Steamed Panax notoginseng Saponins Ameliorate Cyclophosphamide-Induced Anemia by Attenuating Gut-Liver Injury and Activating the cAMP/PI3K/AKT Signaling Pathway
Abstract
1. Introduction
2. Materials and Methods
2.1. Main Reagents
2.2. Animal Ethics
2.3. Animal Experiments
2.4. Anemia Parameter Assessment
2.5. Histological Analysis
2.6. Liver Metabolomics
2.7. Liver Proteomics
2.8. Western Blotting
2.9. Colon Content Metabolomic Analysis
2.10. Colon Content Metagenomic Analysis
2.11. Multiomic Integration
2.12. Statistical Analysis
3. Results
3.1. Effects of SPNS on Body Weight and Anemia Parameters in CTX-Induced Anemic Mice
3.2. Ameliorative Effects of SPNS on CTX-Induced Histopathological Injury in the Liver and Small Intestine of Anemic Mice
3.3. Analysis of Differential Metabolites and Pathway Enrichment in Liver Tissue of the CTX and SPNS Groups
3.4. Analysis of Differential Proteins and Functional Enrichment in Liver Tissues of the SPNS and CTX Groups
3.5. The Effect of SPNS on the Expression of Proteins Related to the cAMP/PI3K/AKT Signaling Pathway
3.6. Comparative Analysis of the Effects of SPNS on Colon Metabolites in CTX-Induced Anemic Mice
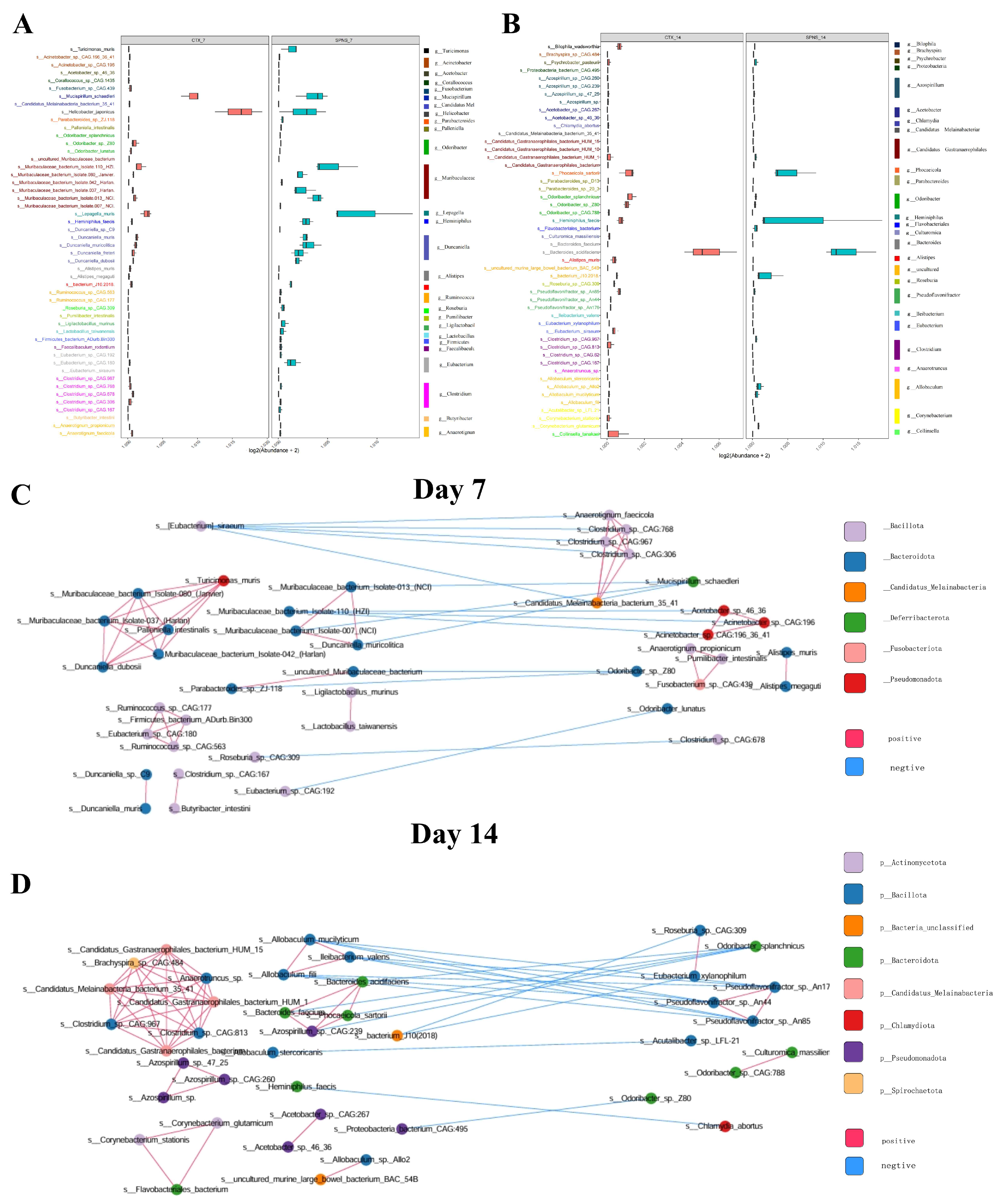
3.7. Analysis of Colon Content Microbiota Differences Between the SPNS Group and the CTX Group
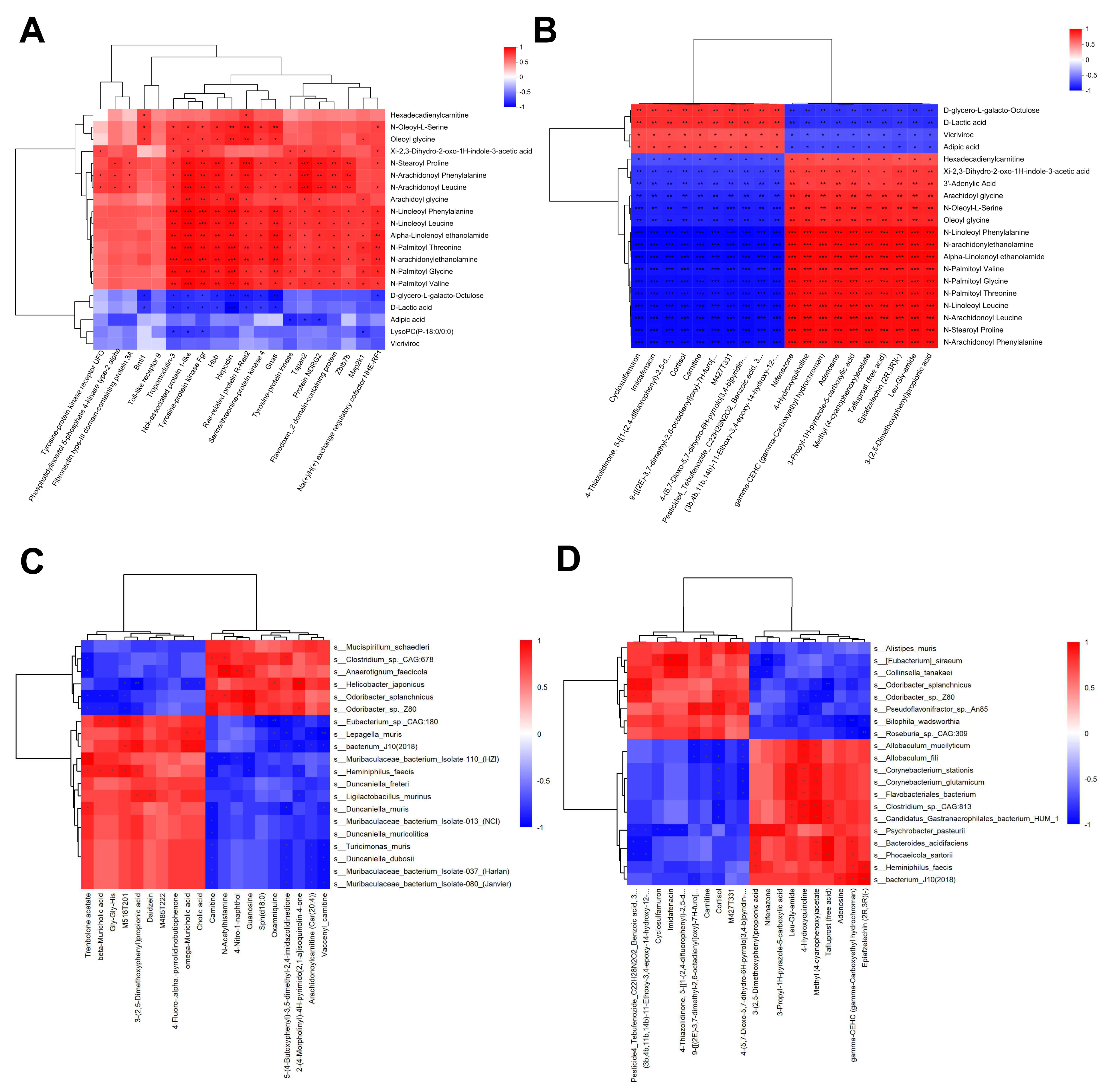
3.8. Correlation Analysis: Hepatic Metabolites, Proteins, Colon Metabolites, and Colon Microbiota
4. Discussion
5. Conclusions
Supplementary Materials
Author Contributions
Funding
Institutional Review Board Statement
Informed Consent Statement
Data Availability Statement
Acknowledgments
Conflicts of Interest
Abbreviations
References
- Xu, M.; He, R.R.; Zhai, Y.J.; Abe, K.; Kurihara, H. Effects of carnosine on cyclophosphamide-induced hematopoietic suppression in mice. Am. J. Chin. Med. 2014, 42, 131–142. [Google Scholar] [CrossRef]
- Patias, N.S.; Sinhorin, V.D.G.; Ferneda, A.; Ferneda, J.M.A.; Sugui, M.M.; Ferrarini, S.R.; Bomfim, G.F.; Lopes, J.W.; Antoniassi, N.A.B.; Cavalheiro, L.; et al. Study of liposomes containing extract from the leaves of Protium heptaphyllum (Aubl.) March in animals submitted to a mutagenic model induced by cyclophosphamide. Biology 2024, 13, 706. [Google Scholar] [CrossRef] [PubMed]
