Protein Source Determines the Effectiveness of High-Protein Diets in Improving Adipose Tissue Function and Insulin Resistance in fa/fa Zucker Rats
Abstract
1. Introduction
2. Materials and Methods
2.1. Animals, Diets and In Vivo Assessments
2.2. Tissue Collection
2.3. Serum Biochemistry
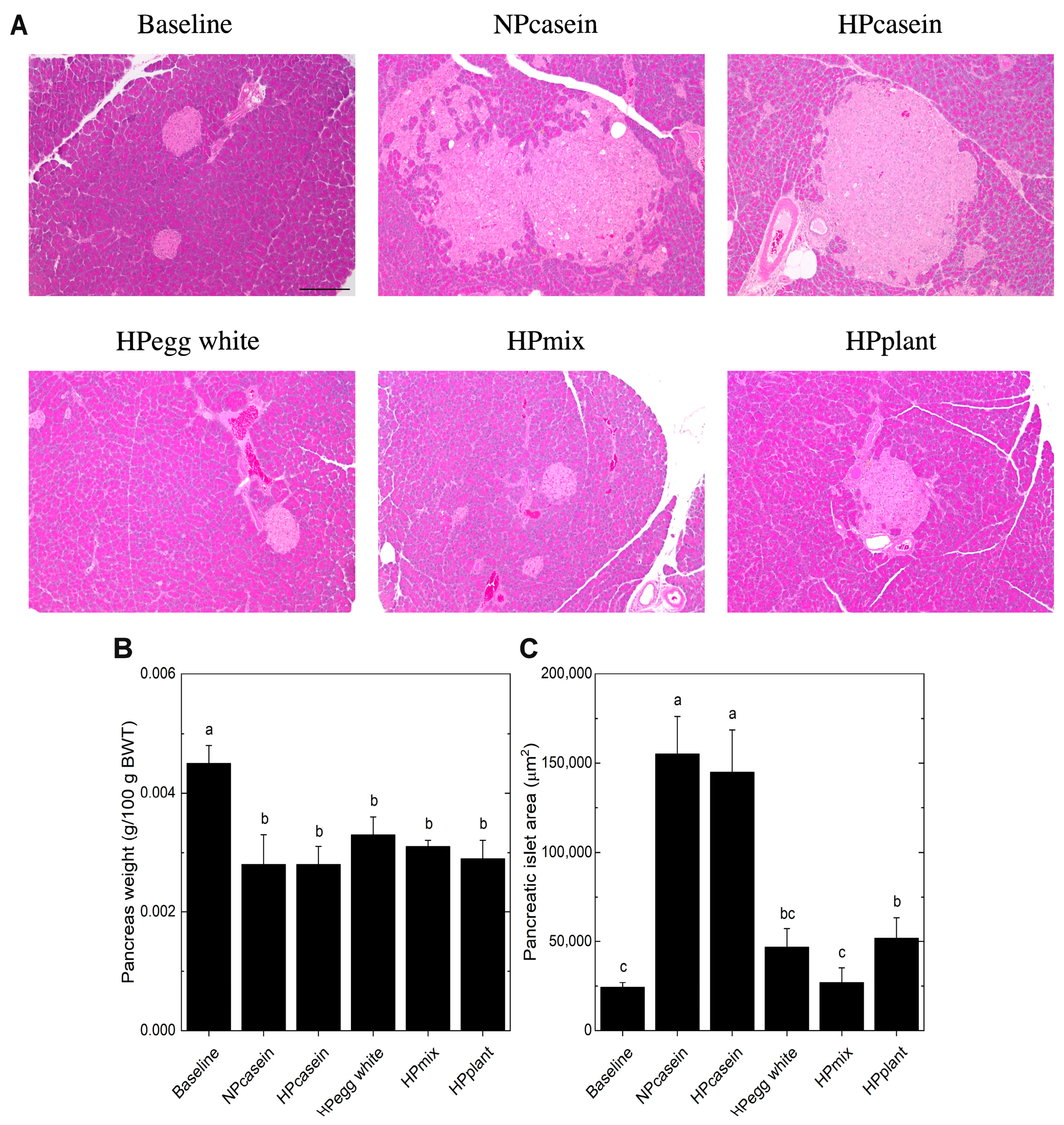
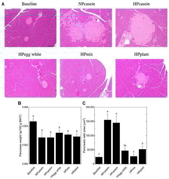
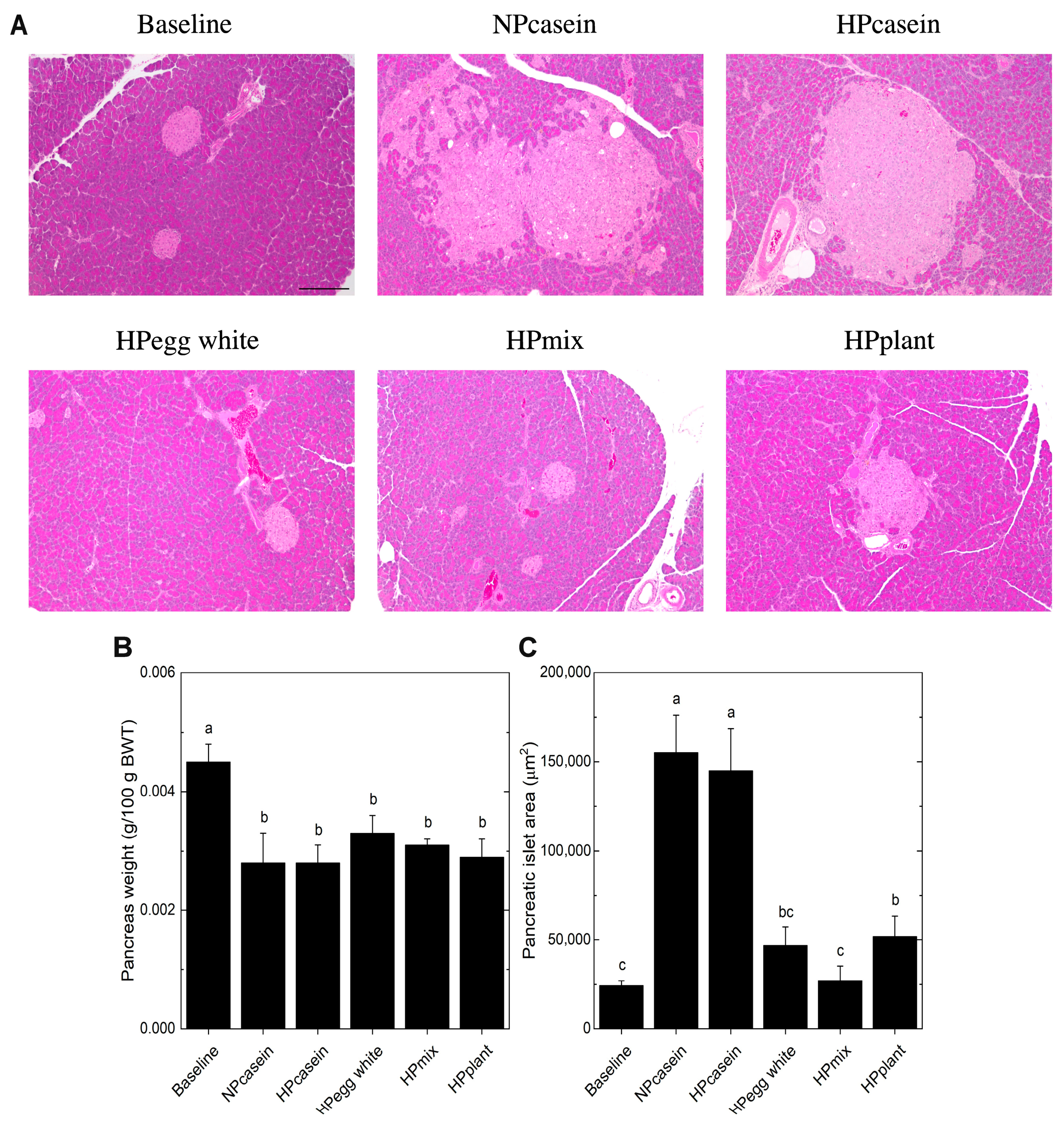
2.4. Histological Examination of Pancreatic and Adipose Tissues
2.5. Western Blot Analysis
2.6. Statistical Analysis
3. Results
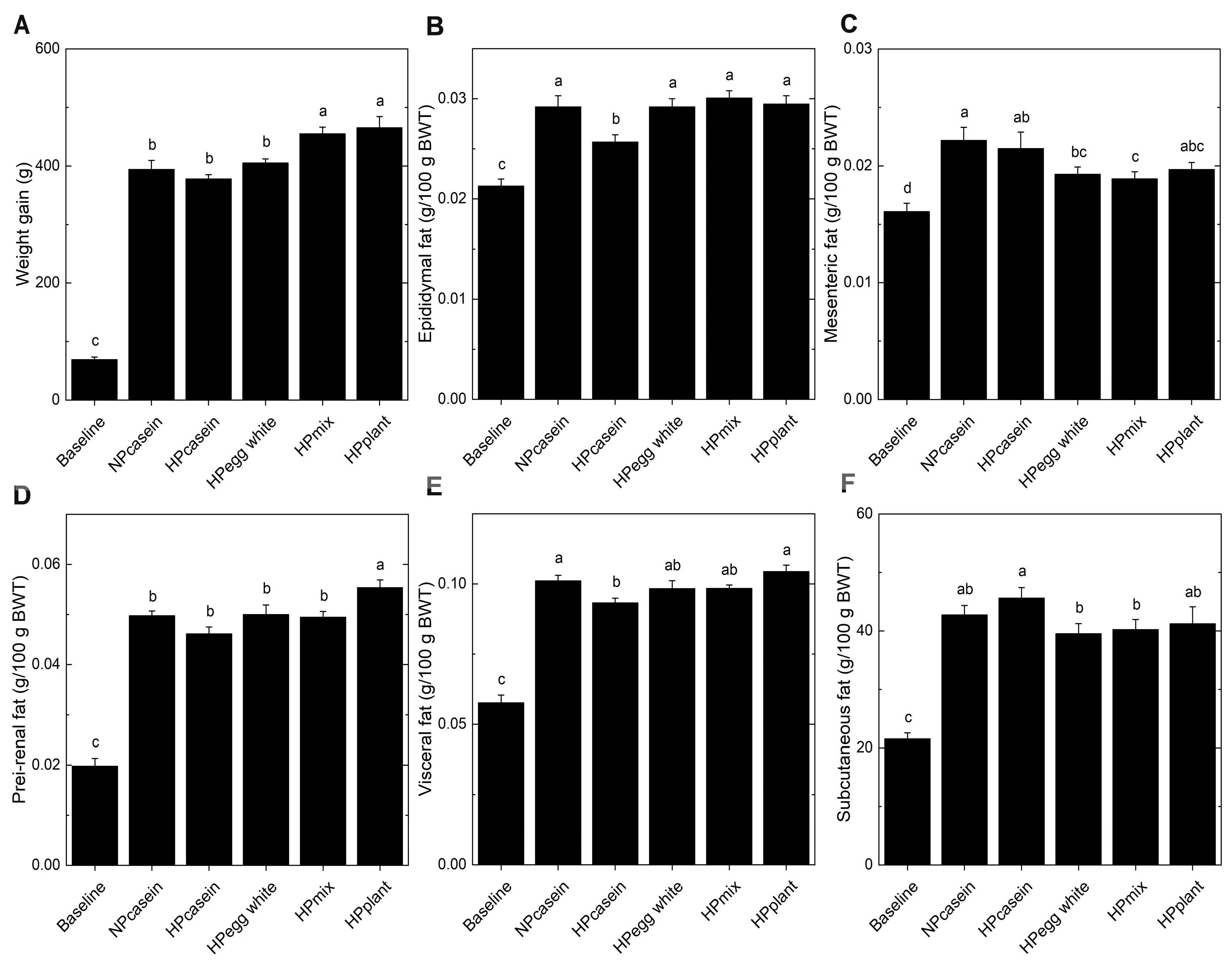
3.1. Weight Gain and Adipose Tissue Distribution
3.2. Adipose Tissue Morphology and Immune Cell Markers
3.3. Adipose Tissue Lipolysis Markers
3.4. Glucose and Insulin Homeostasis
3.5. Pancreatic Morphology
4. Discussion
5. Conclusions
Author Contributions
Funding
Institutional Review Board Statement
Data Availability Statement
Acknowledgments
Conflicts of Interest
Correction Statement
Abbreviations
| AIN-93G | American Institute of Nutrition-93 Growth |
| ATGL | Adipose triglyceride lipase |
| AUC | Area under the curve |
| BSA | Bovine serum albumin |
| CD3 | Cluster of differentiation 3 |
| H&E | Hematoxylin and eosin |
| HPcasein | High-protein casein |
| HPDs | High-protein diets |
| HPegg white | High-protein egg white |
| HPmix | High-protein mix |
| HPplant | High-protein plant |
| HSL | Hormone-sensitive lipase |
| NEFA | Non-esterified fatty acid |
| NPcasein | Normal-protein casein |
| OGTT | Oral glucose tolerance testing |
| PBS | Phosphate buffer saline |
| SDS-PAGE | Sodium dodecyl sulfate polyacrylamide gel electrophoresis |
| Tregs | Regulatory T cells |
References
