Endocrine Perspective of Cutaneous Lichen Amyloidosis: RET-C634 Pathogenic Variant in Multiple Endocrine Neoplasia Type 2
Abstract
1. Introduction
Objective
2. Case Series: The Saga of a RET-Positive Family Amid the Presence of the Lichen Amyloidosis
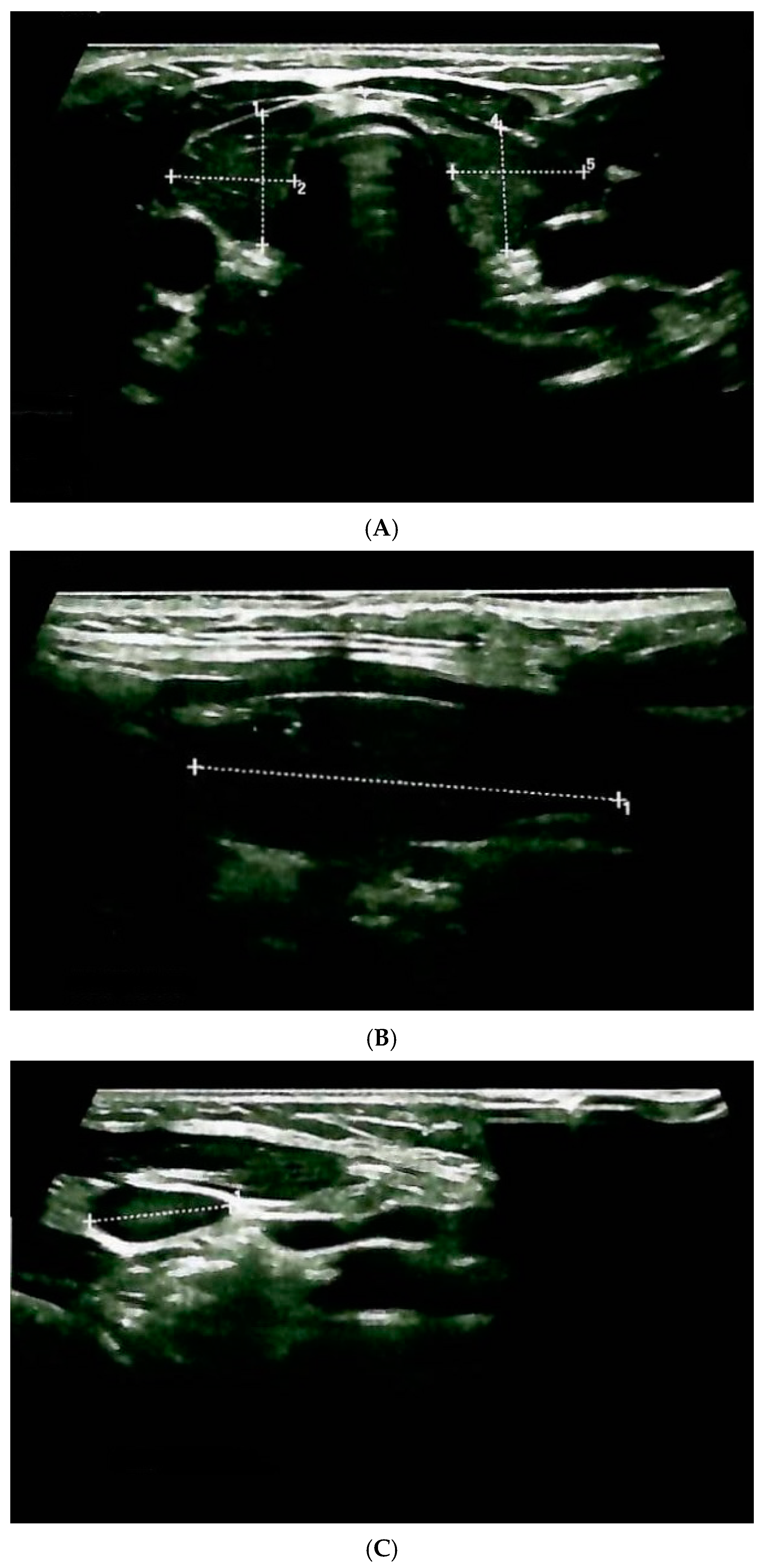
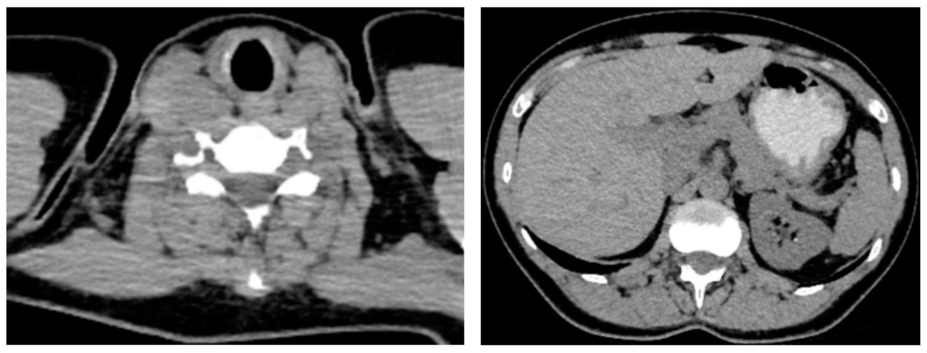
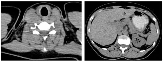
2.1. Admission of the Pediatric Case
2.2. Genetic Testing: Family Analysis
2.3. Familial Lichen Amyloidosis
2.4. Overview of the Current Endocrine Status of the Other Family Members Confirmed with the Same Skin Lesion
3. Discussion
3.1. Cutaneous Lichen Amyloidosis and Daily Endocrine Practice
3.2. The Cutaneous Lichen Amyloidosis Association with Multiple Endocrine Neoplasia Type 2
3.3. Other Dermatologic Findings in Patients with Multiple Endocrine Neoplasia Type 2
3.4. Current Limits and Further Research
4. Conclusions
- Awareness of the dermatologic findings in patients diagnosed with medullary thyroid cancer and multiple endocrine neoplasia type 2 is essential, as lesions such as cutaneous lichen amyloidosis might represent the skin signature of the endocrine condition even before the actual endocrine manifestations.
- Across this real-life series we pinpointed the importance of a multidisciplinary approach.
- These data add to the limited published reports with respect to this particular presentation confirming the fact that RET-C634 is the most frequent pathogenic variant in lichen amyloidosis; females are more often affected; the interscapular region is the preferred site; the age of diagnosis might be within the third decade of life while we identified one of the youngest patients with the lesion (a 6-year-old girl).
- The same RET pathogenic variant is not associated with the same dermatologic features, as shown in the vignette.
- The same RET mutation does not mean that all family members will present the same skin anomaly.
