Deep Learning Models for COVID-19 Detection
Abstract
:1. Introduction
- The proposed CNN learns more possible COVID-19 signs from synthetic CT images then the classic CNN models.
- The proposed novel method utilises a GAN model to generate unseen COVID-19 and normal CT images from a small database. This approach allows the CNN model to learn all possible image deformations for better modelling of the CT images. In contrast, classic CNN models build on data augmentation techniques for improved performance. However, image augmentation allows the generation of more COVID-19 and normal images with different views and orientations. This is problematic since the deformation of the lungs on CT images is the same in the generated data.
- A method is proposed for fusing synthetic and augmented CT scans for generating enhanced CNN models for COVID-19 detection.
- Data-efficient enhanced ResNet-18, ResNet-50, VGG, MobileNetV2, AlexNet, and DensNet121 models are proposed for the diagnosis of COVID-19.
2. Related Work
2.1. Convolutional Neural Networks
2.2. Generative Adversarial Networks
3. Method
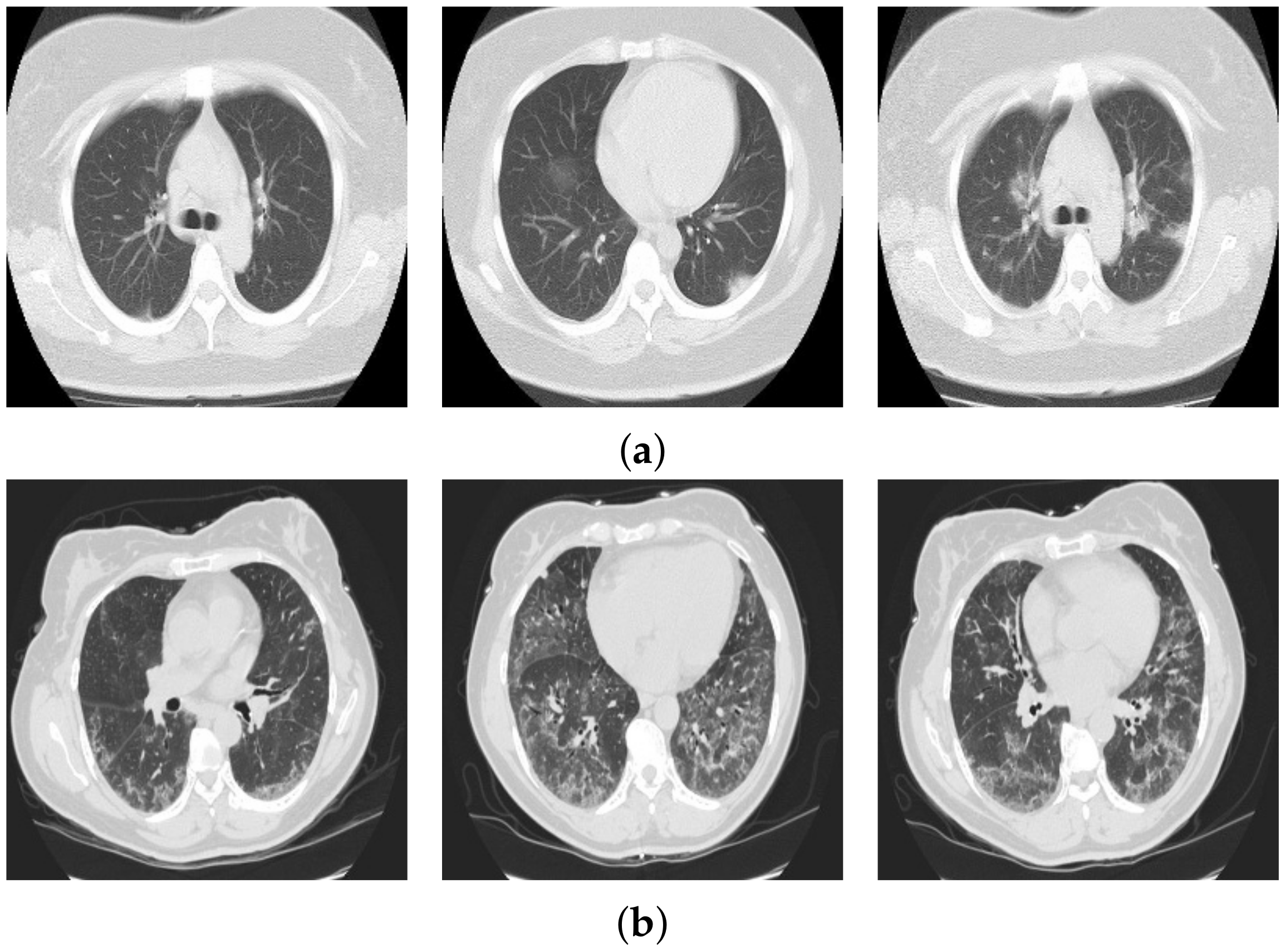
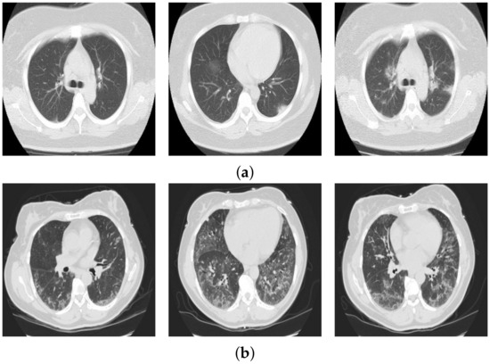
3.1. COVID19-CT Database
3.2. Mosmed Database
3.3. Augmented Datasets
3.4. Synthetic CT Image Generation


3.5. Model Generations
3.6. COVID-19 Prediction
3.7. Components of the Optimisation Function
3.8. Implementation
3.9. Softwave
4. Performance Evaluation
Comparison between Classic Deep Learning Method and Proposed Data-Efficient Method
5. Discussion
6. Conclusions
Author Contributions
Funding
Institutional Review Board Statement
Informed Consent Statement
Data Availability Statement
Conflicts of Interest
References
- Waheed, A.; Goyal, M.; Gupta, D.; Khanna, A.; Al-Turjman, F.; Pinheiro, P.R. CovidGAN: Data Augmentation Using Auxiliary Classifier GAN for Improved Covid-19 Detection. IEEE Access 2020, 8, 91916–91923. [Google Scholar] [CrossRef] [PubMed]
- Nasir, A.; Shaukat, K.; Hameed, I.A.; Luo, S.; Alam, T.M.; Iqbal, F. A Bibliometric Analysis of Corona Pandemic in Social Sciences: A Review of Influential Aspects and Conceptual Structure. IEEE Access 2020, 8, 133377–133402. [Google Scholar] [CrossRef] [PubMed]
- Alali, Y.; Harrou, F.; Sun, Y. A proficient approach to forecast COVID-19 spread via optimized dynamic machine learning models. Sci. Rep. 2022, 12, 2467. [Google Scholar] [CrossRef] [PubMed]
- Baig, T.I.; Alam, T.M.; Anjum, T.; Naseer, S.; Wahab, A.; Imtiaz, M.; Raza, M.M. Classification of Human Face: Asian and Non-Asian People. In Proceedings of the 2019 International Conference on Innovative Computing (ICIC), Seoul, Korea, 26–29 August 2019; pp. 1–6. [Google Scholar] [CrossRef]
