Bullous Pemphigoid Overlapping Psoriasis Vulgaris: A Rare Case Report and Literature Review
Abstract
1. Introduction
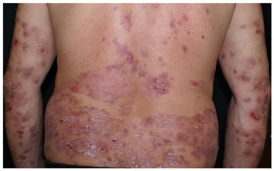
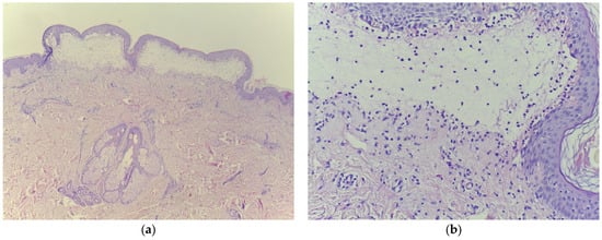
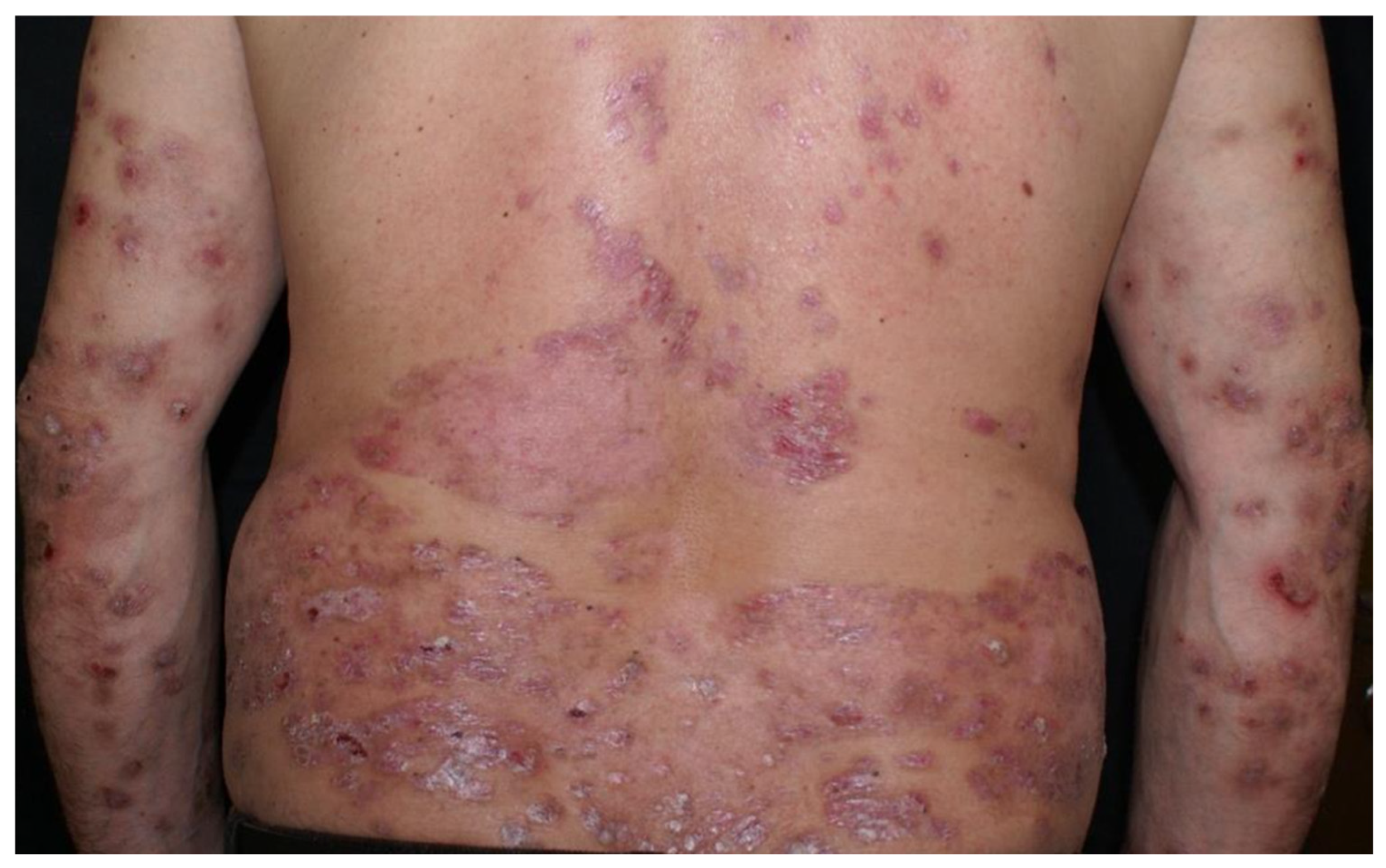
2. Bullous Pemphigoid Overlapping Psoriasis Vulgaris: A Rare Case Report
3. Bullous Pemphigoid Overlapping Psoriasis Vulgaris: Potential Pathogenic Mechanisms
3.1. Genetic Factors
3.2. Immunological Insights
3.3. Potential Triggers
3.3.1. Viral Infections as Triggers in Disease Development
3.3.2. Psoriasis Vulgaris Medications as Triggers in Disease Development
3.3.3. Non-Psoriasis Medications as Triggers in Disease Development
3.3.4. Rare and Atypical Triggering Factors
4. Bullous Pemphigoid Overlapping Psoriasis Vulgaris: Therapeutic Strategies
4.1. Topical Treatments
4.2. Phototherapy
4.3. Immunosuppresive Systemic Therapy
4.4. Immune-Regulating Therapies
4.5. Biological Treatments
4.6. Targeted Therapies
4.7. Future Approaches
4.8. Combined Therapies
| Target | PV | BP | PV and BP (Case Reports) | |
|---|---|---|---|---|
| LOCAL TREATMENT | ||||
| Calcineurin inhibitors | Calcineurin | +[60] | +[60] | - |
| Vitamin D3 analogs | Vitamin D receptor | +[60] | - | - |
| Corticosteroids | Glucocorticoid receptor | +[60] | +[53,60] | - |
| Phototherapy | DNA, T-cells | +[60,77,78,79] | - | - |
| PUVA | DNA, T-cells | +[60,79] | - | - |
| SYSTEMIC TREATMENTS | ||||
| Conventional Systemic Therapies | ||||
| Methotrexate | DHFR | +[60,77,78,79,80] | +[53,60] | +[55,75,81,82,83,84,85,86] |
| Cyclosporin | Calcineurin | +[60,77,78,79,80] | - | +[87] |
| Retinoids—acitretin | Retinoic acid receptors | +[60,77,78,79,80] | - | - |
| Corticosteroids | Glucocorticoid receptor | - | +[53,60] | - |
| Azathioprine | Purine synthesis | - | +[53] | - |
| Mycophenolate mofetil | Inosine monophosphate dehydrogenaze | - | +[53,60] | +[88] |
| Fumaric acids | NRF2 pathway | +[77,80] | - | +[22] |
| Biologic Therapies | ||||
| Anti- TNF-α | ||||
| Adalimumab | TNF-α | +[77,78,79,80] | - | - |
| Infliximab | TNF-α | +[77,78,79,80] | - | - |
| Certolizumab pegol | TNF-α | +[80] | - | - |
| Etanercept | TNF-α receptor fusion protein | +[77,78,79,80] | - | +[89,90,91,92] |
| Anti IL-12/IL-23 | ||||
| Ustekinumab | IL-12 and IL-23, p40 subunit | +[77,78,79,80] | - | +[93] |
| Guselkumab | IL-23, p19 subunit | +[80] | - | - |
| Tildrakizumab | IL-23, p19 subunit | +[80] | - | - |
| Risankizumab | IL-23, p19 subunit | +[80] | - | - |
| Anti- IL-17 | ||||
| Secukinumab | IL-17 receptor A | +[79,80] | -[64] | +[94,95] |
| Ixekizumab | IL-17 receptor A | +[79,80] | - | +[62,96] |
| Brodalumab | IL-17 receptor A | +[80] | - | - |
| Bimekizumab | IL-17 receptors A, F and AF | |||
| Other Biologic Therapies | ||||
| Efalizumab | CD11a (LFA-1) | +[77] | - | - |
| Alefacept | CD2 | +[77] | - | - |
| Omalizumab | IgE | - | +[53,60] | - |
| Rituximab | CD20 | - | +[53,60] | - |
| Dupilumab | IL-4/IL-30 | - | +[53] | - |
| Spesolimab | IL-36 | |||
| Targeted therapies | ||||
| Tofacitinib | JAK1/JAK3 | - | - | +[70] |
| Baricitinib | JAK1/JAK2 | - | - | +[70,97,98] |
| Upadacitinib | JAK1 | ? | ? | +[69] |
| Apremilast | PDE4 | +[78,79,80] | - | - |
| Deucravacitinib | TYK2 | +[99] | - | - |
| Others Systemic Therapies | ||||
| Dapsone | DHFR | - | +[53,60] | +[22,85] |
| Doxycycline | 30S ribosomal subunit | - | +[53] | - |
| Immunoglobulins | Broad immune modulation | - | +[53,60] | - |
| Immunoadsorption | Autoantibody removal | - | +[53] | - |
5. Conclusions
