Coenzyme Q and Selenium Co-Supplementation Alleviate Methionine Choline-Deficient Diet-Induced Metabolic Dysfunction-Associated Steatohepatitis in Mice
Abstract
1. Introduction
2. Materials and Methods
2.1. Animals and Experimental Design
2.2. Serum and Hepatic Biochemical Parameters
2.3. Histological Analysis
2.4. Quantitative Real Time RT-PCR
2.5. Western Blot Analysis
2.6. Statistical Analysis
3. Results
3.1. CoQ and Se Alleviate Liver Injury in MASH Mice Induced by MCD Diet
3.2. CoQ and Se Alleviate Inflammation and Fibrosis in MASH Mice Induced by MCD Diet
3.3. CoQ and Se Alleviate Hepatic Oxidative Stress in MCD Diet-Induced MASH Mice
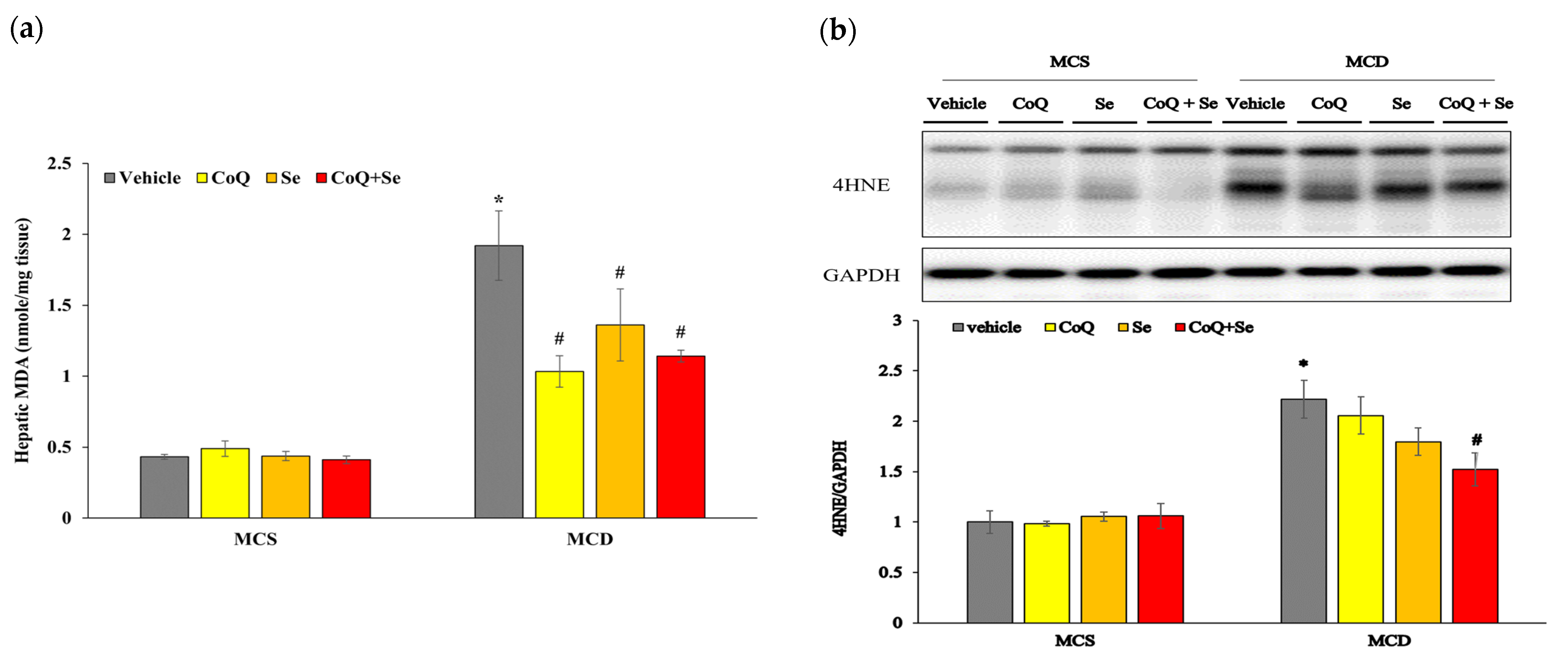
3.4. CoQ and Se Inhibit Hepatic Lipid Peroxidation in MCD Diet-Induced MASH Mice
3.5. CoQ and Se Inhibit Changes in Ferroptosis Related Markers in the Liver of MCD Diet-Induced MASH Mice
4. Discussion
5. Conclusions
Author Contributions
Funding
Institutional Review Board Statement
Data Availability Statement
Conflicts of Interest
Abbreviations
| 4-HNE | 4-Hydroxynonenal |
| ACSL4 | Acyl-CoA synthetase long-chain family member 4 |
| CAT | Catalase |
| CoQ | Coenzyme Q |
| COX2 | Cyclooxygenase-2 |
| FSP1 | Ferroptosis suppressor protein 1 |
| GPX | Glutathione peroxidase |
| GSH | Glutathione |
| GSSG | Oxidized glutathione |
| LOX | Arachidonate 12-lipoxygenase |
| MASH | Metabolic dysfunction-associated steatohepatitis |
| MASLD | Metabolic dysfunction-associated steatotic liver disease |
| MCD | Methionine choline-deficient |
| MCS | Methionine choline-sufficient |
| MDA | Malondialdehyde |
| NAFLD | Nonalcoholic fatty liver disease |
| NASH | Nonalcoholic steatohepatitis |
| NCOA4 | Nuclear receptor coactivator 4 |
| Se | Selenium |
| SOD | Superoxide dismutase |
References
- Powell, E.E.; Wong, V.W.; Rinella, M. Non-alcoholic fatty liver disease. Lancet 2021, 397, 2212–2224. [Google Scholar] [CrossRef] [PubMed]
- Daher, D.; Dahan, K.S.E.; Singal, A.G. Non-alcoholic fatty liver disease-related hepatocellular carcinoma. J. Liver Cancer 2023, 23, 127–142. [Google Scholar] [CrossRef]
- Rinella, M.E.; Lazarus, J.V.; Ratziu, V.; Francque, S.M.; Sanyal, A.J.; Kanwal, F.; Romero, D.; Abdelmalek, M.F.; Anstee, Q.M.; Arab, J.P.; et al. A multisociety Delphi consensus statement on new fatty liver disease nomenclature. Hepatology 2023, 78, 1966–1986. [Google Scholar] [CrossRef]
