Practice-Based Management Data of Consecutive Subjects Assessed for the Median Arcuate Ligament Syndrome at a Single Tertiary Institution
Abstract
1. Introduction
2. Materials and Methods
3. Results
4. Discussion
5. Conclusions
Supplementary Materials
Author Contributions
Funding
Conflicts of Interest
References
- Bjorck, M.; Koelemay, M.; Acosta, S.; Bastos Goncalves, F.; Kolbel, T.; Kolkman, J.J.; Lees, T.; Lefevre, J.H.; Menyhei, G.; Oderich, G.; et al. Editor’s Choice—Management of the Diseases of Mesenteric Arteries and Veins: Clinical Practice Guidelines of the European Society of Vascular Surgery (ESVS). Eur. J. Vasc. Endovasc. Surg. 2017, 53, 460–510. [Google Scholar] [CrossRef] [PubMed]
- Kim, E.N.; Lamb, K.; Relles, D.; Moudgill, N.; DiMuzio, P.J.; Eisenberg, J.A. Median Arcuate Ligament Syndrome-Review of This Rare Disease. JAMA Surg. 2016, 151, 471–477. [Google Scholar] [CrossRef] [PubMed]
- Park, C.M.; Chung, J.W.; Kim, H.B.; Shin, S.J.; Park, J.H. Celiac axis stenosis: Incidence and etiologies in asymptomatic individuals. Korean J. Radiol. 2001, 2, 8–13. [Google Scholar] [CrossRef] [PubMed]
- Kazan, V.; Qu, W.; Al-Natour, M.; Abbas, J.; Nazzal, M. Celiac artery compression syndrome: A radiological finding without clinical symptoms? Vascular 2013, 21, 293–299. [Google Scholar] [CrossRef] [PubMed]
- Acampora, C.; Di Serafino, M.; Iacobellis, F.; Trovato, P.; Barbuto, L.; Sangiuliano, N.; Costigliola, L.; Romano, L. Insight into Dunbar syndrome: Color-Doppler ultrasound findings and literature review. J. Ultrasound 2021, 24, 317–321. [Google Scholar] [CrossRef] [PubMed]
- Scholbach, T. Celiac artery compression syndrome in children, adolescents, and young adults: Clinical and color duplex sonographic features in a series of 59 cases. J. Ultrasound Med. 2006, 25, 299–305. [Google Scholar] [CrossRef] [PubMed]
- Miura, D.; Hiwatashi, R.; Sakita, M.; Sakata, T. A new comprehensive ultrasonic diagnostic method for celiac artery compression syndrome that hybridizes “arterial compression hook sign” and peak systolic velocity. J. Ultrasound 2021, 24, 289–295. [Google Scholar] [CrossRef] [PubMed]
- Ozel, A.; Toksoy, G.; Ozdogan, O.; Mahmutoglu, A.S.; Karpat, Z. Ultrasonographic diagnosis of median arcuate ligament syndrome: A report of two cases. Med. Ultrason. 2012, 14, 154–157. [Google Scholar] [PubMed]
- San Norberto, E.M.; Romero, A.; Fidalgo-Domingos, L.A.; Garcia-Saiz, I.; Taylor, J.; Vaquero, C. Laparoscopic treatment of median arcuate ligament syndrome: A systematic review. Int. Angiol. 2019, 38, 474–483. [Google Scholar] [CrossRef] [PubMed]
