Abstract
Fish waste accounts for almost one-third of the total fish production annually. The main objective of this study was to upcycle fish by-products to produce biodegradable packaging materials. Fish protein concentrate (FPC) was extracted from gilthead seabream by-catch (flesh and skin). FPC (3%) and gelatin (3%) were used to produce film-forming solutions. The films were produced according to the solvent casting method. The produced films were tested as packaging materials via the determination of different film properties. The wettability of the packaging materials was characterized based on the determination of the contact angle. Water vapor permeability was evaluated using the ASTM E96/E96M standardized method. The evaluation of mechanical properties was based on the Young’s modulus, tensile strength, and elongation at break. Color was measured using a CIELab system. The incorporation of FPC into the produced membranes resulted in a reduced contact angle from 108.5° to 90.6°; however, both films were characterized as hydrophobic materials. Films supplemented with FPC had lower tensile strength values compared to pure gelatin films, but higher elongation values without statistically significant differences. The color parameters (L,a,b) indicated that gelatin films and FPC–gelatin films were colorless and transparent (L > 90), an important parameter for food packaging materials. The production of biodegradable packaging materials from FPC and gelatin may effectively reduce petroleum-based plastics under the circular economy model.
1. Introduction
During recent years, fish production and consumption have increased rapidly. Fish is a rich source of long chain polysaturated n-3 fatty acids, proteins and specific vitamins and minerals such as vitamin D, phosphorous and calcium [1]. Fish mainly consists of 15–30% protein, 0–25% fat, and 50–80% moisture. Fish composition is mainly dependent on the species and age of fish [2]. According to the Food and Agriculture Organization of the United Nations, in 2030, aquatic food production is expected to be 202 million tons, and the quantity of aquatic food produced for human consumption is predicted to increase by 24 million tons compared to 2020 [3]. As a result, the amount of fish waste is predicted increase, and thus crucial environmental issues will need to be addressed. Under the context of economic growth and the circular economy, fish by-products should be managed to control environmental issues and obtain value-added products [4].
Fish losses are reported at every stage through the supply chain, from fish farming and primary production up to the consumption level. The amount of fish lost is attributed to the highly perishable nature of aquatic products [3]. Also, after being caught, before fish is available on the market, it undergoes several processing steps, where large quantities of waste are created. This amount represents around 20–80% of the total fish caught depending on the level of processing, fish species, size, and shape. The losses involve muscles (15–20%), viscera (12–18%), bones (9–15%), heads (9–12%), and skin (1–3%) [5]. Fish waste is mainly composed of 58% protein, 19% fat, 22% monosaturated acids, palmitic acid, oleic acid, and minerals. Fish flesh consists of myofibrillar and sarcoplasmic proteins, while fish skin and bones consist of gelatin and collagen. These types of proteins may be utilized in food, biomedical and cosmetic production [4]. Additionally, according to the literature, the new tendency is to produce zero agricultural wastes or utilize them as high-added-value products with acceptable quality [6].
Global plastic waste management is expected to grow from USD 34.13 billion (2021) to USD 41.39 billion by 2026, which represents a compound annual growth rate (CAGR) of 4.09%. Plastic waste management seeks to replace petroleum-based plastics with plastics made from recyclable materials or bioplastics with lower environmental impact. Within this context, fish protein concentrates (FPC) can be used as a primary material to synthesize biodegradable or edible packaging materials [7]. Advanced packaging technologies are being employed to create not only recycled materials but also utilize safe and sustainable natural resources that were previously considered waste, such as certain types of extracted gelatin and fish protein concentrate. These technologies aim to reduce the environmental impact of plastic and efficiently utilize by-products with valuable resources [8]. Edible packaging is a promising type of biodegradable packaging that apart from reducing the required amount of conventional packaging materials can also enhance the shelf life of packed food by controlling the moisture and gas exchanges between the food and the environment and delaying microbial growth. Edible films can be produced by polysaccharides, proteins, or lipids separately or by combining different types of biopolymers [9].
Even though edible or biodegradable films can be synthesized by polysaccharides, proteins and lipids, recent studies focus on protein sources as the most promising ones. Protein-based films are superior in terms of their mechanical properties (compared to the respective films composed of polysaccharides and lipids). Moreover, proteins are synthesized from 20 different amino acids, and they have a unique structure that provides a variety of functional properties. Proteins are considered as natural polymers, composed of amino acids in several types and proportions connected under different structures [10].
Gelatin is a water-soluble protein isolated by means of the partial hydrolysis of collagen. It is odorless and it comprises rigid rod-shaped molecules aggregated in fibers through covalent bonds. In recent years, gelatin isolated from fish has raised interest due to its high concentration of essential amino acids for human nutrition, including proline, glycine, and valine [11]. The value of the global fish gelatin market was estimated at USD 276.1 million in 2020 and is expected to reach USD 496.3 million by 2030. This increase corresponds to a CAGR of 6.1% for the period 2021–2030 [12]. The primary weakness of fish gelatin is its rheological characteristics. For this reason, fish gelatin is considered less stable than mammalian gelatin, such as gelatin of porcine and bovine origin [11]. Ibrahim et al. (2021) extracted gelatin from white calfskin shavings via alkaline hydrolysis and the chemical composition of extracted gelatin was studied through Fourier transform infrared spectroscopy. The results showed the strong presence of carbonyl and amide groups in the structure of gelatin. This extracted gelatin has the ability to form biofilms which were characterized as safe and green packaging materials [8].
Fish proteins have special characteristics, and their incorporation into a polymer matrix can change the functional properties of the polymer. Fish gelatin can absorb water, forming gels. FPC is isolated from fish flesh by removing water and oil and is considered as a safe for human consumption proteinous product. The final isolated FPC has a high concentration of protein and low amounts of ash and water. The low level of oil in FPC is important because the slight fishy odor and taste often occur in the final product [13]. FPC is a source of digestible nutrient ingredients, such as amino acids. The quality of the raw materials that will be used to isolate the FPC influences the quality of the final extracted protein [14].
FPC is able to form a continuous matrix and synthesize biodegradable or edible packaging materials. The matrix of the film depends on the chemical reactions which occurred in the matrix during the film-forming process. The chemical reactions are influenced by protein concentration, temperature, and the type of plasticizer (if added). When plasticizer is added to the polymer, the three-dimensional structure is modified, free volume and chain mobility increase, but intermolecular forces become lower. By heating, SH groups are exposed, intra- and intermolecular thiol/disulfide (SH/S-S) or thiol/thiol (SH/SH) bonds occur, and hydrophobic groups are exposed. As a result, the three-dimensional structure of the protein is altered [10].
