Large-Grain and Semidwarf Isogenic Rice Koshihikari Integrated with GW2 and sd1
Abstract
:1. Introduction
2. Materials and Methods
2.1. Development of Koshihikari sd1GW2
2.2. Whole-Genome Sequencing Analysis
3. Results
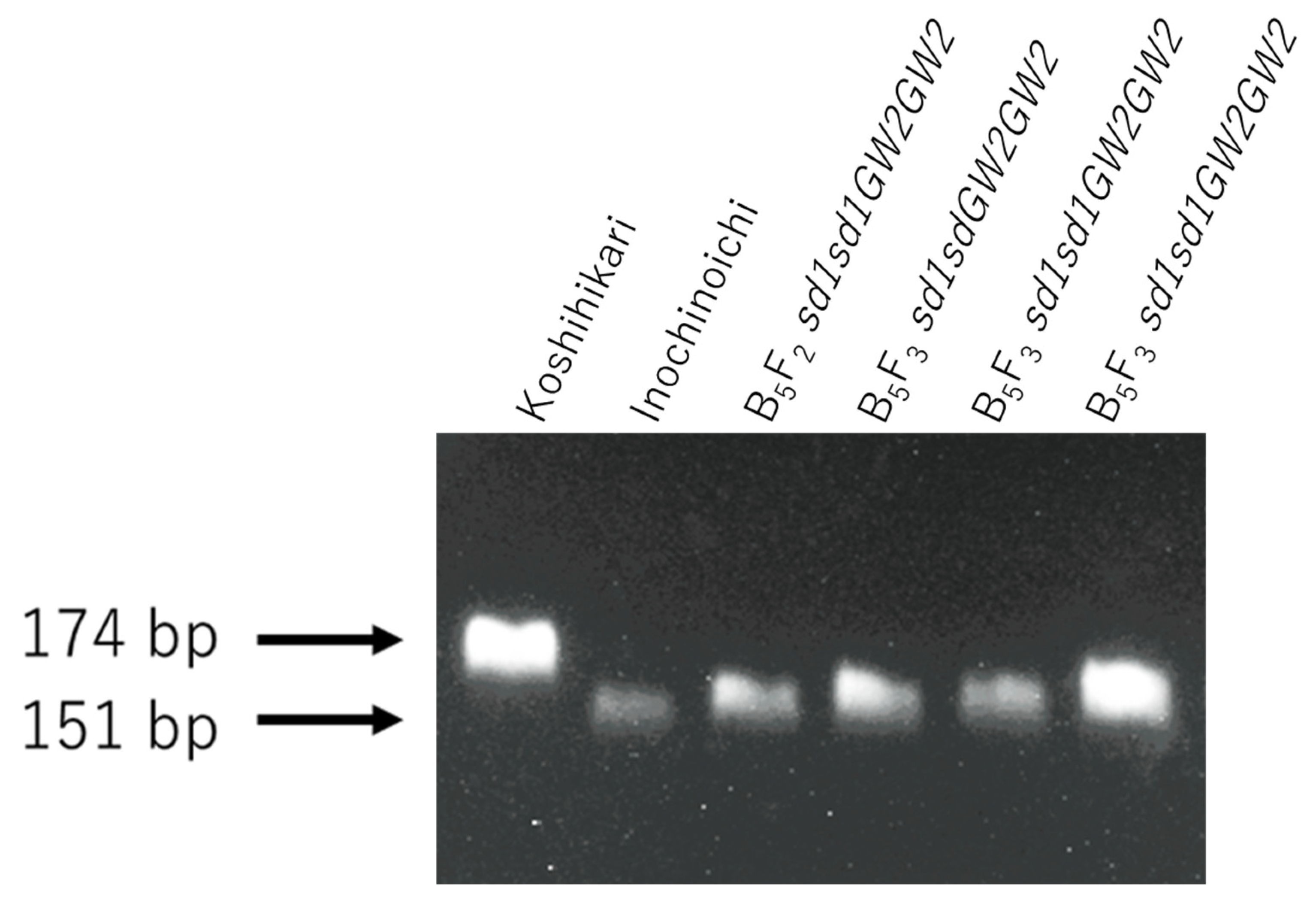
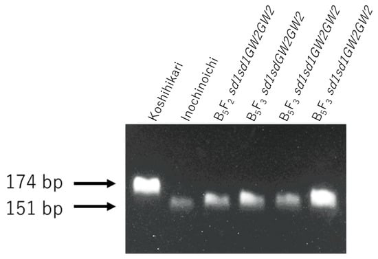
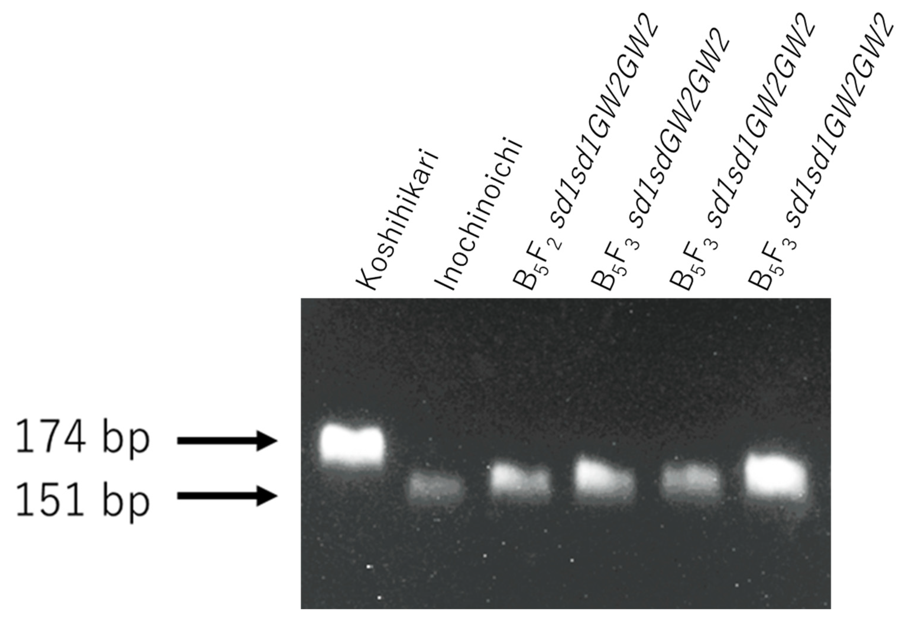
3.1. Inheritance of the Semidwarf Gene sd1 and the Large-Grain Gene Gw2 in the Genetic Background of Koshihikari
3.2. Whole-Genome Sequencing of “Koshihikari sd1GW2”
3.3. Trait Expression of “Koshihikari sd1GW2”, a Large-Grain/Semidwarf Type Isogenic Line That Integrates sd1 and GW2 in the Genetic Background of Koshihikari
4. Discussion
5. Conclusions
Author Contributions
Funding
Institutional Review Board Statement
Informed Consent Statement
Data Availability Statement
Conflicts of Interest
References
- Japan Meteorological Agency. Heisei 30 July 7 Heavy Rain and Floods. Available online: https://www.data.jma.go.jp/obd/stats/data/bosai/report/2018/20180713/20180713.html (accessed on 12 August 2022).
- Japan Meteorological Agency. 2018 (Heisei 30) Typhoons (Quick Report). Available online: https://www.jma.go.jp/jma/press/1812/21f/typhoon2018.pdf (accessed on 12 August 2022).
- Japan Meteorological Agency. Monthly Values from Observation Commencement. Available online: http://www.data.jma.go.jp/obd/stats/etrn/view/monthly_s3.php?prec_no=44&block_no=47662/ (accessed on 12 August 2022).
- Japan Ministry of Agriculture, Forestry and Fisheries. Damage Situation by Heisei 30 July 7 Heavy Rain and Floods. Available online: https://www.maff.go.jp/j/saigai/ooame/20180628.html/ (accessed on 12 August 2022).
- Japan Meteorological Agency. Long-Term Changes in the Number and Frequency of Short-Term Heavy Rains Observed at AMeDAS. Available online: http://www.jma.go.jp/jma/kishou/info/heavyraintrend.html (accessed on 12 August 2022).