- Terlouw, L.G.; Moelker, A.; Abrahamsen, J.; Acosta, S.; Bakker, O.J.; Baumgartner, I.; Boyer, L.; Corcos, O.; van Dijk, L.J.; Duran, M.; et al. European guidelines on chronic mesenteric ischaemia—Joint United European Gastroenterology, European Association for Gastroenterology, Endoscopy and Nutrition, European Society of Gastrointestinal and Abdominal Radiology, Netherlands Association of Hepatogastroenterologists, Hellenic Society of Gastroenterology, Cardiovascular and Interventional Radiological Society of Europe, and Dutch Mesenteric Ischemia Study group clinical guidelines on the diagnosis and treatment of patients with chronic mesenteric ischaemia. United Eur. Gastroenterol. J. 2020, 8, 371–395. [Google Scholar]
- Römer, C.; Fischer, T.; Haase, O.; Möckel, M.; Hamm, B.; Lerchbaumer, M.H. Assessment of celiac artery compression using color-coded duplex sonography. Clin. Hemorheol. Microcirc. 2020, 76, 413–423. [Google Scholar] [CrossRef] [PubMed]
- Erden, A.; Yurdakul, M.; Cumhur, T. Marked increase in flow velocities during deep expiration: A duplex Doppler sign of celiac artery compression syndrome. Cardiovasc. Interv. Radiol. 1999, 22, 331–332. [Google Scholar] [CrossRef] [PubMed]
- Metz, F.M.; Blauw, J.T.M.; Brusse-Keizer, M.; Kolkman, J.J.; Bruno, M.J.; Geelkerken, R.H. Systematic Review of the Efficacy of Treatment for Median Arcuate Ligament Syndrome. Eur. J. Vasc. Endovasc. Surg. 2022, 64, 720–732. [Google Scholar] [CrossRef] [PubMed]
- Shnayder-Adams, M.M.; Masotti, M.; Sanogo, M.L. Clinical Outcomes after Median Arcuate Ligament Release in Patients Responsive to Celiac Plexus Block. J. Vasc. Int. Radiol. 2024, 35, 558–562. [Google Scholar] [CrossRef] [PubMed]
- Goodall, R.; Langridge, B.; Onida, S.; Ellis, M.; Lane, T.; Davies, A.H. Median arcuate ligament syndrome. J. Vasc. Surg. 2020, 71, 2170–2176. [Google Scholar] [CrossRef] [PubMed]
- Charlson, F.; van Ommeren, M.; Flaxman, A.; Cornett, J.; Whiteford, H.; Saxena, S. New WHO prevalence estimates of mental disorders in conflict settings: A systematic review and meta-analysis. Lancet 2019, 394, 240–248. [Google Scholar] [CrossRef] [PubMed]
- Skelly, C.L.; Stiles-Shields, C.; Mak, G.Z.; Speaker, C.R.; Lorenz, J.; Anitescu, M.; Dickerson, D.M.; Boyd, H.; O’Brien, S.; Drossos, T. The impact of psychiatric comorbidities on patient-reported surgical outcomes in adults treated for the median arcuate ligament syndrome. J. Vasc. Surg. 2018, 68, 1414–1421. [Google Scholar] [CrossRef] [PubMed]
