Combining Multiple Biomarkers to Evaluate the Environmental Stress in Cyprinid Populations
Abstract
1. Introduction
2. Materials and Methods
2.1. Sampling Site
2.2. Sampling and Analysis of the Water Quality
2.3. Fish Sampling and Histological Processing
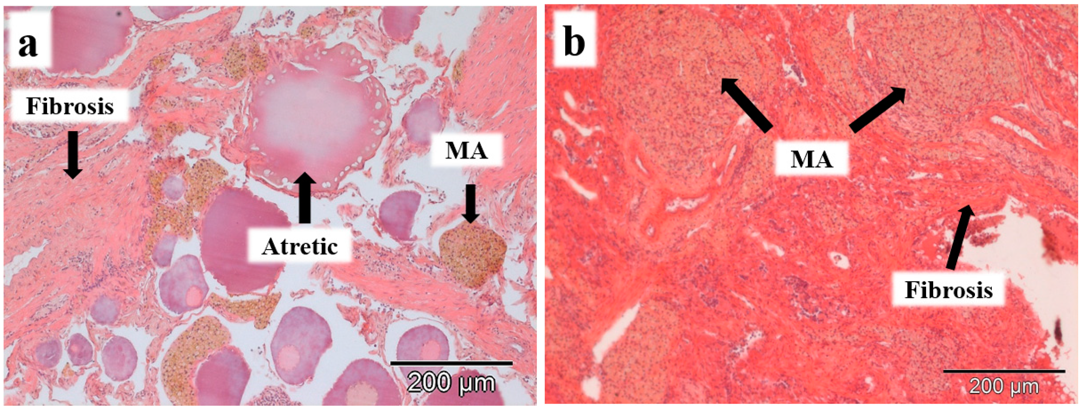
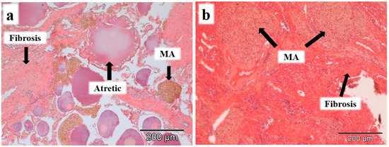
2.4. Histological Analysis of the Gonad
2.5. Integrated Biomarker Response
- The mean value for a site () was standardized using the mean value for all sites () and the standard deviation for all sites () to produce a value called .
- For each biomarker, the value or was computed according to the expected biological effect activation or inhibition, respectively.
- The value was computed with , where is the minimal value observed for all sites for each biomarker.
- Star plots were then used to display biomarker results. If a station is to be characterized by a set of biomarkers measured, a star plot radius coordinate represents the score of a given biomarker at a given station. Let and be two consecutive clockwise scores (radius coordinates) of a given star plot, and let be the number of biomarkers used in the survey. This formula can be applied only when four or more biomarkers are measured.
2.6. Data Analysis
3. Results
3.1. Gonad Histopathological Changes and Severity Degree Index
3.2. Histopathological Indices of the Gill, Liver, and Gonad
3.3. Integrated Biomarker Response
3.4. Classification of Water Quality
4. Discussion
5. Conclusions
Supplementary Materials
Author Contributions
Funding
Institutional Review Board Statement
Informed Consent Statement
Data Availability Statement
Conflicts of Interest
References
- Castro-González, M.I.; Méndez-Armenta, M. Heavy metals: Implications associated to fish consumption. Environ. Toxicol. Pharmacol. 2008, 26, 263–271. [Google Scholar] [CrossRef] [PubMed]
- Abdel-tawwab, M.; Wafeek, M. Influence of water temperature and waterborne cadmium toxicity on growth performance and metallothionein–cadmium distribution in different organs of Nile tilapia, Oreochromis niloticus (L.). J. Therm. Biol. 2014, 45, 157–162. [Google Scholar] [CrossRef]
- Li, H.; Yang, Z.; Dai, M.; Diao, X.; Dai, S.; Fang, T.; Dong, X. Input of Cd from agriculture phosphate fertilizer application in China during 2006–2016. Sci. Total Environ. 2020, 698, 134149. [Google Scholar] [CrossRef]
- Javed, M.; Ahmad, I.; Usmani, N.; Ahmad, M. Studies on biomarkers of oxidative stress and associated genotoxicity and histopathology in Channa punctatus from heavy metal polluted canal. Chemosphere 2016, 151, 210–219. [Google Scholar] [CrossRef]
- Saran, L.; Pissarra, T.; Silveira, G.; Constancio, M.; de Melo, W.J.; Alves, L. Land use impact on potentially toxic metals concentration on surface water and resistant microorganisms in watersheds. Ecotoxicol. Environ. Saf. 2018, 166, 366–374. [Google Scholar] [CrossRef] [PubMed]
- Ali, M.M.; Ali, M.L.; Islam, M.S.; Rahman, M.Z. Assessment of toxic metals in water and sediment of Pasur River in Bangladesh. Water Sci. Technol. 2018, 77, 1418–1430. [Google Scholar] [CrossRef]
- Han, J.; Park, H.; Kim, J.; Jeong, D.; Kang, J. Toxic effects of arsenic on growth, hematological parameters, and plasma components of starry flounder, Platichthys stellatus, at two water temperature conditions. Fish. Aquat. Sci. 2019, 22, 1–8. [Google Scholar] [CrossRef]
