Toward Oral Supplementation of Diamine Oxidase for the Treatment of Histamine Intolerance
Abstract
:1. Introduction
2. Materials and Methods
2.1. Materials and Reagents
2.2. Production and Purification of DAO-1
2.3. DAO-1 Activity Determination
2.4. Protein Analysis
2.5. Stability of DAO-1 in Simulated Intestinal Fluid (SIF)
2.6. Kinetics of DAO-1 in an SIF
2.7. Preparation of DAO-1 Tablets
2.8. Histamine Bioconversion Using DAO-1 Tablets
2.9. Sample Preparation of Bioconversion Samples for the RP-HPLC Analysis
2.10. RP-HPLC Analysis of Histamine in Bioconversion Samples
2.11. Statistical Analysis
3. Results and Discussion
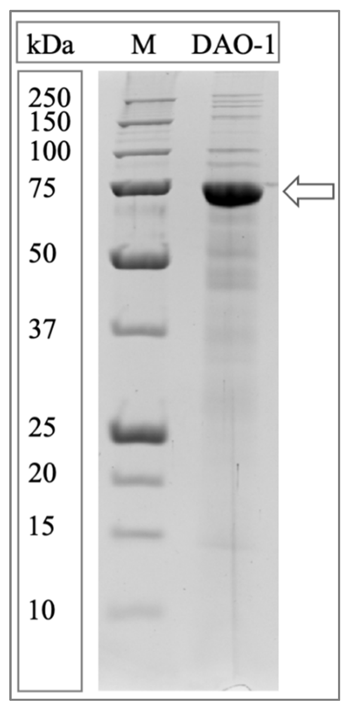
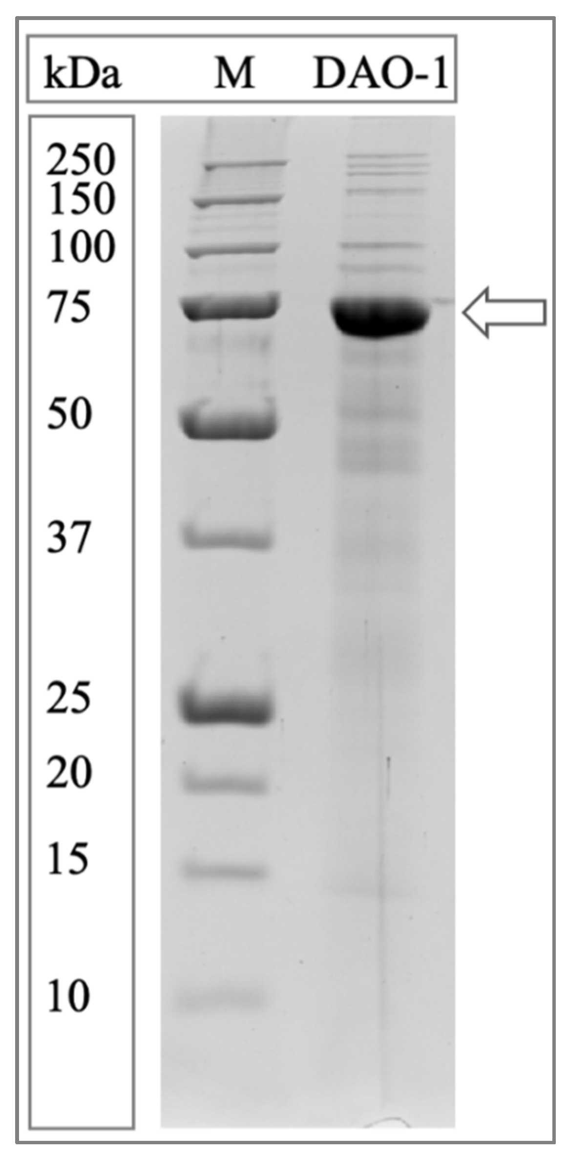
3.1. Production of DAO-1 for the Preparation of Tablets
3.2. Stability of DAO-1 in an SIF
3.3. Kinetics of DAO-1 in an SIF
3.4. Tableting of DAO-1
3.5. Quantification of Histamine by RP-HPLC
3.6. Histamine Bioconversion Using DAO-1 Tablets
4. Conclusions
Supplementary Materials
Author Contributions
Funding
Institutional Review Board Statement
Informed Consent Statement
Data Availability Statement
Acknowledgments
Conflicts of Interest
References
- European Food Safety Authority; European Centre for Disease Prevention and Control. The European Union Summary Report on Trends and Sources of Zoonoses, Zoonotic Agents and Food-Borne Outbreaks in 2017. EFSA J. 2018, 16, e05500. [Google Scholar] [CrossRef]
- Taylor, S.L. Histamine Poisoning Associated with Fish, Cheese, and Other Foods; World Health Organization: Geneva, Switzerland, 1985. [Google Scholar]
- Maintz, L.; Novak, N. Histamine and histamine intolerance. Am. J. Clin. Nutr. 2007, 85, 1185–1196. [Google Scholar] [CrossRef] [PubMed]
- Jarisch, R. (Ed.) Histaminintoleranz Histamin Und Seekrankheit; Thieme: Stuttgart, Germany, 2013. [Google Scholar]
- Mušič, E.; Korošec, P.; Šilar, M.; Adamič, K.; Košnik, M.; Rijavec, M. Serum diamine oxidase activity as a diagnostic test for histamine intolerance. Wien. Klin. Wochenschr. 2013, 125, 239–243. [Google Scholar] [CrossRef] [PubMed]
- Miyoshi, J.; Miyamoto, H.; Goji, T.; Taniguchi, T.; Tomonari, T.; Sogabe, M.; Kimura, T.; Kitamura, S.; Okamoto, K.; Fujino, Y.; et al. Serum diamine oxidase activity as a predictor of gastrointestinal toxicity and malnutrition due to anticancer drugs. J. Gastroenterol. Hepatol. 2015, 30, 1582–1590. [Google Scholar] [CrossRef]
- Schwelberger, H.G.; Dieplinger, H.; Kohlwein, S.D. Diamine oxidase and catalase are expressed in the same cells but are present in different subcellular compartments in porcine kidney. Inflamm. Res. 1999, 48, 81–82. [Google Scholar] [CrossRef] [PubMed]
- Schwelberger, H.G.; Bodner, E. Purification and characterization of diamine oxidase from porcine kidney and intestine. Biochim. Biophys. Acta 1997, 1340, 152–164. [Google Scholar] [CrossRef]
