Immunogenic Properties of Recombinant Enzymes from Bothrops ammodytoides towards the Generation of Neutralizing Antibodies against Its Own Venom
Abstract
1. Introduction
2. Results and Discussion
2.1. Isolation and Sequence Determination of rBamSP_1 and rBamMP_1
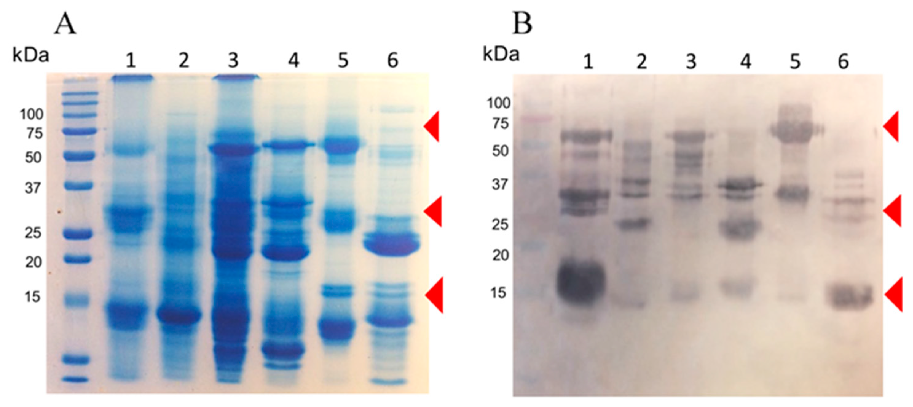
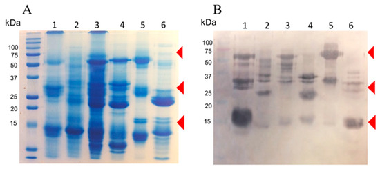
2.2. Expression of rBamSP_1 or rBamMP_1, Their Purification and Folding
2.3. Secondary Structure of rBamSP_1 and rBamMP_1
2.4. Rabbit Immunization, Antibody Recognition and Titers
2.5. Immunoaffinity Chromatography and Venom Neutralization
3. Conclusions
4. Materials and Methods
4.1. Venom Gland and Venom
4.2. Bacterial Strains, Enzymes and Plasmids
4.3. RNA Extraction and Gene Assembly
4.4. Plasmid Construction for Protein Expression
4.5. Expression and Purification of the Enzymes rBamSP_1 and rBamMP_1
4.6. Molecular Mass Determination
4.7. Circular Dichroism
4.8. Animal Immunizations
4.9. Enzyme-Linked Immunosorbent Assay (ELISA)
4.10. Phospholipase Activity
4.11. Protease Activity Using Gelatine Zymography
4.12. Immunoaffinity Chromatography
4.13. Protecting Activity of Immunoglobulins
4.14. Statistics
Supplementary Materials
Author Contributions
Funding
Acknowledgments
Conflicts of Interest
References
- Kang, T.S.; Georgieva, D.; Genov, N.; Murakami, M.T.; Sinha, M.; Kumar, R.P.; Vrielink, A. Enzymatic toxins from snake venom: Structural characterization and mechanism of catalysis. FEBS J. 2011, 278, 4544–4576. [Google Scholar] [CrossRef] [PubMed]
- de Roodt, A.R.; de Roodt, A.R.; Dolab, J.A.; Hajos, S.E.; Gould, E.; Dinápoli, H.; Troiano, J.C.; Amoroso, M. Some toxic and enzymatic activities of Bothrops ammodytoides (yarara nata) venom. Toxicon 2000, 38, 49–61. [Google Scholar] [CrossRef]
- Waghmare, A.B.; Salvi, N.C.; Deopurkar, R.L.; Shenoy, P.A.; Sonpetkar, J.M. Evaluation of health status of horses immunized with snake venom and montanide adjuvants, IMS 3012 (nanoparticle), ISA 206 and ISA 35 (emulsion based) during polyvalent snake antivenom production: Hematological and biochemical assessment. Toxicon 2014, 82, 83–92. [Google Scholar] [CrossRef] [PubMed]
- Gutierrez, J.M.; Lomonte, B. Phospholipases A2: Unveiling the secrets of a functionally versatile group of snake venom toxins. Toxicon 2013, 62, 27–39. [Google Scholar] [CrossRef] [PubMed]
- Micsonai, A.; Wien, F.; Bulyáki, É.; Kun, J.; Moussong, É.; Lee, Y.H.; Kardos, J. BeStSel: A web server for accurate protein secondary structure prediction and fold recognition from the circular dichroism spectra. Nucleic Acids Res. 2018, 46, W315–W322. [Google Scholar] [CrossRef] [PubMed]
