Inhibitory Effects of a Sargassum miyabei Yendo on Cutibacterium acnes-Induced Skin Inflammation
Abstract
1. Introduction
2. Materials and Methods
2.1. Reagents
2.2. Preparation of a Sargassum Miyabei Yendo Ethanol Extract
2.3. Bacterial Strains and Culture Conditions
2.4. Minimum Inhibitory Concentrations (MIC) and Minimum Bactericidal Concentration (MBC)
2.5. C. acnes-Induced Inflammation in Mice
2.6. Histopathology
2.7. Immunohistochemistry
2.8. Cell Culture
2.9. Cell Viability
2.10. Enzyme-Linked Immunosorbent Assay
2.11. Western Blotting
2.12. Cell Migration
2.13. Electrophoretic Mobility Shift Assay
2.14. Statistical Analysis
3. Results
3.1. Antibacterial Effects of SMYEE
3.2. Effects of SMYEE on C. acnes-Induced Clinical Changes
3.3. SMYEE Suppressed Neutrophil Accumulation in Inflammatory Lesions
3.4. Effect of SMYEE on HaCaT Cell Viability
3.5. Effects of SMYEE on IL-8 Levels in C. acnes-Stimulated HaCaT Cells
3.6. Effects of SMYEE on dHL-60 Cell Migration
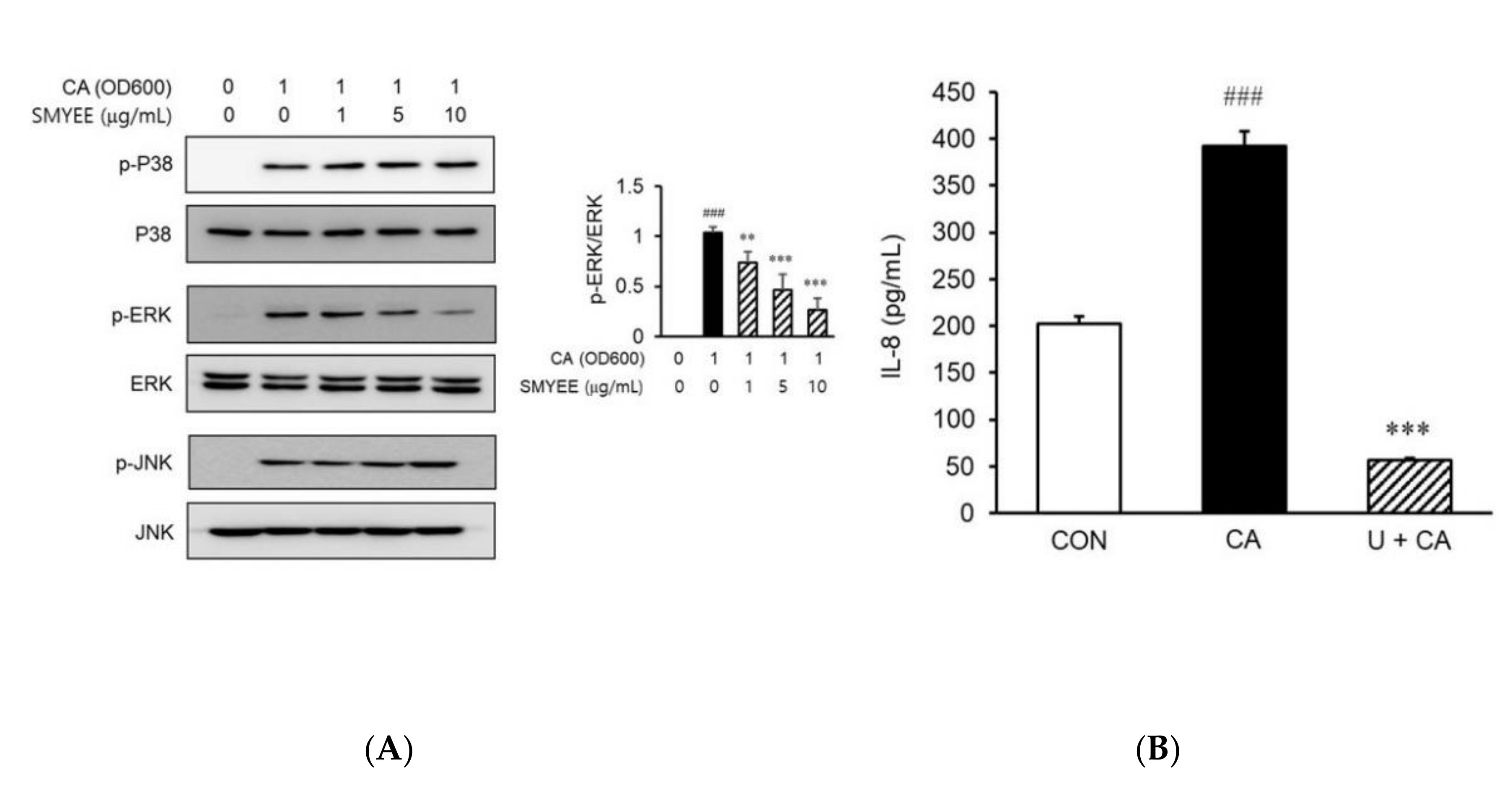
3.7. Effects of SMYEE on Extracellular Signal-Regulated Kinase (ERK) Signaling Pathways in C. acnes-Stimulated HaCaT Cells
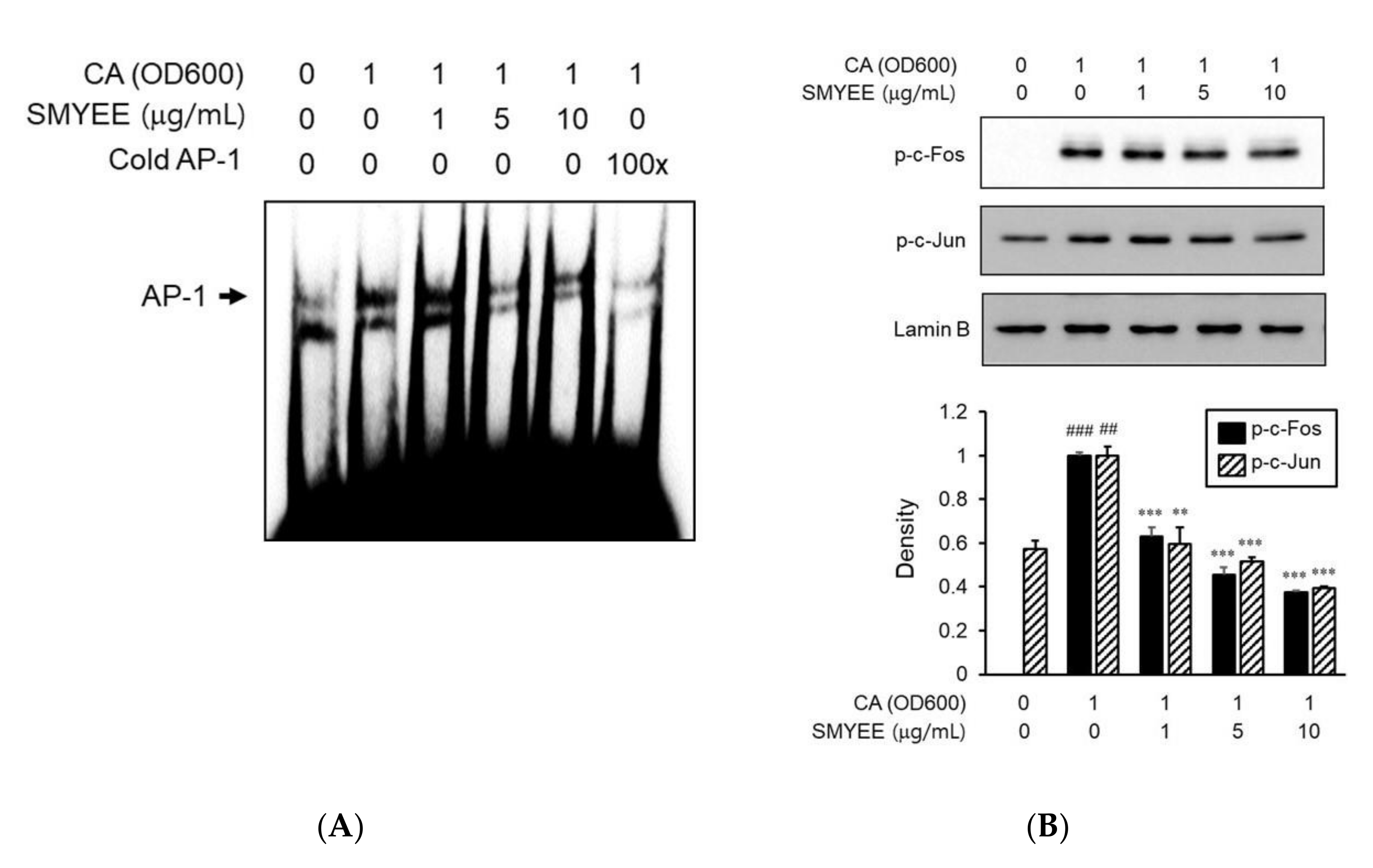
3.8. Effects of SMYEE on Activator Protein-1 (AP-1) Activation in C. acnes-Stimulated HaCaT Cells
4. Discussion
Author Contributions
Funding
Conflicts of Interest
References
- O’Neill, A.M.; Gallo, R.L. Host-microbiome interactions and recent progress into understanding the biology of acne vulgaris. Microbiome 2018, 6, 177. [Google Scholar] [CrossRef]
- Tabara, K.; Tamura, R.; Nakamura, A.; Mori, S.; Kitano, T.; Fujikawa, K.; Fujikawa, M.; Okamoto, K.; Kanayama, S.; Uratsuji, H.; et al. Anti-inflammatory effects of ozenoxacin, a topical quinolone antimicrobial agent. J. Antibiot. 2020, 73, 247–254. [Google Scholar] [CrossRef] [PubMed]
- An, H.J.; Lee, W.R.; Kim, K.H.; Kim, J.Y.; Lee, S.J.; Han, S.M.; Lee, K.G.; Lee, C.K.; Park, K.K. Inhibitory effects of bee venom on Propionibacterium acnes-induced inflammatory skin disease in an animal model. Int. J. Mol. Med. 2014, 34, 1341–1348. [Google Scholar] [CrossRef] [PubMed]