- Comas-Basté, O.; Sánchez-Pérez, S.; Veciana-Nogués, M.T.; Latorre-Moratalla, M.; Vidal-Carou, M.d.C. Histamine intolerance: The current state of the art. Biomolecules 2020, 10, 1181. [Google Scholar] [CrossRef] [PubMed]
- Izquierdo-Casas, J.; Comas-Basté, O.; Latorre-Moratalla, M.L.; Lorente-Gascón, M.; Duelo, A.; Vidal-Carou, M.C.; Soler-Singla, L. Low serum diamine oxidase (DAO) activity levels in patients with migraine. J. Physiol. Biochem. 2018, 74, 93–99. [Google Scholar] [CrossRef] [PubMed]
- Luk, G.D.; Bayless, T.M.; Baylin, S.B. Plasma postheparin diamine oxidase. Sensitive provocative test for quantitating length of acute intestinal mucosal injury in the rat. J. Clin. Investig. 1983, 71, 1308–1315. [Google Scholar] [CrossRef] [PubMed]
- Tsujikawa, T.; Uda, K.; Ihara, T.; Inoue, T.; Andoh, A.; Fujiyama, Y.; Bamba, T. Changes in serum diamine oxidase activity during chemotherapy in patients with hematological malignancies. Cancer Lett. 1999, 147, 195–198. [Google Scholar] [CrossRef]
- Komericki, P.; Klein, G.; Reider, N.; Hawranek, T.; Strimitzer, T.; Lang, R.; Kranzelbinder, B.; Aberer, W. Histamine intolerance: Lack of reproducibility of single symptoms by oral provocation with histamine: A randomised, double-blind, placebo-controlled cross-over study. Wien. Klin. Wochenschr. 2011, 123, 15–20. [Google Scholar] [CrossRef] [PubMed]
- Manzotti, G.; Breda, D.; Di Gioacchino, M.; Burastero, S.E. Serum diamine oxidase activity in patients with histamine intolerance. Int. J. Immunopathol. Pharmacol. 2016, 29, 105–111. [Google Scholar] [CrossRef] [PubMed] [Green Version]
- Yacoub, M.-R.; Ramirez, G.A.; Berti, A.; Mercurio, G.; Breda, D.; Saporiti, N.; Burastero, S.; Dagna, L.; Colombo, G. Diamine oxidase supplementation in chronic spontaneous urticaria: A randomized, double-blind placebo-controlled study. Int. Arch. Allergy Immunol. 2018, 176, 268–271. [Google Scholar] [CrossRef] [PubMed]
- Izquierdo-Casas, J.; Comas-Basté, O.; Latorre-Moratalla, M.L.; Lorente-Gascón, M.; Duelo, A.; Soler-Singla, L.; Vidal-Carou, M.C. Diamine oxidase (DAO) supplement reduces headache in episodic migraine patients with DAO deficiency: A randomized double-blind trial. Clin. Nutr. 2019, 38, 152–158. [Google Scholar] [CrossRef] [PubMed]
- Schnedl, W.J.; Schenk, M.; Lackner, S.; Enko, D.; Mangge, H.; Forster, F. Diamine oxidase supplementation improves symptoms in patients with histamine intolerance. Food Sci. Biotechnol. 2019, 28, 1779–1784. [Google Scholar] [CrossRef] [Green Version]
- Kettner, L.; Seitl, I.; Fischer, L. Evaluation of porcine diamine oxidase for the conversion of histamine in food-relevant amounts. J. Food Sci. 2020, 85, 843–852. [Google Scholar] [CrossRef]
- Garg, S.K.; Johri, B.N. Application of recombinant calf chymosin in cheesemaking. J. Appl. Anim. Res. 1995, 7, 105–114. [Google Scholar] [CrossRef]
