Neuroprotective Effect of Nypa fruticans Wurmb by Suppressing TRPV1 Following Sciatic Nerve Crush Injury in a Rat
Abstract
1. Introduction
2. Materials and Methods
2.1. Experimental Animals
2.2. Surgical Procedure (Sciatic Nerve Crush Model, SNC)
2.3. Extraction of Nypa Fruticans Wurmbs
2.4. Treatments
2.5. Functional Analysis
2.5.1. Rotarod Measurement
2.5.2. Walking Track Analysis
2.6. Electrophysiological Testing
2.7. Hematoxylin–Eosin Staining
2.8. Western Blotting Analysis
2.9. Statistical Analysis
3. Results
3.1. NF Administration Improved Functional Recovery of the Sciatic Nerve on Walking Track Test
3.2. NF Administration Improved Functional Recovery of the Sciatic Nerve on Rotarod Test
3.3. NF Administration Improved Nerve Recovery of the Sciatic Nerve on the Electrophysilogical Measurements
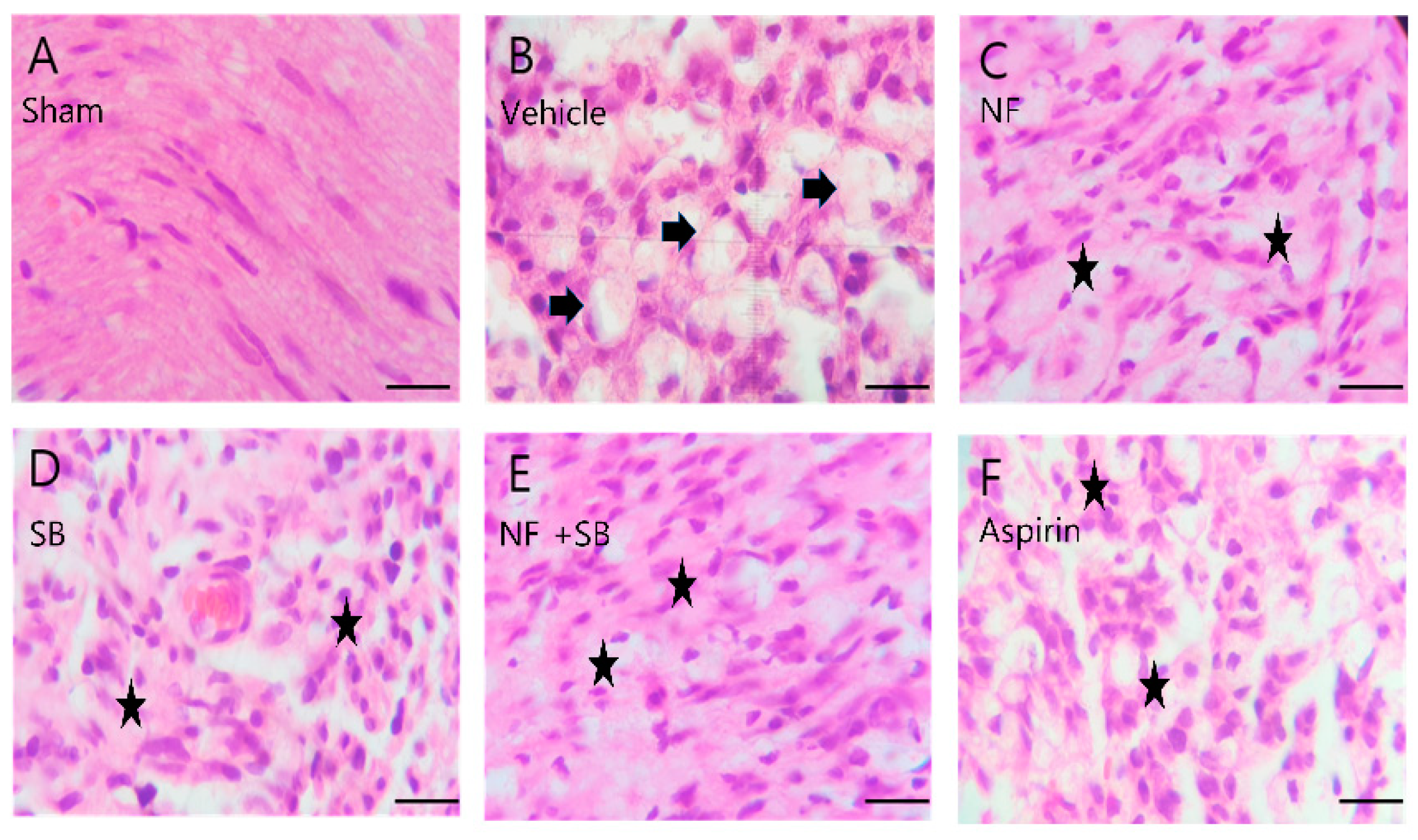
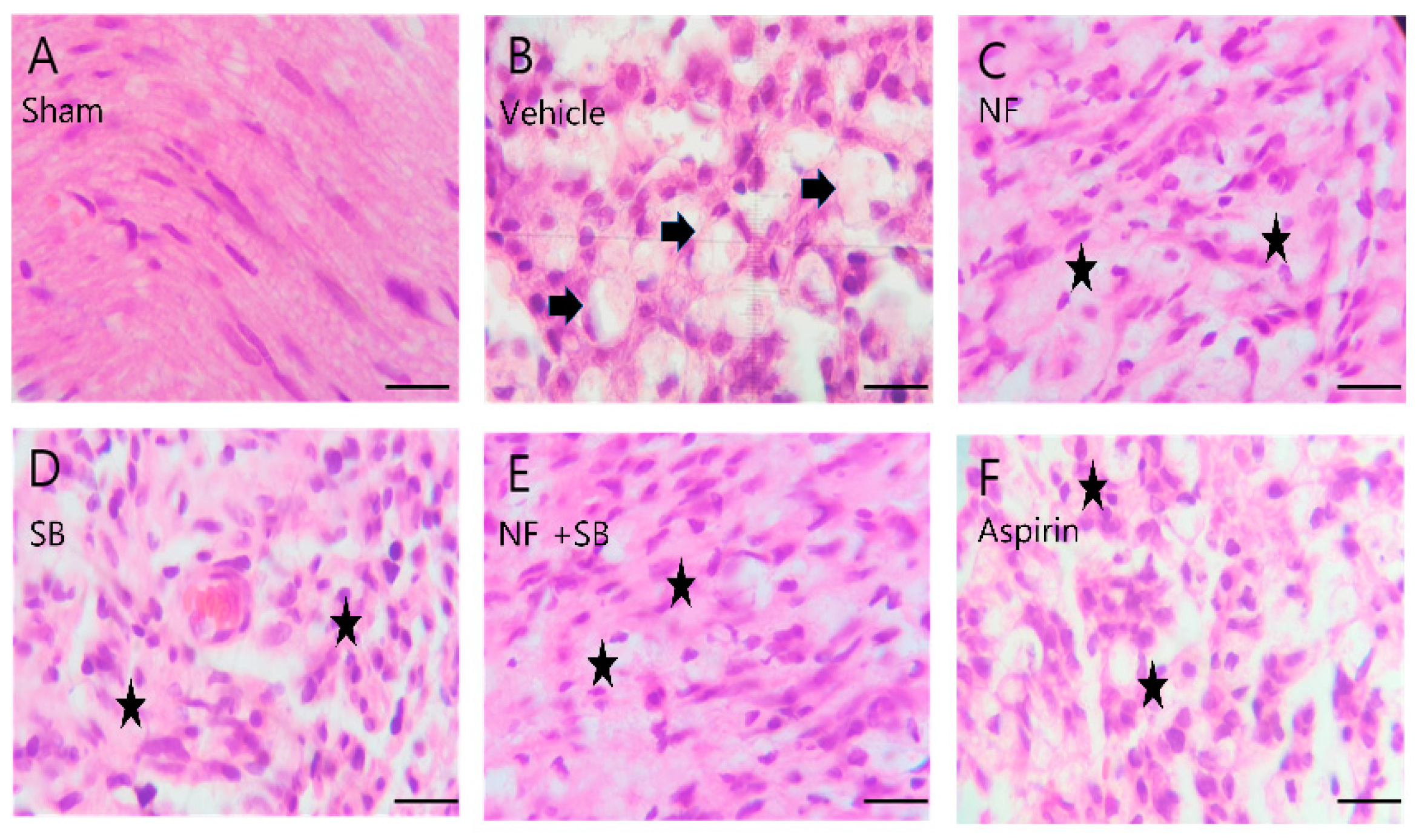
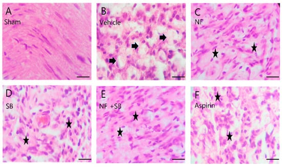
3.4. NF Administration Improved Histopathological Changes in the Sciatic Nerve Crush Injury Models
3.5. NF Downregulates the Expression of iNOS in the Sciatic Nerve Crush Injury Models
3.6. NF Downregulates the Expression of NF-ΚB in the Sciatic Nerve Crush Injury Models
4. Discussion
5. Conclusions
Author Contributions
Funding
Conflicts of Interest
References
- Taylor, C.A.; Braza, D.; Dillingham, T.; Rice, J.B. The incidence of peripheral nerve injury in extremity trauma. Am. J. Phys. Med. Rehabil. 2008, 87, 381–385. [Google Scholar] [CrossRef] [PubMed]
- Roglio, I.; Bianchi, R.; Gotti, S.; Scurati, S.; Giatti, S.; Pesaresi, M.; Caruso, D.; Panzica, G.C.; Melcangi, R.C. Neuroprotective effects of dihydroprogesterone and progesterone in an experimental model of nerve crush injury. Neuroscience 2008, 155, 673–685. [Google Scholar] [CrossRef] [PubMed]
- Boyd, J.G.; Gordon, T. Glial cell line-derived neurotrophic factor and brain-derived neurotrophic factor sustain the axonal regeneration of chronically axotomized motoneurons in vivo. Exp. Neurol. 2003, 183, 610–619. [Google Scholar] [CrossRef]
- Gordon, T.; Sulaiman, O.; Boyd, J.G. Experimental strategies to promote functional recovery after peripheral nerve injuries. J. Peripher. Nerv. Syst. 2003, 8, 236–250. [Google Scholar] [CrossRef] [PubMed]
- Terenghi, G. Peripheral nerve regeneration and neurotrophic factors. J. Anat. 1999, 194, 1–14. [Google Scholar] [CrossRef] [PubMed]