- Alam, T.M.; Shaukat, K.; Khelifi, A.; Khan, W.A.; Raza, H.M.E.; Idrees, M.; Luo, S.; Hameed, I.A. Disease diagnosis system using IoT empowered with fuzzy inference system. Comput. Mater. Contin. 2022, 7, 5305–5319. [Google Scholar] [CrossRef]
- Kogilavani, S.; Prabhu, J.; Sandhiya, R.; Kumar, M.S.; Subramaniam, U.; Karthick, A.; Muhibbullah, M.; Imam, S.B.S. COVID-19 detection based on lung CT scan using deep learning techniques. Comput. Math. Methods Med. 2022, 2022, 7672196. [Google Scholar] [CrossRef]
- Aileni, M.; Rohela, G.K.; Jogam, P.; Soujanya, S.; Zhang, B. Biotechnological Perspectives to Combat the COVID-19 Pandemic: Precise Diagnostics and Inevitable Vaccine Paradigms. Cells 2022, 11, 1182. [Google Scholar] [CrossRef]
- Serte, S.; Demirel, H. Gabor wavelet-based deep learning for skin lesion classification. Comput. Biol. Med. 2019, 113, 103423. [Google Scholar] [CrossRef]
- Serte, S.; Demirel, H. Wavelet-based deep learning for skin lesion classification. IET Image Process. 2020, 14, 720–726. [Google Scholar] [CrossRef]
- Serener, A.; Serte, S. Geographic variation and ethnicity in diabetic retinopathy detection via deeplearning. Turk. J. Electr. Eng. Comput. Sci. 2020, 28, 664–678. [Google Scholar] [CrossRef]
- Serener, A.; Serte, S. Transfer Learning for Early and Advanced Glaucoma Detection with Convolutional Neural Networks. In Proceedings of the 2019 Medical Technologies Congress (TIPTEKNO), Izmir, Turkey, 3–5 October 2019; pp. 1–4. [Google Scholar]
- Serte, S.; Serener, A. A Generalized Deep Learning Model for Glaucoma Detection. In Proceedings of the 2019 3rd International Symposium on Multidisciplinary Studies and Innovative Technologies (ISMSIT), Ankara, Turkey, 11–13 October 2019; pp. 1–5. [Google Scholar]
- Krizhevsky, A.; Sutskever, I.; Hinton, G.E. ImageNet Classification with Deep Convolutional Neural Networks. In Advances in Neural Information Processing Systems 25; Pereira, F., Burges, C.J.C., Bottou, L., Weinberger, K.Q., Eds.; National Science Foundation: Alexandria, VA, USA, 2012; pp. 1097–1105. [Google Scholar]
- Szegedy, C.; Liu, W.; Jia, Y.; Sermanet, P.; Reed, S.; Anguelov, D.; Erhan, D.; Vanhoucke, V.; Rabinovich, A. Going deeper with convolutions. In Proceedings of the 2015 IEEE Conference on Computer Vision and Pattern Recognition (CVPR), Boston, MA, USA, 7–12 June 2015; pp. 1–9. [Google Scholar]
- Simonyan, K.; Zisserman, A. Very Deep Convolutional Networks for Large-Scale Image Recognition. arXiv 2014, arXiv:1409.1556. [Google Scholar]