The aim of this study was the extraction of fish protein concentrate from the flesh and skin of sea bream (Sparus aurata) by-catch and its utilization to produce biodegradable packaging materials in combination with gelatin. The produced films were characterized in terms of their applicability as packaging materials.
2. Materials and Methods
2.1. Materials
Discarded fish samples (gilthead seabream, Sparus aurata) were obtained from Philosofish (Larimna, Greece) and stored at −40 °C until their use for protein extraction. Gelatin was provided by AppliChem GmbH (Darmstadt, Germany) with a viscosity of 7.0–10.0 CS for 10 g/100 mL solution at 30 °C. Phosphoric acid (H3PO4) 85% and CAS number 7664-38-2 were provided by Penta Chemicals Unlimited, and isopropyl alcohol (≥99.8%, Honeywell, cas number: 67-63-0) was used for protein isolation from fish flesh and skin. For the additional extraction of lipids, isopropyl alcohol (99%) and hexane (99%, provided by Carlo Erba, Val de Reuil, France) were used.
2.2. Isolation of Fish Protein Concentrate (FPC)
The FPC was extracted from gilthead seabream flesh and skin according to the Canadian method with slight modifications [15]. Fish tissue was ground and acidified using H3PO4 (pH = 5.5) to achieve the solubilization of protein. The ground fish with the triple volume of acid solution was stirred for 30 min at 80 °C with a magnetic stirrer at 1200 rpm. The solution was filtrated, and the residue was washed with distilled water at 56 °C until the sediment became odorless. For lipid extraction, a double volume of isopropyl alcohol was added and stirred for 15 min at 8000 rpm and 25 °C. The solvent was removed via centrifugation at 9000 rpm and 4 °C for 10 min. The sediment was collected, weighed, and divided into two parts. The first part was packed in plastic bags under vacuum and was stored at 4 °C (fresh FPC). The second part was dried in an air oven at 33 °C for 24 h. The dried material was broken into smaller granules with mortar and was packed in plastic bags under vacuum and stored at 4 °C.
2.3. FPC Solubilization and Sodium Dodecyl Sulfate-Polyacrylamide Gel Electrophoresis (SDS-PAGE)
Attempts to dissolve FPC granules in water failed, and thus an SDS-urea-containing solution was employed [16]. For each of the two treatments (drying under room temperature and drying in the air oven), a portion of FPC granules were weighed out and dissolved in 2% SDS-8 M urea in 20 mM Tris-HCl pH 8.8, using mechanical assistance and ultrasound. Two different dilutions were prepared, 20 μg/μL and 1 μg/μL. To perform SDS-PAGE, 19 μL of each FPC dilution was mixed with 4 μL of 6X Laemmli solution (60% glycerol, 12% SDS, 0.06% bromophenol blue, 0.375 M Tris pH 6.8) [17], 1 μL of β-mercaptoethanol was added, or not, to each sample and the samples were incubated at 95 °C for 5 min. Then, the samples were loaded on a denaturing discontinuous gel with an upper 4% stacking part and a lower 12% resolving part. The Precision Plus Protein Dual Color Standard (Biorad, Hercules, CA, USA) was used as a marker of the molecular weights. A total mass of 1.9 μg of bovine serum albumin (BSA) protein (Biolabs, Boston, MA, USA) was also loaded on the gel to record the sensitivity of the staining procedure. After SDS-PAGE, gels were stained using InstantBlue Protein Stain (Expedeon, Cambridge, UK) for 30 min at room temperature under shaking to visualize proteins. Images were obtained after scanning of the gels.
2.4. Lipid Extraction from Fresh FPC
The first part from the isolation of FPC (fresh FPC) was used for an additional extraction of lipids for efficient protein isolation. The extraction of lipids was conducted according to Hara and Radin (1978) with slight modifications. The sediment was dissolved in a double volume of hexane/isopropyl alcohol (3:2) and mixed gently at room temperature. After filtration, the solid residue was left in 40 mL of solution hexane/isopropyl alcohol (3:2) for 2 min. This procedure was repeated three times. The solid residue was dried in an air oven at 50 °C for 72 h. The dried material was broken into smaller granules with mortar and used directly after its extraction (white FPC) [18].
2.5. Film Forming Solutions
The films were produced according to the solvent casting method. In this process, 3 g/100 mL FPC or 3 g/100 mL wFPC was dissolved into a buffer solution of HCl (pH = 3), and the solution was stirred at 74 °C for 30 min. Then, 30 mL or 100 mL glycerol was added, and the solution was stirred for 30 min at 35 °C. The solution was centrifugated for 10 min at 4 °C and 9000 rpm and the solid residue was removed. Then, 3 g/100 mL of gelatin was dissolved into water and stirred for 30 min at 35 °C. Glycerol was added to the film-forming solutions as a plasticizer. The solutions were mixed at ratios of 1:1 or 2:1 and the final solution was poured into plastic Petri dishes. The dishes were placed in the oven at 50 °C for 48 h. Pure gelatin films were synthesized as control films. Five types of films were produced: gelatin; FPC: gelatin 1:1 (FPC/G 1:1); FPC/gelatin 2:1 (FPC/G 2:1); white FPC/gelatin 1:1 (wFPC/G 1:1); and white FPC/gelatin 2:1 (wFPC/G 2:1). The films were stored under vacuum at room temperature (25 °C) [19].
2.6. Protein, Lipid and Moisture Content of Fish Tissues and FPC
Fish tissues and FPC samples were analyzed for moisture, protein and fat content according to AOAC (1995) [20]. Crude protein content was evaluated by the Kjeldahl method (N × 6.25) and crude fat using the Soxhlet extraction with petroleum ether.
2.7. Thickness and Mechanical Properties
The Young’s modulus, tensile strength, and elongation at break were measured according to ASTM D882 using Instron 3400 (Norwood, MA, USA) with a load of 50 N. Strips (9 cm × 1 cm) were cut from each type of film to measure mechanical properties. The test was conducted at room temperature with a speed of 0.83 mm/s. The Young’s modulus and tensile strength were expressed in MPa, and elongation at break was expressed as a percentage (%). All types of films were measured in 12 replicates. The average thickness of the film strip was measured to estimate the cross-sectional area of the sample [21].