- Labrador, R.O.; Butí, M.; Navarro, X. Influence of Collagen and Laminin Gels Concentration on Nerve Regeneration after Resection and Tube Repair. Exp. Neurol. 1998, 149, 243–252. [Google Scholar] [CrossRef]
- Woolley, A.L.; Hollowell, J.P.; Rich, K.M. Fibronectin-Laminin Combination Enhances Peripheral Nerve Regeneration across Long Gaps. Otolaryngol. Head Neck Surg. 1990, 103, 509–518. [Google Scholar] [CrossRef]
- Al-Majed, A.A.; Neumann, C.M.; Brushart, T.M.; Gordon, T. Brief Electrical Stimulation Promotes the Speed and Accuracy of Motor Axonal Regeneration. J. Neurosci. 2000, 20, 2602–2608. [Google Scholar] [CrossRef]
- Nix, W.A.; Hopf, H.C. Electrical stimulation of regenerating nerve and its effect on motor recovery. Brain Res. 1983, 272, 21–25. [Google Scholar] [CrossRef]
- Al-Bishri, A.; Dahlin, L.; Sunzel, B.; Rosenquist, J. Systemic betamethasone accelerates functional recovery after a crush injury to rat sciatic nerve. J. Oral Maxillofac. Surg. 2005, 63, 973–977. [Google Scholar] [CrossRef]
- Le Prell, C.G.; Hughes, L.F.; Miller, J.M. Free radical scavengers vitamins A, C, and E plus magnesium reduce noise trauma. Free Radic. Biol. Med. 2007, 42, 1454–1463. [Google Scholar] [CrossRef]
- Subbanna, P.K.; Prasanna, C.G.; Gunale, B.K.; Tyagi, M.G. Acetyl salicylic acid augments functional recovery following sciatic nerve crush in mice. J. Brachial. Plex. Peripher. Nerve Inj. 2007, 2, 3. [Google Scholar] [CrossRef] [PubMed][Green Version]
- Zhang, Y.-G.; Sheng, Q.-S.; Wang, H.-K.; Lv, L.; Zhang, J.; Chen, J.-M.; Xu, H. Triptolide improves nerve regeneration and functional recovery following crush injury to rat sciatic nerve. Neurosci. Lett. 2014, 561, 198–202. [Google Scholar] [CrossRef] [PubMed]
- Hussain, G.; Wang, J.; Rasul, A.; Anwar, H.; Qasim, M.; Zafar, S.; Aziz, N.; Razzaq, A.; Hussain, R.; de Aguilar, J.-L.G.; et al. Current Status of Therapeutic Approaches against Peripheral Nerve Injuries: A Detailed Story from Injury to Recovery. Int. J. Biol. Sci. 2020, 16, 116–134. [Google Scholar] [CrossRef] [PubMed]
- Tamunaidu, P.; Saka, S. Chemical characterization of various parts of nipa palm (Nypa fruticans). Ind. Crop. Prod. 2011, 34, 1423–1428. [Google Scholar] [CrossRef]
- Bandaranayake, W.M. Traditional and medicinal uses of mangroves. Mangroves Salt Marshes 1998, 2, 133–148. [Google Scholar] [CrossRef]
- Rahmatullah, M.; Sadeak, S.; Bachar, S.; Hossain, M.T.; al-Mamun, A.; Montaha; Jahan, N.; Chowdhury, M.; Jahan, R.; Nasrin, D.; et al. Brine shrimp toxicity study of different Bangladeshi medicinal plants. Adv. Nat. Appl. Sci. 2010, 4, 163–173. [Google Scholar]
