [Google Scholar]
- Gu, M.J.; Han, S.E.; Hwang, K.; Mayer, E.; Reisinger, N.; Schatzmayr, D.; Park, B.C.; Han, S.H.; Yun, C.H. Hydrolyzed fumonisin B1 induces less inflammatory responses than fumonisin B1 in the co-culture model of porcine intestinal epithelial and immune cells. Toxicol. Lett. 2019, 305, 110–116. [Google Scholar] [CrossRef]
- Park, J.; Chang, H.; Hong, S.; Kim, D.; Chung, S.; Lee, C. A Decrease of Incidence Cases of Fumonisins in South Korean Feedstuff between 2011 and 2016. Toxins 2017, 9, 286. [Google Scholar] [CrossRef] [Green Version]
- Tardieu, D.; Travel, A.; Metayer, J.P.; Le Bourhis, C.; Guerre, P. Fumonisin B1, B2 and B3 in muscle and liver of broiler chickens and Turk Gboreey poults fed with diets containing fusariotoxins at the EU maximum tolerable level. Toxins 2019, 11, 590. [Google Scholar] [CrossRef] [PubMed] [Green Version]
- Peillod, C.; Laborde, M.; Travel, A.; Mika, A.; Bailly, J.D.; Cleva, D.; Boissieu, C.; Le Guennec, J.; Albaric, O.; Labrut, S. Toxic Effects of Fumonisins, Deoxynivalenol and Zearalenone Alone and in Combination in Ducks Fed the Maximum EU Tolerated Level. Toxins 2021, 13, 152. [Google Scholar] [CrossRef]
- Gao, Y.; Yuan, X.; Zhu, Z.; Wang, D.; Gu, W. Research and prospect of peptides for use in obesity treatment (review). Exp. Ther. Med. 2020, 20, 234. [Google Scholar] [CrossRef] [PubMed]
- Yousefvand, S.; Hamidi, F. The role of ventromedial hypothalamus receptors in the central regulation of food intake. Int. J. Pept. Res. Ther. 2021, 27, 1–14. [Google Scholar] [CrossRef]
- Murashita, K.; Kurokawa, T.; Nilsen, T.O.; Rønnestad, I. Ghrelin, cholecystokinin, and peptide YY in Atlantic salmon (Salmo salar): Molecular cloning and tissue expression. Gen. Comp. Endocrinol. 2009, 160, 223–235. [Google Scholar] [CrossRef]
- Duarte-Neves, J.; De Almeida, L.P.; Cavadas, C. Neuropeptide Y (NPY) as a therapeutic target for neurodegenerative diseases. Neurobiol. Dis. 2016, 95, 210–224. [Google Scholar] [CrossRef]
- Assan, D.; Mustapha, U.F.; Chen, H.; Li, Z.; Peng, Y.; Li, G. The Roles of Neuropeptide Y (Npy) and Peptide YY (Pyy) in Teleost Food Intake: A Mini Review. Life 2021, 11, 547. [Google Scholar] [CrossRef]
- Wei, P.; Keller, C.; Li, L. Neuropeptides in F axis and their influence on host immunity and stress. Comput. Struct. Biotec. 2020, 18, 843–851. [Google Scholar] [CrossRef] [PubMed]
- Chen, C.H.; Stephens, R.L., Jr.; Rogers, R.C. PYY and NPY: Control of gastric motility via action on Y1 and Y2 receptors in the DVC. Neurogastroent Motil. 2010, 9, 109–116. [Google Scholar] [CrossRef]
- Lee, M.D.; Clifton, P.G. Role of the serotonergic system in appetite and ingestion control- ScienceDirect. Handb. Behav. Neurosci. 2020, 31, 469–487. [Google Scholar]