2.8. Water Vapor Permeability (WVP) and Water Vapor Transmission Rate (WVTR)
WVTR was determined according to the ASTM E96 Method with slight modifications. Films were sealed on the top of 25 mL glass vials filled with 2 g of anhydrous CaCl2 (0% RH). The vials were placed into the desiccator containing BaCl2 (90% RH). The desiccator was placed into the chamber at control temperature at 25 °C. WVTR was determined gravimetrically by weighing the daily weight gain of vials as a function of time. All films were measured in 5 replicates. The WVTR (g/day·m2) and WVP (g·mm/kPa·day·m2) were calculated according to the following equations:
where is the weight gain of the vials as a function of time (g/day), and A is the area of the exposed surface (m2).
2.9. Color
The color parameters of the films were measured according to the CIELAB system with a colorimeter (Eye-one Pro, X-Rite, Grand Rapids, MI, USA). The parameters that were measured were L (lightness), a (greenness/redness) and b (yellowness/blueness) values. The total color variation (ΔΕ) was calculated using Equation (3):
where ΔL, Δa and Δb represent the differences between the corresponding color parameter of the sample and the values of a white standard. The four parameters were measured in 10 replicates and the results were presented as mean ± standard deviation.
2.10. Contact Angle
Contact angle was measured by using Theta Flow Optical Tensiometer (Biolin Scientific, Gothenburg, Sweden) according to the ASTM D5946 method [23], using the sessile drop technique. Two microliters of distilled water was dropped on the surface of films and the contact angle was measured at 6 different points.
2.11. Statistical Analysis
The statical analysis of the data was performed through analysis of variance (ANOVA) using the Statigraphics program (XVII, 2014). The differences between means were evaluated using Tukey’s multiple range test (p < 0.05). The results were expressed as the mean ± standard deviation.
3. Results and Discussion
3.1. Protein, Lipid, and Moisture Content of Raw Fish Residues and FPC
Fish discards were used as the raw material to isolate protein and produce fish protein concentrates. The percentage of protein, lipid, and moisture contents of fish and FPC are presented in Table 1.
Table 1.
Protein, lipid and moisture contents of raw fish residues and fish protein concentrate (FPC).
According to the literature, the composition of gilthead sea bream by-products varies in the different parts of the fish. In the present study, skin and flesh were used to isolate proteins. In the literature, the moisture content in fish skin has been reported as 45.11%, the fat content has been reported as 26.78% and the protein content has been reported as 24.78%. The moisture content of muscle was higher, equal to 69.07%, while the fat and protein content was 7.86% and 21.05%, respectively [2].
3.2. SDS-PAGE Profile of the Isolated Raw Fish Proteins
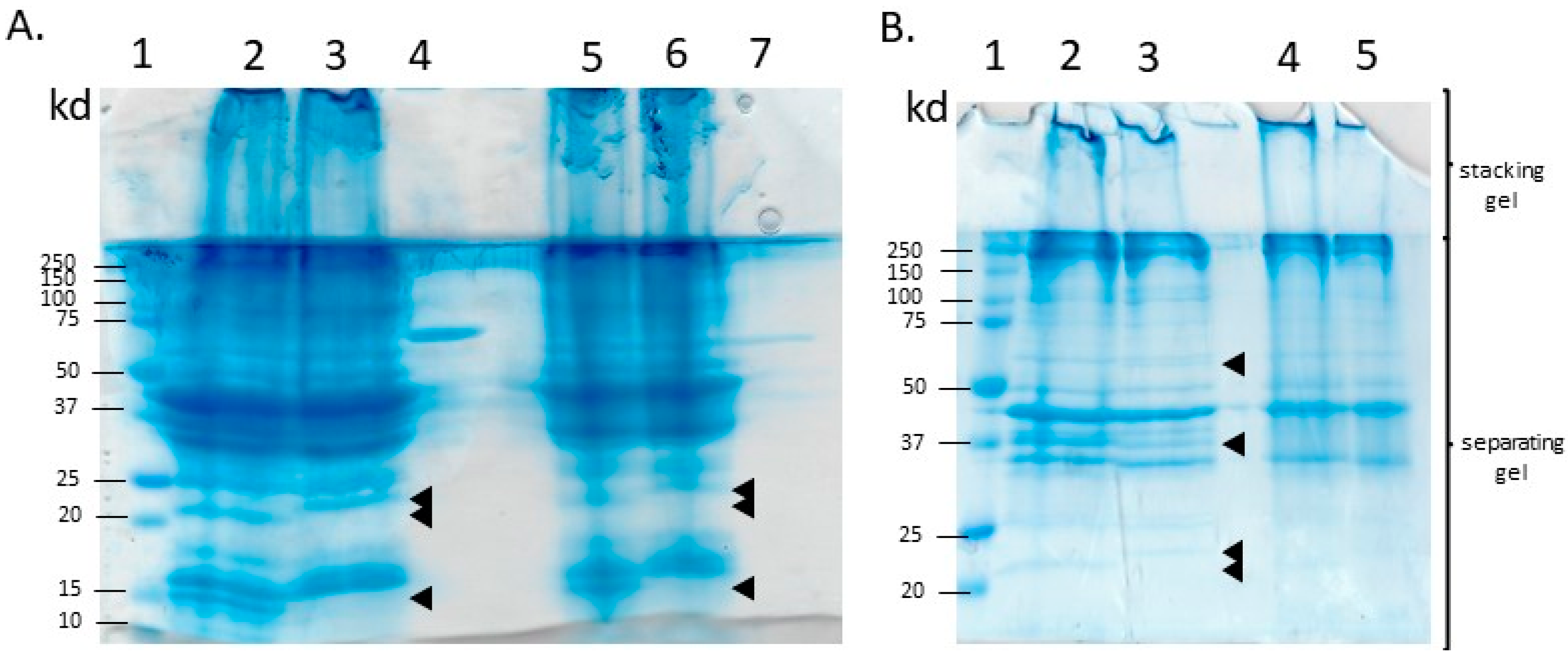
The obtained FPC granules were undissolved in water and were larger and more rigid in the case of oven-drying. FPC granules were dissolved efficiently in the SDS-urea solution. As S-S bonds of proteins may contribute to the texture of FPC granules, prior to SDS-PAGE, the samples were treated or not with the reducing agent, β-mercaptoethanol. For a better profiling of high- and low-molecular-weight proteins, 40 μg and 300 μg of protein were used, respectively, per lane of the gel. After electrophoresis, proteins were visualized using a Coomassie-based staining [24]. As shown in Figure 1, a protein portion of each sample did not enter the stacking gel and remained in the wells while, from the proteins that entered the stacking gel, a portion failed to enter the separating gel. However, most proteins were successfully separated based on their molecular weight. No significant differences were observed between the mercaptoethanol-treated and the non-mercaptoethanol-treated samples of the room- or the oven-dried FPCs, at least for the low-molecular-weight proteins. In contrast, significant differences were observed between the room- and the oven-dried FPCs, irrespective of mercaptoethanol treatment. Most of these differences were related to proteins of low molecular weight, possibly because of the better separation of proteins of these weights. As the arrowheads indicated, specific protein bands were missing or ran differently in the case of the oven-dried FPC.