- Bessone, F.; Razori, M.V.; Roma, M.G. Molecular pathways of nonalcoholic fatty liver disease development and progression. Cell. Mol. Life Sci. 2019, 76, 99–128. [Google Scholar] [CrossRef] [PubMed]
- Marra, F.; Gastaldelli, A.; Svegliati Baroni, G.; Tell, G.; Tiribelli, C. Molecular basis and mechanisms of progression of non-alcoholic steatohepatitis. Trends Mol. Med. 2008, 14, 72–81. [Google Scholar] [CrossRef] [PubMed]
- Qi, J.; Kim, J.W.; Zhou, Z.; Lim, C.W.; Kim, B. Ferroptosis Affects the Progression of Nonalcoholic Steatohepatitis via the Modulation of Lipid Peroxidation-Mediated Cell Death in Mice. Am. J. Pathol. 2020, 190, 68–81. [Google Scholar] [CrossRef]
- Li, X.; Wang, T.X.; Huang, X.; Li, Y.; Sun, T.; Zang, S.; Guan, K.L.; Xiong, Y.; Liu, J.; Yuan, H.X. Targeting ferroptosis alleviates methionine-choline deficient (MCD)-diet induced NASH by suppressing liver lipotoxicity. Liver Int. 2020, 40, 1378–1394. [Google Scholar] [CrossRef] [PubMed]
- Fouad, A.A.; Jresat, I. Hepatoprotective effect of coenzyme Q10 in rats with acetaminophen toxicity. Environ. Toxicol. Phar. 2012, 33, 158–167. [Google Scholar] [CrossRef]
- Ali, S.A.; Faddah, L.; Abdel-Baky, A.; Bayoumi, A. Protective effect of L-carnitine and coenzyme Q10 on CCl4-induced liver injury in rats. Sci. Pharm. 2010, 78, 881. [Google Scholar] [CrossRef] [PubMed]
- Ozardalı, I.l.; Bitiren, M.; Karakılçık, A.Z.; Zerin, M.; Aksoy, N.; Musa, D. Effects of selenium on histopathological and enzymatic changes in experimental liver injury of rats. Exp. Toxicol. Pathol. 2004, 56, 59–64. [Google Scholar] [CrossRef]
- Bioulac-Sage, P.; Dubuisson, L.; Bedin, C.; Gonzalez, P.; de Tinguy-Moreaud, E.; Garcin, H.; Balabaud, C. Nodular regenerative hyperplasia in the rat induced by a selenium-enriched diet: Study of a model. Hepatology 1992, 16, 418–425. [Google Scholar] [CrossRef]
- Zhao, Z.; Barcus, M.; Kim, J.; Lum, K.L.; Mills, C.; Lei, X.G. High Dietary Selenium Intake Alters Lipid Metabolism and Protein Synthesis in Liver and Muscle of Pigs. J. Nutr. 2016, 146, 1625–1633. [Google Scholar] [CrossRef]
- Alim, I.; Caulfield, J.T.; Chen, Y.; Swarup, V.; Geschwind, D.H.; Ivanova, E.; Seravalli, J.; Ai, Y.; Sansing, L.H.; Marie, E.J.S. Selenium drives a transcriptional adaptive program to block ferroptosis and treat stroke. Cell 2019, 177, 1262–1279.e25. [Google Scholar] [CrossRef]