- Cui, L.; Wang, X.; Li, J.; Gao, X.; Zhang, J.; Liu, Z. Ecological and health risk assessments and water quality criteria of heavy metals in the Haihe River. Environ. Pollut. 2021, 290, 117971. [Google Scholar] [CrossRef]
- Colin, N.; Porte, C.; Fernandes, D.; Barata, C.; Padrós, F.; Carrassón, M.; Monroy, M.; Cano-Rocabayera, O.; de Sostoa, A.; Piña, B.; et al. Ecological relevance of biomarkers in monitoring studies of macro-invertebrates and fish in Mediterranean rivers. Sci. Total Environ. 2016, 540, 307–323. [Google Scholar] [CrossRef]
- Prasanna, M.V.; Praveena, S.M.; Chidambaram, S.; Nagarajan, R.; Elayaraja, A. Evaluation of water quality pollution indices for heavy metal contamination monitoring: A case study from Curtin Lake, Miri City, East Malaysia. Environ. Earth Sci. 2012, 67, 1987–2001. [Google Scholar] [CrossRef]
- Arcy, B.D.; Frost, A. The role of best management practices in alleviating water quality problems associated with diffuse pollution. Sci. Total Environ. 2001, 265, 359–367. [Google Scholar] [CrossRef]
- Barisie, J.; Dragun, Z.; Ramani, S.; Marijie, V.F.; Krasniei, N.; Coz-Rakovac, R.; Kostov, V.; Rebok, K.; Jordanova, M. Evaluation of histopathological alterations in the gills of Vardar chub (Squalius vardarensis Karaman) as an indicator of river pollution. Ecotoxicol. Environ. Saf. 2015, 118, 158–166. [Google Scholar] [CrossRef] [PubMed]
- Kaptaner, B.; Kankaya, E.; Dogan, A.; Durmuş, A. Alterations in histology and antioxidant defense system in the testes of the lake Van fish (Alburnus tarichi Güldenstädt, 1814). Environ. Monit. Assess. 2016, 188, 1–15. [Google Scholar] [CrossRef] [PubMed]
- Rodrigues, S.; Antunes, S.C.; Nunes, B.; Correia, A.T. Histological alterations in gills and liver of rainbow trout (Oncorhynchus mykiss) after exposure to the antibiotic oxytetracycline. Environ. Toxicol. Pharmacol. 2017, 53, 164–176. [Google Scholar] [CrossRef] [PubMed]
- Bernet, D.; Schmidt, H.; Meier, W.; Burkhardt-Holm, P.; Wahli, T. Histopathology in fish: Proposal for a protocol to assess aquatic pollution. J. Fish Dis. 1999, 22, 25–34. [Google Scholar] [CrossRef]
- Raibeemol, K.P.; Chitra, K.C. Fish and Shellfish Immunology Induction of immunological, hormonal and histological alterations after sublethal exposure of chlorpyrifos in the freshwater fish, Pseudetroplus maculatus (Bloch, 1795). Fish Shellfish Immunol. 2020, 102, 1–12. [Google Scholar] [CrossRef]
- Abdel-Moneim, A.M.; Al-kahtani, M.A.; Elmenshawy, O.M. Histopathological biomarkers in gills and liver of Oreochromis niloticus from polluted wetland environments, Saudi Arabia. Chemosphere 2012, 88, 1028–1035. [Google Scholar] [CrossRef]
- Luzio, A.; Monteiro, S.M.; Garcia-santos, S.; Rocha, E.; Fontaínhas-fernandes, A.A.; Coimbra, A.M. Zebrafish sex differentiation and gonad development after exposure to 17-ethinylestradiol, fadrozole and their binary mixture: A stereological study. Aquat. Toxicol. 2015, 166, 83–95. [Google Scholar] [CrossRef]
- Micale, V.; Perdichizzi, A.; Muglia, U.; Rinelli, P.; Cosenza, A.; Mita, D.G. Gonadal macrophage aggregates in fish: A preliminary quantitative study in red mullet. J. Exp. Zool. Part A Ecol. Integr. Physiol. 2019, 331, 357–361. [Google Scholar] [CrossRef]
