The Anti-Inflammatory Effect of Bovine Bone-Gelatin-Derived Peptides in LPS-Induced RAW264.7 Macrophages Cells and Dextran Sulfate Sodium-Induced C57BL/6 Mice
Abstract
1. Introduction
2. Materials and Methods
2.1. Materials
2.2. Preparation of GP
2.3. The Cell Viability and Cytokines Secretion in RAW264.7 Cells
2.4. The DSS Induced Mice Trial
2.5. Evaluation of Disease Activity Index
2.6. Biomarkers in Serum and Colon
2.7. Western Blot
2.8. Gut Microbiota Analysis
2.9. Statistical Analysis
3. Results
3.1. Anti-Inflammatory Effect of GP in RAW264.7 Cells
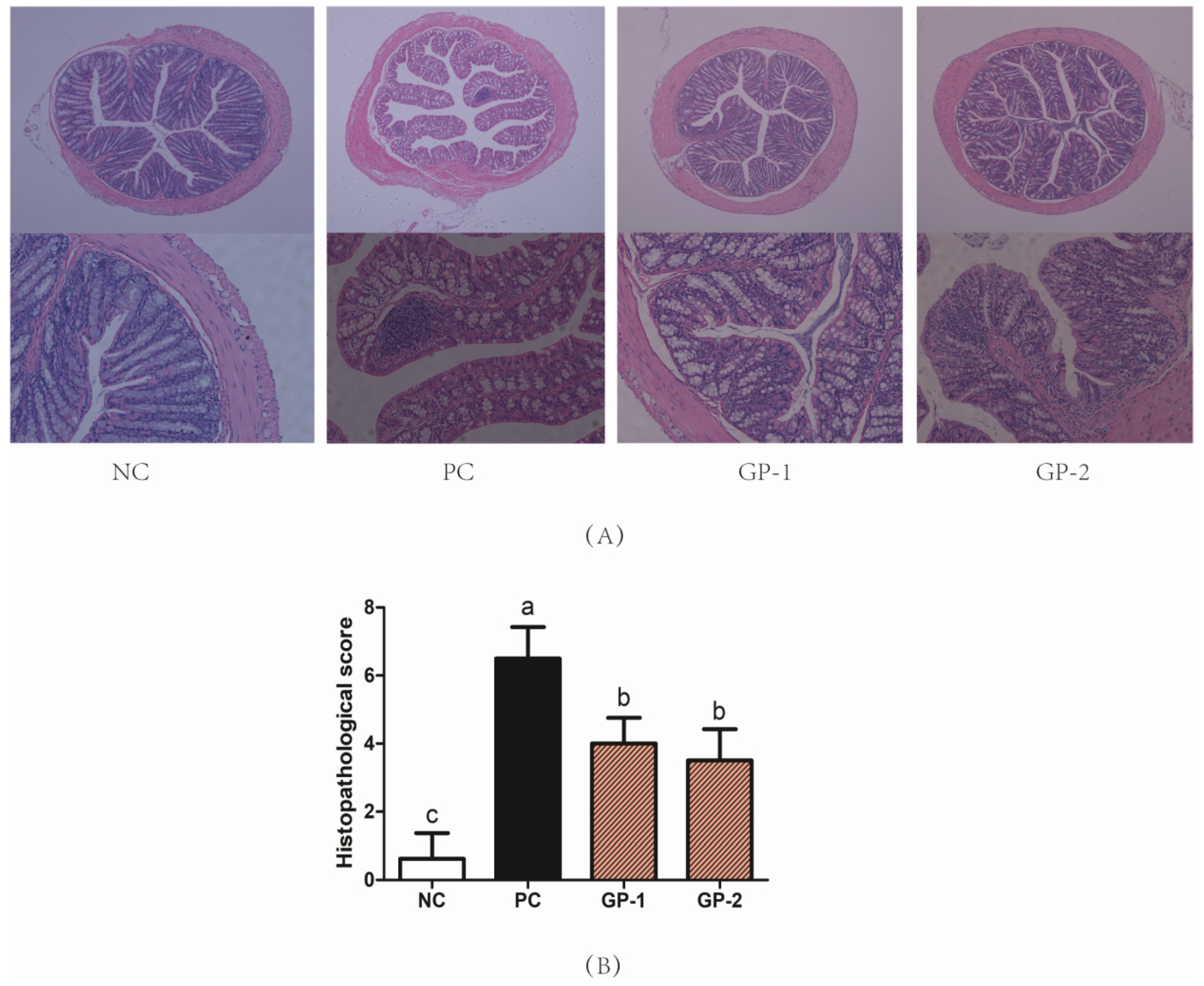
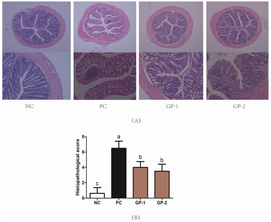
3.2. GP Attenuated DSS-Induced Acute Colitis Symptoms
3.3. Elisa and mRNA Analysis of Inflammatory Cytokines
3.4. Effect of GP on Gut Microbiota
3.4.1. The Structure of Gut Microbiota
3.4.2. The Phylum, Family, and OTU Level of Gut Microbiota
4. Discussion
5. Conclusions
Supplementary Materials
Author Contributions
Funding
Institutional Review Board Statement
Informed Consent Statement
Data Availability Statement
Conflicts of Interest
References
- Molodecky, N.A.; Soon, I.S.; Rabi, D.M.; Ghali, W.A.; Ferris, M.; Chernoff, G.; Benchimol, E.I.; Panaccione, R.; Ghosh, S.; Barkema, H.W. Increasing incidence and prevalence of the inflammatory bowel diseases with time, based on systematic review. Gastroenterology 2012, 142, 46–54. [Google Scholar] [CrossRef] [PubMed]
- Ira, T.; Christopher, K.G. Anti-inflammatory therapy in chronic disease: Challenges and opportunities. Science 2013, 339, 166–170. [Google Scholar] [CrossRef]
- Ross, J. News from IBD sections worldwide. Brew. Distill. Int. 2018, 14, 41–43. [Google Scholar]
- Guha, S.; Majumder, K. Structural-features of food-derived bioactive peptides with anti-inflammatory activity: A brief review. J. Food Biochem. 2019, 43, 12531. [Google Scholar] [CrossRef]
- Shi, Y.; Rupa, P.; Jiang, B.; Mine, Y. Hydrolysate from eggshell membrane ameliorates intestinal inflammation in mice. Int. J. Mol. Sci. 2014, 15, 22728–22742. [Google Scholar] [CrossRef] [PubMed]
- Zhang, H.; Kovacs-Nolan, J.; Kodera, T.; Eto, Y.; Mine, Y. γ-Glutamyl cysteine and γ-glutamyl valine inhibit TNF-α signaling in intestinal epithelial cells and reduce inflammation in a mouse model of colitis via allosteric activation of the calcium-sensing receptor. Biochim. Et Biophys. Acta (BBA) Mol. Basis Dis. 2015, 1852, 792–804. [Google Scholar] [CrossRef] [PubMed]
- Ma, Y.; Liu, J.; Shi, H.; Yu, L.L. Isolation and characterization of antiinflammatory peptides derived from whey protein. J. Dairy Sci. 2016, 99, 6902–6912. [Google Scholar] [CrossRef]