- Huber, T.S.; Björck, M.; Chandra, A.; Clouse, W.D.; Dalsing, M.C.; Oderich, G.S.; Smeds, M.R.; Murad, M.H. Chronic mesenteric ischemia: Clinical practice guidelines from the Society for Vascular Surgery. J. Vasc. Surg. 2021, 73, 87S–115S. [Google Scholar] [CrossRef] [PubMed]
- Fidelman, N.; AbuRahma, A.F.; Cash, B.D.; Kapoor, B.S.; Knuttinen, M.G.; Minocha, J.; Rochon, P.J.; Shaw, C.M.; Ray, C.E., Jr.; Lorenz, J.M. ACR Appropriateness Criteria. J. Am. Coll. Radiol. 2017, 14, S266–S271. [Google Scholar] [CrossRef] [PubMed]



| Total Patients (n = 33) | Patients without MALS (n = 25) | Patients with MALS (n = 8) | |
|---|---|---|---|
| Demographics | |||
| Women, n (%) | 27 (82) | 21 (84) | 6 (75) |
| Age (years), mean (SD) | 42.2 (18) | 44.1 (19) | 36 (12) |
| Comorbidities | |||
| BMI (kg/m2), median, (Q1, Q3) | 20 (Q1–Q3: 18–24) | 20 (Q1–Q3: 20–22) | 21 (Q1–Q3: 18–25) |
| Psychiatric disorders, n (%) | 12 (36.4) | 9 (36) | 3 (37.5) |
| Cardiovascular diseases *, n (%) | 3 (9.1) | 2 (8) | 1 (12.5) |
| Clinical presentation | |||
| Epigastric pain, n (%) | 29 (88) | 21 (84) | 8 (100) |
| Post-prandial pain, n (%) | 17 (52) | 11 (44) | 6 (75) |
| Exercise-induced pain, n (%) | 3 (9.1) | 2 (8) | 1 (12.5) |
| Nausea or vomiting, n (%) | 16 (48) | 11 (48) | 5 (62.5) |
| Diarrhea, n (%) | 7 (21) | 5 (20) | 2 (25) |
| Weight loss, n (% | 10 (30) | 6 (24) | 4 (50) |
| Duration of symptoms until visit to the vascular specialist, (months), median, (Q1, Q3) | 36 (Q1–Q3: 18 –84) | 33 (Q1–Q3: 12 –66) | 84 (Q1–Q3: 24–240) |
| Supplementary investigation | |||
| CT/MRI performed, n (%) | 27 (82) | 19 (76) | 8 (100) |
| Gastroenterological visit, n (%) | 31 (94) | 23 (92) | 8 (100) |
| Patients without MALS (n = 25) | Patients with MALS (n = 8) | |
|---|---|---|
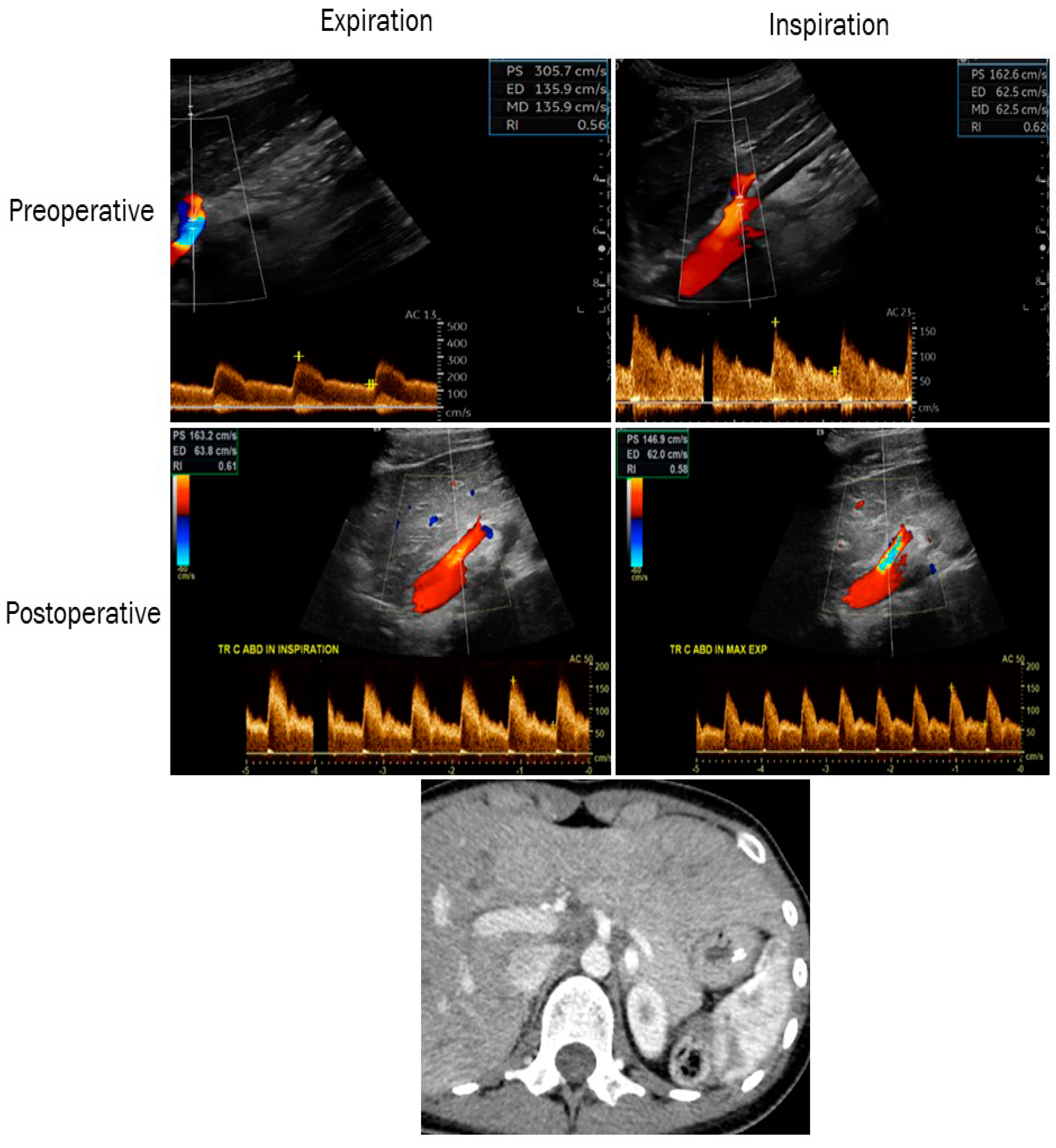
| CA PSV (m/s) in expiratory apnea, median, (Q1, Q3) | 1.5 (Q1; 1.0–Q3; 1.8) | 3.05 (Q1; 2.1–Q3; 3.3) |
| CA PSV (m/s) in inspiratory apnea, median, (Q1, Q3) | 1.2 (Q1; 1.0–Q3; 1.6) | 1.65 (Q1; 1.6–Q3; 2.5) |
| CA EDV (m/s) in expiratory apnea, median, (Q1, Q3) | 0.35 (Q1; 0.3–Q3; 0.6) | 0.95 (Q1; 0.5–Q3; 1.4) |
| CA EDV (m/s) in inspiratory apnea, median, (Q1, Q3) | 0.35 (Q1; 0.3–Q3; 0.5) | 0.85 (Q1; 0.6–Q3; 1.4) |
| Difference PSV (m/s) expiratory–inspiratory, median | 0.3 | 1.4 |
| CT/MRI reports a compression, n/N (%) | 2/19 (11) | 8/8 (100) |
| Patients without MALS (n = 25) | Patients with MALS (n = 8) | |
|---|---|---|
| Somatic symptom and related disorders, n (%) | 7 (28) | 0 (0) |
| Depressive disorders, n (%) | 3 (12) | 1 (13) |
| Feeding and eating disorders, n (%) | 1 (4) | 1 (13) |
