Efficacy and Mechanism of Pueraria lobata and Pueraria thomsonii Polysaccharides in the Treatment of Type 2 Diabetes
Abstract
:1. Introduction
2. Materials and Methods
2.1. Main Materials
2.1.1. Chemicals and Drugs
2.1.2. Medicinal Materials and Extraction
2.1.3. Animals and Treatments
2.2. Pharmacodynamics of GG and FG Polysaccharides on T2D Mice
2.2.1. Phenotypic Index Detection
2.2.2. Determination of the Biochemical Value, Liver Index, and Fat Index
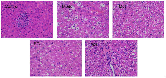
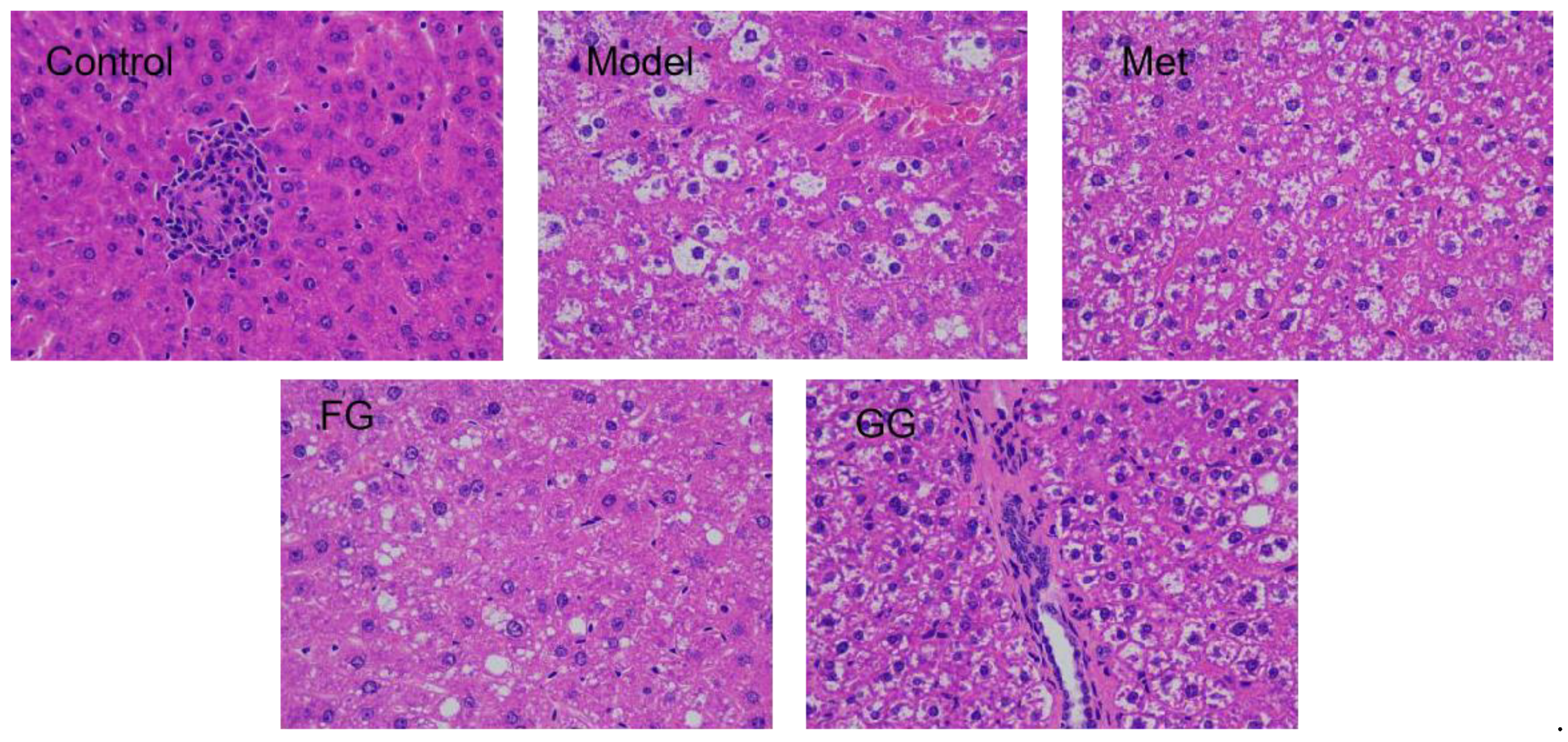
2.2.3. H&E Staining
2.3. Treatment of T2D Mice with GG and FG Polysaccharides Based on Metabonomics
2.3.1. Treatment of Serum Samples
2.3.2. LC-MS
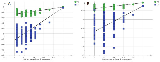
2.3.3. Data Processing and Analysis
2.4. Effects of GG and FG Polysaccharides on Intestinal Microflora of T2D Mice
2.5. Western Blotting
2.6. Statistical Analysis
3. Results
3.1. Pharmacodynamic Analysis
3.1.1. Effects of Pueraria Polysaccharides on Physiological Indexes
3.1.2. Biochemical Indexes and Liver Histopathological Analysis
3.2. Metabolomic Analysis
3.2.1. Endogenous Metabolites and Metabolic Pathways Associated with T2D Mice
3.2.2. Metabolomics Analysis of Serum after GG and FG Polysaccharide Treatment in T2D Mice
3.2.3. Correlation of Differential Metabolites and Biochemical Indices
3.3. Gut Microbiota Analysis
3.3.1. Effects of Pueraria Polysaccharide on the Species Composition of Gut Microbiota
3.3.2. KEGG Enrichment Analysis
3.4. Correlation of Differential Metabolites and Gut Microbiota
3.5. Effects of Pueraria Polysaccharide on the PPAR Signaling Pathway in T2D Mice
4. Discussion
5. Conclusions
Author Contributions
Funding
Institutional Review Board Statement
Informed Consent Statement
Data Availability Statement
Acknowledgments
Conflicts of Interest
Abbreviations
| T2D | Type 2 diabetes |
| PCA | Principal component analysis |
| OPLS-DA | Orthogonal partial last squares regression discriminant analysis |
| PRT | Permutation testing |
| H&E Staning | Hematoxylin-eosin staining |
| LKB1 | Liver kinase B1 |
| AMPK | Adenosine 5′-monophosphate (AMP)-activated protein kinase |
| TSC2 | Tuberous sclerosis 2 |
| mTO | Mammalian target of rapamycin |
| PPARγ | Peroxisome proliferator-activated receptor gamma |
| GG | Puerarialobata (Willd.) Ohwi |
| FG | Pueraria thomsonii Benth. |