- Qian, B.; Zhao, X.; Yang, Y.; Tian, C. Antioxidant and anti-inflammatory peptide fraction from oyster soft tissue by enzymatic hydrolysis. Nutr. Food Sci. 2020, 8, 3947–3956. [Google Scholar] [CrossRef]
- Gao, R.; Shu, W.; Shen, Y.; Sun, Q.; Jin, W.; Li, D.; Yuan, L. Peptide fraction from sturgeon muscle by pepsin hydrolysis exerts anti-inflammatory effects in LPS-stimulated RAW264.7 macrophages via MAPK and NF-κB pathways. Food Sci. Hum. Well 2021, 10, 110–118. [Google Scholar] [CrossRef]
- Zhang, M.; Yan, Z.; Na, W.; Yao, Y.; Xu, M.; Du, H.; Tu, Y. The anti-inflammatory activity of peptides from simulated gastrointestinal digestion of preserved egg white in DSS-induced mouse colitis. Food Funct. 2018, 9, 6444–6454. [Google Scholar] [CrossRef]
- Wan, P.; Peng, Y.; Chen, G.; Xie, M.; Sun, Y. Dicaffeoylquinic acids from Ilex kudingcha attenuate dextran sulfate sodium-induced colitis in C57BL/6 mice in association with the modulation of gut microbiota. J. Funct. Foods 2019, 61, 103468. [Google Scholar] [CrossRef]
- Martin, A.B.; Joseph, K.; Portune, N.; Steuer, G.A.; Lan, C. Quantity and source of dietary protein influence metabolite production by gut microbiota and rectal mucosa gene expression: A randomized, parallel, double-blind trial in overweight humans. Am. J. Clin. Nutr. 2017, 9, 158816–158831. [Google Scholar] [CrossRef]
- Jing, Q.I.; Zhang, Y.F.; Xia, C.L.; Gao, R.M. Study on processing technology of meat flavoring made of livestock bone protein hydrolysis liquid. Sci. Tech. Food Indust. 2009, 03, 261–266. [Google Scholar] [CrossRef]
- Offengenden, M.; Chakrabarti, S.; Wu, J. Chicken collagen hydrolysates differentially mediate anti-inflammatory activity and type I collagen synthesis on human dermal fibroblasts. Food Sci. Hum. Well 2018, 7, 138–147. [Google Scholar] [CrossRef]
- Cao, S.; Wang, Y.; Hao, Y.; Zhang, W.; Zhou, G. Antihypertensive effects in vitro and vivo of novel angiotensin-converting enzyme inhibitory peptides from bovine bone gelatin hydrolysate. J. Agric. Food Chem. 2020, 68, 759–768. [Google Scholar] [CrossRef]
- Wang, J.W.; Luo, D.; Liang, M.; Zhang, T.; Yin, X.Q. Spectrum-effect relationships between high-performance liquid chromatography (HPLC) fingerprints and the antioxidant and anti-inflammatory activities of collagen peptides. Molecules 2018, 23, 3257. [Google Scholar] [CrossRef]
- Li, Z.; Zhou, Q.; Cheng, Y.; Lu, H. Impact of altered peptide derived from collagen II on T-cell activation and collagen-induced arthritis. Arthritis Res. Ther. 2003, 5, 98–100. [Google Scholar] [CrossRef]
