Citrus reticulata Olive Oil: Production and Nutraceutical Effects on the Cardiovascular System in an In Vivo Rat Model of Metabolic Disorder
Abstract
1. Introduction
2. Materials and Methods
2.1. Plant Material
2.2. Citrus Peel Cryomaceration and Citrus Olive Oil Extraction
2.3. Citrus Olive Oil Chemical Analyses
2.3.1. Chemical Quality Standards
2.3.2. Total Phenols
2.3.3. Free-Radical Scavenging Capacity (FRSC)
2.3.4. Intensity of Bitterness (IB)
2.3.5. Carotenoids and Chlorophylls
2.3.6. Analysis of Hydroxytyrosol and Tyrosol
2.3.7. Extraction and Detection of Tocopherols (Vitamin E)
2.3.8. Headspace-Solid Phase Microextraction Analysis
2.3.9. Gas Chromatography–Mass Spectrometry Analyses
2.4. In Vivo Evaluation of the Nutraceutical Properties of Enriched Extra Virgin Olive Oil
2.4.1. Functional Analysis of Cardiac Mitochondrial Membrane Potential
2.4.2. Western Blot
2.4.3. Immunohistochemistry
2.4.4. Hematoxylin and Eosin Staining
2.5. Statistical Analysis
3. Results and Discussion
3.1. Oil Chemical Characterization
3.1.1. Legal Quality Parameters
3.1.2. Phytochemical Composition
3.1.3. Volatile Composition
3.2. Effects of CEVOO and CrOO Supplementation on the Cardiometabolic Profile of HFD-Fed Rats
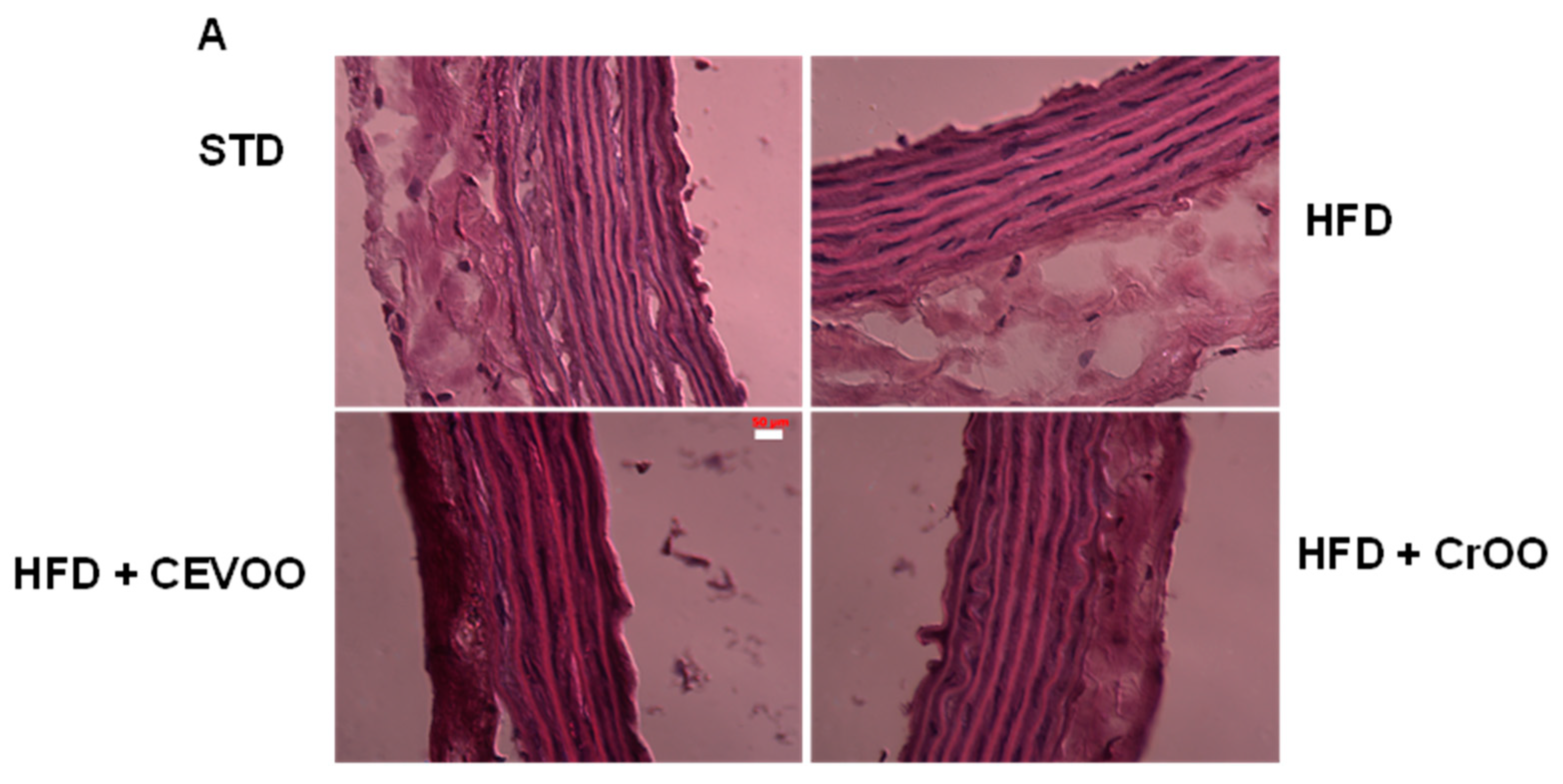
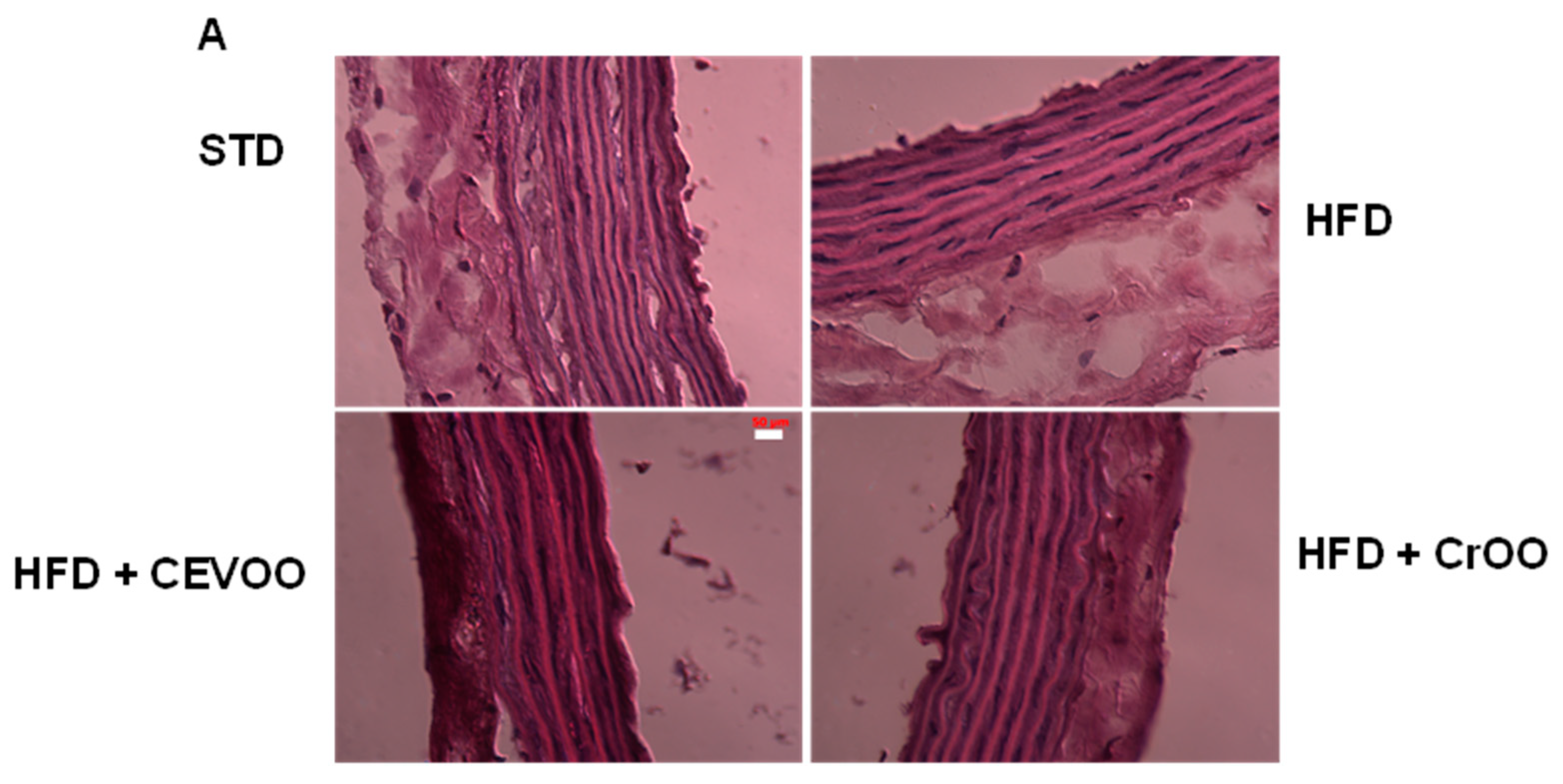
3.3. Effects of CEVOO and CrOO Supplementation on Levels of Pro-Inflammatory Markers in Rat Aortic Vessels
4. Conclusions
Author Contributions
Funding
Institutional Review Board Statement
Informed Consent Statement
Data Availability Statement
Conflicts of Interest
References
- Maqbool, Z.; Khalid, W.; Atiq, H.T.; Koraqi, H.; Javaid, Z.; Alhag, S.K.; Al-Shuraym, L.A.; Bader, D.M.D.; Almarzuq, M.; Afifi, M.; et al. Citrus Waste as Source of Bioactive Compounds: Extraction and Utilization in Health and Food Industry. Molecules 2023, 28, 1636. [Google Scholar] [CrossRef] [PubMed]
- Addi, M.; Elbouzidi, A.; Abid, M.; Tungmunnithum, D.; Elamrani, A.; Hano, C. An Overview of Bioactive Flavonoids from Citrus Fruits. Appl. Sci. 2022, 12, 29. [Google Scholar] [CrossRef]
- Lv, X.; Zhao, S.; Ning, Z.; Zeng, H.; Shu, Y.; Tao, O.; Xiao, C.; Lu, C.; Liu, Y. Citrus fruits as a treasure trove of active natural metabolites that potentially provide benefits for human health. Chem. Cent. J. 2015, 9, 68. [Google Scholar] [CrossRef] [PubMed]