- Saraiva, A.; Costa, J.; Serrão, J.; Eiras, J.C.; Cruz, C. Study of the gill health status of farmed sea bass (Dicentrarchus labrax L., 1758) using different tools. Aquaculture 2015, 441, 16–20. [Google Scholar] [CrossRef]
- van Dyk, J.C.; Cochrane, M.J.; Wagenaar, G.M. Liver histopathology of the sharptooth catfish Clarias gariepinus as a biomarker of aquatic pollution. Chemosphere 2012, 87, 301–311. [Google Scholar] [CrossRef]
- Agbohessi, P.T.; Toko, I.I.; Atchou, V.; Tonato, R.; Mandiki, S.N.M.; Kestemont, P. Pesticides used in cotton production affect reproductive development, endocrine regulation, liver status and offspring fitness in African catfish Clarias gariepinus (Burchell, 1822). Comp. Biochem. Physiol. Part C 2015, 167, 157–172. [Google Scholar] [CrossRef] [PubMed]
- Kostić, J.; Kolarević, S.; Kračun-Kolarević, M.; Aborgiba, M.; Gačić, Z.; Paunović, M.; Višnjić-Jeftić, Ž.; Rašković, B.; Poleksić, V.; Lenhardt, M.; et al. The impact of multiple stressors on the biomarkers response in gills and liver of freshwater breams during different seasons. Sci. Total Environ. 2017, 602, 1670–1681. [Google Scholar] [CrossRef] [PubMed]
- Beliaeff, B.; Burgeot, T. Integrated biomarker response: A useful tool for ecological risk assessment. Environ. Toxicol. Chem. Int. J. 2002, 21, 1316–1322. [Google Scholar] [CrossRef]
- Devin, S.; Burgeot, T.; Giambérini, L.; Minguez, L.; Pain-Devin, S. The integrated biomarker response revisited: Optimization to avoid misuse. Environ. Sci. Pollut. Res. 2014, 24, 2448–2454. [Google Scholar] [CrossRef] [PubMed]
- Iturburu, F.G.; Bertrand, L.; Mendieta, J.R.; Amé, M.V.; Menone, M.L. An integrated biomarker response study explains more than the sum of the parts: Oxidative stress in the fi sh Australoheros facetus exposed to imidacloprid. Ecol. Indic. 2018, 93, 351–357. [Google Scholar] [CrossRef]
- Madeira, C.; Madeira, D.; Diniz, M.S.; Cabral, H.N.; Vinagre, C. Thermal acclimation in clownfish: An integrated biomarker response and multi-tissue experimental approach. Ecol. Indic. 2016, 71, 280–292. [Google Scholar] [CrossRef]
- Samanta, P.; Im, H.; Na, J.; Jung, J. Ecological risk assessment of a contaminated stream using multi-level integrated biomarker response in Carassius auratus *. Environ. Pollut. 2018, 233, 429–438. [Google Scholar] [CrossRef]
- Santos, R.M.B.; Fernandes, L.S.; Cortes, R.M.V.; Varandas, S.G.P.; Jesus, J.J.B.; Pacheco, F.A.L. Integrative assessment of river damming impacts on aquatic fauna in a Portuguese reservoir. Sci. Total Environ. 2017, 601–602, 1108–1118. [Google Scholar] [CrossRef]
- Boavida, I.; Jesus, J.B.; Pereira, V.; Santos, C.; Lopes, M.; Cortes, R.M. Fulfilling spawning flow requirements for potamodromous cyprinids in a restored river segment. Sci. Total Environ. 2018, 635, 567–575. [Google Scholar] [CrossRef] [PubMed]
- Santos, R.; Fernandes, L.; Pacheco, F.; Monteiro, M.; Jesus, J. River restoration for the replacement of lost spawning grounds due to dam construction. In Proceedings of the Sustainable Water Resources Management XI, online, 18–20 May 2021; WIT Press: Southampton, UK, 2021; Volume 250, pp. 35–44. [Google Scholar]
- DGT Directorate-General of Territory. Available online: http://www.dgterritorio.pt/ (accessed on 12 July 2021).