Figure 1.
SDS-PAGE of room- and oven-temperature dried FPCs, under reducing and non-reducing conditions. (A) Approximately 300 μg of protein of FPC was loaded in each lane. Lane 1: Marker of molecular weights (kd). Lane 2: Mercaptoethanol-treated room-dried FPC. Lane 3: Mercaptoethanol-treated oven-dried FPC. Lane 4: Mercaptoethanol-treated bovine serum albumin (BSA) (1.9 μg). Lane 5: Non-mercaptoethanol-treated room-dried FPC. Lane 6: Non-mercaptoethanol-treated oven-dried FPC. Lane 7: Non-mercaptoethanol-treated bovine serum albumin (BSA) (1.9 μg). (B) About 40 μg of protein of FPC was loaded in each lane. Lane 1: Marker of molecular weights (kd). Lane 2: Mercaptoethanol-treated room-dried FPC. Lane 3: Mercaptoethanol-treated oven-dried FPC. Lane 4: Non-mercaptoethanol-treated room-dried FPC. Lane 5: Non-mercaptoethanol-treated oven-dried FPC. Arrowheads indicate differences in the protein profiles between room- and oven-temperature dried FPCs.
3.3. Thickness and Mechanical Properties
The thickness and the mechanical properties of the produced films are presented in Table 2. The Young’s modulus, tensile strength, and elongation at break are the main parameters of packaging materials, as they indicate the protection and the resistance of the materials. The thickness of the films varied from 37 to 47 μm without significant differences between the different types of films. The highest value of the Young’s modulus was observed for the FPC film with an additional extraction of lipids and gelatin at a ratio of 2:1 (wFPC/G 2:1), equal to 1437.25 ± 729.45 MPa. By decreasing the concentration of wFPC to levels equal to the gelatin concentration, the value of the Young’s modulus was decreased (887.20 ± 416.48 MPa). No statistically significant differences were observed in the value of the Young’s modulus for the films based on gelatin, FPC/G 1:1, and FPC/G 2:1.
Table 2.
Thickness and mechanical properties of gelatin, FPC/G 1:1, FPC/G 2:1, wFPC 1:1, and wFPC 2:1 films.
The tensile strength is an important parameter for materials that are used in food packaging, as it indicates the maximum stress that the material can withstand before breaking. Corresponding to the Young’s modulus value, the FPC-based film with additional lipid extraction and gelatin at a ratio of 2:1 had the highest tensile strength value (22.91 ± 6.66 MPa). Also, membranes with gelatin and FPC/G at any tested proportions exhibited lower values of tensile strength.
The percentage of length increase before the breaking of the material is represented by elongation at break. In contrast with previous parameters, the film produced using FPC with an additional extraction of lipids and gelatin at a ratio of 2:1 showed the lowest elongation at break value, equal to 9.34 ± 17.58%. The films based on FPC and gelatin exhibited the highest elongation at break value, with no significant differences between the two tested concentrations of FPC (i.e., 119.30 ± 20.41% for FPC/G 2:1 and 118.99 ± 15.63% for FPC/G 1:1).
The obtained values of the Young’s modulus and tensile strength agree with the reported values in the literature. Syahida et al. (2020) produced films from fish gelatin at a concentration of 6 g/100 mL and glycerol was added as a plasticizer at 25 mL/100 mL. The thickness of the produced films was 70 μm, the Young’s modulus was 22.15 ± 0.59 MPa and the tensile strength was 9.08 ± 0.68 MPa. The elongation at break of the fish gelatin film was lower compared to the films from the present study (44.93 ± 1.16%) [25]. Another study reported that the tensile strength of the gelatin-based films with a concentration of 4 g/100 mL with 30 mL/100 mL glycerol as a plasticizer was 2.17 ± 0.97 MPa, the thickness of the films was 32 μm, and the elongation at break was 82.60 ± 20.10% [26]. Similar to the values of films produced from FPC with an additional extraction of lipids and gelatin at a ratio of of 1:1 in this study were the observations by Arfat et al. (2016) for membranes from fish protein isolate and fish protein gelatin at a ratio of 1:1 (thickness = 36 μm). For the films which were produced at an acidic pH, the tensile strength was 11.66 ± 0.77 MPa and the elongation at break was 70.33 ± 5.13% [27].
3.4. Water Vapor Permeability (WVP) and Water Vapor Transmission Rate (WVTR)
The water vapor transport is the result of three phenomena, i.e., absorption, diffusion, and desorption [28]. The packaging of the food should act as a barrier between the humidity of the environment and the food product. For biodegradable packaging films, the water vapor permeability not only depends on the hydrophilic and hydrophobic compounds of the biopolymer but also on the compactness of the polymer chains in the matrix [29,30]. The water vapor permeability of the films which are produced from gelatin and fish myofibrillar protein, which is the main compound of the fish protein concentrate, is high because these are hydrophilic molecules which consist of a large number of hydroxyl groups [27].
Table 3 illustrates the water vapor transmission rate (WVTR) at g/day·m2 and water vapor permeability (WVP) at units of g·mm/kPa·h·m2 and 10−10 × g/m · s · Pa. The highest value of WVTR was observed for the film produced from 100% gelatin, equal to 1625.84 ± 221.28 g/day·m2. Membranes produced from FPC with an additional extraction of lipids and gelatin (wFPC/G) had the lowest values of WVTR at both concentrations of FPC. When wFPC was added to the 100% gelatin film, the WVTR decreased from 1625.84 ± 221.28 g/day·m2 to 953.78 ± 78.58 g/day·m2 for the film with double the amount of wFPC (wFPC/G 2:1) and to 831.30 ± 83.11 g/day·m2 for the film with an equal amount of wFPC and gelatin (wFPC/G 1:1). Ibrahim et al. (2021) measured the WVTR of films produced from extracted gelatin and citrus lignocellulosic fibers at different concentrations. The results showed that films with a large size had better water vapor barrier properties, and the increase in WVTR may be attributed to the ability of gelatin to swell [8].