- Hergrove, T.; Coffman, W.R. Breeding History. In Rice That Changed the World: Cerebrating 50 Years of IR8; Rice Today: Laguna, Philippines, 2016; pp. 6–10. [Google Scholar]
- Khush, G.S. Green revolution: Preparing for the 21st century. Genome 1999, 42, 646–655. [Google Scholar] [CrossRef] [PubMed]
- Peng, Y.L.; Hu, Y.G.; Qian, Q.; Ren, D.Y. Progress and prospect of breeding utilization of green revolution gene SD1 in rice. Agriculture 2021, 11, 611. [Google Scholar] [CrossRef]
- Gaur, V.S.; Channappa, G.; Chakraborti, M.; Sharma, T.R.; Mondal, T.K. ‘Green revolution’ dwarf gene sd1 of rice has gigantic impact. Brief. Funct. Genom. 2020, 19, 390–409. [Google Scholar] [CrossRef]
- Sasaki, A.; Ashikari, M.; Ueguchi-Tanaka, M.; Itoh, H.; Nishimura, A.; Swapan, D.; Ishiyama, K.; Saito, T.; Kobayashi, M.; Khush, G.S.; et al. Green revolution: A mutant gibberellin-synthesis gene in rice. Nature 2002, 416, 701–702. [Google Scholar] [CrossRef]
- Monna, L.; Kitazawa, N.; Yoshino, R.; Suzuki, J.; Masuda, H.; Maehara, Y.; Tanji, M.; Sato, M.; Nasu, S.; Minobe, Y. Positional cloning of rice semidwarfing gene, sd-1: Rice “Green revolution gene” encodes a mutant enzyme involved in gibberellin synthesis. DNA Res. 2002, 9, 11–17. [Google Scholar] [CrossRef]
- Spielmeyer, W.; Ellis, M.H.; Chandler, P.M. Semidwarf (sd-1), “green revolution” rice, contains a defective gibberellin 20-oxidase gene. Proc. Natl. Acad. Sci. USA 2002, 99, 9043–9048. [Google Scholar] [CrossRef]
- Cho, Y.G.; Eun, M.Y.; Kim, Y.K.; Chung, T.Y.; Chae, Y.A. The semidwarf gene, sd-1, of rice (Oryza sativa L.). 1. Linkage with the esterase locus, EstI-2. Theor. Appl. Genet. 1994, 89, 49–53. [Google Scholar] [CrossRef] [PubMed]
- Cho, Y.G.; Eun, M.Y.; McCouch, S.R.; Chae, Y.A. The semidwarf gene, sd-1, of rice (Oryza sativa L.) 2 Molecular mapping and marker-assisted selection. Theor. Appl. Genet. 1994, 89, 54–59. [Google Scholar] [CrossRef]
- Maeda, H.; Ishii, T.; Mori, H.; Kuroda, J.; Horimoto, M.; Takamure, I.; Kinoshita, T.; Kamijima, O. High density molecular map of semidwarfing gene, sd-1, in rice (Oryza sativa L.). Jpn. J. Breed. 1997, 47, 317–320. [Google Scholar] [CrossRef]
- Hedden, P. Constructing dwarf rice. Nat. Biotechnol. 2003, 21, 873–874. [Google Scholar] [CrossRef]
- Hedden, P. The genes of the Green Revolution. Trends Genet. 2003, 19, 5–9. [Google Scholar] [CrossRef]
- Tomita, M.; Ishii, K. Genetic performance of the semidwarfing allele sd1 derived from a Japonica rice cultivar and minimum requirements to detect its single-nucleotide polymorphism by MiSeq whole-genome sequencing. BioMed Res. Int. 2018, 2018, 4241725. [Google Scholar] [CrossRef] [PubMed]
- Zhang, L.; Bian, Z.; Liu, Q.Q. Exploration and selection of elite Sd1 alleles for rice design breeding. Mol. Breed. 2020, 40, 79. [Google Scholar] [CrossRef]
- San, N.S.; Suzuki, K.; Ookawa, T. Semi-dwarf 1 (sd1) gene enhances light penetration into the canopy through regulating leaf inclination angle in rice. Field Crops Res. 2020, 246, 107694. [Google Scholar] [CrossRef]
- Sha, H.J.; Liu, H.L.; Fang, J. Elite sd1 alleles in japonica rice and their breeding applications in northeast China. Crop J. 2022, 10, 224–233. [Google Scholar] [CrossRef]
- Tomita, M. Introgression of Green Revolution sd1 gene into isogenic genome of rice super cultivar Koshihikari to create novel semidwarf cultivar ‘Hikarishinseiki’ (Koshihikari-sd1). Field Crops Res. 2009, 114, 173–181. [Google Scholar] [CrossRef]
- Tomita, M.; Matsumoto, S. Transcription of rice green revolution gene sd1 is clarified by comparative RNA diagnosis using the isogenic background. Genom. Appl. Biol. 2011, 2, 29–35. [Google Scholar]
- MAFF. Hikarishinseiki varietal registration. In Official Gazette 8 November; Ministry of Agriculture, Forestry and Fisheries: Tokyo, Japan, 2004; Volume 8. [Google Scholar]
- MAFF. Hikarishinseiki brand rice description in Okayama and Tottori prefectures. In Official Gazette 28 March; Ministry of Agriculture, Forestry and Fisheries: Tokyo, Japan, 2007. [Google Scholar]
- Tomita, M. Hikarishinseiki. In Oryza sativa L. Plant Variety Protection Number: 201000072; USDA-AMS-ST-PVPO; USDA: Washington, DC, USA, 2013. Available online: http://www.ars-grin.gov/cgi-bin/npgs/pvp/showpvp.pl?pvpno=201000072 (accessed on 12 August 2022).