- Kim, J.Y.; Lee, W.R.; Kim, K.H.; An, J.J.; Chang, Y.C.; Han, S.M.; Park, Y.Y.; Pak, S.C.; Park, K.K. Effects of bee venom against Propionibacterium acnes-induced inflammation in human keratinocytes and monocytes. Int. J. Mol. Med. 2015, 35, 1651–1656. [Google Scholar] [CrossRef] [PubMed]
- Palomino, D.C.T.; Marti, L.C. Chemokines and immunity. Einstein 2015, 13, 469–473. [Google Scholar] [CrossRef] [PubMed]
- Kim, J.; Ochoa, M.T.; Krutzik, S.R.; Takeuchi, O.; Uematsu, S.; Legaspi, A.J.; Brightbill, H.D.; Holland, D.; Cunliffe, W.J.; Akira, S.; et al. Activation of toll-like receptor 2 in acne triggers inflammatory cytokine responses. J. Immunol. 2002, 169, 1535–1541. [Google Scholar] [CrossRef]
- Kang, S.; Cho, S.; Chung, J.; Hammerberg, C.; Fisher, G.J.; Voorhees, J.J. Inflammation and extracellular matrix degradation mediated by activated transcription factors nuclear factor-κb and activator protein-1 in inflammatory acne lesions in vivo. Am. J. Pathol. 2005, 166, 1691–1699. [Google Scholar] [CrossRef]
- Giriwono, P.E.; Iskandriati, D.; Tan, C.P.; Andarwulan, N. Sargassum seaweed as a source of anti-inflammatory substances and the potential insight of the tropical species: A Review. Mar. Drugs 2019, 17, 590. [Google Scholar]
- Liu, L.; Heinrich, M.; Myers, S.; Dworjanyn, S.A. Towards a better understanding of medicinal uses of the brown seaweed sargassum in traditional chinese medicine: A phytochemical and pharmacological review. J. Ethnopharmacol. 2012, 142, 591–619. [Google Scholar] [CrossRef]
- Olasehinde, T.A.; Olaniran, A.O.; Okoh, A.I. Macroalgae as a valuable source of naturally occurring bioactive compounds for the treatment of Alzheimer’s disease. Mar. Drugs 2019, 17, 609. [Google Scholar] [CrossRef]
- Kim, K.N.; Kim, J.; Yoon, W.J.; Yang, H.M.; Heo, S.Y.; Ko, J.Y.; Roh, S.W.; Jeon, Y.J.; Kang, S.M.; Heo, S.J.; et al. Inhibitory effect of Sargassum patens on inflammation and melanogenesis. Int. J. Pharmacol. 2013, 9, 524–532. [Google Scholar] [CrossRef]