- Chen, G.; Xie, M.; Dai, Z.; Peng, W.; Yi, S. Kudingcha and fuzhuan brick tea prevent obesity and modulate gut microbiota in high-fat diet fed mice. Mol. Nutr. Food Res. 2018, 62, 1700485. [Google Scholar] [CrossRef]
- Zhai, Z.; Zhang, F.; Cao, R.; Ni, X.; Deng, B. Cecropin a alleviates inflammation through modulating the gut microbiota of C57BL/6 mice with DSS-induced IBD. Front. Microbiol. 2019, 10, 1595–1602. [Google Scholar] [CrossRef]
- Fu, L.J.; Xing, L.J.; Hao, Y.J.; Yang, Z.Y.; Teng, S.; Wei, L.L.; Zhang, W.G. The anti-inflammatory effects of dry-cured ham derived peptides in RAW264.7 macrophage cells. J. Funct. Foods 2021, 87, 104827. [Google Scholar] [CrossRef]
- Lee, J.H.; Seo, M.; Lee, H.J.; Baek, M.; Kim, I.W.; Kim, S.Y.; Kim, M.A.; Kim, S.H.; Hwang, J.S. Anti-inflammatory activity of antimicrobial peptide allomyrinasin derived from the dynastid beetle, allomyrina dichotoma. J. Microbiolo. Biotechn. 2019, 29, 687–695. [Google Scholar] [CrossRef]
- Suttisuwan, R.; Phunpruch, S.; Saisavoey, T.; Sangtanoo, P.; Karnchanatat, A. Isolation and characterization of anti-inflammatory peptides derived from trypsin hydrolysis of microalgae protein (Synechococcus sp. VDW). Food Biotech. 2019, 33, 303–324. [Google Scholar] [CrossRef]
- Park, Y.H.; Kim, N.; Shim, Y.K.; Choi, Y.J.; Nam, R.H.; Choi, Y.J.; Min, H.H.; Ji, H.S.; Sun, M.L.; Chang, M.L. Adequate dextran sodium sulfate-induced colitis model in mice and effective outcome measurement method. J. Cancer Prev. 2015, 20, 260–267. [Google Scholar] [CrossRef]
- Bhandari, S.; Larson, M.E.; Kumar, N.; Stein, D. Association of inflammatory bowel disease (IBD) with depressive symptoms in the united states population and independent predictors of depressive symptoms in an IBD population: A Nhanes Study. Gut Liver 2017, 11, 512–519. [Google Scholar] [CrossRef]
- Komaki, Y.; Komaki, F.; Sakuraba, A.; Cohen, R. Approach to optimize anti-TNF-α therapy in patients with ibd. Curr. Treat Options Gastroenterol. 2016, 14, 83–90. [Google Scholar] [CrossRef]
- Poritz, L.S.; Garver, K.I.; Cecelia, G.M.S.; Fitzpatrick, L.; Ruggiero, F.; Koltun, W.A. Loss of the tight junction protein ZO-1 in dextran sulfate sodium induced colitis. J. Surg. Res. 2007, 140, 12–19. [Google Scholar] [CrossRef]
- Chen, P.; Bakke, D.; Kolodziej, L.; Lodolce, J.; Weber, C.R.; Boone, D.L.; Toback, F.G. Antrum mucosal protein-18 peptide targets tight junctions to protect and heal barrier structure and function in models of inflammatory bowel disease. Inflamm. Bowel Dis. 2015, 10, 2393–2402. [Google Scholar] [CrossRef][Green Version]