- Santos, R.M.B.; Sanches Fernandes, L.F.; Cortes, V.M.R.; Pacheco, F.A.L. Development of a Hydrologic and Water Allocation Model to Assess Water Availability in the Sabor River Basin ( Portugal ). Int. J. Environ. Res. Public Health 2019, 16, 2419. [Google Scholar] [CrossRef] [PubMed]
- Santos, R.; Monteiro, S.M.; Cortes, R.M.V.; Pacheco, F.A.L.; Fernandes, L.F.S. Seasonal effect of land use management on gill histopathology of Barbel and Douro Nase in a Portuguese watershed. Sci. Total Environ. 2021, 764, 142869. [Google Scholar] [CrossRef]
- European Commision Directive 2010/63/EU of the European Parliament and of the Council of 22 September 2010 on the Protection of Animals Used for Scientific Purposes; L276/33; Official Journal European Union: Brussels, Belgium, 2010.
- Portaria no 1005/92; Ministérios da Agricultura, da Educação, da Saúde e do Comércio e Turismo. Diário da Répública I: Lisboa, Portugal, 1992.
- Pereira, S.; Pinto, A.L.; Cortes, R.; Fontaínhas-Fernandes, A.; Coimbra, A.M.; Monteiro, S.M. Gill histopathological and oxidative stress evaluation in native fish captured in Portuguese northwestern rivers. Ecotoxicol. Environ. Saf. 2013, 90, 157–166. [Google Scholar] [CrossRef]
- Monteiro, S.M.; Rocha, E.; Fontaínhas-Fernandes, A.; Sousa, M. Quantitative histopathology of Oreochromis niloticus gills after copper exposure. J. Fish Biol. 2008, 73, 1376–1392. [Google Scholar] [CrossRef]
- Zimmerli, S.; Bernet, D.; Burkhardt-Holm, P.; Schmidt-Posthaus, H.; Vonlanthen, P.; Wahli, T.; Segner, H. Assessment of fish health status in four Swiss rivers showing a decline of brown trout catches. Aquat. Sci. 2007, 69, 11–25. [Google Scholar] [CrossRef]
- Santos, R.M.B.; Monteiro, S.M.V.; Cortes, R.M.V.; Pacheco, F.A.L.; Fernandes, L.F.S. Seasonal Differences in Water Pollution and Liver Histopathology of Iberian Barbel (Luciobarbus bocagei) and Douro Nase (Pseudochondrostoma duriense) in an Agricultural Watershed. Water 2022, 14, 444. [Google Scholar] [CrossRef]
- SPSS Statistical Product and Service Solutions, Statistical software, Version 26; IBM SPSS: Chicago, IL, USA, 2019.