6. Future Directions
Author Contributions
Funding
Institutional Review Board Statement
Informed Consent Statement
Conflicts of Interest
References
- Moro, F.; Fania, L.; Sinagra, J.L.M.; Salemme, A.; Di Zenzo, G. Bullous Pemphigoid: Trigger and Predisposing Factors. Biomolecules 2020, 10, 1432. [Google Scholar] [CrossRef] [PubMed]
- Miyamoto, D.; Santi, C.G.; Aoki, V.; Maruta, C.W. Bullous pemphigoid. An. Bras. Dermatol. 2019, 94, 133–146. [Google Scholar] [CrossRef] [PubMed]
- Kridin, K.; Ludwig, R.J. The Growing Incidence of Bullous Pemphigoid: Overview and Potential Explanations. Front. Med. 2018, 5, 220. [Google Scholar] [CrossRef] [PubMed]
- Liu, Y.D.; Wang, Y.H.; Ye, Y.C.; Zhao, W.L.; Li, L. Prognostic factors for mortality in patients with bullous pemphigoid: A meta-analysis. Arch. Dermatol. Res. 2017, 309, 335–347. [Google Scholar] [CrossRef]
- Olson, N.; Eckhardt, D.; Delano, A. New-Onset Bullous Pemphigoid in a COVID-19 Patient. Case Rep. Dermatol. Med. 2021, 2021, 5575111. [Google Scholar] [CrossRef]
- Diab, R.; Rakhshan, A.; Salarinejad, S.; Pourani, M.R.; Ansar, P.; Abdollahimajd, F. Clinicopathological characteristics of cutaneous complications following COVID-19 vaccination: A case series. J. Cosmet. Dermatol. 2024, 23, 725–730. [Google Scholar] [CrossRef]
- Maronese, C.A.; Caproni, M.; Moltrasio, C.; Genovese, G.; Vezzoli, P.; Sena, P.; Previtali, G.; Cozzani, E.; Gasparini, G.; Parodi, A.; et al. Bullous Pemphigoid Associated with COVID-19 Vaccines: An Italian Multicentre Study. Front. Med. 2022, 9, 841506. [Google Scholar] [CrossRef]
- Baigrie, D.; Nookala, V. Bullous Pemphigoid. In StatPearls; StatPearls Publishing: Treasure Island, FL, USA, 2023. [Google Scholar]
- Weigand, D.A.; Clements, M.K. Direct immunofluorescence in bullous pemphigoid: Effects of extent and location of lesions. J. Am. Acad. Dermatol. 1989, 20, 437–440. [Google Scholar] [CrossRef]
- Mutasim, D.F.; Adams, B.B. Immunofluorescence in dermatology. J. Am. Acad. Dermatol. 2001, 45, 803–822, quiz 822–804. [Google Scholar] [CrossRef]
- Keller, J.J.; Kittridge, A.L.; Debanne, S.M.; Korman, N.J. Evaluation of ELISA testing for BP180 and BP230 as a diagnostic modality for bullous pemphigoid: A clinical experience. Arch. Dermatol. Res. 2016, 308, 269–272. [Google Scholar] [CrossRef]
- Lazarova, Z.; Yancey, K.B. Reactivity of autoantibodies from patients with defined subepidermal bullous diseases against 1 mol/L salt-split skin. Specificity, sensitivity, and practical considerations. J. Am. Acad. Dermatol. 1996, 35, 398–403. [Google Scholar] [CrossRef] [PubMed]
- Barnadas, M.A.; Gelpi, C.; Curell, R.; de Moragas, J.M.; Alomar, A. Repeat direct immunofluorescence (DIF) test, using, 1 M NaCl treated skin, in the subepidermal autoimmune bullous diseases that contain IgG at the dermal epidermal junction. J. Cutan. Pathol. 1999, 26, 37–41. [Google Scholar] [CrossRef] [PubMed]
- Drenovska, K.; Valeva, E.; Shahid, M.; Vassileva, S. Case Report: Coexistence of bullous pemphigoid and psoriasis: Therapeutic challenge and IL17A-targeted parallel treatment strategy. Front. Med. 2023, 10, 1148660. [Google Scholar] [CrossRef]
- Kridin, K.; Ludwig, R.J.; Schonmann, Y.; Damiani, G.; Cohen, A.D. The Bidirectional Association Between Bullous Pemphigoid and Psoriasis: A Population-Based Cohort Study. Front. Med. 2020, 7, 511. [Google Scholar] [CrossRef]
- Husein-ElAhmed, H.; Steinhoff, M. Bullous pemphigoid induced by biologic drugs in psoriasis: A systematic review. J. Dermatol. Treat. 2022, 33, 2886–2893. [Google Scholar] [CrossRef]