References
- Chatterjee, S.; Khunti, K.; Davies, M.J. Type 2 diabetes. Lancet 2017, 389, 2239–2251. [Google Scholar] [CrossRef]
- Tnnies, T.; Rathmann, W.; Hoyer, A.; Brinks, R.; Kuss, O. Quantifying the underestimation of projected global diabetes prevalence by the International Diabetes Federation (IDF) Diabetes Atlas. BMJ Open Diabetes Res. Care 2021, 9, e002122. [Google Scholar] [CrossRef] [PubMed]
- Shi, Z.Y.; Li, J.F.; Bao, L.; Yang, C.J.; Xu, Q.Q.; Yang, L. Study on serum metabolomics of Jinqi Jiangtang Tablets in the treatment of type 2 diabetic rats. World Tradit. Chin. Med. 2022, 17, 1081–1085. [Google Scholar]
- Wang, M.J.; Li, Y.Z.; Xiao, Y.; Wu, M.Q.; Hou, S.Y. A comparative study of plasma metabolomics in patients with diabetes mellitus and pulmonary tuberculosis. Chin. J. Tabtuberculosis 2021, 43, 36–41. [Google Scholar]
- Li, R.; Sun, J. Relationship between retinol-binding protein 4 and adipose tissue and gestational diabetes mellitus. J. Clin. Pathol. 2021, 41, 899–903. [Google Scholar]
- Zheng, J.L.; Li, H.; Zhang, X.J.; Jiang, M.; Luo, C.Q.; Lu, Z.M.; Xu, Z.-H.; Shi, J.S. Prebiotic mannan-oligosaccharides augment the hypoglycemic effects of metformin in correlation with modulating gut microbiota. J. Agric. Food Chem. 2018, 66, 5821–5831. [Google Scholar] [CrossRef]
- Wan, X.L.; Ye, Q.H.; Fang, X.W.; Peng, L.Y.; Tang, Q.Z. Study on the pathogenesis of turbidity toxin in type 2 diabetes mellitus based on intestinal flora. Glob. J. Tradit. Chin. Med. 2022, 15, 280–283. [Google Scholar]
- Larsen, N.; Vogensen, F.K.; Van, D.B.; Frans, W.J.; Nielsen, D.S.; Andreasen, A.S.; Pedersen, B.K.; Al-Soud, W.A.; Sørensen, S.J.; Hansen, L.H.; et al. Gut Microbiota in Human Adults with Type 2 Diabetes Differs from Non-Diabetic Adults. PLoS ONE 2010, 5, e9085. [Google Scholar] [CrossRef]
- Ding, Q. Study on the Effect of Ganoderma Lucidum Polysaccharide on Type 2 Diabetic Rats Based on Intestinal Flora. Ph.D. Thesis, Nanchang University, Nanchang, China, 2020. [Google Scholar] [CrossRef]
- Nie, Q.; Hu, J.; Chen, H.; Geng, F.; Nie, S. Arabinoxylan ameliorates type 2 diabetes by regulating the gut microbiota and metabolites. Food Chem. 2021, 371, 131106. [Google Scholar] [CrossRef]
- Jiao, H.; Zeng, Y.X.; Chen, S.F. Chinese Pharmacopoeia Part I; National Pharmacopoeia Commission: Beijing, China, 2020; pp. 302–347. [CrossRef]
