Exploring the Fibrin(ogen)olytic, Anticoagulant, and Antithrombotic Activities of Natural Cysteine Protease (Ficin) with the κ-Carrageenan-Induced Rat Tail Thrombosis Model
Abstract
:1. Introduction
2. Materials and Methods
2.1. Chemicals and Reagents
2.2. Sodium Dodecyl Sulfate-Polyacrylamide Gel Electrophoresis (SDS-PAGE)
2.3. Proteolytic Activity Assay
2.4. Effect of Temperature and pH on Protease Activity and Stability
2.5. Fibrin Plate Assay
2.6. Examination of Fibrinolytic Activity Using Fibrin Zymography
2.7. Fibrinogenolytic Activity
2.8. Blood Clot Lysis Assay
2.9. PT/aPTT Measurement
2.10. Experimental Animals
2.11. κ-Carrageenan-Induced Rat Tail Thrombosis Model
2.12. Statistical Analysis
3. Results
3.1. SDS-PAGE Profile of Ficin
3.2. Effect of Temperature and pH on Protease Activity and Stability
3.3. Fibrinolytic Activity of Ficin
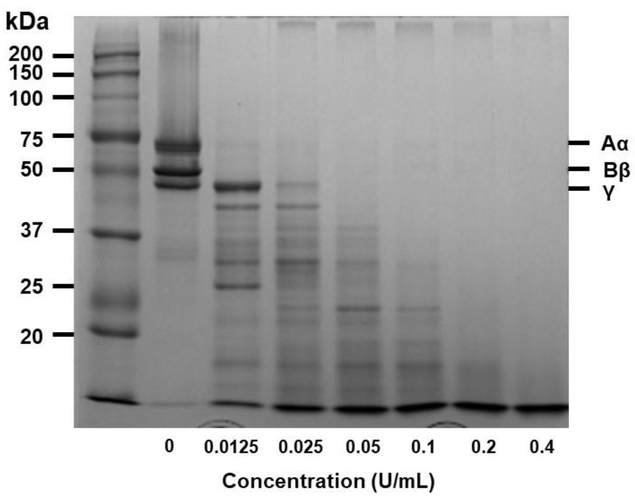
3.4. Fibrinogenolytic Activity of Ficin
3.5. Blood Clot Lysis
3.6. Anti-Coagulation Effect of Ficin
3.7. κ-Carrageenan-Induced Rat Tail Thrombosis Assay
4. Discussion
Author Contributions
Funding
Institutional Review Board Statement
Informed Consent Statement
Data Availability Statement
Conflicts of Interest
References
- Joseph, B.; Raj, S.J. Pharmacognostic and Phytochemical Properties of Ficus carica Linn—An Overview. Int. J. Pharmtech Res. 2011, 3, 8–12. [Google Scholar]
- Rajesh, R.; Gowda, C.R.; Nataraju, A.; Dhananjaya, B.; Kemparaju, K.; Vishwanath, B. Procoagulant Activity of Calotropis Gigantea Latex Associated with Fibrin (Ogen) Olytic Activity. Toxicon 2005, 46, 84–92. [Google Scholar] [CrossRef]
- Asif-Ullah, M.; Kim, K.; Yu, Y.G. Purification and Characterization of a Serine Protease from Cucumis trigonus Roxburghi. Phytochemistry 2006, 67, 870–875. [Google Scholar] [CrossRef]
- McGovern, T.W. Botanical Briefs: The Fig-Ficus carica L. Cutis 2002, 69, 339–340. [Google Scholar]
- Haq, S.K.; Rasheedi, S.; Khan, R.H. Characterization of a Partially Folded Intermediate of Stem Bromelain at Low pH. Eur. J. Biochem. 2002, 269, 47–52. [Google Scholar] [CrossRef]
- Dubey, V.K.; Jagannadham, M. Procerain, a Stable Cysteine Protease from the Latex of Calotropis Procera. Phytochemistry 2003, 62, 1057–1071. [Google Scholar] [CrossRef]
- Hamed, M.B.; El-Badry, M.O.; Kandil, E.I.; Borai, I.H.; Fahmy, A.S. A Contradictory Action of Procoagulant Ficin by a Fibrinolytic Serine Protease from Egyptian Ficus carica Latex. Biotechnol. Rep. 2020, 27, e00492. [Google Scholar] [CrossRef]
- Errasti, M.E.; Prospitti, A.; Viana, C.A.; Gonzalez, M.M.; Ramos, M.V.; Rotelli, A.E.; Caffini, N.O. Effects on Fibrinogen, Fibrin, and Blood Coagulation of Proteolytic Extracts from Fruits of Pseudananas macrodontes, Bromelia balansae, and B. Hieronymi (Bromeliaceae) in Comparison with Bromelain. Blood Coagul. Fibrinol. 2016, 27, 441–449. [Google Scholar] [CrossRef]
- Jennewein, C.; Tran, N.; Paulus, P.; Ellinghaus, P.; Eble, J.A.; Zacharowski, K. Novel Aspects of Fibrin (Ogen) Fragments during Inflammation. Mol. Med. 2011, 17, 568–573. [Google Scholar] [CrossRef]
- Altaf, F.; Wu, S.; Kasim, V. Role of Fibrinolytic Enzymes in Anti-Thrombosis Therapy. Front. Mol. Biosci. 2021, 8, 680397. [Google Scholar] [CrossRef]