- Gualdani, R.; Cavalluzzi, M.M.; Lentini, G.; Habtemariam, S. The Chemistry and Pharmacology of Citrus Limonoids. Molecules 2016, 21, 1530. [Google Scholar] [CrossRef] [PubMed]
- Liu, S.; Lou, Y.; Li, Y.; Zhang, J.; Li, P.; Yang, B.; Gu, Q. Review of phytochemical and nutritional characteristics and food applications of Citrus L. fruits. Front. Nutr. 2022, 9, 968604. [Google Scholar] [CrossRef] [PubMed]
- Hua, Y.Q.; Zeng, Y.; Xu, J.; Xu, X. Le Naringenin alleviates nonalcoholic steatohepatitis in middle-aged Apoe−/− mice: Role of SIRT1. Phytomedicine 2021, 81, 153412. [Google Scholar] [CrossRef]
- Li, H.; Liu, L.; Cao, Z.; Li, W.; Liu, R.; Chen, Y.; Li, C.; Song, Y.; Liu, G.; Hu, J.; et al. Naringenin ameliorates homocysteine induced endothelial damage via the AMPKα/Sirt1 pathway. J. Adv. Res. 2021, 34, 137–147. [Google Scholar] [CrossRef]
- Testai, L.; Calderone, V. Nutraceutical value of citrus flavanones and their implications in cardiovascular disease. Nutrients 2017, 9, 502. [Google Scholar] [CrossRef]
- Idrees, M.; Kumar, V.; Khan, A.M.; Joo, M.D.; Uddin, Z.; Lee, K.W.; Kong, I.K. Hesperetin activated SIRT1 neutralizes cadmium effects on the early bovine embryo development. Theriogenology 2022, 189, 209–221. [Google Scholar] [CrossRef] [PubMed]
- Flori, L.; Macaluso, M.; Taglieri, I.; Sanmartin, C.; Sgherri, C.; De Leo, M.; Ciccone, V.; Donnini, S.; Venturi, F.; Pistelli, L.; et al. Development of Fortified Citrus Olive Oils: From Their Production to Their Nutraceutical Properties on the Cardiovascular System. Nutrients 2020, 12, 1557. [Google Scholar] [CrossRef]
- Bohn, T.; Bonet, M.L.; Borel, P.; Keijer, J.; Landrier, J.F.; Milisav, I.; Ribot, J.; Riso, P.; Winklhofer-Roob, B.; Sharoni, Y.; et al. Mechanistic aspects of carotenoid health benefits—Where are we now? Nutr. Res. Rev. 2021, 34, 276–302. [Google Scholar] [CrossRef] [PubMed]
- Pellegrini, N.; Re, R.; Yang, M.; Rice-Evans, C. Screening of dietary carotenoids and carotenoid-rich fruit extracts for antioxidant activities applying 2,2’-azinobis(3-ethylenebenzothiazoline-6- sulfonic acid radical cation decolorization assay. Methods Enzymol. 1998, 299, 379–389. [Google Scholar] [CrossRef]