- Goyal, N.; Rao, R.; Shenoi, S.D.; Pai, S.; Kumar, P.; Bhogal, B.S.; Schmidt, E.; Zillikens, D. Epidermolysis bullosa acquisita and anti-p200 pemphigoid as major subepidermal autoimmune bullous diseases diagnosed by floor binding on indirect immunofluorescence microscopy using human salt-split skin. Indian. J. Dermatol. Venereol. Leprol. 2017, 83, 550–555. [Google Scholar] [CrossRef]
- Kridin, K.; Kneiber, D.; Kowalski, E.H.; Valdebran, M.; Amber, K.T. Epidermolysis bullosa acquisita: A comprehensive review. Autoimmun. Rev. 2019, 18, 786–795. [Google Scholar] [CrossRef]
- Di Lernia, V.; Casanova, D.M.; Goldust, M.; Ricci, C. Pemphigus Vulgaris and Bullous Pemphigoid: Update on Diagnosis and Treatment. Dermatol. Pract. Concept. 2020, 10, e2020050. [Google Scholar] [CrossRef]
- Rao, R.; Gupta, A.; Yunis, F.; Handettu, S.; Chandrashekar, B. Coexistence of psoriasis with bullous pemphigoid. Indian. Dermatol. Online J. 2012, 3, 119–121. [Google Scholar] [CrossRef]
- Grunwald, M.H.; David, M.; Feuerman, E.J. Coexistence of psoriasis vulgaris and bullous diseases. J. Am. Acad. Dermatol. 1985, 13, 224–228. [Google Scholar] [CrossRef]
- Wilczek, A.; Sticherling, M. Concomitant psoriasis and bullous pemphigoid: Coincidence or pathogenic relationship? Int. J. Dermatol. 2006, 45, 1353–1357. [Google Scholar] [CrossRef] [PubMed]
- Chan, L.S.; Vanderlugt, C.J.; Hashimoto, T.; Nishikawa, T.; Zone, J.J.; Black, M.M.; Wojnarowska, F.; Stevens, S.R.; Chen, M.; Fairley, J.A.; et al. Epitope Spreading: Lessons From Autoimmune Skin Diseases. J. Investig. Dermatol. 1998, 110, 103–109. [Google Scholar] [CrossRef]
- Wang, X.; Zhu, Z. Causal Relationship Between Psoriasis and Bullous Pemphigoid: A Mendelian Randomization Analysis. Dermatol. Pract. Concept. 2025, 15, 4458. [Google Scholar] [CrossRef] [PubMed]
- Olanrewaju, H.A.; Qin, W.; Feoktistov, I.; Scemama, J.L.; Mustafa, S.J. Adenosine A(2A) and A(2B) receptors in cultured human and porcine coronary artery endothelial cells. Am J Physiol Heart Circ Physiol. 2000, 279, H650–H656. [Google Scholar] [CrossRef]
- Ludwig, R.J.; Vanhoorelbeke, K.; Leypoldt, F.; Kaya, Z.; Bieber, K.; McLachlan, S.M.; Komorowski, L.; Luo, J.; Cabral-Marques, O.; Hammers, C.M.; et al. Mechanisms of Autoantibody-Induced Pathology. Front. Immunol. 2017, 8, 603. [Google Scholar] [CrossRef] [PubMed]
- Kirtschig, G.; Chow, E.T.; Venning, V.A.; Wojnarowska, F.T. Acquired subepidermal bullous diseases associated with psoriasis: A clinical, immunopathological and immunogenetic study. Br. J. Dermatol. 1996, 135, 738–745. [Google Scholar] [CrossRef]
- Ciolfi, C.; Sernicola, A.; Alaibac, M. HLA-Cw6 Polymorphism in Autoimmune Blistering Diseases. Biomolecules 2024, 14, 1150. [Google Scholar] [CrossRef]
- Chen, L.; Tsai, T.F. HLA-Cw6 and psoriasis. Br. J. Dermatol. 2018, 178, 854–862. [Google Scholar] [CrossRef]
- Maronese, C.A.; Cassano, N.; Genovese, G.; Foti, C.; Vena, G.A.; Marzano, A.V. The Intriguing Links between Psoriasis and Bullous Pemphigoid. J. Clin. Med. 2022, 12, 328. [Google Scholar] [CrossRef]
- Ameglio, F.; D’Auria, L.; Bonifati, C.; Ferraro, C.; Mastroianni, A.; Giacalone, B. Cytokine pattern in blister fluid and serum of patients with bullous pemphigoid: Relationships with disease intensity. Br. J. Dermatol. 1998, 138, 611–614. [Google Scholar] [CrossRef]
- Karakioulaki, M.; Eyerich, K.; Patsatsi, A. Advancements in Bullous Pemphigoid Treatment: A Comprehensive Pipeline Update. Am. J. Clin. Dermatol. 2024, 25, 195–212. [Google Scholar] [CrossRef] [PubMed]