- Zeng, P.; Li, J.; Chen, Y.; Zhang, L. The structures and biological functions of polysaccharides from traditional Chinese herbs. Prog. Mol. Biol. Transl. Sci. 2019, 163, 423–444. [Google Scholar]
- Chi, A.P.; Zhang, Y.; Kang, Y.J.; Shen, Z. Metabolic mechanism of a polysaccharide from Schisandra chinensis to relieve chronic fatigue syndrome. Int. J. Biol. Macromol. 2016, 93, 322–332. [Google Scholar] [CrossRef] [PubMed]
- Chang, C.J.; Lin, C.S.; Lu, C.C.; Martel, J.; Ko, Y.-F.; Ojcius, D.; Tseng, S.-F.; Wu, T.-R.; Chen, Y.-Y.M.; Young, J.D.; et al. Ganoderma lucidum reduces obesity in mice by modulating the composition of the gut microbiota. Nat. Commun. 2015, 6, 7489. [Google Scholar] [CrossRef] [PubMed]
- Li, Q.M.; Zha, X.Q.; Zhang, W.N.; Liu, J.; Pan, L.-H.; Luo, J.-P. Laminaria japonica polysaccharide prevents high-fat-diet-induced insulin resistance in mice via regulating gut microbiota. Food Funct. 2021, 12, 5260–5273. [Google Scholar] [CrossRef] [PubMed]
- Luo, D.; Dong, X.; Huang, J.; Huang, C.; Fang, G.; Huang, Y. Pueraria lobata root polysaccharide alleviates glucose and lipid metabolic dysfunction in diabetic db/db mice. Pharm. Biol. 2021, 59, 382–390. [Google Scholar] [CrossRef] [PubMed]
- Qian, K.; Tan, T.; Ouyang, H.; Yang, S.-L.; Zhu, W.-F.; Liu, R.-H.; Wen, Q.; Feng, Y.-L. Structural characterization of a homopolysaccharide with hypoglycemic activity from the roots of Pueraria lobata. Food Funct. 2020, 11, 7104–7114. [Google Scholar] [CrossRef]
- Xu, C.; Qin, N.; Yan, C.; Wang, S. Isolation, purification, characterization and bioactivities of a glucan from the root of Pueraria lobata. Food Funct. 2018, 9, 2644–2652. [Google Scholar] [CrossRef]
- Guo, S.; Ouyang, H.; Du, W.; Li, J.; Liu, M.; Yang, S.; He, M.; Feng, Y. Exploring the protective effect of Gynura procumbens against type 2 diabetes mellitus by network pharmacology and validation in C57BL/KsJ db/db mice. Food Funct. 2021, 12, 1732–1744. [Google Scholar] [CrossRef]
- Han, F. Discussion on traditional Chinese medicine stage dialectics and therapeutic effect evaluation method of thirst elimination. Diabetes New World 2018, 21, 47–48. [Google Scholar]