Author Contributions
Funding
Institutional Review Board Statement
Informed Consent Statement
Data Availability Statement
Acknowledgments
Conflicts of Interest
References
- Zhang, D.; Liang, N.; Sun, H.; Frattini, F.; Sui, C.; Yang, M.; Wang, H.; Dionigi, G. Critically evaluated key points on hereditary medullary thyroid carcinoma. Front. Endocrinol. 2024, 15, 1412942. [Google Scholar] [CrossRef] [PubMed]
- Elisei, R.; Bottici, V.; Cappagli, V.; Ramone, T.; Tacito, A.; Ciampi, R.; Romei, C. Clinical utility of genetic diagnosis for sporadic and hereditary medullary thyroid carcinoma. Ann. Endocrinol. 2019, 80, 187–190. [Google Scholar] [CrossRef] [PubMed]
- Sahakian, N.; Castinetti, F.; Romanet, P.; Reznik, Y.; Brue, T. Updates on the genetics of multiple endocrine neoplasia. Ann. Endocrinol. 2024, 85, 127–135. [Google Scholar] [CrossRef] [PubMed]
- Binter, T.; Baumgartner-Parzer, S.; Schernthaner-Reiter, M.H.; Arikan, M.; Hargitai, L.; Niederle, M.B.; Niederle, B.; Scheuba, C.; Riss, P. Does Genotype-Specific Phenotype in Patients with Multiple Endocrine Neoplasia Type 2 Occur as Current Guidelines Predict? Cancers 2024, 16, 494. [Google Scholar] [CrossRef] [PubMed]
- Frank-Raue, K.; Raue, F. Hereditary Medullary Thyroid Cancer Genotype-Phenotype Correlation. Recent Results Cancer Res. 2015, 204, 139–156. [Google Scholar] [CrossRef]
- Carsote, M.; Valea, A.; Dumitru, N.; Terzea, D.; Petrova, E.; Albu, S.; Buruiana, A.; Ghemigian, A. Metastases in daily endocrine practice. Arch. Balk. Med. Union 2016, 51, 476–480. [Google Scholar]
- Aung, T.; Noakes, R.; Murrell, D.F.; Daniel, B.S.; Kelati, A. Primary cutaneous amyloidosis: A review of the available studies and gaps in data. Australas. J. Dermatol. 2023, 64, e121–e124. [Google Scholar] [CrossRef]
- Pálla, S.; Kuroli, E.; Tóth, E.A.; Hidvégi, B.; Holló, P.; Medvecz, M. Primary Localized Cutaneous Amyloidosis in Central Europe: A Retrospective Monocentric Study on Epidemiology and Therapy. J. Clin. Med. 2023, 12, 7672. [Google Scholar] [CrossRef]
- Żychowska, M.; Pięta, K.; Rudy, I.; Skubisz, A.; Reich, A. Dermoscopic Features of Lichen Amyloidosis in Caucasians—A Case Series and Literature Review. Medicina 2021, 57, 1027. [Google Scholar] [CrossRef]
- Ahramiyanpour, N.; Akbari, Z.; Sarasyabi, M.S.; Aflatoonian, M.; Saki, N.; Shafie’ei, M. The therapeutic role of lasers in primary localized cutaneous amyloidosis: A systematic review. Lasers Med. Sci. 2022, 37, 799–813. [Google Scholar] [CrossRef]
- Tanabodee, M.; Sudtikoonaseth, P.; Chayangsu, O.; Wessagowit, V. The efficacy of topical 0.025% capsaicin gel for the treatment of lichen amyloidosis: A pilot study. Australas. J. Dermatol. 2024, 65, 77–81. [Google Scholar] [CrossRef] [PubMed]
- Zhu, Q.; Gao, B.Q.; Zhang, J.F.; Shi, L.P.; Zhang, G.Q. Successful treatment of lichen amyloidosis coexisting with atopic dermatitis by dupilumab: Four case reports. World J. Clin. Cases 2023, 11, 2549–2558. [Google Scholar] [CrossRef] [PubMed]
- Ciobîcă, M.L.; Ionescu, O.P.; Săndulescu, B.A. Osteoporosis and the fracture risk in systemic lupus erythematosus. Rom. J. Mil. Med. 2020, CXXIII, 341–347. [Google Scholar]