- Cozma, E.C.; Avram, I.; Voiculescu, V.M.; Mihai, M.M.; Găman, A.M. Correlations between Gut Microbiota and Hematological, Inflammatory, Biochemical and Oxidative Stress Parameters in Treatment-Naïve Psoriasis Patients. Int. J. Mol. Sci. 2024, 25, 6649. [Google Scholar] [CrossRef] [PubMed]
- Sagi, L.; Baum, S.; Agmon-Levin, N.; Sherer, Y.; Katz, B.S.; Barzilai, O.; Ram, M.; Bizzaro, N.; SanMarco, M.; Trau, H.; et al. Autoimmune bullous diseases the spectrum of infectious agent antibodies and review of the literature. Autoimmun. Rev. 2011, 10, 527–535. [Google Scholar] [CrossRef] [PubMed]
- Kasperkiewicz, M.; Woodley, D.T. COVID-19 and autoimmune bullous diseases: Lessons learned. Autoimmun. Rev. 2023, 22, 103286. [Google Scholar] [CrossRef]
- Daoud, M.S.; Gibson, L.E.; Daoud, S.; el-Azhary, R.A. Chronic hepatitis C and skin diseases: A review. Mayo Clin. Proc. 1995, 70, 559–564. [Google Scholar] [CrossRef]
- Phan, K.; Goyal, S.; Murrell, D.F. Association between bullous pemphigoid and psoriasis: Systematic review and meta-analysis of case-control studies. Australas. J. Dermatol. 2019, 60, 23–28. [Google Scholar] [CrossRef]
- Burlando, M.; Capurro, N.; Herzum, A.; Cozzani, E.; Parodi, A. Guselkumab-associated bullous pemphigoid in a psoriasis patient: A case report and review of the literature. Dermatol. Ther. 2022, 35, e15207. [Google Scholar] [CrossRef]
- Verheyden, M.J.; Bilgic, A.; Murrell, D.F. A Systematic Review of Drug-Induced Pemphigoid. Acta Derm. Venereol. 2020, 100, adv00224. [Google Scholar] [CrossRef]
- Lloyd-Lavery, A.; Chi, C.C.; Wojnarowska, F.; Taghipour, K. The associations between bullous pemphigoid and drug use: A UK case-control study. JAMA Dermatol. 2013, 149, 58–62. [Google Scholar] [CrossRef]
- Baz, K.; Ikizoglu, G.; Kaya, T.I.; Koca, A. Furosemide-induced bullous pemphigoid. J. Eur. Acad. Dermatol. Venereol. 2002, 16, 81–82. [Google Scholar] [CrossRef]
- Warner, C.; Kwak, Y.; Glover, M.H.; Davis, L.S. Bullous pemphigoid induced by hydrochlorothiazide therapy. J. Drugs Dermatol. 2014, 13, 360–362. [Google Scholar]
- Grange, F.; Scrivener, Y.; Koessler, A.; Straub, P.; Guillaume, J.C. Spironolactone-induced pemphigoid. Ann. Dermatol. Venereol. 1997, 124, 700–702. [Google Scholar] [PubMed]
- Mallet, L.; Cooper, J.W.; Thomas, J. Bullous pemphigoid associated with captopril. DICP 1989, 23, 63. [Google Scholar] [CrossRef] [PubMed]
- Ruocco, V.; de Luca, M.; Pisani, M.; de Angelis, E.; Vitale, O.; Astarita, C. Pemphigus provoked by D(-)penicillamine. An experimental approach using in vitro tissue cultures. Dermatologica 1982, 164, 236–248. [Google Scholar] [CrossRef] [PubMed]
- Ruocco, V.; Sacerdoti, G. Pemphigus and bullous pemphigoid due to drugs. Int. J. Dermatol. 1991, 30, 307–312. [Google Scholar] [CrossRef]
- Popa, L.G.; Giurcaneanu, C.; Portelli, M.G.; Mihai, M.M.; Beiu, C.; Orzan, O.A.; Ion, A.; Anghel, T.H. Perspectives on Psoriasiform Adverse Events from Immune Checkpoint Inhibitors: Lessons Learned from Our Practice. Medicina 2024, 60, 373. [Google Scholar] [CrossRef]
- Kochi, Y.; Miyachi, H.; Tagashira, R.; Koga, H.; Ishii, N.; Sugiura, K.; Ikeda, J.I.; Matsue, H.; Inozume, T. Simultaneous development of generalized pustular psoriasis and pemphigoid with multiple autoantibodies in a complete responder of pembrolizumab for lung cancer. J. Dermatol. 2023, 50, 1343–1346. [Google Scholar] [CrossRef]
- Dinc, B.; Sahin, C. Metastatic glucagonoma. Eurasian J. Med. 2009, 41, 70–72. [Google Scholar]