- Szekeres, Z.; Sandor, B.; Bognar, Z.; Ramadan, F.H.J.; Palfi, A.; Bodis, B.; Toth, K.; Szabados, E. Clinical Study of Metabolic Parameters, Leptin and the SGLT2 Inhibitor Empagliflozin among Patients with Obesity and Type 2 Diabetes. Int. J. Mol. Sci. 2023, 24, 4405. [Google Scholar] [CrossRef]
- Ruze, R.; Liu, T.; Zou, X.; Song, J.; Chen, Y.; Xu, R.; Yin, X.; Xu, Q. Obesity and type 2 diabetes mellitus: Connections in epidemiology, pathogenesis, and treatments. Front. Endocrinol. 2023, 14, 1161521. [Google Scholar] [CrossRef]
- Zhao, Y.; Yue, R. White adipose tissue in type 2 diabetes and the effect of antidiabetic drugs. Diabetol. Metab. Syndr. 2025, 17, 116. [Google Scholar] [CrossRef]
- Della Guardia, L.; Shin, A.C. Obesity-induced tissue alterations resist weight loss: A mechanistic review. Diabetes Obes. Metab. 2024, 26, 3045–3057. [Google Scholar]
- Gilani, A.; Stoll, L.; Homan, E.A.; Lo, J.C. Adipose Signals Regulating Distal Organ Health and Disease. Diabetes 2024, 73, 169–177. [Google Scholar] [CrossRef] [PubMed]
- Anjom-Shoae, J.; Feinle-Bisset, C.; Horowitz, M. Impacts of dietary animal and plant protein on weight and glycemic control in health, obesity and type 2 diabetes: Friend or foe? Front. Endocrinol. 2024, 15, 1412182. [Google Scholar] [CrossRef] [PubMed]
- Willett, W.; Rockström, J.; Loken, B.; Springmann, M.; Lang, T.; Vermeulen, S.; Garnett, T.; Tilman, D.; DeClerck, F.; Wood, A.; et al. Food in the Anthropocene: The EAT–Lancet Commission on healthy diets from sustainable food systems. Lancet 2019, 393, 447–492. [Google Scholar] [CrossRef]
- González-Salazar, L.E.; Pichardo-Ontiveros, E.; Palacios-González, B.; Vigil-Martínez, A.; Granados-Portillo, O.; Guizar-Heredia, R.; Flores-López, A.; Medina-Vera, I.; Heredia-G-Cantón, P.K.; Hernández-Gómez, K.G.; et al. Effect of the intake of dietary protein on insulin resistance in subjects with obesity: A randomized controlled clinical trial. Eur. J. Nutr. 2021, 60, 2435–2447. [Google Scholar]