- Xu, Y.; Jones, J.E.; Lauzon, D.A.; Anderson, J.G.; Balthasar, N.; Heisler, L.K.; Zinn, A.R.; Lowell, B.B.; Elmquist, J.K. A serotonin and melanocortin circuit mediates d-fenfluramine anorexia. J. Neurosci. 2010, 30, 14630–14634. [Google Scholar] [CrossRef] [PubMed]
- Gawlińska, K.; Gawliński, D.; Filip, M.; Przegaliński, E. Maternal feeding patterns affect the offspring’s brain: Focus on serotonin 5-HT2C and 5-HT2A receptors. Pharmacol. Rep. 2021, 73, 1170–1178. [Google Scholar] [CrossRef] [PubMed]
- Heisler, L.K.; Jobst, E.E.; Sutton, G.M.; Zhou, L.; Borok, E.; Thorntonjones, Z.; Liu, H.Y.; Zigman, J.M.; Balthasar, N.; Kishi, T. Serotonin reciprocally regulates melanocortin neurons to modulate food intake. Neuron 2006, 51, 239–249. [Google Scholar] [CrossRef] [Green Version]
- Li, F.; Huang, L.; Chen, H.; Yuan, J.; Wang, C.; Wang, J. Effect of Clostridium on proliferating cell nuclear antigen and ghrelin in the small intestine of fattening pigs fed with deoxynivalenol. World Mycotoxin. J. 2021, 14, 85–98. [Google Scholar] [CrossRef]
- Davis, J. Hunger, ghrelin and the gut. Brain Res. 2018, 1693, 154–158. [Google Scholar] [CrossRef] [PubMed]
- Xing, Y.X.; Yang, L.; Kuang, H.Y.; Gao, X.Y.; Liu, H.L. Function of obestatin in the digestive system. Nutrition 2017, 34, 21–28. [Google Scholar] [CrossRef] [PubMed]
- Zhang, J.V.; Ren, P.G.; Avsian-Kretchmer, O.; Luo, C.; Rauch, R.; Klein, C. Obestatin, a peptide encoded by the Ghrelin gene, opposes Ghrelin effects on food intake. Science 2005, 310, 996–999. [Google Scholar] [CrossRef] [Green Version]
- Hahn, I.; Nagl, V.; Schwartz-Zimmermann, H.E.; Varga, E.; Schwarz, C.; Slavik, V.; Reisinger, N.; Malachová, A.; Cirlini, M.; Generotti, S.; et al. Effects of orally administered fumonisin B1 (FB1), partially hydrolysed FB1, hydrolysed FB1 and N-(1-deoxy-D-fructos-1-yl) FB1 on the sphingolipid metabolism in rats. Food Chem. Toxicol. 2015, 76, 11–18. [Google Scholar] [CrossRef] [PubMed]
- Wang, C.; Huang, L.; Wang, P.; Liu, Q.; Wang, J. The Effects of Deoxynivalenol on the Ultrastructure of the Sacculus Rotundus and Vermiform Appendix, as Well as the Intestinal Microbiota of Weaned Rabbits. Toxins 2020, 12, 569. [Google Scholar] [CrossRef] [PubMed]









| Group | Initial Weight (kg) | Final Weight (kg) | ADG (kg) | ADFI (kg) | F/G |
|---|---|---|---|---|---|
| Control | 20.68 ± 1.21 | 49.75 ± 3.26 a | 0.692 ± 0.055 a | 1.66 ± 0.15 a | 2.39 ± 0.27 c |
| FB1 | 20.80 ± 1.35 | 45.81 ± 3.61 c | 0.596 ± 0.057 c | 1.56 ± 0.23 c | 2.62 ± 0.42 a |
| FumDSB | 20.45 ± 0.75 | 47.53 ± 2.58 b | 0.645 ± 0.052 b | 1.62 ± 0.21 b | 2.50 ± 0.26 b |
| Ingredients (100%) | Nutrient Levels (%) 2 | ||
| Corn | 66.0 | Dry matter | 87.31 |