- Beattie, P.E.; Fleming, C.J.; Evans, A.T.; Sheppard, D.G.; Leese, G.P.; Dow, E.; Tait, I.S. Glucagonoma syndrome presenting as psoriasis. QJM 2002, 95, 834–835. [Google Scholar] [CrossRef]
- Martin, C.S.; Parfeni, O.D.; Popa, L.G.; Mihai, M.M.; Terzea, D.; Herlea, V.; Gherghe, M.; Adam, R.; Alnuaimi, O.; Calu, V.; et al. How Many Times Can One Go Back to the Drawing Board before the Accurate Diagnosis and Surgical Treatment of Glucagonoma? Diagnostics 2022, 12, 216. [Google Scholar] [CrossRef]
- Scheibner, K.A.; Boodoo, S.; Collins, S.; Black, K.E.; Chan-Li, Y.; Zarek, P.; Powell, J.D.; Horton, M.R. The adenosine a2a receptor inhibits matrix-induced inflammation in a novel fashion. Am. J. Respir. Cell Mol. Biol. 2009, 40, 251–259. [Google Scholar] [CrossRef] [PubMed]
- Borradori, L.; Van Beek, N.; Feliciani, C.; Tedbirt, B.; Antiga, E.; Bergman, R.; Bockle, B.C.; Caproni, M.; Caux, F.; Chandran, N.S.; et al. Updated S2 K guidelines for the management of bullous pemphigoid initiated by the European Academy of Dermatology and Venereology (EADV). J. Eur. Acad. Dermatol. Venereol. 2022, 36, 1689–1704. [Google Scholar] [CrossRef] [PubMed]
- Noreen, A.; Sultana, S.; Sultana, T.; Tabasum, S.; Zia, K.M.; Muzammil, Z.; Jabeen, M.; Lodhi, A.Z.; Sultana, S. Natural Polymers as Constituents of Bionanocomposites; Elsevier: Amsterdam, The Netherlands, 2020; pp. 55–85. [Google Scholar] [CrossRef]
- Vargas, P.; Giacaman, P.; Fernández, J.; Morales, C. Bullous pemphigoid associated with psoriasis: A good response to methotrexate. An. Bras. Dermatol. 2019, 94, 224–226. [Google Scholar] [CrossRef] [PubMed]
- Trovato, E.; Dragotto, M.; Castellano, R.; Capalbo, E.; Rubegni, P. Bullous pemphigoid induced by adalimumab in a patient with psoriasis. Ital. J. Dermatol. Venerol. 2024, 159, 676–677. [Google Scholar] [CrossRef]
- Katebi, M.; Soleimani, M.; Cronstein, B.N. Adenosine A2A receptors play an active role in mouse bone marrow-derived mesenchymal stem cell development. J. Leukoc. Biol. 2009, 85, 438–444. [Google Scholar] [CrossRef]
- Kitayama, S.; Makino, T.; Kataoka, K.; Mori, S.; Takemoto, K.; Furukawa, F.; Torai, R.; Hayashi, M.; Mizawa, M.; Ishii, N.; et al. Successful treatment with guselkumab of anti-p200 pemphigoid associated with plaque psoriasis. J. Dtsch. Dermatol. Ges. 2024, 22, 713–715. [Google Scholar] [CrossRef]
- Rodríguez-Cuadrado, F.J.; Roustan-Gullón, G.; Suárez-Massa, D.; Hospital-Gil, M. Multirefractory bullous pemphigoid, psoriasis and psoriatic arthritis successfully treated with guselkumab. An. Bras. Dermatol. 2024, 99, 783–785. [Google Scholar] [CrossRef]
- Bolognia, J.; Schaffer, J.V.; Duncan, K.O.; Ko, C.J.; Elsevier, C. Dermatology Essentials, 2nd ed.; Elsevier: London, UK, 2022. [Google Scholar]
- Wang, R.; Wang, A.; Wang, M. Two cases with bullous pemphigoid relapsed after using interleukin-17A inhibitors for psoriasis: A paradoxical reaction. J. Dermatol. 2003, 50, 956–959. [Google Scholar] [CrossRef]
- Lu, L.; Yu, Y.; Zhang, J.; Fan, X.; Qi, Y.; Lin, B. Incidental amelioration of bullous pemphigoid during ixekizumab treatment for psoriasis. J. Dermatol. 2022, 49, e13–e15. [Google Scholar] [CrossRef]
- Heidari, N.; Hosseini, S.; Heidari, A.; Ghane, Y.; Daneshpazhooh, M.; Mahmoudi, H. A systematic review of the role of interleukin-17 inhibitors in bullous pemphigoid: Therapeutic and paradoxical effects. Arch. Dermatol. Res. 2025, 317, 544. [Google Scholar] [CrossRef]