- Matsuoka, K.; Kanai, T. The gut microbiota and inflammatory bowel disease. Semin. Immunopathol. 2015, 37, 47–55. [Google Scholar] [CrossRef]
- Yu, Y.; Amorim, M.M.; Marques, C.; Calhau, C.; Pintado, M. Effects of whey peptide extract on the growth of probiotics and gut microbiota. J. Funct. Foods 2016, 21, 507–516. [Google Scholar] [CrossRef]
- Suzuki, S.; Takai-Igarashi, T.; Fukuoka, Y.; Wall, D.P.; Tanaka, H.; Tonellato, P.J. Systems analysis of inflammatory bowel disease based on comprehensive gene information. BMC Med. Genet. 2012, 13, 25–35. [Google Scholar] [CrossRef]
- Cianciulli, A.; Calvello, R.; Cavallo, P.; Dragone, T.; Carofiglio, V.; Panaro, M.A. Modulation of NF-κB activation by resveratrol in lps treated human intestinal cells results in downregulation of PGE2 production and COX-2 expression. Toxicol. Vitr. 2012, 26, 1122–1128. [Google Scholar] [CrossRef]
- Safdari, B.K.; Sia, T.C.; Wattchow, D.A.; Smid, S.D. Effects of pro-inflammatory cytokines, lipopolysaccharide and COX-2 mediators on human colonic neuromuscular function and epithelial permeability. Cytokine 2016, 83, 231–238. [Google Scholar] [CrossRef]
- Yang, L.; Lin, Q.; Han, L.; Wang, Z.; Luo, M.; Kang, W. Soy hull dietary fiber alleviates inflammation in BALB/C mice by modulating the gut microbiota and suppressing the TLR-4/NF-κB signaling pathway. Food Funct. 2020, 11, 5965–5975. [Google Scholar] [CrossRef]
- Zhang, B.W.; Xu, Y.C.; Zhao, C.; Zhang, Y.; Lv, H.; Ji, X.; Wang, J.; Pang, W.W.; Wang, X.W.; Wang, S. Protective effects of bioactive peptides in foxtail millet protein hydrolysates against experimental colitis in mice. Food Func. 2022, 13, 2594–2605. [Google Scholar] [CrossRef]
- Chen, Q.R.; Chen, O.; Isabela, M.M.; Hou, H.; Zhao, X.; Jeffrey, B.B.; Li, B.F. Collagen peptides ameliorate intestinal epithelial barrier dysfunction in immunostimulatory Caco-2 cell monolayers via enhancing tight junctions. Food Func. 2017, 8, 1144–1151. [Google Scholar] [CrossRef]
- Szebeni, B.; Veres, G.; Dezsõfi, A.; Rusai, K.; Arató, A. Increased expression of toll-like receptor (TLR) 2 and TLR-4 in the colonic mucosa of children with inflammatory bowel disease. Clin. Exp. Immunol. 2010, 151, 34–41. [Google Scholar] [CrossRef]
- Benedetta, B.; Andrea, Q.; Barbara, P.; Stefano, R.; Alan, L.; Maddalena, R.; Alessandro, U.; Monica, G.; Stefano, S.; Marco, N.; et al. Characterization of the peptide fraction from digested Parmigiano Reggiano cheese and its effect on growth of Lactobacilli and Bifidobacteria- science direct. Int. J. Food Microbiol. 2017, 255, 32–41. [Google Scholar] [CrossRef]