- Zhai, X.Y.; Tu, J.; Li, J.; Jiang, L.; Zhang, Q.Y.; Xu, G.L.; Huang, C.D.; Li, B.T. Study on the biological mechanism of the effect of Pueraria root on promoting fluid and relieving thirst based on network pharmacology. Jiangxi Tradit. Chin. Med. 2021, 52, 64–67. [Google Scholar]
- Zy, A.; Dan, W.C.; Yla, F.; Zhou, X.; Liu, T.; Shi, C.; Li, R.; Zhang, Y.; Zhang, J.; Yan, Y.; et al. Untargeted metabolomics analysis of the anti-diabetic effect of Red ginseng extract in Type 2 diabetes Mellitus rats based on UHPLC-MS/MS. Biomed. Pharmacother. 2022, 146, 112495. [Google Scholar]
- Wu, W. UHPLC-MS-Based Serum and Urine Metabolomics Reveals the Anti-Diabetic Mechanism of Ginsenoside Re in Type 2 Diabetic Rats. Molecules 2021, 26, 6657. [Google Scholar]
- Fu, X.; Zhan, Y.; Li, N.; Yu, D.; Gao, W.; Gu, Z.; Zhu, L.; Li, R.; Zhu, C. Enzymatic Preparation of Low-Molecular-Weight Laminaria japonica Polysaccharides and Evaluation of Its Effect on Modulating Intestinal Microbiota in High-Fat-Diet-Fed Mice. Front. Bioeng. Biotechnol. 2022, 9, 820–892. [Google Scholar] [CrossRef] [PubMed]























| Group | Control | Model | Met | FG | GG |
|---|---|---|---|---|---|
| INS (ng/mL) | 0.96 ± 0.13 * | 2.19 ± 0.16 | 3.82 ± 0.61 ** | 2.56 ± 0.30 | 3.27 ± 0.22 * |
| HOMA-IR (ng/mL × mmol/L) | 0.27 ± 0.10 * | 3.29 ± 0.60 | 2.74 ± 0.78 | 2.63 ± 0.76 | 2.64 ± 1.20 |
| ADP (μg/L) | 187.52 ± 2.84 ** | 138.65 ± 2.26 | 174.46 ± 2.71 ** | 163.76 ± 1.85 ** | 163.88 ± 2.00 ** |
| LEP (pg/mL) | 860.45 ± 14.48 ** | 1184.66 ± 10.96 | 935.61 ± 14.41 ** | 1006.35 ± 11.18 ** | 1031 ± 8.01 ** |
| GLP-1 (pmol/L) | 5.77 ± 0.05 ** | 3.89 ± 0.07 | 5.32 ± 0.07 ** | 4.75 ± 0.05 ** | 4.95 ± 0.05 ** |
| FFA (μmol/L) | 782.73 ± 14.57 ** | 1001.58 ± 10.66 | 865.76 ± 8.19 ** | 898.70 ± 9.87 ** | 886.20 ± 11.54 ** |
| IL-6 (pg/mL) | 143.86 ± 2.32 ** | 194.81 ± 0.99 | 157.28 ± 2.02 ** | 169.20 ± 1.88 ** | 166.03 ± 1.42 ** |
| TNF-α (ng/L) | 795.71 ± 12.63 ** | 1036.50 ± 10.05 | 885.73 ± 10.05 ** | 920.54 ± 12.49** | 904.75 ± 13.16 ** |
| Liver index (%) | 0.042 ± 0.005 ** | 0.051 ± 0.004 | 0.051 ± 0.003 | 0.049 ± 0.003 | 0.046 ± 0.008 * |
| Fatty tissue index (g/g) | 0.03 ± 0.005 ** | 0.10 ± 0.013 | 0.08 ± 0.014 ** | 0.09 ± 0.015 * | 0.08 ± 0.007 ** |
| NO | Retention Time | Name | Formula | Experimental Mass | Ion Mode | Mass Error | MS/MS | Levels |
|---|---|---|---|---|---|---|---|---|
| P1 | 17.79 | PA (16:0/18:1(11Z)) | C37H71O8P | 674.4886 | M+H | 0.82 | 661.477 | ↑ |