- Scanu, A.M.; van Deenen, L.L.; de Haas, G.H. Optical rotatory dispersion and circular dichroism of phospholipase A2 and its zymogen from porcine pancreas. Biochim. Biophys. Acta. 1969, 181, 471–473. [Google Scholar] [CrossRef][Green Version]
- Clement, H.; Corzo, G.; Neri-Castro, E.; Arenas, I.; Hajos, S.; de Roodt, A.R.; Villegas, E. cDNA cloning, heterologous expression, protein folding and immunogenic properties of a phospholipase A2 from Bothrops ammodytoides venom. Protein Expr. Purif. 2019, 154, 33–43. [Google Scholar] [CrossRef] [PubMed]
- de la Rosa, G.; Corrales-García, L.L.; Rodriguez-Ruiz, X.; López-Vera, E.; Corzo, G. Short-chain consensus alpha-neurotoxin: A synthetic 60-mer peptide with generic traits and enhanced immunogenic properties. Amino Acids 2018, 50, 885–895. [Google Scholar] [CrossRef] [PubMed]
- Hernández-Salgado, K.; Estrada, G.; Olvera, A.; Coronas, F.I.; Possani, L.D.; Corzo, G. Heterologous expressed toxic and non-toxic peptide variants of toxin CssII are capable to produce neutralizing antibodies against the venom of the scorpion Centruroides suffusus suffusus. Immunol. Lett. 2009, 125, 93–99. [Google Scholar] [CrossRef] [PubMed]
- Olvera, A.; Ramos-Cerrillo, B.; Estévez, J.; Clement, H.; De Roodt, A.; Paniagua-Solís, J.; Alagón, A. North and South American Loxosceles spiders: Development of a polyvalent antivenom with recombinant sphingomyelinases D as antigens. Toxicon 2006, 48, 64–74. [Google Scholar] [CrossRef] [PubMed]
- Sintiprungrat, K.; Chaisuriya, P.; Watcharatanyatip, K.; Ratanabanangkoon, K. Immunoaffinity chromatography in antivenomics studies: Various parameters that can affect the results. Toxicon 2016, 119, 129–139. [Google Scholar] [CrossRef] [PubMed]
- Queiroz, G.P.; Pessoa, L.A.; Portaro, F.C.; Maria de Fátima, D.F.; Tambourgi, D.V. Interspecific variation in venom composition and toxicity of Brazilian snakes from Bothrops genus. Toxicon 2008, 52, 842–851. [Google Scholar] [CrossRef] [PubMed]
- Segura, Á.; Herrera, M.; Villalta, M.; Vargas, M.; Uscanga-Reynell, A.; de León-Rosales, S.P.; León, G. Venom of Bothrops asper from Mexico and Costa Rica: Intraspecific variation and cross-neutralization by antivenoms. Toxicon 2012, 59, 158–162. [Google Scholar] [CrossRef] [PubMed]
- Sanchez, E.F.; Freitas, T.V.; Ferreira-Alves, D.L.; Velarde, D.T.; Diniz, M.R.; Cordeiro, M.N.; Diniz, C.R. Biological activities of venoms from South American snakes. Toxicon 1992, 30, 95–103. [Google Scholar] [CrossRef]