Table 3.
Water vapor transmission rate (WVTR) and water vapor permeability (WVP) of gelatin, FPC/G 1:1, FPC/G 2:1, wFPC 1:1, and wFPC 2:1 films.
The highest value of WVP was observed for the 100% gelatin-based film, equal to 3.40 (±0.46) × 10−10 × g/m · s · Pa. Membranes produced from FPC had the lowest values of WVP at both concentrations of FPC compared to 100% gelatin-based film, i.e., 1.86 (±0.09) × 10−10 × g/m · s · Pa for the FPC/G 1:1 film and 2.00 (±0.13) × 10−10 ·g/m · s · Pa for the FPC/G 2:1 film, without statistical differences between the two tested FPC concentrations (p > 0.05). The lowest value of WVP was observed for the wfPC/G 2:1 film, equal to 1.37 (±0.13) × 10−10 × g/m · s · Pa. The lowest values of WVP for the films produced from two polymers compared to the film produced from 100% gelatin may be attributed to the stronger interaction and higher degree of organization of protein in the matrix of the films [29].
The value of WVP of the 100% gelatin-based film is slightly higher than the respective values reported in the literature. Kchaou et al. (2018) produced gelatin films from gelatin at a concentration of 4% g/100 mL and glycerol at a concentration of 15 mL/100 mL as a plasticizer and measured the WVP equal to 1.48 (±0.22) × 10−10 × g/m · s · Pa [31]. Syahida et al. (2020) produced gelatin-based films with concentrations of gelatin of 6 g/100 mL and glycerol of 25 mL/100 mL. The thickness of the films was 70 μm and WVP was determined as 1.19 (±0.12) × 10−10 ×g/m×s×Pa [25]. Shabanpour et al. (2018) produced films from myofibrillar fish protein at a concentration of 2 g/100 mL and glycerol at 15 mL/100 mL as a plasticizer. The thickness of the films was 59 μm and the WVP was 3.41 (±0.06) × 10−10 ×g/m×s×Pa [32]. The WVP values for the films produced from FPC or wFPC and gelatin are in accordance with the data reported by Kaewprachu et al. (2018) for films produced using myofibrillar fish protein at a concentration of 1 g/100 mL and glycerol at 25 mL/100 mL as a plasticizer, with a thickness of 15 μm and WVP of 1.26 (±0.03) × 10−10 ×g/m×s×Pa [28]. Arfart et al. (2016) produced films from fish protein isolate (FPI) and fish skin gelatin (FSG) at a percentage of 3% g/100 mL for each polymer and 20 mL/100 mL glycerol. The films were produced according to the solvent casting method at pH 3, with a thickness of 36 μm and a WVP of 0.36 (±0.16) ×10−10 ×g/m×s×Pa [27].
Comparing the water barriers of the films obtained from the present study and other packaging materials made from different biopolymers of conventional polymers, such as polypropylene, the WVTRs for gelatin-based and the different tested FCP–gelatin films were significantly higher, mainly due to the hydrophilic nature of the used biopolymers. Nguyen et al. (2021) tested polypropylene films for food packaging applications. Polypropylene films had a WVTR equal to 2.43 g/day×m2. However, when hydrophilic materials such as cellulose nanofibers and chitin nanowhiskers were added into the film formulation, the water barrier was not increased [33]. Polylactic acid (PLA) is a biodegradable material that has been previously evaluated for its combined application with fish proteins, in order to produce packaging films. Chen et al. (2022) [34] produced active films from PLA and fish gelatin and determined the water barriers. The results showed that by adding fish gelatin to pure PLA films, the WVP was increased up to 18.3%. However, based on previous studies, the WVP of pure PLA films was 0.73 × 10−10 ×g/m×s×Pa, which was almost half of the values obtained from the present study [34]. In another study, PLA and fish gelatin were used to produce multilayer films. The multilayer PLA/fish gelatin films had a lower WVP, up to 91%, compared to pure fish gelatin film, and the WVP of the multilayer film was enhanced 11 times compared with pure fish gelatin films [35].
3.5. Color
The color and the appearance are important parameters for packaging materials, as they directly affect consumer acceptability. Table 4 presents the color parameters of the gelatin, FPC/G 1:1, FPC/G 2:1, wFPC/G 1:1, and wFPC/G 2:1 films. L-value is higher for films that were produced using gelatin and fish protein concentrate (FPC/G) than the wFPC/G films, which indicates that the FPC/G films are lighter in color. Between wFPC/G films and gelatin films, no statistically significant differences were observed for lightness (p > 0.05). No statistical differences were also observed in the L-values between the gelatin film and FPC/G 1:1 film (p > 0.05). By doubling the concentration of FPC in the films (FPC/G 2:1), the lightness of the films increased significantly (p < 0.05).
Table 4.
Color of gelatin, FPC/G 1:1, FPC/G 2:1, wFPC 1:1, and wFPC 2:1 films.
The a-value indicates the redness and greenness of the tone of the films. This parameter was negative for all the types of films. Films based on pure gelatin and films produced from FPC/G at a range of 1:1 showed the highest a-value. However, no statistically significant differences were observed between the a-values of the different types of produced films (p > 0.05).
The b-value indicates the yellowness and blueness of the tone of the films. This parameter was positive for all the types of films. The 100% gelatin-based film showed the highest b-values, indicating the yellow shade of the films, while the FPC/G 2:1 film exhibited the lowest b-value. No significant differences were observed between the b-values of the membranes FPC/G 1:1, wFPC/G 1:1, and wFPC/G 2:1 (p > 0.05).
The parameter ΔΕ indicates the color change between the membrane and the white standard. Values higher than 3 indicate that this change is visible to the naked eye [36]. In this study, the ΔE value was higher than 3 in all tested films. The film produced from FCP with the additional extraction of lipid and gelatin at a ratio of 2:1 (wFPC/G 2:1) showed the highest ΔΕ. In contrast, the film produced from FPC and gelatin at a ratio of 1:1 (FPC/G 1:1) had the lowest ΔE value. These differences indicate that the extraction of lipids from FPC produced a more transparent film.
