Sign in to use this feature.

Years

Between: -

Subjects

remove_circle_outline
remove_circle_outline
remove_circle_outline
remove_circle_outline

Journals

Article Types

Countries / Regions

Search Results (3)

Search Parameters:
Keywords = sargassum miyabei

Order results
Result details
Results per page
Select all
Export citation of selected articles as:
17 pages, 4042 KB  
Article
New Bioactive β-Resorcylic Acid Derivatives from the Alga-Derived Fungus Penicillium antarcticum KMM 4685
by Elena V. Leshchenko, Alexandr S. Antonov, Gleb V. Borkunov, Jessica Hauschild, Olesya I. Zhuravleva, Yuliya V. Khudyakova, Alexander S. Menshov, Roman S. Popov, Natalya Yu Kim, Markus Graefen, Carsten Bokemeyer, Gunhild von Amsberg, Anton N. Yurchenko and Sergey A. Dyshlovoy
Mar. Drugs 2023, 21(3), 178; https://doi.org/10.3390/md21030178 - 14 Mar 2023
Cited by 11 | Viewed by 3608
Abstract
Five new β-resorcylic acid derivatives, 14-hydroxyasperentin B (1), β-resoantarctines A-C (3, 5, 6) and 8-dehydro-β-resoantarctine A (4), together with known 14-hydroxyasperentin (5′-hydroxyasperentin) (2), were isolated from the ethyl acetate extract of the fungus [...] Read more.
Five new β-resorcylic acid derivatives, 14-hydroxyasperentin B (1), β-resoantarctines A-C (3, 5, 6) and 8-dehydro-β-resoantarctine A (4), together with known 14-hydroxyasperentin (5′-hydroxyasperentin) (2), were isolated from the ethyl acetate extract of the fungus Penicillium antarcticum KMM 4685 associated with the brown alga Sargassum miyabei. The structures of the compounds were elucidated by spectroscopic analyses and modified Mosher’s method, and the biogenetic pathways for compounds 36 were proposed. For the very first time, the relative configuration of the C-14 center of a known compound 2 was assigned via analyses of magnitudes of the vicinal coupling constants. The new metabolites 36 were biogenically related to resorcylic acid lactones (RALs); however, they did not possess lactonized macrolide elements in their structures. Compounds 3, 4 and 5 exhibited moderate cytotoxic activity in LNCaP, DU145 and 22Rv1 human prostate cancer cells. Moreover, these metabolites could inhibit the activity of p-glycoprotein at their noncytotoxic concentrations and consequently synergize with docetaxel in p-glycoprotein-overexpressing drug-resistant cancer cells. Full article
(This article belongs to the Special Issue Marine Drugs Research in Russia)
Show Figures

Graphical abstract

10 pages, 1347 KB  
Article
Sargassum miyabei Yendo Brown Algae Exert Anti-Oxidative and Anti-AdipogenicEffects on 3T3-L1 Adipocytes by Downregulating PPARγ
by Dong Se Kim, Seul Gi Lee, Minyoul Kim, Dongyup Hahn, Sung Keun Jung, Tae Oh Cho and Ju-Ock Nam
Medicina 2020, 56(12), 634; https://doi.org/10.3390/medicina56120634 - 24 Nov 2020
Cited by 6 | Viewed by 2979
Abstract
Background and objectives: Sargassum miyabei Yendo, belonging to the family Sargassaceae, has been reported to have various biological effects such as anti-tyrosinase activity and anti-inflammation. However, the anti-obesity effect of Sargassum miyabei Yendo has not yet been reported. Materials and Methods: The [...] Read more.
Background and objectives: Sargassum miyabei Yendo, belonging to the family Sargassaceae, has been reported to have various biological effects such as anti-tyrosinase activity and anti-inflammation. However, the anti-obesity effect of Sargassum miyabei Yendo has not yet been reported. Materials and Methods: The effects of Sargassum miyabei Yendo extract (SME) on 3T3-L1 adipocytes were screened by3-(4,5)-dimethylthiazo-2-yl-2,5-diphenyltetrazolium bromide (MTT), Oil red O staining, western blot, and Real-time reverse transcription polymerase chain reaction analyses. Results: Here, we show that SME had potent 2,2’-azinobis-3-ehtlbezothiazoline-6-sulfonic acid radical decolorization (ABTS) and 2,2-diphenyl-1-picrylhydrazyl (DPPH) antioxidant activity with half maximal inhibitory concentration (IC50) value of 0.2868 ± 0.011 mg/mL and 0.2941 ± 0.014 mg/mL, respectively. In addition, SME significantly suppressed lipid accumulation and differentiation of 3T3-L1 preadipocytes, as shown by Oil Red O staining results. SME attenuated the expression of adipogenic- and lipogenic-related genes such as peroxisome proliferator-activated receptor gamma (PPARγ), CCAAT-enhancer-binding protein alpha (C/EBPα), CCAAT-enhancer-binding protein delta (C/EBPδ), adiponectin, adipose triglyceride lipase (ATGL), fatty acid synthase (FAS), hormone-sensitive lipase (HSL), and lipoprotein lipase (LPL). Conclusions: These findings suggest that SME may have therapeutic implications for developing a new anti-obesity agent. Full article
(This article belongs to the Section Endocrinology)
Show Figures