- Bersuker, K.; Hendricks, J.M.; Li, Z.; Magtanong, L.; Ford, B.; Tang, P.H.; Roberts, M.A.; Tong, B.; Maimone, T.J.; Zoncu, R.; et al. The CoQ oxidoreductase FSP1 acts parallel to GPX4 to inhibit ferroptosis. Nature 2019, 575, 688–692. [Google Scholar] [CrossRef] [PubMed]
- Li, Q.W.; Yang, Q.; Liu, H.Y.; Wu, Y.L.; Hao, Y.H.; Zhang, X.Q. Protective Role of Coenzyme Q10 in Acute Sepsis-Induced Liver Injury in BALB/c Mice. Biomed. Res. Int. 2020, 2020, 7598375. [Google Scholar] [CrossRef] [PubMed]
- Choi, J.; Choi, H.; Chung, J. Icariin supplementation suppresses the markers of ferroptosis and attenuates the progression of nonalcoholic steatohepatitis in mice fed a methionine choline-deficient diet. Int. J. Mol. Sci. 2023, 24, 12510. [Google Scholar] [CrossRef] [PubMed]
- Liu, W.; Baker, S.S.; Baker, R.D.; Zhu, L. Antioxidant Mechanisms in Nonalcoholic Fatty Liver Disease. Curr. Drug Targets 2015, 16, 1301–1314. [Google Scholar] [CrossRef] [PubMed]
- Videla, L.A.; Rodrigo, R.; Orellana, M.; Fernandez, V.; Tapia, G.; Quiñones, L.; Varela, N.; Contreras, J.; Lazarte, R.; Csendes, A.; et al. Oxidative stress-related parameters in the liver of non-alcoholic fatty liver disease patients. Clin. Sci. 2004, 106, 261–268. [Google Scholar] [CrossRef] [PubMed]
- Varela-López, A.; Giampieri, F.; Battino, M.; Quiles, J.L. Coenzyme Q and Its Role in the Dietary Therapy against Aging. Molecules 2016, 21, 373. [Google Scholar] [CrossRef] [PubMed]
- Yang, W.S.; SriRamaratnam, R.; Welsch, M.E.; Shimada, K.; Skouta, R.; Viswanathan, V.S.; Cheah, J.H.; Clemons, P.A.; Shamji, A.F.; Clish, C.B.; et al. Regulation of ferroptotic cancer cell death by GPX4. Cell 2014, 156, 317–331. [Google Scholar] [CrossRef] [PubMed]
- Friedmann Angeli, J.P.; Schneider, M.; Proneth, B.; Tyurina, Y.Y.; Tyurin, V.A.; Hammond, V.J.; Herbach, N.; Aichler, M.; Walch, A.; Eggenhofer, E.; et al. Inactivation of the ferroptosis regulator Gpx4 triggers acute renal failure in mice. Nat. Cell Biol. 2014, 16, 1180–1191. [Google Scholar] [CrossRef] [PubMed]
- Doll, S.; Freitas, F.P.; Shah, R.; Aldrovandi, M.; da Silva, M.C.; Ingold, I.; Goya Grocin, A.; Xavier da Silva, T.N.; Panzilius, E.; Scheel, C.H.; et al. FSP1 is a glutathione-independent ferroptosis suppressor. Nature 2019, 575, 693–698. [Google Scholar] [CrossRef] [PubMed]