| Wheat bran | 5.0 | Crude protein | 17.4 |
| Soybean meal | 21.0 | Calcium | 0.78 |
| Extruded full-fat soybean | 4.0 | Total phosphorus | 0.52 |
| Premix 1 | 4.0 | Methionine + Cysteine | 0.60 |
| Total | 100 | Lysine | 0.96 |
| ME (MJ/kg) | 12.79 | ||
| Content of Mycotoxin (μg/kg, ppb) | |||
| Fumonisin B1 (FB1 + FB2) | 256.0 ± 21.0 | ||
| Zearalenone (ZEA) | 18.3 ± 2.5 | ||
| DON | <LOD 3 | ||
| Aflatoxin B1 (AFB1) | <LOD 3 | ||
| Target Gene | GenBank No. | Primer Sequence (5′-3′) |
|---|---|---|
| NPY-F | NM_001256367.1 | TCACCAGGCAGAGATACGGA |
| NPY-R | ACACAGAAGGGTCTTCGAGC | |
| PYY-F | NM_001256528.1 | GGAGGAGCTGAGCCGCTACTAC |
| PYY-R | GCTGTCACGTTTCCCATACCTCTG | |
| 5-HT2A-F | NM_214217.1 | ATGCAGTCCATCAGCAACGA |
| 5-HT2A-R | ATGACGGCCATGATGTTGGT | |
| GHRL-F | NM_213807.2 | GCAGCCAAACTGAAGCCC |
| GHRL-R | AACTTGATCCCAACATCACAGG | |
| GHSR-F | NM_214180.1 | CGGAGTGGAGCATGATAACG |
| GHSR-R | ACAGGCAGGAAGAAGAAGACA | |
| GPR-39-F | XM_021074555.1 | TAGCCGTTGGACTGTGTTCC |
| GPR-39-R | GGTCACAACGATCAGCCTCA | |
| ACTB-F | XM_021086047.1 | GTGCGGGACATCAAGGAGAA |
| ACTB-R | CGTAGAGGTCCTTGCGGATG | |
| GAPDH-F | NM_001206359.1 | TCGGAGTGAACGGATTTGGC |
| GAPDH-R | TGACAAGCTTCCCGTTCTCC |
Publisher’s Note: MDPI stays neutral with regard to jurisdictional claims in published maps and institutional affiliations. |
© 2021 by the authors. Licensee MDPI, Basel, Switzerland. This article is an open access article distributed under the terms and conditions of the Creative Commons Attribution (CC BY) license (https://creativecommons.org/licenses/by/4.0/).
Share and Cite
Liu, Q.; Li, F.; Huang, L.; Chen, W.; Li, Z.; Wang, C. FumDSB Can Reduce the Toxic Effects of Fumonisin B1 by Regulating Several Brain-Gut Peptides in Both the Hypothalamus and Jejunum of Growing Pigs. Toxins 2021, 13, 874. https://doi.org/10.3390/toxins13120874
Liu Q, Li F, Huang L, Chen W, Li Z, Wang C. FumDSB Can Reduce the Toxic Effects of Fumonisin B1 by Regulating Several Brain-Gut Peptides in Both the Hypothalamus and Jejunum of Growing Pigs. Toxins. 2021; 13(12):874. https://doi.org/10.3390/toxins13120874
Chicago/Turabian StyleLiu, Quancheng, Fuchang Li, Libo Huang, Wenjie Chen, Zhongyuan Li, and Chunyang Wang. 2021. "FumDSB Can Reduce the Toxic Effects of Fumonisin B1 by Regulating Several Brain-Gut Peptides in Both the Hypothalamus and Jejunum of Growing Pigs" Toxins 13, no. 12: 874. https://doi.org/10.3390/toxins13120874
APA StyleLiu, Q., Li, F., Huang, L., Chen, W., Li, Z., & Wang, C. (2021). FumDSB Can Reduce the Toxic Effects of Fumonisin B1 by Regulating Several Brain-Gut Peptides in Both the Hypothalamus and Jejunum of Growing Pigs. Toxins, 13(12), 874. https://doi.org/10.3390/toxins13120874