Arfat et al. (2016) produced films from fish protein isolate and fish skin gelatin (FPI/FSG) at a ratio of 1:1. The concentration of polymers was 3 g/100 mL and glycerol was used as a plasticizer at 20 mL/100 mL. The films were produced at pH 3. The L-value for the film was 90.52 ± 0.17, the a-value was −1.37 ± 0.04, the b-value was 2.26 ± 0.06 and the parameter ΔΕ was 2.96 ± 0.08. The reported L- and b-values are in agreement with the results obtained from the present study. However, the a-values of the films of the present study are lower, indicating a milder red shade of the produced films. In the present study, ΔΕ values are higher compared to the data reported by Arfat et al. (2016) [27].
3.6. Contact Angle
An important parameter for packaging materials is the surface resistance in the water absorption, referred to as wettability. The wettability of a material is measured by the contact angle (CA) between a drop of water and the surface of the film. CA is a meter of the hydrophilic or hydrophobic nature of the polymer [26,31]. Materials with CA values lower than 90° are characterized as hydrophilic materials or materials with CA higher than 90° are referred as hydrophobic materials [25]. The wettability of films provides valuable information about the applicability of nonpermeable or adhesive materials [37]. Table 5 illustrates the CA values for the produced films. Figure 2 represents images of water droplets above the surface of the tested materials. All films had a CA value higher than 90°, indicating the hydrophobic nature of all the produced materials.
Table 5.
CA of gelatin, FPC/G 1:1, FPC/G 2:1, wFPC 1:1, and wFPC 2:1 films.
Figure 2.
Water droplets above the surface of the material: (a) gelatin-based film; (b) FPC/G 1:1 film; (c) FPC/G 2:1 film; (d) wFPC/G 1:1 film; (e) wFPC/G 2:1 film.
The highest value of CA was observed for the films produced using FPC and gelatin at a ratio of 2:1 (FPC/G 2:1), equal to 121.04 ± 7.05°. The CA value for the film produced from FPC and gelatin at a ratio of 1:1 (FPC/G 1:1) was 110.46 ± 5.79°. These values were not significantly different from the CA of the 100% gelatin-based film (p > 0.05), which was equal to 107.76 ± 2.70°. By increasing the concentration of FPC, the contact angle was increased. This may be attributed to the presence of lipid residues in FPC. Based on the obtained results, by increasing the FPC concentration, the lipid content was higher, and the hydrophobic nature of the film was also increased. The lowest CA values were observed for the films produced from FPC with an additional extraction of the lipid and gelatin (wFPC/G), and they were equal to 90.21 ± 6.61° (wFPC/G 1:1) and 89.21 ± 2.96° (wFPC/G 2:1). The films made from wFPC and gelatin had lower CA values compared to the films produced from 100% gelatin. The wFPC had a lower lipid content compared to FPC, as it exhibited an additional lipid extraction step. This fact, combined with the hydrophilic nature of the fish proteins, may provide an explanation for the lower CA values for wFPC/G films compared to the other tested film types [29].
The CA values reported in the literature for gelatin-based films and fish protein-based films were lower compared to the results of the present study. Fakhreddin Hosseini et al. (2016) measured the CA of 4 g/100 mL gelatin-based films as 45.57 ± 1.96° [26]. Hasanzati Rostami et al. (2017) produced membranes from fish gelatin at a concentration of 4 g/100 mL and 20 mL/100 mL glycerol as a plasticizer, and they observed a CA value equal to 78.33 ± 5.01°. When fish protein hydrolysates (FPI) were added at different concentrations (5, 10, 15, 20%), the contact angle was reduced from 78.33 ± 5.01° to 61.50 ± 1.27° for the films with 20% FPI [38]. On the other hand, Kchaou et al. (2018) evaluated the contact angle of a 4 g/100 mL fish gelatin-based film as 110.78 ± 1.18°, which is in the range of the respective values observed in the present study [31]. Syahida et al. (2020) also reported that the CA of 6% w.v gelatin-based films was 106.96 ± 2.97° [25]. The CA of fish myofibrillar protein was studied by Shabanpour et al. (2018), and they reported the CA value as being equal to 82.03 ± 2.77°. This value is similar to the CA of the film made from wFPC and gelatin at a ratio of 1:1 in the present study [32].
4. Conclusions
The results of the present study show the potential of the discards from fisheries and the aquaculture industry as raw materials in food packaging industries for the synthesis of biodegradable packaging materials. The isolation and use of fish protein concentrate with fish gelatin resulted in the production of hydrophobic films with excellent optical properties and acceptable mechanical properties and water vapor barrier effects. An additional extraction of lipids from FPC led to reduced CA values of the films and elongation at break but increased tensile strength, WVTR and WVP compared to the films produced from FPC and gelatin. The differences observed in the mechanical properties and the protein profiles of FPC between the samples dried at room and at oven temperature, respectively, suggested that small changes may have significant effects on the obtained protein profile, possibly affecting the properties of the FPC-derived membranes.
The overall aim of this study was the development of protein-based biodegradable packaging materials via the valorization of fish disregards. The developed films may provide an effective, preservative system for food products which are not sensitive to moisture, due to their high WVTR, and thus reduce the required amount of plastic for appropriate packaging. These packaging materials cannot be considered as substitutes to conventional plastic packaging; however, they may provide an effective preservative activity for packed foods and thus enable a significant reduction in the appropriate amounts of conventional polymers in order to obtain the required water vapor barrier effects for the target food product. Further research is required for the improvement of the water vapor barrier properties via the incorporation of hydrophobic substances in the film formulation or as coatings. Alternative packaging materials, produced from waste from fisheries and the aquaculture industry, may reduce the use of conventional petroleum-based packaging materials and enhance the green chemistry and circular economy models.
Author Contributions
Conceptualization, T.T.; methodology, E.A., A.M., D.L. and K.I.K.; validation, E.A., A.M., D.L. and K.I.K.; formal analysis, E.A., A.M., D.L., K.I.K., E.F., A.K. and T.T.; investigation, E.A., A.M., D.L. and K.I.K.; resources, T.T., A.K. and E.F.; data curation, E.A., A.M., D.L. and K.I.K.; writing—original draft preparation, E.A.; writing—review and editing, E.A., A.M., D.L., K.I.K., E.F., A.K. and T.T.; visualization, E.A., A.M. and K.I.K.; supervision, T.T., A.K. and E.F. All authors have read and agreed to the published version of the manuscript.