- Schmutz, M.; Chartier, S.; Leblanc, T.; Mussini, C.; Gardin, A.; Gonzales, E.; Roque-Afonso, A.M.; Le Cam, S.; Hery, G.; Neven, B.; et al. Increased incidence of seronegative autoimmune hepatitis in children during SARS-CoV-2 pandemia period. Front. Immunol. 2024, 15, 1445610. [Google Scholar] [CrossRef] [PubMed]
- Calley, B.J.; Polovneff, A.; Henry, K.; North, P.; Moe, D.C.; Mack, C.L. Autoimmune hepatitis presenting as severe anemia. JPGN Rep. 2024, 5, 402–406. [Google Scholar] [CrossRef]
- Zhou, S.; Jiang, N.; Zhang, M.; Xiao, X.; Liu, Z.; Xu, X.; Gao, Q.; Lv, W. Analyzing active constituents and optimal steaming conditions related to the hematopoietic effect of steamed panax notoginseng by network pharmacology coupled with response surface methodology. Biomed. Res. Int. 2020, 2020, 9371426. [Google Scholar] [CrossRef]
- Fan, Y.; Pedersen, O. Gut microbiota in human metabolic health and disease. Nat. Rev. Microbiol. 2021, 19, 55–71. [Google Scholar] [CrossRef]
- Duan, J.; Sun, J.; Jiang, T.; Ma, X.; Li, X.; Wang, Y.; Zhang, F.; Liu, C. Podophyllotoxin-mediated neurotoxicity via the microbiota-gut-brain axis in SD rats based on the toxicological evidence chain (TEC) concept. Sci. Total Environ. 2023, 907, 168106. [Google Scholar] [CrossRef]
- Zhang, Q.; Li, G.; Zhao, W.; Wang, X.; He, J.; Zhou, L.; Zhang, X.; An, P.; Liu, Y.; Zhang, C.; et al. Efficacy of Bifidobacterium animalis subsp. lactis BL-99 in the treatment of functional dyspepsia: A randomized placebo-controlled clinical trial. Nat. Commun. 2024, 15, 227. [Google Scholar] [CrossRef]
- Zhou, S.; Liu, Y.; Liu, Y.; Duan, Z.; Zhu, C.; Wang, P.; Fu, R. Ginsenoside Rk3 Alleviates Neuroinflammation and Gastrointestinal Dysfunction in Parkinson’s Disease via Modulation of Gut Microbiota-Mediated Butyric Acid Metabolism. J. Agric. Food Chem. 2025, 73, 24139–24154. [Google Scholar] [CrossRef]
- Ma, X.; Jiang, J.; Qian, H.; Li, Y.; Fan, M.; Wang, L. Nutritional Heterogeneity of Dietary Proteins: Mechanisms of Gut Microbiota-Mediated Metabolic Regulation and Health Implications. Compr. Rev. Food Sci. Food Saf. 2025, 24, e70274. [Google Scholar] [CrossRef]