- Rojas, E.; Quesada, L.; Arce, V.; Lomonte, B.; Rojas, G.; Gutierrez, J.M. Neutralization of four Peruvian Bothrops sp. snake venoms by polyvalent antivenoms produced in Peru and Costa Rica: Preclinical assessment. Acta Trop. 2005, 93, 85–95. [Google Scholar] [CrossRef] [PubMed]
- World Health Organization (WHO). WHO Guidelines for the Production Control and Regulation of Snake Antivenom Immunoglobulins; WHO Press: Geneva, Switzerland, 2016. [Google Scholar]
- Clement, H.; de Oliveira, V.C.; Zamudio, F.Z.; Lago, N.R.; Valdez-Cruz, N.A.; Valle, M.B.; de Roodt, A.R. Isolation, amino acid sequence and biological characterization of an “aspartic-49” phospholipase A(2) from Bothrops (Rhinocerophis) ammodytoides venom. Toxicon 2012, 60, 1314–1323. [Google Scholar] [CrossRef] [PubMed]
- Brodsky, Y.; Zhang, C.; Yigzaw, Y.; Vedantham, G. Caprylic acid precipitation method for impurity reduction: An alternative to conventional chromatography for monoclonal antibody purification. Biotechnol. Bioeng. 2012, 109, 2589–2598. [Google Scholar] [CrossRef] [PubMed]
- Shiloah, J.; Klibansky, C.; de Vries, A. Phospholipase isoenzymes from Naja naja venom—I. Purification and partial characterization. Toxicon 1973, 11, 481–490. [Google Scholar] [CrossRef]
- Laemmli, U.K. Cleavage of structural proteins during the assembly of the head of bacteriophage T4. Nature 1970, 227, 680–685. [Google Scholar] [CrossRef] [PubMed]
- Pla, D.; Gutierrez, J.M.; Calvete, J.J. Second generation snake antivenomics: Comparing immunoaffinity and immunodepletion protocols. Toxicon 2012, 60, 688–699. [Google Scholar] [CrossRef] [PubMed]







| rBamSP_1 | Sequence 1 |
|---|---|
| 56 | |
| rBamSP_1 | VIGGDECNINEHPFLVALYTSRSRRFHCGGTLINQEWVLTAAHCDRKNIRIKLGMHSKN |
| Q7T229.1 | IIGGDECNINEHRFLVALYTSRSRRFHCSGTLINQEWVLTAANCDRKNIRIKLGMHSKN |
| AUS82526.1 | IIGGEECNINEHRFLVALYTFRSKRFHCSGTLINQEWVLTAAHCDRKNIRIKLGMHSTN |
| 100 | |
| rBamSP_1 | VTNEDEQTRVPKEKFFCLSSKTYTKWDKDIMLIRLKRPVNDSPHIAPLSLPSNPPSVGS |
| Q7T229.1 | VTNEDEQTRVPKEKFFCLSSKTYTKWDKDIMLIRLKRPVNDSPHIAPISLPSSPPSVGS |
| AUS82526.1 | VTNEDAQTRVPKEKFFCLSSKTYTKWDKDIMLIRLKRPVNNSAHIATLSLPSNPPSLGS |
| rBamSP_1 | VCRIMGWGTISPTKVSYPDVPHCANINLLDYEVCRTAHGGLPATSRTLCAGILEGGKDS |
| Q7T229.1 | VCRIMGWGTISPTKVSYPDVPHCANINLLDYEVCRAAHGGLPATSRTLCAGILEGGKDS |
| AUS82526.1 | VCRIMGWGTISATKETYPDVPHCANINILDYEVCRAAHGGLPATSRTLCAGILKGGKDS |
| 197 | |
| rBamSP_1 | CQGDSGGPLICNGQFQGILSWGVHPCGQRLKPGVYTKVFDYTEWIRSIIAGNTDVTCPP |
| Q7T229.1 | CQGDSGGPLICNGQFQGILSWGVHPCGQRLKPGVYTKVSDYTEWIRSIIAGNTDVTCPP |
| AUS82526.1 | CKGDSGGPLICNGEIQGIVSWGAHPCGQSLKPGVYTKVFDYTEWIQSIIAGNTDATCPP |
| rBamMP_1 | Sequence 1 |
|---|---|
| rBamMP_1 | EQQRYNPYKYVEFCIVVDQGTVTKNNGDLDKIKTRIYELVNTVNEIYRYMYIHVALVCL |