- Tomita, M.; Yazawa, S.; Uenishi, Y. Identification of rice large grain gene GW2 by whole-genome sequencing of a large grain-isogenic line integrated with Japonica native gene and its linkage relationship with the co-integrated semidwarf gene d60 on Chromosome 2. Int. J. Mol. Sci. 2019, 20, 5442. [Google Scholar] [CrossRef]
- Nemoto, M.; Hamasaki, T.; Matsuba, S.; Hayashi, S.; Yanagihara, S. Estimation of rice yield components with meteorological elements divided according to developmental stages. Nogyokishou 2016, 72, 128–141. [Google Scholar] [CrossRef]
- Bolger, A.M.; Lohse, M.; Usadel, B. Trimmomatic: A flexible trimmer for Illumina sequence data. Bioinformatics 2014, 30, 2114–2120. [Google Scholar] [CrossRef]
- Li, H.; Durbin, R. Fast and accurate short read alignment with Burrows-Wheeler Transform. Bioinformatics 2014, 25, 1754–1760. [Google Scholar] [CrossRef] [PubMed] [Green Version]
- Li, H.; Handsaker, B.; Wysoker, A.; Fennell, T.; Ruan, J.; Homer, N.; Marth, G.; Abecasis, G.; Durbin, R. 1000 Genome Project Data Processing Subgroup. The sequence alignment/map (SAM) format and SAMtools. Bioinformatics 2009, 25, 2078–2079. [Google Scholar] [CrossRef] [PubMed]
- McKenna, A.; Hanna, M.; Banks, E.; Sivachenko, A.; Cibulskis, K.; Kemytsky, A.; Garimella, K.; Altshuler, D.; Gabriel, S.; Daly, M.; et al. The genome analysis toolkit: A MapReduce framework for analyzing next generation DNA sequencing data. Genome Res. 2010, 20, 1297–1303. [Google Scholar] [CrossRef]
- Song, X.J.; Huang, W.; Shi, M.; Zhu, M.Z.; Lin, H.X. A QTL for rice grain width and weight encodes a previously unknown RING-type E3 ubiquitin ligase. Nat. Genet. 2007, 39, 623–630. [Google Scholar] [CrossRef] [PubMed]
- Stone, S.L.; Hauksdóttir, H.; Troy, A.; Herschleb, J.; Kraft, E.; Callis, J. Functional analysis of the RING-type ubiquitin ligase family of Arabidopsis. Plant Physiol. 2005, 137, 13–30. [Google Scholar] [CrossRef]
- Choi, B.S.; Kim, Y.J.; Markkandan, K.; Koo, Y.J.; Song, J.T.; Seo, H.S. GW2 functions as an E3 Ubiquitin ligase for rice Expansin-Like 1. Int J. Mol. Sci. 2018, 19, 1904. [Google Scholar] [CrossRef]
- Hao, J.; Wang, D.; Wu, Y.; Huang, K.; Duan, P.; Li, N.; Ran, X.; Dali, Z.; Guojun, D.; Baolan, Z.; et al. The GW2-WG1-OsbZIP47 pathway controls grain size and weight in rice. Mol. Plant 2021, 14, 1266–1280. [Google Scholar] [CrossRef]
- Verma, A.; Prakash, G.; Ranjan, R.; Tyagi, A.K.; Agarwal, P. Silencing of an ubiquitin ligase increases grain width and weight in indica rice. Front. Genet. 2021, 11, 600378. [Google Scholar] [CrossRef]
- Official Gazette No. 391, 18 March 2021, Ministry of Agriculture, Forestry and Fisheries. Plant Varietal Registration No. 28387, “Koshihaikri Suruga Gg”, Tokyo, Japan. Available online: http://www.hinshu2.maff.go.jp/vips/cmm/apCMM112.aspx?TOUROKU_NO=28387&LANGUAGE=Japanese (accessed on 12 August 2022).
- Official Gazette No. 1321, 5 August 2021, Ministry of Agriculture, Forestry and Fisheries. Plant Varietal Registration Application No. 35370, “Koshihikari Suruga sd1Gw”, Tokyo, Japan. Available online: http://www.hinshu2.maff.go.jp/vips/cmm/apCMM111.aspx?SHUTSUGAN_NO=35370&LANGUAGE=Japanese (accessed on 12 August 2022).








