An Atypical Case of Extrapulmonary Sarcoidosis with Severe Hypercalcemia as Initial Presentation, Successfully Treated with Glucocorticoids
Abstract
1. Introduction
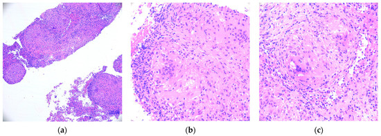
2. Case Report
3. Discussion
4. Conclusions
Author Contributions
Funding
Institutional Review Board Statement
Informed Consent Statement
Data Availability Statement
Conflicts of Interest
References
- Gwadera, Ł.; Białas, A.J.; Iwański, M.A.; Górski, P.; Piotrowski, W.J. Sarcoidosis and calcium homeostasis disturbances-Do we know where we stand? Chron. Respir. Dis. 2019, 16, 1479973119878713. [Google Scholar] [CrossRef] [PubMed]
- Bell, N.H.; Stern, P.H.; Pantzer, E.; Sinha, T.K.; DeLuca, H.F. Evidence that increased circulating 1 alpha, 25-dihydroxyvitamin D is the probable cause for abnormal calcium metabolism in sarcoidosis. J. Clin. Investig. 1979, 64, 218–225. [Google Scholar] [CrossRef]
- Kinoshita, Y.; Taguchi, M.; Takeshita, A.; Miura, D.; Tomikawa, S.; Takeuchi, Y. 1,25-dihydroxyvitamin D suppresses circulating levels of parathyroid hormone in a patient with primary hyperparathyroidism and coexistent sarcoidosis. J. Clin. Endocrinol. Metab. 2005, 90, 6727–6731. [Google Scholar] [CrossRef][Green Version]
- Papapoulos, S.E.; Clemens, T.L.; Fraher, L.J.; Lewin, I.G.; Sandler, L.M.; O’Riordan, J.L. 1, 25-dihydroxycholecalciferol in the pathogenesis of the hypercalcemia of sarcoidosis. Lancet 1979, 1, 627–630. [Google Scholar] [CrossRef]
- Baughman, R.P.; Teirstein, A.S.; Judson, M.A.; Rossman, M.D.; Yeager, H., Jr.; Bresnitz, E.A.; DePalo, L.; Hunninghake, G.; Iannuzzi, M.C.; Johns, C.J.; et al. Clinical characteristics of patients in a case control study of sarcoidosis. Am. J. Respir. Crit. Care Med. 2001, 164, 1885–1889. [Google Scholar] [CrossRef] [PubMed]
- Boussetta, N.; Dhahri, R.; Jaziri, F.; Mahfoudhi, M.; Barbouchi, S.; Turki, S.; Ben Abdel Ghani, K.; Khedhr, A. AB0936 Renal Involvement in Sarcoidosis: A Study of 50 Cases. Ann. Rheum. Dis. 2014, 73, 1109. [Google Scholar] [CrossRef]
- Berliner, A.R.; Haas, M.; Choi, M.J. Sarcoidosis: The nephrologist's perspective. Am. J. Kidney Dis. 2006, 48, 856–870. [Google Scholar] [CrossRef] [PubMed]
- Klatskin, G.; Gordon, M. Renal complications of sarcoidosis and their relationship to hypercalcemia; with a report of two cases simulating hyperparathyroidism. Am. J. Med. 1953, 15, 484–498. [Google Scholar] [CrossRef] [PubMed]
- Lebacq, E.; Desmet, V.; Verhaegen, H. Renal involvement in sarcoidosis. Postgrad. Med. J. 1970, 46, 526–529. [Google Scholar] [CrossRef] [PubMed]
- Kavathia, D.; Buckley, J.D.; Rao, D.; Rybicki, B.; Burke, R. Elevated 1, 25-dihydroxyvitamin D levels are associated with protracted treatment in sarcoidosis. Respir. Med. 2010, 104, 564–570. [Google Scholar] [CrossRef] [PubMed]
- Adams, J.S.; Gacad, M.A. Characterization of 1 alpha-hydroxylation of vitamin D3 sterols by cultured alveolar macrophages from patients with sarcoidosis. J. Exp. Med. 1985, 161, 755–765. [Google Scholar] [CrossRef]
- Tun Min, S.; Nordman, I.I.C.; Tran, H.A. Hypercalcemia due to Sarcoidosis during Treatment with Avelumab for Metastatic Merkel Cell Carcinoma. Case Rep. Oncol. 2019, 12, 639–643. [Google Scholar] [CrossRef]
- Gubatan, J.; Wang, X.; Louissaint, A.; Mahindra, A.; Vanderpool, J. Hypercalcemia associated with isolated bone marrow sarcoidosis in a patient with underlying monoclonal gammopathy of undetermined significance: Case report and review of literature. Biomark. Res. 2016, 4, 1–5. [Google Scholar] [CrossRef][Green Version]