- Palladini, G.; Di Pasqua, L.G.; Cagna, M.; Croce, A.C.; Perlini, S.; Mannucci, B.; Profumo, A.; Ferrigno, A.; Vairetti, M. MCD Diet Rat Model Induces Alterations in Zinc and Iron during NAFLD Progression from Steatosis to Steatohepatitis. Int. J. Mol. Sci. 2022, 23, 6817. [Google Scholar] [CrossRef] [PubMed]
- Imeryuz, N.; Tahan, V.; Sonsuz, A.; Eren, F.; Uraz, S.; Yuksel, M.; Akpulat, S.; Ozcelik, D.; Haklar, G.; Celikel, C.; et al. Iron preloading aggravates nutritional steatohepatitis in rats by increasing apoptotic cell death. J. Hepatol. 2007, 47, 851–859. [Google Scholar] [CrossRef]
- Kirsch, R.; Sijtsema, H.P.; Tlali, M.; Marais, A.D.; Hall Pde, L. Effects of iron overload in a rat nutritional model of non-alcoholic fatty liver disease. Liver Int. 2006, 26, 1258–1267. [Google Scholar] [CrossRef] [PubMed]
- Yang, W.S.; Kim, K.J.; Gaschler, M.M.; Patel, M.; Shchepinov, M.S.; Stockwell, B.R. Peroxidation of polyunsaturated fatty acids by lipoxygenases drives ferroptosis. Proc. Natl. Acad. Sci. USA 2016, 113, E4966–E4975. [Google Scholar] [CrossRef] [PubMed]
- Huang, Q.; Tian, L.; Zhang, Y.; Qiu, Z.; Lei, S.; Xia, Z.Y. Nobiletin alleviates myocardial ischemia-reperfusion injury via ferroptosis in rats with type-2 diabetes mellitus. Biomed. Pharmacother. 2023, 163, 114795. [Google Scholar] [CrossRef]
- Gao, M.; Monian, P.; Pan, Q.; Zhang, W.; Xiang, J.; Jiang, X. Ferroptosis is an autophagic cell death process. Cell Res. 2016, 26, 1021–1032. [Google Scholar] [CrossRef]
- Chen, K.; Chen, X.; Xue, H.; Zhang, P.; Fang, W.; Chen, X.; Ling, W. Coenzyme Q10 attenuates high-fat diet-induced non-alcoholic fatty liver disease through activation of the AMPK pathway. Food Funct. 2019, 10, 814–823. [Google Scholar] [CrossRef] [PubMed]
- Xu, Z.; Huo, J.; Ding, X.; Yang, M.; Li, L.; Dai, J.; Hosoe, K.; Kubo, H.; Mori, M.; Higuchi, K.; et al. Coenzyme Q10 Improves Lipid Metabolism and Ameliorates Obesity by Regulating CaMKII-Mediated PDE4 Inhibition. Sci. Rep. 2017, 7, 8253. [Google Scholar] [CrossRef] [PubMed]
- Zahedi, H.; Eghtesadi, S.; Seifirad, S.; Rezaee, N.; Shidfar, F.; Heydari, I.; Golestan, B.; Jazayeri, S. Effects of CoQ10 Supplementation on Lipid Profiles and Glycemic Control in Patients with Type 2 Diabetes: A randomized, double blind, placebo-controlled trial. J. Diabetes Metab. Disord. 2014, 13, 81. [Google Scholar] [CrossRef] [PubMed]