- Rodrigo-Carbó, C.; Madinaveitia-Nisarre, L.; Pérez-Calahorra, S.; Gracia-Rubio, I.; Cebollada, A.; Galindo-Lalana, C.; Mateo-Gallego, R.; Lamiquiz-Moneo, I. Low-calorie, high-protein diets, regardless of protein source, improve glucose metabolism and cardiometabolic profiles in subjects with prediabetes or type 2 diabetes and overweight or obesity. Diabetes Obes. Metab. 2025, 27, 268–279. [Google Scholar]
- Whelehan, G.; Dirks, M.L.; West, S.; Abdelrahman, D.R.; Murton, A.J.; Finnigan, T.J.A.; Wall, B.T.; Stephens, F.B. High-protein vegan and omnivorous diets improve peripheral insulin sensitivity to a similar extent in people with type 2 diabetes. Diabetes Obes. Metab. 2025, 27, 1143–1152. [Google Scholar]
- Wojcik, J.L.; Devassy, J.G.; Wu, Y.; Zahradka, P.; Taylor, C.G.; Aukema, H.M. Protein source in a high-protein diet modulates reductions in insulin resistance and hepatic steatosis in fa/fa Zucker rats. Obesity 2016, 24, 123–131. [Google Scholar] [CrossRef]
- Pourdashti, S.; Faridi, N.; Monem-Homaie, F.; Yaghooti, S.H.; Soroush, A.; Bathaie, S.Z. The size of human subcutaneous adipocytes, but not adiposity, is associated with inflammation, endoplasmic reticulum stress, and insulin resistance markers. Mol. Biol. Rep. 2023, 50, 5755–5765. [Google Scholar] [CrossRef]
- Yang, J.; Eliasson, B.; Smith, U.; Cushman, S.W.; Sherman, A.S. The Size of Large Adipose Cells Is a Predictor of Insulin Resistance in First-Degree Relatives of Type 2 Diabetic Patients. Obesity 2012, 20, 932–938. [Google Scholar] [CrossRef]
- Abdalla, M.M.I. Therapeutic potential of adiponectin in prediabetes: Strategies, challenges, and future directions. Ther. Adv. Endocrinol. Metab. 2024, 15, 1–19. [Google Scholar] [CrossRef] [PubMed]