| P2 | 15.95 | Alpha-linolenic acid | C18H30O2 | 278.2245 | M+H | −4.56 | 191.1780, 125.0972 | ↑ |
| P3 | 12.23 | LysoPE (0:0/20:3(11Z,14Z,17Z)) | C25H46NO7P | 503.3011 | M+H | −0.10 | 461.2635 | ↑ |
| P4 | 8.89 | 4-Oxoretinol | C20H28O2 | 300.2089 | M+H | −0.16 | 185.1337, 129.0705, 119.0866, 105.0700 | ↑ |
| P5 | 8.88 | Perindoprilat | C17H28N2O5 | 340.1998 | M+H | 4.09 | ↑ | |
| P6 | 8.83 | LysoPC (20:3(5Z,8Z,11Z)/0:0) | C28H52NO7P | 545.3481 | M+H | −0.23 | 546.3555, 528.3448, 469.2714, 363.2890 | ↑ |
| P7 | 7.60 | LysoPC (20:4(5Z,8Z,11Z,14Z)/0:0) | C28H50NO7P | 543.3324 | 2M+H | 0.93 | 526.3298 | ↑ |
| P8 | 6.24 | LysoPC (20:5(5Z,8Z,11Z,14Z,17Z)/0:0) | C28H48NO7P | 541.3168 | M+H | −0.36 | 542.3251, 524.3132, 184.0733, 166.0626, 104.1067, 86.0962 | ↑ |
| P9 | 6.09 | LysoPE (0:0/20:5(5Z,8Z,11Z,14Z,17Z)) | C25H42NO7P | 499.2698 | M+H | −0.70 | 481.2322 | ↑ |
| P10 | 5.89 | Fosinopril | C30H46NO7P | 563.3011 | M+H | −4.11 | 564.3066 | ↑ |
| P11 | 0.81 | Imidazoleacetic acid ribotide | C10H15N2O9P | 338.0515 | M+H | −1.60 | 124.9995 | ↑ |
| P12 | 10.91 | 12-HETE | C20H32O3 | 320.4663 | M-H2O-H, M-H | 0.11 | 319.2277, 301.2175, 257.2285, 179.1076 | ↑ |
| P13 | 10.69 | Medroxyprogesterone | C22H32O3 | 344.4877 | M-H2O-H, M-H | −4.14 | 343.2291, 303.2329 | ↑ |
| P14 | 9.00 | Leukotriene A4 | C20H30O3 | 318.4504 | M-H2O-H, M-H | 1.63 | 317.2131 | ↑ |
| P15 | 7.59 | LysoPE (0:0/20:4(5Z,8Z,11Z,14Z)) | C25H44NO7P | 501.5931 | M-H, 2M-H | −0.20 | 500.2783, 303.2329, 259.2431, 214.0484, 205.1959, 196.0376, 140.0117 | ↑ |
| P16 | 15.91 | Retinyl ester | C20H30O2 | 302.451 | M-H | −0.05 | 301.2174, 257.2295, 203.1808 | ↑ |
| P17 | 16.87 | Tetrahydrodeoxycorticosterone | C21H34O3 | 334.4929 | M-H2O-H | 0.39 | 315.2328, 149.0970 | ↑ |
| P18 | 16.86 | Hypogeic acid | C16H30O2 | 254.4082 | M-H | −0.62 | 253.2171 | ↑ |
| P19 | 16.27 | 13-HODE | C18H32O3 | 296.4449 | M-H2O-H | −0.02 | 277.2172 | ↑ |
| P20 | 16.66 | PE (22:6(4Z,7Z,10Z,13Z,16Z,19Z)/18:0) | C45H78NO8P | 792.0765 | M-H | 4.23 | 790.5402, 480.3099, 462.2997, 419.2538, 283.2625 | ↑ |
| P21 | 16.53 | PC (22:6(4Z,7Z,10Z,13Z,16Z,19Z)/TXB2) | C50H82NO12P | 920.175 | M-H | 1.64 | 885.5507, 883.5359, 857.5224, 581.3108, 327.2328 | ↑ |
| P22 | 13.38 | Deoxycorticosterone | C21H30O3 | 330.4611 | M-H2O-H | −0.18 | 311.2014, 149.0969 | ↑ |