- Johnson, R.; Wolf, J.; Braunbeck, T. OECD Guidance Document for the Diagnosis of Endocrine-Related Histopathology of Fish Gonads; Organisation de Coopération et de Développement Économiques: Paris, France, 2010. [Google Scholar]
- Martin-skilton, R.; Lavado, R.; Thibaut, R.; Minier, C.; Porte, C. Evidence of endocrine alteration in the red mullet, Mullus barbatus from the NW Mediterranean. Environ. Pollut. 2006, 141, 60–68. [Google Scholar] [CrossRef] [PubMed]
- Blazer, V.S. Histopathological assessment of gonadal tissue in wild fishes. Fish Physiol. Biochem. 2002, 26, 85–101. [Google Scholar] [CrossRef]
- Zorita, I.; Ortiz-zarragoitia, M.; Apraiz, I.; Cancio, I.; Orbea, A.; Cajaraville, M.P.; Soto, M.; Marigómez, I.; Cajaraville, M.P. Assessment of biological effects of environmental pollution along the NW Mediterranean Sea using red mullets as sentinel organisms. Environ. Pollut. 2008, 153, 157–168. [Google Scholar] [CrossRef] [PubMed]
- Schwindt, A.R.; Truelove, N.; Schreck, C.B.; Fournie, J.W.; Landers, D.H.; Kent, M.L. Quantitative evaluation of macrophage aggregates in brook trout Salvelinus fontinalis and rainbow trout Oncorhynchus mykiss. Dis. Aquat. Organ. 2006, 68, 101–113. [Google Scholar] [CrossRef]
- Silva, P.; Rocha, M.J.; Cruzeiro, C.; Malhão, F.; Reis, B.; Urbatzka, R.; Monteiro, R.A.F.; Rocha, E. Testing the effects of ethinylestradiol and of an environmentally relevant mixture of xenoestrogens as found in the Douro River (Portugal) on the maturation of fish gonads—A stereological study using the zebrafish (Danio rerio) as model. Aquat. Toxicol. 2012, 124–125, 1–10. [Google Scholar] [CrossRef]
- Rašković, B.; Poleksić, V.; Višnjić-Jeftić, Ž.; Skorić, S.; Gačić, Z.; Djikanović, V.; Jaric, I.; Lenhardt, M. Use of histopathology and elemental accumulation in different organs of two benthophagous fish species as indicators of river pollution. Environ. Toxicol. 2015, 30, 1153–1161. [Google Scholar] [CrossRef]
- Poleksic, V.; Lenhardt, M.; Jaric, I.; Djordjevic, D.; Gacic, Z.; Cvijanovic, G.; Raskovic, B. Liver, gills, and skin histopathology and heavy metal content of the Danube sterlet (Acipenser ruthenus Linnaeus, 1758). Environ. Toxicol. Chem. An Int. J. 2010, 29, 515–521. [Google Scholar] [CrossRef]
- Weber, A.; Sales, C.; Faria, F.; Melo, R.; Bazzoli, N.; Rizzo, E. Effects of metal contamination on liver in two fish species from a highly impacted neotropical river: A case study of the Fundão dam, Brazil. Ecotoxicol. Environ. Saf. 2020, 190, 110165. [Google Scholar] [CrossRef]
- Jordanova, M.; Rebok, K.; Dragun, Z.; Ramani, S.; Ivanova, L.; Kostov, V.; Valić, D.; Krasnići, N.; Marijić, V.; Kapetanovi, D. Histopathology investigation on the Vardar chub (Squalius vardarensis) populations captured from the rivers impacted by mining activities. Ecotoxicol. Environ. Saf. 2016, 129, 35–42. [Google Scholar] [CrossRef]
- Ahmed, M.H.; Lin, L. Dissolved oxygen concentration predictions for running waters with different land use land cover using a quantile regression forest machine learning technique. J. Hydrol. 2021, 597, 126213. [Google Scholar] [CrossRef]
- McDowell, R.W. Assessing the leaching of cadmium in an irrigated and grazed pasture soil. Environ. Pollut. 2022, 292, 118430. [Google Scholar] [CrossRef]