- Xue, C.; Li, G.; Zheng, Q.; Gu, X.; Shi, Q.; Su, Y.; Chu, Q.; Yuan, X.; Bao, Z.; Lu, J.; et al. Tryptophan metabolism in health and disease. Cell Metab. 2023, 35, 1304–1326. [Google Scholar] [CrossRef] [PubMed]
- Xu, C.; Fang, Q.; Cui, H.; Lin, Y.; Dai, C.; Li, X.; Tu, P.; Cui, X. Comparison of the components of fresh Panax notoginseng processed by different methods and their anti-anemia effects on cyclophosphamide-treated mice. J. Ethnopharmacol. 2024, 330, 118148. [Google Scholar] [CrossRef] [PubMed]
- Oliver, P.; Mathias, W.H.; Frank, G.S.; Vuk, C.; Thomas, C.; Tony, B. Gut-liver axis: Barriers and functional circuits. Nat. Rev. Gastroenterol. Hepatol. 2023, 20, 447–461. [Google Scholar] [CrossRef]
- Liu, N.; Dong, Z.; Zhu, X.; Xu, H.; Zhao, Z. Characterization and protective effect of Polygonatum sibiricum polysaccharide against cyclophosphamide-induced immunosuppression in Balb/c mice. Int. J. Biol. Macromol. 2018, 107, 796–802. [Google Scholar] [CrossRef]
- Zhang, X.; Zhou, C.; Miao, L.; Tan, Y.; Zhou, Y.; Cheong, M.S.; Huang, Y.; Wang, Y.; Yu, H.; Cheang, W.S. Panax notoginseng protects against diabetes-associated endothelial dysfunction: Comparison between ethanolic extract and total saponin. Oxid. Med. Cell. Longev. 2021, 2021, 4722797. [Google Scholar] [CrossRef]
- Jiao, L.; Jin, H.; Song, Z.; Wang, Z.; Yu, L.; Yu, R.; Wang, D.; Gao, Q.; Peng, S.; Sun, H.; et al. The effect of lentinan on dexamethasone-induced immunosuppression in mice. Int. J. Biol. Macromol. 2024, 264, 130621. [Google Scholar] [CrossRef]
- Clemente, J.C.; Ursell, L.K.; Parfrey, L.W.; Knight, R. The impact of the gut microbiota on human health: An integrative view. Cell 2012, 148, 1258–1270. [Google Scholar] [CrossRef]
- Barreto, E.B.L.; Rattes, I.C.; Da Costa, A.V.; Gama, P. Paneth cells and their multiple functions. Cell Biol. Int. 2022, 46, 701–710. [Google Scholar] [CrossRef]
- Hao, Y.; Wang, C.; Wang, L.; Hu, L.; Duan, T.; Zhang, R.; Yang, X.; Li, T. Nondigestible stachyose alleviates cyclophosphamide-induced small intestinal mucosal injury in mice by regulating intestinal exosomal miRNAs, independently of the gut microbiota. Food Res. Int. 2025, 209, 116258. [Google Scholar] [CrossRef]