- Wang, G.; Hu, X.; Han, S.; Zhou, M. A case report of bullous pemphigoid following secukinumab therapy for a patient with psoriasis. J. Dermatol. Treat. 2024, 35, 2366535. [Google Scholar] [CrossRef] [PubMed]
- Lugli, A.P.; Caldarola, G.; Falco, G.M.; Montedoro, C.; Mulas, C.; De Simone, C. Anti-IL-17 monoclonal antibodies and bullous pemphigoid: Treatment or causal agents? A case series and review of the literature. Drugs Context 2024, 13. [Google Scholar] [CrossRef] [PubMed]
- Okamura, K.; Saito, T.; Arai, Y.; Suto, H.; Suzuki, T. Effective management of coexisting bullous pemphigoid and psoriasis with bimekizumab. J. Dermatol. 2025, 52, e238–e239. [Google Scholar] [CrossRef] [PubMed]
- Teshima, R.; Saito-Sasaki, N.; Hitaka, T.; Sawada, Y. Spesolimab in the Management of Generalized Pustular Psoriasis With Concurrent Bullous Pemphigoid and Psoriasis. Cureus 2024, 16, e60331. [Google Scholar] [CrossRef]
- Orzan, O.A.; Țieranu, C.G.; Olteanu, A.O.; Dorobanțu, A.M.; Cojocaru, A.; Mihai, M.M.; Popa, L.G.; Gheorghiu, A.M.; Giurcăneanu, C.; Ion, A. An Insight on the Possible Association between Inflammatory Bowel Disease and Biologic Therapy with IL-17 Inhibitors in Psoriasis Patients. Pharmaceutics 2023, 15, 2171. [Google Scholar] [CrossRef]
- Su, F.; Wang, T.; Qin, Q.; Xie, Z. Upadacitinib for the management of bullous pemphigoid coexisting with psoriasis vulgaris: A case report and literature review. J. Dermatol. Treat. 2024, 35, 2302394. [Google Scholar] [CrossRef]
- Li, H.; Wang, H.; Qiao, G.; Liu, Y.; Zhang, F.; Pan, F. Concurrent bullous pemphigoid and psoriasis vulgaris successfully treated with Janus kinase inhibitor tofacitinib: A case report and review of the literature. Int. Immunopharmacol. 2023, 122, 110591. [Google Scholar] [CrossRef]
- Nash, D.; Kirchhof, M.G. Bullous pemphigoid treated with Janus kinase inhibitor upadacitinib. JAAD Case Rep. 2023, 32, 81–83. [Google Scholar] [CrossRef]
- Wang, N.; Yang, Q.; Liu, Y.; Liu, H. Upadacitinib in nail psoriasis: A case report. J. Dermatol. Treat. 2023, 34, 2246604. [Google Scholar] [CrossRef]
- Hammers, C.M.; Stanley, J.R. Recent Advances in Understanding Pemphigus and Bullous Pemphigoid. J. Invest. Dermatol. 2020, 140, 733–741. [Google Scholar] [CrossRef]
- Yin, Z.; Li, Y.; Su, T.; Gopee, S.; Chen, B. Coexistence of Psoriasis and Bullous Pemphigoid: Combination Treatment with Secukinumab and Methotrexate. Int. J. Dermatol. Venereol. 2024, 7, E046–E052. [Google Scholar] [CrossRef]
- Iskandarli, M.; Gerceker Turk, B.; Yaman, B.; Ozturk, G. Pemphigoid Diseases as a Sign of Active Psoriasis: A Case Report and Brief Review. Dermatology 2015, 231, 319–321. [Google Scholar] [CrossRef] [PubMed]
- Hsieh, C.Y.; Tsai, T.F. Management of Coexisting Bullous Pemphigoid and Psoriasis: A Review. Am. J. Clin. Dermatol. 2022, 23, 869–879. [Google Scholar] [CrossRef]
- Pathirana, D.; Ormerod, A.D.; Saiag, P.; Smith, C.; Spuls, P.I.; Nast, A.; Barker, J.; Bos, J.D.; Burmester, G.R.; Chimenti, S.; et al. European S3-guidelines on the systemic treatment of psoriasis vulgaris. J. Eur. Acad. Dermatol. Venereol. 2009, 23 (Suppl. S2), 1–70. [Google Scholar] [CrossRef]
- Gisondi, P.; Altomare, G.; Ayala, F.; Bardazzi, F.; Bianchi, L.; Chiricozzi, A.; Costanzo, A.; Conti, A.; Dapavo, P.; De Simone, C.; et al. Italian guidelines on the systemic treatments of moderate-to-severe plaque psoriasis. J. Eur. Acad. Dermatol. Venereol. 2017, 31, 774–790. [Google Scholar] [CrossRef]
- Amatore, F.; Villani, A.P.; Tauber, M.; Viguier, M.; Guillot, B. French guidelines on the use of systemic treatments for moderate-to-severe psoriasis in adults. J. Eur. Acad. Dermatol. Venereol. 2019, 33, 464–483. [Google Scholar] [CrossRef]