- Saini, R.K.; Ranjit, A.; Sharma, K.; Prasad, P.; Shang, X.; Gowda, K.G.M.; Keum, Y.S. Bioactive compounds of citrus fruits: A review of the composition and health benefits of carotenoids, flavonoids, limonoids, and terpenes. Antioxidants 2022, 11, 239. [Google Scholar] [CrossRef] [PubMed]
- Ejaz, S.; Ejaz, A.; Matsuda, K.; Chae, W.L. Limonoids as cancer chemopreventive agents. J. Sci. Food Agric. 2006, 86, 339–345. [Google Scholar] [CrossRef]
- Teodoro, A.J. Bioactive compounds of food: Their role in the prevention and treatment of diseases. Oxid. Med. Cell. Longev. 2019, 2019, 4–7. [Google Scholar] [CrossRef]
- Ofori, K.F.; Antoniello, S.; English, M.M.; Aryee, A.N.A. Improving nutrition through biofortification—A systematic review. Front. Nutr. 2022, 9, 1–20. [Google Scholar] [CrossRef]
- Olson, R.; Gavin-Smith, B.; Ferraboschi, C.; Kraemer, K. Food fortification: The advantages, disadvantages and lessons from sight and life programs. Nutrients 2021, 13, 1118. [Google Scholar] [CrossRef]
- Ascrizzi, R.; Taglieri, I.; Sgherri, C.; Flamini, G.; Macaluso, M.; Sanmartin, C.; Venturi, F.; Quartacci, M.F.; Pistelli, L.; Zinnai, A. Nutraceutical oils produced by olives and citrus peel of Tuscany varieties as sources of functional ingredients. Molecules 2019, 24, 65. [Google Scholar] [CrossRef]
- Macaluso, M.; Taglieri, I.; Venturi, F.; Sanmartin, C.; Bianchi, A.; De Leo, M.; Braca, A.; Quartacci, M.F.; Zinnai, A. Influence of the Atmosphere Composition during Malaxation and Storage on the Shelf Life of an Unfiltered Extra Virgin Olive Oil: Preliminary Results. Eur. J. Lipid Sci. Technol. 2021, 123, 2000122. [Google Scholar] [CrossRef]
- EU Commission. European Union Commission Implementing Regulation (EU) No 1348/2013 amending Regulation (EEC) No 2568/91. Off. J. Eur. Union 2013, 139, 31–67. [Google Scholar]
- Gutierrez Rosales, F.G.; Perdiguero, S.; Gutierrez, R.; Olias, J.M. Evaluation of the Bitter Taste in Virgin Olive Oil. J. Am. Oil Chem. Soc. 1992, 69, 394–395. [Google Scholar] [CrossRef]
- Mínguez-Mosquera, M.I.; Gandul-Rojas, B.; Gallardo-Guerrero, M.L. Rapid Method of Quantification of Chlorophylls and Carotenoids in Virgin Olive Oil by High-Performance Liquid Chromatography. J. Agric. Food Chem. 1992, 40, 60–63. [Google Scholar] [CrossRef]