- Arai, Y.; Tanaka, H.; Hirasawa, S.; Aki, S.; Inaba, N.; Aoyagi, M.; Tsuura, Y.; Tamura, T. Sarcoidosis in a chronic dialysis patient diagnosed by sarcoidosis-related hypercalcemia with no common systemic clinical manifestations: A case report and review of the literature. Intern. Med. 2013, 52, 2639–2644. [Google Scholar] [CrossRef][Green Version]
- Bia, M.J.; Insogna, K. Treatment of sarcoidosis-associated hypercalcemia with ketoconazole. Am. J. Kidney Dis. 1991, 18, 702–705. [Google Scholar] [CrossRef]
- Zhang, J.T.; Chan, C.; Kwun, S.Y.; Benson, K.A. A case of severe 1,25-dihydroxyvitamin D-mediated hypercalcemia due to a granulomatous disorder. J. Clin. Endocrinol. Metab. 2012, 97, 2579–2583. [Google Scholar] [CrossRef] [PubMed][Green Version]
- Sodhi, A.; Aldrich, T. Vitamin D Supplementation: Not So Simple in Sarcoidosis. Am. J. Med. Sci. 2016, 352, 252–257. [Google Scholar] [CrossRef] [PubMed]
- Kamphuis, L.S.; Bonte-Mineur, F.; van Laar, J.A.; van Hagen, P.M.; van Daele, P.L. Calcium and vitamin D in sarcoidosis: Is supplementation safe? J. Bone Miner. Res. 2014, 29, 2498–2503. [Google Scholar] [CrossRef] [PubMed]

| Laboratory Test | Value | Reference |
|---|---|---|
| White Blood Cell Count (109/L) | 7.62 | 3.5–10.5 |
| Hemoglobin (g/L) | 12.4 | 12.0–15.5 |
| Platelet Count (109/L) | 242 | 150–450 |
| Serum Calcium (mg/dL) | 14.3 | 0.7–1.2 |
| Ionized Calcium (mmol/L) | 1.46 | 1.12–1.30 |
| Creatinine (mg/dL) | 1.69 | 0.5–1.0 |
| Blood Urea Nitrogen (mg/dL) | 23 | 6–20 |
| Glomerular Filtration Rate (mL/min/1.73m2) | 47 | >90 |
| Alkaline Phosphatase (units/L) | 566 | 40–129 |
| Total Bilirubin (mg/dL) | 1.94 | 0–1.6 |
| Aspartate Transaminase (units/L) | 32 | 8–33 |
| Alanine Transaminase (units/L) | 37 | 10–35 |
| Serum Parathyroid Hormone (pg/mL) | 7.2 | 15–65 |
| Parathyroid Hormone Related Peptide (pg/mL) | 0.6 | ≤4.2 |
| 25-Hydroxyvitamin D (ng/mL) | 21.80 | 30–80 |
| 1,25-Dihydroxyvitamin D3 (pg/mL) | 69 | 18–64 |
| Angiotensin-converting Enzyme (units/L) | 141 | 16–85 |
Disclaimer/Publisher’s Note: The statements, opinions and data contained in all publications are solely those of the individual author(s) and contributor(s) and not of MDPI and/or the editor(s). MDPI and/or the editor(s) disclaim responsibility for any injury to people or property resulting from any ideas, methods, instructions or products referred to in the content. |
© 2024 by the authors. Licensee MDPI, Basel, Switzerland. This article is an open access article distributed under the terms and conditions of the Creative Commons Attribution (CC BY) license (https://creativecommons.org/licenses/by/4.0/).
Share and Cite
Mittal, S.; Pogorzelski, K.; Huxel, C.; Siva, C.; Rao, D. An Atypical Case of Extrapulmonary Sarcoidosis with Severe Hypercalcemia as Initial Presentation, Successfully Treated with Glucocorticoids. Clin. Pract. 2024, 14, 1264-1269. https://doi.org/10.3390/clinpract14040102
Mittal S, Pogorzelski K, Huxel C, Siva C, Rao D. An Atypical Case of Extrapulmonary Sarcoidosis with Severe Hypercalcemia as Initial Presentation, Successfully Treated with Glucocorticoids. Clinics and Practice. 2024; 14(4):1264-1269. https://doi.org/10.3390/clinpract14040102
Chicago/Turabian StyleMittal, Sushmita, Karolina Pogorzelski, Christopher Huxel, Chokkalingam Siva, and Deepthi Rao. 2024. "An Atypical Case of Extrapulmonary Sarcoidosis with Severe Hypercalcemia as Initial Presentation, Successfully Treated with Glucocorticoids" Clinics and Practice 14, no. 4: 1264-1269. https://doi.org/10.3390/clinpract14040102
APA StyleMittal, S., Pogorzelski, K., Huxel, C., Siva, C., & Rao, D. (2024). An Atypical Case of Extrapulmonary Sarcoidosis with Severe Hypercalcemia as Initial Presentation, Successfully Treated with Glucocorticoids. Clinics and Practice, 14(4), 1264-1269. https://doi.org/10.3390/clinpract14040102