- Anghel, D.; Ciobîcă, L.M.; Stanciu, S.M.; Jurcuț, C.V.; Stoicescu, G.D.; Răduță, I.A.; Coca, A. Ankylosing spondylitis and cardiovascular risk—Case report. Rom. J. Mil. Med. 2016, CXIX, 39–42. [Google Scholar]
- Fakhraie, S.; Daftary, K.; Venkatesh, S.; Chovatiya, R. Lichen amyloidosis: Towards pathogenesis-driven targeted treatment. Clin. Exp. Dermatol. 2023, 48, 261–262. [Google Scholar] [CrossRef]
- Solimani, F.; Dilling, A.; Ghoreschi, F.C.; Nast, A.; Ghoreschi, K.; Meier, K. Upadacitinib for treatment-resistant Lichen amyloidosis. J. Eur. Acad. Dermatol. Venereol. 2023, 37, e633–e635. [Google Scholar] [CrossRef]
- Tirone, B.; Cazzato, G.; Ambrogio, F.; Foti, C.; Bellino, M. Lichen Amyloidosis in an Atopic Patient Treated with Dupilumab: A New Therapeutic Option. Diseases 2024, 12, 94. [Google Scholar] [CrossRef]
- Zenoaga-Barbăroșie, C.; Berca, L.; Vassu-Dimov, T.; Toma, M.; Nica, M.I.; Alexiu-Toma, O.A.; Ciornei, C.; Albu, A.; Nica, S.; Nistor, C.; et al. The Predisposition for Type 2 Diabetes Mellitus and Metabolic Syndrome. Balk. J. Med. Genet. 2023, 26, 21–26. [Google Scholar] [CrossRef]
- Park, H.J.; Kim, W.S.; Chae, S.W.; Choi, Y.J. Insulin-Derived Cutaneous Amyloidosis: A Possible Complication of Repeated Insulin Injections. Ann. Dermatol. 2023, 35 (Suppl. S1), S71–S75. [Google Scholar] [CrossRef]
- Rousseau, M.A.; Valek, S.A.; Rashid, R.M. A Case Report of Generalized Non-pruritic Lichen Amyloidosis. Cureus 2023, 15, e39817. [Google Scholar] [CrossRef]
- Chuang, Y.Y.; Lee, D.D.; Lin, C.S.; Chang, Y.J.; Tanaka, M.; Chang, Y.T.; Liu, H.N. Characteristic dermoscopic features of primary cutaneous amyloidosis: A study of 35 cases. Br. J. Dermatol. 2012, 167, 548–554. [Google Scholar] [CrossRef] [PubMed]
- Guillet, C.; Steinmann, S.; Maul, J.T.; Kolm, I. Primary Localized Cutaneous Amyloidosis: A Retrospective Study of an Uncommon Skin Disease in the Largest Tertiary Care Center in Switzerland. Dermatology 2022, 238, 579–586. [Google Scholar] [CrossRef] [PubMed]
- Hamie, L.; Haddad, I.; Nasser, N.; Kurban, M.; Abbas, O. Primary Localized Cutaneous Amyloidosis of Keratinocyte Origin: An Update with Emphasis on Atypical Clinical Variants. Am. J. Clin. Dermatol. 2021, 22, 667–680. [Google Scholar] [CrossRef] [PubMed]
- Foulke, G.; Googe, P.B.; Lugo-Somolinos, A. A unique case of concurrent cutaneous lichen amyloidosis and myxedema. Dermatol. Online J. 2022, 28, 3. [Google Scholar] [CrossRef]
- Sutedja, E.K.; Widjaya, M.R.H.; Dharmadji, H.P.; Achdiat, P.A.; Tsaqilah, L. Coexistent Lichen Amyloidosis and Acquired Reactive Perforating Collagenosis in Type 2 Diabetes Mellitus and Post-Thyroidectomy Hypothyroidism Due to Papillary Thyroid Carcinoma: A Rare Case. Int. Med. Case Rep. J. 2022, 15, 745–752. [Google Scholar] [CrossRef]
- Lause, M.; Kamboj, A.; Fernandez Faith, E. Dermatologic manifestations of endocrine disorders. Transl. Pediatr. 2017, 6, 300–312. [Google Scholar] [CrossRef]
- Larouche, V.; Akirov, A.; Thomas, C.M.; Krzyzanowska, M.K.; Ezzat, S. A primer on the genetics of medullary thyroid cancer. Curr. Oncol. 2019, 26, 389–394. [Google Scholar] [CrossRef]