- Prasad, N.; Yang, B.; Kong, K.W.; Khoo, H.E.; Sun, J.; Azlan, A.; Ismail, A.; Romli, Z.B. Phytochemicals and Antioxidant Capacity from Nypa fruticans Wurmb. Fruit. Evid.-Based Complement. Altern. Med. 2013, 2013, 154606. [Google Scholar] [CrossRef]
- Yusoff, N.A.; Yam, M.F.; Beh, H.K.; Abdul Razak, K.N.; Widyawati, T.; Mahmud, R.; Ahmad, M.; Asmawi, M.Z. Antidiabetic and antioxidant activities of Nypa fruticans Wurmb. vinegar sample from Malaysia. Asian Pac. J. Trop. Med. 2015, 8, 595–605. [Google Scholar] [CrossRef]
- Reza, H.; Haq, W.M.; Das, A.K.; Rahman, S.; Jahan, R.; Rahmatullah, M. Anti-Hyperglycemic and Antinociceptive Activity of Methanol Leaf and Stem Extract of Nypa fruticans Wurmb. Pak. J. Pharm. Sci. 2011, 24, 485–488. [Google Scholar]
- Kim, S.H.; Nam, J.S.; Choi, D.K.; Koh, W.W.; Suh, J.H.; Song, J.G.; Shin, J.W.; Leem, J.G. Tumor Necrosis Factor-alpha and Apoptosis Following Spinal Nerve Ligation Injury in Rats. Korean J. Pain 2011, 24, 185–190. [Google Scholar] [CrossRef] [PubMed]
- Kato, K.; Liu, H.; Kikuchi, S.-i.; Myers, R.R.; Shubayev, V.I. Immediate anti-tumor necrosis factor-α (etanercept) therapy enhances axonal regeneration after sciatic nerve crush. J. Neurosci. Res. 2010, 88, 360–368. [Google Scholar] [CrossRef] [PubMed]
- Kaplan, A.A.; Yurt, K.K.; Deniz, Ö.G.; Altun, G. Peripheral nerve and diclofenac sodium: Molecular and clinical approaches. J. Chem. Neuroanat. 2018, 87, 2–11. [Google Scholar] [CrossRef] [PubMed]
- Tedeschi, A.; Dupraz, S.; Laskowski, C.J.; Xue, J.; Ulas, T.; Beyer, M.; Schultze, J.L.; Bradke, F. The Calcium Channel Subunit Alpha2delta2 Suppresses Axon Regeneration in the Adult CNS. Neuron 2016, 92, 419–434. [Google Scholar] [CrossRef] [PubMed]
- Frey, E.; Karney-Grobe, S.; Krolak, T.; DiAntonio, A.; Milbrandt, J. TRPV1 agonist, capsaicin, induces axon outgrowth after injury via Ca2+/PKA signaling. eNeuro 2018, 5. [Google Scholar] [CrossRef]
- Kang, M.S.; Hyun, K.Y. Antinociceptive and anti-inflammatory effects of Nypa fruticans wurmb by suppressing TRPV1 in the sciatic neuropathies. Nutrients 2020, 12, 135. [Google Scholar] [CrossRef]
- Kalender, A.M.; Dogan, A.; Bakan, V.; Yildiz, H.; Gokalp, M.A.; Kalender, M. Effect of Zofenopril on regeneration of sciatic nerve crush injury in a rat model. J. Brachial. Plex. Peripher. Nerve Inj. 2009, 4, 6. [Google Scholar] [CrossRef]