- Nido, S.A.; Shituleni, S.A.; Mengistu, B.M.; Liu, Y.; Khan, A.Z.; Gan, F.; Kumbhar, S.; Huang, K. Effects of Selenium-Enriched Probiotics on Lipid Metabolism, Antioxidative Status, Histopathological Lesions, and Related Gene Expression in Mice Fed a High-Fat Diet. Biol. Trace Elem. Res. 2016, 171, 399–409. [Google Scholar] [CrossRef] [PubMed]






| MCS | MCD | ||||
|---|---|---|---|---|---|
| Vehicle | Vehicle | CoQ | Se | CoQ + Se | |
| CAT activity (U/mg protein) | 1045.9 ± 197.5 a | 355.1 ± 24.7 c | 537.0 ± 54.6 bc | 373.5 ± 23.8 c | 649.2 ± 78.8 b |
| SOD activity (U/mg protein) | 33.3 ± 1.1 a | 20.4 ± 1.3 c | 23.0 ± 2.3 bc | 24.2 ± 0.8 bc | 27.2 ± 0.8 ab |
| GPX activity (U/mg tissue) | 0.1 ± 0.1 d | 1.6 ± 0.3 bc | 2.1 ± 0.4 b | 2.1 ± 0.1 b | 4.0 ± 0.5 a |
| GSH/GSSG | 20.0 ± 5.4 a | 4.9 ± 0.7 c | 7.3 ± 1.5 bc | 6.2 ± 2.2 c | 16.4 ± 3.9 ab |
Disclaimer/Publisher’s Note: The statements, opinions and data contained in all publications are solely those of the individual author(s) and contributor(s) and not of MDPI and/or the editor(s). MDPI and/or the editor(s) disclaim responsibility for any injury to people or property resulting from any ideas, methods, instructions or products referred to in the content. |
© 2025 by the authors. Licensee MDPI, Basel, Switzerland. This article is an open access article distributed under the terms and conditions of the Creative Commons Attribution (CC BY) license (https://creativecommons.org/licenses/by/4.0/).
Share and Cite
Choi, H.; Choi, J.; Go, Y.; Chung, J. Coenzyme Q and Selenium Co-Supplementation Alleviate Methionine Choline-Deficient Diet-Induced Metabolic Dysfunction-Associated Steatohepatitis in Mice. Nutrients 2025, 17, 229. https://doi.org/10.3390/nu17020229
Choi H, Choi J, Go Y, Chung J. Coenzyme Q and Selenium Co-Supplementation Alleviate Methionine Choline-Deficient Diet-Induced Metabolic Dysfunction-Associated Steatohepatitis in Mice. Nutrients. 2025; 17(2):229. https://doi.org/10.3390/nu17020229
Chicago/Turabian StyleChoi, Hyewon, Jiwon Choi, Yula Go, and Jayong Chung. 2025. "Coenzyme Q and Selenium Co-Supplementation Alleviate Methionine Choline-Deficient Diet-Induced Metabolic Dysfunction-Associated Steatohepatitis in Mice" Nutrients 17, no. 2: 229. https://doi.org/10.3390/nu17020229
APA StyleChoi, H., Choi, J., Go, Y., & Chung, J. (2025). Coenzyme Q and Selenium Co-Supplementation Alleviate Methionine Choline-Deficient Diet-Induced Metabolic Dysfunction-Associated Steatohepatitis in Mice. Nutrients, 17(2), 229. https://doi.org/10.3390/nu17020229