- He, L.; Xuan, W.; Liu, D.; Zhong, J.; Luo, H.; Cui, H.; Zhang, X.; Chen, W. The role of adiponectin in the association between abdominal obesity and type 2 diabetes: A mediation analysis among 232,438 Chinese participants. Front. Endocrinol. 2024, 15, 1327716. [Google Scholar] [CrossRef] [PubMed]
- Muñoz-Rojas, A.R.; Wang, G.; Benoist, C.; Mathis, D. Adipose-tissue regulatory T cells are a consortium of subtypes that evolves with age and diet. Proc. Natl. Acad. Sci. USA 2024, 121, e2320602121. [Google Scholar] [CrossRef] [PubMed]
- Reeves, P.G.; Nielsen, F.H.; Fahey, G.C. AIN-93 Purified Diets for Laboratory Rodents: Final Report of the American Institute of Nutrition Ad Hoc Writing Committee on the Reformulation of the AIN-76A Rodent Diet. J. Nutr. 1993, 123, 1939–1951. [Google Scholar] [CrossRef]
- Ramadan, F.H.J.; Zahradka, P.; Taylor, C.G. Amelioration of hepatic steatosis in male obese rats by high-protein diet is dependent upon protein source. J. Nutr. Biochem. 2025. revised manuscript submitted. [Google Scholar]
- Schneider, C.A.; Rasband, W.S.; Eliceiri, K.W. NIH Image to ImageJ: 25 years of image analysis. Nat. Methods 2012, 9, 671–675. [Google Scholar] [CrossRef]
- Deng, T.; Liu, J.; Deng, Y.; Minze, L.; Xiao, X.; Wright, V.; Yu, R.; Li, X.C.; Blaszczak, A.; Bergin, S.; et al. Adipocyte adaptive immunity mediates diet-induced adipose inflammation and insulin resistance by decreasing adipose Treg cells. Nat. Commun. 2017, 8, 15725. [Google Scholar] [CrossRef]
- Šiklová, M.; Šrámková, V.; Koc, M.; Krauzová, E.; Čížková, T.; Ondrůjová, B.; Wilhelm, M.; Varaliová, Z.; Kuda, O.; Neubert, J.; et al. The role of adipogenic capacity and dysfunctional subcutaneous adipose tissue in the inheritance of type 2 diabetes mellitus: Cross-sectional study. Obesity 2024, 32, 547–559. [Google Scholar] [CrossRef] [PubMed]