- Yende, S.R.; Harle, U.N.; Chaugule, B.B. Therapeutic potential and health benefits of Sargassum species. Pharmacogn. Rev. 2014, 8, 1–7. [Google Scholar] [CrossRef] [PubMed]
- Al-Talib, H.; Al-khateeb, A.; Hameed, A.; Murugaiah, C. Efficacy and safety of superficial chemical peeling in treatment of active acne vulgaris. An. Bras. Dermatol. 2017, 92, 212–216. [Google Scholar] [CrossRef] [PubMed]
- Elsaie, M.L. Hormonal treatment of acne vulgaris: An update. Clin. Cosmet. Investig. Dermatol. 2016, 9, 241–248. [Google Scholar] [CrossRef]
- Garrett, J.P.; Margolis, D.J. Impact of long-term antibiotic use for acne on bacterial ecology and health outcomes: A review of observational studies. Curr. Derm. Rep. 2012, 1, 23–28. [Google Scholar] [CrossRef]
- Mosler, E.L.; Leitner, C.; Gouda, M.A.; Carter, B.; Layton, A.M.; Khalaf Allah, M.T. Topical antibiotics for acne. Cochrane Database Syst. Rev. 2018, 1, CD012263. [Google Scholar]
- Gieler, U.; Gieler, T.; Kupfer, J.P. Acne and quality of life—Impact and management. J. Eur. Acad. Dermatol. Venereol. 2015, 29, 12–14. [Google Scholar] [CrossRef]
- Ryu, S.; Han, H.M.; Song, P.I.; Armstrong, C.A.; Park, Y. Suppression of Propionibacterium acnes infection and the associated inflammatory response by the antimicrobial peptide P5 in mice. PLoS ONE 2015, 10, e0132619. [Google Scholar] [CrossRef]
- Pérez, M.J.; Falqué, E.; Domínguez, H. Antimicrobial action of compounds from marine seaweed. Mar. Drugs. 2016, 14, 52. [Google Scholar] [CrossRef]
- Lee, E.H.; Shin, J.H.; Kim, S.S.; Joo, J.; Choi, E.; Seo, S.R. Suppression of Propionibacterium acnes-induced skin inflammation by Laurus nobilis extract and its major constituent eucalyptol. Int. J. Mol. Sci. 2019, 20, 3510. [Google Scholar] [CrossRef]
- Kim, M.J.; Eun, D.H.; Kim, S.M.; Kim, J.; Lee, W.J. Efficacy of bacteriophages in Propionibacterium acnes-induced inflammation in mice. Ann. Dermatol. 2019, 31, 22–28. [Google Scholar] [CrossRef]
- Wang, Y.; Hata, T.R.; Tong, Y.L.; Kao, M.S.; Zouboulis, C.; Gallo, R.L.; Huang, C.M. The Anti-Inflammatory Activities of Propionibacterium acnes CAMP Factor-Targeted Acne Vaccines. J. Invest. Dermatol. 2018, 138, 2355–2364. [Google Scholar] [CrossRef] [PubMed]