- Nast, A.; Smith, C.; Spuls, P.I.; Avila Valle, G.; Bata-Csorgo, Z.; Boonen, H.; De Jong, E.; Garcia-Doval, I.; Gisondi, P.; Kaur-Knudsen, D.; et al. EuroGuiDerm Guideline on the systemic treatment of Psoriasis vulgaris—Part 1: Treatment and monitoring recommendations. J. Eur. Acad. Dermatol. Venereol. 2020, 34, 2461–2498. [Google Scholar] [CrossRef]
- Si, X.; Ge, L.; Xin, H.; Cao, W.; Sun, X.; Li, W. Erythrodermic psoriasis with bullous pemphigoid: Combination treatment with methotrexate and compound glycyrrhizin. Diagn. Pathol. 2014, 9, 102. [Google Scholar] [CrossRef]
- Chen, W.; Peng, C.; Zheng, J.; Lu, X.; Ding, Y.; Su, L. Bullous Pemphigoid Associated with Erythrodermic Psoriasis: A Case Report. Clin. Cosmet. Investig. Dermatol. 2022, 15, 1805–1808. [Google Scholar] [CrossRef]
- Svigos, K.; Fried, L.; Yin, L.; Brinster, N.; Lo Sicco, K.; Adotama, P. A new eruption of bullous pemphigoid within psoriatic plaques following cyclosporine withdrawal. JAAD Case Rep. 2021, 8, 23–25. [Google Scholar] [CrossRef]
- Gunay, U.; Gunduz, K.; Ermertcan, A.T.; Kandiloğlu, A.R. Coexistence of psoriasis and bullous pemphigoid: Remission with low-dose methotrexate. Cutan. Ocul. Toxicol. 2013, 32, 168–169. [Google Scholar] [CrossRef]
- Lazarczyk, M.; Wozniak, K.; Ishii, N.; Gorkiewicz-Petkov, A.; Hashimoto, T.; Schwarz, R.; Kowalewski, C. Coexistence of psoriasis and pemphigoid—Only a coincidence? Int. J. Mol. Med. 2006, 18, 619–623. [Google Scholar] [CrossRef] [PubMed][Green Version]
- Krishnaswamy, K.; Raju, B.P.; Raveendra, L. Epitope Spreading Phenomenon: A Case Report. Indian. Dermatol. Online J. 2019, 10, 580–584. [Google Scholar] [CrossRef] [PubMed]
- Boixeda, J.P.; Soria, C.; Medina, S.; Ledo, A. Bullous pemphigoid and psoriasis: Treatment with cyclosporine. J. Am. Acad. Dermatol. 1991, 24, 152. [Google Scholar] [CrossRef] [PubMed]
- Rallis, E.; Anyfantakis, V. Coexistent psoriasis and bullous pemphigoid responding to mycophenolate mofetil monotherapy. Skinmed 2008, 7, 101–102. [Google Scholar] [CrossRef]
- Nin, M.; Tokunaga, D.; Ishii, N.; Komai, A.; Hashimoto, T.; Katoh, N. Case of coexisting psoriatic arthritis and bullous pemphigoid improved by etanercept. J. Dermatol. 2013, 40, 55–56. [Google Scholar] [CrossRef]
- Saraceno, R.; Citarella, L.; Spallone, G.; Chimenti, S. A biological approach in a patient with psoriasis and bullous pemphigoid associated with losartan therapy. Clin. Exp. Dermatol. 2008, 33, 154–155. [Google Scholar] [CrossRef]
- Cusano, F.; Iannazzone, S.S.; Riccio, G.; Piccirillo, F. Coexisting bullous pemphigoid and psoriasis successfully treated with etanercept. Eur. J. Dermatol. 2010, 20, 520. [Google Scholar] [CrossRef]
- Yamauchi, P.S.; Lowe, N.J.; Gindi, V. Treatment of coexisting bullous pemphigoid and psoriasis with the tumor necrosis factor antagonist etanercept. J. Am. Acad. Dermatol. 2006, 54, S121–S122. [Google Scholar] [CrossRef]
- Loget, J.; Plee, J.; Antonicelli, F.; Bernard, P. A successful treatment with ustekinumab in a case of relapsing bullous pemphigoid associated with psoriasis. J. Eur. Acad. Dermatol. Venereol. 2017, 31, e228–e230. [Google Scholar] [CrossRef]
- Kamata, M.; Asano, Y.; Shida, R.; Maeda, N.; Yoshizaki, A.; Miyagaki, T.; Kawashima, T.; Tada, Y.; Sato, S. Secukinumab decreased circulating anti-BP180-NC16a autoantibodies in a patient with coexisting psoriasis vulgaris and bullous pemphigoid. J. Dermatol. 2019, 46, e216–e217. [Google Scholar] [CrossRef] [PubMed]