- Cho, C.H.; Patel, S.; Rajbhandari, P. Adipose tissue lipid metabolism: Lipolysis. Curr. Opin. Genet. Dev. 2023, 83, 102114. [Google Scholar] [CrossRef] [PubMed]
- Li, M.; Chi, X.; Wang, Y.; Setrerrahmane, S.; Xie, W.; Xu, H. Trends in insulin resistance: Insights into mechanisms and therapeutic strategy. Signal Transduct. Target. Ther. 2022, 7, 216. [Google Scholar] [CrossRef] [PubMed]
- Freeman, A.M.; Acevedo, L.A.; Pennings, N. Insulin Resistance; StatPearls: Treasure Island, FL, USA, 2023. [Google Scholar]
- Tricò, D.; Chiriaco, M.; Nouws, J.; Vash-Margita, A.; Kursawe, R.; Tarabra, E.; Galderisi, A.; Natali, A.; Giannini, C.; Hellerstein, M.; et al. Alterations in Adipose Tissue Distribution, Cell Morphology, and Function Mark Primary Insulin Hypersecretion in Youth with Obesity. Diabetes 2024, 73, 941–952. [Google Scholar] [CrossRef]
- Ader, M.; Bergman, R.N. Hyperinsulinemic Compensation for Insulin Resistance Occurs Independent of Elevated Glycemia in Male Dogs. Endocrinology 2021, 162, bqab119. [Google Scholar] [CrossRef]
- Mezza, T.; Muscogiuri, G.; Sorice, G.P.; Clemente, G.; Hu, J.; Pontecorvi, A.; Holst, J.J.; Giaccari, A.; Kulkarni, R.N. Insulin Resistance Alters Islet Morphology in Nondiabetic Humans. Diabetes 2014, 63, 994–1007. [Google Scholar] [CrossRef]
- Wang, G.; Muñoz-Rojas, A.R.; Spallanzani, R.G.; Franklin, R.A.; Benoist, C.; Mathis, D. Adipose-tissue Treg cells restrain differentiation of stromal adipocyte precursors to promote insulin sensitivity and metabolic homeostasis. Immunity 2024, 57, 1345–1359.e5. [Google Scholar] [CrossRef]
- Wolfe, R.R.; Cifelli, A.M.; Kostas, G.; Kim, I.-Y. Optimizing Protein Intake in Adults: Interpretation and Application of the Recommended Dietary Allowance Compared with the Acceptable Macronutrient Distribution Range. Adv. Nutr. 2017, 8, 266–275. [Google Scholar] [CrossRef]