| P23 | 14.92 | LysoPI (18:0/0:0) | C27H53O12P | 600.6763 | M-H | 2.48 | 599.3208, 315.0488, 297.2800, 241.0117 | ↑ |
| P24 | 13.52 | LysoPI (0:0/18:0) | C27H53O12P | 600.6763 | M-H | 1.88 | 599.321 | ↑ |
| P25 | 17.71 | Carbocyclic thromboxane A2 | C22H36O3 | 348.2664 | M-H2O-H | 0.00 | 329.2480, 277.1810, 259.1692, 191.1813 | ↑ |
| P26 | 17.35 | Arachidonic acid | C20H32O2 | 304.2402 | M-H | 0.28 | 303.2328, 259.2430, 205.1961 | ↑ |
| P27 | 17.06 | PA (14:0/22:4(7Z,10Z,13Z,16Z)) | C39H69O8P | 696.947 | M-H2O-H | 0.59 | 677.4551, 438.2284, 347.2013, 345.1841, 191.1804 | ↑ |
| P28 | 17.60 | 16-Dehydroprogesterone | C21H28O2 | 312.2089 | M-H | 0.11 | 311.2021, 149.0971 | ↑ |
| P29 | 17.59 | PA (14:1(9Z)/PGF1alpha) | C37H67O11P | 718.442 | M-H | −3.74 | 717.4325, 279.2330 | ↑ |
| P30 | 17.58 | DG (15:0/20:5(5Z,8Z,11Z,14Z,17Z)/0:0) | C38H64O5 | 600.4753 | M-H2O-H | −2.59 | 581.4550, 301.2173, 279.2331, 241.2172 | ↑ |
| P31 | 17.49 | PGP (a-13:0/a-25:0) | C44H88O13P2 | 886.57 | M-H2O-H | 1.50 | 867.5537, 774.5740, 756.5626 | ↑ |
| P32 | 7.34 | LysoPE (24:6(6Z,9Z,12Z,15Z,18Z,21Z)/0:0) | C29H48NO7P | 553.6677 | M-H | 0.74 | 552.3095, 283.2451, 229.1961, 152.9956 | ↑ |
| P33 | 7.33 | LysoPE (22:4(7Z,10Z,13Z,16Z)/0:0) | C27H48NO7P | 529.6463 | M-H | 0.96 | 528.3100, 259.2430, 229.1964, 205.1963, 152.9955 | ↑ |
| P34 | 7.18 | PC (17:2(9Z,12Z)/0:0) | C25H48NO7P | 505.633 | M-H | 0.03 | 504.3096, 279.2331, 224.0690 | ↑ |
| P35 | 7.17 | LysoPE (20:4(5Z,8Z,11Z,14Z)/0:0) | C25H44NO7P | 501.5931 | M-H | 0.59 | 500.2784, 214.0485, 152.9958 | ↑ |
| P36 | 7.67 | PC (2:0/6 keto-PGF1alpha) | C30H54NO12P | 651.731 | M-H2O-H | −3.81 | 632.3188, 500.2043, 224.0690 | ↑ |
| P37 | 0.83 | N-Acetyltaurine | C4H9NO4S | 167.18 | M-H | −1.11 | 166.0176, 124.0071, 79.9575 | ↑ |
| P38 | 6.33 | LysoPE (22:5(4Z,7Z,10Z,13Z,16Z)/0:0) | C27H46NO7P | 527.6304 | M-H | 0.93 | 526.2940, 327.2333, 257.2274, 203.1803, 152.9958 | ↑ |
| P39 | 2.79 | Tauroursocholic acid | C26H45NO7S | 515.703 | M-H | 1.17 | 514.2848 | ↑ |
| P40 | 2.54 | Vanilpyruvic acid | C10H10O5 | 210.1834 | M-H | −1.39 | 209.0453, 165.0556, 121.0292 | ↑ |
| P41 | 11.94 | LysoPC (17:0/0:0) | C25H52NO7P | 509.6566 | M-H | 0.23 | 508.3407, 419.2569, 283.2644, 224.0692 | ↑ |
| P42 | 11.60 | LysoPE (18:0/0:0) | C23H48NO7P | 481.6035 | M-H | 1.21 | 480.3100, 307.2635, 295.2645, 283.2635 | ↑ |