- Sandler, M.; Howard, A.; Zhu, M.; Zhmoginov, A.; Chen, L. MobileNetV2: Inverted Residuals and Linear Bottlenecks. In Proceedings of the 2018 IEEE/CVF Conference on Computer Vision and Pattern Recognition, Salt Lake City, UT, USA, 18–23 June 2018; pp. 4510–4520. [Google Scholar]
- He, K.; Zhang, X.; Ren, S.; Sun, J. Deep Residual Learning for Image Recognition. In Proceedings of the 2016 IEEE Conference on Computer Vision and Pattern Recognition (CVPR), Las Vegas, NV, USA, 27–30 June 2016; pp. 770–778. [Google Scholar]
- Huang, G.; Liu, Z.; van der Maaten, L.; Weinberger, K.Q. Densely Connected Convolutional Networks. arXiv 2016, arXiv:1608.06993. [Google Scholar]
- Deng, J.; Dong, W.; Socher, R.; Li, L.J.; Li, K.; Fei-Fei, L. ImageNet: A Large-Scale Hierarchical Image Database. In Proceedings of the 2009 IEEE Conference on Computer Vision and Pattern Recognition, Miami, FL, USA, 20–25 June 2009. [Google Scholar]
- Almezhghwi, K.; Serte, S.; Al-Turjman, F. Convolutional neural networks for the classification of chest X-rays in the IoT era. Multimed. Tools Appl. 2021, 80, 29051–29065. [Google Scholar] [CrossRef] [PubMed]
- Serte, S.; Demirel, H. Deep learning for diagnosis of COVID-19 using 3D CT scans. Comput. Biol. Med. 2021, 132, 104306. [Google Scholar] [CrossRef]
- Serte, S.; Serener, A. Graph-based saliency and ensembles of convolutional neural networks for glaucoma detection. IET Image Process. 2021, 15, 797–804. [Google Scholar] [CrossRef]
- Serte, S.; Serener, A.; Al-Turjman, F. Deep learning in medical imaging: A brief review. Trans. Emerg. Telecommun. Technol. 2020, e4080. [Google Scholar] [CrossRef]
- He, X.; Yang, X.; Zhang, S.; Zhao, J.; Zhang, Y.; Xing, E.; Xie, P. Sample-Efficient Deep Learning for COVID-19 Diagnosis Based on CT Scans. medRxiv 2020. [Google Scholar] [CrossRef]
- Hu, S.; Gao, Y.; Niu, Z.; Jiang, Y.; Li, L.; Xiao, X.; Wang, M.; Fang, E.F.; Menpes-Smith, W.; Xia, J.; et al. Weakly Supervised Deep Learning for COVID-19 Infection Detection and Classification From CT Images. IEEE Access 2020, 8, 118869–118883. [Google Scholar] [CrossRef]
- Mei, X.; Lee, H.C.; Diao, K.Y.; Huang, M.; Lin, B.; Liu, C.; Xie, Z.; Ma, Y.; Robson, P.; Chung, M.; et al. Artificial intelligence–enabled rapid diagnosis of patients with COVID-19. Nat. Med. 2020, 26, 1224–1228. [Google Scholar] [CrossRef]
- Harmon, S.A.; Sanford, T.H.; Xu, S.; Turkbey, E.B.; Roth, H.; Xu, Z.; Yang, D.; Myronenko, A.; Anderson, V.; Amalou, A.; et al. Artificial intelligence for the detection of COVID-19 pneumonia on chest CT using multinational datasets. Nat. Commun. 2020, 11, 4080. [Google Scholar] [CrossRef]