- Sgherri, C.; Pérez-López, U.; Micaelli, F.; Miranda-Apodaca, J.; Mena-Petite, A.; Muñoz-Rueda, A.; Quartacci, M.F. Elevated CO2 and salinity are responsible for phenolics-enrichment in two differently pigmented lettuces. Plant Physiol. Biochem. 2017, 115, 269–278. [Google Scholar] [CrossRef] [PubMed]
- Flamini, G.; Pistelli, L.; Nardoni, S.; Ebani, V.V.; Zinnai, A.; Mancianti, F.; Ascrizzi, R.; Pistelli, L. Essential oil composition and biological activity of “Pompia”, a Sardinian citrus ecotype. Molecules 2019, 24, 908. [Google Scholar] [CrossRef] [PubMed]
- Leung, V.; Rousseau-Blass, F.; Beauchamp, G.; Pang, D.S.J. Arrive has not arrived: Support for the arrive (animal research: Reporting of in vivo experiments) guidelines does not improve the reporting quality of papers in animal welfare, analgesia or anesthesia. PLoS ONE 2018, 13, e0197882. [Google Scholar] [CrossRef] [PubMed]
- Ahmad, P.; Shah, A.; Waiz, M.; Chaturvedi, C.P.; Alvi, S.S.; Khan, M.S. Organosulfur Compounds, S-Allyl-L-Cysteine and S-Ethyl-L-Cysteine, Target PCSK-9/LDL-R-Axis to Ameliorate Cardiovascular, Hepatic, and Metabolic Changes in High Carbohydrate and High Fat Diet-Induced Metabolic Syndrome in Rats. Phyther. Res. 2024, 1–21. [Google Scholar] [CrossRef]
- Bellumori, M.; Cecchi, L.; Innocenti, M.; Clodoveo, M.L.; Corbo, F.; Mulinacci, N. The EFSA health claim on olive oil polyphenols: Acid hydrolysis validation and total hydroxytyrosol and tyrosol determination in Italian virgin olive oils. Molecules 2019, 24, 2179. [Google Scholar] [CrossRef]
- Ciccone, V.; Terzuoli, E.; Ristori, E.; Filippelli, A.; Ziche, M.; Morbidelli, L.; Donnini, S. ALDH1A1 overexpression in melanoma cells promotes tumor angiogenesis by activating the IL-8/Notch signaling cascade. Int. J. Mol. Med. 2022, 50, 99. [Google Scholar] [CrossRef]
- Pieracci, Y.; Pistelli, L.; Cecchi, M.; Pistelli, L.; De Leo, M. Phytochemical Characterization of Citrus-Based Products Supporting Their Antioxidant Effect and Sensory Quality. Foods 2022, 11, 1550. [Google Scholar] [CrossRef]
- Hariri, N.; Thibault, L. High-fat diet-induced obesity in animal models. Nutr. Res. Rev. 2010, 23, 270–299. [Google Scholar] [CrossRef]
- Macaluso, M.; Bianchi, A.; Sanmartin, C.; Taglieri, I.; Venturi, F.; Testai, L.; Flori, L.; Calderone, V.; De Leo, M.; Braca, A.; et al. By-products from winemaking and olive mill value chains for the enrichment of refined olive oil: Technological challenges and nutraceutical features. Foods 2020, 9, 1390. [Google Scholar] [CrossRef] [PubMed]