| P43 | 10.64 | Deoxycholyltyrosine | C33H49NO6 | 555.756 | M-H | −3.47 | 494.3261, 492.3465 | ↑ |
| P44 | 12.73 | LysoPE (20:0/0:0) | C25H52NO7P | 509.6566 | M-H | −0.10 | 508.3408, 152.9956 | ↑ |
| P45 | 12.36 | LysoPE (0:0/18:0) | C23H48NO7P | 481.6035 | M-H | 0.36 | 480.3099, 307.2628, 214.0480, 196.0377, 140.0112 | ↑ |
| P46 | 11.95 | Stearic acid | C18H36O2 | 284.4772 | M-H | 0.04 | 283.2645 | ↑ |
| P47 | 8.44 | LysoPI (20:4(5Z,8Z,11Z,14Z)/0:0) | C29H49O12P | 620.6659 | M-H | 0.30 | 619.2889, 439.2256, 315.0487, 303.2328, 259.2430, 241.0115 | ↑ |
| P48 | 1.26 | Uric acid | C5H4N4O3 | 168.1103 | M-H | −1.80 | 167.0208, 166.0132, 124.0146 | ↑ |
| P49 | 17.93 | PS (20:0/PGJ2) | C46H80NO12P | 869.5418 | M+H | −0.55 | 870.5510, 747.4920, 95.0852 | ↓ |
| P50 | 17.88 | PGP (18:0/PGF1alpha) | C44H84O16P2 | 930.5234 | M+H | −2.18 | 931.5286 | ↓ |
| P51 | 14.82 | LysoPE (0:0/22:0) | C27H56NO7P | 537.3794 | M+H | −0.85 | ↓ | |
| P52 | 13.51 | LysoPC (22:4(7Z,10Z,13Z,16Z)/0:0) | C30H54NO7P | 571.3637 | M+H | −4.14 | 572.3691, 513.2946, 104.1067 | ↓ |
| P53 | 11.39 | LysoPE (0:0/22:1(13Z)) | C27H54NO7P | 535.3637 | M+H | −0.35 | ↓ | |
| P54 | 10.74 | LysoPC (20:2(11Z,14Z)/0:0) | C28H54NO7P | 547.3637 | M+H | −0.85 | 530.3605, 441.2401, 166.0631, 104.1068, 86.0962, 60.0807 | ↓ |
| P55 | 6.62 | LysoPE (0:0/18:1(11Z)) | C23H46NO7P | 479.5876 | M-H | 0.79 | 478.2942 | ↓ |
| P56 | 7.97 | LysoPE (0:0/22:4(7Z,10Z,13Z,16Z)) | C27H48NO7P | 529.3168 | M+H | −4.81 | 472.2565 | ↓ |
| P57 | 7.45 | Dodecanoylcarnitine | C19H37NO4 | 344.2795 | M+H | 1.55 | ↓ | |
| P58 | 6.69 | LysoPC (16:1(9Z)/0:0) | C24H48NO7P | 493.3168 | M+H | −0.78 | 312.2635, 311.2581 | ↓ |
| P59 | 16.32 | PC (20:2(11Z,14Z)/TXB2) | C48H86NO12P | 900.185 | M-H | −1.37 | 854.5928, 790.5403, 305.2480 | ↓ |
| P60 | 15.59 | N-Oleoyl phenylalanine | C27H43NO3 | 429.645 | 2M-H | −0.74 | ↓ | |
| P61 | 13.67 | LysoPE (22:1(13Z)/0:0) | C27H54NO7P | 535.6939 | M-H | 1.16 | 534.3574, 391.2117, 152.9957 | ↓ |
| P62 | 17.16 | PE-NMe2 (18:0/20:4(8Z,11Z,14Z,17Z)) | C45H82NO8P | 796.124 | M-H2O-H | −0.44 | 776.5612, 766.5397, 740.5261, 508.3412, 490.3309, 303.2328, 283.2624, 259.2429 | ↓ |
| P63 | 17.66 | PS (18:1(11Z)/6 keto-PGF1alpha) | C44H78NO14P | 875.5159 | M-H | 0.95 | ↓ | |
| P64 | 10.23 | Chenodeox–cholyltyrosine | C33H49NO6 | 555.756 | M-H | −2.91 | 506.3260, 494.3263 | ↓ |