- Richter, G.; Schwarz, H.P.; Dorner, F.; Turecek, P.L. Activation and Inactivation of Human Factor X by Proteases Derived from Ficus carica. Br. J. Haematol. 2002, 119, 1042–1051. [Google Scholar] [CrossRef]
- Ley, C.M.; Tsiami, A.; Ni, Q.; Robinson, N. A Review of the use of Bromelain in Cardiovascular Diseases. J. Chin. Integr. Med. 2011, 9, 702–710. [Google Scholar] [CrossRef]
- Laemmli, U.K. Cleavage of Structural Proteins during the Assembly of the Head of Bacteriophage T4. Nature 1970, 227, 680–685. [Google Scholar] [CrossRef]
- Segers, R.; Butt, T.M.; Kerry, B.R.; Peberdy, J.F. The Nematophagous Fungus Verticillium chlamydosporium Produces a Chymoelastase-Like Protease which Hydrolyses Host Nematode Proteins in Situ. Microbiology 1994, 140 Pt 10, 2715–2723. [Google Scholar] [CrossRef]
- Aissaoui, N.; Marzouki, M.N.; Abidi, F. Purification and Biochemical Characterization of a Novel Intestinal Protease from Scorpaena notata. Int. J. Food Prop. 2017, 20, 2151–2165. [Google Scholar] [CrossRef]
- Astrup, T.; Mullertz, S. The Fibrin Plate Method for Estimating Fibrinolytic Activity. Arch. Biochem. Biophys. 1952, 40, 346–351. [Google Scholar] [CrossRef]
- Kim, S.H.; Choi, N.S.; Lee, W.Y. Fibrin Zymography: A Direct Analysis of Fibrinolytic Enzymes on Gels. Anal. Biochem. 1998, 263, S0003–S2697. [Google Scholar] [CrossRef]
- Matsubara, K.; Sumi, H.; Hori, K.; Miyazawa, K. Purification and Characterization of Two Fibrinolytic Enzymes from a Marine Green Alga, Codium intricatum. Comp. Biochem. Physiol. Part B Biochem. Mol. Biol. 1998, 119, 177–181. [Google Scholar] [CrossRef]
- Prasad, S.; Kashyap, R.S.; Deopujari, J.Y.; Purohit, H.J.; Taori, G.M.; Daginawala, H.F. Development of an in Vitro Model to Study Clot Lysis Activity of Thrombolytic Drugs. Thromb. J. 2006, 4, 14. [Google Scholar] [CrossRef]
- Azarkan, M.; Matagne, A.; Wattiez, R.; Bolle, L.; Vandenameele, J.; Baeyens-Volant, D. Selective and Reversible Thiol-Pegylation, an Effective Approach for Purification and Characterization of Five Fully Active Ficin (Iso) Forms from Ficus carica Latex. Phytochemistry 2011, 72, 1718–1731. [Google Scholar] [CrossRef]
- Costa, J.d.O.; Fonseca, K.C.; Garrote-Filho, M.S.; Cunha, C.C.; de Freitas, M.V.; Silva, H.S.; Araújo, R.B.; Penha-Silva, N.; de Oliveira, F. Structural and Functional Comparison of Proteolytic Enzymes from Plant Latex and Snake Venoms. Biochimie 2010, 92, 1760–1765. [Google Scholar] [CrossRef]
- Collen, D.; Lijnen, H.R. Tissue-type Plasminogen Activator: A Historical Perspective and Personal Account. J. Thromb. Haemost. 2004, 2, 541–546. [Google Scholar] [CrossRef] [Green Version]
- Kim, W.; Choi, K.; Kim, Y.; Park, H.; Choi, J.; Lee, Y.; Oh, H.; Kwon, I.; Lee, S. Purification and Characterization of a Fibrinolytic Enzyme Produced from Bacillus Sp. Strain CK 11-4 Screened from Chungkook-Jang. Appl. Environ. Microbiol. 1996, 62, 2482–2488. [Google Scholar] [CrossRef]
- Peng, Y.; Yang, X.; Zhang, Y. Microbial Fibrinolytic Enzymes: An Overview of Source, Production, Properties, and Thrombolytic Activity in Vivo. Appl. Microbiol. Biotechnol. 2005, 69, 126–132. [Google Scholar] [CrossRef]
- Mackman, N. Triggers, Targets and Treatments for Thrombosis. Nature 2008, 451, 914–918. [Google Scholar] [CrossRef]