| Anxiety disorders, n (%) | 1 (4) | 1 (13) |
| Personality disorders, n (%) | 1 (4) | 0 (0) |
| Obsessive compulsive disorders, n (%) | 0 (0) | 1 (13) |
| Substance-related and addictive disorders, n (%) | 1 (4) | 0 (0) |
| Any psychological or psychiatric disturbances, n (%) | 9 (36) | 3 (38) |
| Patients (n = 7) | |
|---|---|
| Treatment by surgery alone, n (%) | 5 (71.4) |
| Endovascular treatment alone, n (%) | 0 (0) |
| Endovascular and surgical treatment, n (%) | 2 (28.6) |
| Relief of symptoms after treatment, n (%) | 2 (28.6) |
| Time after treatment and last follow-up visit (days), median, (Q1, Q3) | 180 (Q1; 27.5–Q3; 722.5) |
| CA PSV (m/s) after treatment, median, (Q1, Q3) | 1.8 (Q1; 1.5–Q3; 2.4) |
| CA EDV (m/s) after treatment, median, (Q1, Q3) | 0.6 (Q1; 0.5–Q3; 0.8) |
Disclaimer/Publisher’s Note: The statements, opinions and data contained in all publications are solely those of the individual author(s) and contributor(s) and not of MDPI and/or the editor(s). MDPI and/or the editor(s) disclaim responsibility for any injury to people or property resulting from any ideas, methods, instructions or products referred to in the content. |
© 2024 by the authors. Licensee MDPI, Basel, Switzerland. This article is an open access article distributed under the terms and conditions of the Creative Commons Attribution (CC BY) license (https://creativecommons.org/licenses/by/4.0/).
Share and Cite
Zbinden, S.; Forgo, G.; Kucher, N.; Barco, S. Practice-Based Management Data of Consecutive Subjects Assessed for the Median Arcuate Ligament Syndrome at a Single Tertiary Institution. Clin. Pract. 2024, 14, 1911-1920. https://doi.org/10.3390/clinpract14050151
Zbinden S, Forgo G, Kucher N, Barco S. Practice-Based Management Data of Consecutive Subjects Assessed for the Median Arcuate Ligament Syndrome at a Single Tertiary Institution. Clinics and Practice. 2024; 14(5):1911-1920. https://doi.org/10.3390/clinpract14050151
Chicago/Turabian StyleZbinden, Stephanie, Gabor Forgo, Nils Kucher, and Stefano Barco. 2024. "Practice-Based Management Data of Consecutive Subjects Assessed for the Median Arcuate Ligament Syndrome at a Single Tertiary Institution" Clinics and Practice 14, no. 5: 1911-1920. https://doi.org/10.3390/clinpract14050151
APA StyleZbinden, S., Forgo, G., Kucher, N., & Barco, S. (2024). Practice-Based Management Data of Consecutive Subjects Assessed for the Median Arcuate Ligament Syndrome at a Single Tertiary Institution. Clinics and Practice, 14(5), 1911-1920. https://doi.org/10.3390/clinpract14050151