| P65 | 8.76 | LysoPC (15:0/0:0) | C23H48NO7P | 481.6035 | M-H | −0.47 | 480.3093, 255.2332, 224.0693 | ↓ |
| P66 | 9.79 | LysoPE (20:1(11Z)/0:0) | C25H50NO7P | 507.6408 | M-H | −0.29 | 506.3250, 152.9956 | ↓ |
| P67 | 9.17 | PC (PGF2alpha/2:0) | C30H54NO11P | 635.732 | M-H | −2.44 | ↓ |
| Sample | Control | Model | FG | GG |
|---|---|---|---|---|
| Chao 1 | 456.22 ± 16.934 | 442.16 ± 30.687 | 448.97 ± 19.631 | 457.52 ± 53.739 |
| Ace | 447.01 ± 12.98 | 439.96 ± 30.287 | 439.38 ± 17.572 | 453.51 ± 61.46 |
| Shannon | 4.4543 ± 0.13655 | 4.4905 ± 0.090045 | 4.6394 ± 0.094192 ** | 4.595 ± 0.098015 * |
| Simpson | 0.02326 ± 0.0049968 | 0.021155 ± 0.0021977 | 0.017352 ± 0.0030513 ** | 0.018555 ± 0.0026981 * |
| Coverage | 0.99875 ± 0.00011005 | 0.99878 ± 0.00019433 | 0.99883 ± 0.00013631 | 0.99873 ± 0.00048036 |
Publisher’s Note: MDPI stays neutral with regard to jurisdictional claims in published maps and institutional affiliations. |
© 2022 by the authors. Licensee MDPI, Basel, Switzerland. This article is an open access article distributed under the terms and conditions of the Creative Commons Attribution (CC BY) license (https://creativecommons.org/licenses/by/4.0/).
Share and Cite
Wang, Z.; Du, H.; Peng, W.; Yang, S.; Feng, Y.; Ouyang, H.; Zhu, W.; Liu, R. Efficacy and Mechanism of Pueraria lobata and Pueraria thomsonii Polysaccharides in the Treatment of Type 2 Diabetes. Nutrients 2022, 14, 3926. https://doi.org/10.3390/nu14193926
Wang Z, Du H, Peng W, Yang S, Feng Y, Ouyang H, Zhu W, Liu R. Efficacy and Mechanism of Pueraria lobata and Pueraria thomsonii Polysaccharides in the Treatment of Type 2 Diabetes. Nutrients. 2022; 14(19):3926. https://doi.org/10.3390/nu14193926
Chicago/Turabian StyleWang, Zhujun, Hui Du, Wanqian Peng, Shilin Yang, Yulin Feng, Hui Ouyang, Weifeng Zhu, and Ronghua Liu. 2022. "Efficacy and Mechanism of Pueraria lobata and Pueraria thomsonii Polysaccharides in the Treatment of Type 2 Diabetes" Nutrients 14, no. 19: 3926. https://doi.org/10.3390/nu14193926
APA StyleWang, Z., Du, H., Peng, W., Yang, S., Feng, Y., Ouyang, H., Zhu, W., & Liu, R. (2022). Efficacy and Mechanism of Pueraria lobata and Pueraria thomsonii Polysaccharides in the Treatment of Type 2 Diabetes. Nutrients, 14(19), 3926. https://doi.org/10.3390/nu14193926