- Yun, J.S.; Scardamaglia, L.; Tan, C.G.; McCormack, C.J. Successful secukinumab treatment of active bullous pemphigoid and chronic severe psoriasis: A case report. Australas. J. Dermatol. 2022, 63, e155–e158. [Google Scholar] [CrossRef] [PubMed]
- Xiao, Y.; Gu, Y.; Xia, D.; Zhou, X.; Li, W. Ixekizumab successfully treated refractory psoriasis concurrent bullous pemphigoid. J. Dermatol. 2023, 50, e76–e78. [Google Scholar] [CrossRef] [PubMed]
- Damsky, W.; King, B.A. JAK inhibitors in dermatology: The promise of a new drug class. J. Am. Acad. Dermatol. 2017, 76, 736–744. [Google Scholar] [CrossRef]
- Xiao, Y.; Xiang, H.; Li, W. Concurrent bullous pemphigoid and plaque psoriasis successfully treated with Janus kinase inhibitor Baricitinib. Dermatol. Ther. 2022, 35, e15754. [Google Scholar] [CrossRef]
- Armstrong, A.W.; Lebwohl, M.; Warren, R.B.; Sofen, H.; Imafuku, S.; Ohtsuki, M.; Spelman, L.; Passeron, T.; Papp, K.A.; Kisa, R.M.; et al. Safety and Efficacy of Deucravacitinib in Moderate to Severe Plaque Psoriasis for Up to 3 Years: An Open-Label Extension of Randomized Clinical Trials. JAMA Dermatol. 2025, 161, 56–66. [Google Scholar] [CrossRef]
- Popescu, M.N.; Beiu, C.; Iliescu, M.G.; Mihai, M.M.; Popa, L.G.; Stănescu, A.M.A.; Berteanu, M. Botulinum Toxin Use for Modulating Neuroimmune Cutaneous Activity in Psoriasis. Medicina 2022, 58, 813. [Google Scholar] [CrossRef]
- Ion, A.; Dorobanțu, A.M.; Popa, L.G.; Mihai, M.M.; Orzan, O.A. Risks of Biologic Therapy and the Importance of Multidisciplinary Approach for an Accurate Management of Patients with Moderate-Severe Psoriasis and Concomitant Diseases. Biology 2022, 11, 808. [Google Scholar] [CrossRef]






Disclaimer/Publisher’s Note: The statements, opinions and data contained in all publications are solely those of the individual author(s) and contributor(s) and not of MDPI and/or the editor(s). MDPI and/or the editor(s) disclaim responsibility for any injury to people or property resulting from any ideas, methods, instructions or products referred to in the content. |
© 2025 by the authors. Licensee MDPI, Basel, Switzerland. This article is an open access article distributed under the terms and conditions of the Creative Commons Attribution (CC BY) license (https://creativecommons.org/licenses/by/4.0/).
Share and Cite
Timofte, M.-A.; Căruntu, C.; Bălăceanu-Gurău, B.; Mărgăritescu, I.; Giurcăneanu, C.; Mihai, M.M. Bullous Pemphigoid Overlapping Psoriasis Vulgaris: A Rare Case Report and Literature Review. Clin. Pract. 2025, 15, 91. https://doi.org/10.3390/clinpract15050091
Timofte M-A, Căruntu C, Bălăceanu-Gurău B, Mărgăritescu I, Giurcăneanu C, Mihai MM. Bullous Pemphigoid Overlapping Psoriasis Vulgaris: A Rare Case Report and Literature Review. Clinics and Practice. 2025; 15(5):91. https://doi.org/10.3390/clinpract15050091
Chicago/Turabian StyleTimofte, Maria-Alexandra, Constantin Căruntu, Beatrice Bălăceanu-Gurău, Irina Mărgăritescu, Călin Giurcăneanu, and Mara Mădălina Mihai. 2025. "Bullous Pemphigoid Overlapping Psoriasis Vulgaris: A Rare Case Report and Literature Review" Clinics and Practice 15, no. 5: 91. https://doi.org/10.3390/clinpract15050091
APA StyleTimofte, M.-A., Căruntu, C., Bălăceanu-Gurău, B., Mărgăritescu, I., Giurcăneanu, C., & Mihai, M. M. (2025). Bullous Pemphigoid Overlapping Psoriasis Vulgaris: A Rare Case Report and Literature Review. Clinics and Practice, 15(5), 91. https://doi.org/10.3390/clinpract15050091