- Zhang, Y.; Zhang, X.; Lv, L.; Gao, S.; Li, X.; Wang, R.; Wang, P.; Shi, F.; She, J.; Wang, Y. Versatile inulin/trans-ferulic acid/silk sericin nanoparticles-nourished probiotic complex with prolonged intestinal retention for synergistic therapy of inflammatory bowel disease. Carbohydr. Polym. 2025, 350, 123063. [Google Scholar] [CrossRef]
- Wu, D.; Fan, F.; He, J.; Wang, L.; Zhu, C.; Ji, Y.; Zhang, H. Effects of polyunsaturated fatty acids on gastric cancer immunity and immunotherapy. Sci. Rep. 2025, 15, 19891. [Google Scholar] [CrossRef] [PubMed]
- Tang, C.; Li, X.; Wang, T.; Wang, J.; Xiao, M.; He, M.; Chang, X.; Fan, Y.; Li, Y. Characterization of metabolite landscape distinguishes medicinal fungus Cordyceps sinensis and other cordyceps by UHPLC-Q exactive HF-X untargeted metabolomics. Molecules 2023, 28, 7745. [Google Scholar] [CrossRef] [PubMed]
- Palenca, I.; Franzin, S.B.; Zilli, A.; Seguella, L.; Troiani, A.; Pepi, F.; Vincenzi, M.; Giugliano, G.; Catapano, V.; Di Filippo, I.; et al. N-palmitoyl-d-glucosamine limits mucosal damage and VEGF-mediated angiogenesis by PPARα-dependent suppression of pAkt/mTOR/HIF1α pathway and increase in PEA levels in AOM/DSS colorectal carcinoma in mice. Phytother. Res. 2024, 38, 5350–5362. [Google Scholar] [CrossRef] [PubMed]
- Ji, J.; Xu, X.; Zhang, L.; Liu, S.; Chen, J.; Gao, H.; Xiang, L.; Li, Y.; Xu, H.; Chen, Y.; et al. Dedicator of cytokinesis 2 regulates cytoskeletal actin dynamics and is essential for platelet biogenesis and functions. Cardiovasc. Res. 2025, 121, 479–491. [Google Scholar] [CrossRef]
- Chessa, T.A.M.; Jung, P.; Anwar, A.; Suire, S.; Anderson, K.E.; Barneda, D.; Kielkowska, A.; Sadiq, B.A.; Lai, I.W.; Felisbino, S.; et al. PLEKHS1 drives PI3Ks and remodels pathway homeostasis in PTEN-null prostate. Mol. Cell 2023, 83, 2991–3009.e13. [Google Scholar] [CrossRef]
- Tang, Y.; Song, X.; Zhang, Z.; Yao, Y.; Pan, T.; Qi, J.; Xia, L.; Wu, D.; Han, Y. Hypermethylation of DNA impairs megakaryogenesis in delayed platelet recovery after allogeneic hematopoietic stem cell transplantation. Sci. Adv. 2025, 11, eads3630. [Google Scholar] [CrossRef]
- Lee, M.; Son, S.; Oh, S.; Shin, E.; Shin, H.; Kwon, O.; Hwang, S.; Song, H.; Lim, H.J. Diet-induced obesity alters granulosa cell transcriptome and ovarian immune environment in mice. Life 2025, 15, 330. [Google Scholar] [CrossRef]