- Varga, A.; Németh, J.; Szabó, Á.; McDougall, J.J.; Zhang, C.; Elekes, K.; Pintér, E.; Szolcsányi, J.; Helyes, Z. Effects of the novel TRPV1 receptor antagonist SB366791 in vitro and in vivo in the rat. Neurosci. Lett. 2005, 385, 137–142. [Google Scholar] [CrossRef]
- Xu, G.Y.; Winston, J.H.; Shenoy, M.; Yin, H.; Pendyala, S.; Pasricha, P.J. Transient Receptor Potential Vanilloid 1 Mediates Hyperalgesia and Is Up-Regulated in Rats With Chronic Pancreatitis. Gastroenterology 2007, 133, 1282–1292. [Google Scholar] [CrossRef]
- Kanai, Y.; Hara, T.; Imai, A.; Sakakibara, A. Differential involvement of TRPV1 receptors at the central and peripheral nerves in CFA-induced mechanical and thermal hyperalgesia. J. Pharm. Pharmacol. 2007, 59, 733–738. [Google Scholar] [CrossRef]
- Chen, Y.; Geis, C.; Sommer, C. Activation of TRPV1 Contributes to Morphine Tolerance: Involvement of the Mitogen-Activated Protein Kinase Signaling Pathway. J. Neurosci. 2008, 28, 5836–5845. [Google Scholar] [CrossRef] [PubMed]
- Bain, J.R.; Mackinnon, S.E.; Hunter, D.A. Functional evaluation of complete sciatic, peroneal, and posterior tibial nerve lesions in the rat. Plast. Reconstr. Surg. 1989, 83, 129–138. [Google Scholar] [CrossRef] [PubMed]
- Varejão, A.S.P.; Meek, M.F.; Ferreira, A.J.A.; Patrício, J.A.B.; Cabrita, A.M.S. Functional evaluation of peripheral nerve regeneration in the rat: Walking track analysis. J. Neurosci. Methods 2001, 108, 1–9. [Google Scholar] [CrossRef]
- Wong, J.M.; Billiar, T.R. Regulation and Function of Inducible Nitric Oxide Synthase during Sepsis and Acute Inflammation. In Advances in Pharmacology; Ignarro, L., Murad, F., Eds.; Academic Press: Cambridge, MA, USA, 1995; Volume 34, pp. 155–170. [Google Scholar]
- Levy, D.; Zochodne, D.W. Local nitric oxide synthase activity in a model of neuropathic pain. Eur. J. Neurosci. 1998, 10, 1846–1855. [Google Scholar] [CrossRef]
- Levy, D.; Höke, A.; Zochodne, D.W. Local expression of inducible nitric oxide synthase in an animal model of neuropathic pain. Neurosci. Lett. 1999, 260, 207–209. [Google Scholar] [CrossRef]
- González-Hernández, T.; Rustioni, A. Expression of three forms of nitric oxide synthase in peripheral nerve regeneration. J. Neurosci. Res. 1999, 55, 198–207. [Google Scholar] [CrossRef]
- Tak, P.P.; Firestein, G.S. NF-κB: A key role in inflammatory diseases. J. Clin. Investig. 2001, 107, 7–11. [Google Scholar] [CrossRef]