- Henein, M.Y.; Vancheri, S.; Longo, G.; Vancheri, F. The Role of Inflammation in Cardiovascular Disease. Int. J. Mol. Sci. 2022, 23, 2906. [Google Scholar] [CrossRef] [PubMed]
- Ding, N.; Yang, C.; Ballew, S.H.; Kalbaugh, C.A.; McEvoy, J.W.; Salameh, M.; Aguilar, D.; Hoogeveen, R.C.; Nambi, V.; Selvin, E.; et al. Fibrosis and Inflammatory Markers and Long-Term Risk of Peripheral Artery Disease The ARIC Study. Arterioscler. Thromb. Vasc. Biol. 2020, 40, 2322–2331. [Google Scholar] [CrossRef] [PubMed]
- Terzuoli, E.; Nannelli, G.; Giachetti, A.; Morbidelli, L.; Ziche, M.; Donnini, S. Targeting endothelial-to-mesenchymal transition: The protective role of hydroxytyrosol sulfate metabolite. Eur. J. Nutr. 2020, 59, 517–527. [Google Scholar] [CrossRef] [PubMed]
- Pastor, R.; Bouzas, C.; Tur, J.A. Beneficial effects of dietary supplementation with olive oil, oleic acid, or hydroxytyrosol in metabolic syndrome: Systematic review and meta-analysis. Free Radic. Biol. Med. 2021, 172, 372–385. [Google Scholar] [CrossRef]
- de Pablos, R.M.; Espinosa-Oliva, A.M.; Hornedo-Ortega, R.; Cano, M.; Arguelles, S. Hydroxytyrosol protects from aging process via AMPK and autophagy; a review of its effects on cancer, metabolic syndrome, osteoporosis, immune-mediated and neurodegenerative diseases. Pharmacol. Res. 2019, 143, 58–72. [Google Scholar] [CrossRef]
- Sluijs, I.; Beulens, J.W.J.; Grobbee, D.E.; Van Der Schouw, Y.T. Dietary carotenoid intake is associated with lower prevalence of metabolic syndrome in middle-aged and elderly men. J. Nutr. 2009, 139, 987–992. [Google Scholar] [CrossRef]
- Pokala, A.; Quarles, W.R.; Ortega-Anaya, J.; Jimenez-Flores, R.; Cao, S.; Zeng, M.; Hodges, J.K.; Bruno, R.S. Milk-Fat-Globule-Membrane-Enriched Dairy Milk Compared with a Soy-Lecithin-Enriched Beverage Did Not Adversely Affect Endotoxemia or Biomarkers of Gut Barrier Function and Cardiometabolic Risk in Adults with Metabolic Syndrome: A Randomized Controlled Cro. Nutrients 2023, 15, 3259. [Google Scholar] [CrossRef]
- Wong, S.K.; Chin, K.Y.; Suhaimi, F.H.; Ahmad, F.; Ima-Nirwana, S. Vitamin E as a potential interventional treatment for metabolic syndrome: Evidence from animal and human studies. Front. Pharmacol. 2017, 8, 444. [Google Scholar] [CrossRef]