- Nychyk, O.; Barton, W.; Rudolf, A.M.; Boscaini, S.; Walsh, A.; Bastiaanssen, T.F.; Giblin, L.; Cormican, P.; Chen, L.; Piotrowicz, Y.; et al. Protein quality and quantity influence the effect of dietary fat on weight gain and tissue partitioning via host-microbiota changes. Cell Rep. 2021, 35, 109093. [Google Scholar] [CrossRef]
- Ji, A.; Chen, W.; Liu, C.; Zhang, T.; Shi, R.; Wang, X.; Xu, H.; Li, D. Soy protein compared with whey protein ameliorates insulin resistance by regulating lipid metabolism, AMPK/mTOR pathway and gut microbiota in high-fat diet-fed mice. Food Funct. 2023, 14, 5752–5767. [Google Scholar] [CrossRef]
- Boscaini, S.; Cabrera-Rubio, R.; Nychyk, O.; Speakman, J.R.; Cryan, J.F.; Cotter, P.D.; Nilaweera, K.N. Age- and duration-dependent effects of whey protein on high-fat diet-induced changes in body weight, lipid metabolism, and gut microbiota in mice. Physiol. Rep. 2020, 8, e14523. [Google Scholar] [CrossRef]
- Markofski, M.M.; Volpi, E. Protein metabolism in women and men: Similarities and disparities. Curr. Opin. Clin. Nutr. Metab. Care 2011, 14, 93–97. [Google Scholar] [CrossRef]





| Ingredients (g/kg) 1 | NP-Casein | HP-Casein | HP-Egg White | HP-Mix | HP-Plant |
|---|---|---|---|---|---|
| Cornstarch | 404 | 194 | 174 | 205 | 213 |
| Casein (87.6% protein) 2 | 165 | 374 | 0 | 0 | 0 |
| Egg white (82.1% protein) 2 | 0 | 0 | 398 | 190 | 0 |
| Soy protein (78.1% protein) 2 | 0 | 0 | 0 | 95 | 188 |
| Pea protein (78.6% protein) 2,3 | 0 | 0 | 0 | 95 | 188 |
| Maltodextrin | 132 | 132 | 132 | 132 | 132 |
| Sucrose | 100 | 100 | 100 | 100 | 100 |
| Cellulose | 50 | 50 | 50 | 50 | 50 |
| AIN-93G mineral mix | 35 | 35 | 35 | 35 | 35 |
| AIN-93VX vitamin mix | 10 | 10 | 10 | 10 | 10 |