- Kettner, L.; Braun, C.; Seitl, I.; Pross, E.; Fischer, L. Production and characterization of a new diamine oxidase from Yarrowia lipolytica. J. Biotechnol. 2021, 340, 39–46. [Google Scholar] [CrossRef]
- Takagi, K.; Nakao, M.; Ogura, Y.; Nabeshima, T.; Kunii, A. Sensitive colorimetric assay of serum diamine oxidase. Clin. Chim. Acta 1994, 226, 67–75. [Google Scholar] [CrossRef]
- Bradford, M.M. A rapid and sensitive method for the quantitation of microgram quantities of protein utilizing the principle of protein-dye binding. Anal. Biochem. 1976, 72, 248–254. [Google Scholar] [CrossRef]
- Laemmli, U.K. Cleavage of structural proteins during the assembly of the head of bacteriophage T4. Nature 1970, 227, 680–685. [Google Scholar] [CrossRef] [PubMed]
- Fairbanks, G.; Steck, T.L.; Wallachi, D.F.H. Electrophoretic analysis. Biochemistry 1968, 10, 2606–2617. [Google Scholar] [CrossRef] [PubMed]
- United States Pharmacopeia. Reagents, Intestinal Fluid, Simulated, TS; USP-NF; United States Pharmacopeia: Rockville, MD, USA, 2022. [Google Scholar]
- Salhi, A.; Amara, S.; Mansuelle, P.; Puppo, R.; Lebrun, R.; Gontero, B.; Aloulou, A.; Carriere, F. Characterization of all the lipolytic activities in pancreatin and comparison with porcine and human pancreatic juices. Biochimie 2020, 169, 106–120. [Google Scholar] [CrossRef] [PubMed]
- Hahn-Hägerdal, B. Water activity: A possible external regulator in biotechnical processes. Enzym. Microb. Technol. 1986, 8, 322–327. [Google Scholar] [CrossRef]
- Elmore, B.O.; Bollinger, J.A.; Dooley, D.M. Human kidney diamine oxidase: Heterologous expression, purification, and characterization. J. Biol. Inorg. Chem. 2002, 7, 565–579. [Google Scholar] [CrossRef]
- Boehm, T.; Reiter, B.; Ristl, R.; Petrosczi, K.; Sperr, W.; Stimpfl, T.; Valent, P.; Jilma, B. Massive release of the histamine-degrading enzyme diamine oxidase during severe anaphylaxis in mastocytosis patients. Allergy 2019, 74, 583–593. [Google Scholar] [CrossRef]
- Kounnoun, A.; Maadoudi, M.E.L.; Cacciola, F.; Mondello, L.; Bougtaib, H.; Alahlah, N.; Amajoud, N.; Baaboua, A.E.L.; Louajri, A. Development and validation of a high-performance liquid chromatography method for the determination of histamine in fish samples using fluorescence detection with pre-column derivatization. Chromatographia 2020, 83, 893–901. [Google Scholar] [CrossRef]
- Paiva, T.B.; Tominaga, M.; Paiva, A.C.M. Ionization of histamine, N-acetylhistamine, and their iodinated derivatives. J. Med. Chem. 1970, 13, 689–692. [Google Scholar] [CrossRef]
- Comas-Basté, O.; Latorre-Moratalla, M.L.; Sánchez-Pérez, S.; Veciana-Nogués, M.T.; Vidal-Carou, M.C. In vitro determination of diamine oxidase activity in food matrices by an enzymatic assay coupled to UHPLC-FL. Anal. Bioanal. Chem. 2019, 411, 7595–7602. [Google Scholar] [CrossRef]