- Logvinov, S.V.; Naryzhnaya, N.V.; Kurbatov, B.K.; Gorbunov, A.S.; Birulina, Y.G.; Maslov, L.L.; Oeltgen, P.R. High carbohydrate high fat diet causes arterial hypertension and histological changes in the aortic wall in aged rats: The involvement of connective tissue growth factors and fibronectin. Exp. Gerontol. 2021, 154, 111543. [Google Scholar] [CrossRef]
- Henson, G.D.; Walker, A.E.; Reihl, K.D.; Donato, A.J.; Lesniewski, L.A. Dichotomous mechanisms of aortic stiffening in high-fat diet fed young and old B6D2F1 mice. Physiol. Rep. 2014, 2, e00268. [Google Scholar] [CrossRef] [PubMed]






| STD | HFD | |
|---|---|---|
| Protein (%) | 14.3 | 12.9 |
| Fat (%) | 4.0 | 19.2 |
| Carbohydrate (%) | 48.0 | 50.2 |
| Calories from Protein (%) | 20.0 | 12.1 |
| Calories from Fat (%) | 13.0 | 40.7 |
| Calories from Carbohydrate (%) | 67.0 | 47.2 |
| Na (mg/kg) | 1000.0 | 2234.1 |
| K (mg/kg) | 6000.0 | 5284.3 |
| Mg (mg/kg) | 2000.0 | 1294.0 |
| Ca (mg/kg) | 7000.0 | 6312.5 |
| Mn (mg/kg) | 100.0 | 47.7 |
| Fe (mg/kg) | 175.0 | 253.2 |
| Cu (mg/kg) | 15.0 | 18.5 |
| Zn (mg/kg) | 70.0 | 48.7 |
| P (mg/kg) | 6000.0 | 5144.2 |
| Cl (mg/kg) | 3000.0 | 3508.1 |
| Vitamin A (IU/g) | 6.0 | 7.4 |
| Vitamin E (IU/kg) | 120.0 | 29.8 |
| Vitamin D3 (IU/g) | 0.6 | 1.0 |
| Vitamin K3 (mg/kg) | 20.0 | 13.3 |
| Vitamin B1 (mg/kg) | 12.0 | 4.2 |
| Cholesterol (mg/kg) | - | 12488 |
| Parameter | |
|---|---|
| Maturity index | 3.8 ± 0.1 |
| Dry Matter (%) | 53.66 ± 0.08 |
| Oil Content (% d.m.) | 17.70 ± 0.03 |
| EVOO | CEVOO | CrOO | Significance Level 1 | |
|---|---|---|---|---|
| Free acidity (% oleic acid w/w) | ≤0.80 | 0.44 a | 0.44 a | n.s. |
| Peroxide index (mEq. O2/kg oil) | ≤20.00 | 8.90 a | 8.80 a | n.s. |
| K232 | ≤2.50 | 1.98 b | 2.10 a | ** |
| K270 | ≤0.22 | 0.14 b | 0.18 a | ** |
| ΔK | ≤0.01 | 0.00 | 0.00 | n.s. |
| CEVOO | CrOO | Significance Level 1 | |
|---|---|---|---|
| Total carotenoids (ppm lutein) | 4.44 b | 9.34 a | *** |
| Total chlorophylls (ppm pheophytin) | 9.34 a | 5.23 b | *** |
| α-tocopherol (ppmVitamin E) | 110 | 133 | ** |
| γ-tocopherol (ppmVitamin E) | 2.7 | 3.2 | ** |
| δ-tocopherol (ppmVitamin E) | 0.76 | 1.4 | ** |
| Total phenols (ppm gallic acid) | 133 | 138 | n.s |