- Kim, S.H.; Eom, S.H.; Yu, D.; Lee, M.S.; Kim, Y.M. Oligochitosan as a potential anti-acne vulgaris agent: Combined antibacterial effects against Propionibacterium acnes. Food Sci. Biotechnol. 2017, 26, 1029–1036. [Google Scholar] [CrossRef] [PubMed]
- Kim, M.J.; Bae, N.Y.; Kim, K.B.W.R.; Park, S.H.; Jang, M.R.; Im, M.H.; Ahn, D.H. Anti-inflammatory activity of ethanol extract of Sargassum miyabei Yendo via inhibition of NF-κB and MAPK activation. Microbiol. Biotechnol. Let. 2016, 44, 442–451. [Google Scholar] [CrossRef]
- Lee, J.H.; Eom, S.H.; Lee, E.H.; Jung, Y.J.; Kim, H.J.; Jo, M.R.; Son, K.T.; Lee, H.J.; Kim, J.H.; Lee, M.S.; et al. In vitro antibacterial and synergistic effect of phlorotannins isolated from edible brown seaweed Eisenia bicyclis against acne-related bacteria. Algae 2014, 29, 47–55. [Google Scholar] [CrossRef]
- Hwang, D.H.; Lee, D.Y.; Koh, P.-O.; Yang, H.R.; Kang, C.; Kim, E. Rosa davurica Pall. Improves Propionibacterium acnes-induced inflammatory responses in mouse ear edema model and suppresses pro-inflammatory chemokine production via MAPK and NF-κB pathways in HaCaT Cells. Int. J. Mol. Sci. 2020, 21, 1717. [Google Scholar] [CrossRef]
- Zhang, B.; Choi, Y.M.; Lee, J.; An, I.S.; Li, L.; He, C.; Dong, Y.; Bae, S.; Meng, H. Toll-like receptor 2 plays a critical role in pathogenesis of acne vulgaris. Biomed. Dermatol. 2019, 3, 1. [Google Scholar] [CrossRef]
- Cheon, D.; Kim, J.; Jeon, D.; Shin, H.-C.; Kim, Y. Target proteins of phloretin for its anti-inflammatory and antibacterial activities against Propionibacterium acnes-induced skin infection. Molecules 2019, 24, 1319. [Google Scholar] [CrossRef]
- Nguyen, C.T.; Sah, S.K.; Zouboulis, C.C.; Kim, T.-Y. Inhibitory effects of superoxide dismutase 3 on Propionibacterium acnes-induced skin inflammation. Sci. Rep. 2018, 8, 4024. [Google Scholar] [CrossRef]