| Position (bp) | ID | Description |
|---|---|---|
| 7,628,443 | Os02g0234200 | NHL domain-containing protein, Determination of panicle architecture, grain shape and grain weight |
| 8,082,514 | Os02g0242550 | hydroquinone glucosyltransferase |
| Variety | Genotype | Grain Length (cm) | /Koshihikari | Grain Width (cm) | /Koshishikari | Grain Area (cm) | /Koshihikari |
|---|---|---|---|---|---|---|---|
| Koshihikari | Sd1Sd1gw2gw2 | 7.31 ± 0.14 | 1.00 | 3.49 ± 0.11 | 1.00 | 20.1 ± 1.1 | 1.00 |
| Inochinoichi | Sd1Sd1GW2GW2 | 8.36 * ± 0.26 | 1.14 | 3.84 * ± 0.11 | 1.10 | 25.7 * ± 1.9 | 1.28 |
| Koshihikari GW2 (BC6) | Sd1Sd1GW2GW2 | 7.84 * ± 0.14 | 1.07 | 3.93 * ± 0.10 | 1.13 | 24.3 * ± 1.7 | 1.21 |
| Koshihikari sd1GW2 (BC5) | sd1sd1GW2GW2 | 7.76 * ± 0.19 | 1.06 | 3.87 * ± 0.10 | 1.11 | 23.5 * ± 0.9 | 1.17 |
| Koshihikari sd1 (BC13) | sd1sd1gw2gw2 | 7.06 ± 0.24 | 0.97 | 3.21 ± 0.10 | 0.92 | 19.4 ± 0.9 | 0.97 |
| Genotypes | Days to Heading | Culm Length (cm) | Panicle Length (cm) | No. of Panicles (No./m2) | 1000-Grain Weight (g) | Grain Yield (kg/a) | Lodging Degree | Protein Content | Value of Taste |
|---|---|---|---|---|---|---|---|---|---|
| Koshihikari | 76.8 ± 1.1 | 89.6 ± 2.5 | 20.0 ± 0.5 | 347 ± 14 | 23.6 ± 0.3 | 42.4 | 3.2 ± 0.1 | 6.9 ± 0.1 | 0.00 |
| Koshihikari GW2 | 76.3 ± 1.0 | 93.6 ± 2.6 | 19.4 ± 0.4 | 290 * ± 13 | 27.7 * ± 0.4 | 41.7 | 3.0 ± 0.1 | 7.1 ± 0.2 | 0.00 |
| Koshihikari sd1 | 76.5 ± 1.1 | 74.0 * ± 1.9 | 18.8 ± 0.4 | 368 * ± 15 | 23.5 ± 0.3 | 43.3 | 0.0 * ± 0.0 | 7.0 ± 0.1 | 0.14 |
| Koshihikari sd1GW2 | 76.9 ± 1.0 | 77.0 * ± 2.2 | 18.2 ± 0.4 | 338 ± 14 | 27.8 * ± 0.4 | 42.6 | 0.0 * ± 0.0 | 7.0 ± 0.2 | −0.09 |
Publisher’s Note: MDPI stays neutral with regard to jurisdictional claims in published maps and institutional affiliations. |
© 2022 by the authors. Licensee MDPI, Basel, Switzerland. This article is an open access article distributed under the terms and conditions of the Creative Commons Attribution (CC BY) license (https://creativecommons.org/licenses/by/4.0/).
Share and Cite
Tomita, M.; Ebata, H.; Nakayama, K. Large-Grain and Semidwarf Isogenic Rice Koshihikari Integrated with GW2 and sd1. Sustainability 2022, 14, 11075. https://doi.org/10.3390/su141711075
Tomita M, Ebata H, Nakayama K. Large-Grain and Semidwarf Isogenic Rice Koshihikari Integrated with GW2 and sd1. Sustainability. 2022; 14(17):11075. https://doi.org/10.3390/su141711075
Chicago/Turabian StyleTomita, Motonori, Hideumi Ebata, and Kohei Nakayama. 2022. "Large-Grain and Semidwarf Isogenic Rice Koshihikari Integrated with GW2 and sd1" Sustainability 14, no. 17: 11075. https://doi.org/10.3390/su141711075
APA StyleTomita, M., Ebata, H., & Nakayama, K. (2022). Large-Grain and Semidwarf Isogenic Rice Koshihikari Integrated with GW2 and sd1. Sustainability, 14(17), 11075. https://doi.org/10.3390/su141711075