- Niño-savala, A.G.; Zhuang, Z.; Ma, X.; Fangmeier, A.; Li, H.; Tang, A.; Liu, X. Cadmium pollution from phosphate fertilizers in arable soils and crops: An overview. Front. Agric. Sci. Eng. 2019, 6, 419–430. [Google Scholar] [CrossRef]
- Wan, L.; Lv, H.; Qasim, W.; Xia, L.; Yao, Z.; Hu, J.; Zhao, Y.; Ding, X.; Zheng, X.; Li, G.; et al. Heavy metal and nutrient concentrations in top- and sub-soils of greenhouses and arable fields in East China—Effects of cultivation years, management, and shelter. Environ. Pollut. 2022, 307, 119494. [Google Scholar] [CrossRef] [PubMed]
- Aliko, V.; Qirjo, M.; Sula, E.; Morina, V.; Faggio, C. Antioxidant defense system, immune response and erythron pro fi le modulation in gold fish, Carassius auratus, after acute manganese treatment. Fish Shellfish Immunol. 2018, 76, 101–109. [Google Scholar] [CrossRef] [PubMed]
- Köck, G.; Triendl, M.; Hofer, R. Seasonal patterns of metal accumulation in Arctic char (Salvelinus alpinus) from an oligotrophic Alpine lake related to temperature. Can. J. Fish. Aquat. Sci. 1996, 53, 780–786. [Google Scholar] [CrossRef]
- Yang, H.; Chen, H. Uptake and Elimination of Cadmium by Japanese Eel, Anguilla japonica, at Various Temperatures. Bull. Environ. Contam. Toxicol. 1996, 56, 670–676. [Google Scholar] [CrossRef] [PubMed]
- Jezierska, B.; Witeska, M. The metal uptake and accumulation in fish living in polluted waters. In Soil and Water Pollution Monitoring, Protection and Remediation; Twardowska, I., Allen, H.E., Häggblom, M.M., Eds.; Springer: Dordrecht, The Netherlands, 2006; pp. 107–114. ISBN 9781402047275. [Google Scholar]
- Zhang, J.; Wang, K.; Yi, Q.; Zhang, T.; Shi, W.; Zhou, X. Transport and partitioning of metals in river networks of a plain area with sedimentary resuspension and implications for downstream lakes. Environ. Pollut. 2022, 294, 118668. [Google Scholar] [CrossRef] [PubMed]
- Fernandes, E.C.; Silveira, A.W.; Silva, A.L.; Souza, A.I.; Povh, J.A.; Jaques, J.A.; Santos, E.A.; Yonekawa, M.K.; Penteadoall, B.B.; Franco-Belussi, L. Osmoregulatory profiles and gill histological changes in Nile tilapia (Oreochromis niloticus) exposed to lambda-cyhalothrin. Aquat. Toxicol. 2020, 227, 105612. [Google Scholar] [CrossRef]
- Pereira, L. Qualidade das águas superficiais na bacia hidrográfica do rio Almonda; CCDR–LVT – Comissão de Coordenação e Desenvolvimento Regional de Lisboa e Vale do Tejo. Divisão de Monitorização Ambiental; Rede de Monitorização de Recursos Hídricos Superficiais: Lisboa, Portugal, 2004. [Google Scholar]
- Rodrigues, R.; Quadrado, F.; Lopes, A.R. A Qualidade da Água em Portugal; Instituto da Água: Lisboa, Portugal, 2001.
- SNIRH National Information System for Water Resources. Available online: https://snirh.apambiente.pt/ (accessed on 6 March 2021).
- Decreto-Lei n. º, 236/98. Regulamentação da Qualidade Com a Finalidade de Proteger o Meio Aquático e Melhorar a Qualidade Das Águas em Função dos Seus Principais Usos. 1998, Volume 176. Available online: https://dre.pt/dre/legislacao-consolidada/decreto-lei/1998-75031534 (accessed on 15 September 2021).
- WFD Directive of the European Parliament and of the Council 2000/60/EC. Establishing a Framework for Community Action in the Field of Water Policy. Off. J. Eur. Parliam. 2000, L327, 1–82.