- Bhandary, A.; Prabhu, G.A.; Rajinikanth, V.; Thanaraj, K.P.; Satapathy, S.C.; Robbins, D.E.; Shasky, C.; Zhang, Y.D.; Tavares, J.M.R.; Raja, N.S.M. Deep-learning framework to detect lung abnormality–A study with chest X-ray and lung CT scan images. Pattern Recognit. Lett. 2020, 129, 271–278. [Google Scholar] [CrossRef]
- Butt, C.; Gill, J.; Chun, D.; Babu, B.A. Deep learning system to screen coronavirus disease 2019 pneumonia. Appl. Intell. 2020, 1–7. [Google Scholar] [CrossRef]
- Loey, M.; Manogaran, G.; Khalifa, N.E.M. A deep transfer learning model with classical data augmentation and CGAN to detect COVID-19 from chest CT radiography digital images. Neural Comput. Appl. 2020, 1–13. [Google Scholar] [CrossRef] [PubMed]
- Yi, X.; Walia, E.; Babyn, P. Generative adversarial network in medical imaging: A review. Med. Image Anal. 2019, 58, 101552. [Google Scholar] [CrossRef] [PubMed] [Green Version]
- Goodfellow, I.; Pouget-Abadie, J.; Mirza, M.; Xu, B.; Warde-Farley, D.; Ozair, S.; Courville, A.; Bengio, Y. Generative Adversarial Nets. In Advances in Neural Information Processing Systems 27; Ghahramani, Z., Welling, M., Cortes, C., Lawrence, N.D., Weinberger, K.Q., Eds.; Curran Associates, Inc.: Red Hook, NY, USA, 2014; pp. 2672–2680. [Google Scholar]
- Goodfellow, I.J.; Shlens, J.; Szegedy, C. Explaining and Harnessing Adversarial Examples. arXiv 2014, arXiv:1412.6572. [Google Scholar]
- Radford, A.; Metz, L.; Chintala, S. Unsupervised Representation Learning with Deep Convolutional Generative Adversarial Networks. arXiv 2015, arXiv:1511.06434. [Google Scholar]
- Morozov, S.P.; Andreychenko, A.E.; Pavlov, N.A.; Vladzymyrskyy, A.V.; Ledikhova, N.V.; Gombolevskiy, V.A.; Blokhin, I.A.; Gelezhe, P.B.; Gonchar, A.V.; Chernina, V.Y. MosMedData: Chest CT Scans With COVID-19 Related Findings Dataset. arXiv 2020, arXiv:2005.06465. [Google Scholar]
- Acar, E.; Şahin, E.; Yılmaz, İ. Improving effectiveness of different deep learning-based models for detecting COVID-19 from computed tomography (CT) images. Neural Comput. Appl. 2021, 33, 17589–17609. [Google Scholar] [CrossRef]

| CT-Scan | Dataset | Train | Test |
|---|---|---|---|
| COVID-19 | COVID19-CT | 324 | 40 |
| Normal | COVID19-CT | 293 | 37 |
| COVID-19 | Mosmed | 168 | 20 |
| Normal | Mosmed | 168 | 20 |
| Data | CT-Scan | Dataset | Train | Test |
|---|---|---|---|---|
| Aug. | COVID-19 | COVID19-CT | 1393 | 40 |
| Aug. | Normal | COVID19-CT | 1672 | 37 |
| GAN | COVID-19 | COVID19-CT | 500 | 40 |
| GAN | Normal | COVID19-CT | 500 | 37 |
| Aug+GAN | Normal | COVID19-CT | 2172 | 37 |
| Aug+GAN | COVID-19 | COVID19-CT | 1893 | 37 |
| Aug | COVID-19 | Mosmed | 1087 | 23 |
| Aug | Normal | Mosmed | 1069 | 23 |
| GAN | COVID-19 | Mosmed | 128 | 23 |
| GAN | Normal | Mosmed | 128 | 23 |