- De Sousa, S.M.; McCormack, A.I. Cutaneous lichen amyloidosis in multiple endocrine neoplasia. Intern. Med. J. 2016, 46, 116–117. [Google Scholar] [CrossRef]
- Birla, S.; Singla, R.; Sharma, A.; Tandon, N. Rare manifestation of multiple endocrine neoplasia type 2A & cutaneous lichen amyloidosis in a family with RET gene mutation. Indian J. Med. Res. 2014, 139, 779–781. [Google Scholar]
- Fang, X.; Wang, H.; Dong, F.; Lian, B.; Li, F.; Jin, H.; Yu, Y.; Zhang, N.; Qi, X. Clinical and genetic analysis of seven Chinese pedigrees affected with multiple endocrine neoplasia type 2A with cutaneous lichen amyloidosis. Zhonghua Yi Xue Yi Chuan Xue Za Zhi 2022, 39, 938–943. [Google Scholar]
- Scapineli, J.O.; Ceolin, L.; Puñales, M.K.; Dora, J.M.; Maia, A.L. MEN 2A-related cutaneous lichen amyloidosis: Report of three kindred and systematic literature review of clinical, biochemical and molecular characteristics. Fam. Cancer 2016, 15, 625–633. [Google Scholar] [CrossRef] [PubMed]
- Tang, H.X.; Yang, H.; Li, F.; Cao, Z.L.; Huang, Y.T.; Qi, X.P. Elevated basal serum levels of calcitonin and simultaneous surgery of MEN2A-specific tumors. Neoplasma 2021, 68, 1098–1106. [Google Scholar] [CrossRef] [PubMed]
- Malhotra, R.; Boro, H.; Shamim, S.A.; Khadgawat, R. Multiple endocrine neoplasia type 2A with cutaneous lichen amyloidosis. BMJ Case Rep. 2020, 13, e238423. [Google Scholar] [CrossRef] [PubMed]
- Qi, X.P.; Peng, J.Z.; Yang, X.W.; Zao, Z.L.; Yu, X.H.; Fang, X.D.; Zhang, D.H.; Zhao, J.Q. The RET C611Y mutation causes MEN 2A and associated cutaneous. Endocr. Connect. 2018, 7, 998–1005. [Google Scholar] [CrossRef] [PubMed]
- Qi, X.P.; Zhao, J.Q.; Cao, Z.L.; Fu, E.; Li, F.; Zhao, Y.H.; Wang, G.P.; Li, P.F.; Ma, W.L.; Guo, J.; et al. The Clinical Spectrum of Multiple Endocrine Neoplasia Type 2A with Cutaneous Lichen Amyloidosis in Ethnic Han Chinese. Cancer Investig. 2018, 36, 141–151. [Google Scholar] [CrossRef]
- Qi, X.P.; Zhao, J.Q.; Chen, Z.G.; Cao, J.L.; Du, J.; Liu, N.F.; Li, F.; Sheng, M.; Fu, E.; Guo, J.; et al. RET mutation p.S891A in a Chinese family with familial medullary thyroid carcinoma associated cutaneous amyloidosis binding OSMR variant, p.G513D. Oncotarget 2015, 6, 33993–34003. [Google Scholar] [CrossRef]
- Lemos, M.C.; Carrilho, F.; Rodrigues, F.J.; Santos, P.; Carvalheiro, M.; Ruas, M.A.; Regateiro, F.J. Early onset of medullary thyroid carcinoma in a kindred with multiple endocrine neoplasia type iia associated with cutaneous lichen amyloidosis. Endocr. Pract. 2002, 8, 19–22. [Google Scholar] [CrossRef]
- Rastogi, V.; Singh, D.; Mazza, J.J.; Parajuli, D.; Yale, S.H. Flushing Disorders Associated with Gastrointestinal Symptoms: Part 1, Neuroendocrine Tumors, Mast Cell Disorders and Hyperbasophila. Clin. Med. Res. 2018, 16, 16–28. [Google Scholar] [CrossRef]
- Nistor, C.E.; Găvan, C.S.; Ciritel, A.A.; Nemes, A.F.; Ciuche, A. The Association of Minimally Invasive Surgical Approaches and Mortality in Patients with Malignant Pleuropericarditis—A 10 Year Retrospective Observational Study. Medicina 2022, 58, 718. [Google Scholar] [CrossRef]