- Yamamoto, Y.; Gaynor, R.B. Therapeutic potential of inhibition of the NF-κB pathway in the treatment of inflammation and cancer. J. Clin. Investig. 2001, 107, 135–142. [Google Scholar] [CrossRef]
- Baeuerle, P.A.; Baltimore, D. IκB: A specific inhibitor of the NF-κB transcription factor. Science 1988, 242, 540–546. [Google Scholar] [CrossRef]
- Ghosh, S.; May, M.J.; Kopp, E.B.; Ghosh, S.; May, M.J.; Kopp, E.B. NF-κB and rel proteins: Evolutionarily conserved mediators of immune responses. Annu. Rev. Immunol. 1998, 16, 225–260. [Google Scholar] [CrossRef]
- May, M.J.; Ghosh, S. Rel/NF-κB and IκB proteins: An overview. Semin. Cancer Biol. 1997, 8, 63–73. [Google Scholar] [CrossRef] [PubMed]
- Zakir, H.M.; Masuda, Y.; Kitagawa, J. A novel approach for detection of functional expression of TRPV1 channels on regenerated neurons following nerve injury. J. Oral Sci. 2020, 62, 136–139. [Google Scholar] [CrossRef] [PubMed]
- Akpinar, H.; Naziroglu, M.; Ovey, I.S.; Cig, B.; Akpinar, O. The neuroprotective action of dexmedetomidine on apoptosis, calcium entry and oxidative stress in cerebral ischemia-induced rats: Contribution of TRPM2 and TRPV1 channels (vol 6, 37196, 2016). Sci. Rep. 2018, 8, 2. [Google Scholar] [CrossRef] [PubMed]
- Pecze, L.; Blum, W.; Schwaller, B. Mechanism of capsaicin receptor TRPV1-mediated toxicity in pain-sensing neurons focusing on the effects of Na+/Ca2+ fluxes and the Ca2+-binding protein calretinin. Biochim. Biophys. Acta (Bba) Mol. Cell Res. 2013, 1833, 1680–1691. [Google Scholar] [CrossRef]
- Naziroglu, M. TRPV1 Channel: A Potential Drug Target for Treating Epilepsy. Curr. Neuropharmacol. 2015, 13, 239–247. [Google Scholar] [CrossRef]
- Uslusoy, F.; Nazıroğlu, M.; Çiğ, B. Inhibition of the TRPM2 and TRPV1 Channels through Hypericum perforatum in Sciatic Nerve Injury-induced Rats Demonstrates their Key Role in Apoptosis and Mitochondrial Oxidative Stress of Sciatic Nerve and Dorsal Root Ganglion. Front. Physiol. 2017, 8. [Google Scholar] [CrossRef]
- Matsumoto, K.; Takagi, K.; Kato, A.; Ishibashi, T.; Mori, Y.; Tashima, K.; Mitsumoto, A.; Kato, S.; Horie, S. Role of transient receptor potential melastatin 2 (TRPM2) channels in visceral nociception and hypersensitivity. Exp. Neurol. 2016, 285, 41–50. [Google Scholar] [CrossRef]
- Szigeti, C.; Sántha, P.; Körtvély, E.; Nyári, T.; Horváth, V.J.; Deák, É.; Dux, M.; Gulya, K.; Jancsó, G. Disparate changes in the expression of transient receptor potential vanilloid type 1 receptor mRNA and protein in dorsal root ganglion neurons following local capsaicin treatment of the sciatic nerve in the rat. Neuroscience 2012, 201, 320–330. [Google Scholar] [CrossRef]