| L-cystine | 3 | 6 | 0 | 0 | 0 |
| Choline bitartrate | 3 | 3 | 3 | 3 | 3 |
| Soybean oil 4 | 98 | 96 | 98 | 85 | 81 |
Disclaimer/Publisher’s Note: The statements, opinions and data contained in all publications are solely those of the individual author(s) and contributor(s) and not of MDPI and/or the editor(s). MDPI and/or the editor(s) disclaim responsibility for any injury to people or property resulting from any ideas, methods, instructions or products referred to in the content. |
© 2025 by the authors. Licensee MDPI, Basel, Switzerland. This article is an open access article distributed under the terms and conditions of the Creative Commons Attribution (CC BY) license (https://creativecommons.org/licenses/by/4.0/).
Share and Cite
Ramadan, F.H.J.; Zahradka, P.; Taylor, C.G. Protein Source Determines the Effectiveness of High-Protein Diets in Improving Adipose Tissue Function and Insulin Resistance in fa/fa Zucker Rats. Nutrients 2025, 17, 3225. https://doi.org/10.3390/nu17203225
Ramadan FHJ, Zahradka P, Taylor CG. Protein Source Determines the Effectiveness of High-Protein Diets in Improving Adipose Tissue Function and Insulin Resistance in fa/fa Zucker Rats. Nutrients. 2025; 17(20):3225. https://doi.org/10.3390/nu17203225
Chicago/Turabian StyleRamadan, Fadi H. J., Peter Zahradka, and Carla G. Taylor. 2025. "Protein Source Determines the Effectiveness of High-Protein Diets in Improving Adipose Tissue Function and Insulin Resistance in fa/fa Zucker Rats" Nutrients 17, no. 20: 3225. https://doi.org/10.3390/nu17203225
APA StyleRamadan, F. H. J., Zahradka, P., & Taylor, C. G. (2025). Protein Source Determines the Effectiveness of High-Protein Diets in Improving Adipose Tissue Function and Insulin Resistance in fa/fa Zucker Rats. Nutrients, 17(20), 3225. https://doi.org/10.3390/nu17203225