- Wöhrl, S.; Hemmer, W.; Focke, M.; Rappersberger, K.; Jarisch, R. Histamine intolerance-like symptoms in healthy volunteers after oral provocation with liquid histamine. Allergy Asthma Proc. 2004, 25, 305–311. [Google Scholar]
- Neree, A.T.; Soret, R.; Marcocci, L.; Pietrangeli, P.; Pilon, N.; Mateescu, M.A. Vegetal diamine oxidase alleviates histamine-induced contraction of colonic muscles. Sci. Rep. 2020, 10, 21563. [Google Scholar] [CrossRef] [PubMed]
- Calinescu, C.; Mondovi, B.; Federico, R.; Ispas-Szabo, P.; Mateescu, M.A. Carboxymethyl starch: Chitosan monolithic matrices containing diamine oxidase and catalase for intestinal delivery. Int. J. Pharm. 2012, 428, 48–56. [Google Scholar] [CrossRef] [PubMed] [Green Version]
- Blemur, L.; Le, T.C.; Marcocci, L.; Pietrangeli, P.; Mateescu, M.A. Carboxymethyl starch/alginate microspheres containing diamine oxidase for intestinal targeting. Biotechnol. Appl. Biochem. 2016, 63, 344–353. [Google Scholar] [CrossRef] [PubMed] [Green Version]
- Gludovacz, E.; Schuetzenberger, K.; Resch, M.; Tillmann, K.; Petroczi, K.; Schosserer, M.; Vondra, S.; Vakal, S.; Klanert, G.; Pollheimer, J.; et al. Heparin-binding motif mutations of human diamine oxidase allow the development of a first-in-class histamine-degrading biopharmaceutical. eLife 2021, 10, e68542. [Google Scholar] [CrossRef]





| DAO-1 Tablet Specifications (for 1 Tablet) | |
|---|---|
| DAO-1 activity [nkat] | 690 |
| Catalase activity [µkat] | 15 |
| Protein [mg] | 44 |
| Sucrose [mg] | 238 |
| Total weight [mg] | 400 |
| Size [mm] | 9 × 7 (length × diameter) |
Publisher’s Note: MDPI stays neutral with regard to jurisdictional claims in published maps and institutional affiliations. |
© 2022 by the authors. Licensee MDPI, Basel, Switzerland. This article is an open access article distributed under the terms and conditions of the Creative Commons Attribution (CC BY) license (https://creativecommons.org/licenses/by/4.0/).
Share and Cite
Kettner, L.; Seitl, I.; Fischer, L. Toward Oral Supplementation of Diamine Oxidase for the Treatment of Histamine Intolerance. Nutrients 2022, 14, 2621. https://doi.org/10.3390/nu14132621
Kettner L, Seitl I, Fischer L. Toward Oral Supplementation of Diamine Oxidase for the Treatment of Histamine Intolerance. Nutrients. 2022; 14(13):2621. https://doi.org/10.3390/nu14132621
Chicago/Turabian StyleKettner, Lucas, Ines Seitl, and Lutz Fischer. 2022. "Toward Oral Supplementation of Diamine Oxidase for the Treatment of Histamine Intolerance" Nutrients 14, no. 13: 2621. https://doi.org/10.3390/nu14132621
APA StyleKettner, L., Seitl, I., & Fischer, L. (2022). Toward Oral Supplementation of Diamine Oxidase for the Treatment of Histamine Intolerance. Nutrients, 14(13), 2621. https://doi.org/10.3390/nu14132621