- Frederick, J.; Buck, M.E.; Matson, D.J.; Cortright, D.N. Increased TRPA1, TRPM8, and TRPV2 expression in dorsal root ganglia by nerve injury. Biochem Biophys Res. Commun 2007, 358, 1058–1064. [Google Scholar] [CrossRef]
- De Petrocellis, L.; Moriello, A.S. Modulation of the TRPV1 channel: Current clinical trials and recent patents with focus on neurological conditions. Recent Pat. CNS Drug Discov. 2013, 8, 180–204. [Google Scholar] [CrossRef]
- Dijkstra, J.R.; Meek, M.F.; Robinson, P.H.; Gramsbergen, A. Methods to evaluate functional nerve recovery in adult rats: Walking track analysis, video analysis and the withdrawal reflex. J. Neurosci. Methods 2000, 96, 89–96. [Google Scholar] [CrossRef]
- Shen, N.; Zhu, J. Application of sciatic functional index in nerve functional assessment. Microsurgery 1995, 16, 552–555. [Google Scholar] [CrossRef] [PubMed]
- Dellon, A.L.; Mackinnon, S.E. Selection of the appropriate parameter to measure neural regeneration. Ann. Plast Surg 1989, 23, 197–202. [Google Scholar] [CrossRef] [PubMed]
- Lin, T.; Qiu, S.; Yan, L.; Zhu, S.; Zheng, C.; Zhu, Q.; Liu, X. Miconazole enhances nerve regeneration and functional recovery after sciatic nerve crush injury. Muscle Nerve 2018, 57, 821–828. [Google Scholar] [CrossRef] [PubMed]
- Maryam, H.; Mohammad, F.; Mohammad Kazem, G.-N.; Alireza, S. Gallic acid and exercise training improve motor function, nerve conduction velocity but not pain sense reflex after experimental sciatic nerve crush in male rats. Avicenna J. Phytomed. 2015, 5, 288–297. [Google Scholar]
- Gümüs, B.; Kuyucu, E.; Bora, O.A.; Erbas, O.; Kazimoglu, C.; Oltulu, F. Effect of oxytocin administration on nerve recovery in the rat sciatic nerve damage model. J. Orthop. Surg. Res. 2015, 10, 1–6. [Google Scholar] [CrossRef]
- Tamaddonfard, E.; Kazemi-Shojaei, S.; Erfanparast, A.; Taati, M.; Dabbaghi, M.; Escort, M.; Farshid, A.A.; Maroufi, S.; Asri-Rezaei, S. Effects of safranal, a constituent of saffron, and vitamin e on nerve functions and histopathology following crush injury of sciatic nerve in rats. Phytomedicine 2014, 21, 717–723. [Google Scholar] [CrossRef]
- Bridge, P.M.; Ball, D.J.; Mackinnon, S.E.; Nakao, Y.; Brandt, K.; Hunter, D.A.; Hertl, C. Nerve crush injuries-a model for axonotmesis. Exp. Neurol. 1994, 127, 284–290. [Google Scholar] [CrossRef]