- Ni, Y.; Wang, Z.; Ma, L.; Yang, L.; Wu, T.; Fu, Z. Pilose antler polypeptides ameliorate inflammation and oxidative stress, and improves gut microbiota in hypoxic–ischemic injured rats. Nutr. Res. 2019, 64, 93–108. [Google Scholar] [CrossRef]
- Ying, Q.A.; Sheng, Q.Z.; Juan, W.; Hong, C.Y.; Zhao, Y.; Hui, M.W.; Ying, K.; Hui, T.; Miao, F.Y.; Lei, J.; et al. High-throughput sequencing provides insights into oral microbiota dysbiosis in association with inflammatory bowel disease. Genomics 2020, 7543, 3017–3023. [Google Scholar] [CrossRef]
- Wu, S.; Bekhit, E.; Wu, Q.; Chen, M.; Ding, Y. Bioactive peptides and gut microbiota: Candidates for a novel strategy for reduction and control of neurodegenerative diseases. Trends Food Sci. Tech. 2020, 108, 164–176. [Google Scholar] [CrossRef]
- Reagan, S. Dose translation from animal to human studies revisited. Faseb J. Off. Publ. Fed. Am. Soc. Exp. Biol. 2008, 22, 659–661. [Google Scholar] [CrossRef]









Publisher’s Note: MDPI stays neutral with regard to jurisdictional claims in published maps and institutional affiliations. |
© 2022 by the authors. Licensee MDPI, Basel, Switzerland. This article is an open access article distributed under the terms and conditions of the Creative Commons Attribution (CC BY) license (https://creativecommons.org/licenses/by/4.0/).
Share and Cite
Xing, L.; Fu, L.; Cao, S.; Yin, Y.; Wei, L.; Zhang, W. The Anti-Inflammatory Effect of Bovine Bone-Gelatin-Derived Peptides in LPS-Induced RAW264.7 Macrophages Cells and Dextran Sulfate Sodium-Induced C57BL/6 Mice. Nutrients 2022, 14, 1479. https://doi.org/10.3390/nu14071479
Xing L, Fu L, Cao S, Yin Y, Wei L, Zhang W. The Anti-Inflammatory Effect of Bovine Bone-Gelatin-Derived Peptides in LPS-Induced RAW264.7 Macrophages Cells and Dextran Sulfate Sodium-Induced C57BL/6 Mice. Nutrients. 2022; 14(7):1479. https://doi.org/10.3390/nu14071479
Chicago/Turabian StyleXing, Lujuan, Lijuan Fu, Songmin Cao, Yantao Yin, Lanlan Wei, and Wangang Zhang. 2022. "The Anti-Inflammatory Effect of Bovine Bone-Gelatin-Derived Peptides in LPS-Induced RAW264.7 Macrophages Cells and Dextran Sulfate Sodium-Induced C57BL/6 Mice" Nutrients 14, no. 7: 1479. https://doi.org/10.3390/nu14071479
APA StyleXing, L., Fu, L., Cao, S., Yin, Y., Wei, L., & Zhang, W. (2022). The Anti-Inflammatory Effect of Bovine Bone-Gelatin-Derived Peptides in LPS-Induced RAW264.7 Macrophages Cells and Dextran Sulfate Sodium-Induced C57BL/6 Mice. Nutrients, 14(7), 1479. https://doi.org/10.3390/nu14071479