Funding
This research was funded by the Greek Operational Programme for Fisheries, Priority Axis “Innovation in Fisheries”, Project title: “Design and development of innovative packaging materials with enhanced protective activity for fisheries and from biodegradable materials using fish by-products (Pack4fish)” (2021–2023) MIS 5074718 website: http://pack4fish.aua.gr (accessed on 1 August 2023).


Institutional Review Board Statement
Not applicable.
Informed Consent Statement
Not applicable.
Data Availability Statement
The data that support the findings of this study are available from the corresponding authors upon reasonable request.
Acknowledgments
The authors wish to thank Ioanna Mandala (Laboratory of Food Process Engineering, Department of Food Science and Human Nutrition, Agricultural University of Athens) for providing the Instron 3400 Series Universal Testing Machine for the evaluation of the mechanical properties of the films.
Conflicts of Interest
The authors declare no conflict of interest.
References
- Khalili Tilami, S.; Sampels, S. Nutritional Value of Fish: Lipids, Proteins, Vitamins, and Minerals. Rev. Fish. Sci. Aquac. 2018, 26, 243–253. [Google Scholar] [CrossRef]
- Pateiro, M.; Munekata, P.E.S.; Domínguez, R.; Wang, M.; Barba, F.J.; Bermúdez, R.; Lorenzo, J.M. Nutritional Profiling and the Value of Processing By-Products from Gilthead Sea Bream (Sparus Aurata). Mar. Drugs 2020, 18, 101. [Google Scholar] [CrossRef]
- FAO (Ed.) Towards Blue Transformation. In The State of World Fisheries and Aquaculture; FAO: Rome, Italy, 2022. [Google Scholar] [CrossRef]
- Coppola, D.; Lauritano, C.; Palma Esposito, F.; Riccio, G.; Rizzo, C.; De Pascale, D. Fish Waste: From Problem to Valuable Resource. Mar. Drugs 2021, 19, 116. [Google Scholar] [CrossRef] [PubMed]
- Wangkheirakpam, M.R.; Mahanand, S.S.; Majumdar, R.K.; Sharma, S.; Hidangmayum, D.D.; Netam, S. Fish Waste Utilization with Reference to Fish Protein Hydrolysate—A Review. Fish Technol. 2019, 56, 169–178. [Google Scholar]
- Elsayed, N.; Hasanin, M.S.; Abdelraof, M. Utilization of Olive Leaves Extract Coating Incorporated with Zinc/Selenium Oxide Nanocomposite to Improve the Postharvest Quality of Green Beans Pods. Bioact. Carbohydr. Diet. Fibre 2022, 28, 100333. [Google Scholar] [CrossRef]
- The Business Research Company. Plastic Waste Management Global Market Report 2022. Available online: https://www.reportlinker.com/p06319263/Plastic-Waste-Management-Global-Market-Report.html?utm_source=GNW (accessed on 30 June 2023).
- Ibrahim, S.; Elsayed, H.; Hasanin, M. Biodegradable, Antimicrobial and Antioxidant Biofilm for Active Packaging Based on Extracted Gelatin and Lignocelluloses Biowastes. J. Polym. Environ. 2021, 29, 472–482. [Google Scholar] [CrossRef]
- Suhag, R.; Kumar, N.; Petkoska, A.T.; Upadhyay, A. Film Formation and Deposition Methods of Edible Coating on Food Products: A Review. Food Res. Int. 2020, 136, 109582. [Google Scholar] [CrossRef]
- Rocha, M.D.; Loiko, M.R.; Gautério, G.V.; Tondo, E.C.; Prentice, C. Influence of Heating, Protein and Glycerol Concentrations of Film-Forming Solution on the Film Properties of Argentine Anchovy (Engraulis anchoita) Protein Isolate. J. Food Eng. 2013, 116, 666–673. [Google Scholar] [CrossRef]
- Lisitsyn, A.; Semenova, A.; Nasonova, V.; Polishchuk, E.; Revutskaya, N.; Kozyrev, I.; Kotenkova, E. Approaches in Animal Proteins and Natural Polysaccharides Application for Food Packaging: Edible Film Production and Quality Estimation. Polymers 2021, 13, 1592. [Google Scholar] [CrossRef]
- Priya, R.D. Fish Gelatin Market by Product Type (Food Grade and Pharma Grade) and Application (Food & Beverages, Pharmaceuticals, Nutraceuticals, Cosmetics, and Others): Global Opportunity Analysis and Industry Forecast, 2021–2030. Available online: https://www.alliedmarketresearch.com/fish-gelatin-market-A13719 (accessed on 30 June 2023).
- Kumoro, A.C.; Wardhani, D.H.; Kusworo, T.D.; Djaeni, M.; Ping, T.C.; Ma’rifat Fajar Azis, Y. Fish Protein Concentrate for Human Consumption: A Review of Its Preparation by Solvent Extraction Methods and Potential for Food Applications. Ann. Agric. Sci. 2022, 67, 42–59. [Google Scholar] [CrossRef]
- Mohamed, G.F.; Sulieman, A.M.; Soliman, N.G.; Bassiuny, S.S. Fortification of Biscuits with Fish Protein Concentrate. World J. Dairy Food Sci. 2014, 9, 242–249. [Google Scholar]
- Phadtare, M.C.; Ranveer, R.C.; Rathod, N.B.; Sharangdhar, S.T.; Swami, S.B.; Vartak, V.R.; Koli, J.M.; Patange, S.B. Extraction, Characterization and Utilization of Fish Protein Concentrate. Aquat. Food Stud. 2021, 1, AFS47. [Google Scholar] [CrossRef]
- Karginov, A.; Agaphonov, M. A Simple Enrichment Procedure Improves Detection of Membrane Proteins by Immunoblotting. BioTechniques 2016, 61, 260–261. [Google Scholar] [CrossRef]
- Janes, K.A. An Analysis of Critical Factors for Quantitative Immunoblotting. Sci. Signal. 2015, 8, rs2. [Google Scholar] [CrossRef]
- Hara, A.; Radin, N.S. Lipid Extraction of Tissues with a Low-Toxicity Solvent. Anal. Biochem. 1978, 90, 420–426. [Google Scholar] [CrossRef]
- Chiralt, A.; González-Martínez, C.; Vargas, M.; Atarés, L. Edible Films and Coatings from Proteins. In Proteins in Food Processing; Elsevier: Amsterdam, The Netherlands, 2018; pp. 477–500. [Google Scholar] [CrossRef]