- Choi, H.S.; Kim, M.J.; Moon, C.H.; Yoon, J.H.; Ku, H.R.; Kang, G.W.; Na, I.I.; Lee, S.S.; Lee, B.C.; Park, Y.J.; et al. Medullary thyroid carcinoma with ectopic adrenocorticotropic hormone syndrome. Endocrinol. Metab. 2014, 29, 96–100. [Google Scholar] [CrossRef]
- Abu-Shama, Y.; Cuny, T. Pemberton’s Sign in a Patient with a Goiter. N. Engl. J. Med. 2018, 378, e31. [Google Scholar] [CrossRef] [PubMed]
- Nistor, C.; Ciuche, A.; Constantinescu, I. Emergency surgical tracheal decompression in a huge retrosternal goiter. Acta Endocrinol. 2017, 13, 370–374. [Google Scholar] [CrossRef] [PubMed]
- İkizoğlu, G. Red face revisited: Flushing. Clin. Dermatol. 2014, 32, 800–808. [Google Scholar] [CrossRef] [PubMed]
- Bondagji, M.F.; Qul, H.; Nahhas, A.; Allehaibi, E.S.; Banjer, A.A.; Alghamdi, G.A.; Al Hawsawi, K. Primary Adrenal Insufficiency (Addison’s Disease) Presenting as Sun Tan-Like Skin Pigmentation: A Case Report. Cureus 2023, 15, e49837. [Google Scholar] [CrossRef]
- Thawabteh, A.M.; Jibreen, A.; Karaman, D.; Thawabteh, A.; Karaman, R. Skin Pigmentation Types, Causes and Treatment—A Review. Molecules 2023, 28, 4839. [Google Scholar] [CrossRef]
- Pal, R.; Rastogi, A.; Kumar, S.; Bhansali, A. Metastatic pheochromocytoma in MEN 2A: A rare association. BMJ Case Rep. 2018, 2018, bcr2017222758. [Google Scholar] [CrossRef]
- Marini, F.; Giusti, F.; Iantomasi, T.; Brandi, M.L. Parathyroid Tumors: Molecular Signatures. Int. J. Mol. Sci. 2021, 22, 11206. [Google Scholar] [CrossRef]
- Marx, S.J.; Goltzman, D. Evolution of Our Understanding of the Hyperparathyroid Syndromes: A Historical Perspective. J. Bone Miner. Res. 2019, 34, 22–37. [Google Scholar] [CrossRef]
- Grey, J.; Winter, K. Patient quality of life and prognosis in multiple endocrine neoplasia type 2. Endocr. Relat. Cancer 2018, 25, T69–T77. [Google Scholar] [CrossRef]
- Correa, F.A.; Farias, E.C.; Castroneves, L.A.; Lourenço, D.M., Jr.; Hoff, A.O. Quality of Life and Coping in Multiple Endocrine Neoplasia Type 2. J. Endocr. Soc. 2019, 3, 1167–1174. [Google Scholar] [CrossRef]
- Rodrigues, K.C.; Toledo, R.A.; Coutinho, F.L.; Nunes, A.B.; Maciel, R.M.B.; Hoff, A.O.; Tavares, M.C.; Toledo, S.P.A.; Lourenço, D.M., Jr. Assessment of Depression, Anxiety, Quality of Life, and Coping in Long-Standing Multiple Endocrine Neoplasia Type 2 Patients. Thyroid 2017, 27, 693–706. [Google Scholar] [CrossRef] [PubMed]








| Multiple Endocrine Neoplasia Type 2 | Medullary Thyroid Carcinoma | Pheochromocytoma | Primary Hyperparathyroidism |
|---|---|---|---|
| Confirmation of the endocrine tumor/cancer | Highly probable | Follow-up protocol of further endocrine tumor according to the 634 codon RET pathogenic variant | |
| Age at diagnosis | 6 years (RET genetic testing within the first year of life) | ||
| Surgery | Recommended (planned) | ||
| Current hormonal status | Calcitonin = 10.4 ng/mL (normal: 1–4.8) | Plasma metanephrines = 40 pg/mL (normal: 0–90) Plasma normetanephrines = 42 pg/mL (normal: 20–200) | PTH = 42 pg/mL (normal: 15–65) Total serum calcium = 9.45 mg/dL (normal: 8.4–10.2) |