- Goldminz, A.M.; Au, S.C.; Kim, N.; Gottlieb, A.B.; Lizzul, P.F. NF-kB: An essential transcription factor in psoriasis. J. Dermatol. Sci. 2013, 69, 89–94. [Google Scholar] [CrossRef]
- Chen, Q.J.; Koga, T.; Uchi, H.; Hara, H.; Terao, H.; Moroi, Y.; Urabe, K.; Furue, M. Propionibacterium acnes-induced IL-8 production may be mediated by NF-kB activation in human monocytes. J. Dermatol. Sci. 2002, 29, 97–103. [Google Scholar] [CrossRef]
- Angel, P.; Szabowski, A.; Schorpp-Kistner, M. Function and regulation of AP-1 subunits in skin physiology and pathology. Oncogene 2001, 20, 2413–2423. [Google Scholar] [CrossRef] [PubMed]






| Strains | MIC (µg/mL) | MBC (µg/mL) |
|---|---|---|
| C. acnes KCTC 3314 | 256 | 512 |
| C. acnes isolates 2874 | 256 | 2048 |
| C. acnes isolates 2875 | 256 | 1024 |
| C. acnes isolates 2876 | 128 | 1024 |
| C. acnes isolates 2878 | 512 | 4096 |
© 2020 by the authors. Licensee MDPI, Basel, Switzerland. This article is an open access article distributed under the terms and conditions of the Creative Commons Attribution (CC BY) license (http://creativecommons.org/licenses/by/4.0/).
Share and Cite
Yim, M.-J.; Lee, J.M.; Kim, H.-S.; Choi, G.; Kim, Y.-M.; Lee, D.-S.; Choi, I.-W. Inhibitory Effects of a Sargassum miyabei Yendo on Cutibacterium acnes-Induced Skin Inflammation. Nutrients 2020, 12, 2620. https://doi.org/10.3390/nu12092620
Yim M-J, Lee JM, Kim H-S, Choi G, Kim Y-M, Lee D-S, Choi I-W. Inhibitory Effects of a Sargassum miyabei Yendo on Cutibacterium acnes-Induced Skin Inflammation. Nutrients. 2020; 12(9):2620. https://doi.org/10.3390/nu12092620
Chicago/Turabian StyleYim, Mi-Jin, Jeong Min Lee, Hyun-Soo Kim, Grace Choi, Young-Mog Kim, Dae-Sung Lee, and Il-Whan Choi. 2020. "Inhibitory Effects of a Sargassum miyabei Yendo on Cutibacterium acnes-Induced Skin Inflammation" Nutrients 12, no. 9: 2620. https://doi.org/10.3390/nu12092620
APA StyleYim, M.-J., Lee, J. M., Kim, H.-S., Choi, G., Kim, Y.-M., Lee, D.-S., & Choi, I.-W. (2020). Inhibitory Effects of a Sargassum miyabei Yendo on Cutibacterium acnes-Induced Skin Inflammation. Nutrients, 12(9), 2620. https://doi.org/10.3390/nu12092620