- New Products. J. AOAC Int. 1997, 80, 65A–66A. [CrossRef]
- ASTM D882-18; Test Method for Tensile Properties of Thin Plastic Sheeting. ASTM International: West Conshohocken, PA, USA, 2018. [CrossRef]
- ASTM E96/E96M-10; Test Methods for Water Vapor Transmission of Materials. ASTM International: West Conshohocken, PA, USA, 2013. [CrossRef]
- ASTM D5946; Standard Test Method for Corona-Treated polymer films Using Water Contact Angle Measurements. ASTM International: West Conshohocken, PA, USA, 2017. [CrossRef]
- Brunelle, J.L.; Green, R. Coomassie Blue Staining. In Methods in Enzymology; Elsevier: Amsterdam, The Netherlands, 2014; Volume 541, pp. 161–167. [Google Scholar] [CrossRef]
- Nurul Syahida, S.; Ismail-Fitry, M.R.; Ainun, Z.M.A.; Nur Hanani, Z.A. Effects of Palm Wax on the Physical, Mechanical and Water Barrier Properties of Fish Gelatin Films for Food Packaging Application. Food Packag. Shelf Life 2020, 23, 100437. [Google Scholar] [CrossRef]
- Hosseini, S.F.; Rezaei, M.; Zandi, M.; Farahmandghavi, F. Development of Bioactive Fish Gelatin/Chitosan Nanoparticles Composite Films with Antimicrobial Properties. Food Chem. 2016, 194, 1266–1274. [Google Scholar] [CrossRef]
- Arfat, Y.A.; Benjakul, S.; Prodpran, T.; Sumpavapol, P.; Songtipya, P. Physico-Mechanical Characterization and Antimicrobial Properties of Fish Protein Isolate/Fish Skin Gelatin-Zinc Oxide (ZnO) Nanocomposite Films. Food Bioprocess Technol. 2016, 9, 101–112. [Google Scholar] [CrossRef]
- Kaewprachu, P.; Osako, K.; Rawdkuen, S. Effects of plasticizers on the properties of fish myofibrillar protein film. J. Food Sci. Technol. 2018, 55, 3046–3055. [Google Scholar] [CrossRef] [PubMed]
- Arfat, Y.A.; Benjakul, S.; Prodpran, T.; Sumpavapol, P.; Songtipya, P. Properties and Antimicrobial Activity of Fish Protein Isolate/Fish Skin Gelatin Film Containing Basil Leaf Essential Oil and Zinc Oxide Nanoparticles. Food Hydrocoll. 2014, 41, 265–273. [Google Scholar] [CrossRef]
- Du, H.; Liu, C.; Unsalan, O.; Altunayar-Unsalan, C.; Xiong, S.; Manyande, A.; Chen, H. Development and Characterization of Fish Myofibrillar Protein/Chitosan/Rosemary Extract Composite Edible Films and the Improvement of Lipid Oxidation Stability during the Grass Carp Fillets Storage. Int. J. Biol. Macromol. 2021, 184, 463–475. [Google Scholar] [CrossRef] [PubMed]
- Kchaou, H.; Benbettaïeb, N.; Jridi, M.; Abdelhedi, O.; Karbowiak, T.; Brachais, C.-H.; Léonard, M.-L.; Debeaufort, F.; Nasri, M. Enhancement of Structural, Functional and Antioxidant Properties of Fish Gelatin Films Using Maillard Reactions. Food Hydrocoll. 2018, 83, 326–339. [Google Scholar] [CrossRef]
- Shabanpour, B.; Kazemi, M.; Ojagh, S.M.; Pourashouri, P. Bacterial Cellulose Nanofibers as Reinforce in Edible Fish Myofibrillar Protein Nanocomposite Films. Int. J. Biol. Macromol. 2018, 117, 742–751. [Google Scholar] [CrossRef] [PubMed]
- Nguyen, H.-L.; Tran, T.H.; Hao, L.T.; Jeon, H.; Koo, J.M.; Shin, G.; Hwang, D.S.; Hwang, S.Y.; Park, J.; Oh, D.X. Biorenewable, Transparent, and Oxygen/Moisture Barrier Nanocellulose/Nanochitin-Based Coating on Polypropylene for Food Packaging Applications. Carbohydr. Polym. 2021, 271, 118421. [Google Scholar] [CrossRef]
- Chen, J.; Li, Y.; Wang, Y.; Yakubu, S.; Tang, H.; Li, L. Active Polylactic Acid/Tilapia Fish Gelatin-Sodium Alginate Bilayer Films: Application in Preservation of Japanese Sea Bass (Lateolabrax Japonicus). Food Packag. Shelf Life 2022, 33, 100915. [Google Scholar] [CrossRef]
- Hosseini, S.F.; Javidi, Z.; Rezaei, M. Efficient Gas Barrier Properties of Multi-Layer Films Based on Poly(Lactic Acid) and Fish Gelatin. Int. J. Biol. Macromol. 2016, 92, 1205–1214. [Google Scholar] [CrossRef]
- Luchese, C.L.; Sperotto, N.; Spada, J.C.; Tessaro, I.C. Effect of Blueberry Agro-Industrial Waste Addition to Corn Starch-Based Films for the Production of a PH-Indicator Film. Int. J. Biol. Macromol. 2017, 104, 11–18. [Google Scholar] [CrossRef]
- El-Naggar, M.E.; Hasanin, M.; Hashem, A.H. Eco-Friendly Synthesis of Superhydrophobic Antimicrobial Film Based on Cellulose Acetate/Polycaprolactone Loaded with the Green Biosynthesized Copper Nanoparticles for Food Packaging Application. J Polym. Environ. 2022, 30, 1820–1832. [Google Scholar] [CrossRef]
- Hasanzati Rostami, A.; Motamedzadegan, A.; Hosseini, S.E.; Rezaei, M.; Kamali, A. Evaluation of Plasticizing and Antioxidant Properties of Silver Carp Protein Hydrolysates in Fish Gelatin Film. J. Aquat. Food Prod. Technol. 2017, 26, 457–467. [Google Scholar] [CrossRef]
Disclaimer/Publisher’s Note: The statements, opinions and data contained in all publications are solely those of the individual author(s) and contributor(s) and not of MDPI and/or the editor(s). MDPI and/or the editor(s) disclaim responsibility for any injury to people or property resulting from any ideas, methods, instructions or products referred to in the content. |
© 2023 by the authors. Licensee MDPI, Basel, Switzerland. This article is an open access article distributed under the terms and conditions of the Creative Commons Attribution (CC BY) license (https://creativecommons.org/licenses/by/4.0/).