| Multiple Endocrine Neoplasia Type 2 | Medullary Thyroid Carcinoma | Pheochromocytoma | Primary Hyperparathyroidism |
|---|---|---|---|
| Confirmation of the endocrine tumor/cancer | Yes (+2/10 cervical lymph nodes invasion) | Yes (bilateral) | Yes (left inferior parathyroid tumor) |
| Age at diagnosis | 31 years (+ RET testing at 31 years) | ||
| Hormonal assays before surgery | Calcitonin = 304 ng/mL (normal: 1–4.8) | Plasma metanephrines = 300 pg/mL (normal: 0–90) Plasma normetanephrines = 400 pg/mL (normal: 20–200) | PTH = 122 pg/mL (normal: 15–65) Total serum calcium = 11.4 mg/dL |
| Surgery | Yes (synchronous total thyroidectomy, neck lymph nodes dissection and selective removal of a single parathyroid tumor) | Yes (synchronous bilateral adrenalectomy) | Yes |
| Age at the moment of surgery | 31 years | ||
| Current post-operatory status | |||
| Primary hypothyroidism | Chronic primary adrenal insufficiency | Hypoparathyroidism | |
| Latest hormonal assessment | TSH = 5.96 μIU/mL * (normal: 0.35–4.94) FT4 = 11.69 pmol/L * (normal: 9–19) * under levothyroxine 100 μg/day Calcitonin = 1.85 ng/mL (normal: 1–4.8) | Plasma metanephrines = 31 pg/mL (normal: 0–90) Plasma normetanephrines = 155 pg/mL (normal: 20–200) ACTH = 21.8 pg/mL ** (normal: 3–66) ** Under hydrocortisone 25 mg/day + fludrocortisone 0.1 mg/day | PTH = 10.76 pg/mL*** (normal: 15–65) Total serum calcium = 6.54 mg/dL *** (normal: 8.4–10.2) *** Under calcitriol 0.5 μg per day + 500–1000 mg oral calcium/day |
| Multiple Endocrine Neoplasia Type 2 | Medullary Thyroid Carcinoma | Pheochromocytoma | Primary Hyperparathyroidism |
|---|---|---|---|
| Confirmation of the endocrine tumor/cancer | Yes (no lymph nodes invasion) | Yes (bilateral) | No |
| Age at diagnosis | 30 years (+RET testing at 30 years) | 32 years (left adrenal), respectively, 38 years (right adrenal) | No |
| Hormonal assays before surgery | Calcitonin = 74 ng/mL (normal: 1–4.8) | Plasma metanephrines = 148 pg/mL (normal: 0–90) Plasma normetanephrines = 78 pg/mL (normal: 20–200) | No |
| Surgery | Yes (total thyroidectomy + neck lymph nodes dissection) | Yes (asynchronous bilateral laparoscopic adrenalectomy) | No |
| Age at the moment of surgery | 30 | 32, respectively, 38 years | No |
| Current post-operatory status | |||
| Primary hypothyroidism | Chronic primary adrenal insufficiency | Normal parathyroid status | |
| Latest hormonal assessment | TSH = 1.66 μIU/mL * (normal: 0.35–4.94) FT4 = 14.29 pmol/L * (normal: 9–19) * Under levothyroxine 150 μg/day Calcitonin = 1.15 ng/mL (normal: 1–4.8) | Plasma metanephrines = 15 pg/mL (normal: 0–90) Plasma normetanephrines = 23 pg/mL (normal: 20–200) ACTH = 4.38 pg/mL ** (normal: 3–66) ** Under hydrocortisone 30 mg/day + fludrocortisone 0.5 mg/day | PTH = 20.45 pg/mL (normal: 15–65) Total serum calcium = 8.9 mg/dL (normal: 8.4–10.2). |
| Multiple Endocrine Neoplasia Type 2 | Medullary Thyroid Carcinoma | Pheochromocytoma | Primary Hyperparathyroidism |
|---|---|---|---|
| Confirmation of the endocrine tumor/cancer | Yes (no lymph nodes invasion) | Yes (bilateral) | No |