- Hu, X.; Huang, J.; Ye, Z.; Xia, L.; Li, M.; Luo, Z.; Lv, B.; Shen, X. A novel scaffold with longitudinally oriented microchannels promotes peripheral nerve regeneration. Tissue Eng. Part. A 2009, 15, 3297–3308. [Google Scholar] [CrossRef]
- Shubayev, V.I.; Myers, R.R. Endoneurial remodeling by TNFα and TNFα-releasing proteases. A spatial and temporal co-localization study in painful neuropathy. J. Peripher. Nerv. Syst. 2002, 7, 28–36. [Google Scholar] [CrossRef]
- Shamash, S.; Reichert, F.; Rotshenker, S. The Cytokine Network of Wallerian Degeneration: Tumor Necrosis Factor-α, Interleukin-1α, and Interleukin-1β. J. Neurosci. 2002, 22, 3052. [Google Scholar] [CrossRef] [PubMed]
- Schäfers, M.; Geis, C.; Brors, D.; Yaksh, T.L.; Sommer, C. Anterograde Transport of Tumor Necrosis Factor-α in the Intact and Injured Rat Sciatic Nerve. J. Neurosci. 2002, 22, 536. [Google Scholar] [CrossRef] [PubMed]
- Shubayev, V.I.; Myers, R.R. Upregulation and interaction of TNFα and gelatinases A and B in painful peripheral nerve injury. Brain Res. 2000, 855, 83–89. [Google Scholar] [CrossRef]
- Smith, D.; Tweed, C.; Fernyhough, P.; Glazner, G.W. Nuclear factor-kappaB activation in axons and Schwann cells in experimental sciatic nerve injury and its role in modulating axon regeneration: Studies with etanercept. J. Neuropathol. Exp. Neurol. 2009, 68, 691–700. [Google Scholar] [CrossRef] [PubMed]
- Li, L.; Luo, W.; Qian, Y.; Zhu, W.; Qian, J.; Li, J.; Jin, Y.; Liang, G.; Xu, X. Luteolin protects against diabetic cardiomyopathy by inhibiting NF-κB-mediated inflammation and activating the Nrf2-mediated antioxidant responses. Phytomedicine 2019, 59, 152774. [Google Scholar] [CrossRef]
- Iskender, H.; Dokumacioglu, E.; Sen, T.M.; Ince, I.; Kanbay, Y.; Saral, S. The effect of hesperidin and quercetin on oxidative stress, NF-κB and SIRT1 levels in a STZ-induced experimental diabetes model. Biomed. Pharmacother. 2017, 90, 500–508. [Google Scholar] [CrossRef]
- Zhang, H.H.; Hu, J.; Zhou, Y.L.; Qin, X.; Song, Z.Y.; Yang, P.P.; Hu, S.; Jiang, X.; Xu, G.Y. Promoted interaction of nuclear factor-κB with demethylated purinergic P2X3 receptor gene contributes to neuropathic pain in rats with diabetes. Diabetes 2015, 64, 4272–4284. [Google Scholar] [CrossRef]