- Li, M.; Tian, Y.; Wang, X.; Sun, D.; Xu, H.; Wang, X.; Chen, X.; Hao, L. Exosomes derived from adipose-derived stem cells alleviate acute radiation-induced dermatitis through up-regulating hyaluronic acid synthase 1 expression. Stem Cell Res. Ther. 2025, 16, 253. [Google Scholar] [CrossRef]
- Kim, S.; Choi, C.; Son, Y.; Lee, J.; Joo, S.; Lee, Y.H. BNIP3-mediated mitophagy in macrophages regulates obesity-induced adipose tissue metaflammation. Autophagy 2025, 21, 2009–2027. [Google Scholar] [CrossRef]
- Zhang, J.; Liu, L.; Lao, Z.; Lei, L.; Xu, H.; Wang, X.; Lin, N.; Guo, X.; Yang, J.; Tang, L. Multi-omics perspective on Huoluo Xiaoling Pellet: Key bioactive compounds and related mechanisms for the treatment of knee osteoarthritis. J. Ethnopharmacol. 2025, 348, 119761. [Google Scholar] [CrossRef]
- Anooja, V.V.; Anju, M.V.; Athira, P.P.; Archana, K.; Neelima, S.; Musthafa, S.M.; Kesavan, D.; Philip, R. Unveiling the modes of action of a recombinant antimicrobial peptide, hepcidin (rGf-Hep), from Gerres filamentosus against pathogenic vibrios: Membrane disintegration and reactive oxygen species generation leading to cell death. Probiotics Antimicrob. Proteins, 2025; online ahead of print. [Google Scholar] [CrossRef]
- Jiang, T.; Du, S.; Wang, Z.; Hu, Q.; Zeng, L.; Chen, Y.; Tan, X.; Zeng, Y.; Fu, L.; Hu, F.; et al. Daidzein alleviates ethanol-induced acute gastric injury in rats by targeting ESR1 and activating the PI3K/AKT/CREB signaling pathway. Phytomedicine 2025, 143, 156887. [Google Scholar] [CrossRef]
- Park, J.K.; Chang, D.H.; Rhee, M.S.; Jeong, H.; Song, J.; Ku, B.J.; Kim, S.B.; Lee, M.; Kim, B.C. Heminiphilus faecis gen. nov., sp. nov., a member of the family Muribaculaceae, isolated from mouse faeces and emended description of the genus Muribaculum. Antonie Leeuwenhoek 2021, 114, 275–286. [Google Scholar] [CrossRef]
- Hu, X.; Sun, X.; Zhao, Y.; Iv, C.; Sun, X.; Jin, M.; Zhang, Q. GlcNac produced by the gut microbiome enhances host influenza resistance by modulating NK cells. Gut Microbes 2023, 15, 2271620. [Google Scholar] [CrossRef]
- Clayton, J.A.; Collins, F.S. Policy: NIH to balance sex in cell and animal studies. Nature 2014, 509, 282–283. [Google Scholar] [CrossRef]









| Featured Bacterial Genera | Significantly Different Bacterial Species | |