| Age at diagnosis | 33 years (+RET testing at 30 years) | 33 years | No |
| Hormonal assays before surgery | Calcitonin = 475 ng/mL (normal: 1–4.8) | Plasma metanephrines = 332 pg/mL (normal: 0–90) Plasma normetanephrines = 552 pg/mL (normal: 20–200) | No |
| Surgery | Yes (total thyroidectomy + neck lymph nodes dissection) | Yes (synchronous bilateral laparoscopic adrenalectomy) | No |
| Age at the moment of surgery | 33 years | No | |
| Current post-operatory status | |||
| Primary hypothyroidism | Chronic primary adrenal insufficiency | Normal parathyroid status | |
| Latest hormonal assessment | TSH = 1.66 μIU/mL * (normal: 0.35–4.94) FT4 = 14.29 pmol/L * (normal: 9–19) * Under levothyroxine 125 μg/day Calcitonin = 1 ng/mL (normal: 1–4.8) | Plasma metanephrines = 10 pg/mL (normal: 0–90) Plasma normetanephrines = 66 pg/mL (normal: 20–200) ACTH = 31 pg/mL ** (normal: 3–66) ** Under hydrocortisone 40 mg/day + fludrocortisone 0.5 mg/day | PTH = 52 pg/mL (normal: 15–65) Total serum calcium = 9.5 mg/dL (normal: 8.4–10.2) |
Disclaimer/Publisher’s Note: The statements, opinions and data contained in all publications are solely those of the individual author(s) and contributor(s) and not of MDPI and/or the editor(s). MDPI and/or the editor(s) disclaim responsibility for any injury to people or property resulting from any ideas, methods, instructions or products referred to in the content. |
© 2024 by the authors. Licensee MDPI, Basel, Switzerland. This article is an open access article distributed under the terms and conditions of the Creative Commons Attribution (CC BY) license (https://creativecommons.org/licenses/by/4.0/).
Share and Cite
Florescu, A.-F.; Sima, O.-C.; Nistor, C.; Ciobica, M.-L.; Costachescu, M.; Stanciu, M.; Tanasescu, D.; Popa, F.L.; Carsote, M. Endocrine Perspective of Cutaneous Lichen Amyloidosis: RET-C634 Pathogenic Variant in Multiple Endocrine Neoplasia Type 2. Clin. Pract. 2024, 14, 2284-2299. https://doi.org/10.3390/clinpract14060179
Florescu A-F, Sima O-C, Nistor C, Ciobica M-L, Costachescu M, Stanciu M, Tanasescu D, Popa FL, Carsote M. Endocrine Perspective of Cutaneous Lichen Amyloidosis: RET-C634 Pathogenic Variant in Multiple Endocrine Neoplasia Type 2. Clinics and Practice. 2024; 14(6):2284-2299. https://doi.org/10.3390/clinpract14060179
Chicago/Turabian StyleFlorescu, Alexandru-Florin, Oana-Claudia Sima, Claudiu Nistor, Mihai-Lucian Ciobica, Mihai Costachescu, Mihaela Stanciu, Denisa Tanasescu, Florina Ligia Popa, and Mara Carsote. 2024. "Endocrine Perspective of Cutaneous Lichen Amyloidosis: RET-C634 Pathogenic Variant in Multiple Endocrine Neoplasia Type 2" Clinics and Practice 14, no. 6: 2284-2299. https://doi.org/10.3390/clinpract14060179
APA StyleFlorescu, A.-F., Sima, O.-C., Nistor, C., Ciobica, M.-L., Costachescu, M., Stanciu, M., Tanasescu, D., Popa, F. L., & Carsote, M. (2024). Endocrine Perspective of Cutaneous Lichen Amyloidosis: RET-C634 Pathogenic Variant in Multiple Endocrine Neoplasia Type 2. Clinics and Practice, 14(6), 2284-2299. https://doi.org/10.3390/clinpract14060179