| FRSC ABTS (µmol TEAC/mL) | 0.30 a | 0.34 a | n.s |
| FRSC DPPH (µmol TEAC/mL) | 0.24 a | 0.22 a | n.s |
| Hydroxtyrosol (ppm) | 0.06 a | 0.02 b | ** |
| Tyrosol (ppm) | 2.4 a | 1.3 b | ** |
| Intensity of bitterness | 0.55 a | 0.57 a | n.s |
| Compounds | l.r.i. 1 | Class | Relative Abundance (%) ± SD | |
|---|---|---|---|---|
| CEVOO | CrOO | |||
| hexanal | 802 | nt | 2.7 ± 0.4 | - 2 |
| p-xylene | 870 | nt | 1.5 ± 0.01 | - |
| (E)-2-hexenal | 892 | nt | 82.7 ± 2.32 | 0.3 ± 0.0 |
| o-xylene | 897 | nt | 1.6 ± 0.2 | - |
| 3-ethyl-1,5-octadiene (isomer 1) | 898 | nt | 0.7 ± 0.0 | - |
| 3-ethyl-1,5-octadiene (isomer 2) | 901 | nt | 0.5 ± 0.0 | - |
| α-pinene | 933 | mh | - | 1.9 ± 0.0 |
| 1-ethyl-4-methylbenzene | 965 | nt | 0.3 ± 0.4 | |
| sabinene | 973 | mh | - | 1.4 ± 0.0 |
| β-pinene | 977 | mh | - | 0.1 ± 0.0 |
| myrcene | 991 | mh | - | 3.8 ± 0.0 |
| octanal | 1003 | nt | - | 0.8 ± 0.0 |
| α-phellandrene | 1005 | mh | - | 0.2 ± 0.0 |
| δ-3-carene | 1011 | mh | - | 0.9 ± 0.0 |
| 1,2,4-trimethylbenzene | 1025 | nt | 0.2 ± 0.2 | - |
| limonene | 1029 | mh | 1.0 ± 0.7 | 90.4 ± 0.0 |
| (E)-β-ocimene | 1052 | mh | 2.0 ± 0.3 | |
| terpinolene | 1089 | mh | - | 0.1 ± 0.0 |
| n-nonanal | 1102 | nt | 0.5 ± 0.8 | - |
| (E)-4,8-dimethylnona-1,3,7-triene | 1116 | nt | 0.8 ± 0.1 | - |
| (E)-2-dodecene | 1205 | nt | 0.4 ± 0.5 | - |
| decanal | 1206 | nt | - | 0.1 ± 0.0 |
| cyclosativene | 1368 | sh | 0.2 ± 0.3 | - |
| α-copaene | 1376 | sh | 2.3 ± 0.2 | - |
| valencene | 1492 | sh | 1.3 ± 0.0 | - |
| (E,E)-α-farnesene | 1507 | sh | 0.4 ± 0.5 | - |
| liguloxide | 1532 | os | 0.7 ± 0.1 | - |
| Monoterpene hydrocarbons (mh) | 3.0 ± 0.4 | 98.8 ± 0.1 | ||
| Sesquiterpene hydrocarbons (sh) | 4.2 ± 0.5 | - | ||
| Oxygenated sesquiterpenes (os) | 0.7 ± 0.1 | - | ||
| Other non-terpene derivatives (nt) | 92.1 ± 0.1 | 1.2 ± 0.1 | ||
| Total identified (%) | 99.9 ± 0.1 | 100.0 ± 0.0 | ||
| STD | HFD | HFD + CEVOO | HFD + CrOO | |
|---|---|---|---|---|
| Total cholesterol (mmol/L) | 1.98 ± 0.09 | 3.00 ± 0.19 *** | 2.74 ± 0.17 | 2.96 ± 0.25 |
| Triglycerides (mg/dL) | 71.4 ± 4.1 | 107.8 ± 14.2 * | 67.7 ± 2.9 § | 86.0 ± 6.7 |
| HDL-cholesterol (mg/dL) | 49.3 ± 3.2 | 28.9 ± 1.8 *** | 30.2 ± 1.8 | 31.4 ± 3.1 |
| LDL-cholesterol (mg/dL) | 34.4 ± 7.1 | 71.9 ± 4.5 *** | 68.1 ± 6.1 | 62.4 ± 4.5 |