|---|---|---|
| day 7 | Muribaculaceae (7 species), Duncaniella (5 species), Odoribacter (3 species) | Lepagella muris, Muribaculaceae bacterium Isolate-110-HZI, Mucispirillum schaedleri, Duncaniella muricolitica, Eubacterium sp. CAG-180, Turicimonas muris |
| day 14 | Azospirillum, Allobaculum, Clostridium, Candidatus Gastranaerophilales (4 species), Pseudoflavonifractor, doribacter, Corynebacterium (3 species) | Heminiphilus faecis, Phocaeicola sartorii, and s-bacterium_J10.2018 |
Disclaimer/Publisher’s Note: The statements, opinions and data contained in all publications are solely those of the individual author(s) and contributor(s) and not of MDPI and/or the editor(s). MDPI and/or the editor(s) disclaim responsibility for any injury to people or property resulting from any ideas, methods, instructions or products referred to in the content. |
© 2025 by the authors. Licensee MDPI, Basel, Switzerland. This article is an open access article distributed under the terms and conditions of the Creative Commons Attribution (CC BY) license (https://creativecommons.org/licenses/by/4.0/).
Share and Cite
Xu, C.; Cui, H.; Fang, Q.; Tu, P.; Cui, X. Steamed Panax notoginseng Saponins Ameliorate Cyclophosphamide-Induced Anemia by Attenuating Gut-Liver Injury and Activating the cAMP/PI3K/AKT Signaling Pathway. Nutrients 2025, 17, 3335. https://doi.org/10.3390/nu17213335
Xu C, Cui H, Fang Q, Tu P, Cui X. Steamed Panax notoginseng Saponins Ameliorate Cyclophosphamide-Induced Anemia by Attenuating Gut-Liver Injury and Activating the cAMP/PI3K/AKT Signaling Pathway. Nutrients. 2025; 17(21):3335. https://doi.org/10.3390/nu17213335
Chicago/Turabian StyleXu, Cuiping, Hao Cui, Qionglian Fang, Pengfei Tu, and Xiuming Cui. 2025. "Steamed Panax notoginseng Saponins Ameliorate Cyclophosphamide-Induced Anemia by Attenuating Gut-Liver Injury and Activating the cAMP/PI3K/AKT Signaling Pathway" Nutrients 17, no. 21: 3335. https://doi.org/10.3390/nu17213335
APA StyleXu, C., Cui, H., Fang, Q., Tu, P., & Cui, X. (2025). Steamed Panax notoginseng Saponins Ameliorate Cyclophosphamide-Induced Anemia by Attenuating Gut-Liver Injury and Activating the cAMP/PI3K/AKT Signaling Pathway. Nutrients, 17(21), 3335. https://doi.org/10.3390/nu17213335