- Rashad, M.M.; Mahmoud, A.E.; Al-Kashef, A.S.; Nooman, M.U. Purification and Characterization of a Novel Fibrinolytic Enzyme by Candida guilliermondii Grown on Sunflower Oil Cake. J. Appl. Sci. Res 2012, 8, 635–645. [Google Scholar]
- Iazbik, C.; Couto, C.G.; Gray, T.L.; Kociba, G. Effect of Storage Conditions on Hemostatic Parameters of Canine Plasma obtained for Transfusion. Am. J. Vet. Res. 2001, 62, 734–735. [Google Scholar] [CrossRef]
- Ng, V.L. Prothrombin Time and Partial Thromboplastin Time Assay Considerations. Clin. Lab. Med. 2009, 29, 253–263. [Google Scholar] [CrossRef]
- Kitchen, S.; McCraw, A.; Echenagucia, M. Diagnosis of Hemophilia and Other Bleeding Disorders; World Federation of Hemophilia: Montreal, QC, Canada, 2010. [Google Scholar]
- Yan, F.; Yan, J.; Sun, W.; Yao, L.; Wang, J.; Qi, Y.; Xu, H. Thrombolytic Effect of Subtilisin QK on Carrageenan Induced Thrombosis Model in Mice. J. Thromb. Thrombolysis 2009, 28, 444–448. [Google Scholar] [CrossRef]
- Hagimori, M.; Kamiya, S.; Yamaguchi, Y.; Arakawa, M. Improving Frequency of Thrombosis by Altering Blood Flow in the Carrageenan-Induced Rat Tail Thrombosis Model. Pharmacol. Res. 2009, 60, 320–323. [Google Scholar] [CrossRef]
- Arslan, R.; Bor, Z.; Bektas, N.; Meriçli, A.H.; Ozturk, Y. Antithrombotic Effects of Ethanol Extract of Crataegus orientalis in the Carrageenan-Induced Mice Tail Thrombosis Model. Thromb. Res. 2011, 127, 210–213. [Google Scholar] [CrossRef] [PubMed]






| Ficin | PT (s) | aPTT (s) |
|---|---|---|
| Control | 17.5 ± 0.8 | 93.9 ± 2.1 |
| 0.8 U/mL | 35< | 200< |
| Normal range | 14–19 | 75–105 |
Publisher’s Note: MDPI stays neutral with regard to jurisdictional claims in published maps and institutional affiliations. |
© 2022 by the authors. Licensee MDPI, Basel, Switzerland. This article is an open access article distributed under the terms and conditions of the Creative Commons Attribution (CC BY) license (https://creativecommons.org/licenses/by/4.0/).
Share and Cite
Yang, H.R.; Hwang, D.H.; Prakash, R.L.M.; Kim, J.-H.; Hong, I.-H.; Kim, S.; Kim, E.; Kang, C. Exploring the Fibrin(ogen)olytic, Anticoagulant, and Antithrombotic Activities of Natural Cysteine Protease (Ficin) with the κ-Carrageenan-Induced Rat Tail Thrombosis Model. Nutrients 2022, 14, 3552. https://doi.org/10.3390/nu14173552
Yang HR, Hwang DH, Prakash RLM, Kim J-H, Hong I-H, Kim S, Kim E, Kang C. Exploring the Fibrin(ogen)olytic, Anticoagulant, and Antithrombotic Activities of Natural Cysteine Protease (Ficin) with the κ-Carrageenan-Induced Rat Tail Thrombosis Model. Nutrients. 2022; 14(17):3552. https://doi.org/10.3390/nu14173552
Chicago/Turabian StyleYang, Hye Ryeon, Du Hyeon Hwang, Ramachandran Loganathan Mohan Prakash, Jong-Hyun Kim, Il-Hwa Hong, Suk Kim, Euikyung Kim, and Changkeun Kang. 2022. "Exploring the Fibrin(ogen)olytic, Anticoagulant, and Antithrombotic Activities of Natural Cysteine Protease (Ficin) with the κ-Carrageenan-Induced Rat Tail Thrombosis Model" Nutrients 14, no. 17: 3552. https://doi.org/10.3390/nu14173552
APA StyleYang, H. R., Hwang, D. H., Prakash, R. L. M., Kim, J.-H., Hong, I.-H., Kim, S., Kim, E., & Kang, C. (2022). Exploring the Fibrin(ogen)olytic, Anticoagulant, and Antithrombotic Activities of Natural Cysteine Protease (Ficin) with the κ-Carrageenan-Induced Rat Tail Thrombosis Model. Nutrients, 14(17), 3552. https://doi.org/10.3390/nu14173552