| non-HDL-cholesterol (mg/dL) | 29.1 ± 1.8 | 81.1 ± 5.2 *** | 82.2 ± 5.8 | 83.2 ± 9.5 |
| Cardiovascular risk (Total Cholesterol/HDL-cholesterol) | 1.6 ± 0.1 | 5.0 ± 0.3 *** | 3.7 ± 0.2 §§ | 3.8 ± 0.3 § |
| Fasting blood glucose (mmol/L) | 3.66 ± 0.26 | 5.02 ± 0.21 *** | 3.79 ± 0.24 §§ | 4.01 ± 0.15 § |
Disclaimer/Publisher’s Note: The statements, opinions and data contained in all publications are solely those of the individual author(s) and contributor(s) and not of MDPI and/or the editor(s). MDPI and/or the editor(s) disclaim responsibility for any injury to people or property resulting from any ideas, methods, instructions or products referred to in the content. |
© 2024 by the authors. Licensee MDPI, Basel, Switzerland. This article is an open access article distributed under the terms and conditions of the Creative Commons Attribution (CC BY) license (https://creativecommons.org/licenses/by/4.0/).
Share and Cite
Spezzini, J.; Ciccone, V.; Macaluso, M.; Pieracci, Y.; Flamini, G.; Donnini, S.; Calderone, V.; Testai, L.; Zinnai, A. Citrus reticulata Olive Oil: Production and Nutraceutical Effects on the Cardiovascular System in an In Vivo Rat Model of Metabolic Disorder. Nutrients 2024, 16, 3172. https://doi.org/10.3390/nu16183172
Spezzini J, Ciccone V, Macaluso M, Pieracci Y, Flamini G, Donnini S, Calderone V, Testai L, Zinnai A. Citrus reticulata Olive Oil: Production and Nutraceutical Effects on the Cardiovascular System in an In Vivo Rat Model of Metabolic Disorder. Nutrients. 2024; 16(18):3172. https://doi.org/10.3390/nu16183172
Chicago/Turabian StyleSpezzini, Jacopo, Valerio Ciccone, Monica Macaluso, Ylenia Pieracci, Guido Flamini, Sandra Donnini, Vincenzo Calderone, Lara Testai, and Angela Zinnai. 2024. "Citrus reticulata Olive Oil: Production and Nutraceutical Effects on the Cardiovascular System in an In Vivo Rat Model of Metabolic Disorder" Nutrients 16, no. 18: 3172. https://doi.org/10.3390/nu16183172
APA StyleSpezzini, J., Ciccone, V., Macaluso, M., Pieracci, Y., Flamini, G., Donnini, S., Calderone, V., Testai, L., & Zinnai, A. (2024). Citrus reticulata Olive Oil: Production and Nutraceutical Effects on the Cardiovascular System in an In Vivo Rat Model of Metabolic Disorder. Nutrients, 16(18), 3172. https://doi.org/10.3390/nu16183172