| P30431.1 | EQQRYDPYKYIEFFVVVDQGTVTKNNGDLDKIKARMYELANIVNEIFRYLYMHVALVGL |
| ALB00542.1 | EQQKYNPFRYIEFLLVVDQGMVTKNNGDLDKIKARMYELANIVNEIFRYLYMHAALVGL |
| rBamMP_1 | ETWSNGDKITVKPDVDYTWKSFAEWRKTVLLTRKNHDNAQLLTAIDFSGPTIGYAYIAT |
| P30431.1 | EIWSNGDKITVKPDVDYTLNSFAEWRKTDLLTRKKHDNAQLLTAIDFNGPTIGYAYIGS |
| ALB00542.1 | EIWSNGDKITVKPDVDYTLNSFAEWRKTDLLTRKKHDNAQLLTAIDFNGPTIGYAYIGS |
| 145-----------------156 | |
| rBamMP_1 | MCDPKSSVGIVQDFSPINLLVAVTMAHEMGHNLGIHHDRGSCSCGGYPCIMGPVISNEP |
| P30431.1 | MCHPKRSVGIVQDYSPINLVVAVIMAHEMGHNLGIHHDTGSCSCGDYPCIMGPTISNEP |
| ALB00542.1 | MCHPKRSVAIVQDYSPINLVMAVIMAHEMGHNMGIHHDTGSCSCGDYPCIMGPTISNEP |
| rBamMP_1 | SKFFSNCSYIQCWDFIMNHNPECIVNEPLGTDIVSPPVCGNELL |
| P30431.1 | SKFFSNCSYIQCWDFIMNHNPECIINEPLGTDIISPPVCGNELL |
| ALB00542.1 | SKFFSNCSYIQCWDFIMNHNPECIINEPLGPDIVSPPVCGNELL |
| Protein | Titers | CI 1 |
|---|---|---|
| rBamPLA2_1 | 17,148 | 15,705–18,723 |
| rBamSP_1 | 10,673 | 9063–12,568 |
| rBamMP_1 | 2653 | 2040–3451 |
| B. ammodytoides | 543 | 475–620 |
| B. jararacussu | 120 | 104–138 |
| B. diporus | 90 | 81–100 |
| B. moojeni | 624 | 572–679 |
| B. alternatus | 159 | 138–182 |
| B. asper | 85 | 80–91 |
© 2019 by the authors. Licensee MDPI, Basel, Switzerland. This article is an open access article distributed under the terms and conditions of the Creative Commons Attribution (CC BY) license (http://creativecommons.org/licenses/by/4.0/).
Share and Cite
Clement, H.; Corrales-García, L.L.; Bolaños, D.; Corzo, G.; Villegas, E. Immunogenic Properties of Recombinant Enzymes from Bothrops ammodytoides towards the Generation of Neutralizing Antibodies against Its Own Venom. Toxins 2019, 11, 702. https://doi.org/10.3390/toxins11120702
Clement H, Corrales-García LL, Bolaños D, Corzo G, Villegas E. Immunogenic Properties of Recombinant Enzymes from Bothrops ammodytoides towards the Generation of Neutralizing Antibodies against Its Own Venom. Toxins. 2019; 11(12):702. https://doi.org/10.3390/toxins11120702
Chicago/Turabian StyleClement, Herlinda, Ligia Luz Corrales-García, Damaris Bolaños, Gerardo Corzo, and Elba Villegas. 2019. "Immunogenic Properties of Recombinant Enzymes from Bothrops ammodytoides towards the Generation of Neutralizing Antibodies against Its Own Venom" Toxins 11, no. 12: 702. https://doi.org/10.3390/toxins11120702
APA StyleClement, H., Corrales-García, L. L., Bolaños, D., Corzo, G., & Villegas, E. (2019). Immunogenic Properties of Recombinant Enzymes from Bothrops ammodytoides towards the Generation of Neutralizing Antibodies against Its Own Venom. Toxins, 11(12), 702. https://doi.org/10.3390/toxins11120702