Figure 1

12 pages, 2248 KB  
Article
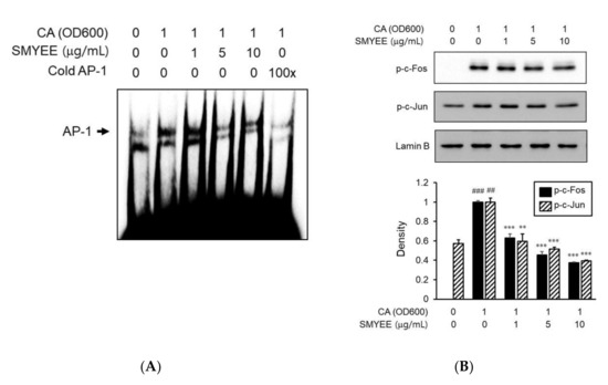
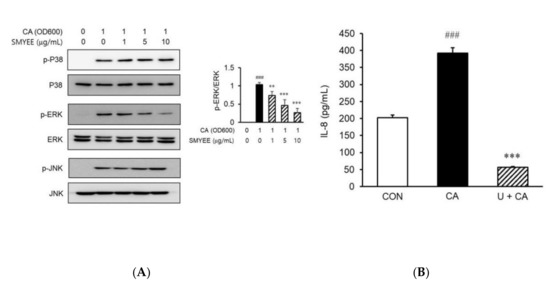
Inhibitory Effects of a Sargassum miyabei Yendo on Cutibacterium acnes-Induced Skin Inflammation
by Mi-Jin Yim, Jeong Min Lee, Hyun-Soo Kim, Grace Choi, Young-Mog Kim, Dae-Sung Lee and Il-Whan Choi
Nutrients 2020, 12(9), 2620; https://doi.org/10.3390/nu12092620 - 27 Aug 2020
Cited by 11 | Viewed by 3933
Abstract
Acne vulgaris is a chronic inflammatory condition of skin sebaceous follicles. To explore its effects on acne vulgaris, we investigated the antibacterial and anti-inflammatory activities of Sargassum miyabei Yendo (a brown alga) ethanolic extract (SMYEE) on Cutibacterium acnes (C. acnes)-stimulated inflammatory [...] Read more.
Acne vulgaris is a chronic inflammatory condition of skin sebaceous follicles. To explore its effects on acne vulgaris, we investigated the antibacterial and anti-inflammatory activities of Sargassum miyabei Yendo (a brown alga) ethanolic extract (SMYEE) on Cutibacterium acnes (C. acnes)-stimulated inflammatory responses, both in vivo and in vitro. To induce inflammation in vivo, C. acnes was intradermally injected into the dorsal skin of mice, to which SMYEE was applied. The antimicrobial activity of SMYEE was evaluated by the determination of minimum inhibitory concentrations (MICs). To explore in vitro anti-inflammatory effects, HaCaT cells were stimulated with C. acnes after treatment with SMYEE. The levels of IL-8 and the underlying molecular effects in C. acnes-stimulated HaCaT cells were assessed by enzyme-linked immunosorbent assay, Western blotting, and an electrophoretic mobility shift assay. Mouse skin lesions improved after treatment with SMYEE (50 μg/mouse). Neutrophil infiltration was significantly reduced in SMYEE-treated compared to SMYEE-untreated skin lesions. SMYEE reversed the C. acnes-induced increase in IL-8 levels in HaCaT cells and suppressed dHL-60 cell migration. SMYEE also inhibited C. acnes-induced phosphorylation of the extracellular signal-regulated kinase and inhibited activator protein-1 signaling. SMYEE may be a useful treatment for C. acnes-induced acne vulgaris. Full article
(This article belongs to the Section Nutritional Immunology)
Show Figures

Figure 1

Back to TopTop