- Edet, A.E.; Offiong, O.E. Evaluation of water quality pollution indices for heavy metal contamination monitoring. A study case from Akpabuyo-Odukpani area, Lower Cross River Basin (southeastern Nigeria). GeoJournal 2002, 57, 295–304. [Google Scholar] [CrossRef]






| Species | Sampling Sites | Macrophage Aggregates | Interstitial Fibrosis | ||
|---|---|---|---|---|---|
| Testis (%) | Ovaries (%) | Testis (%) | Ovaries (%) | ||
| L. bocagei | Point I | 40 | 20 | 20 | 20 |
| Point II | 29 | 25 | 0 | 25 | |
| Point III | 0 | 0 | 0 | 0 | |
| Total | 27 | 22 | 7 | 22 | |
| P. duriense | Point I | 33 | 0 | 33 | 0 |
| Point II | 50 | 50 | 25 | 50 | |
| Point III | 100 | 14 | 100 | 14 | |
| Total | 50 | 21 | 38 | 21 | |
| Sampling Point | L. bocagei | P. duriense | ||
|---|---|---|---|---|
| Summer (Mean and Range) | Winter (Mean and Range) | Summer (Mean and Range) | Winter (Mean and Range) | |
| Point I | 4.8 (0–10) | 0 | 10 (10–10) | 0 |
| Point II | 3.6 (0–10) | 0 | 6.8 (0–10) | 0 |
| Point III | 0 | 0 | 4 (0–10) | 0 |
| Liver HI/Gonad HI | ||||||||
|---|---|---|---|---|---|---|---|---|
| Classes | I | II | III | IV | V | Total Gill | ||
| Gill HI | I | 0 | 0 | 0 | 0 | 0 | 0 | |
| II | 0 | 0 | 0 | 0 | 0 | 0 | ||
| III | 0 | 1 (2%)/1 (2%) | 0 | 0 | 0 | 1 (2%) | ||
| IV | 0 | 1 (2%) | 6 (13%)/1 (2%) | 8 (17%) | 2 (4%)/1 (2%) | 17 (36%) | ||
| V | 0 | 1 (2%)/1 (2%) | 6 (13%) | 13 (28%)/4 (9%) | 9 (19%)/5 (11%) | 29 (62%) | ||
| Totalliver | 0 | 3 (6%) | 12 (26%) | 21 (45%) | 11 (23%) | 47 (100%) | ||
Publisher’s Note: MDPI stays neutral with regard to jurisdictional claims in published maps and institutional affiliations. |
© 2022 by the authors. Licensee MDPI, Basel, Switzerland. This article is an open access article distributed under the terms and conditions of the Creative Commons Attribution (CC BY) license (https://creativecommons.org/licenses/by/4.0/).
Share and Cite
Santos, R.M.B.; Cortes, R.M.V.; Fernandes, L.F.S.; Pacheco, F.A.L.; Varandas, S.D.G.P.; Monteiro, S.M.V. Combining Multiple Biomarkers to Evaluate the Environmental Stress in Cyprinid Populations. Sustainability 2022, 14, 12596. https://doi.org/10.3390/su141912596
Santos RMB, Cortes RMV, Fernandes LFS, Pacheco FAL, Varandas SDGP, Monteiro SMV. Combining Multiple Biomarkers to Evaluate the Environmental Stress in Cyprinid Populations. Sustainability. 2022; 14(19):12596. https://doi.org/10.3390/su141912596
Chicago/Turabian StyleSantos, Regina Maria Bessa, Rui Manuel Vitor Cortes, Luís Filipe Sanches Fernandes, Fernando António Leal Pacheco, Simone Da Graça Pinto Varandas, and Sandra Mariza Veiga Monteiro. 2022. "Combining Multiple Biomarkers to Evaluate the Environmental Stress in Cyprinid Populations" Sustainability 14, no. 19: 12596. https://doi.org/10.3390/su141912596
APA StyleSantos, R. M. B., Cortes, R. M. V., Fernandes, L. F. S., Pacheco, F. A. L., Varandas, S. D. G. P., & Monteiro, S. M. V. (2022). Combining Multiple Biomarkers to Evaluate the Environmental Stress in Cyprinid Populations. Sustainability, 14(19), 12596. https://doi.org/10.3390/su141912596

