Not Always (and Only) Heart Failure—A Case Report of Primary Pleural Lymphoma in an Elderly Patient
Abstract
1. Introduction
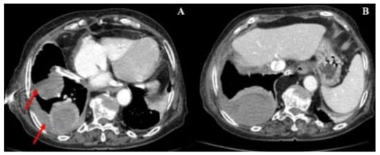
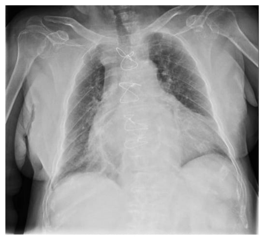
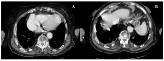
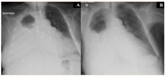
2. Case Presentation
3. Discussion
4. Conclusions
Author Contributions
Funding
Conflicts of Interest
References
- Jany, B.; Welte, T. Pleural Effusion in Adults—Etiology, Diagnosis, and Treatment. Dtsch. Aerzteblatt Online 2019, 116, 377–386. [Google Scholar] [CrossRef] [PubMed]
- Bode-Lesniewska, B. Flow cytometry and effusions in lymphoproliferative processes and other hematologic neoplasias. Acta Cytol. 2016, 60, 354–364. [Google Scholar] [CrossRef] [PubMed]
- Liu, Y.; Barta, S.K. Diffuse large B-cel lymphoma: 2019 update on diagnosis, risk stratification, and treatment. Am. J. Hematol. 2019, 94, 604–616. [Google Scholar] [CrossRef] [PubMed]
- Lu, C.S.; Chen, J.H.; Huang, T.C. Diffuse large B-cell lymphoma: The sites of extranodal involvement are the stronger predictor than the number of extranodal sites in the Rituximab era. Leuk. Kymphoma 2015, 56, 2047–2055. [Google Scholar] [CrossRef] [PubMed]
- Bairey, O.; Bar-Natan, M.; Shpilberg, O. Early death in patients diagnosed with non-Hodgkin’s lymphoma. Ann. Hematol. 2013, 92, 345–350. [Google Scholar] [CrossRef] [PubMed]
- Parissis, H. Forty years literature review of primary lung lymphoma. J. Cardiothorac. Surg. 2011, 6, 23. [Google Scholar] [CrossRef] [PubMed]
- Yang, X.; Xu, X.; Song, B.; Zhou, Q.; Zheng, Y. Misdiagnosis of primary pleural DLBCL as tuberculosis: A case report and literature review. Mol. Clin. Oncol. 2018, 8, 729–732. [Google Scholar] [CrossRef] [PubMed]
- Ahmad, H.; Pawade, J.; Falk, S.; A Morgan, J.; Balacumaraswami, L. Primary pleural lymphomas. Thorax 2003, 58, 908–909. [Google Scholar] [CrossRef] [PubMed]
- Vega, F.; Padula, A.; Valbuena, J.R.; Stancu, M.; Jones, D.; Medeiros, L.J. Lymphomas involving the pleural: A clinicopathologic study of 34 cases diagnosed by pleural biopsy. Arch Pathol. Lab. Med. 2006, 130, 1497–1502. [Google Scholar] [PubMed]
- Malatskey, A.; Fields, S.; Libson, E. CT appearance of primary pleural lymphoma. Comput. Med. Imaging Graph. 1989, 13, 165–167. [Google Scholar] [CrossRef]
- Alexandrakis, M.G.; Passam, F.H.; Kyriakou, D.S.; Bouros, D. Pleural effusions in hematologic malignancies. Chest 2004, 125, 1546–1555. [Google Scholar] [CrossRef] [PubMed]




Publisher’s Note: MDPI stays neutral with regard to jurisdictional claims in published maps and institutional affiliations. |
© 2021 by the authors. Licensee MDPI, Basel, Switzerland. This article is an open access article distributed under the terms and conditions of the Creative Commons Attribution (CC BY) license (http://creativecommons.org/licenses/by/4.0/).
Share and Cite
Rabadão, T.; Naia, L.; Ferreira, F.; Teixeira, M.; Aveiro, M.; Eulálio, M.; Silva, F. Not Always (and Only) Heart Failure—A Case Report of Primary Pleural Lymphoma in an Elderly Patient. Clin. Pract. 2021, 11, 32-36. https://doi.org/10.3390/clinpract11010006
Rabadão T, Naia L, Ferreira F, Teixeira M, Aveiro M, Eulálio M, Silva F. Not Always (and Only) Heart Failure—A Case Report of Primary Pleural Lymphoma in an Elderly Patient. Clinics and Practice. 2021; 11(1):32-36. https://doi.org/10.3390/clinpract11010006
Chicago/Turabian StyleRabadão, Tiago, Leonor Naia, Filipa Ferreira, Mariana Teixeira, Marcelo Aveiro, Margarida Eulálio, and Fernando Silva. 2021. "Not Always (and Only) Heart Failure—A Case Report of Primary Pleural Lymphoma in an Elderly Patient" Clinics and Practice 11, no. 1: 32-36. https://doi.org/10.3390/clinpract11010006
APA StyleRabadão, T., Naia, L., Ferreira, F., Teixeira, M., Aveiro, M., Eulálio, M., & Silva, F. (2021). Not Always (and Only) Heart Failure—A Case Report of Primary Pleural Lymphoma in an Elderly Patient. Clinics and Practice, 11(1), 32-36. https://doi.org/10.3390/clinpract11010006