- Ozdemir, U.S.; Naziroglu, M.; Senol, N.; Ghazizadeh, V. Hypericum perforatum Attenuates Spinal Cord Injury-Induced Oxidative Stress and Apoptosis in the Dorsal Root Ganglion of Rats: Involvement of TRPM2 and TRPV1 Channels. Mol. Neurobiol. 2016, 53, 3540–3551. [Google Scholar] [CrossRef]
- Rogoz, K.; Stjärne, L.; Kullander, K.; Lagerström, M.C. Vglut2 controls heat and punctuate hyperalgesia associated with nerve injury via TRPV1-Cre primary afferents. PLoS ONE 2015, 10, e0116568. [Google Scholar] [CrossRef]
- Vanotti, A.; Osio, M.; Mailland, E.; Nascimbene, C.; Capiluppi, E.; Mariani, C. Overview on pathophysiology and newer approaches to treatment of peripheral neuropathies. CNS Drugs 2007, 21, 3–12. [Google Scholar] [CrossRef]
- Chen, C.W.; Wu, W.T.; Fu, W.M.; Lin, W.W.; Lee, S.T.; Ho, F.M. Signal transduction for inhibition of inducible nitric oxide synthase and cyclooxygenase-2 induction by capsaicin and related analogs in macrophages. Br. J. Pharmacol. 2003, 140, 1077–1087. [Google Scholar] [CrossRef] [PubMed]
- Zhang, B.Y.; Zhang, Y.L.; Sun, Q.; Zhang, P.A.; Wang, X.X.; Xu, G.Y.; Hu, J.; Zhang, H.H. Alpha-lipoic acid downregulates TRPV1 receptor via NF-κB and attenuates neuropathic pain in rats with diabetes. CNS Neurosci. Ther. 2020, 26, 762–772. [Google Scholar] [CrossRef] [PubMed]








© 2020 by the authors. Licensee MDPI, Basel, Switzerland. This article is an open access article distributed under the terms and conditions of the Creative Commons Attribution (CC BY) license (http://creativecommons.org/licenses/by/4.0/).
Share and Cite
Kang, M.-S.; Lee, G.-H.; Choi, G.-E.; Yoon, H.-G.; Hyun, K.-Y. Neuroprotective Effect of Nypa fruticans Wurmb by Suppressing TRPV1 Following Sciatic Nerve Crush Injury in a Rat. Nutrients 2020, 12, 2618. https://doi.org/10.3390/nu12092618
Kang M-S, Lee G-H, Choi G-E, Yoon H-G, Hyun K-Y. Neuroprotective Effect of Nypa fruticans Wurmb by Suppressing TRPV1 Following Sciatic Nerve Crush Injury in a Rat. Nutrients. 2020; 12(9):2618. https://doi.org/10.3390/nu12092618
Chicago/Turabian StyleKang, Mi-Sun, Gil-Hyun Lee, Go-Eun Choi, Hae-Gyung Yoon, and Kyung-Yae Hyun. 2020. "Neuroprotective Effect of Nypa fruticans Wurmb by Suppressing TRPV1 Following Sciatic Nerve Crush Injury in a Rat" Nutrients 12, no. 9: 2618. https://doi.org/10.3390/nu12092618
APA StyleKang, M.-S., Lee, G.-H., Choi, G.-E., Yoon, H.-G., & Hyun, K.-Y. (2020). Neuroprotective Effect of Nypa fruticans Wurmb by Suppressing TRPV1 Following Sciatic Nerve Crush Injury in a Rat. Nutrients, 12(9), 2618. https://doi.org/10.3390/nu12092618