| Aug+GAN | Normal | Mosmed | 1197 | 23 |
| Aug+GAN | COVID-19 | Mosmed | 1218 | 23 |
| Network | Disease | Data | AUC | ACC | SE | SP |
|---|---|---|---|---|---|---|
| Resnet18 | COVID19-CT | Aug | 0.77 | 0.75 | 0.83 | 0.71 |
| Resnet18 | COVID19-CT | Aug+GAN | 0.89 | 0.74 | 0.88 | 0.68 |
| Resnet50 | COVID19-CT | Aug | 0.71 | 0.77 | 0.86 | 0.72 |
| Resnet50 | COVID19-CT | Aug+GAN | 0.81 | 0.73 | 0.95 | 0.66 |
| Vgg | COVID19-CT | Aug | 0.65 | 0.75 | 0.86 | 0.70 |
| Vgg | COVID19-CT | Aug+GAN | 0.67 | 0.76 | 0.87 | 0.70 |
| MobileNetV2 | COVID19-CT | Aug | 0.71 | 0.73 | 0.82 | 0.69 |
| MobileNetV2 | COVID19-CT | Aug+GAN | 0.77 | 0.73 | 0.84 | 0.68 |
| Densenet121 | COVID19-CT | Aug | 0.70 | 0.74 | 0.87 | 0.69 |
| Densenet121 | COVID19-CT | Aug+GAN | 0.77 | 0.67 | 0.92 | 0.61 |
| AlexNet | COVID19-CT | Aug | 0.60 | 0.67 | 0.72 | 0.64 |
| AlexNet | COVID19-CT | Aug+GAN | 0.80 | 0.69 | 0.88 | 0.64 |
| AlexNet | MosMed | Aug | 0.71 | 0.70 | 1.00 | 0.63 |
| AlexNet | MosMed | Aug+GAN | 0.73 | 0.66 | 0.89 | 0.60 |
| MobileNetV2 | MosMed | Aug | 0.77 | 0.67 | 0.69 | 0.65 |
| MobileNetV2 | MosMed | Aug+GAN | 0.84 | 0.62 | 0.65 | 0.60 |
| Resnet50 | MosMed | Aug | 0.74 | 0.69 | 0.69 | 0.69 |
| Resnet50 | MosMed | Aug+GAN | 0.78 | 0.69 | 0.69 | 0.69 |
| Resnet18 | MosMed | Aug | 0.70 | 0.67 | 0.68 | 0.66 |
| Resnet18 | MosMed | Aug+GAN | 0.75 | 0.69 | 0.69 | 0.69 |
| Vgg | MosMed | MA | 0.63 | 0.69 | 0.71 | 0.68 |
| Vgg | MosMed | Aug+GAN | 0.71 | 0.66 | 0.67 | 0.64 |
| Densenet121 | MosMed | Aug | 0.60 | 0.65 | 0.64 | 0.65 |
| Densenet121 | MosMed | Aug+GAN | 0.62 | 0.61 | 0.63 | 0.60 |
Publisher’s Note: MDPI stays neutral with regard to jurisdictional claims in published maps and institutional affiliations. |
© 2022 by the authors. Licensee MDPI, Basel, Switzerland. This article is an open access article distributed under the terms and conditions of the Creative Commons Attribution (CC BY) license (https://creativecommons.org/licenses/by/4.0/).
Share and Cite
Serte, S.; Dirik, M.A.; Al-Turjman, F. Deep Learning Models for COVID-19 Detection. Sustainability 2022, 14, 5820. https://doi.org/10.3390/su14105820
Serte S, Dirik MA, Al-Turjman F. Deep Learning Models for COVID-19 Detection. Sustainability. 2022; 14(10):5820. https://doi.org/10.3390/su14105820
Chicago/Turabian StyleSerte, Sertan, Mehmet Alp Dirik, and Fadi Al-Turjman. 2022. "Deep Learning Models for COVID-19 Detection" Sustainability 14, no. 10: 5820. https://doi.org/10.3390/su14105820
APA StyleSerte, S., Dirik, M. A., & Al-Turjman, F. (2022). Deep Learning Models for COVID-19 Detection. Sustainability, 14(10), 5820. https://doi.org/10.3390/su14105820

